JavaScript is disabled in your browser. Please enable JavaScript to view this website.
AB221543

Anti-Folate Binding Protein/FBP antibody [EPR20277]

Be the first to review this product! Submit a review

|

(10 Publications)

Anti-Folate Binding Protein/FBP antibody [EPR20277] (ab221543) is a rabbit monoclonal antibody detecting Folate Binding Protein/FBP in Western Blot, IHC-P. Suitable for Human, Mouse, Rat.

- KO validated for confirmed specificity
- Biophysical QC for unrivalled batch-batch consistency

View Alternative Names

FOLR, FOLR1, Folate receptor alpha, FR-alpha, Adult folate-binding protein, Folate receptor 1, KB cells FBP, Ovarian tumor-associated antigen MOv18, FBP

11 Images
Immunohistochemistry (Formalin/PFA-fixed paraffin-embedded sections) - Anti-Folate Binding Protein/FBP antibody [EPR20277] (AB221543)
  • IHC-P

Supplier Data

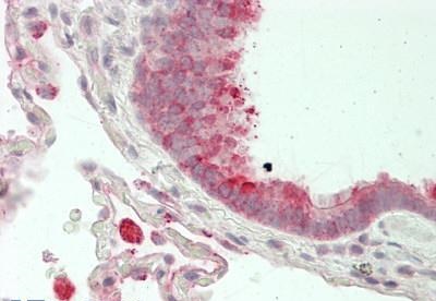
Immunohistochemistry (Formalin/PFA-fixed paraffin-embedded sections) - Anti-Folate Binding Protein/FBP antibody [EPR20277] (AB221543)

Immunohistochemical analysis of paraffin-embedded human lung cancer tissue labeling Folate Binding Protein/FBP with ab221543 at 1/1000 dilution, followed by Goat Anti-Rabbit IgG H&L (HRP) (ab97501, ready to use). Cytoplasmic staining on tumor cells of human lung cancer (PMID : 22204844). Counter stained with Hematoxylin.
Secondary antibody only control : Used PBS instead of primary antibody, secondary antibody is Goat Anti-Rabbit IgG H&L (HRP) (ab97501, ready to use).

Perform heat mediated antigen retrieval with Tris/EDTA buffer pH 9.0 before commencing with IHC staining protocol.

Immunohistochemistry (Formalin/PFA-fixed paraffin-embedded sections) - Anti-Folate Binding Protein/FBP antibody [EPR20277] (AB221543)
  • IHC-P

Lab

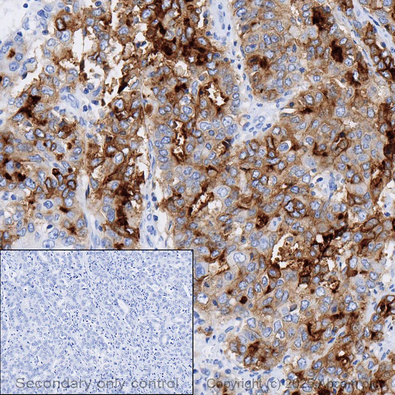
Immunohistochemistry (Formalin/PFA-fixed paraffin-embedded sections) - Anti-Folate Binding Protein/FBP antibody [EPR20277] (AB221543)

Immunohistochemical analysis of formalin fixed paraffin embedded human cervical carcinoma labelling Folate Binding Protein with ab221543 at a concentration of 0.1µg/ml. The immunostaining was performed on a Ventana DISCOVERY ULTRA (Roche Tissue Diagnostics) instrument with a OptiView DAB IHC Detection Kit. Heat mediated antigen retrieval was performed with DISCOVERY cell conditioning solution (CC1) 100°C, pH8.5 for 32 mins. ab221543 Anti-Folate Binding Protein/FBP antibody [EPR20277] was incubated for 16 mins at 37°C. Sections were counterstained with Hematoxylin II. Image inset shows absence of staining in secondary antibody only control.

Customers are encouraged to optimise antigen retrieval conditions, antibody concentration, incubation times and temperature for best results in their own IHC assay workflow (automated and manual).

