JavaScript is disabled in your browser. Please enable JavaScript to view this website.
AB230469

Anti-Folate Binding Protein/FBP antibody

5

(5 Reviews)

|

(2 Publications)

Rabbit Polyclonal Folate Binding Protein/FBP antibody. Suitable for WB, IHC-P, Flow Cyt (Intra) and reacts with Human samples. Cited in 2 publications. Immunogen corresponding to Synthetic Peptide within Human FOLR1 aa 1-100 conjugated to Keyhole Limpet Haemocyanin.

View Alternative Names

FOLR, FOLR1, Folate receptor alpha, FR-alpha, Adult folate-binding protein, Folate receptor 1, KB cells FBP, Ovarian tumor-associated antigen MOv18, FBP

4 Images
Immunohistochemistry (Formalin/PFA-fixed paraffin-embedded sections) - Anti-Folate Binding Protein/FBP antibody (AB230469)
  • IHC-P

Supplier Data

Immunohistochemistry (Formalin/PFA-fixed paraffin-embedded sections) - Anti-Folate Binding Protein/FBP antibody (AB230469)

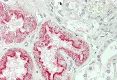
Formalin-fixed, paraffin-embedded human kidney tissue stained for Folate Binding Protein/FBP antibody using ab230469 at 1/10 dilution in immunohistochemical analysis.

Western blot - Anti-Folate Binding Protein/FBP antibody (AB230469)
  • WB

Supplier Data

Western blot - Anti-Folate Binding Protein/FBP antibody (AB230469)

All lanes:

Western blot - Anti-Folate Binding Protein/FBP antibody (ab230469) at 1/1000 dilution

All lanes:

HeLa (human epithelial cell line from cervix adenocarcinoma) whole cell lysate at 35 µg

Secondary

All lanes:

goat anti-rabbit IgG H&L(HRP) at 1/5000 dilution

Predicted band size: 30 kDa

true

Flow Cytometry (Intracellular) - Anti-Folate Binding Protein/FBP antibody (AB230469)
  • Flow Cyt (Intra)

Supplier Data

Flow Cytometry (Intracellular) - Anti-Folate Binding Protein/FBP antibody (AB230469)

Intracellular flow cytometric analysis of HeLA (human epithelial cell line from cervix adenocarcinoma) cells labeling Folate Binding Protein/FBP with ab230469at 1/10 dilution (green) compared with a negative control (blue).

FITC-conjugated goat-anti-rabbit secondary antibodies were used for the analysis.

Immunohistochemistry (Formalin/PFA-fixed paraffin-embedded sections) - Anti-Folate Binding Protein/FBP antibody (AB230469)
  • IHC-P

Supplier Data

Immunohistochemistry (Formalin/PFA-fixed paraffin-embedded sections) - Anti-Folate Binding Protein/FBP antibody (AB230469)

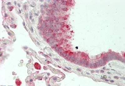
Formalin-fixed, paraffin-embedded human lung tissue stained for Folate Binding Protein/FBP antibody using ab230469 at 1/10 dilution in immunohistochemical analysis.

Key facts

Host species

Rabbit

Clonality

Polyclonal

Isotype

IgG

Carrier free

No

Reacts with

Human

Applications

WB, Flow Cyt (Intra), IHC-P

applications

Immunogen

Synthetic Peptide within Human FOLR1 aa 1-100 conjugated to Keyhole Limpet Haemocyanin. The exact immunogen used to generate this antibody is proprietary information.

P15328

Reactivity data

{ "title": "Reactivity Data", "filters": { "stats": ["", "Species", "Dilution Info", "Notes"], "tabs": { "all-applications": {"fullname" : "All Applications", "shortname": "All Applications"}, "WB" : {"fullname" : "Western blot", "shortname":"WB"}, "IHCP" : {"fullname" : "Immunohistochemistry (Formalin/PFA-fixed paraffin-embedded sections)", "shortname":"IHC-P"}, "FlowCytIntra" : {"fullname" : "Flow Cytometry (Intracellular)", "shortname":"Flow Cyt (Intra)"} }, "product-promise": { "all": "all", "testedAndGuaranteed": "tested", "guaranteed": "expected", "predicted": "predicted", "notRecommended": "not-recommended" } }, "values": { "Human": { "WB-species-checked": "testedAndGuaranteed", "WB-species-dilution-info": "1/1000", "WB-species-notes": "<p></p>", "IHCP-species-checked": "testedAndGuaranteed", "IHCP-species-dilution-info": "1/10 - 1/100", "IHCP-species-notes": "<p></p>", "FlowCytIntra-species-checked": "testedAndGuaranteed", "FlowCytIntra-species-dilution-info": "", "FlowCytIntra-species-notes": "<p></p>" } } }

Properties and storage information

Form
Liquid
Purification technique
Affinity purification Protein A
Storage buffer
pH: 7.4 Preservative: 0.09% Sodium azide Constituents: PBS
Shipped at conditions
Blue Ice
Appropriate short-term storage duration
1-2 weeks
Appropriate short-term storage conditions
+4°C
Appropriate long-term storage conditions
-20°C
Aliquoting information
Upon delivery aliquot
Storage information
Avoid freeze / thaw cycle

Supplementary information

This supplementary information is collated from multiple sources and compiled automatically.

