JavaScript is disabled in your browser. Please enable JavaScript to view this website.
AB317047

Anti-FOXA1 + FOXA2 + FOXA3 antibody [RM1119] - BSA and Azide free

Be the first to review this product! Submit a review

|

(0 Publication)

Rabbit Recombinant Multiclonal FOXA1 antibody. Carrier free. Suitable for WB, IHC-P, ICC/IF, Flow Cyt (Intra) and reacts with Recombinant fragment - Human, Human, Mouse, Rat samples.

View Alternative Names

HNF3A, TCF3A, FOXA1, Hepatocyte nuclear factor 3-alpha, HNF-3-alpha, HNF-3A, Forkhead box protein A1, Transcription factor 3A, TCF-3A, HNF3B, TCF3B, FOXA2, Hepatocyte nuclear factor 3-beta, HNF-3-beta, HNF-3B, Forkhead box protein A2, Transcription factor 3B, TCF-3B, HNF3G, TCF3G, FOXA3, Hepatocyte nuclear factor 3-gamma, HNF-3-gamma, HNF-3G, Fork head-related protein FKH H3, Forkhead box protein A3, Transcription factor 3G, TCF-3G

12 Images
Immunohistochemistry (Formalin/PFA-fixed paraffin-embedded sections) - Anti-FOXA1 + FOXA2 + FOXA3 antibody [RM1119] - BSA and Azide free (AB317047)
  • IHC-P

Supplier Data

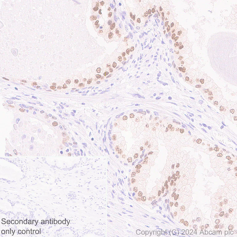
Immunohistochemistry (Formalin/PFA-fixed paraffin-embedded sections) - Anti-FOXA1 + FOXA2 + FOXA3 antibody [RM1119] - BSA and Azide free (AB317047)

This data was developed using ab317046, the same antibody clone in a different buffer formulation.

Immunohistochemical analysis of paraffin-embedded Human prostatic hyperplasia tissue labeling FOXA1 + FOXA2 + FOXA3 with ab317046 at 1/2000 (0.261 ug/ml) dilution, followed by a ready to use LeicaDS9800 (Bond™ Polymer Refine Detection).

Nuclear staining on human prostatic hyperplasia.
The section was incubated with ab317046 for 30 mins at room temperature.
The immunostaining was performed on a Leica Biosystems BOND® RX instrument

Counterstained with Hematoxylin.

Secondary antibody only control : Secondary antibody is a ready to use LeicaDS9800 (Bond™ Polymer Refine Detection).

Heat mediated antigen retrieval was performed with Tris-EDTA buffer (pH 9.0, Epitope Retrieval Solution2) for 20 mins

Flow Cytometry (Intracellular) - Anti-FOXA1 + FOXA2 + FOXA3 antibody [RM1119] - BSA and Azide free (AB317047)
  • Flow Cyt (Intra)

Supplier Data

Flow Cytometry (Intracellular) - Anti-FOXA1 + FOXA2 + FOXA3 antibody [RM1119] - BSA and Azide free (AB317047)

This data was developed using ab317046, the same antibody clone in a different buffer formulation.

Flow cytometric analysis of 4% paraformaldehyde fixed 90% methanol permeabilized HCT 116 (human colorectal carcinoma epithelial cell, Left ) / PC-3 (human prostate adenocarcinoma epithelial cell, Right ) cells labelling FOXA1 + FOXA2 + FOXA3 with ab317046 at 1/5000 dilution (0.01 ug)/Red compared with a Rabbit monoclonal IgG (ab172730) (Black) isotype control and an unlabelled control (cells without incubation with primary antibody and secondary antibody) (Blue).

Goat Anti-Rabbit IgG (Alexa Fluor® 488, ab150081) at 1/5000 dilution was used as the secondary antibody.