Immunohistochemistry (Formalin/PFA-fixed paraffin-embedded sections) - Anti-Folate Binding Protein/FBP antibody [EPR20277] (AB221543)
  • IHC-P

Supplier Data

Immunohistochemistry (Formalin/PFA-fixed paraffin-embedded sections) - Anti-Folate Binding Protein/FBP antibody [EPR20277] (AB221543)

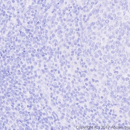
Negative control :

Immunohistochemical analysis of paraffin-embedded human tonsil tissue labeling Folate Binding Protein/FBP with ab221543 at 1/1000 dilution, followed by Goat Anti-Rabbit IgG H&L (HRP) (ab97501, ready to use). No staining on human tonsil (PMID : 22547449). Counter stained with Hematoxylin.

Perform heat mediated antigen retrieval with Tris/EDTA buffer pH 9.0 before commencing with IHC staining protocol.

Immunohistochemistry (Formalin/PFA-fixed paraffin-embedded sections) - Anti-Folate Binding Protein/FBP antibody [EPR20277] (AB221543)
  • IHC-P

Supplier Data

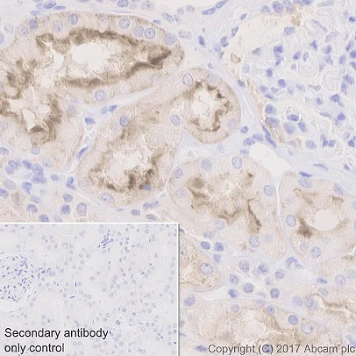
Immunohistochemistry (Formalin/PFA-fixed paraffin-embedded sections) - Anti-Folate Binding Protein/FBP antibody [EPR20277] (AB221543)

Immunohistochemical analysis of paraffin-embedded human kidney tissue labeling Folate Binding Protein/FBP with ab221543 at 1/1000 dilution, followed by Goat Anti-Rabbit IgG H&L (HRP) (ab97051, ready to use). Cytoplasmic staining on human kidney (PMID : 22204844). Counter stained with Hematoxylin.
Secondary antibody only control : Used PBS instead of primary antibody, secondary antibody is Goat Anti-Rabbit IgG H&L (HRP) (ab97051, ready to use).

Perform heat mediated antigen retrieval with Tris/EDTA buffer pH 9.0 before commencing with IHC staining protocol.

Immunohistochemistry (Formalin/PFA-fixed paraffin-embedded sections) - Anti-Folate Binding Protein/FBP antibody [EPR20277] (AB221543)
  • IHC-P

Supplier Data

Immunohistochemistry (Formalin/PFA-fixed paraffin-embedded sections) - Anti-Folate Binding Protein/FBP antibody [EPR20277] (AB221543)

Immunohistochemical analysis of paraffin-embedded human ovarian cancer tissue labeling Folate Binding Protein/FBP with ab221543 at 1/1000 dilution, followed by Goat Anti-Rabbit IgG H&L (HRP) (ab97501, ready to use). Mainly membranous staining on tumor cells of human ovarian cancer (PMID : 22204844). Counter stained with Hematoxylin.
Secondary antibody only control : Used PBS instead of primary antibody, secondary antibody is Goat Anti-Rabbit IgG H&L (HRP) (ab97501, ready to use).

Perform heat mediated antigen retrieval with Tris/EDTA buffer pH 9.0 before commencing with IHC staining protocol.

Immunohistochemistry (Formalin/PFA-fixed paraffin-embedded sections) - Anti-Folate Binding Protein/FBP antibody [EPR20277] (AB221543)
  • IHC-P

Supplier Data

Immunohistochemistry (Formalin/PFA-fixed paraffin-embedded sections) - Anti-Folate Binding Protein/FBP antibody [EPR20277] (AB221543)

Immunohistochemical analysis of paraffin-embedded rat kidney tissue labeling Folate Binding Protein/FBP with ab221543 at 1/1000 dilution, followed by Goat Anti-Rabbit IgG H&L (HRP) (ab97501, ready to use). Positive staining on rat kidney (PMID : 22204844). Counter stained with Hematoxylin.
Secondary antibody only control : Used PBS instead of primary antibody, secondary antibody is Goat Anti-Rabbit IgG H&L (HRP) (ab97501, ready to use).