Folate Binding Protein (FBP) also known as FolR1 protein or FOLR-1 is a significant protein with a mass of about 32-38 kDa. It binds folate with high affinity and facilitates its transport into the cell. FBP can be found in various tissues with notable expression in the placenta kidney and certain epithelial tissues. The protein mediates folate uptake by capturing folates in the extracellular matrix and channeling them through receptor-mediated endocytosis.
Biological function summary

FBP plays a critical role in cellular growth and replication by ensuring sufficient folate supply. It belongs to a family of receptors not forming part of a larger protein complex. FBP's primary function is delivering folate an important B vitamin which acts as a one-carbon donor in DNA synthesis and repair. Optimal folate transport by FBP supports cellular functions particularly in rapidly dividing cells.

Pathways

FBP significantly contributes to the folate-mediated one-carbon metabolic pathway critical for nucleotide biosynthesis. This pathway interconnects with the homocysteine remethylation cycle. FBP associates with other enzymes such as dihydrofolate reductase (DHFR) and methylenetetrahydrofolate reductase (MTHFR) which also play key roles in these pathways. These interactions ensure efficient folate metabolism and maintenance of normal cellular functions.

FBP's relation to cancer and neural tube defects is well documented. Overexpression of FBP has been observed in various cancers including ovarian and breast cancer which indicates its potential role in tumor progression. In neural tube defects altered folate transport due to variations in FBP expression impacts neural development. FBP connects to other markers like HER2 in cancer which may form part of a therapeutic target strategy.

Product protocols

For this product, it's our understanding that no specific protocols are required. You can visit:

Target data

Binds to folate and reduced folic acid derivatives and mediates delivery of 5-methyltetrahydrofolate and folate analogs into the interior of cells (PubMed : 19074442, PubMed : 23851396, PubMed : 23934049, PubMed : 2527252, PubMed : 8033114, PubMed : 8567728). Has high affinity for folate and folic acid analogs at neutral pH (PubMed : 23851396, PubMed : 23934049, PubMed : 2527252, PubMed : 8033114, PubMed : 8567728). Exposure to slightly acidic pH after receptor endocytosis triggers a conformation change that strongly reduces its affinity for folates and mediates their release (PubMed : 8567728). Required for normal embryonic development and normal cell proliferation (By similarity).
See full target information FOLR1

Publications (2)

Recent publications for all applications. Explore the full list and refine your search

International journal of nanomedicine 19:3009-3029 PubMed38562610

2024

Preclinical Efficacy of Cabazitaxel Loaded Poly(2-alkyl cyanoacrylate) Nanoparticle Variants.

Applications

Unspecified application

Species

Unspecified reactive species

Remya Valsalakumari,Abhilash D Pandya,Lina Prasmickaite,Audun Kvalvaag,Anne Grethe Myrann,Andreas K O Åslund,Marianne Steinsvik Kjos,Cristina Fontecha-Cuenca,Hajira B Haroon,Ana R S Ribeiro,Jutta Horejs-Hoeck,S Moein Moghimi,Ýrr Mørch,Tore Skotland,Kirsten Sandvig,Gunhild Mari Mælandsmo,Tore Geir Iversen

BMC cancer 21:782 PubMed34229645

2021

LINC01287 facilitates proliferation, migration, invasion and EMT of colon cancer cells via miR-4500/MAP3K13 pathway.

Applications

Unspecified application

Species

Unspecified reactive species

Dazhi Fu,Yongjun Ren,Chunxiao Wang,Lei Yu,Rui Yu
View all publications

Product promise

We are committed to supporting your work with high-quality reagents, and we're here for you every step of the way. In the unlikely event that one of our products does not perform as expected, you're protected by our Product Promise.
For full details, please see our Terms & Conditions

Please note: All products are 'FOR RESEARCH USE ONLY. NOT FOR USE IN DIAGNOSTIC OR THERAPEUTIC PROCEDURES'.

For licensing inquiries, please contact partnerships@abcam.com