Negative control : HCT 116

Immunocytochemistry/ Immunofluorescence - Anti-FOXA1 + FOXA2 + FOXA3 antibody [RM1119] - BSA and Azide free (AB317047)
  • ICC/IF

Supplier Data

Immunocytochemistry/ Immunofluorescence - Anti-FOXA1 + FOXA2 + FOXA3 antibody [RM1119] - BSA and Azide free (AB317047)

This data was developed using ab317046, the same antibody clone in a different buffer formulation.

Immunofluorescent analysis of 4% Paraformaldehyde-fixed, 0.1% TritonX-100 permeabilized PC-3 (human prostate adenocarcinoma epithelial cell) cells labelling FOXA1 + FOXA2 + FOXA3 with ab317046 at 1/2000 (0.261 ug/ml) dilution, followed by ab150081 Goat Anti-Rabbit IgG H&L (Alexa Fluor® 488) preadsorbed antibody at 1/1000 (2 ug/ml) dilution (Green).

Confocal image showing nuclear staining in PC-3 cells (shown in green). The counterstain was observed in magenta. Nuclear DNA was labeled with DAPI (shown in blue).
Negative control : HCT 116.
The image was taken with a confocal microscope (Leica-Microsystems, TCS SP8).

ab195889 Anti-alpha Tubulin mouse monoclonal antibody - Microtubule Marker (Alexa Fluor® 594) was used to counterstain tubulin at 1/200 (2.5ug/ml) dilution (Magenta). The Nuclear counterstain was DAPI (Blue).

Secondary antibody only control : Secondary antibody is ab150081 Goat Anti-Rabbit IgG H&L (Alexa Fluor® 488) preadsorbed at 1/1000 (2 ug/ml) dilution.

Immunohistochemistry (Formalin/PFA-fixed paraffin-embedded sections) - Anti-FOXA1 + FOXA2 + FOXA3 antibody [RM1119] - BSA and Azide free (AB317047)
  • IHC-P

Supplier Data

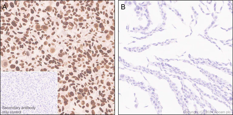
Immunohistochemistry (Formalin/PFA-fixed paraffin-embedded sections) - Anti-FOXA1 + FOXA2 + FOXA3 antibody [RM1119] - BSA and Azide free (AB317047)

This data was developed using ab317046, the same antibody clone in a different buffer formulation.

Immunohistochemical analysis of paraffin-embedded (A) PC-3 (human prostate adenocarcinoma epithelial cell) cell pellet (B) HCT-116 (human colorectal carcinoma epithelial cell) cell pellet tissue labeling FOXA1 + FOXA2 + FOXA3 with ab317046 at 1/2000 (0.261 ug/ml) dilution, followed by a ready to use LeicaDS9800 (Bond™ Polymer Refine Detection).

Positive staining on (A) PC-3 cell pellet, no staining on (B) HCT-116 cell pellet.
The section was incubated with ab317046 for 30 mins at room temperature.
The immunostaining was performed on a Leica Biosystems BOND® RX instrument

Counterstained with Hematoxylin.

Secondary antibody only control : Secondary antibody is a ready to use LeicaDS9800 (Bond™ Polymer Refine Detection).

Heat mediated antigen retrieval was performed with Tris-EDTA buffer (pH 9.0, Epitope Retrieval Solution2) for 20 mins

Immunohistochemistry (Formalin/PFA-fixed paraffin-embedded sections) - Anti-FOXA1 + FOXA2 + FOXA3 antibody [RM1119] - BSA and Azide free (AB317047)
  • IHC-P

Supplier Data

Immunohistochemistry (Formalin/PFA-fixed paraffin-embedded sections) - Anti-FOXA1 + FOXA2 + FOXA3 antibody [RM1119] - BSA and Azide free (AB317047)

This data was developed using ab317046, the same antibody clone in a different buffer formulation.

Immunohistochemical analysis of paraffin-embedded Human cerebrum tissue labeling FOXA1 + FOXA2 + FOXA3 with ab317046 at 1/2000 (0.261 ug/ml) dilution, followed by a ready to use LeicaDS9800 (Bond™ Polymer Refine Detection).

