JavaScript is disabled in your browser. Please enable JavaScript to view this website.
AB170933

Anti-FOXA1 + FOXA2 + FOXA3 antibody [EPR10881]

  • RabMAb
  • Recombinant
  • Advanced Validation
  • 20ul selling size
  • What is this?

5

(1 Review)

|

(61 Publications)

Anti-FOXA1 + FOXA2 + FOXA3 antibody [EPR10881] (ab170933) is a rabbit monoclonal antibody detecting FOXA1 + FOXA2 + FOXA3 in Western Blot, Flow Cytometry (Intra), Flow Cytometry, IHC-P, ICC/IF. Suitable for Human, Mouse, Rat.

- Biophysical QC for unrivalled batch-batch consistency
- Over 30 publications

View Alternative Names

HNF3A, TCF3A, FOXA1, Hepatocyte nuclear factor 3-alpha, HNF-3-alpha, HNF-3A, Forkhead box protein A1, Transcription factor 3A, TCF-3A

14 Images
Immunohistochemistry (Formalin/PFA-fixed paraffin-embedded sections) - Anti-FOXA1 + FOXA2 + FOXA3 antibody [EPR10881] (AB170933)
  • IHC-P

Supplier Data

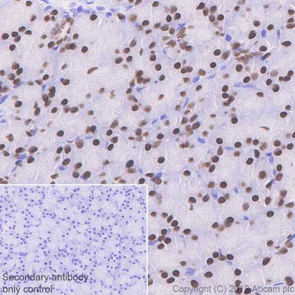
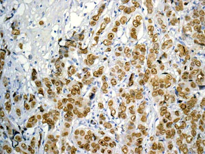
Immunohistochemistry (Formalin/PFA-fixed paraffin-embedded sections) - Anti-FOXA1 + FOXA2 + FOXA3 antibody [EPR10881] (AB170933)

Immunohistochemical analysis of paraffin-embedded Human breast carcinoma tissue labeling FOXA1 with unpurified ab170933 at 1/100 dilution. Heat mediated antigen retrieval was performed using citrate buffer pH 6.0 before commencing with IHC staining protocol.

Immunocytochemistry/ Immunofluorescence - Anti-FOXA1 + FOXA2 + FOXA3 antibody [EPR10881] (AB170933)
  • ICC/IF

Unknown

Immunocytochemistry/ Immunofluorescence - Anti-FOXA1 + FOXA2 + FOXA3 antibody [EPR10881] (AB170933)

Immunocytochemistry/ Immunofluorescence analysis of PC-3 (Human prostate adenocarcinoma epithelial cell) cells labeling FOXA1 with Purified ab170933 at 1 : 100 dilution (11 µg/ml). Cells were fixed in 4% Paraformaldehyde and permeabilized with 0.1% tritonX-100. Cells were counterstained with ab195889 Anti-alpha Tubulin antibody [DM1A] - Microtubule Marker (Alexa Fluor®594) 1 : 200 (2.5 µg/ml). Goat anti rabbit IgG (Alexa Fluor®488, ab150077) was used as the secondary antibody at 1 : 1000 (2 µg/ml) dilution. DAPI nuclear counterstain. PBS instead of the primary antibody was used as the secondary antibody only control.

Immunocytochemistry/ Immunofluorescence - Anti-FOXA1 + FOXA2 + FOXA3 antibody [EPR10881] (AB170933)
  • ICC/IF

Supplier Data

Immunocytochemistry/ Immunofluorescence - Anti-FOXA1 + FOXA2 + FOXA3 antibody [EPR10881] (AB170933)

Immunofluorescence analysis of HepG2 cells labeling FOXA1 with unpurified ab170933 at 1/100 dilution.

