JavaScript is disabled in your browser. Please enable JavaScript to view this website.
AB264154

Anti-Fox2 / RBM9 antibody

Be the first to review this product! Submit a review

|

(4 Publications)

Rabbit Polyclonal Fox2 / RBM9 antibody. Suitable for IHC-P, IP, WB and reacts with Mouse, Human, Rat samples. Cited in 4 publications. Immunogen corresponding to Synthetic Peptide within Human RBFOX2 aa 1-50.

View Alternative Names

FOX2, HRNBP2, RBM9, RTA, RBFOX2, RNA binding protein fox-1 homolog 2, Fox-1 homolog B, Hexaribonucleotide-binding protein 2, RNA-binding motif protein 9, RNA-binding protein 9, Repressor of tamoxifen transcriptional activity

4 Images
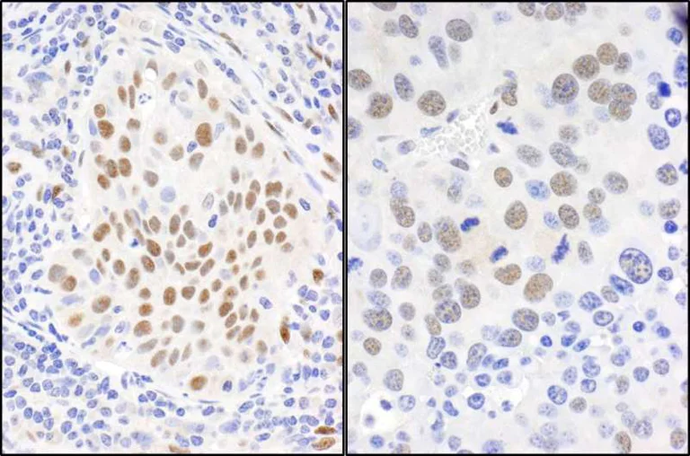
Immunohistochemistry (Formalin/PFA-fixed paraffin-embedded sections) - Anti-Fox2 / RBM9 antibody (AB264154)
  • IHC-P

Unknown

Immunohistochemistry (Formalin/PFA-fixed paraffin-embedded sections) - Anti-Fox2 / RBM9 antibody (AB264154)

Immunohistochemical analysis of formalin-fixed, paraffin-embedded human lung carcinoma (left panel) and mouse renal cell carcinoma (right panel) labeling Fox2 / RBM9 with ab264154 at 1/1,000 dilution. Detection : DAB.

Immunoprecipitation - Anti-Fox2 / RBM9 antibody (AB264154)
  • IP

Supplier Data

Immunoprecipitation - Anti-Fox2 / RBM9 antibody (AB264154)

Fox2 / RBM9 was immunoprecipitated from 1mg of HeLa (Human epithelial cell line from cervix adenocarcinoma) whole cell lysate with ab264154 at 6 μg/mg lysate. Western blot was performed from the immunoprecipitate using ab264154 at 1 μg/ml.

Lane 1 : ab264154 IP in HeLa whole cell lysate.

Lane 2 : ab264154 IP in HeLa whole cell lysate.

Lane 3 : Control IgG.

Exposure time : 30 secs.

Different lots used in lane 1 and lane 2.

All lanes:

Immunoprecipitation - Anti-Fox2 / RBM9 antibody (ab264154)

Predicted band size: 41 kDa

false

Western blot - Anti-Fox2 / RBM9 antibody (AB264154)
  • WB

Supplier Data

Western blot - Anti-Fox2 / RBM9 antibody (AB264154)

4-20% SDS-PAGE

All lanes:

Western blot - Anti-Fox2 / RBM9 antibody (ab264154) at 0.1 µg/mL

Lane 1:

HeLa (Human epithelial cell line from cervix adenocarcinoma) whole cell lysate at 50 µg

Lane 2:

HEK-293T (Human epithelial cell line from embryonic kidney transformed with large T antigen) whole cell lysate at 50 µg

Lane 3:

Jurkat (Human T cell leukemia cell line from peripheral blood) whole cell lysate at 50 µg

Secondary

All lanes:

Goat anti-Rabbit Light Chain HRP Conjugate

Predicted band size: 41 kDa

false

Exposure time: 3min

Western blot - Anti-Fox2 / RBM9 antibody (AB264154)
  • WB

Supplier Data

Western blot - Anti-Fox2 / RBM9 antibody (AB264154)

