JavaScript is disabled in your browser. Please enable JavaScript to view this website.
AB204371

Anti-FNBP3 antibody

Be the first to review this product! Submit a review

|

(3 Publications)

Rabbit Polyclonal FNBP3 antibody. Suitable for IHC-P, WB, ICC/IF and reacts with Human samples. Cited in 3 publications. Immunogen corresponding to Recombinant Fragment Protein within Human PRPF40A aa 200-300.

View Alternative Names

FBP11, FLAF1, FNBP3, HIP10, HYPA, HSPC225, PRPF40A, Pre-mRNA-processing factor 40 homolog A, Fas ligand-associated factor 1, Formin-binding protein 11, Formin-binding protein 3, Huntingtin yeast partner A, Huntingtin-interacting protein 10, Huntingtin-interacting protein A, Renal carcinoma antigen NY-REN-6, HIP-10

3 Images
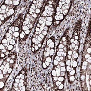
Immunohistochemistry (Formalin/PFA-fixed paraffin-embedded sections) - Anti-FNBP3 antibody (AB204371)
  • IHC-P

Supplier Data

Immunohistochemistry (Formalin/PFA-fixed paraffin-embedded sections) - Anti-FNBP3 antibody (AB204371)

Immunohistochemical analysis of paraffin-embedded Human rectum tissue labeling FNBP3 with ab204371 at 1/200 dilution.

Immunocytochemistry/ Immunofluorescence - Anti-FNBP3 antibody (AB204371)
  • ICC/IF

Supplier Data

Immunocytochemistry/ Immunofluorescence - Anti-FNBP3 antibody (AB204371)

Immunofluorescent analysis of PFA-fixed, Triton X-100 permeabilized U-2 OS cells labeling FNBP3 with ab204371 at 4 μg/mL (green).

Western blot - Anti-FNBP3 antibody (AB204371)
  • WB

Supplier Data

Western blot - Anti-FNBP3 antibody (AB204371)

All lanes:

Western blot - Anti-FNBP3 antibody (ab204371) at 0.4 µg/mL

Lane 1:

K562 (human chronic myelogenous leukemia cell line from bone marrow) whole cell lysate

Lane 2:

MCF7 (human breast adenocarcinoma cell line) whole cell lysate

Predicted band size: 109 kDa

false

Key facts

Host species

Rabbit

Clonality

Polyclonal

Isotype

IgG

Carrier free

No

Reacts with

Human

Applications

ICC/IF, WB, IHC-P

applications

Immunogen

Recombinant Fragment Protein within Human PRPF40A aa 200-300. The exact immunogen used to generate this antibody is proprietary information.

O75400

Reactivity data

{ "title": "Reactivity Data", "filters": { "stats": ["", "Species", "Dilution Info", "Notes"], "tabs": { "all-applications": {"fullname" : "All Applications", "shortname": "All Applications"}, "IHCP" : {"fullname" : "Immunohistochemistry (Formalin/PFA-fixed paraffin-embedded sections)", "shortname":"IHC-P"}, "WB" : {"fullname" : "Western blot", "shortname":"WB"}, "ICCIF" : {"fullname" : "Immunocytochemistry/ Immunofluorescence", "shortname":"ICC/IF"} }, "product-promise": { "all": "all", "testedAndGuaranteed": "tested", "guaranteed": "expected", "predicted": "predicted", "notRecommended": "not-recommended" } }, "values": { "Human": { "IHCP-species-checked": "testedAndGuaranteed", "IHCP-species-dilution-info": "1/200 - 1/500", "IHCP-species-notes": "<p></p> Perform heat-mediated antigen retrieval with citrate buffer pH 6 before commencing with IHC staining protocol.", "WB-species-checked": "testedAndGuaranteed", "WB-species-dilution-info": "0.04-0.4 µg/mL", "WB-species-notes": "<p></p>", "ICCIF-species-checked": "testedAndGuaranteed", "ICCIF-species-dilution-info": "0.25-2 µg/mL", "ICCIF-species-notes": "<p></p>" }, "Mouse": { "IHCP-species-checked": "predicted", "IHCP-species-dilution-info": "", "IHCP-species-notes": "", "WB-species-checked": "predicted", "WB-species-dilution-info": "", "WB-species-notes": "", "ICCIF-species-checked": "predicted", "ICCIF-species-dilution-info": "", "ICCIF-species-notes": "" }, "Rat": { "IHCP-species-checked": "predicted", "IHCP-species-dilution-info": "", "IHCP-species-notes": "", "WB-species-checked": "predicted", "WB-species-dilution-info": "", "WB-species-notes": "", "ICCIF-species-checked": "predicted", "ICCIF-species-dilution-info": "", "ICCIF-species-notes": "" } } }

