JavaScript is disabled in your browser. Please enable JavaScript to view this website.
AB126711

Anti-FMO3 antibody [EPR6968]

4

(3 Reviews)

|

(17 Publications)

Rabbit Recombinant Monoclonal FMO3 antibody. Suitable for IHC-P, WB, ICC/IF and reacts with Mouse, Rat, Human samples. Cited in 17 publications.

View Alternative Names

Flavin-containing monooxygenase 3, Dimethylaniline monooxygenase [N-oxide-forming] 3, Dimethylaniline oxidase 3, FMO II, FMO form 2, Hepatic flavin-containing monooxygenase 3, Trimethylamine monooxygenase, FMO 3, FMO3

10 Images
Immunocytochemistry/ Immunofluorescence - Anti-FMO3 antibody [EPR6968] (AB126711)
  • ICC/IF

Unknown

Immunocytochemistry/ Immunofluorescence - Anti-FMO3 antibody [EPR6968] (AB126711)

Immunocytochemistry/Immunofluorescence analysis of HepG2 cells labelling FMO3 with purified ab126711 at 1/150. Cells were fixed with 4% paraformaldehyde and permeabilized with 0.1% Triton X-100. ab150077, an Alexa Fluor® 488-conjugated goat anti-rabbit IgG (1/500) was used as the secondary antibody. DAPI (blue) was used as the nuclear counterstain. ab7291, a mouse anti-tubulin (1/500) and ab150120, an Alexa Fluor® 594-conjugated goat anti-mouse IgG (1/500) were also used.

Control 1 : primary antibody (1/100) and secondary antibody, ab150120, an Alexa Fluor® 594-conjugated goat anti-mouse IgG (1/500).

Control 2 : ab7291 (1/1000) and secondary antibody, ab150077, an Alexa Fluor® 488-conjugated goat anti-rabbit IgG (1/500).

Immunohistochemistry (Formalin/PFA-fixed paraffin-embedded sections) - Anti-FMO3 antibody [EPR6968] (AB126711)
  • IHC-P

Unknown

Immunohistochemistry (Formalin/PFA-fixed paraffin-embedded sections) - Anti-FMO3 antibody [EPR6968] (AB126711)

Immunohistochemitsy (Formalin/PFA-fixed paraffin-embedded sections) analysis of human liver tissue labelling FMO3 with unpurified ab126711 at a 1/500 dilution.

Perform heat mediated antigen retrieval before commencing with IHC staining protocol.

Immunohistochemistry (Formalin/PFA-fixed paraffin-embedded sections) - Anti-FMO3 antibody [EPR6968] (AB126711)
  • IHC-P

Unknown

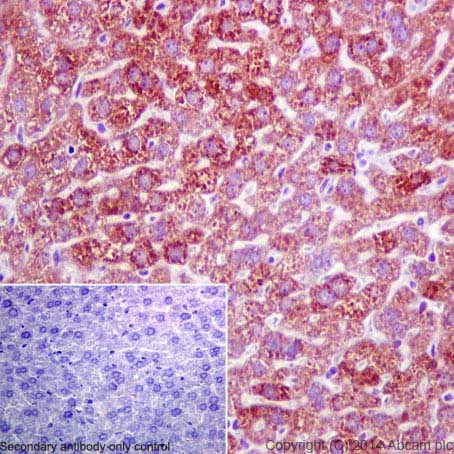
Immunohistochemistry (Formalin/PFA-fixed paraffin-embedded sections) - Anti-FMO3 antibody [EPR6968] (AB126711)

Immunohistochemistry (Formalin/PFA-fixed paraffin-embedded sections) analysis of human liver tissue labelling FMO3 with purified ab126711 at 1/500. Heat mediated antigen retrieval was performed using Tris/EDTA buffer pH 9. ab97051, a HRP-conjugated goat anti-rabbit IgG (H+L) was used as the secondary antibody (1/500). Negative control using PBS instead of primary antibody. Counterstained with hematoxylin.