Immunohistochemistry (Formalin/PFA-fixed paraffin-embedded sections) - Anti-FOXA1 + FOXA2 + FOXA3 antibody [EPR10881] (AB170933)
  • IHC-P

Unknown

Immunohistochemistry (Formalin/PFA-fixed paraffin-embedded sections) - Anti-FOXA1 + FOXA2 + FOXA3 antibody [EPR10881] (AB170933)

Immunohistochemistry (Formalin/PFA-fixed paraffin-embedded sections) analysis of Human breast cancer tissue sections labeling FOXA1 with Purified ab170933 at 1 : 1000 dilution (1.13 μg/ml). Heat mediated antigen retrieval was performed using ab93684 (Tris/EDTA buffer, pH 9.0) ImmunoHistoProbe one step HRP Polymer (ready to use)was used as the secondary antibody.Negative control : PBS instead of the primary antibody.Hematoxylinwas used as a counterstain.

Flow Cytometry (Intracellular) - Anti-FOXA1 + FOXA2 + FOXA3 antibody [EPR10881] (AB170933)
  • Flow Cyt (Intra)

Lab

Flow Cytometry (Intracellular) - Anti-FOXA1 + FOXA2 + FOXA3 antibody [EPR10881] (AB170933)

Intracellular Flow Cytometry analysis of PC-3 (human prostate adenocarcinoma epithelial cell) cells labeling FOXA1 with purified ab170933 at 1/50 dilution (1 ug/ml) (red). Cells were fixed with 4% paraformaldehyde and permeabilised with 90% methanol. A Goat anti rabbit IgG (Alexa Fluor® 488, ab150081) (1/5000 dilution) was used as the secondary antibody. Rabbit monoclonal IgG (Black) was used as the isotype control, cells without incubation with primary antibody and secondary antibody (Blue) were used as the unlabeled control.

Immunohistochemistry (Formalin/PFA-fixed paraffin-embedded sections) - Anti-FOXA1 + FOXA2 + FOXA3 antibody [EPR10881] (AB170933)
  • IHC-P

Supplier Data

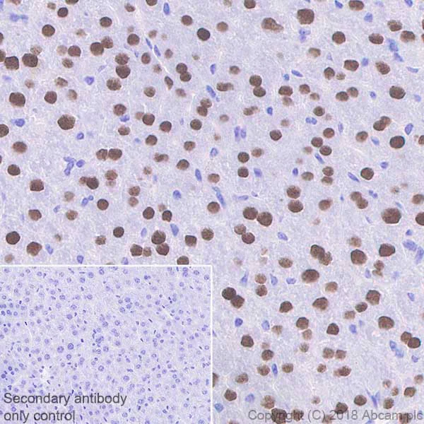
Immunohistochemistry (Formalin/PFA-fixed paraffin-embedded sections) - Anti-FOXA1 + FOXA2 + FOXA3 antibody [EPR10881] (AB170933)

Immunohistochemical analysis of paraffin-embedded Human prostate tissue labeling FOXA1 with unpurified ab170933 at 1/100 dilution. Heat mediated antigen retrieval was performed using citrate buffer pH 6.0 before commencing with IHC staining protocol.

Immunohistochemistry (Formalin/PFA-fixed paraffin-embedded sections) - Anti-FOXA1 + FOXA2 + FOXA3 antibody [EPR10881] (AB170933)
  • IHC-P

Unknown

Immunohistochemistry (Formalin/PFA-fixed paraffin-embedded sections) - Anti-FOXA1 + FOXA2 + FOXA3 antibody [EPR10881] (AB170933)

Immunohistochemistry (Formalin/PFA-fixed paraffin-embedded sections) analysis of Mouse liver tissue sections labeling FOXA1 with Purified ab170933 at 1 : 1000 dilution (1.13 μg/ml). Heat mediated antigen retrieval was performed using ab93684 (Tris/EDTA buffer, pH 9.0) ImmunoHistoProbe one step HRP Polymer (ready to use)was used as the secondary antibody.Negative control : PBS instead of the primary antibody.Hematoxylinwas used as a counterstain

Immunohistochemistry (Formalin/PFA-fixed paraffin-embedded sections) - Anti-FOXA1 + FOXA2 + FOXA3 antibody [EPR10881] (AB170933)
  • IHC-P

