JavaScript is disabled in your browser. Please enable JavaScript to view this website.
AB245443

Anti-FOXC1 antibody

Be the first to review this product! Submit a review

|

(1 Publication)

Rabbit Polyclonal FOXC1 antibody. Suitable for IHC-P, IP and reacts with Human samples. Cited in 1 publication. Immunogen corresponding to Synthetic Peptide within Human FOXC1 aa 250-350.

View Alternative Names

FKHL7, FREAC3, FOXC1, Forkhead box protein C1, Forkhead-related protein FKHL7, Forkhead-related transcription factor 3, FREAC-3

2 Images
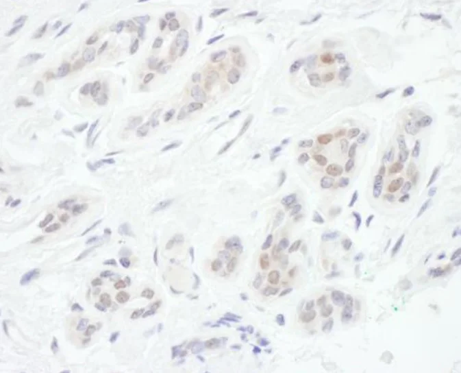
Immunohistochemistry (Formalin/PFA-fixed paraffin-embedded sections) - Anti-FOXC1 antibody (AB245443)
  • IHC-P

Supplier Data

Immunohistochemistry (Formalin/PFA-fixed paraffin-embedded sections) - Anti-FOXC1 antibody (AB245443)

Formalin-fixed, paraffin-embedded human breast carcinoma tissue stained for FOXC1 with ab245443 at a 1/1000 dilution in immunohistochemical analysis. DAB staining. Counterstained using hematoxylin (blue).

Immunoprecipitation - Anti-FOXC1 antibody (AB245443)
  • IP

Supplier Data

Immunoprecipitation - Anti-FOXC1 antibody (AB245443)

FOXC1 was immunoprecipitated from HeLa (Human epithelial cell line from cervix adenocarcinoma) whole cell lysate (1 mg per IP reaction; 20% of IP loaded).

ab245443 used for IP at 6 μg/mg lysate. For WB another anti-FOXC1 antibody was used at 1 μg/ml.

Lane 1 : ab245443 IP in HeLa whole cell lysate.
Lane 2 : Control IgG in HeLa whole cell lysate.
Chemiluminescence detection : 10 seconds.

All lanes:

Immunoprecipitation - Anti-FOXC1 antibody (ab245443)

Predicted band size: 57 kDa

false

Key facts

Host species

Rabbit

Clonality

Polyclonal

Isotype

IgG

Carrier free

No

Reacts with

Human

Applications

IHC-P, IP

applications

Immunogen

Synthetic Peptide within Human FOXC1 aa 250-350. The exact immunogen used to generate this antibody is proprietary information.

Q12948

Reactivity data

{ "title": "Reactivity Data", "filters": { "stats": ["", "Species", "Dilution Info", "Notes"], "tabs": { "all-applications": {"fullname" : "All Applications", "shortname": "All Applications"}, "IHCP" : {"fullname" : "Immunohistochemistry (Formalin/PFA-fixed paraffin-embedded sections)", "shortname":"IHC-P"}, "IP" : {"fullname" : "Immunoprecipitation", "shortname":"IP"} }, "product-promise": { "all": "all", "testedAndGuaranteed": "tested", "guaranteed": "expected", "predicted": "predicted", "notRecommended": "not-recommended" } }, "values": { "Human": { "IHCP-species-checked": "testedAndGuaranteed", "IHCP-species-dilution-info": "1/500 - 1/2000", "IHCP-species-notes": "<p></p> Perform heat-mediated antigen retrieval with citrate buffer pH 6 before commencing with IHC staining protocol.", "IP-species-checked": "testedAndGuaranteed", "IP-species-dilution-info": "2-10 µg/mg of lysate", "IP-species-notes": "<p></p>" } } }

Properties and storage information

Form
Liquid
Purification technique
Affinity purification Immunogen
Purification notes
ab245443 was affinity purified using an epitope specific to FOXC1 immobilized on solid support.
Storage buffer
pH: 7 - 8 Preservative: 0.09% Sodium azide Constituents: Tris citrate/phosphate
Shipped at conditions
Blue Ice
Appropriate short-term storage duration
1-2 weeks
Appropriate short-term storage conditions
+4°C
Appropriate long-term storage conditions
-20°C
Aliquoting information
Upon delivery aliquot
Storage information
Avoid freeze / thaw cycle

Supplementary information

This supplementary information is collated from multiple sources and compiled automatically.

