JavaScript is disabled in your browser. Please enable JavaScript to view this website.
AB236649

Anti-FNTB antibody

Be the first to review this product! Submit a review

|

(1 Publication)

Rabbit Polyclonal FNTB antibody. Suitable for IP, WB, IHC-P, ICC/IF and reacts with Human samples. Cited in 1 publication. Immunogen corresponding to Recombinant Fragment Protein within Human Protein farnesyltransferase subunit beta aa 1-300.

View Alternative Names

Protein farnesyltransferase subunit beta, FTase-beta, CAAX farnesyltransferase subunit beta, Ras proteins prenyltransferase subunit beta, FNTB

4 Images
Immunohistochemistry (Formalin/PFA-fixed paraffin-embedded sections) - Anti-FNTB antibody (AB236649)
  • IHC-P

Supplier Data

Immunohistochemistry (Formalin/PFA-fixed paraffin-embedded sections) - Anti-FNTB antibody (AB236649)

HepG2 (human liver hepatocellular carcinoma cell line) cells stained for FNTB (green) using ab236649 at 1/100 dilution in ICC/IF, followed by Alexa Fluor 488® conjugated Goat Anti-Rabbit IgG (H+L).

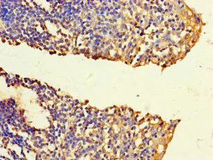
Immunohistochemistry (Formalin/PFA-fixed paraffin-embedded sections) - Anti-FNTB antibody (AB236649)
  • IHC-P

Supplier Data

Immunohistochemistry (Formalin/PFA-fixed paraffin-embedded sections) - Anti-FNTB antibody (AB236649)

Paraffin-embedded human tonsil tissue stained for FNTB using ab236649 at 1/100 dilution in immunohistochemical analysis.

Immunoprecipitation - Anti-FNTB antibody (AB236649)
  • IP

Supplier Data

Immunoprecipitation - Anti-FNTB antibody (AB236649)

FNTB was immunoprecipitated from 500 μg HepG2 (human liver hepatocellular carcinoma cell line) whole cell lysate with ab236649 at 1/200 dilution.

Lane 1 : Rabbit control IgG IP in HepG2 whole cell lysate.

Lane 2 : ab236649 IP in HepG2 whole cell lysate.

Lane 3 : HepG2 whole cell lysate 10 μg (Input).

For western blotting, an HRP-conjugated Protein G antibody was used as the secondary antibody at 1/2000 dilution.

All lanes:

Immunoprecipitation - Anti-FNTB antibody (ab236649)

Predicted band size: 49 kDa

false

Western blot - Anti-FNTB antibody (AB236649)
  • WB

Supplier Data

Western blot - Anti-FNTB antibody (AB236649)

All lanes:

Western blot - Anti-FNTB antibody (ab236649) at 1/500 dilution

Lane 1:

HeLa (human epithelial cell line from cervix adenocarcinoma) whole cell lysate

Lane 2:

CEM whole cell lysate

Lane 3:

HepG2 (human liver hepatocellular carcinoma cell line) whole cell lysate

Lane 4:

SH-SY5Y (human neuroblastoma cell line from bone marrow) whole cell lysate

Lane 5:

U-87 MG (human glioblastoma-astrocytoma epithelial cell line) whole cell lysate

Lane 6:

A-375 (human malignant melanoma cell line) whole cell lysate

Lane 7:

A549 (human lung carcinoma cell line) whole cell lysate

Secondary

All lanes:

Goat polyclonal to rabbit IgG at 1/50000 dilution

Predicted band size: 49 kDa

false

Key facts

Host species

Rabbit

Clonality

Polyclonal

Isotype

IgG

Carrier free

No

Reacts with

Human

Applications

WB, IP, ICC/IF, IHC-P

applications

Immunogen

Recombinant Fragment Protein within Human Protein farnesyltransferase subunit beta aa 1-300. The exact immunogen used to generate this antibody is proprietary information.

P49356

Reactivity data

{ "title": "Reactivity Data", "filters": { "stats": ["", "Species", "Dilution Info", "Notes"], "tabs": { "all-applications": {"fullname" : "All Applications", "shortname": "All Applications"}, "IP" : {"fullname" : "Immunoprecipitation", "shortname":"IP"}, "WB" : {"fullname" : "Western blot", "shortname":"WB"}, "IHCP" : {"fullname" : "Immunohistochemistry (Formalin/PFA-fixed paraffin-embedded sections)", "shortname":"IHC-P"}, "ICCIF" : {"fullname" : "Immunocytochemistry/ Immunofluorescence", "shortname":"ICC/IF"} }, "product-promise": { "all": "all", "testedAndGuaranteed": "tested", "guaranteed": "expected", "predicted": "predicted", "notRecommended": "not-recommended" } }, "values": { "Human": { "IP-species-checked": "testedAndGuaranteed", "IP-species-dilution-info": "1/200 - 1/2000", "IP-species-notes": "<p></p>", "WB-species-checked": "testedAndGuaranteed", "WB-species-dilution-info": "1/500 - 1/5000", "WB-species-notes": "<p></p>", "IHCP-species-checked": "testedAndGuaranteed", "IHCP-species-dilution-info": "1/20 - 1/200", "IHCP-species-notes": "<p></p>", "ICCIF-species-checked": "testedAndGuaranteed", "ICCIF-species-dilution-info": "1/50 - 1/200", "ICCIF-species-notes": "<p></p>" } } }

Properties and storage information

Form
Liquid
Purification technique
Affinity purification Protein G
Purification notes
Purity >95%.
Storage buffer
pH: 7.4 Preservative: 0.03% Proclin 300 Constituents: PBS, 50% Glycerol (glycerin, glycerine)
Shipped at conditions
Blue Ice
Appropriate short-term storage duration
1-2 weeks
Appropriate short-term storage conditions
+4°C
Appropriate long-term storage conditions
-20°C
Aliquoting information
Upon delivery aliquot
Storage information
Avoid freeze / thaw cycle

Product protocols

For this product, it's our understanding that no specific protocols are required. You can visit:

Target data

Essential subunit of the farnesyltransferase complex. Catalyzes the transfer of a farnesyl moiety from farnesyl diphosphate to a cysteine at the fourth position from the C-terminus of several proteins having the C-terminal sequence Cys-aliphatic-aliphatic-X.
See full target information Protein farnesyltransferase subunit beta

Publications (1)

Recent publications for all applications. Explore the full list and refine your search

International journal of biological sciences 19:3816-3829 PubMed37564211

2023

FIBP interacts with transcription factor STAT3 to induce EME1 expression and drive radioresistance in lung adenocarcinoma.

Applications

Unspecified application

Species

Unspecified reactive species

Yunhong Xu,Jun Li,Kuikui Zhu,Yulan Zeng,Jing Chen,Xiaorong Dong,Sheng Zhang,Shuangbing Xu,Gang Wu
View all publications

Product promise

We are committed to supporting your work with high-quality reagents, and we're here for you every step of the way. In the unlikely event that one of our products does not perform as expected, you're protected by our Product Promise.
For full details, please see our Terms & Conditions

Please note: All products are 'FOR RESEARCH USE ONLY. NOT FOR USE IN DIAGNOSTIC OR THERAPEUTIC PROCEDURES'.

For licensing inquiries, please contact partnerships@abcam.com