Negative control : no staining on human cerebrum.
The section was incubated with ab317046 for 30 mins at room temperature.
The immunostaining was performed on a Leica Biosystems BOND® RX instrument

Counterstained with Hematoxylin.

Secondary antibody only control : Secondary antibody is a ready to use LeicaDS9800 (Bond™ Polymer Refine Detection).

Heat mediated antigen retrieval was performed with Tris-EDTA buffer (pH 9.0, Epitope Retrieval Solution2) for 20 mins

Immunohistochemistry (Formalin/PFA-fixed paraffin-embedded sections) - Anti-FOXA1 + FOXA2 + FOXA3 antibody [RM1119] - BSA and Azide free (AB317047)
  • IHC-P

Supplier Data

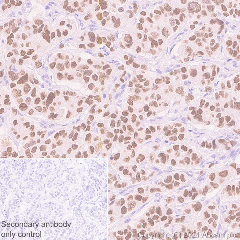
Immunohistochemistry (Formalin/PFA-fixed paraffin-embedded sections) - Anti-FOXA1 + FOXA2 + FOXA3 antibody [RM1119] - BSA and Azide free (AB317047)

This data was developed using ab317046, the same antibody clone in a different buffer formulation.

Immunohistochemical analysis of paraffin-embedded Human breast cancer tissue labeling FOXA1 + FOXA2 + FOXA3 with ab317046 at 1/2000 (0.261 ug/ml) dilution, followed by a ready to use LeicaDS9800 (Bond™ Polymer Refine Detection).

Nuclear staining on human breast cancer.
The section was incubated with ab317046 for 30 mins at room temperature.
The immunostaining was performed on a Leica Biosystems BOND® RX instrument

Counterstained with Hematoxylin.

Secondary antibody only control : Secondary antibody is a ready to use LeicaDS9800 (Bond™ Polymer Refine Detection).

Heat mediated antigen retrieval was performed with Tris-EDTA buffer (pH 9.0, Epitope Retrieval Solution2) for 20 mins

Immunohistochemistry (Formalin/PFA-fixed paraffin-embedded sections) - Anti-FOXA1 + FOXA2 + FOXA3 antibody [RM1119] - BSA and Azide free (AB317047)
  • IHC-P

Supplier Data

Immunohistochemistry (Formalin/PFA-fixed paraffin-embedded sections) - Anti-FOXA1 + FOXA2 + FOXA3 antibody [RM1119] - BSA and Azide free (AB317047)

This data was developed using ab317046, the same antibody clone in a different buffer formulation.

Immunohistochemical analysis of paraffin-embedded Mouse colon tissue labeling FOXA1 + FOXA2 + FOXA3 with ab317046 at 1/2000 (0.522 ug/ml) dilution, followed by a ready to use LeicaDS9800 (Bond™ Polymer Refine Detection).

Nuclear staining on mouse colon.
The section was incubated with ab317046 for 30 mins at room temperature.
The immunostaining was performed on a Leica Biosystems BOND® RX instrument

Counterstained with Hematoxylin.

Secondary antibody only control : Secondary antibody is a ready to use LeicaDS9800 (Bond™ Polymer Refine Detection).

Heat mediated antigen retrieval was performed with Tris-EDTA buffer (pH 9.0, Epitope Retrieval Solution2) for 20 mins

Immunohistochemistry (Formalin/PFA-fixed paraffin-embedded sections) - Anti-FOXA1 + FOXA2 + FOXA3 antibody [RM1119] - BSA and Azide free (AB317047)
  • IHC-P

Supplier Data

Immunohistochemistry (Formalin/PFA-fixed paraffin-embedded sections) - Anti-FOXA1 + FOXA2 + FOXA3 antibody [RM1119] - BSA and Azide free (AB317047)

This data was developed using ab317046, the same antibody clone in a different buffer formulation.

Immunohistochemical analysis of paraffin-embedded Rat colon tissue labeling FOXA1 + FOXA2 + FOXA3 with ab317046 at 1/2000 (0.261 ug/ml) dilution, followed by a ready to use LeicaDS9800 (Bond™ Polymer Refine Detection).

