JavaScript is disabled in your browser. Please enable JavaScript to view this website.
AB184938

Anti-Fos B antibody [EPR15905]

5

(4 Reviews)

|

(43 Publications)

Anti-Fos B antibody [EPR15905] (ab184938) is a rabbit monoclonal antibody detecting Fos B in Western Blot, IP, IHC-P, ICC/IF. Suitable for Human, Mouse, Rat.

- Biophysical QC for unrivalled batch-batch consistency
- Over 20 publications

View Alternative Names

G0S3, FOSB, Protein FosB, G0/G1 switch regulatory protein 3, Transcription factor AP-1 subunit FosB

9 Images
Immunocytochemistry/ Immunofluorescence - Anti-Fos B antibody [EPR15905] (AB184938)
  • ICC/IF

Lab

Immunocytochemistry/ Immunofluorescence - Anti-Fos B antibody [EPR15905] (AB184938)

Immunofluorescent analysis of 4% paraformaldehyde-fixed, 0.1% Triton X-100 permeabilized HeLa (Human epithelial cells from cervix adenocarcinoma) cells, untreated or treated with 12-o-tetradecanoyl phorbol 13-acetate (TPA) (200nM) for 4h, labeling Fos B with ab184938 at 1/500 dilution, followed by Goat anti-rabbit IgG (Alexa Fluor® 488) (ab150077) secondary antibody at 1/1000 dilution (green).

Confocal image showing nuclear staining on HeLa cells. The expression was increaed after treatment with 12-o-tetradecanoyl phorbol 13-acetate (TPA) (200nM) for 4h.

The nuclear counter stain is DAPI (blue). Tubulin is detected with ab7291 (anti-Tubulin mouse mAb) at 1/1000 dilution and ab150120 (AlexaFluor®594 Goat anti-Mouse secondary) at 1/500 dilution (red).

The negative controls are as follows :
-ve control 1 : ab184938 at 1/1000 dilution followed by ab150120 (AlexaFluor®594 Goat anti-Mouse secondary) at 1/500 dilution.
-ve control 2 : ab7291 (anti-Tubulin mouse mAb) at 1/1000 dilution followed by ab150077 (Alexa Fluor®488 Goat Anti-Rabbit IgG H&L) at 1/500 dilution.

Immunoprecipitation - Anti-Fos B antibody [EPR15905] (AB184938)
  • IP

Supplier Data

Immunoprecipitation - Anti-Fos B antibody [EPR15905] (AB184938)

Fos B was immunoprecipitated from 1mg of HeLa (Human epithelial cells from cervix adenocarcinoma) whole cell lysate serum starved overnight, then treated with 200nM 12-o-tetradecanoyl phorbol 13-acetate (TPA) for 4hr using ab184938 at 1/50 dilution.

Western blot was performed from the immunoprecipitate using ab184938 at 1/1000 dilution. Anti-Rabbit IgG (HRP), specific to the non-reduced form of IgG, was used as secondary antibody at 1/1500 dilution.

Lane 1 : HeLa whole cell lysate serum starved overnight, then treated with 200nM 12-o-tetradecanoyl phorbol 13-acetate (TPA) for 4hr, 10 μg (Input).

Lane 2 : ab184938 IP in HeLa whole cell lysate serum starved overnight, then treated with 200nM 12-o-tetradecanoyl phorbol 13-acetate (TPA) for 4hr.

Lane 3 : Rabbit monoclonal IgG (ab172730) instead of ab184938 in HeLa whole cell lysate serum starved overnight, then treated with 200nM 12-o-tetradecanoyl phorbol 13-acetate (TPA) for 4hr.

Blocking and dilution buffer and concentration : 5% NFDM/TBST.