Immunohistochemistry (Formalin/PFA-fixed paraffin-embedded sections) - Anti-FMO3 antibody [EPR6968] (AB126711)
  • IHC-P

Unknown

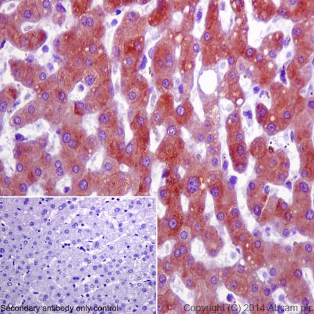
Immunohistochemistry (Formalin/PFA-fixed paraffin-embedded sections) - Anti-FMO3 antibody [EPR6968] (AB126711)

Immunohistochemistry (Formalin/PFA-fixed paraffin-embedded sections) analysis of rat liver tissue labelling FMO3 with purified ab126711 at 1/500. Heat mediated antigen retrieval was performed using Tris/EDTA buffer pH 9. ab97051, a HRP-conjugated goat anti-rabbit IgG (H+L) was used as the secondary antibody (1/500). Negative control using PBS instead of primary antibody. Counterstained with hematoxylin.

Immunohistochemistry (Formalin/PFA-fixed paraffin-embedded sections) - Anti-FMO3 antibody [EPR6968] (AB126711)
  • IHC-P

Unknown

Immunohistochemistry (Formalin/PFA-fixed paraffin-embedded sections) - Anti-FMO3 antibody [EPR6968] (AB126711)

Immunohistochemistry (Formalin/PFA-fixed paraffin-embedded sections) analysis of mouse liver tissue labelling FMO3 with purified ab126711 at 1/500. Heat mediated antigen retrieval was performed using Tris/EDTA buffer pH 9. ab97051, a HRP-conjugated goat anti-rabbit IgG (H+L) was used as the secondary antibody (1/500). Negative control using PBS instead of primary antibody. Counterstained with hematoxylin.

Western blot - Anti-FMO3 antibody [EPR6968] (AB126711)
  • WB

Unknown

Western blot - Anti-FMO3 antibody [EPR6968] (AB126711)

Blocking and diluting buffer : 5% NFDM/TBST.

All lanes:

Western blot - Anti-FMO3 antibody [EPR6968] (ab126711) at 1/5000 dilution

Lane 1:

Human fetal kidney tissue lysate at 20 µg

Lane 2:

Human fetal liver tissue lysate at 20 µg

Secondary

All lanes:

Goat Anti-Rabbit IgG, (H+L), Peroxidase conjugated at 1/1000 dilution

Predicted band size: 60 kDa

Observed band size: 56 kDa

false

Western blot - Anti-FMO3 antibody [EPR6968] (AB126711)
  • WB

Unknown

Western blot - Anti-FMO3 antibody [EPR6968] (AB126711)

All lanes:

Western blot - Anti-FMO3 antibody [EPR6968] (ab126711) at 1/1000 dilution

Lane 1:

Human fetal liver tissue lysate at 10 µg

Lane 2:

Human fetal kidney tissue lysate at 10 µg

Secondary

All lanes:

HRP-conjugated goat anti-rabbit IgG at 1/2000 dilution

Predicted band size: 60 kDa

false

Western blot - Anti-FMO3 antibody [EPR6968] (AB126711)
  • WB

Unknown

Western blot - Anti-FMO3 antibody [EPR6968] (AB126711)

Blocking and diluting buffer : 5% NFDM/TBST.

All lanes:

Western blot - Anti-FMO3 antibody [EPR6968] (ab126711) at 1/5000 dilution

Lane 1:

Mouse kidney tissue lysate at 20 µg

Lane 2:

Mouse liver tissue lysate at 20 µg

Lane 3:

Rat kidney tissue lysate at 20 µg

Lane 4:

Rat liver tissue lysate at 20 µg

Secondary

All lanes:

Goat Anti-Rabbit IgG, (H+L), Peroxidase conjugated at 1/1000 dilution

Predicted band size: 60 kDa

Observed band size: 56 kDa

false

OI-RD Scanning - Anti-FMO3 antibody [EPR6968] (AB126711)
  • OI-RD Scanning

Unknown

OI-RD Scanning - Anti-FMO3 antibody [EPR6968] (AB126711)

We have systematically measured KD (the equilibrium dissociation constant between the antibody and its antigen), of more than 840 recombinant antibodies to assess not only their individual KD values but also to see the average affinity of antibody. Based on the comparison with published literature values for mouse monoclonal antibodies, Recombinant antibodies appear to be on average 1-2 order of magnitude higher affinity.