Nuclear staining on rat colon.
The section was incubated with ab317046 for 30 mins at room temperature.
The immunostaining was performed on a Leica Biosystems BOND® RX instrument

Counterstained with Hematoxylin.

Secondary antibody only control : Secondary antibody is a ready to use LeicaDS9800 (Bond™ Polymer Refine Detection).

Heat mediated antigen retrieval was performed with Tris-EDTA buffer (pH 9.0, Epitope Retrieval Solution2) for 20 mins

Western blot - Anti-FOXA1 + FOXA2 + FOXA3 antibody [RM1119] - BSA and Azide free (AB317047)
  • WB

Supplier Data

Western blot - Anti-FOXA1 + FOXA2 + FOXA3 antibody [RM1119] - BSA and Azide free (AB317047)

This data was developed using ab317046, the same antibody clone in a different buffer formulation.

FOXA1 can undergo degradation easily. The lysates were recommended freshly made and used for Western Blotting immediately to minimize protein degradation

Exposure time : Lane 1 : 15 seconds Lane 2 : 37 seconds

All lanes:

Western blot - Anti-FOXA1 + FOXA2 + FOXA3 antibody [RM1119] (<a href='/en-us/products/primary-antibodies/foxa1-antibody-rm1119-ab317046'>ab317046</a>) at 1/1000 dilution

Lane 1:

PC-3 (human prostate adenocarcinoma epithelial cell) whole fresh cell lysate at 20 µg

Lane 2:

PC-3 (human prostate adenocarcinoma epithelial cell) whole frozen cell lysate at 20 µg

Secondary

All lanes:

Goat Anti-Rabbit IgG (HRP) with minimal cross-reactivity with human IgG at 1/2000 dilution

Observed band size: 49 kDa,52 kDa

false

Western blot - Anti-FOXA1 + FOXA2 + FOXA3 antibody [RM1119] - BSA and Azide free (AB317047)
  • WB

Supplier Data

Western blot - Anti-FOXA1 + FOXA2 + FOXA3 antibody [RM1119] - BSA and Azide free (AB317047)

This data was developed using ab317046, the same antibody clone in a different buffer formulation.

Negative controls : HCT 116 and SH-SY5Y.

In Western blot, Anti-GAPDH antibody [EPR16891] - Loading Control (ab181602) staining at 1/200000 dilution.

Exposure time : Lane1, 3-5 : 180 seconds Lane2 : 37 seconds

All lanes:

Western blot - Anti-FOXA1 + FOXA2 + FOXA3 antibody [RM1119] (<a href='/en-us/products/primary-antibodies/foxa1-antibody-rm1119-ab317046'>ab317046</a>) at 1/1000 dilution

Lane 1:

MCF7 (human breast adenocarcinoma epithelial cell) whole cell lysate at 20 µg

Lane 2:

T-47D (human ductal breast epithelial tumor epithelial cell) whole cell lysate at 20 µg

Lane 3:

HT-29 (human colorectal adenocarcinoma epithelial cell) whole cell lysate at 20 µg

Lane 4:

HCT 116 (human colorectal carcinoma epithelial cell) whole cell lysate at 20 µg

Lane 5:

SH-SY5Y (human neuroblastoma epithelial cell) whole cell lysate at 20 µg

Secondary

All lanes:

Western blot - Goat Anti-Rabbit IgG H&L (HRP) (<a href='/en-us/products/secondary-antibodies/goat-rabbit-igg-h-l-hrp-ab97051'>ab97051</a>) at 1/100000 dilution

Observed band size: 35-52 kDa,36 kDa

false

Western blot - Anti-FOXA1 + FOXA2 + FOXA3 antibody [RM1119] - BSA and Azide free (AB317047)
  • WB

Supplier Data

Western blot - Anti-FOXA1 + FOXA2 + FOXA3 antibody [RM1119] - BSA and Azide free (AB317047)

This data was developed using ab317046, the same antibody clone in a different buffer formulation.

The lysates were freshly made and used for Western Blotting immediately to minimize protein degradation.