Unknown

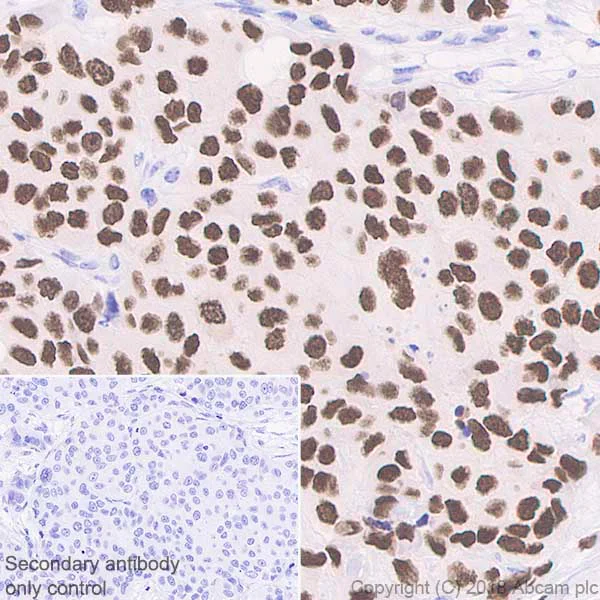
Immunohistochemistry (Formalin/PFA-fixed paraffin-embedded sections) - Anti-FOXA1 + FOXA2 + FOXA3 antibody [EPR10881] (AB170933)

Immunohistochemistry (Formalin/PFA-fixed paraffin-embedded sections) analysis of Rat pancreas tissue sections labeling FOXA1 with Purified ab170933 at 1 : 1000 dilution (1.13 μg/ml). Heat mediated antigen retrieval was performed using ab93684 (Tris/EDTA buffer, pH 9.0) ImmunoHistoProbe one step HRP Polymer (ready to use)was used as the secondary antibody.Negative control : PBS instead of the primary antibody.Hematoxylinwas used as a counterstain

Western blot - Anti-FOXA1 + FOXA2 + FOXA3 antibody [EPR10881] (AB170933)
  • WB

Unknown

Western blot - Anti-FOXA1 + FOXA2 + FOXA3 antibody [EPR10881] (AB170933)

Blocking and diluting buffer : 5% NFDM/TBST.

All lanes:

Western blot - Anti-FOXA1 + FOXA2 + FOXA3 antibody [EPR10881] (ab170933) at 1.1 µg/mL

Lane 1:

SW480 (Human colorectal adenocarcinoma epithelial cell) whole cell lysates at 15 µg

Lane 2:

Mouse lung lysates at 15 µg

Lane 3:

Rat lung lysates at 15 µg

Secondary

All lanes:

Western blot - Goat Anti-Rabbit IgG H&L (HRP) (<a href='/en-us/products/secondary-antibodies/goat-rabbit-igg-h-l-hrp-ab97051'>ab97051</a>) at 1/20000 dilution

Predicted band size: 49 kDa

Observed band size: 49 kDa

false

Western blot - Anti-FOXA1 + FOXA2 + FOXA3 antibody [EPR10881] (AB170933)
  • WB

Lab

Western blot - Anti-FOXA1 + FOXA2 + FOXA3 antibody [EPR10881] (AB170933)

Lanes 1 - 4 : Merged signal (red and green). Green - ab170933 observed at 52 kDa. Red - loading control, ab9484, observed at 37 kDa.

Unpurified ab170933 was shown to specifically react with FOXA1 in wild-type HAP1 cells as signal was lost in FOXA1 knockout cells. Wild-type and FOXA1 knockout samples were subjected to SDS-PAGE. ab170933 and ab9484 (Mouse anti-GAPDH loading control) were incubated overnight at 4°C at 1/1000 dilution and 1/20000 dilution respectively. Blots were developed with Goat anti-Rabbit IgG H&L (IRDye® 800CW) preabsorbed ab216773 and Goat anti-Mouse IgG H&L (IRDye® 680RD) preabsorbed ab216776 secondary antibodies at 1/10000 dilution for 1 hour at room temperature before imaging.

