JavaScript is disabled in your browser. Please enable JavaScript to view this website.
AB302533

Anti-FOLR2 antibody [EPR25731-70] (BSA and Azide free)

5

(1 Review)

|

(0 Publication)

Rabbit Recombinant Monoclonal FOLR2 antibody. Carrier free. Suitable for IHC-P, ICC/IF and reacts with Human samples.

View Alternative Names

Folate receptor beta, FR-beta, Folate receptor 2, Placental folate-binding protein, FBP, FOLR2

5 Images
Immunohistochemistry (Formalin/PFA-fixed paraffin-embedded sections) - Anti-FOLR2 antibody [EPR25731-70] (BSA and Azide free) (AB302533)
  • IHC-P

Supplier Data

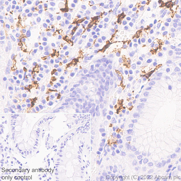
Immunohistochemistry (Formalin/PFA-fixed paraffin-embedded sections) - Anti-FOLR2 antibody [EPR25731-70] (BSA and Azide free) (AB302533)

This data was developed using ab302532, the same antibody clone in a different buffer formulation. Immunohistochemical analysis of paraffin-embedded Human stomach tissue labeling FOLR2 with ab302532 at 1/100 (5.14 ug/ml) followed by a ready to use LeicaDS9800 (Bond™ Polymer Refine Detection) was used. Positive staining on immune cells of human stomach. The section was incubated with ab302532 for 30 mins at room temperature.The immunostaining was performed on a Leica Biosystems BOND® RX instrument Counterstained with Hematoxylin. Secondary antibody only control : Secondary antibody is a ready to use LeicaDS9800 (Bond™ Polymer Refine Detection) was used. Heat mediated antigen retrieval with Tris-EDTA buffer (pH 9.0, epitope retrieval solution2) for 20 mins

Immunohistochemistry (Formalin/PFA-fixed paraffin-embedded sections) - Anti-FOLR2 antibody [EPR25731-70] (BSA and Azide free) (AB302533)
  • IHC-P

Supplier Data

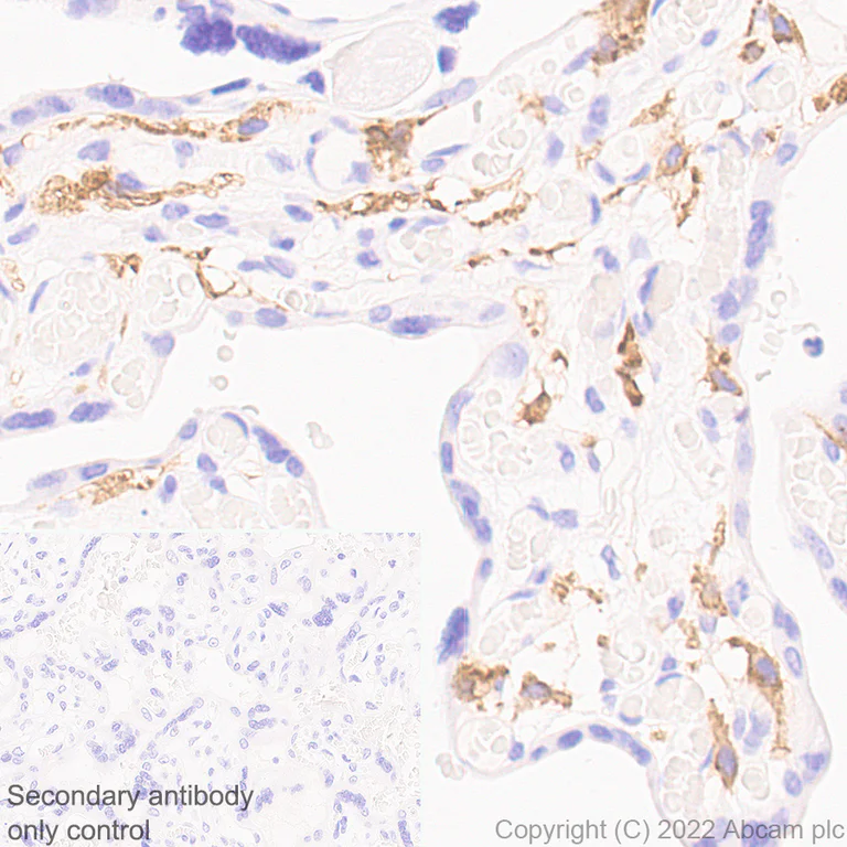
Immunohistochemistry (Formalin/PFA-fixed paraffin-embedded sections) - Anti-FOLR2 antibody [EPR25731-70] (BSA and Azide free) (AB302533)