All lanes:

Western blot - Anti-FOXA1 + FOXA2 + FOXA3 antibody [RM1119] (<a href='/en-us/products/primary-antibodies/foxa1-antibody-rm1119-ab317046'>ab317046</a>) at 1/1000 dilution

Lane 1:

HeLa (human cervical adenocarcinoma epithelial cell) whole cell lysate at 20 µg

Lane 2:

293T (human embryonic kidney epithelial cell) whole cell lysate at 20 µg

Secondary

All lanes:

Western blot - Goat Anti-Rabbit IgG H&L (HRP) (<a href='/en-us/products/secondary-antibodies/goat-rabbit-igg-h-l-hrp-ab97051'>ab97051</a>) at 1/100000 dilution

Observed band size: 52 kDa

false

Exposure time: 180s

Western blot - Anti-FOXA1 + FOXA2 + FOXA3 antibody [RM1119] - BSA and Azide free (AB317047)
  • WB

Lab

Western blot - Anti-FOXA1 + FOXA2 + FOXA3 antibody [RM1119] - BSA and Azide free (AB317047)

This data was developed using ab317046, the same antibody clone in a different buffer formulation.

Anti-FOXA1 + FOXA2 + FOXA3 antibody [RM1119] ab317046 staining at 1/1000 dilution, shown in green; Mouse anti GST (ab92) loading control staining at 1/200 dilution, shown in magenta. To generate this image, samples were run on an SDS-PAGE gel then transferred onto a nitrocellulose membrane. Membranes were blocked in 3pc Milk in TBS-0.1 % Tween® 20 (TBS-T) before incubation with primary antibodies overnight at 4°C. Blots were washed four times in TBS-T, incubated with secondary antibodies for 1 h at room temperature, washed again four times then imaged. Secondary antibodies used were Goat anti-Rabbit 800CW & Goat anti-Mouse 680RD at 1/20,000 dilution.

All lanes:

Western blot - Anti-FOXA1 + FOXA2 + FOXA3 antibody [RM1119] (<a href='/en-us/products/primary-antibodies/foxa1-antibody-rm1119-ab317046'>ab317046</a>) at 1/1000 dilution

Lane 1:

FOXA1 Recombinant Protein (GST Tag) at 0.1 µg

Lane 2:

FOXA2 Recombinant Protein (GST Tag) at 0.1 µg

Lane 3:

FOXA3 Recombinant Protein (GST Tag) at 0.1 µg

Secondary

All lanes:

Goat anti-Rabbit 800CW & Goat anti-Mouse 680RD at 1/20000 dilution

Predicted band size: 52 kDa,50 kDa,37 kDa

Observed band size: 78 kDa,76 kDa,63 kDa

false

Key facts

Host species

Rabbit

Clonality

Multiclonal

Clone number

RM1119

Isotype

IgG

Carrier free

Yes

Reacts with

Human, Mouse, Rat

Applications

ICC/IF, IHC-P, Flow Cyt (Intra), WB

applications

Immunogen

The exact immunogen used to generate this antibody is proprietary information.

Specificity

Unsuitable for mouse and rat WB.