All lanes:

Immunoprecipitation - Anti-Fos B antibody [EPR15905] (ab184938)

Predicted band size: 36 kDa

Observed band size: 38 kDa,48 kDa

false

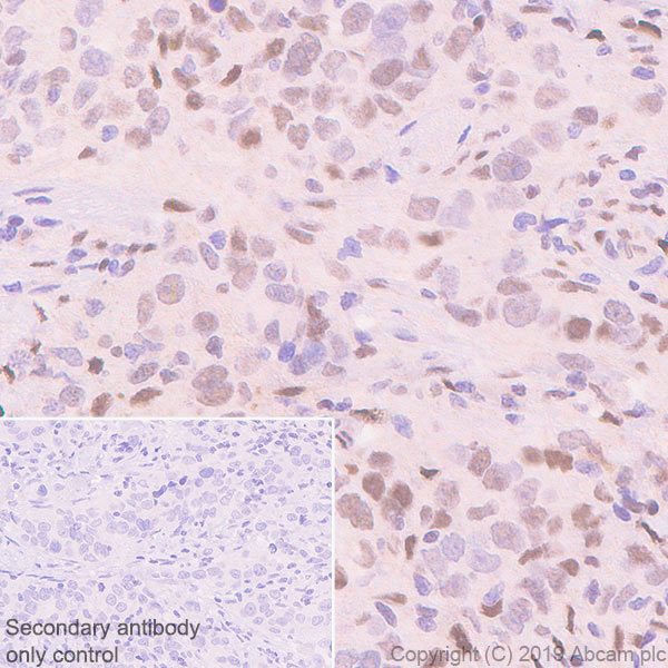
Immunohistochemistry (Formalin/PFA-fixed paraffin-embedded sections) - Anti-Fos B antibody [EPR15905] (AB184938)
  • IHC-P

Supplier Data

Immunohistochemistry (Formalin/PFA-fixed paraffin-embedded sections) - Anti-Fos B antibody [EPR15905] (AB184938)

Immunohistochemical analysis of paraffin-embedded mouse kidney tissue labeling Fos B with ab184938 at 1/1000 dilution, followed by Goat Anti-Rabbit IgG H&L (HRP) (ab97051) secondary antibody at 1/500 dilution. Cytoplasm staining on mouse kidney is observed. Counter stained with Hematoxylin.

Secondary antibody only control : Used PBS instead of primary antibody, secondary antibody is Goat Anti-Rabbit IgG H&L (HRP) (ab97051) at 1/500 dilution.

Perform heat mediated antigen retrieval with Tris/EDTA buffer pH 9.0 before commencing with IHC staining protocol.

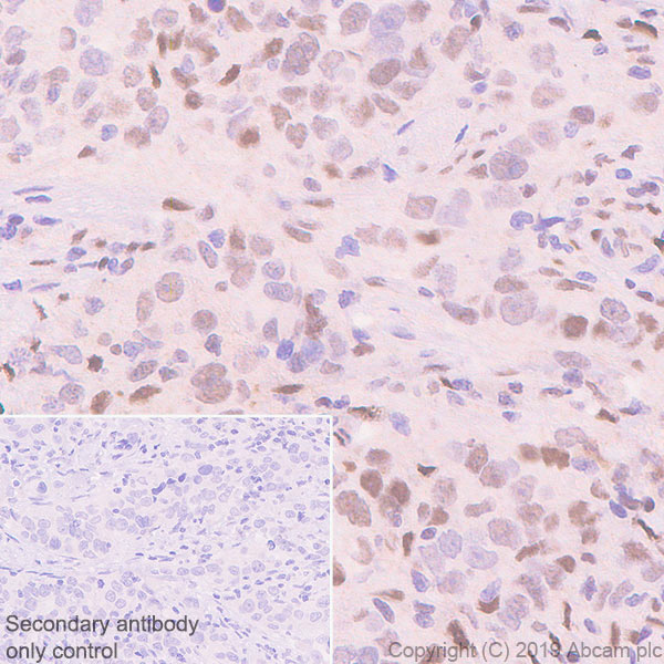
Immunohistochemistry (Formalin/PFA-fixed paraffin-embedded sections) - Anti-Fos B antibody [EPR15905] (AB184938)
  • IHC-P

Supplier Data

Immunohistochemistry (Formalin/PFA-fixed paraffin-embedded sections) - Anti-Fos B antibody [EPR15905] (AB184938)

Immunohistochemical analysis of paraffin-embedded rat hippocampus tissue labeling Fos B with ab184938 at 1/1000 dilution, followed by Goat Anti-Rabbit IgG H&L (HRP) (ab97051) secondary antibody at 1/500 dilution. Nucleus staining on rat hippocampus is observed. Counter stained with Hematoxylin.