Perform heat mediated antigen retrieval with Tris/EDTA buffer pH 9.0 before commencing with IHC staining protocol.

Immunohistochemistry (Formalin/PFA-fixed paraffin-embedded sections) - Anti-Folate Binding Protein/FBP antibody [EPR20277] (AB221543)
  • IHC-P

Supplier Data

Immunohistochemistry (Formalin/PFA-fixed paraffin-embedded sections) - Anti-Folate Binding Protein/FBP antibody [EPR20277] (AB221543)

Immunohistochemical analysis of paraffin-embedded mouse kidney tissue labeling Folate Binding Protein/FBP with ab221543 at 1/1000 dilution, followed by Goat Anti-Rabbit IgG H&L (HRP) (ab97501, ready to use). Positive staining on mouse kidney (PMID : 22204844). Counter stained with Hematoxylin.
Secondary antibody only control : Used PBS instead of primary antibody, secondary antibody is Goat Anti-Rabbit IgG H&L (HRP) (ab97501, ready to use).

Perform heat mediated antigen retrieval with Tris/EDTA buffer pH 9.0 before commencing with IHC staining protocol.

Western blot - Anti-Folate Binding Protein/FBP antibody [EPR20277] (AB221543)
  • WB

Lab

Western blot - Anti-Folate Binding Protein/FBP antibody [EPR20277] (AB221543)

Lanes 1-4 : Merged signal (red and green). Green - ab221543 observed at 36, 38 kDa. Red - loading control, ab7291 observed at 52 kDa.

ab221543 Anti-Folate Binding Protein/FBP antibody [EPR20277] was shown to specifically react with Folate Binding Protein/FBP in wild-type HeLa cells. Loss of signal was observed when knockout cell line ab264921 (knockout cell lysate ab257270) was used. Wild-type and Folate Binding Protein/FBP knockout samples were subjected to SDS-PAGE. ab221543 and Anti-alpha Tubulin antibody [DM1A] - Loading Control (ab7291) were incubated overnight at 4°C at 1 in 1000 dilution and 1 in 20000 dilution respectively. Blots were developed with Goat anti-Rabbit IgG H&L (IRDye® 800CW) preadsorbed (ab216773) and Goat anti-Mouse IgG H&L (IRDye® 680RD) preadsorbed (ab216776) secondary antibodies at 1 in 10000 dilution for 1 hour at room temperature before imaging.

The molecular weight (36,38kDa) observed were knockout validated and consistent with what has been described in the literature (PMID : 23144806).

All lanes:

Western blot - Anti-Folate Binding Protein/FBP antibody [EPR20277] (ab221543) at 1/1000 dilution

Lane 1:

Wild-type HeLa cell lysate at 20 µg

Lane 2:

Western blot - Human FOLR1 (Folate Binding Protein/FBP) knockout HeLa cell line (<a href='/en-us/products/cell-lines/human-folr1-folate-binding-protein-fbp-knockout-hela-cell-line-ab264921'>ab264921</a>)

Lane 2:

FOLR1 knockout HeLa cell lysate at 20 µg

Lane 3:

JAR cell lysate at 20 µg

Lane 4:

MDA-MB-231 cell lysate at 20 µg

Predicted band size: 30 kDa

Observed band size: 38 kDa,36 kDa

false

Western blot - Anti-Folate Binding Protein/FBP antibody [EPR20277] (AB221543)
  • WB

Lab

Western blot - Anti-Folate Binding Protein/FBP antibody [EPR20277] (AB221543)

Lanes 1-4 : Merged signal (red and green). Green - ab221543 observed at 36, 38 kDa. Red - loading control, ab7291 observed at 52 kDa.