Western blot - Anti-FMO3 antibody [EPR6968] (AB126711)
  • WB

CiteAb

Western blot - Anti-FMO3 antibody [EPR6968] (AB126711)

FMO3 western blot using anti-FMO3 antibody [EPR6968] ab126711. Publication image and figure legend from Li, L., Chen, B., et al., 2019, Aging (Albany NY), PubMed 31715585.

ab126711 was used in this publication in western blot. This may not be the same as the application(s) guaranteed by Abcam. For a full list of applications guaranteed by Abcam for ab126711 please see the product overview.

Fructus Ligustri Lucidi (FLL) decreases the expression of FMO3 and the levels of circulating TMAO in aging mice. (A) The circulating TMAO levels quantified by LC/MS/MS. The expression levels of FMO3 were analyzed by immunohistochemical staining (B–C) and western blot (D) in the livers. (E–F) Correlation heat map indicating the association between the specific microbiota taxonomic genera and FMO3 expressions (E) and TMAO levels (F). Red indicates a positive association, blue denotes a negative association, and white manifests no association. a denotes a significant false discovery rate (FDR)-adjusted positive correlation at p values of < 0.05, and aa denotes a significant FDR-adjusted positive correlation at p values of < 0.01. b denotes a significant FDR-adjusted negative correlation at p values of < 0.05, and bb denotes a significant FDR-adjusted negative correlation at P values of < 0.01. Data are presented as mean ± SD. # compared with the normal group. * compared with the aging model group. p < 0.05 was considered statistical difference, n=8.

false

Key facts

Host species

Rabbit

Clonality

Monoclonal

Clone number

EPR6968

Isotype

IgG

Carrier free

No

Reacts with

Mouse, Rat, Human

Applications

ICC/IF, WB, IHC-P

applications

Immunogen

The exact immunogen used to generate this antibody is proprietary information.

Reactivity data

{ "title": "Reactivity Data", "filters": { "stats": ["", "Species", "Dilution Info", "Notes"], "tabs": { "all-applications": {"fullname" : "All Applications", "shortname": "All Applications"}, "IHCP" : {"fullname" : "Immunohistochemistry (Formalin/PFA-fixed paraffin-embedded sections)", "shortname":"IHC-P"}, "WB" : {"fullname" : "Western blot", "shortname":"WB"}, "ICCIF" : {"fullname" : "Immunocytochemistry/ Immunofluorescence", "shortname":"ICC/IF"} }, "product-promise": { "all": "all", "testedAndGuaranteed": "tested", "guaranteed": "expected", "predicted": "predicted", "notRecommended": "not-recommended" } }, "values": { "Human": { "IHCP-species-checked": "testedAndGuaranteed", "IHCP-species-dilution-info": "1/500", "IHCP-species-notes": "<p><strong>For unpurified use at 1/500 - 1/1000.</strong></p><p><a href='/en-us/products/primary-antibodies/rabbit-igg-monoclonal-epr25a-isotype-control-ab172730'>ab172730</a> - Rabbit monoclonal IgG, is suitable for use as an isotype control with this antibody.</p>", "WB-species-checked": "testedAndGuaranteed", "WB-species-dilution-info": "1/5000", "WB-species-notes": "<p><strong>For unpurified use at 1/1000 - 1/10000.</strong></p>", "ICCIF-species-checked": "testedAndGuaranteed", "ICCIF-species-dilution-info": "1/150", "ICCIF-species-notes": "<p></p>" }, "Mouse": { "IHCP-species-checked": "testedAndGuaranteed", "IHCP-species-dilution-info": "1/500", "IHCP-species-notes": "<p><strong>For unpurified use at 1/500 - 1/1000.</strong></p><p><a href='/en-us/products/primary-antibodies/rabbit-igg-monoclonal-epr25a-isotype-control-ab172730'>ab172730</a> - Rabbit monoclonal IgG, is suitable for use as an isotype control with this antibody.</p>", "WB-species-checked": "testedAndGuaranteed", "WB-species-dilution-info": "1/5000", "WB-species-notes": "<p><strong>For unpurified use at 1/1000 - 1/10000.</strong></p>", "ICCIF-species-checked": "guaranteed", "ICCIF-species-dilution-info": "", "ICCIF-species-notes": "" }, "Rat": { "IHCP-species-checked": "testedAndGuaranteed", "IHCP-species-dilution-info": "1/500", "IHCP-species-notes": "<p><strong>For unpurified use at 1/500 - 1/1000.</strong></p><p><a href='/en-us/products/primary-antibodies/rabbit-igg-monoclonal-epr25a-isotype-control-ab172730'>ab172730</a> - Rabbit monoclonal IgG, is suitable for use as an isotype control with this antibody.</p>", "WB-species-checked": "guaranteed", "WB-species-dilution-info": "", "WB-species-notes": "", "ICCIF-species-checked": "guaranteed", "ICCIF-species-dilution-info": "", "ICCIF-species-notes": "" } } }

