JavaScript is disabled in your browser. Please enable JavaScript to view this website.
AB223850

Anti-FOXC1 antibody [EPR20678]

5

(1 Review)

|

(4 Publications)

Rabbit Recombinant Monoclonal FOXC1 antibody. Suitable for IP, WB, Flow Cyt (Intra), IHC-P and reacts with Human, Mouse, Rat samples. Cited in 4 publications.

View Alternative Names

FKHL7, FREAC3, FOXC1, Forkhead box protein C1, Forkhead-related protein FKHL7, Forkhead-related transcription factor 3, FREAC-3

6 Images
Immunohistochemistry (Formalin/PFA-fixed paraffin-embedded sections) - Anti-FOXC1 antibody [EPR20678] (AB223850)
  • IHC-P

Supplier Data

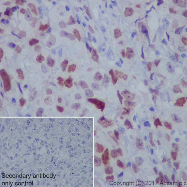
Immunohistochemistry (Formalin/PFA-fixed paraffin-embedded sections) - Anti-FOXC1 antibody [EPR20678] (AB223850)

Immunohistochemical analysis of paraffin-embedded human gastric cancer tissue labeling FOXC1 with ab223850 at 1/1000 dilution, followed by Goat Anti-Rabbit IgG H&L (HRP) Ready to use. Nuclear staining in human gastric cancer is observed(PMID : 24329718). Counter stained with hematoxylin.

Secondary antibody only control : Used PBS instead of primary antibody, secondary antibody is Goat Anti-Rabbit IgG H&L (HRP) Ready to use.

Heat mediated antigen retrieval was performed with Tris/EDTA buffer pH 9.0 before commencing with IHC staining protocol.

Western blot - Anti-FOXC1 antibody [EPR20678] (AB223850)
  • WB

Supplier Data

Western blot - Anti-FOXC1 antibody [EPR20678] (AB223850)

Exposure time : Lane 1 : 15 seconds; Lanes 2-3 & 6-8 : 3 minutes; Lanes 4-5 : 1 minute.

Blocking/Dilution buffer : 5% NFDM/TBST.

The molecular mass is consistent with what has been described in the literature (PMID : 27708239).

All lanes:

Western blot - Anti-FOXC1 antibody [EPR20678] (ab223850) at 1/1000 dilution

Lane 1:

HEK-293T (human epithelial cell line from embryonic kidney transformed with large T antigen) whole cell lysate at 20 µg

Lane 2:

HeLa (human epithelial cell line from cervix adenocarcinoma) whole cell lysate at 20 µg

Lane 3:

4T1 (mouse mammary gland carcinoma epithelial cell line) whole cell lysate at 10 µg

Lane 4:

MDA-MB-231 (human breast adenocarcinoma cell line) whole cell lysate at 20 µg

Lane 5:

MDA-MB-435S (human ductal carcinoma cell line) whole cell lysate at 20 µg

Lane 6:

PC-12 (rat adrenal gland pheochromocytoma cell line) whole cell lysate at 10 µg

Lane 7:

NIH/3T3 (mouse embryo fibroblast cell line) whole cell lysate at 10 µg

Lane 8:

Human fetal spleen lysate at 10 µg

Secondary

Lanes 1 - 7:

Western blot - Goat Anti-Rabbit IgG H&L (HRP) (<a href='/en-us/products/secondary-antibodies/goat-rabbit-igg-h-l-hrp-ab97051'>ab97051</a>) at 1/100000 dilution

Lane 8:

Western blot - VeriBlot for IP Detection Reagent (HRP) (<a href='/en-us/products/reagents/veriblot-for-ip-detection-reagent-hrp-ab131366'>ab131366</a>) at 1/4000 dilution

Predicted band size: 57 kDa

Observed band size: 70 kDa

false

Immunohistochemistry (Formalin/PFA-fixed paraffin-embedded sections) - Anti-FOXC1 antibody [EPR20678] (AB223850)
  • IHC-P

Supplier Data

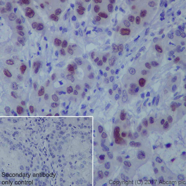
Immunohistochemistry (Formalin/PFA-fixed paraffin-embedded sections) - Anti-FOXC1 antibody [EPR20678] (AB223850)

Immunohistochemical analysis of paraffin-embedded human basal-like breast cancer tissue labeling FOXC1 with ab223850 at 1/1000 dilution, followed by Goat Anti-Rabbit IgG H&L (HRP) Ready to use. Nuclear staining in human basal-like breast cancer (PMID : 27708239; PMID : 20406990). Counter stained with hematoxylin.

