JavaScript is disabled in your browser. Please enable JavaScript to view this website.
AB222797

Anti-FMNL3 antibody

Be the first to review this product! Submit a review

|

(2 Publications)

Rabbit Polyclonal FMNL3 antibody. Suitable for IHC-P, ICC/IF and reacts with Human samples. Cited in 2 publications. Immunogen corresponding to Recombinant Fragment Protein within Human FMNL3 aa 1-250.

View Alternative Names

FHOD3, FRL2, KIAA2014, WBP3, FMNL3, Formin-like protein 3, Formin homology 2 domain-containing protein 3, WW domain-binding protein 3, WBP-3

3 Images
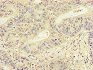
Immunohistochemistry (Formalin/PFA-fixed paraffin-embedded sections) - Anti-FMNL3 antibody (AB222797)
  • IHC-P

Supplier Data

Immunohistochemistry (Formalin/PFA-fixed paraffin-embedded sections) - Anti-FMNL3 antibody (AB222797)

Paraffin-embedded human colon cancer tissue stained for FMNL3 with ab222797 at 1/100 dilution in immunohistochemical analysis.

Immunocytochemistry/ Immunofluorescence - Anti-FMNL3 antibody (AB222797)
  • ICC/IF

Supplier Data

Immunocytochemistry/ Immunofluorescence - Anti-FMNL3 antibody (AB222797)

HepG2 (human liver hepatocellular carcinoma cell line) cells stained for FMNL3 (green) using ab222797 at 1/100 dilution in ICC/IF, followed by Alexa Fluor 488-congugated Goat Anti-Rabbit IgG (H+L).

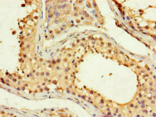
Immunohistochemistry (Formalin/PFA-fixed paraffin-embedded sections) - Anti-FMNL3 antibody (AB222797)
  • IHC-P

Supplier Data

Immunohistochemistry (Formalin/PFA-fixed paraffin-embedded sections) - Anti-FMNL3 antibody (AB222797)

Paraffin-embedded human testis tissue stained for FMNL3 with ab222797 at 1/100 dilution in immunohistochemical analysis.

Key facts

Host species

Rabbit

Clonality

Polyclonal

Isotype

IgG

Carrier free

No

Reacts with

Human

Applications

ICC/IF, IHC-P

applications

Immunogen

Recombinant Fragment Protein within Human FMNL3 aa 1-250. The exact immunogen used to generate this antibody is proprietary information.

Q8IVF7

Reactivity data

{ "title": "Reactivity Data", "filters": { "stats": ["", "Species", "Dilution Info", "Notes"], "tabs": { "all-applications": {"fullname" : "All Applications", "shortname": "All Applications"}, "IHCP" : {"fullname" : "Immunohistochemistry (Formalin/PFA-fixed paraffin-embedded sections)", "shortname":"IHC-P"}, "ICCIF" : {"fullname" : "Immunocytochemistry/ Immunofluorescence", "shortname":"ICC/IF"} }, "product-promise": { "all": "all", "testedAndGuaranteed": "tested", "guaranteed": "expected", "predicted": "predicted", "notRecommended": "not-recommended" } }, "values": { "Human": { "IHCP-species-checked": "testedAndGuaranteed", "IHCP-species-dilution-info": "1/20 - 1/200", "IHCP-species-notes": "<p></p>", "ICCIF-species-checked": "testedAndGuaranteed", "ICCIF-species-dilution-info": "1/50 - 1/200", "ICCIF-species-notes": "<p></p>" } } }

Properties and storage information

Form
Liquid
Purification technique
Affinity purification Protein G
Purification notes
Purity >95%.
Storage buffer
pH: 7.4 Preservative: 0.03% Proclin 300 Constituents: PBS, 50% Glycerol (glycerin, glycerine)
Shipped at conditions
Blue Ice
Appropriate short-term storage duration
1-2 weeks
Appropriate short-term storage conditions
+4°C
Appropriate long-term storage conditions
-20°C
Aliquoting information
Upon delivery aliquot
Storage information
Avoid freeze / thaw cycle

Product protocols

For this product, it's our understanding that no specific protocols are required. You can visit:

Target data

Plays a role in the regulation of cell morphology and cytoskeletal organization. Required in the control of cell shape and migration. Required for developmental angiogenesis (By similarity). In this process, required for microtubule reorganization and for efficient endothelial cell elongation. In quiescent endothelial cells, triggers rearrangement of the actin cytoskeleton, but does not alter microtubule alignement.
See full target information FMNL3

Publications (2)

Recent publications for all applications. Explore the full list and refine your search

International journal of general medicine 15:8285-8298 PubMed36444244

2022

FMNL3 is Overexpressed in Tumor Tissues and Predicts an Immuno-Hot Phenotype in Pancreatic Cancer.

Applications

Unspecified application

Species

Unspecified reactive species

Qinglin Zhang,He Nie,Jiadong Pan,Haoran Xu,Qiang Zhan

Cell research : PubMed32686767

2020

Single-cell transcriptomics reveals regulators underlying immune cell diversity and immune subtypes associated with prognosis in nasopharyngeal carcinoma.

Applications

Unspecified application

Species

Unspecified reactive species

Yu-Pei Chen,Jian-Hua Yin,Wen-Fei Li,Han-Jie Li,Dong-Ping Chen,Cui-Juan Zhang,Jia-Wei Lv,Ya-Qin Wang,Xiao-Min Li,Jun-Yan Li,Pan-Pan Zhang,Ying-Qin Li,Qing-Mei He,Xiao-Jing Yang,Yuan Lei,Ling-Long Tang,Guan-Qun Zhou,Yan-Ping Mao,Chen Wei,Ke-Xu Xiong,Hong-Bo Zhang,Shi-Da Zhu,Yong Hou,Ying Sun,Michael Dean,Ido Amit,Kui Wu,Dong-Ming Kuang,Gui-Bo Li,Na Liu,Jun Ma
View all publications

Product promise

We are committed to supporting your work with high-quality reagents, and we're here for you every step of the way. In the unlikely event that one of our products does not perform as expected, you're protected by our Product Promise.
For full details, please see our Terms & Conditions

Please note: All products are 'FOR RESEARCH USE ONLY. NOT FOR USE IN DIAGNOSTIC OR THERAPEUTIC PROCEDURES'.

For licensing inquiries, please contact partnerships@abcam.com