Product details

Patented technology
Our RabMAb® technology is a patented hybridoma-based technology for making rabbit monoclonal antibodies. For details on our patents, please refer to RabMAb® patents.

What are the advantages of a recombinant monoclonal antibody?
This product is a recombinant monoclonal antibody, which offers several advantages including:

  • - High batch-to-batch consistency and reproducibility
  • - Improved sensitivity and specificity
  • - Long-term security of supply
  • - Animal-free batch production

For more information, read more on recombinant antibodies.

Properties and storage information

Form
Liquid
Purification technique
Affinity purification Protein A
Storage buffer
pH: 7.2 - 7.4 Preservative: 0.01% Sodium azide Constituents: PBS, 40% Glycerol (glycerin, glycerine), 0.05% BSA
Shipped at conditions
Blue Ice
Appropriate short-term storage duration
1-2 weeks
Appropriate short-term storage conditions
+4°C
Appropriate long-term storage conditions
-20°C
Aliquoting information
Upon delivery aliquot
Storage information
Stable for 12 months at -20°C

Product protocols

For this product, it's our understanding that no specific protocols are required. You can visit:

Target data

Essential hepatic enzyme that catalyzes the oxygenation of a wide variety of nitrogen- and sulfur-containing compounds including drugs as well as dietary compounds (PubMed : 10759686, PubMed : 30381441, PubMed : 32156684). Plays an important role in the metabolism of trimethylamine (TMA), via the production of trimethylamine N-oxide (TMAO) metabolite (PubMed : 9776311). TMA is generated by the action of gut microbiota using dietary precursors such as choline, choline containing compounds, betaine or L-carnitine. By regulating TMAO concentration, FMO3 directly impacts both platelet responsiveness and rate of thrombus formation (PubMed : 29981269).
See full target information FMO3

Publications (17)

Recent publications for all applications. Explore the full list and refine your search

Scientific reports 15:26035 PubMed40676134

2025

Shift in the urinary metabolome associated with 2,3,7,8-tetrachlorodibenzo-p-dioxin activation of the hepatic aryl hydrocarbon receptor.

Applications

Unspecified application

Species

Unspecified reactive species

Warren J Sink,Russell Fling,Ali Yilmaz,Rance Nault,Delanie Goniwiecha,Jack R Harkema,Stewart F Graham,Tim Zacharewski

Genes 16: PubMed40282416

2025

IL-6 Affects Liver Metabolic Abnormalities Caused by Silicon Exposure by Regulating the PKC/YY1 Signaling Pathway.

Applications

Unspecified application

Species

Unspecified reactive species

Hui Zhao,Huihui Tao,Jian Gao,Jingjing Wang,Guangliang Hui,Ye Zhu,Jialin Wang,Xuansheng Ding,Yong Dai

Frontiers in pharmacology 16:1515485 PubMed40098615

2025

Polydatin combined with hawthorn flavonoids alleviate high fat diet induced atherosclerosis by remodeling the gut microbiota and glycolipid metabolism.