Secondary antibody only control : Used PBS instead of primary antibody, secondary antibody is Goat Anti-Rabbit IgG H&L (HRP) Ready to use.

Heat mediated antigen retrieval was performed with Tris/EDTA buffer pH 9.0 before commencing with IHC staining protocol.

Flow Cytometry (Intracellular) - Anti-FOXC1 antibody [EPR20678] (AB223850)
  • Flow Cyt (Intra)

Unknown

Flow Cytometry (Intracellular) - Anti-FOXC1 antibody [EPR20678] (AB223850)

Intracellular flow cytometric analysis of 4% paraformaldehyde-fixed, 90% methanol-permeabilized HEK-293T (human epithelial cell line from embryonic kidney transformed with large T antigen) cell line labeling FOXC1 with ab223850 at 1/500 dilution (red) compared with a Rabbit IgG, monoclonal [EPR25A] - Isotype Control (ab172730) (black) and an unlabeled control (cells without incubation with primary antibody and secondary antibody) (blue). Goat Anti-Rabbit IgG H&L (Alexa Fluor® 488) (ab150077) at 1/2000 dilution was used as the secondary antibody.

Immunohistochemistry (Formalin/PFA-fixed paraffin-embedded sections) - Anti-FOXC1 antibody [EPR20678] (AB223850)
  • IHC-P

Supplier Data

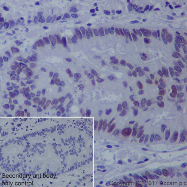
Immunohistochemistry (Formalin/PFA-fixed paraffin-embedded sections) - Anti-FOXC1 antibody [EPR20678] (AB223850)

Immunohistochemical analysis of paraffin-embedded human pancreatic cancer tissue labeling FOXC1 with ab223850 at 1/1000 dilution, followed by Goat Anti-Rabbit IgG H&L (HRP) Ready to use. Nuclear staining in human pancreatic cancer is observed(PMID : 23242609). Counter stained with hematoxylin.

Secondary antibody only control : Used PBS instead of primary antibody, secondary antibody is Goat Anti-Rabbit IgG H&L (HRP) Ready to use.

Heat mediated antigen retrieval was performed with Tris/EDTA buffer pH 9.0 before commencing with IHC staining protocol.

Immunoprecipitation - Anti-FOXC1 antibody [EPR20678] (AB223850)
  • IP

Supplier Data

Immunoprecipitation - Anti-FOXC1 antibody [EPR20678] (AB223850)

FOXC1 was immunoprecipitated from 0.35 mg of HeLa (human epithelial cell line from cervix adenocarcinoma) whole cell lysate with ab223850 at 1/30 dilution. Western blot was performed from the immunoprecipitate using ab223850 at 1/1000 dilution. VeriBlot for IP Detection Reagent (HRP) (ab131366), was used for detection at 1/10000 dilution.

Lane 1 : HeLa whole cell lysate 10 μg (Input).

Lane 2 : ab223850 IP in HeLa whole cell lysate.

Lane 3 : Rabbit monoclonal IgG (ab172730) instead of ab223850 in HeLa whole cell lysate.

Blocking and dilution buffer and concentration : 5% NFDM/TBST.

Exposure time : 3 minutes.

The molecular mass is consistent with what has been described in the literature (PMID : 22493429).

All lanes:

Immunoprecipitation - Anti-FOXC1 antibody [EPR20678] (ab223850)

Predicted band size: 57 kDa

false

  • Carrier free

    Anti-FOXC1 antibody [EPR20678] - BSA and Azide free

Key facts

Host species

Rabbit

Clonality

Monoclonal

Clone number

EPR20678

Isotype

IgG

Carrier free

No

Reacts with

Mouse, Rat, Human

Applications

IP, IHC-P, WB, Flow Cyt (Intra)

applications

Immunogen

The exact immunogen used to generate this antibody is proprietary information.