Secondary antibody only control : Used PBS instead of primary antibody, secondary antibody is Goat Anti-Rabbit IgG H&L (HRP) (ab97051) at 1/500 dilution.

Perform heat mediated antigen retrieval with Tris/EDTA buffer pH 9.0 before commencing with IHC staining protocol.

Immunohistochemistry (Formalin/PFA-fixed paraffin-embedded sections) - Anti-Fos B antibody [EPR15905] (AB184938)
  • IHC-P

Supplier Data

Immunohistochemistry (Formalin/PFA-fixed paraffin-embedded sections) - Anti-Fos B antibody [EPR15905] (AB184938)

Immunohistochemical analysis of paraffin-embedded mouse hippocampus tissue labeling Fos B with ab184938 at 1/1000 dilution, followed by Goat Anti-Rabbit IgG H&L (HRP) (ab97051) secondary antibody at 1/500 dilution. Nucleus staining on mouse hippocampus is observed. Counter stained with Hematoxylin.

Secondary antibody only control : Used PBS instead of primary antibody, secondary antibody is Goat Anti-Rabbit IgG H&L (HRP) (ab97051) at 1/500 dilution.

Perform heat mediated antigen retrieval with Tris/EDTA buffer pH 9.0 before commencing with IHC staining protocol.

Immunohistochemistry (Formalin/PFA-fixed paraffin-embedded sections) - Anti-Fos B antibody [EPR15905] (AB184938)
  • IHC-P

Supplier Data

Immunohistochemistry (Formalin/PFA-fixed paraffin-embedded sections) - Anti-Fos B antibody [EPR15905] (AB184938)

Immunohistochemical analysis of paraffin-embedded rat kidney tissue labeling Fos B with ab184938 at 1/1000 dilution, followed by Goat Anti-Rabbit IgG H&L (HRP) (ab97051) secondary antibody at 1/500 dilution. Cytoplasm staining on rat kidney is observed. Counter stained with Hematoxylin.

Secondary antibody only control : Used PBS instead of primary antibody, secondary antibody is Goat Anti-Rabbit IgG H&L (HRP) (ab97051) at 1/500 dilution.

Perform heat mediated antigen retrieval with Tris/EDTA buffer pH 9.0 before commencing with IHC staining protocol.

Western blot - Anti-Fos B antibody [EPR15905] (AB184938)
  • WB

Supplier Data

Western blot - Anti-Fos B antibody [EPR15905] (AB184938)

Blocking/Dilution buffer : 5% NFDM/TBST.

FosB protein exists as two isoforms : full-length FosB (48KD) and a truncated form, FosB2 (38KD, Delta FosB) which lacks the carboxyl-terminal 101 amino acids

All lanes:

Western blot - Anti-Fos B antibody [EPR15905] (ab184938) at 1/10000 dilution

Lane 1:

Untreated C6 (Rat glial tumor cells) whole cell lysate at 10 µg

Lane 2:

C6 whole cell lysate treated with serum, starved overnight, then serum stimulated for 4hr at 10 µg

Secondary

All lanes:

Goat Anti-Rabbit IgG, (H+L),Peroxidase conjugated at 1/1000 dilution

Predicted band size: 36 kDa

Observed band size: 38 kDa,48 kDa

false

Exposure time: 30s

Western blot - Anti-Fos B antibody [EPR15905] (AB184938)
  • WB

Supplier Data

Western blot - Anti-Fos B antibody [EPR15905] (AB184938)

FosB protein exists as two isoforms : full-length FosB (48KD) and a truncated form, FosB2 (38KD, Delta FosB) which lacks the carboxyl-terminal 101 amino acids.