4-20% SDS-PAGE

All lanes:

Western blot - Anti-Fox2 / RBM9 antibody (ab264154) at 0.5 µg/mL

Lane 1:

NIH/3T3 (Mouse embryo fibroblast cell line) whole cell lysate at 50 µg

Lane 2:

TCMK (Mouse kidney epithelial cell line) whole cell lysate at 50 µg

Lane 3:

4T1 (Mouse mammary gland carcinoma cell line) whole cell lysate at 50 µg

Lane 4:

CT26 (Mouse colon carcinoma fibroblast cell line) whole cell lysate at 50 µg

Lane 5:

C6 (Rat glial tumor cell line) whole cell lysate at 50 µg

Secondary

All lanes:

Goat anti-Rabbit Light Chain HRP Conjugate

Predicted band size: 41 kDa

false

Exposure time: 3min

Key facts

Host species

Rabbit

Clonality

Polyclonal

Isotype

IgG

Carrier free

No

Reacts with

Mouse, Rat, Human

Applications

IHC-P, WB, IP

applications

Immunogen

Synthetic Peptide within Human RBFOX2 aa 1-50. The exact immunogen used to generate this antibody is proprietary information.

O43251

Reactivity data

{ "title": "Reactivity Data", "filters": { "stats": ["", "Species", "Dilution Info", "Notes"], "tabs": { "all-applications": {"fullname" : "All Applications", "shortname": "All Applications"}, "IHCP" : {"fullname" : "Immunohistochemistry (Formalin/PFA-fixed paraffin-embedded sections)", "shortname":"IHC-P"}, "IP" : {"fullname" : "Immunoprecipitation", "shortname":"IP"}, "WB" : {"fullname" : "Western blot", "shortname":"WB"} }, "product-promise": { "all": "all", "testedAndGuaranteed": "tested", "guaranteed": "expected", "predicted": "predicted", "notRecommended": "not-recommended" } }, "values": { "Human": { "IHCP-species-checked": "testedAndGuaranteed", "IHCP-species-dilution-info": "1/500 - 1/2000", "IHCP-species-notes": "<p></p> Perform heat-mediated antigen retrieval with citrate buffer pH 6 before commencing with IHC staining protocol.", "IP-species-checked": "testedAndGuaranteed", "IP-species-dilution-info": "2-5 µg/mg of lysate", "IP-species-notes": "<p></p>", "WB-species-checked": "testedAndGuaranteed", "WB-species-dilution-info": "1/2000 - 1/10000", "WB-species-notes": "<p></p>" }, "Mouse": { "IHCP-species-checked": "testedAndGuaranteed", "IHCP-species-dilution-info": "1/500 - 1/2000", "IHCP-species-notes": "<p></p> Perform heat-mediated antigen retrieval with citrate buffer pH 6 before commencing with IHC staining protocol.", "IP-species-checked": "guaranteed", "IP-species-dilution-info": "", "IP-species-notes": "", "WB-species-checked": "testedAndGuaranteed", "WB-species-dilution-info": "1/2000 - 1/10000", "WB-species-notes": "<p></p>" }, "Rat": { "IHCP-species-checked": "guaranteed", "IHCP-species-dilution-info": "", "IHCP-species-notes": "", "IP-species-checked": "guaranteed", "IP-species-dilution-info": "", "IP-species-notes": "", "WB-species-checked": "testedAndGuaranteed", "WB-species-dilution-info": "1/2000 - 1/10000", "WB-species-notes": "<p></p>" } } }

Properties and storage information

Form
Liquid
Purification technique
Affinity purification Immunogen
Storage buffer
pH: 7 - 8 Preservative: 0.09% Sodium azide Constituents: Tris citrate/phosphate
Shipped at conditions
Blue Ice
Appropriate short-term storage duration
1-2 weeks
Appropriate short-term storage conditions
+4°C
Appropriate long-term storage conditions
-20°C
Aliquoting information
Upon delivery aliquot
Storage information
Avoid freeze / thaw cycle

Supplementary information

This supplementary information is collated from multiple sources and compiled automatically.

Fox2 also known as RBM9 is a protein involved in RNA splicing. It belongs to the Fox family of splicing factors and plays an important role in the regulation of alternative splicing. RBM9 has a mass of approximately 57 kDa. It is expressed in various tissues with notable expression in the brain heart and skeletal muscle. The presence of this protein in such tissues points to a role in neural muscular and cardiac function.
Biological function summary

RBM9 (Fox2) contributes to gene expression by influencing the splicing of pre-mRNA. It forms part of complex networks with other splicing-related proteins such as hnRNPs and SR proteins. Its function in alternative splicing impacts the diversity of protein isoforms which is important for cellular processes. This ability to modify gene expression patterns enables cellular adaptation to different physiological conditions.