This data was developed using ab302532, the same antibody clone in a different buffer formulation. Immunohistochemical analysis of paraffin-embedded Human placenta tissue labeling FOLR2 with ab302532 at 1/100 (5.14 ug/ml) followed by a ready to use LeicaDS9800 (Bond™ Polymer Refine Detection) was used. Positive staining on immune cells of human placenta (PMID : 24399840). The section was incubated with ab302532 for 30 mins at room temperature.The immunostaining was performed on a Leica Biosystems BOND® RX instrument Counterstained with Hematoxylin. Secondary antibody only control : Secondary antibody is a ready to use LeicaDS9800 (Bond™ Polymer Refine Detection) was used. Heat mediated antigen retrieval with Tris-EDTA buffer (pH 9.0, epitope retrieval solution2) for 20 mins

Immunohistochemistry (Formalin/PFA-fixed paraffin-embedded sections) - Anti-FOLR2 antibody [EPR25731-70] (BSA and Azide free) (AB302533)
  • IHC-P

Supplier Data

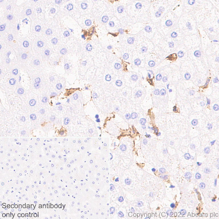
Immunohistochemistry (Formalin/PFA-fixed paraffin-embedded sections) - Anti-FOLR2 antibody [EPR25731-70] (BSA and Azide free) (AB302533)

This data was developed using ab302532, the same antibody clone in a different buffer formulation. Immunohistochemical analysis of paraffin-embedded Human liver tissue labeling FOLR2 with ab302532 at 1/100 (5.14 ug/ml) followed by a ready to use LeicaDS9800 (Bond™ Polymer Refine Detection) was used. Positive staining on Kuffer cells of human liver. The section was incubated with ab302532 for 30 mins at room temperature.The immunostaining was performed on a Leica Biosystems BOND® RX instrument Counterstained with Hematoxylin. Secondary antibody only control : Secondary antibody is a ready to use LeicaDS9800 (Bond™ Polymer Refine Detection) was used. Heat mediated antigen retrieval with Tris-EDTA buffer (pH 9.0, epitope retrieval solution2) for 20 mins

Immunocytochemistry/ Immunofluorescence - Anti-FOLR2 antibody [EPR25731-70] (BSA and Azide free) (AB302533)
  • ICC/IF

Supplier Data

Immunocytochemistry/ Immunofluorescence - Anti-FOLR2 antibody [EPR25731-70] (BSA and Azide free) (AB302533)

This data was developed using ab302532, the same antibody clone in a different buffer formulation. Immunofluorescent analysis of 4% Paraformaldehyde-fixed, 0.1% TritonX-100 permeabilized THP-1 (human monocytic leukemia monocyte) cells labelling FOLR2 with ab302532 at 1/50 (10.28 ug/ml) dilution, followed by ab150081 Goat Anti-Rabbit IgG H&L (Alexa Fluor® 488) preadsorbed antibody at 1/1000 2 ug/mL dilution (Green). Confocal image showing membranous staining in THP-1 cells treated with Phorbol-12-myristate-13-acetate (80 nM) for 72 hours is observed. ab195889 Anti-alpha Tubulin mouse monoclonal antibody - Microtubule Marker (Alexa Fluor® 594) was used to counterstain tubulin at 1/200 2.5 ug/mL dilution (Red). The Nuclear counterstain was DAPI (Blue). Secondary antibody only control : Secondary antibody is ab150081 Goat Anti-Rabbit IgG H&L (Alexa Fluor® 488) preadsorbed at 1/1000 2 ug/mL dilution.

Western blot - Anti-FOLR2 antibody [EPR25731-70] (BSA and Azide free) (AB302533)
  • WB

Supplier Data

Western blot - Anti-FOLR2 antibody [EPR25731-70] (BSA and Azide free) (AB302533)

This data was developed using ab302532, the same antibody clone in a different buffer formulation. Blocking and diluting buffer and concentration : 5% NFDM/TBST This antibody has no cross-reaction with FOLR1and FOLR3.