HAP1 cells are predicted to express FOXA1, not FOXA2 and FOXA3

All lanes:

Western blot - Anti-FOXA1 + FOXA2 + FOXA3 antibody [EPR10881] (ab170933) at 1/1000 dilution

Lane 1:

Wild-type HAP1 whole cell lysate at 20 µg

Lane 2:

FOXA1 knockout HAP1 whole cell lysate at 20 µg

Lane 3:

MCF7 whole cell lysate at 20 µg

Lane 4:

HepG2 whole cell lysate at 20 µg

Predicted band size: 49 kDa

false

Western blot - Anti-FOXA1 + FOXA2 + FOXA3 antibody [EPR10881] (AB170933)
  • WB

Lab

Western blot - Anti-FOXA1 + FOXA2 + FOXA3 antibody [EPR10881] (AB170933)

Lanes 1- 2 : Merged signal (red and green). Green - ab170933 observed at 52 kDa. Red - Anti-GAPDH antibody [6C5] - Loading Control (ab8245) observed at 37 kDa.

ab170933 was shown to react with FOXA1 in wild-type HeLa cells in western blot. Loss of signal was observed when knockout cell line ab261823 (knockout cell lysate ab256920) was used. Wild-type HeLa and FOXA1 knockout HeLa cell lysates were subjected to SDS-PAGE. Membrane was blocked for 1 hour at room temperature in 0.1% TBST with 3% non-fat dried milk. ab170933 and Anti-GAPDH antibody [6C5] - Loading Control (ab8245) overnight at 4°C at a 1 in 1000 dilution and a 1 in 20000 dilution respectively. Blots were developed with Goat anti-Rabbit IgG H&L (IRDye®800CW) preadsorbed (ab216773) and Goat anti-Mouse IgG H&L (IRDye®680RD) preadsorbed (ab216776) secondary antibodies at 1 in 20000 dilution for 1 hour at room temperature before imaging.

Hela cells are predicted to express FOXA1, not FOXA2 and FOXA3

All lanes:

Western blot - Anti-FOXA1 + FOXA2 + FOXA3 antibody [EPR10881] (ab170933) at 1/1000 dilution

Lane 1:

Wild-type HeLa cell lysate at 20 µg

Lane 2:

FOXA1 knockout HeLa cell lysate at 20 µg

Lane 2:

Western blot - Human FOXA1 knockout HeLa cell line (<a href='/en-us/products/cell-lines/human-foxa1-knockout-hela-cell-line-ab261823'>ab261823</a>)

Predicted band size: 49 kDa

Observed band size: 52 kDa

false

ChIC/CUT&RUN sequencing - Anti-FOXA1 + FOXA2 + FOXA3 antibody [EPR10881] (AB170933)
  • ChIC/CUT&RUN-seq

Lab

ChIC/CUT&RUN sequencing - Anti-FOXA1 + FOXA2 + FOXA3 antibody [EPR10881] (AB170933)

ChIC/CUT&RUN was performed using a pAG-MNase at a final concentration of 700 ng/mL, 2.5 x 10^5 HepG2 (human hepatocellular carcinoma epithelial cell) cells and 5 µg of ab170933 [EPR10881]. The resulting DNA was sequenced on the Illumina NovaSeq 6000 to a depth of 10 million reads. The negative IgG control ab172730 is also shown. The University of Geneva owns patents relevant to ChIC (Chromatin Immuno-Cleavage) methods.

ChIC/CUT&RUN sequencing - Anti-FOXA1 + FOXA2 + FOXA3 antibody [EPR10881] (AB170933)
  • ChIC/CUT&RUN-seq

Lab

ChIC/CUT&RUN sequencing - Anti-FOXA1 + FOXA2 + FOXA3 antibody [EPR10881] (AB170933)

ChIC/CUT&RUN was performed using a pAG-MNase at a final concentration of 700 ng/mL, 2.5 x 10^5 HepG2 (human hepatocellular carcinoma epithelial cell) cells and 5 µg of ab170933 [EPR10881]. The resulting DNA was sequenced on the Illumina NovaSeq 6000 to a depth of 10 million reads. The negative IgG control ab172730 is also shown. The University of Geneva owns patents relevant to ChIC (Chromatin Immuno-Cleavage) methods.