ab221543 Anti-Folate Binding Protein/FBP antibody [EPR20277] was shown to specifically react with Folate Binding Protein/FBP in wild-type HeLa cells. Loss of signal was observed when knockout cell line ab264921 (knockout cell lysate ab257270) was used. Wild-type and Folate Binding Protein/FBP knockout samples were subjected to SDS-PAGE. ab221543 and Anti-alpha Tubulin antibody [DM1A] - Loading Control (ab7291) were incubated overnight at 4°C at 1 in 1000 dilution and 1 in 20000 dilution respectively. Blots were developed with Goat anti-Rabbit IgG H&L (IRDye® 800CW) preadsorbed (ab216773) and Goat anti-Mouse IgG H&L (IRDye® 680RD) preadsorbed (ab216776) secondary antibodies at 1 in 10000 dilution for 1 hour at room temperature before imaging.

The molecular weight (36,38kDa) observed were knockout validated and consistent with what has been described in the literature (PMID : 23144806).

All lanes:

Western blot - Anti-Folate Binding Protein/FBP antibody [EPR20277] (ab221543) at 1/1000 dilution

Lane 1:

Wild-type HeLa cell lysate at 20 µg

Lane 2:

FOLR1 knockout HeLa cell lysate at 20 µg

Lane 3:

JAR cell lysate at 20 µg

Lane 4:

MDA-MB-231 cell lysate at 20 µg

Predicted band size: 30 kDa

Observed band size: 38 kDa,36 kDa

false

Western blot - Anti-Folate Binding Protein/FBP antibody [EPR20277] (AB221543)
  • WB

Supplier Data

Western blot - Anti-Folate Binding Protein/FBP antibody [EPR20277] (AB221543)

Exposure times :

Lane 1 : 10 seconds

Lane 2 : 30 seconds

Lanes 3-4 : 5 seconds

Lane 5 : 3 minutes

The molecular weight (36,38kDa) observed were knockout validated and consistent with what has been described in the literature (PMID : 23144806).

All lanes:

Western blot - Anti-Folate Binding Protein/FBP antibody [EPR20277] (ab221543) at 1/1000 dilution

Lane 1:

JAR (human placenta choriocarcinoma epithelial cells) whole cell lysate at 20 µg

Lane 2:

Human fetal kidney lysate at 20 µg

Lane 3:

Mouse kidney lysate at 20 µg

Lane 4:

Rat kidney lysate

Lane 5:

HeLa (Human cervix adenocarcinoma epithelial cells) whole cell lysate at 10 µg

Secondary

All lanes:

Western blot - Goat Anti-Rabbit IgG H&L (HRP) (<a href='/en-us/products/secondary-antibodies/goat-rabbit-igg-h-l-hrp-ab97051'>ab97051</a>) at 1/100000 dilution

Predicted band size: 30 kDa

Observed band size: 38 kDa,36 kDa

false

Western blot - Anti-Folate Binding Protein/FBP antibody [EPR20277] (AB221543)
  • WB

Supplier Data

Western blot - Anti-Folate Binding Protein/FBP antibody [EPR20277] (AB221543)

Exposure time :

Lanes 1-2 : 5 seconds

The molecular weight (36,38kDa) observed were knockout validated and consistent with what has been described in the literature (PMID : 23144806).

All lanes:

Western blot - Anti-Folate Binding Protein/FBP antibody [EPR20277] (ab221543) at 1/5000 dilution

Lane 1:

GST-His-tagged human recombinant FOLR1 (aa 25-160), 20 ng

Lane 2:

His-tagged human recombinant FOLR2 (aa 24-154), 20 ng

Secondary

All lanes:

Western blot - Goat Anti-Rabbit IgG H&L (HRP) (<a href='/en-us/products/secondary-antibodies/goat-rabbit-igg-h-l-hrp-ab97051'>ab97051</a>) at 1/100000 dilution

Predicted band size: 30 kDa

Observed band size: 38 kDa,36 kDa

false

  • Carrier free

    Anti-Folate Binding Protein/FBP antibody [EPR20277] - BSA and Azide free

  • 565 Alexa Fluor® 555

    Alexa Fluor® 555 Anti-Folate Binding Protein/FBP antibody [EPR20277]

  • 665 Alexa Fluor® 647

    Alexa Fluor® 647 Anti-Folate Binding Protein/FBP antibody [EPR20277]

Key facts

Host species

Rabbit

Clonality

Monoclonal

Clone number

EPR20277

Isotype

IgG

Carrier free

No

Reacts with

Mouse, Rat, Human

Applications

IHC-P, WB

applications

Immunogen

The exact immunogen used to generate this antibody is proprietary information.