Reactivity data

{ "title": "Reactivity Data", "filters": { "stats": ["", "Species", "Dilution Info", "Notes"], "tabs": { "all-applications": {"fullname" : "All Applications", "shortname": "All Applications"}, "IP" : {"fullname" : "Immunoprecipitation", "shortname":"IP"}, "WB" : {"fullname" : "Western blot", "shortname":"WB"}, "ICCIF" : {"fullname" : "Immunocytochemistry/ Immunofluorescence", "shortname":"ICC/IF"}, "FlowCytIntra" : {"fullname" : "Flow Cytometry (Intracellular)", "shortname":"Flow Cyt (Intra)"}, "IHCP" : {"fullname" : "Immunohistochemistry (Formalin/PFA-fixed paraffin-embedded sections)", "shortname":"IHC-P"} }, "product-promise": { "all": "all", "testedAndGuaranteed": "tested", "guaranteed": "expected", "predicted": "predicted", "notRecommended": "not-recommended" } }, "values": { "Human": { "IP-species-checked": "testedAndGuaranteed", "IP-species-dilution-info": "1/30", "IP-species-notes": "<p></p>", "WB-species-checked": "testedAndGuaranteed", "WB-species-dilution-info": "1/1000", "WB-species-notes": "<p></p>", "ICCIF-species-checked": "notRecommended", "ICCIF-species-dilution-info": "1/500", "ICCIF-species-notes": "<p></p>", "FlowCytIntra-species-checked": "testedAndGuaranteed", "FlowCytIntra-species-dilution-info": "1/500", "FlowCytIntra-species-notes": "<p></p>", "IHCP-species-checked": "testedAndGuaranteed", "IHCP-species-dilution-info": "1/1000", "IHCP-species-notes": "<p>IHC not suitable for mouse & rat tissues.</p>" }, "Mouse": { "IP-species-checked": "guaranteed", "IP-species-dilution-info": "", "IP-species-notes": "", "WB-species-checked": "testedAndGuaranteed", "WB-species-dilution-info": "1/1000", "WB-species-notes": "<p></p>", "ICCIF-species-checked": "notRecommended", "ICCIF-species-dilution-info": "1/500", "ICCIF-species-notes": "<p></p>", "FlowCytIntra-species-checked": "guaranteed", "FlowCytIntra-species-dilution-info": "", "FlowCytIntra-species-notes": "", "IHCP-species-checked": "guaranteed", "IHCP-species-dilution-info": "", "IHCP-species-notes": "" }, "Rat": { "IP-species-checked": "guaranteed", "IP-species-dilution-info": "", "IP-species-notes": "", "WB-species-checked": "testedAndGuaranteed", "WB-species-dilution-info": "1/1000", "WB-species-notes": "<p></p>", "ICCIF-species-checked": "notRecommended", "ICCIF-species-dilution-info": "1/500", "ICCIF-species-notes": "<p></p>", "FlowCytIntra-species-checked": "guaranteed", "FlowCytIntra-species-dilution-info": "", "FlowCytIntra-species-notes": "", "IHCP-species-checked": "guaranteed", "IHCP-species-dilution-info": "", "IHCP-species-notes": "" } } }

Product details

Patented technology
Our RabMAb® technology is a patented hybridoma-based technology for making rabbit monoclonal antibodies. For details on our patents, please refer to RabMAb® patents.

What are the advantages of a recombinant monoclonal antibody?
This product is a recombinant monoclonal antibody, which offers several advantages including:

  • - High batch-to-batch consistency and reproducibility
  • - Improved sensitivity and specificity
  • - Long-term security of supply
  • - Animal-free batch production

For more information, read more on recombinant antibodies.