FOXC1 also known as Forkhead box C1 is a transcription factor with a molecular mass of approximately 56 kilodaltons. This protein belongs to the forkhead family of transcription factors which are characterized by a distinct forkhead domain. FOXC1 primarily expresses in tissues like the eye brain and kidneys. It plays an important role in regulating gene expression by binding to specific DNA sequences affecting the transcription of genes involved in a variety of cellular processes.
Biological function summary

FOXC1 plays a significant role in the development and differentiation of cells particularly in the anterior segment of the eye and in neural crest-derived tissues. Although it does not usually form part of a larger complex FOXC1 frequently interacts with other transcription factors and co-factors to modulate gene expression. It influences cell proliferation migration and apoptosis ensuring correct tissue and organ formation during development.

Pathways

FOXC1 contributes extensively to the regulation of developmental pathways particularly the Wnt signaling pathway. It also aligns with the Hedgehog signaling pathway which is well-known for its role in developmental processes. FOXC1 often interacts with related proteins such as FOXC2 another forkhead family member that helps orchestrate cellular events during development through these pathways.

FOXC1 mutations or dysregulation associate with disorders such as Axenfeld-Rieger syndrome and glaucoma. These conditions highlight the importance of FOXC1 in eye development. FOXC2 often appears in discussions of these conditions due to its shared role in the pathways orchestrating developmental processes. Dysregulation of FOXC1 can also influence factors such as ECM components and signaling molecules leading to pathological changes observed in these disorders.

Product protocols

For this product, it's our understanding that no specific protocols are required. You can visit:

Target data

DNA-binding transcriptional factor that plays a role in a broad range of cellular and developmental processes such as eye, bones, cardiovascular, kidney and skin development (PubMed : 11782474, PubMed : 14506133, PubMed : 14578375, PubMed : 15277473, PubMed : 15299087, PubMed : 15684392, PubMed : 16449236, PubMed : 16492674, PubMed : 17210863, PubMed : 19279310, PubMed : 19793056, PubMed : 25786029, PubMed : 27804176, PubMed : 27907090). Acts either as a transcriptional activator or repressor (PubMed : 11782474). Binds to the consensus binding site 5'-[G/C][A/T]AAA[T/C]AA[A/C]-3' in promoter of target genes (PubMed : 11782474, PubMed : 12533514, PubMed : 14506133, PubMed : 19793056, PubMed : 27804176, PubMed : 7957066). Upon DNA-binding, promotes DNA bending (PubMed : 14506133, PubMed : 7957066). Acts as a transcriptional coactivator (PubMed : 26565916). Stimulates Indian hedgehog (Ihh)-induced target gene expression mediated by the transcription factor GLI2, and hence regulates endochondral ossification (By similarity). Acts also as a transcriptional coregulator by increasing DNA-binding capacity of GLI2 in breast cancer cells (PubMed : 26565916). Regulates FOXO1 through binding to a conserved element, 5'-GTAAACAAA-3' in its promoter region, implicating FOXC1 as an important regulator of cell viability and resistance to oxidative stress in the eye (PubMed : 17993506). Cooperates with transcription factor FOXC2 in regulating expression of genes that maintain podocyte integrity (By similarity). Promotes cell growth inhibition by stopping the cell cycle in the G1 phase through TGFB1-mediated signals (PubMed : 12408963). Involved in epithelial-mesenchymal transition (EMT) induction by increasing cell proliferation, migration and invasion (PubMed : 20406990, PubMed : 22991501). Involved in chemokine CXCL12-induced endothelial cell migration through the control of CXCR4 expression (By similarity). Plays a role in the gene regulatory network essential for epidermal keratinocyte terminal differentiation (PubMed : 27907090). Essential developmental transcriptional factor required for mesoderm-derived tissues, such as the somites, skin, bone and cartilage. Positively regulates CXCL12 and stem cell factor expression in bone marrow mesenchymal progenitor cells, and hence plays a role in the development and maintenance of mesenchymal niches for haematopoietic stem and progenitor cells (HSPC). Plays a role in corneal transparency by preventing both blood vessel and lymphatic vessel growth during embryonic development in a VEGF-dependent manner. Involved in chemokine CXCL12-induced endothelial cell migration through the control of CXCR4 expression (By similarity). May function as a tumor suppressor (PubMed : 12408963).
See full target information FOXC1

Publications (1)

Recent publications for all applications. Explore the full list and refine your search

Nature communications 14:947 PubMed36854675

2023

Cell surface protein aggregation triggers endocytosis to maintain plasma membrane proteostasis.

Applications

Unspecified application

Species

Unspecified reactive species

David Paul,Omer Stern,Yvonne Vallis,Jatinder Dhillon,Andrew Buchanan,Harvey McMahon
View all publications

Product promise

We are committed to supporting your work with high-quality reagents, and we're here for you every step of the way. In the unlikely event that one of our products does not perform as expected, you're protected by our Product Promise.
For full details, please see our Terms & Conditions

Please note: All products are 'FOR RESEARCH USE ONLY. NOT FOR USE IN DIAGNOSTIC OR THERAPEUTIC PROCEDURES'.

For licensing inquiries, please contact partnerships@abcam.com