Reactivity data

{ "title": "Reactivity Data", "filters": { "stats": ["", "Species", "Dilution Info", "Notes"], "tabs": { "all-applications": {"fullname" : "All Applications", "shortname": "All Applications"}, "WB" : {"fullname" : "Western blot", "shortname":"WB"}, "IHCP" : {"fullname" : "Immunohistochemistry (Formalin/PFA-fixed paraffin-embedded sections)", "shortname":"IHC-P"} }, "product-promise": { "all": "all", "testedAndGuaranteed": "tested", "guaranteed": "expected", "predicted": "predicted", "notRecommended": "not-recommended" } }, "values": { "Human": { "WB-species-checked": "testedAndGuaranteed", "WB-species-dilution-info": "1/1000 - 1/5000", "WB-species-notes": "<p></p>", "IHCP-species-checked": "testedAndGuaranteed", "IHCP-species-dilution-info": "1/1000", "IHCP-species-notes": "<p></p> Perform heat-mediated antigen retrieval with Tris/EDTA buffer pH 9.0 before commencing with IHC staining protocol." }, "Mouse": { "WB-species-checked": "testedAndGuaranteed", "WB-species-dilution-info": "1/1000 - 1/5000", "WB-species-notes": "<p></p>", "IHCP-species-checked": "testedAndGuaranteed", "IHCP-species-dilution-info": "1/1000", "IHCP-species-notes": "<p></p> Perform heat-mediated antigen retrieval with Tris/EDTA buffer pH 9.0 before commencing with IHC staining protocol." }, "Rat": { "WB-species-checked": "testedAndGuaranteed", "WB-species-dilution-info": "1/1000 - 1/5000", "WB-species-notes": "<p></p>", "IHCP-species-checked": "testedAndGuaranteed", "IHCP-species-dilution-info": "1/1000", "IHCP-species-notes": "<p></p> Perform heat-mediated antigen retrieval with Tris/EDTA buffer pH 9.0 before commencing with IHC staining protocol." } } }

Product details

What is this antibody validated in?
Anti-Folate Binding Protein/FBP antibody [EPR20277] (ab221543) is a rabbit recombinant monoclonal antibody and is validated for use in Western Blot (WB), Immunohistochemistry (IHC-P) in Human, Mouse, Rat samples.

What is the molecular weight of Folate Binding Protein/FBP?
Anti-Folate Binding Protein/FBP [EPR20277] (ab221543) specifically detects a band for Folate Binding Protein/FBP (UniProt: P15328) at a molecular weight of 30kDa.

Trial sizes available!
Test your antibody or perform pre-screening before committing to a larger quantity. Sold in 10µl. Discover our selection of trial-size antibodies.

Specificity confirmed
The specificity of Anti-Folate Binding Protein/FBP antibody [EPR20277] (ab221543) has been confirmed by Western blot testing in FOLR1 Knockout HeLa cell line, ab264921.

Other related products
We have a range of other formats of antibody clone [EPR20277] also available for your convenience: ab221543, Carrier free - ab235140, Alexa Fluor® 555 - ab309247, Alexa Fluor® 647 - ab309500

Patented technology
Our RabMAb® technology is a patented hybridoma-based technology for making rabbit monoclonal antibodies. For details on our patents, please refer to RabMAb® patents.

What are the advantages of a recombinant monoclonal antibody?
This product is a recombinant monoclonal antibody, which offers several advantages including:

  • - High batch-to-batch consistency and reproducibility
  • - Improved sensitivity and specificity
  • - Long-term security of supply
  • - Animal-free batch production

For more information, read more on recombinant antibodies.