ChIC/CUT&RUN sequencing - Anti-FOXA1 + FOXA2 + FOXA3 antibody [EPR10881] (AB170933)
  • ChIC/CUT&RUN-seq

Lab

ChIC/CUT&RUN sequencing - Anti-FOXA1 + FOXA2 + FOXA3 antibody [EPR10881] (AB170933)

ChIC/CUT&RUN was performed using a pAG-MNase at a final concentration of 700 ng/mL, 2.5 x 10^5 HepG2 (human hepatocellular carcinoma epithelial cell) cells and 5 µg of ab170933 [EPR10881]. The resulting DNA was sequenced on the Illumina NovaSeq 6000 to a depth of 10 million reads. The negative IgG control ab172730 is also shown. The University of Geneva owns patents relevant to ChIC (Chromatin Immuno-Cleavage) methods.

  • 519 Alexa Fluor® 488

    Alexa Fluor® 488 Anti-FOXA1 + FOXA2 + FOXA3 antibody [EPR10881]

  • 665 Alexa Fluor® 647

    Alexa Fluor® 647 Anti-FOXA1 + FOXA2 + FOXA3 antibody [EPR10881]

  • Carrier free

    Anti-FOXA1 + FOXA2 + FOXA3 antibody [EPR10881] - BSA and Azide free

Key facts

Host species

Rabbit

Clonality

Monoclonal

Clone number

EPR10881

Isotype

IgG

Carrier free

No

Reacts with

Mouse, Rat, Human

Applications

IHC-P, WB, Flow Cyt (Intra), ICC/IF, ChIC/CUT&RUN-seq

applications

Immunogen

The exact immunogen used to generate this antibody is proprietary information.

Reactivity data

{ "title": "Reactivity Data", "filters": { "stats": ["", "Species", "Dilution Info", "Notes"], "tabs": { "all-applications": {"fullname" : "All Applications", "shortname": "All Applications"}, "IHCP" : {"fullname" : "Immunohistochemistry (Formalin/PFA-fixed paraffin-embedded sections)", "shortname":"IHC-P"}, "ChIP" : {"fullname" : "ChIP", "shortname":"ChIP"}, "WB" : {"fullname" : "Western blot", "shortname":"WB"}, "ChICCUTRUNseq" : {"fullname" : "ChIC/CUT&RUN sequencing", "shortname":"ChIC/CUT&RUN-seq"}, "ICCIF" : {"fullname" : "Immunocytochemistry/ Immunofluorescence", "shortname":"ICC/IF"}, "FlowCytIntra" : {"fullname" : "Flow Cytometry (Intracellular)", "shortname":"Flow Cyt (Intra)"} }, "product-promise": { "all": "all", "testedAndGuaranteed": "tested", "guaranteed": "expected", "predicted": "predicted", "notRecommended": "not-recommended" } }, "values": { "Human": { "IHCP-species-checked": "testedAndGuaranteed", "IHCP-species-dilution-info": "1/1000", "IHCP-species-notes": "<p><strong>For unpurified use 1/100 - 1/250</strong></p> Perform heat-mediated antigen retrieval with citrate buffer pH 6 before commencing with IHC staining protocol.", "ChIP-species-checked": "notRecommended", "ChIP-species-dilution-info": "5 µg for 25 µg chromatin", "ChIP-species-notes": "<p></p>", "WB-species-checked": "testedAndGuaranteed", "WB-species-dilution-info": "1/1000 - 1/10000", "WB-species-notes": "<p></p>", "ChICCUTRUNseq-species-checked": "testedAndGuaranteed", "ChICCUTRUNseq-species-dilution-info": "5 µg", "ChICCUTRUNseq-species-notes": "<p></p>", "ICCIF-species-checked": "testedAndGuaranteed", "ICCIF-species-dilution-info": "1/100 - 1/250", "ICCIF-species-notes": "<p></p>", "FlowCytIntra-species-checked": "testedAndGuaranteed", "FlowCytIntra-species-dilution-info": "", "FlowCytIntra-species-notes": "<p></p>" }, "Mouse": { "IHCP-species-checked": "testedAndGuaranteed", "IHCP-species-dilution-info": "1/1000", "IHCP-species-notes": "<p><strong>For unpurified use 1/100 - 1/250</strong></p> Perform heat-mediated antigen retrieval with citrate buffer pH 6 before commencing with IHC staining protocol.", "ChIP-species-checked": "notRecommended", "ChIP-species-dilution-info": "5 µg for 25 µg chromatin", "ChIP-species-notes": "<p></p>", "WB-species-checked": "testedAndGuaranteed", "WB-species-dilution-info": "1/1000 - 1/10000", "WB-species-notes": "<p></p>", "ChICCUTRUNseq-species-checked": "guaranteed", "ChICCUTRUNseq-species-dilution-info": "", "ChICCUTRUNseq-species-notes": "", "ICCIF-species-checked": "guaranteed", "ICCIF-species-dilution-info": "", "ICCIF-species-notes": "", "FlowCytIntra-species-checked": "guaranteed", "FlowCytIntra-species-dilution-info": "", "FlowCytIntra-species-notes": "" }, "Rat": { "IHCP-species-checked": "testedAndGuaranteed", "IHCP-species-dilution-info": "1/1000", "IHCP-species-notes": "<p><strong>For unpurified use 1/100 - 1/250</strong></p> Perform heat-mediated antigen retrieval with citrate buffer pH 6 before commencing with IHC staining protocol.", "ChIP-species-checked": "notRecommended", "ChIP-species-dilution-info": "5 µg for 25 µg chromatin", "ChIP-species-notes": "<p></p>", "WB-species-checked": "testedAndGuaranteed", "WB-species-dilution-info": "1/1000 - 1/10000", "WB-species-notes": "<p></p>", "ChICCUTRUNseq-species-checked": "guaranteed", "ChICCUTRUNseq-species-dilution-info": "", "ChICCUTRUNseq-species-notes": "", "ICCIF-species-checked": "guaranteed", "ICCIF-species-dilution-info": "", "ICCIF-species-notes": "", "FlowCytIntra-species-checked": "guaranteed", "FlowCytIntra-species-dilution-info": "", "FlowCytIntra-species-notes": "" } } }