Pathways

RBM9 interacts with key signaling cascades like PI3K/AKT and MAPK pathways. The protein aids in the regulation of genes involved in these pathways which are essential for cell growth and survival. RBM9 partners with other proteins such as AKT and ERK in these pathways facilitating their roles in cellular signaling. Its regulation of alternative splicing influences pathway outcomes contributing to normal and disease states.

Malfunctions in RBM9 splicing regulation have links to neurodegenerative disorders like spinal muscular atrophy and cardiac conditions. RBM9's altered splicing patterns can result in disrupted neural and muscular functions. Its interactions with proteins such as SMN and MyoD connect RBM9 to these conditions indicating its influence on the severity and progression of related disorders. Understanding RBM9's role could offer insight into therapeutic targets for these diseases.

Product protocols

For this product, it's our understanding that no specific protocols are required. You can visit:

Target data

RNA-binding protein that regulates alternative splicing events by binding to 5'-UGCAUGU-3' elements. Prevents binding of U2AF2 to the 3'-splice site. Regulates alternative splicing of tissue-specific exons and of differentially spliced exons during erythropoiesis (By similarity). RNA-binding protein that seems to act as a coregulatory factor of ER-alpha. Together with RNA binding proteins RBPMS and MBNL1/2, activates vascular smooth muscle cells alternative splicing events (PubMed : 37548402).
See full target information RBFOX2

Publications (4)

Recent publications for all applications. Explore the full list and refine your search

Science advances 10:eadk5386 PubMed38536927

2024

Activation of endogenous retroviruses and induction of viral mimicry by MEK1/2 inhibition in pancreatic cancer.

Applications

Unspecified application

Species

Unspecified reactive species

Alice Cortesi,Francesco Gandolfi,Fabiana Arco,Pierluigi Di Chiaro,Emanuele Valli,Sara Polletti,Roberta Noberini,Francesco Gualdrini,Sergio Attanasio,Francesca Citron,I-Lin Ho,Rutvi Shah,Er-Yen Yen,Mara Cetty Spinella,Simona Ronzoni,Simona Rodighiero,Nico Mitro,Tiziana Bonaldi,Serena Ghisletti,Silvia Monticelli,Andrea Viale,Giuseppe Riccardo Diaferia,Gioacchino Natoli

Environmental toxicology 38:522-533 PubMed36336961

2022

LncRNA ZFAS1 promotes laryngeal cancer progression through RBFOX2-mediated MENA alternative splicing.

Applications

Unspecified application

Species

Unspecified reactive species

Baocai Lu,Xiao Li,Wenjie Miao,Qi Liu,Ruixue Li,Can Cui,Qingzu Gao,Rong Lian

Redox biology 57:102493 PubMed36182807

2022

CircRAPGEF5 interacts with RBFOX2 to confer ferroptosis resistance by modulating alternative splicing of TFRC in endometrial cancer.

Applications

Unspecified application

Species

Unspecified reactive species

Jun Zhang,Shuaijun Chen,Sitian Wei,Shuangshuang Cheng,Rui Shi,Rong Zhao,Wei Zhang,Qi Zhang,Teng Hua,Dilu Feng,Zhicheng Yu,Hongbo Wang

Molecular neurobiology 59:4854-4868 PubMed35641779

2022

LncRNA MIAT Promotes Spinal Cord Injury Recovery in Rats by Regulating RBFOX2-Mediated Alternative Splicing of MCL-1.

Applications

Unspecified application

Species

Unspecified reactive species

Xin He,Jianan Zhang,Yunshan Guo,Xiaowei Yang,Yunfei Huang,Dingjun Hao
View all publications

Product promise

We are committed to supporting your work with high-quality reagents, and we're here for you every step of the way. In the unlikely event that one of our products does not perform as expected, you're protected by our Product Promise.
For full details, please see our Terms & Conditions

Please note: All products are 'FOR RESEARCH USE ONLY. NOT FOR USE IN DIAGNOSTIC OR THERAPEUTIC PROCEDURES'.

For licensing inquiries, please contact partnerships@abcam.com