All lanes:

Western blot - Anti-FOLR2 antibody [EPR25731-70] (<a href='/en-us/products/primary-antibodies/folr2-antibody-epr25731-70-ab302532'>ab302532</a>) at 1/1000 dilution

Lane 1:

His-tagged human FOLR2 recombinant protein 10 ng

Lane 2:

His-tagged human FOLR1 recombinant protein 10 ng

Lane 3:

His-tagged human FOLR3 recombinant protein 10 ng

Secondary

All lanes:

Western blot - Goat Anti-Rabbit IgG H&L (HRP) (<a href='/en-us/products/secondary-antibodies/goat-rabbit-igg-h-l-hrp-ab97051'>ab97051</a>) at 1/100000 dilution

Observed band size: 38 kDa

false

Exposure time: 3min

Key facts

Host species

Rabbit

Clonality

Monoclonal

Clone number

EPR25731-70

Isotype

IgG

Carrier free

Yes

Reacts with

Human

Applications

ICC/IF, IHC-P

applications

Immunogen

The exact immunogen used to generate this antibody is proprietary information.

Specificity

We do not recommend this RabMAb for WB with endogenous lysates.

Reactivity data

{ "title": "Reactivity Data", "filters": { "stats": ["", "Species", "Dilution Info", "Notes"], "tabs": { "all-applications": {"fullname" : "All Applications", "shortname": "All Applications"}, "WB" : {"fullname" : "Western blot", "shortname":"WB"}, "IHCP" : {"fullname" : "Immunohistochemistry (Formalin/PFA-fixed paraffin-embedded sections)", "shortname":"IHC-P"}, "ICCIF" : {"fullname" : "Immunocytochemistry/ Immunofluorescence", "shortname":"ICC/IF"}, "FlowCyt" : {"fullname" : "Flow Cytometry", "shortname":"Flow Cyt"}, "IP" : {"fullname" : "Immunoprecipitation", "shortname":"IP"} }, "product-promise": { "all": "all", "testedAndGuaranteed": "tested", "guaranteed": "expected", "predicted": "predicted", "notRecommended": "not-recommended" } }, "values": { "Human": { "WB-species-checked": "notRecommended", "WB-species-dilution-info": "", "WB-species-notes": "", "IHCP-species-checked": "testedAndGuaranteed", "IHCP-species-dilution-info": "", "IHCP-species-notes": "<p></p>", "ICCIF-species-checked": "testedAndGuaranteed", "ICCIF-species-dilution-info": "", "ICCIF-species-notes": "<p></p>", "FlowCyt-species-checked": "notRecommended", "FlowCyt-species-dilution-info": "", "FlowCyt-species-notes": "<p></p>", "IP-species-checked": "notRecommended", "IP-species-dilution-info": "", "IP-species-notes": "<p></p>" }, "Mouse": { "WB-species-checked": "notRecommended", "WB-species-dilution-info": "", "WB-species-notes": "<p></p>", "IHCP-species-checked": "notRecommended", "IHCP-species-dilution-info": "", "IHCP-species-notes": "<p></p>", "ICCIF-species-checked": "notRecommended", "ICCIF-species-dilution-info": "", "ICCIF-species-notes": "<p></p>", "FlowCyt-species-checked": "notRecommended", "FlowCyt-species-dilution-info": "", "FlowCyt-species-notes": "<p></p>", "IP-species-checked": "notRecommended", "IP-species-dilution-info": "", "IP-species-notes": "" }, "Rat": { "WB-species-checked": "notRecommended", "WB-species-dilution-info": "", "WB-species-notes": "<p></p>", "IHCP-species-checked": "notRecommended", "IHCP-species-dilution-info": "", "IHCP-species-notes": "<p></p>", "ICCIF-species-checked": "notRecommended", "ICCIF-species-dilution-info": "", "ICCIF-species-notes": "", "FlowCyt-species-checked": "notRecommended", "FlowCyt-species-dilution-info": "", "FlowCyt-species-notes": "", "IP-species-checked": "notRecommended", "IP-species-dilution-info": "", "IP-species-notes": "" } } }

Product details

Want a custom formulation?
This antibody clone is manufactured by Abcam. If you require a custom buffer formulation or conjugation for your experiments, please contact orders@abcam.com

Patented technology
Our RabMAb® technology is a patented hybridoma-based technology for making rabbit monoclonal antibodies. For details on our patents, please refer to RabMAb® patents.