Product details

What is this antibody validated in?
Anti-FOXA1 + FOXA2 + FOXA3 antibody [EPR10881] (ab170933) is a rabbit recombinant monoclonal antibody and is validated for use in Western Blot (WB), Flow Cytometry (Intra), Flow Cytometry (Flow Cyt), Immunohistochemistry (IHC-P), Immunocytochemistry/immunofluorescence (ICC/IF) in Human, Mouse, Rat samples.

What is the molecular weight of FOXA1?
Anti-FOXA1 + FOXA2 + FOXA3 [EPR10881] (ab170933) detects a band for FOXA1 (UniProt: P55317) at a molecular weight of 49kDa.

Trusted by the scientific community
Anti-FOXA1 + FOXA2 + FOXA3 [EPR10881] (ab170933) was first used in a scientific publication in 2013 and has been cited over 30 times in peer-reviewed journals.

Trial sizes available!
Test your antibody or perform pre-screening before committing to a larger quantity. Sold in 10µl. Discover our selection of trial-size antibodies.

Other related products
We have a range of other formats of antibody clone [EPR10881] also available for your convenience: ab170933, Alexa Fluor® 647 - ab196908, Alexa Fluor® 488 - ab197235, Carrier free - ab236011

Patented technology
Our RabMAb® technology is a patented hybridoma-based technology for making rabbit monoclonal antibodies. For details on our patents, please refer to RabMAb® patents.

What are the advantages of a recombinant monoclonal antibody?
This product is a recombinant monoclonal antibody, which offers several advantages including:

  • - High batch-to-batch consistency and reproducibility
  • - Improved sensitivity and specificity
  • - Long-term security of supply
  • - Animal-free batch production

For more information, read more on recombinant antibodies.