Properties and storage information

Form
Liquid
Purification technique
Affinity purification Protein A
Storage buffer
pH: 7.2 - 7.4 Preservative: 0.01% Sodium azide Constituents: PBS, 40% Glycerol (glycerin, glycerine), 0.05% BSA
Shipped at conditions
Blue Ice
Appropriate short-term storage duration
1-2 weeks
Appropriate short-term storage conditions
+4°C
Appropriate long-term storage conditions
-20°C
Aliquoting information
Upon delivery aliquot
Storage information
Avoid freeze / thaw cycle

Supplementary information

This supplementary information is collated from multiple sources and compiled automatically.

Folate Binding Protein (FBP) also known as FolR1 protein or FOLR-1 is a significant protein with a mass of about 32-38 kDa. It binds folate with high affinity and facilitates its transport into the cell. FBP can be found in various tissues with notable expression in the placenta kidney and certain epithelial tissues. The protein mediates folate uptake by capturing folates in the extracellular matrix and channeling them through receptor-mediated endocytosis.
Biological function summary

FBP plays a critical role in cellular growth and replication by ensuring sufficient folate supply. It belongs to a family of receptors not forming part of a larger protein complex. FBP's primary function is delivering folate an important B vitamin which acts as a one-carbon donor in DNA synthesis and repair. Optimal folate transport by FBP supports cellular functions particularly in rapidly dividing cells.

Pathways

FBP significantly contributes to the folate-mediated one-carbon metabolic pathway critical for nucleotide biosynthesis. This pathway interconnects with the homocysteine remethylation cycle. FBP associates with other enzymes such as dihydrofolate reductase (DHFR) and methylenetetrahydrofolate reductase (MTHFR) which also play key roles in these pathways. These interactions ensure efficient folate metabolism and maintenance of normal cellular functions.

FBP's relation to cancer and neural tube defects is well documented. Overexpression of FBP has been observed in various cancers including ovarian and breast cancer which indicates its potential role in tumor progression. In neural tube defects altered folate transport due to variations in FBP expression impacts neural development. FBP connects to other markers like HER2 in cancer which may form part of a therapeutic target strategy.

Product protocols

For this product, it's our understanding that no specific protocols are required. You can visit:

Target data

Binds to folate and reduced folic acid derivatives and mediates delivery of 5-methyltetrahydrofolate and folate analogs into the interior of cells (PubMed : 19074442, PubMed : 23851396, PubMed : 23934049, PubMed : 2527252, PubMed : 8033114, PubMed : 8567728). Has high affinity for folate and folic acid analogs at neutral pH (PubMed : 23851396, PubMed : 23934049, PubMed : 2527252, PubMed : 8033114, PubMed : 8567728). Exposure to slightly acidic pH after receptor endocytosis triggers a conformation change that strongly reduces its affinity for folates and mediates their release (PubMed : 8567728). Required for normal embryonic development and normal cell proliferation (By similarity).
See full target information FOLR1

Publications (10)

Recent publications for all applications. Explore the full list and refine your search

Journal of nanobiotechnology 23:562 PubMed40797208

2025

Radiocleavable rare-earth nanoactivators targeting over-expressed folate receptors induce mitochondrial dysfunction and remodel immune suppressive microenvironment in pancreatic cancer.

Applications

Unspecified application

Species

Unspecified reactive species

Tanvi Gupta,Shang-Rung Wu,Li-Chan Chang,Forn-Chia Lin,Yan-Shen Shan,Chen-Sheng Yeh,Wen-Pin Su

Journal of nanobiotechnology 22:763 PubMed39696571

2024

Development and evaluation of a single domain antibody targeting folate receptor alpha for radioligand therapy.

Applications

Unspecified application

Species

Unspecified reactive species

Jonatan Dewulf,Sam Massa,Laurent Navarro,Yana Dekempeneer,Francis Santens,Hannelore Ceuppens,Karine Breckpot,Jo A Van Ginderachter,Tony Lahoutte,Matthias D'Huyvetter,Nick Devoogdt

ACS nano 17:11345-11361 PubMed37272787

2023

Glutathione-Exhausting Nanoprobes for NIR-II Fluorescence Imaging-Guided Surgery and Boosting Radiation Therapy Efficacy via Ferroptosis in Breast Cancer.