Blocking/Dilution buffer : 5% NFDM/TBST.

All lanes:

Western blot - Anti-Fos B antibody [EPR15905] (ab184938) at 1/10000 dilution

Lane 1:

Untreated HeLa (Human epithelial cells from cervix adenocarcinoma) whole cell lysate at 10 µg

Lane 2:

HeLa whole cell lysate serum starved overnight, then treated with 200nM 12-o-tetradecanoyl phorbol 13-acetate (TPA) for 4hr at 10 µg

Secondary

All lanes:

Goat Anti-Rabbit IgG, (H+L),Peroxidase conjugated at 1/1000 dilution

Predicted band size: 36 kDa

Observed band size: 38 kDa,48 kDa

false

Exposure time: 5s

Western blot - Anti-Fos B antibody [EPR15905] (AB184938)
  • WB

Supplier Data

Western blot - Anti-Fos B antibody [EPR15905] (AB184938)

Blocking/Dilution buffer : 5% NFDM/TBST.

FosB protein exists as two isoforms : full-length FosB (48KD) and a truncated form, FosB2 (38KD, Delta FosB) which lacks the carboxyl-terminal 101 amino acids

All lanes:

Western blot - Anti-Fos B antibody [EPR15905] (ab184938) at 1/10000 dilution

Lane 1:

Untreated NIH/3T3 (Mouse embyro fibroblast cells) whole cell lysate at 10 µg

Lane 2:

NIH/3T3 whole cell lysate treated with serum, starved overnight, then serum stimulated for 4hr at 10 µg

Secondary

All lanes:

Goat Anti-Rabbit IgG, (H+L),Peroxidase conjugated at 1/1000 dilution

Predicted band size: 36 kDa

Observed band size: 38 kDa,48 kDa

false

Exposure time: 3min

Key facts

Host species

Rabbit

Clonality

Monoclonal

Clone number

EPR15905

Isotype

IgG

Carrier free

No

Reacts with

Mouse, Rat, Human

Applications

WB, IP, ICC/IF, IHC-P

applications

Immunogen

The exact immunogen used to generate this antibody is proprietary information.

Reactivity data

{ "title": "Reactivity Data", "filters": { "stats": ["", "Species", "Dilution Info", "Notes"], "tabs": { "all-applications": {"fullname" : "All Applications", "shortname": "All Applications"}, "IP" : {"fullname" : "Immunoprecipitation", "shortname":"IP"}, "WB" : {"fullname" : "Western blot", "shortname":"WB"}, "ICCIF" : {"fullname" : "Immunocytochemistry/ Immunofluorescence", "shortname":"ICC/IF"}, "IHCP" : {"fullname" : "Immunohistochemistry (Formalin/PFA-fixed paraffin-embedded sections)", "shortname":"IHC-P"} }, "product-promise": { "all": "all", "testedAndGuaranteed": "tested", "guaranteed": "expected", "predicted": "predicted", "notRecommended": "not-recommended" } }, "values": { "Human": { "IP-species-checked": "testedAndGuaranteed", "IP-species-dilution-info": "1/50", "IP-species-notes": "<p></p>", "WB-species-checked": "testedAndGuaranteed", "WB-species-dilution-info": "1/10000", "WB-species-notes": "<p></p>", "ICCIF-species-checked": "testedAndGuaranteed", "ICCIF-species-dilution-info": "1/500", "ICCIF-species-notes": "<p></p>", "IHCP-species-checked": "guaranteed", "IHCP-species-dilution-info": "", "IHCP-species-notes": "" }, "Mouse": { "IP-species-checked": "guaranteed", "IP-species-dilution-info": "", "IP-species-notes": "", "WB-species-checked": "testedAndGuaranteed", "WB-species-dilution-info": "1/10000", "WB-species-notes": "<p></p>", "ICCIF-species-checked": "guaranteed", "ICCIF-species-dilution-info": "", "ICCIF-species-notes": "", "IHCP-species-checked": "testedAndGuaranteed", "IHCP-species-dilution-info": "1/1000", "IHCP-species-notes": "<p></p> Perform heat-mediated antigen retrieval with Tris/EDTA buffer pH 9.0 before commencing with IHC staining protocol." }, "Rat": { "IP-species-checked": "guaranteed", "IP-species-dilution-info": "", "IP-species-notes": "", "WB-species-checked": "testedAndGuaranteed", "WB-species-dilution-info": "1/10000", "WB-species-notes": "<p></p>", "ICCIF-species-checked": "guaranteed", "ICCIF-species-dilution-info": "", "ICCIF-species-notes": "", "IHCP-species-checked": "testedAndGuaranteed", "IHCP-species-dilution-info": "1/1000", "IHCP-species-notes": "<p></p> Perform heat-mediated antigen retrieval with Tris/EDTA buffer pH 9.0 before commencing with IHC staining protocol." } } }