Applications

Unspecified application

Species

Unspecified reactive species

Dan Li,Yujuan Li,Shengjie Yang,Xiaonan Zhang,Yu Cao,Ran Zhao,Yixi Zhao,Xiao Jin,Jing Lu,Xinyue Wang,Qiutao Wang,Longtao Liu,Min Wu

Frontiers in molecular neuroscience 17:1499591 PubMed39669439

2024

TMAO is involved in sleep deprivation-induced cognitive dysfunction through regulating astrocytic cholesterol metabolism via SREBP2.

Applications

Unspecified application

Species

Unspecified reactive species

Shan Zhu,Yue Wang,Yansong Li,Na Li,Yige Zheng,Qiao Li,Hongyan Guo,Jianyu Sun,Qian Zhai,Yaomin Zhu

BMC oral health 24:1455 PubMed39614243

2024

Fecal microbiota transplantation validates the importance of gut microbiota in an ApoE mouse model of chronic apical periodontitis-induced atherosclerosis.

Applications

Unspecified application

Species

Unspecified reactive species

Guowu Gan,Ren Zhang,Yu Zeng,Beibei Lu,Yufang Luo,Shuai Chen,Huaxiang Lei,Zhiyu Cai,Xiaojing Huang

The Journal of clinical investigation 134: PubMed39480513

2024

Flavin-containing monooxygenase 2 confers cardioprotection in ischemia models through its disulfide bond catalytic activity.

Applications

Unspecified application

Species

Unspecified reactive species

Qingnian Liu,Jiniu Huang,Hao Ding,Yue Tao,Jinliang Nan,Changchen Xiao,Yingchao Wang,Rongrong Wu,Cheng Ni,Zhiwei Zhong,Wei Zhu,Jinghai Chen,Chenyun Zhang,Xiao He,Danyang Xiong,Xinyang Hu,Jian'an Wang

Communications biology 7:1054 PubMed39191965

2024

Deficiency of flavin-containing monooxygenase 3 protects kidney function after ischemia-reperfusion in mice.

Applications

Unspecified application

Species

Unspecified reactive species

Jiawan Wang,Wei Wang,Jiandong Zhang,Fei Xiao,Zeya Li,Pengfei Xu,Haozhou Wang,Heng Du,Siqi Liu,Huili Li,Xuan Zhang,Siqi Chen,Zeyu Gao,Sheng Wang,Jun Wang,Moshi Song

Cardiovascular diabetology 23:299 PubMed39143579

2024

Interactions between the gut microbiome, associated metabolites and the manifestation and progression of heart failure with preserved ejection fraction in ZSF1 rats.

Applications

Unspecified application

Species

Unspecified reactive species

Salmina J Guivala,Konrad A Bode,Jürgen G Okun,Ece Kartal,Edzard Schwedhelm,Luca V Pohl,Sarah Werner,Sandra Erbs,Holger Thiele,Petra Büttner

Journal of translational medicine 22:352 PubMed38622667

2024

Quinic acid regulated TMA/TMAO-related lipid metabolism and vascular endothelial function through gut microbiota to inhibit atherosclerotic.

Applications

Unspecified application

Species

Unspecified reactive species

Qiao Jin,Chiyuan Zhang,Ran Chen,Luping Jiang,Hongli Li,Pengcui Wu,Liang Li

Nature communications 15:2526 PubMed38514666

2024

Trimethylamine N-oxide impairs β-cell function and glucose tolerance.

Applications

Unspecified application

Species

Unspecified reactive species

Lijuan Kong,Qijin Zhao,Xiaojing Jiang,Jinping Hu,Qian Jiang,Li Sheng,Xiaohong Peng,Shusen Wang,Yibing Chen,Yanjun Wan,Shaocong Hou,Xingfeng Liu,Chunxiao Ma,Yan Li,Li Quan,Liangyi Chen,Bing Cui,Pingping Li
View all publications

Product promise

We are committed to supporting your work with high-quality reagents, and we're here for you every step of the way. In the unlikely event that one of our products does not perform as expected, you're protected by our Product Promise.
For full details, please see our Terms & Conditions

Please note: All products are 'FOR RESEARCH USE ONLY. NOT FOR USE IN DIAGNOSTIC OR THERAPEUTIC PROCEDURES'.

For licensing inquiries, please contact partnerships@abcam.com