JavaScript is disabled in your browser. Please enable JavaScript to view this website.
AB84876

Anti-FOG1 antibody

Be the first to review this product! Submit a review

|

(1 Publication)

Rabbit Polyclonal FOG1 antibody. Suitable for IHC-P and reacts with Human samples. Cited in 1 publication. Immunogen corresponding to Synthetic Peptide within Human ZFPM1 aa 150-250.

View Alternative Names

FOG1, ZFN89A, ZFPM1, Zinc finger protein ZFPM1, Friend of GATA protein 1, Zinc finger protein 89A, Zinc finger protein multitype 1, FOG-1, Friend of GATA 1

2 Images
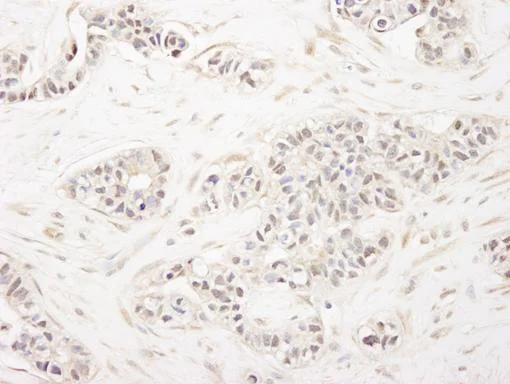
Immunohistochemistry (Formalin/PFA-fixed paraffin-embedded sections) - Anti-FOG1 antibody (AB84876)
  • IHC-P

Unknown

Immunohistochemistry (Formalin/PFA-fixed paraffin-embedded sections) - Anti-FOG1 antibody (AB84876)

Detection of Human FOG1 in formalin-fixed paraffin-embedded section of human breast carcinoma by Immunohistochemistry using ab84876 at a dilution of 1 : 250. Detection : DAB staining.

Immunohistochemistry (Formalin/PFA-fixed paraffin-embedded sections) - Anti-FOG1 antibody (AB84876)
  • IHC-P

Unknown

Immunohistochemistry (Formalin/PFA-fixed paraffin-embedded sections) - Anti-FOG1 antibody (AB84876)

Detection of Human FOG1 in formalin-fixed paraffin-embedded section of human Hodgkin's Lymphoma by Immunohistochemistry using ab84876 at a dilution of 1 : 250. Detection : DAB staining.

Key facts

Host species

Rabbit

Clonality

Polyclonal

Isotype

IgG

Carrier free

No

Reacts with

Human

Applications

IHC-P

applications

Immunogen

Synthetic Peptide within Human ZFPM1 aa 150-250. The exact immunogen used to generate this antibody is proprietary information.

Q8IX07

Reactivity data

{ "title": "Reactivity Data", "filters": { "stats": ["", "Species", "Dilution Info", "Notes"], "tabs": { "all-applications": {"fullname" : "All Applications", "shortname": "All Applications"}, "IHCP" : {"fullname" : "Immunohistochemistry (Formalin/PFA-fixed paraffin-embedded sections)", "shortname":"IHC-P"} }, "product-promise": { "all": "all", "testedAndGuaranteed": "tested", "guaranteed": "expected", "predicted": "predicted", "notRecommended": "not-recommended" } }, "values": { "Human": { "IHCP-species-checked": "testedAndGuaranteed", "IHCP-species-dilution-info": "1/100 - 1/500", "IHCP-species-notes": "<p></p>" }, "Chimpanzee": { "IHCP-species-checked": "predicted", "IHCP-species-dilution-info": "", "IHCP-species-notes": "" }, "Gorilla": { "IHCP-species-checked": "predicted", "IHCP-species-dilution-info": "", "IHCP-species-notes": "" } } }

Properties and storage information

Form
Liquid
Purification technique
Affinity purification Immunogen
Purification notes
Purified using an epitope specific to FOG1 immobilized on solidsupport.
Storage buffer
pH: 6.8 - 7.4 Preservative: 0.09% Sodium azide Constituents: Tris buffered saline, 0.1% BSA
Shipped at conditions
Blue Ice
Appropriate short-term storage conditions
+4°C
Appropriate long-term storage conditions
-20°C
Aliquoting information
Upon delivery aliquot
Storage information
Avoid freeze / thaw cycle

Supplementary information

This supplementary information is collated from multiple sources and compiled automatically.

The FOG1 protein also known as Friend of GATA-1 interacts with transcription factors to regulate gene expression. It is about 134 kDa in size and is a zinc finger protein. FOG1 is primarily found in hematopoietic tissues where it plays a significant role in blood cell development. Its expression is closely linked to tissues involved in blood generation and maintenance highlighting its importance in hematopoiesis.
Biological function summary

FOG1 assists in the differentiation and maturation of erythroid and megakaryocytic cells. This protein acts as a co-repressor in conjunction with GATA transcription factors forming a regulatory complex essential for efficient gene regulation. By influencing gene expression in progenitor cells FOG1 supports the formation of functional red blood cells and platelets. It exhibits a significant impact on the blood lineage differentiation process by ensuring the appropriate expression of specific genetic programs.

Pathways

FOG1 plays a role in the hematopoietic pathway and the erythropoiesis process. In these pathways its interaction with GATA-1 is important for directing the transcriptional activity required for blood cell development. Additionally FOG1 modulates the interactions between GATA-1 and other proteins such as LMO2 facilitating proper cell lineage decisions within these pathways. This dynamic helps maintain the balance necessary for normal proliferation and differentiation in blood formation.

Abnormalities in FOG1 relate to anemia and myelodysplastic syndromes. Dysfunctional FOG1 activity can lead to improper blood cell maturation and imbalances in blood components contributing to these conditions. Its interaction with GATA-1 and LMO2 is especially key in pathogenesis where disruptions can result in dysregulated gene expression and disease progression. Understanding FOG1's role in these diseases offers potential for targeted therapeutic strategies.

Product protocols

For this product, it's our understanding that no specific protocols are required. You can visit:

Target data

Transcription regulator that plays an essential role in erythroid and megakaryocytic cell differentiation. Essential cofactor that acts via the formation of a heterodimer with transcription factors of the GATA family GATA1, GATA2 and GATA3. Such heterodimer can both activate or repress transcriptional activity, depending on the cell and promoter context. The heterodimer formed with GATA proteins is essential to activate expression of genes such as NFE2, ITGA2B, alpha- and beta-globin, while it represses expression of KLF1. May be involved in regulation of some genes in gonads. May also be involved in cardiac development, in a non-redundant way with ZFPM2/FOG2 (By similarity).
See full target information ZFPM1

Publications (1)

Recent publications for all applications. Explore the full list and refine your search

Journal of gastroenterology and hepatology 33:1407-1412 PubMed29278438

2018

Role of heat shock factor 1 expression in the microenvironment of intrahepatic cholangiocarcinomas.

Applications

Unspecified application

Species

Unspecified reactive species

Yoichiro Kawashita,Yuji Morine,Yu Saito,Chie Takasu,Tetsuya Ikemoto,Shuichi Iwahashi,Hiroki Teraoku,Masato Yoshikawa,Satoru Imura,Toshiyuki Yagi,Mitsuo Shimada
View all publications

Product promise

We are committed to supporting your work with high-quality reagents, and we're here for you every step of the way. In the unlikely event that one of our products does not perform as expected, you're protected by our Product Promise.
For full details, please see our Terms & Conditions

Please note: All products are 'FOR RESEARCH USE ONLY. NOT FOR USE IN DIAGNOSTIC OR THERAPEUTIC PROCEDURES'.

For licensing inquiries, please contact partnerships@abcam.com