Product details

What is this antibody validated in?
Anti-Fos B antibody [EPR15905] (ab184938) is a rabbit recombinant monoclonal antibody and is validated for use in Western Blot (WB), Immunoprecipitation (IP), Immunohistochemistry (IHC-P), Immunocytochemistry/immunofluorescence (ICC/IF) in Human, Mouse, Rat samples.

What is the molecular weight of Fos B?
Anti-Fos B [EPR15905] (ab184938) specifically detects a band for Fos B (UniProt: P53539) at a molecular weight of 36kDa.

Trusted by the scientific community
Anti-Fos B [EPR15905] (ab184938) was first used in a scientific publication in 2015 and has been cited over 20 times in peer-reviewed journals.

Trial sizes available!
Test your antibody or perform pre-screening before committing to a larger quantity. Sold in 10µl. Discover our selection of trial-size antibodies.

Other related products
We have a range of other formats of antibody clone [EPR15905] also available for your convenience: ab184938, Alexa Fluor® 555 - ab211854, Carrier free - ab240288

Patented technology
Our RabMAb® technology is a patented hybridoma-based technology for making rabbit monoclonal antibodies. For details on our patents, please refer to RabMAb® patents.

What are the advantages of a recombinant monoclonal antibody?
This product is a recombinant monoclonal antibody, which offers several advantages including:

  • - High batch-to-batch consistency and reproducibility
  • - Improved sensitivity and specificity
  • - Long-term security of supply
  • - Animal-free batch production

For more information, read more on recombinant antibodies.

Properties and storage information

Form
Liquid
Purification technique
Affinity purification Protein A
Storage buffer
pH: 7.2 Preservative: 0.01% Sodium azide Constituents: PBS, 40% Glycerol (glycerin, glycerine), 0.05% BSA
Shipped at conditions
Blue Ice
Appropriate short-term storage duration
1-2 weeks
Appropriate short-term storage conditions
+4°C
Appropriate long-term storage conditions
-20°C
Aliquoting information
Upon delivery aliquot
Storage information
Avoid freeze / thaw cycle

Supplementary information

This supplementary information is collated from multiple sources and compiled automatically.

Fos B also known as FosB is a protein encoded by the FOSB gene and belongs to the Fos family of transcription factors. Weighing approximately 46 kDa this protein acts within the cell nucleus and is expressed in several tissues particularly in brain regions. Delta Fos B an isoform of Fos B has gained attention for its stable accumulation in certain neuronal populations. Researchers often study Fos B using techniques like ELISA and immunohistochemistry to investigate its presence and distribution.
Biological function summary

Functions of Fos B include regulation of gene expression through forming AP-1 transcription factor complexes with Jun family proteins. These complexes bind to DNA influencing the expression of genes involved in processes such as cell proliferation differentiation and survival. Fos B is structurally similar to other Fos family proteins such as c-Fos which emphasises its role in response to extracellular signals and stress stimuli. Both Fos B and its isoform Delta Fos B have distinct expression patterns suggesting unique functions.