Reactivity data

{ "title": "Reactivity Data", "filters": { "stats": ["", "Species", "Dilution Info", "Notes"], "tabs": { "all-applications": {"fullname" : "All Applications", "shortname": "All Applications"}, "WB" : {"fullname" : "Western blot", "shortname":"WB"}, "IHCP" : {"fullname" : "Immunohistochemistry (Formalin/PFA-fixed paraffin-embedded sections)", "shortname":"IHC-P"}, "ICCIF" : {"fullname" : "Immunocytochemistry/ Immunofluorescence", "shortname":"ICC/IF"}, "FlowCytIntra" : {"fullname" : "Flow Cytometry (Intracellular)", "shortname":"Flow Cyt (Intra)"}, "IP" : {"fullname" : "Immunoprecipitation", "shortname":"IP"} }, "product-promise": { "all": "all", "testedAndGuaranteed": "tested", "guaranteed": "expected", "predicted": "predicted", "notRecommended": "not-recommended" } }, "values": { "Human": { "WB-species-checked": "testedAndGuaranteed", "WB-species-dilution-info": "", "WB-species-notes": "<p></p>", "IHCP-species-checked": "testedAndGuaranteed", "IHCP-species-dilution-info": "", "IHCP-species-notes": "<p></p>", "ICCIF-species-checked": "testedAndGuaranteed", "ICCIF-species-dilution-info": "", "ICCIF-species-notes": "<p></p>", "FlowCytIntra-species-checked": "testedAndGuaranteed", "FlowCytIntra-species-dilution-info": "", "FlowCytIntra-species-notes": "<p></p>", "IP-species-checked": "notRecommended", "IP-species-dilution-info": "", "IP-species-notes": "<p></p>" }, "Mouse": { "WB-species-checked": "notRecommended", "WB-species-dilution-info": "", "WB-species-notes": "<p></p>", "IHCP-species-checked": "testedAndGuaranteed", "IHCP-species-dilution-info": "", "IHCP-species-notes": "<p></p>", "ICCIF-species-checked": "guaranteed", "ICCIF-species-dilution-info": "", "ICCIF-species-notes": "", "FlowCytIntra-species-checked": "guaranteed", "FlowCytIntra-species-dilution-info": "", "FlowCytIntra-species-notes": "", "IP-species-checked": "notRecommended", "IP-species-dilution-info": "", "IP-species-notes": "" }, "Rat": { "WB-species-checked": "notRecommended", "WB-species-dilution-info": "", "WB-species-notes": "<p></p>", "IHCP-species-checked": "testedAndGuaranteed", "IHCP-species-dilution-info": "", "IHCP-species-notes": "<p></p>", "ICCIF-species-checked": "guaranteed", "ICCIF-species-dilution-info": "", "ICCIF-species-notes": "", "FlowCytIntra-species-checked": "guaranteed", "FlowCytIntra-species-dilution-info": "", "FlowCytIntra-species-notes": "", "IP-species-checked": "notRecommended", "IP-species-dilution-info": "", "IP-species-notes": "" }, "Recombinant fragment - Human": { "WB-species-checked": "testedAndGuaranteed", "WB-species-dilution-info": "", "WB-species-notes": "<p></p>", "IHCP-species-checked": "notRecommended", "IHCP-species-dilution-info": "", "IHCP-species-notes": "", "ICCIF-species-checked": "notRecommended", "ICCIF-species-dilution-info": "", "ICCIF-species-notes": "", "FlowCytIntra-species-checked": "notRecommended", "FlowCytIntra-species-dilution-info": "", "FlowCytIntra-species-notes": "", "IP-species-checked": "notRecommended", "IP-species-dilution-info": "", "IP-species-notes": "" } } }

Product details

ab317047 is the carrirer-free version of ab317046.

What are recombinant multiclonals?
Recombinant multiclonals are a mixture of recombinant antibodies co-expressed from a library of heavy and light chains. They offer several advantages including:

  • - The sensitivity of polyclonal antibodies by recognising multiple epitopes
  • - High batch-to-batch consistency and reproducibility
  • - Improved sensitivity and specificity
  • - Long-term security of supply
  • - Animal-free batch production

View our range of recombinant multiclonal antibodies.

Patented technology
Our RabMAb® technology is a patented hybridoma-based technology for making rabbit monoclonal antibodies. For details on our patents, please refer to RabMAb® patents.

Conjugation ready
Our carrier-free antibodies are typically supplied in a PBS-only formulation, purified and free of BSA, sodium azide and glycerol. This conjugation-ready format is designed for use with fluorochromes, metal isotopes, oligonucleotides, and enzymes, which makes them ideal for antibody labelling, functional and cell-based assays, flow-based assays (e.g. mass cytometry) and Multiplex Imaging applications.

Use our conjugation kits for antibody conjugates that are ready-to-use in as little as 20 minutes with 1 minute hands-on-time and 100% antibody recovery: available for fluorescent dyes, HRP, biotin and gold.