Applications

Unspecified application

Species

Unspecified reactive species

Min Wei,Jingwen Bai,Xiao Shen,Kangliang Lou,Yiyang Gao,Ruichan Lv,Peiyuan Wang,Xiaolong Liu,Guojun Zhang

Fluids and barriers of the CNS 19:92 PubMed36419095

2022

Novel localization of folate transport systems in the murine central nervous system.

Applications

Unspecified application

Species

Unspecified reactive species

Vishal Sangha,Md Tozammel Hoque,Jeffrey T Henderson,Reina Bendayan

Gynecologic oncology reports 39:100926 PubMed35146104

2022

Understanding the impact of chemotherapy on the immune landscape of high-grade serous ovarian cancer.

Applications

Unspecified application

Species

Unspecified reactive species

Rami Vanguri,Jamal Benhamida,Jonathan H Young,Yanyun Li,Oliver Zivanovic,Dennis Chi,Alexandra Snyder,Travis J Hollmann,Katherine L Mager

EBioMedicine 75:103771 PubMed34954655

2021

Interaction between dolutegravir and folate transporters and receptor in human and rodent placenta.

Applications

Unspecified application

Species

Unspecified reactive species

Julian C Gilmore,Md Tozammel Hoque,Wanying Dai,Haneesha Mohan,Caroline Dunk,Lena Serghides,Reina Bendayan

Drug metabolism and pharmacokinetics 40:100409 PubMed34293696

2021

Effects of valproate, an HDAC inhibitor, on the expression of folate carriers and folate metabolism-related genes in the placenta of rats.

Applications

Unspecified application

Species

Unspecified reactive species

Ayako Furugen,Yuki Kanno,Nanami Ohyama,Yuko Kurosawa,Naoko Jinno,Katsuya Narumi,Ken Iseki,Masaki Kobayashi

Frontiers in oncology 11:668798 PubMed34079760

2021

Decitabine Sensitizes the Radioresistant Lung Adenocarcinoma to Pemetrexed Through Upregulation of Folate Receptor Alpha.

Applications

Unspecified application

Species

Unspecified reactive species

Yuqing Wang,Jie Huang,Qiong Wu,Jingjing Zhang,Zhiyuan Ma,Lucheng Zhu,Bin Xia,Shenglin Ma,Shirong Zhang

Cell reports 30:525-540.e7 PubMed31940494

2020

Mouse Ovarian Cancer Models Recapitulate the Human Tumor Microenvironment and Patient Response to Treatment.

Applications

Unspecified application

Species

Unspecified reactive species

Eleni Maniati,Chiara Berlato,Ganga Gopinathan,Owen Heath,Panoraia Kotantaki,Anissa Lakhani,Jacqueline McDermott,Colin Pegrum,Robin M Delaine-Smith,Oliver M T Pearce,Priyanka Hirani,Joash D Joy,Ludmila Szabova,Ruth Perets,Owen J Sansom,Ronny Drapkin,Peter Bailey,Frances R Balkwill

Cellular physiology and biochemistry : international journal of experimental cellular physiology, biochemistry, and pharmacology 49:271-281 PubMed30138940

2018

Diagnostic Value of ER, PR, FR and HER-2-Targeted Molecular Probes for Magnetic Resonance Imaging in Patients with Breast Cancer.

Applications

Unspecified application

Species

Unspecified reactive species

Yin-Hua Jin,Qi-Feng Hua,Jian-Jun Zheng,Xue-Hua Ma,Tian-Xiang Chen,Shun Zhang,Bin Chen,Qi Dai,Xiao-Hui Zhang
View all publications
enhancedValidationDataWebsite
en

Product promise

We are committed to supporting your work with high-quality reagents, and we're here for you every step of the way. In the unlikely event that one of our products does not perform as expected, you're protected by our Product Promise.
For full details, please see our Terms & Conditions

Please note: All products are 'FOR RESEARCH USE ONLY. NOT FOR USE IN DIAGNOSTIC OR THERAPEUTIC PROCEDURES'.

For licensing inquiries, please contact partnerships@abcam.com