What are the advantages of a recombinant monoclonal antibody?
This product is a recombinant monoclonal antibody, which offers several advantages including:

  • - High batch-to-batch consistency and reproducibility
  • - Improved sensitivity and specificity
  • - Long-term security of supply
  • - Animal-free batch production

For more information, read more on recombinant antibodies.

Conjugation ready
Our carrier-free antibodies are typically supplied in a PBS-only formulation, purified and free of BSA, sodium azide and glycerol. This conjugation-ready format is designed for use with fluorochromes, metal isotopes, oligonucleotides, and enzymes, which makes them ideal for antibody labelling, functional and cell-based assays, flow-based assays (e.g. mass cytometry) and Multiplex Imaging applications.

Use our conjugation kits for antibody conjugates that are ready-to-use in as little as 20 minutes with 1 minute hands-on-time and 100% antibody recovery: available for fluorescent dyes, HRP, biotin and gold.

Compatibility
This product is compatible with the Maxpar® Antibody Labeling Kit from Fluidigm, without the need for antibody preparation. Maxpar® is a trademark of Fluidigm Canada Inc.

Properties and storage information

Form
Liquid
Purification technique
Affinity purification Protein A
Storage buffer
pH: 7.2 - 7.4 Constituents: PBS
Shipped at conditions
Blue Ice
Appropriate short-term storage conditions
+4°C
Appropriate long-term storage conditions
+4°C
Aliquoting information
Upon delivery aliquot
Storage information
Do Not Freeze

Supplementary information

This supplementary information is collated from multiple sources and compiled automatically.

Folate receptor beta also known as FOLR2 is a protein with a molecular mass of approximately 32 kDa. It facilitates the transport of folate into cells. FOLR2 binds folate with high affinity and plays an important role in cellular metabolism. The receptor is mainly expressed in the placenta and certain myeloid cells such as macrophages and monocytes. Its expression is also notable in certain cancer cells but not in most normal tissues.
Biological function summary

Folate receptor beta plays a significant role in folate uptake contributing to DNA synthesis and repair processes. FOLR2 as a part of the cell membrane forms a complex with other molecules to capture and internalize folate from the extracellular environment. This process is essential for the proliferation and survival of cells that require large amounts of folate including developing embryos and certain immune cells.

Pathways

The function of folate receptor beta connects with the folate-mediated one-carbon metabolism pathway critical for nucleotide biosynthesis and methylation reactions. This pathway influences the synthesis of purines and pyrimidines supporting DNA replication and repair. FOLR2 interacts with folate transport proteins and enzymes involved in the methionine cycle which interlinks with amino acid metabolism and epigenetic regulation.

Folate receptor beta is associated with rheumatoid arthritis and ovarian cancer. In rheumatoid arthritis FOLR2 expression on activated macrophages indicates its potential as a biomarker and target for therapy. The overexpression of FOLR2 in ovarian cancer makes it a target for folate-linked therapeutic agents. The relationship between FOLR2 and immune proteins in inflammatory conditions highlights its role in modulating immune responses in disease contexts.

Product protocols

For this product, it's our understanding that no specific protocols are required. You can visit:

Target data

Binds to folate and reduced folic acid derivatives and mediates delivery of 5-methyltetrahydrofolate and folate analogs into the interior of cells. Has high affinity for folate and folic acid analogs at neutral pH. Exposure to slightly acidic pH after receptor endocytosis triggers a conformation change that strongly reduces its affinity for folates and mediates their release.
See full target information FOLR2

Product promise

We are committed to supporting your work with high-quality reagents, and we're here for you every step of the way. In the unlikely event that one of our products does not perform as expected, you're protected by our Product Promise.
For full details, please see our Terms & Conditions

Please note: All products are 'FOR RESEARCH USE ONLY. NOT FOR USE IN DIAGNOSTIC OR THERAPEUTIC PROCEDURES'.

For licensing inquiries, please contact partnerships@abcam.com