Properties and storage information

Form
Liquid
Purification technique
Affinity purification Protein A
Storage buffer
Preservative: 0.01% Sodium azide Constituents: PBS, 40% Glycerol (glycerin, glycerine), 0.05% BSA
Shipped at conditions
Blue Ice
Appropriate short-term storage duration
1-2 weeks
Appropriate short-term storage conditions
+4°C
Appropriate long-term storage conditions
-20°C
Aliquoting information
Upon delivery aliquot
Storage information
Avoid freeze / thaw cycle

Supplementary information

This supplementary information is collated from multiple sources and compiled automatically.

FOXA1 also known as Forkhead Box A1 is a transcription factor with a molecular weight of about 49 kDa. It plays a role by binding to specific DNA sequences influencing the expression of genes involved in various cellular processes. This protein is expressed in tissues like liver lungs and prostate. Researchers also refer to FOXA1 as HNF-3α emphasizing its importance in transcription regulation.
Biological function summary

FOXA1 influences the transcriptional control of genes essential for organ development and metabolic regulation. It acts as a pioneer factor opening chromatin structure to enable access for other transcription factors. FOXA1 integrates into complexes that involve histone modification affecting the chromatin state and transcription of target genes. This function is necessary for the proper differentiation and function of several tissues.

Pathways

FOXA1 participates significantly in the androgen receptor signaling pathway and the estrogen receptor signaling pathway. It interacts closely with androgen receptor facilitating the expression of genes that influence cell growth and proliferation. The involvement of FOXA1 in these pathways highlights its critical role in pathways that regulate hormone-responsive cancers and metabolic processes.

FOXA1 shows a strong association with cancers such as prostate cancer and breast cancer. FOXA1's interaction with the androgen receptor links it to prostate cancer progression while its involvement with the estrogen receptor correlates with breast cancer development. Aberrations in its expression or function can disrupt these pathways emphasizing the importance of FOXA1 in cancer biology and its potential as a therapeutic target.

Product protocols

For this product, it's our understanding that no specific protocols are required. You can visit:

Target data

Transcription factor that is involved in embryonic development, establishment of tissue-specific gene expression and regulation of gene expression in differentiated tissues. Is thought to act as a 'pioneer' factor opening the compacted chromatin for other proteins through interactions with nucleosomal core histones and thereby replacing linker histones at target enhancer and/or promoter sites. Binds DNA with the consensus sequence 5'-[AC]A[AT]T[AG]TT[GT][AG][CT]T[CT]-3' (By similarity). Proposed to play a role in translating the epigenetic signatures into cell type-specific enhancer-driven transcriptional programs. Its differential recruitment to chromatin is dependent on distribution of histone H3 methylated at 'Lys-5' (H3K4me2) in estrogen-regulated genes. Involved in the development of multiple endoderm-derived organ systems such as liver, pancreas, lung and prostate; FOXA1 and FOXA2 seem to have at least in part redundant roles (By similarity). Modulates the transcriptional activity of nuclear hormone receptors. Is involved in ESR1-mediated transcription; required for ESR1 binding to the NKX2-1 promoter in breast cancer cells; binds to the RPRM promoter and is required for the estrogen-induced repression of RPRM. Involved in regulation of apoptosis by inhibiting the expression of BCL2. Involved in cell cycle regulation by activating expression of CDKN1B, alone or in conjunction with BRCA1. Originally described as a transcription activator for a number of liver genes such as AFP, albumin, tyrosine aminotransferase, PEPCK, etc. Interacts with the cis-acting regulatory regions of these genes. Involved in glucose homeostasis.
See full target information FOXA1

Additional targets

FOXA2,FOXA3

Publications (61)

Recent publications for all applications. Explore the full list and refine your search

Cell communication and signaling : CCS 23:331 PubMed40640803

2025

NASP implication in the androgen receptor associated with castration resistance in prostate cancer.

Applications

Unspecified application

Species

Unspecified reactive species

Yun Feng,Jin Sun,Xuan Kang,Yining Wang,Kai Liu,Wenfei Wang,Chen Wang,Yabin Li,Qian Zhao,Kaile Li,Fang-Lin Sun,Jianfeng Chang

Scientific reports 15:22679 PubMed40596516

2025

DNA probe pulldown screening uncovers O-GlcNAcylation modulation of transcription factor DNA interactions.

