JavaScript is disabled in your browser. Please enable JavaScript to view this website.
AB57154

Anti-Fox2 / RBM9 antibody [4G3]

4

(3 Reviews)

|

(20 Publications)

Mouse Monoclonal Fox2 / RBM9 antibody. Suitable for Flow Cyt, WB, IHC-P, ICC/IF and reacts with Human, Mouse samples. Cited in 20 publications. Immunogen corresponding to Recombinant Fragment Protein within Human RBFOX2 aa 1-100.

View Alternative Names

FOX2, HRNBP2, RBM9, RTA, RBFOX2, RNA binding protein fox-1 homolog 2, Fox-1 homolog B, Hexaribonucleotide-binding protein 2, RNA-binding motif protein 9, RNA-binding protein 9, Repressor of tamoxifen transcriptional activity

4 Images
Flow Cytometry - Anti-Fox2 / RBM9 antibody [4G3] (AB57154)
  • Flow Cyt

Unknown

Flow Cytometry - Anti-Fox2 / RBM9 antibody [4G3] (AB57154)

Overlay histogram showing HeLa cells stained with ab57154 (red line). The cells were fixed with 4% paraformaldehyde (10 min) and then permeabilized with 0.1% PBS-Tween for 20 min. The cells were then incubated in 1x PBS / 10% normal goat serum / 0.3M glycine to block non-specific protein-protein interactions followed by the antibody (ab57154, 1μg/1x106 cells) for 30 min at 22°C. The secondary antibody used was DyLight® 488 goat anti-mouse IgG (H+L) (ab96879) at 1/500 dilution for 30 min at 22°C. Isotype control antibody (black line) was mouse IgG2a [ICIGG2A] (ab91361, 1μg/1x106 cells) used under the same conditions. Acquisition of >5,000 events was performed. This antibody gave a positive signal in HeLa cells fixed with 80% methanol (5 min)/permeabilized with 0.1% PBS-Tween for 20 min used under the same conditions.

This image was generated using the ascites version of the product.

Immunocytochemistry/ Immunofluorescence - Anti-Fox2 / RBM9 antibody [4G3] (AB57154)
  • ICC/IF

Unknown

Immunocytochemistry/ Immunofluorescence - Anti-Fox2 / RBM9 antibody [4G3] (AB57154)

ICC/IF image of ab57154 stained SHSY5Y cells. The cells were 4% formaldehyde fixed (10 min) and then incubated in 1%BSA / 10% normal goat serum / 0.3M glycine in 0.1% PBS-Tween for 1h to permeabilise the cells and block non-specific protein-protein interactions. The cells were then incubated with the antibody (ab57154, 1μg/ml) overnight at +4°C. The secondary antibody (green) was Alexa Fluor® 488 goat anti-mouse IgG (H+L) used at a 1/1000 dilution for 1h. Alexa Fluor® 594 WGA was used to label plasma membranes (red) at a 1/200 dilution for 1h. DAPI was used to stain the cell nuclei (blue) at a concentration of 1.43μM.

This image was generated using the ascites version of the product.

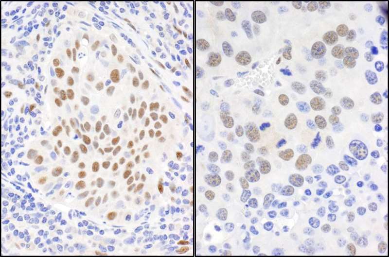
Immunohistochemistry (Formalin/PFA-fixed paraffin-embedded sections) - Anti-Fox2 / RBM9 antibody [4G3] (AB57154)
  • IHC-P

Unknown

Immunohistochemistry (Formalin/PFA-fixed paraffin-embedded sections) - Anti-Fox2 / RBM9 antibody [4G3] (AB57154)

Fox2 / RBM9 antibody (ab57154) used in immunohistochemistry at 3ug/ml on formalin fixed and paraffin embedded human placenta.

This image was generated using the ascites version of the product.