Pathways

Fos B plays a role in the MAPK/ERK signaling pathway which is essential for transmitting extracellular signals to promote diverse cellular responses. Within this pathway interactions with proteins like Jun lead to modulation of gene expression critical for cellular responses to growth factors. Additionally connections to the CREB signaling pathway link Fos B to processes concerning neuronal plasticity and memory further highlighting its participation in important biological functions.

Involvement of Fos B has been noted in neurological conditions such as addiction and depression. Delta Fos B in particular accumulates in response to chronic drug exposure and serves as a molecular switch in addiction-related neuroadaptations. Connections with proteins such as CREB and other transcriptional regulators have broadened the understanding of how Fos B and its isoforms impact neural circuits and contribute to the pathology of mood disorders.

Product protocols

For this product, it's our understanding that no specific protocols are required. You can visit:

Target data

Heterodimerizes with proteins of the JUN family to form an AP-1 transcription factor complex, thereby enhancing their DNA binding activity to gene promoters containing an AP-1 consensus sequence 5'-TGA[GC]TCA-3' and enhancing their transcriptional activity (PubMed : 12618758, PubMed : 28981703). As part of the AP-1 complex, facilitates enhancer selection together with cell-type-specific transcription factors by collaboratively binding to nucleosomal enhancers and recruiting the SWI/SNF (BAF) chromatin remodeling complex to establish accessible chromatin (By similarity). Together with JUN, plays a role in activation-induced cell death of T cells by binding to the AP-1 promoter site of FASLG/CD95L, and inducing its transcription in response to activation of the TCR/CD3 signaling pathway (PubMed : 12618758). Exhibits transactivation activity in vitro (By similarity). Involved in the display of nurturing behavior towards newborns (By similarity). May play a role in neurogenesis in the hippocampus and in learning and memory-related tasks by regulating the expression of various genes involved in neurogenesis, depression and epilepsy (By similarity). Implicated in behavioral responses related to morphine reward and spatial memory (By similarity).. Isoform 11. Exhibits lower transactivation activity than isoform 1 in vitro (By similarity). The heterodimer with JUN does not display any transcriptional activity, and may thereby act as an transcriptional inhibitor (By similarity). May be involved in the regulation of neurogenesis in the hippocampus (By similarity). May play a role in synaptic modifications in nucleus accumbens medium spiny neurons and thereby play a role in adaptive and pathological reward-dependent learning, including maladaptive responses involved in drug addiction (By similarity). Seems to be more stably expressed with a half-life of ~9.5 hours in cell culture as compared to 1.5 hours half-life of isoform 1 (By similarity).
See full target information FOSB

Publications (43)

Recent publications for all applications. Explore the full list and refine your search

BMC biology 23:280 PubMed41013440

2025

Machine learning combined with omics-based approaches reveals T-lymphocyte cellular fate imbalance in abdominal aortic aneurysm.

Applications

Unspecified application

Species

Unspecified reactive species

Demin Li,Ge Zhang,Pengchong Du,Chang Cao,Xuyu He,Yan Lv,Peiyu Yuan,Yujia Wang,Ruhao Wu,Yifan Cao,Yu Yang,Jiamin Gao,Bo Lan,Guo-Ping Shi,Xiaolin Cui,Jinying Zhang,Junnan Tang

Cellular and molecular life sciences : CMLS 82:50 PubMed39833543

2025

Single-cell RNA sequencing of the carotid artery and femoral artery of rats exposed to hindlimb unloading.