Applications

Unspecified application

Species

Unspecified reactive species

Guofang Li,Fanxu Meng,Xiaomin Zhong,Kairan Yu,Nana Zhang,Keren Zhang,Huang Huang,Wenli Li,Jianing Zhang,Wei Wang,Yan Ren,Yubo Liu

NPJ precision oncology 9:127 PubMed40319192

2025

FOXA1-dependent NSUN2 facilitates the advancement of prostate cancer by preserving TRIM28 mRNA stability in a m5C-dependent manner.

Applications

Unspecified application

Species

Unspecified reactive species

Zhenda Wang,Abudurexiti Mierxiati,Wenkai Zhu,Tian Li,Hua Xu,Fangning Wan,Dingwei Ye

Drug development research 86:e70087 PubMed40233258

2025

FOXA1 Targets NEK2 to Mediate Cisplatin Resistance in Lung Adenocarcinoma Cells by Activating DNA Damage Repair.

Applications

Unspecified application

Species

Unspecified reactive species

Junhong Yang,Guangcheng Yue,Zhiguo Fan,Ning Zhang,Shiwei Nie,Jing Li,Yuanyuan Ji

Scientific reports 15:4594 PubMed39920313

2025

FoxA1 knockdown promotes BMSC osteogenesis in part by activating the ERK1/2 signaling pathway and preventing ovariectomy-induced bone loss.

Applications

Unspecified application

Species

Unspecified reactive species

Lijun Li,Renjin Lin,Yang Xu,Lingdi Li,Zhijun Pan,Jian Huang

Science advances 10:eadp0673 PubMed39642224

2024

An extragenital cell population contributes to urethra closure during mouse penis development.

Applications

Unspecified application

Species

Unspecified reactive species

Ciro Maurizio Amato,Xin Xu,Humphrey Hung-Chang Yao

NPJ genomic medicine 9:64 PubMed39622796

2024

Comparative transcriptomic, epigenomic and immunological analyses identify drivers of disparity in high-grade serous ovarian cancer.

Applications

Unspecified application

Species

Unspecified reactive species

Hao Huang,Russel Keathley,Ujin Kim,Horacio Cardenas,Ping Xie,Jianjun Wei,Ernst Lengyel,Kenneth P Nephew,Guangyuan Zhao,Zhen Fu,Emma L Barber,Masha Kocherginsky,Victoria Bae-Jump,Bin Zhang,Daniela Matei

Journal of orthopaedic surgery and research 19:814 PubMed39623394

2024

FOXA1 knockdown alleviates inflammation and enhances osteogenic differentiation of periodontal ligament stem cells via STAT3 pathway.

Applications

Unspecified application

Species

Unspecified reactive species

Jin Wang,Yanru Zhu

Journal of Cancer 15:6052-6072 PubMed39440050

2024

In Silico Analysis Uncovers FOXA1 as a Potential Biomarker for Predicting Neoadjuvant Chemotherapy Response in Fine-Needle Aspiration Biopsies.

Applications

Unspecified application

Species

Unspecified reactive species

Zhenglang Yin,Jianfei Tao,Yanyan Liu,Haohao Chen,Kongwang Hu,Yao Wang,Maoming Xiong

Cell death & disease 15:559 PubMed39097593

2024

Enzalutamide inhibits PEX10 function and sensitizes prostate cancer cells to ROS activators.

Applications

Unspecified application

Species

Unspecified reactive species

Yuankang Feng,Yu Zhang,Hao Li,Tao Wang,Fubo Lu,Ruoyang Liu,Guoqing Xie,Liang Song,Budeng Huang,Xiang Li,Yinghui Ding,Jinjian Yang,Zhankui Jia,Zhenlin Huang
View all publications

Product promise

We are committed to supporting your work with high-quality reagents, and we're here for you every step of the way. In the unlikely event that one of our products does not perform as expected, you're protected by our Product Promise.
For full details, please see our Terms & Conditions

Please note: All products are 'FOR RESEARCH USE ONLY. NOT FOR USE IN DIAGNOSTIC OR THERAPEUTIC PROCEDURES'.

For licensing inquiries, please contact partnerships@abcam.com