Western blot - Anti-Fox2 / RBM9 antibody [4G3] (AB57154)
  • WB

Unknown

Western blot - Anti-Fox2 / RBM9 antibody [4G3] (AB57154)

Fox2 / RBM9 antibody (ab57154) at 1ug/lane + NIH/3T3 cell lysate at 25ug/lane.

This image was generated using the ascites version of the product.

All lanes:

Western blot - Anti-Fox2 / RBM9 antibody [4G3] (ab57154)

Predicted band size: 41 kDa

false

Key facts

Host species

Mouse

Clonality

Monoclonal

Clone number

4G3

Isotype

IgG2a

Light chain type

kappa

Carrier free

No

Reacts with

Mouse, Human

Applications

WB, Flow Cyt, IHC-P, ICC/IF

applications

Immunogen

Recombinant Fragment Protein within Human RBFOX2 aa 1-100. The exact immunogen used to generate this antibody is proprietary information.

O43251

Reactivity data

{ "title": "Reactivity Data", "filters": { "stats": ["", "Species", "Dilution Info", "Notes"], "tabs": { "all-applications": {"fullname" : "All Applications", "shortname": "All Applications"}, "FlowCyt" : {"fullname" : "Flow Cytometry", "shortname":"Flow Cyt"}, "WB" : {"fullname" : "Western blot", "shortname":"WB"}, "IHCP" : {"fullname" : "Immunohistochemistry (Formalin/PFA-fixed paraffin-embedded sections)", "shortname":"IHC-P"}, "ICCIF" : {"fullname" : "Immunocytochemistry/ Immunofluorescence", "shortname":"ICC/IF"} }, "product-promise": { "all": "all", "testedAndGuaranteed": "tested", "guaranteed": "expected", "predicted": "predicted", "notRecommended": "not-recommended" } }, "values": { "Human": { "FlowCyt-species-checked": "testedAndGuaranteed", "FlowCyt-species-dilution-info": "", "FlowCyt-species-notes": "<p><a href='/en-us/products/primary-antibodies/mouse-igg2c-kappa-monoclonal-18c8bc7ad10-isotype-control-ab170191'>ab170191</a> - Mouse monoclonal IgG2a, is suitable for use as an isotype control with this antibody.</p>", "WB-species-checked": "guaranteed", "WB-species-dilution-info": "", "WB-species-notes": "", "IHCP-species-checked": "testedAndGuaranteed", "IHCP-species-dilution-info": "", "IHCP-species-notes": "<p></p>", "ICCIF-species-checked": "testedAndGuaranteed", "ICCIF-species-dilution-info": "", "ICCIF-species-notes": "<p></p>" }, "Mouse": { "FlowCyt-species-checked": "guaranteed", "FlowCyt-species-dilution-info": "", "FlowCyt-species-notes": "", "WB-species-checked": "testedAndGuaranteed", "WB-species-dilution-info": "", "WB-species-notes": "<p></p>", "IHCP-species-checked": "guaranteed", "IHCP-species-dilution-info": "", "IHCP-species-notes": "", "ICCIF-species-checked": "guaranteed", "ICCIF-species-dilution-info": "", "ICCIF-species-notes": "" } } }

Product details

This product was changed from ascites to tissue culture supernatant on 21/05/2019. Please note that the dilutions may need to be adjusted accordingly. If you have any questions, please do not hesitate to contact our scientific support team.

Properties and storage information

Form
Liquid
Purity
Tissue culture supernatant
Storage buffer
pH: 7.4 Constituents: PBS
Shipped at conditions
Blue Ice
Appropriate short-term storage conditions
+4°C
Appropriate long-term storage conditions
-20°C
Aliquoting information
Upon delivery aliquot
Storage information
Avoid freeze / thaw cycle

Supplementary information

This supplementary information is collated from multiple sources and compiled automatically.

