JavaScript is disabled in your browser. Please enable JavaScript to view this website.
AB109625

Anti-FNTB antibody [EPR4707]

Be the first to review this product! Submit a review

|

(4 Publications)

Rabbit Recombinant Monoclonal FNTB antibody. Suitable for IHC-P, WB and reacts with Human samples. Cited in 4 publications.

View Alternative Names

Protein farnesyltransferase subunit beta, FTase-beta, CAAX farnesyltransferase subunit beta, Ras proteins prenyltransferase subunit beta, FNTB

2 Images
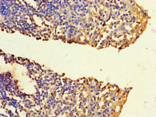
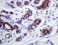
Immunohistochemistry (Formalin/PFA-fixed paraffin-embedded sections) - Anti-FNTB antibody [EPR4707] (AB109625)
  • IHC-P

Unknown

Immunohistochemistry (Formalin/PFA-fixed paraffin-embedded sections) - Anti-FNTB antibody [EPR4707] (AB109625)

Immunohistochemical analysis of paraffin-embedded Human breast tissue using ab109625 at 1/100 dilution.

Perform heat mediated antigen retrieval with citrate buffer pH 6 before commencing with IHC staining protocol.

Western blot - Anti-FNTB antibody [EPR4707] (AB109625)
  • WB

Unknown

Western blot - Anti-FNTB antibody [EPR4707] (AB109625)

All lanes:

Western blot - Anti-FNTB antibody [EPR4707] (ab109625) at 1/10000 dilution

Lane 1:

JAR cell lysate at 10 µg

Lane 2:

A431 cell lysate at 10 µg

Lane 3:

U87-MG cell lysate at 10 µg

Lane 4:

A375 cell lysate at 10 µg

Secondary

All lanes:

HRP labelled Goat anti-Rabbit at 1/2000 dilution

Predicted band size: 49 kDa

false

Key facts

Host species

Rabbit

Clonality

Monoclonal

Clone number

EPR4707

Isotype

IgG

Carrier free

No

Reacts with

Human

Applications

IHC-P, WB

applications

Immunogen

The exact immunogen used to generate this antibody is proprietary information.

Reactivity data

{ "title": "Reactivity Data", "filters": { "stats": ["", "Species", "Dilution Info", "Notes"], "tabs": { "all-applications": {"fullname" : "All Applications", "shortname": "All Applications"}, "IHCP" : {"fullname" : "Immunohistochemistry (Formalin/PFA-fixed paraffin-embedded sections)", "shortname":"IHC-P"}, "ICCIF" : {"fullname" : "Immunocytochemistry/ Immunofluorescence", "shortname":"ICC/IF"}, "WB" : {"fullname" : "Western blot", "shortname":"WB"} }, "product-promise": { "all": "all", "testedAndGuaranteed": "tested", "guaranteed": "expected", "predicted": "predicted", "notRecommended": "not-recommended" } }, "values": { "Human": { "IHCP-species-checked": "testedAndGuaranteed", "IHCP-species-dilution-info": "1/100 - 1/250", "IHCP-species-notes": "<p></p>", "ICCIF-species-checked": "notRecommended", "ICCIF-species-dilution-info": "", "ICCIF-species-notes": "<p></p>", "WB-species-checked": "testedAndGuaranteed", "WB-species-dilution-info": "1/10000 - 1/50000", "WB-species-notes": "<p></p>" } } }

Product details

Species reactivity
Mouse, Rat: We have preliminary internal testing data to indicate this antibody may not react with these species.
Please contact us for more information.

Patented technology
Our RabMAb® technology is a patented hybridoma-based technology for making rabbit monoclonal antibodies. For details on our patents, please refer to RabMAb® patents.

What are the advantages of a recombinant monoclonal antibody?
This product is a recombinant monoclonal antibody, which offers several advantages including:

  • - High batch-to-batch consistency and reproducibility
  • - Improved sensitivity and specificity
  • - Long-term security of supply
  • - Animal-free batch production

For more information, read more on recombinant antibodies.

Properties and storage information

Form
Liquid
Purification technique
Affinity purification Protein A
Storage buffer
pH: 7.2 - 7.4 Preservative: 0.05% Sodium azide Constituents: 50% Tissue culture supernatant, 40% Glycerol (glycerin, glycerine), 9.85% Tris glycine, 0.1% BSA
Shipped at conditions
Blue Ice
Appropriate short-term storage conditions
+4°C
Appropriate long-term storage conditions
-20°C
Storage information
Stable for 12 months at -20°C

Product protocols

For this product, it's our understanding that no specific protocols are required. You can visit:

Target data

Essential subunit of the farnesyltransferase complex. Catalyzes the transfer of a farnesyl moiety from farnesyl diphosphate to a cysteine at the fourth position from the C-terminus of several proteins having the C-terminal sequence Cys-aliphatic-aliphatic-X.
See full target information Protein farnesyltransferase subunit beta

Publications (4)

Recent publications for all applications. Explore the full list and refine your search

Methods in molecular biology (Clifton, N.J.) 2579:73-86 PubMed36045199

2022

Cell Synchronization Techniques for Studying Mitosis.

Applications

Unspecified application

Species

Unspecified reactive species

Joanne D Hadfield,Sargun Sokhi,Gordon K Chan

British journal of cancer 123:1749-1756 PubMed32968206

2020

CRISPR/Cas9 genome-wide loss-of-function screening identifies druggable cellular factors involved in sunitinib resistance in renal cell carcinoma.

Applications

Unspecified application

Species

Unspecified reactive species

Peter Makhov,Ji A Sohn,Ilya G Serebriiskii,Rushaniya Fazliyeva,Vladimir Khazak,Yanis Boumber,Robert G Uzzo,Vladimir M Kolenko

Translational psychiatry 10:3 PubMed32066669

2020

Protein expression of prenyltransferase subunits in postmortem schizophrenia dorsolateral prefrontal cortex.

Applications

Unspecified application

Species

Unspecified reactive species

Anita L Pinner,Toni M Mueller,Khaled Alganem,Robert McCullumsmith,James H Meador-Woodruff

Nature communications 9:1524 PubMed29670091

2018

Inhibition of the mevalonate pathway enhances cancer cell oncolysis mediated by M1 virus.

Applications

Unspecified application

Species

Unspecified reactive species

Jiankai Liang,Li Guo,Kai Li,Xiao Xiao,Wenbo Zhu,Xiaoke Zheng,Jun Hu,Haipeng Zhang,Jing Cai,Yaya Yu,Yaqian Tan,Chuntao Li,Xincheng Liu,Cheng Hu,Ying Liu,Pengxin Qiu,Xingwen Su,Songmin He,Yuan Lin,Guangmei Yan
View all publications

Product promise

We are committed to supporting your work with high-quality reagents, and we're here for you every step of the way. In the unlikely event that one of our products does not perform as expected, you're protected by our Product Promise.
For full details, please see our Terms & Conditions

Please note: All products are 'FOR RESEARCH USE ONLY. NOT FOR USE IN DIAGNOSTIC OR THERAPEUTIC PROCEDURES'.

For licensing inquiries, please contact partnerships@abcam.com