Compatibility
This product is compatible with the Maxpar® Antibody Labeling Kit from Fluidigm, without the need for antibody preparation. Maxpar® is a trademark of Fluidigm Canada Inc.

Properties and storage information

Form
Liquid
Purification technique
Affinity purification Protein A
Storage buffer
pH: 7.2 - 7.4 Constituents: PBS
Shipped at conditions
Blue Ice
Appropriate short-term storage conditions
+4°C
Appropriate long-term storage conditions
+4°C

Supplementary information

This supplementary information is collated from multiple sources and compiled automatically.

FOXA1 also known as Forkhead Box A1 is a transcription factor with a molecular weight of about 49 kDa. It plays a role by binding to specific DNA sequences influencing the expression of genes involved in various cellular processes. This protein is expressed in tissues like liver lungs and prostate. Researchers also refer to FOXA1 as HNF-3α emphasizing its importance in transcription regulation.
Biological function summary

FOXA1 influences the transcriptional control of genes essential for organ development and metabolic regulation. It acts as a pioneer factor opening chromatin structure to enable access for other transcription factors. FOXA1 integrates into complexes that involve histone modification affecting the chromatin state and transcription of target genes. This function is necessary for the proper differentiation and function of several tissues.

Pathways

FOXA1 participates significantly in the androgen receptor signaling pathway and the estrogen receptor signaling pathway. It interacts closely with androgen receptor facilitating the expression of genes that influence cell growth and proliferation. The involvement of FOXA1 in these pathways highlights its critical role in pathways that regulate hormone-responsive cancers and metabolic processes.

FOXA1 shows a strong association with cancers such as prostate cancer and breast cancer. FOXA1's interaction with the androgen receptor links it to prostate cancer progression while its involvement with the estrogen receptor correlates with breast cancer development. Aberrations in its expression or function can disrupt these pathways emphasizing the importance of FOXA1 in cancer biology and its potential as a therapeutic target.

Product protocols

For this product, it's our understanding that no specific protocols are required. You can visit:

Target data

Transcription factor that is involved in embryonic development, establishment of tissue-specific gene expression and regulation of gene expression in differentiated tissues. Is thought to act as a 'pioneer' factor opening the compacted chromatin for other proteins through interactions with nucleosomal core histones and thereby replacing linker histones at target enhancer and/or promoter sites. Binds DNA with the consensus sequence 5'-[AC]A[AT]T[AG]TT[GT][AG][CT]T[CT]-3' (By similarity). Proposed to play a role in translating the epigenetic signatures into cell type-specific enhancer-driven transcriptional programs. Its differential recruitment to chromatin is dependent on distribution of histone H3 methylated at 'Lys-5' (H3K4me2) in estrogen-regulated genes. Involved in the development of multiple endoderm-derived organ systems such as liver, pancreas, lung and prostate; FOXA1 and FOXA2 seem to have at least in part redundant roles (By similarity). Modulates the transcriptional activity of nuclear hormone receptors. Is involved in ESR1-mediated transcription; required for ESR1 binding to the NKX2-1 promoter in breast cancer cells; binds to the RPRM promoter and is required for the estrogen-induced repression of RPRM. Involved in regulation of apoptosis by inhibiting the expression of BCL2. Involved in cell cycle regulation by activating expression of CDKN1B, alone or in conjunction with BRCA1. Originally described as a transcription activator for a number of liver genes such as AFP, albumin, tyrosine aminotransferase, PEPCK, etc. Interacts with the cis-acting regulatory regions of these genes. Involved in glucose homeostasis.
See full target information FOXA1

Additional targets

FOXA3,FOXA2

Product promise

We are committed to supporting your work with high-quality reagents, and we're here for you every step of the way. In the unlikely event that one of our products does not perform as expected, you're protected by our Product Promise.
For full details, please see our Terms & Conditions

Please note: All products are 'FOR RESEARCH USE ONLY. NOT FOR USE IN DIAGNOSTIC OR THERAPEUTIC PROCEDURES'.

For licensing inquiries, please contact partnerships@abcam.com