Fox2 also known as RBM9 is a protein involved in RNA splicing. It belongs to the Fox family of splicing factors and plays an important role in the regulation of alternative splicing. RBM9 has a mass of approximately 57 kDa. It is expressed in various tissues with notable expression in the brain heart and skeletal muscle. The presence of this protein in such tissues points to a role in neural muscular and cardiac function.
Biological function summary

RBM9 (Fox2) contributes to gene expression by influencing the splicing of pre-mRNA. It forms part of complex networks with other splicing-related proteins such as hnRNPs and SR proteins. Its function in alternative splicing impacts the diversity of protein isoforms which is important for cellular processes. This ability to modify gene expression patterns enables cellular adaptation to different physiological conditions.

Pathways

RBM9 interacts with key signaling cascades like PI3K/AKT and MAPK pathways. The protein aids in the regulation of genes involved in these pathways which are essential for cell growth and survival. RBM9 partners with other proteins such as AKT and ERK in these pathways facilitating their roles in cellular signaling. Its regulation of alternative splicing influences pathway outcomes contributing to normal and disease states.

Malfunctions in RBM9 splicing regulation have links to neurodegenerative disorders like spinal muscular atrophy and cardiac conditions. RBM9's altered splicing patterns can result in disrupted neural and muscular functions. Its interactions with proteins such as SMN and MyoD connect RBM9 to these conditions indicating its influence on the severity and progression of related disorders. Understanding RBM9's role could offer insight into therapeutic targets for these diseases.

Product protocols

For this product, it's our understanding that no specific protocols are required. You can visit:

Target data

RNA-binding protein that regulates alternative splicing events by binding to 5'-UGCAUGU-3' elements. Prevents binding of U2AF2 to the 3'-splice site. Regulates alternative splicing of tissue-specific exons and of differentially spliced exons during erythropoiesis (By similarity). RNA-binding protein that seems to act as a coregulatory factor of ER-alpha. Together with RNA binding proteins RBPMS and MBNL1/2, activates vascular smooth muscle cells alternative splicing events (PubMed : 37548402).
See full target information RBFOX2

Publications (20)

Recent publications for all applications. Explore the full list and refine your search

Nature communications 16:6861 PubMed40715150

2025

Tumour initiated purinergic signalling promotes cardiomyocyte RBFOX1 degradation and cardiotoxicity from DNA damaging anticancer agents.

Applications

Unspecified application

Species

Unspecified reactive species

Saymon Tejay,Maria Areli Lorenzana-Carrillo,Guocheng Huang,Seyed Amirhossein Tabatabaei Dakhili,Yuan -Yuan Zhao,Farah Eaton,Michelle Mendiola Pla,Dawn E Bowles,Adam Kinnaird,D Ian Paterson,Edith Pituskin,John R Ussher,Evangelos D Michelakis,Gopinath Sutendra

Biology direct 19:75 PubMed39198845

2024

Gastrin-related circRNA_0017065 promotes the proliferation and metastasis of colorectal cancer through the miR-3174/RBFOX2 axis.

Applications

Unspecified application

Species

Unspecified reactive species

Xu Wang,Tianjiao Sun,Jiapeng Fan,Xueliang Zuo,Jiading Mao

Nature methods 20:1887-1899 PubMed37857907

2023

RNA molecular recording with an engineered RNA deaminase.

Applications

Unspecified application

Species

Unspecified reactive species

Yizhu Lin,Samentha Kwok,Abigail E Hein,Bao Quoc Thai,Yewande Alabi,Megan S Ostrowski,Ke Wu,Stephen N Floor

Nature cell biology 25:1359-1368 PubMed37640841

2023

RBFOX2 recognizes N-methyladenosine to suppress transcription and block myeloid leukaemia differentiation.

Applications

Unspecified application

Species

Unspecified reactive species

Xiaoyang Dou,Yu Xiao,Chao Shen,Kitty Wang,Tong Wu,Chang Liu,Yini Li,Xianbin Yu,Jun Liu,Qing Dai,Kinga Pajdzik,Chang Ye,Ruiqi Ge,Boyang Gao,Jianhua Yu,Shuying Sun,Mengjie Chen,Jianjun Chen,Chuan He

Cell reports. Medicine 4:100962 PubMed36889320

2023

Detection and targeting of splicing deregulation in pediatric acute myeloid leukemia stem cells.