Properties and storage information

Form
Liquid
Purification technique
Affinity purification Immunogen
Storage buffer
pH: 7.2 Preservative: 0.02% Sodium azide Constituents: PBS, 40% Glycerol (glycerin, glycerine)
Shipped at conditions
Blue Ice
Appropriate short-term storage duration
1-2 weeks
Appropriate short-term storage conditions
+4°C
Appropriate long-term storage conditions
-20°C
Aliquoting information
Upon delivery aliquot
Storage information
Avoid freeze / thaw cycle

Product protocols

For this product, it's our understanding that no specific protocols are required. You can visit:

Target data

Binds to WASL/N-WASP and suppresses its translocation from the nucleus to the cytoplasm, thereby inhibiting its cytoplasmic function (By similarity). Plays a role in the regulation of cell morphology and cytoskeletal organization. Required in the control of cell shape and migration. May play a role in cytokinesis. May be involved in pre-mRNA splicing.
See full target information PRPF40A

Publications (3)

Recent publications for all applications. Explore the full list and refine your search

Acta neuropathologica communications 13:142 PubMed40581690

2025

Impaired splicing machinery in craniopharyngiomas unveils PRPF8 and RAVER1 as novel biomarkers and therapeutic targets.

Applications

Unspecified application

Species

Unspecified reactive species

Antonio C Fuentes-Fayos,Miguel E G-García,Teresa Sánchez-Medianero,John Apps,Álvaro Flores-Martínez,Ana S De la Rosa-Herencia,Ignacio Gil-Duque,Georg Otto,Eva Venegas-Moreno,Eugenio Cárdenas Ruiz-Valdepeñas,Aura D Herrera-Martínez,Juan Solivera,Manuel D Gahete,David A Cano,Rosa Ortega,Alfonso Soto-Moreno,María A Gálvez-Moreno,Juan Pedro Martínez-Barberá,Raúl M Luque

Oncology letters 26:428 PubMed37664660

2023

Multiple synchronous primary malignant neoplasms: A case report and literature review.

Applications

Unspecified application

Species

Unspecified reactive species

Linlin Hao,Lihui Zhang,Chuanjie Xu,Min Jiang,Geyi Zhu,Jie Guo

OncoTargets and therapy 12:5037-5051 PubMed31303762

2019

PRPF40A as a potential diagnostic and prognostic marker is upregulated in pancreatic cancer tissues and cell lines: an integrated bioinformatics data analysis.

Applications

Unspecified application

Species

Unspecified reactive species

Zhen Huo,Shuyu Zhai,Yuanchi Weng,Hao Qian,Xiaomei Tang,Yusheng Shi,Xiaxing Deng,Yue Wang,Baiyong Shen
View all publications

Product promise

We are committed to supporting your work with high-quality reagents, and we're here for you every step of the way. In the unlikely event that one of our products does not perform as expected, you're protected by our Product Promise.
For full details, please see our Terms & Conditions

Please note: All products are 'FOR RESEARCH USE ONLY. NOT FOR USE IN DIAGNOSTIC OR THERAPEUTIC PROCEDURES'.

For licensing inquiries, please contact partnerships@abcam.com