Properties and storage information

Form
Liquid
Purification technique
Affinity purification Protein A
Storage buffer
pH: 7.2 - 7.4 Preservative: 0.01% Sodium azide Constituents: PBS, 40% Glycerol (glycerin, glycerine), 0.05% BSA
Shipped at conditions
Blue Ice
Appropriate short-term storage duration
1-2 weeks
Appropriate short-term storage conditions
+4°C
Appropriate long-term storage conditions
-20°C
Aliquoting information
Upon delivery aliquot
Storage information
Avoid freeze / thaw cycle

Supplementary information

This supplementary information is collated from multiple sources and compiled automatically.

FOXC1 also known as Forkhead box C1 is a transcription factor with a molecular mass of approximately 56 kilodaltons. This protein belongs to the forkhead family of transcription factors which are characterized by a distinct forkhead domain. FOXC1 primarily expresses in tissues like the eye brain and kidneys. It plays an important role in regulating gene expression by binding to specific DNA sequences affecting the transcription of genes involved in a variety of cellular processes.
Biological function summary

FOXC1 plays a significant role in the development and differentiation of cells particularly in the anterior segment of the eye and in neural crest-derived tissues. Although it does not usually form part of a larger complex FOXC1 frequently interacts with other transcription factors and co-factors to modulate gene expression. It influences cell proliferation migration and apoptosis ensuring correct tissue and organ formation during development.

Pathways

FOXC1 contributes extensively to the regulation of developmental pathways particularly the Wnt signaling pathway. It also aligns with the Hedgehog signaling pathway which is well-known for its role in developmental processes. FOXC1 often interacts with related proteins such as FOXC2 another forkhead family member that helps orchestrate cellular events during development through these pathways.

FOXC1 mutations or dysregulation associate with disorders such as Axenfeld-Rieger syndrome and glaucoma. These conditions highlight the importance of FOXC1 in eye development. FOXC2 often appears in discussions of these conditions due to its shared role in the pathways orchestrating developmental processes. Dysregulation of FOXC1 can also influence factors such as ECM components and signaling molecules leading to pathological changes observed in these disorders.

Product protocols

For this product, it's our understanding that no specific protocols are required. You can visit:

Target data

DNA-binding transcriptional factor that plays a role in a broad range of cellular and developmental processes such as eye, bones, cardiovascular, kidney and skin development (PubMed : 11782474, PubMed : 14506133, PubMed : 14578375, PubMed : 15277473, PubMed : 15299087, PubMed : 15684392, PubMed : 16449236, PubMed : 16492674, PubMed : 17210863, PubMed : 19279310, PubMed : 19793056, PubMed : 25786029, PubMed : 27804176, PubMed : 27907090). Acts either as a transcriptional activator or repressor (PubMed : 11782474). Binds to the consensus binding site 5'-[G/C][A/T]AAA[T/C]AA[A/C]-3' in promoter of target genes (PubMed : 11782474, PubMed : 12533514, PubMed : 14506133, PubMed : 19793056, PubMed : 27804176, PubMed : 7957066). Upon DNA-binding, promotes DNA bending (PubMed : 14506133, PubMed : 7957066). Acts as a transcriptional coactivator (PubMed : 26565916). Stimulates Indian hedgehog (Ihh)-induced target gene expression mediated by the transcription factor GLI2, and hence regulates endochondral ossification (By similarity). Acts also as a transcriptional coregulator by increasing DNA-binding capacity of GLI2 in breast cancer cells (PubMed : 26565916). Regulates FOXO1 through binding to a conserved element, 5'-GTAAACAAA-3' in its promoter region, implicating FOXC1 as an important regulator of cell viability and resistance to oxidative stress in the eye (PubMed : 17993506). Cooperates with transcription factor FOXC2 in regulating expression of genes that maintain podocyte integrity (By similarity). Promotes cell growth inhibition by stopping the cell cycle in the G1 phase through TGFB1-mediated signals (PubMed : 12408963). Involved in epithelial-mesenchymal transition (EMT) induction by increasing cell proliferation, migration and invasion (PubMed : 20406990, PubMed : 22991501). Involved in chemokine CXCL12-induced endothelial cell migration through the control of CXCR4 expression (By similarity). Plays a role in the gene regulatory network essential for epidermal keratinocyte terminal differentiation (PubMed : 27907090). Essential developmental transcriptional factor required for mesoderm-derived tissues, such as the somites, skin, bone and cartilage. Positively regulates CXCL12 and stem cell factor expression in bone marrow mesenchymal progenitor cells, and hence plays a role in the development and maintenance of mesenchymal niches for haematopoietic stem and progenitor cells (HSPC). Plays a role in corneal transparency by preventing both blood vessel and lymphatic vessel growth during embryonic development in a VEGF-dependent manner. Involved in chemokine CXCL12-induced endothelial cell migration through the control of CXCR4 expression (By similarity). May function as a tumor suppressor (PubMed : 12408963).
See full target information FOXC1