Applications

Unspecified application

Species

Unspecified reactive species

Inge van der Werf,Phoebe K Mondala,S Kathleen Steel,Larisa Balaian,Luisa Ladel,Cayla N Mason,Raymond H Diep,Jessica Pham,Jacqueline Cloos,Gertjan J L Kaspers,Warren C Chan,Adam Mark,James J La Clair,Peggy Wentworth,Kathleen M Fisch,Leslie A Crews,Thomas C Whisenant,Michael D Burkart,Mary E Donohoe,Catriona H M Jamieson

Nucleic acids research 50:2270-2286 PubMed35137168

2022

RBFOX2 is required for establishing RNA regulatory networks essential for heart development.

Applications

Unspecified application

Species

Unspecified reactive species

Sunil K Verma,Vaibhav Deshmukh,Kaitlyn Thatcher,KarryAnne K Belanger,Alexander M Rhyner,Shu Meng,Richard Joshua Holcomb,Michael Bressan,James F Martin,John P Cooke,Joshua D Wythe,Steven G Widen,Joy Lincoln,Muge N Kuyumcu-Martinez

Cell reports 37:109910 PubMed34731606

2021

RBFOX2 is critical for maintaining alternative polyadenylation patterns and mitochondrial health in rat myoblasts.

Applications

Unspecified application

Species

Unspecified reactive species

Jun Cao,Sunil K Verma,Elizabeth Jaworski,Stephanie Mohan,Chloe K Nagasawa,Kempaiah Rayavara,Amanda Sooter,Sierra N Miller,Richard J Holcomb,Mason J Powell,Ping Ji,Nathan D Elrod,Eda Yildirim,Eric J Wagner,Vsevolod Popov,Nisha J Garg,Andrew L Routh,Muge N Kuyumcu-Martinez

Journal of cellular and molecular medicine 25:8352-8362 PubMed34302435

2021

Nanopore sequencing reveals full-length Tropomyosin 1 isoforms and their regulation by RNA-binding proteins during rat heart development.

Applications

Unspecified application

Species

Unspecified reactive species

Jun Cao,Andrew L Routh,Muge N Kuyumcu-Martinez

Advanced science (Weinheim, Baden-Wurttemberg, Germany) 8:e2004852 PubMed34180133

2021

RBFOX2/GOLIM4 Splicing Axis Activates Vesicular Transport Pathway to Promote Nasopharyngeal Carcinogenesis.

Applications

Unspecified application

Species

Unspecified reactive species

Chun-Ling Luo,Xiao-Chen Xu,Chu-Jun Liu,Shuai He,Jie-Rong Chen,Yan-Chun Feng,Shu-Qiang Liu,Wan Peng,Ya-Qing Zhou,Yu-Xiang Liu,Pan-Pan Wei,Bo Li,Hai-Qiang Mai,Xiao-Jun Xia,Jin-Xin Bei

Cancer biology & therapy 22:311-323 PubMed33879018

2021

LINC00668 cooperated with HuR dependent upregulation of PKN2 to facilitate gastric cancer metastasis.

Applications

Unspecified application

Species

Unspecified reactive species

Jutang Li,Wei Dong,Qixia Jiang,Fenglian Zhang,Hui Dong
View all publications

Product promise

We are committed to supporting your work with high-quality reagents, and we're here for you every step of the way. In the unlikely event that one of our products does not perform as expected, you're protected by our Product Promise.
For full details, please see our Terms & Conditions

Please note: All products are 'FOR RESEARCH USE ONLY. NOT FOR USE IN DIAGNOSTIC OR THERAPEUTIC PROCEDURES'.

For licensing inquiries, please contact partnerships@abcam.com