Applications

Unspecified application

Species

Unspecified reactive species

Chengfei Li,Yikai Pan,Yuan Wang,Xi Li,Yateng Tie,Shuhan Li,Ruonan Wang,Xingcheng Zhao,Jieyi Fan,Xianchun Yan,Yongchun Wang,Xiqing Sun

Communications biology 7:1199 PubMed39341879

2024

Novel microglial transcriptional signatures promote social and cognitive deficits following repeated social defeat.

Applications

Unspecified application

Species

Unspecified reactive species

Ethan J Goodman,Damon J DiSabato,John F Sheridan,Jonathan P Godbout

Frontiers in neuroscience 18:1418058 PubMed39176381

2024

Role of desmoplakin in supporting neuronal activity, neurogenic processes, and emotional-related behaviors in the dentate gyrus.

Applications

Unspecified application

Species

Unspecified reactive species

Keisuke Otsubo,Naoko Sakashita,Yuki Nishimoto,Yo Sato,Takehisa Tsutsui,Katsunori Kobayashi,Kanzo Suzuki,Eri Segi-Nishida

Cell death & disease 15:448 PubMed38918408

2024

Dexmedetomidine improves the circulatory dysfunction of the glymphatic system induced by sevoflurane through the PI3K/AKT/ΔFosB/AQP4 pathway in young mice.

Applications

Unspecified application

Species

Unspecified reactive species

Shuying Wang,Xiaojin Yu,Lili Cheng,Weishu Ren,Gehua Wen,Xue Wu,Haoyang Lou,Xinghua Ren,Lei Lu,Anca Hermenean,Jun Yao,Baoman Li,Yan Lu,Xu Wu

Neurobiology of stress 30:100617 PubMed38433995

2024

Sex-specific threat responding and neuronal engagement in carbon dioxide associated fear and extinction: Noradrenergic involvement in female mice.

Applications

Unspecified application

Species

Unspecified reactive species

Rebecca Ahlbrand,Allison Wilson,Patrick Woller,Yuv Sachdeva,Jayden Lai,Nikki Davis,James Wiggins,Renu Sah

International journal of molecular sciences 25: PubMed38339042

2024

The Lack of TRPA1 Ion Channel Does Not Affect the Chronic Stress-Induced Activation of the Locus Ceruleus.

Applications

Unspecified application

Species

Unspecified reactive species

Milica Milicic,Balázs Gaszner,Gergely Berta,Erika Pintér,Viktória Kormos

The Journal of pharmacology and experimental therapeutics 388:715-723 PubMed38129124

2024

Repeated Activation of Pyramidal Neurons in the Prefrontal Cortex Alters Microglial Phenotype in Male Mice.

Applications

Unspecified application

Species

Unspecified reactive species

Justin L Bollinger,Matthew J Horchar,Eric S Wohleb

Translational cancer research 12:3629-3640 PubMed38192979

2024

Identification of the function of in cholangiocarcinoma using bioinformatics analysis.

Applications

Unspecified application

Species

Unspecified reactive species

Yihang Zhao,Hong Tang,Yaxian Kuai,Jianhua Xu,Bin Sun,Yang Li

Brain, behavior, and immunity 115:356-373 PubMed37914101

2023

Antagonism of the brain P2X7 ion channel attenuates repeated social defeat induced microglia reactivity, monocyte recruitment and anxiety-like behavior in male mice.

Applications

Unspecified application

Species

Unspecified reactive species

Rebecca G Biltz,Samuel P Swanson,Natalie Draime,Amara C Davis,Wenyuan Yin,Ethan J Goodman,Natalie R Gallagher,Anindya Bhattacharya,John F Sheridan,Jonathan P Godbout
View all publications

Product promise

We are committed to supporting your work with high-quality reagents, and we're here for you every step of the way. In the unlikely event that one of our products does not perform as expected, you're protected by our Product Promise.
For full details, please see our Terms & Conditions

Please note: All products are 'FOR RESEARCH USE ONLY. NOT FOR USE IN DIAGNOSTIC OR THERAPEUTIC PROCEDURES'.

For licensing inquiries, please contact partnerships@abcam.com