Publications (4)

Recent publications for all applications. Explore the full list and refine your search

Journal of oncology 2022:5680353 PubMed35096062

2022

Exosome-Mediated miR-4792 Transfer Promotes Bladder Cancer Cell Proliferation via Enhanced FOXC1/c-Myc Signaling and Warburg Effect.

Applications

Unspecified application

Species

Unspecified reactive species

Jian-Hong Wu,Ke-Ning Sun,Zhi-Hao Chen,Yi-Jun He,Lu Sheng

Nature communications 12:2242 PubMed33854062

2021

Defining super-enhancer landscape in triple-negative breast cancer by multiomic profiling.

Applications

Unspecified application

Species

Unspecified reactive species

Hao Huang,Jianyang Hu,Alishba Maryam,Qinghua Huang,Yuchen Zhang,Saravanan Ramakrishnan,Jingyu Li,Haiying Ma,Victor W S Ma,Wah Cheuk,Grace Y K So,Wei Wang,William C S Cho,Liang Zhang,Kui Ming Chan,Xin Wang,Y Rebecca Chin

Stem cell research & therapy 12:64 PubMed33461605

2021

The miR-204-5p/FOXC1/GDF7 axis regulates the osteogenic differentiation of human adipose-derived stem cells via the AKT and p38 signalling pathways.

Applications

Unspecified application

Species

Unspecified reactive species

You Zhou,Siyu Liu,Wei Wang,Qiang Sun,Mengzhu Lv,Shude Yang,Shuang Tong,Shu Guo

Theranostics 10:5412-5434 PubMed32373221

2020

Identification of a novel microRNA-141-3p/Forkhead box C1/β-catenin axis associated with rheumatoid arthritis synovial fibroblast function in vivo and in vitro.

Applications

Unspecified application

Species

Unspecified reactive species

Jun Wang,Yin Wang,Hui Zhang,Jun Chang,Ming Lu,Weilu Gao,Wendong Liu,Yetian Li,Li Yin,Xiaohe Wang,Yuejun Wang,Mengru Gao,Zongsheng Yin
View all publications

Product promise

We are committed to supporting your work with high-quality reagents, and we're here for you every step of the way. In the unlikely event that one of our products does not perform as expected, you're protected by our Product Promise.
For full details, please see our Terms & Conditions

Associated Products

Select an associated product type
Alternative Product
Primary Antibodies

AB245443

Anti-FOXC1 antibody

primary-antibodies

foxc1-antibody-ab245443

0

(0 reviews)

Alternative Product
Primary Antibodies

AB230159

Anti-FOXC1 antibody [EPR20685] - BSA and Azide free

primary-antibodies

foxc1-antibody-epr20685-bsa-and-azide-free-ab230159

0

(0 reviews)

Alternative Product
Primary Antibodies

AB227977

Anti-FOXC1 antibody [EPR20685]

primary-antibodies

foxc1-antibody-epr20685-ab227977

0

(0 reviews)

Alternative Product
Primary Antibodies

AB226219

Anti-FOXC1 antibody

primary-antibodies

foxc1-antibody-ab226219

0

(0 reviews)

Please note: All products are 'FOR RESEARCH USE ONLY. NOT FOR USE IN DIAGNOSTIC OR THERAPEUTIC PROCEDURES'.

For licensing inquiries, please contact partnerships@abcam.com