JavaScript is disabled in your browser. Please enable JavaScript to view this website.
AB227977

Anti-FOXC1 antibody [EPR20685]

  • RabMAb
  • Recombinant
  • KO Validated
  • 20ul selling size
  • What is this?

Be the first to review this product! Submit a review

|

(26 Publications)

Anti-FOXC1 antibody [EPR20685] (ab227977) is a rabbit monoclonal antibody detecting FOXC1 in Western Blot, Flow Cytometry (Intra), Flow Cytometry, IP, IHC-P, IHC-Fr, ICC/IF. Suitable for Human, Mouse.

- KO validated for confirmed specificity
- Biophysical QC for unrivalled batch-batch consistency
- Over 10 publications

View Alternative Names

FKHL7, FREAC3, FOXC1, Forkhead box protein C1, Forkhead-related protein FKHL7, Forkhead-related transcription factor 3, FREAC-3

12 Images
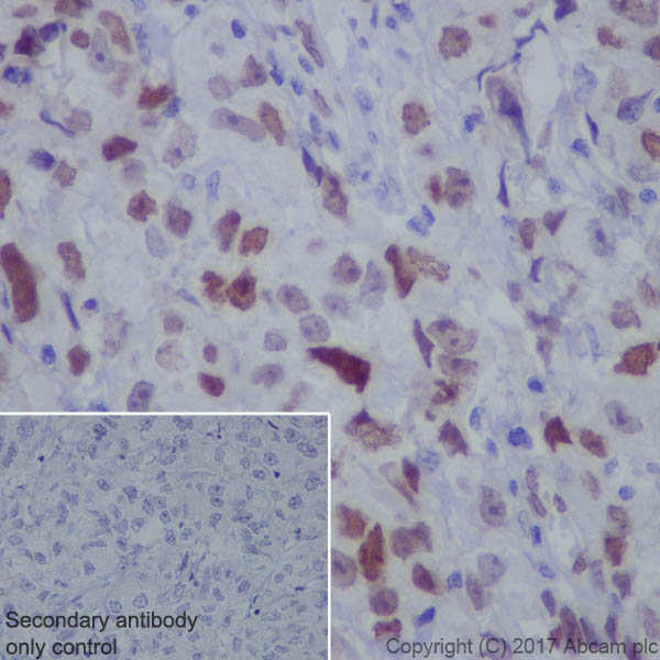
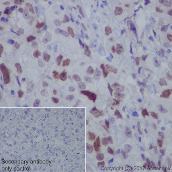
Immunohistochemistry (Formalin/PFA-fixed paraffin-embedded sections) - Anti-FOXC1 antibody [EPR20685] (AB227977)
  • IHC-P

Supplier Data

Immunohistochemistry (Formalin/PFA-fixed paraffin-embedded sections) - Anti-FOXC1 antibody [EPR20685] (AB227977)

Immunohistochemical analysis of paraffin-embedded human basal-like breast cancer tissue labeling FOXC1 with ab227977 at 1/500 dilution, followed by Goat Anti-Rabbit IgG H&L (HRP) Ready to use. Nuclear staining in human basal-like breast cancer (PMID : 27708239; PMID : 20406990). Counter stained with hematoxylin. Heat mediated antigen retrieval was performed using Tris/EDTA buffer pH 9.0 before commencing with IHC staining protocol.

Secondary antibody only control : Used PBS instead of primary antibody, secondary antibody is Goat Anti-Rabbit IgG H&L (HRP) Ready to use.

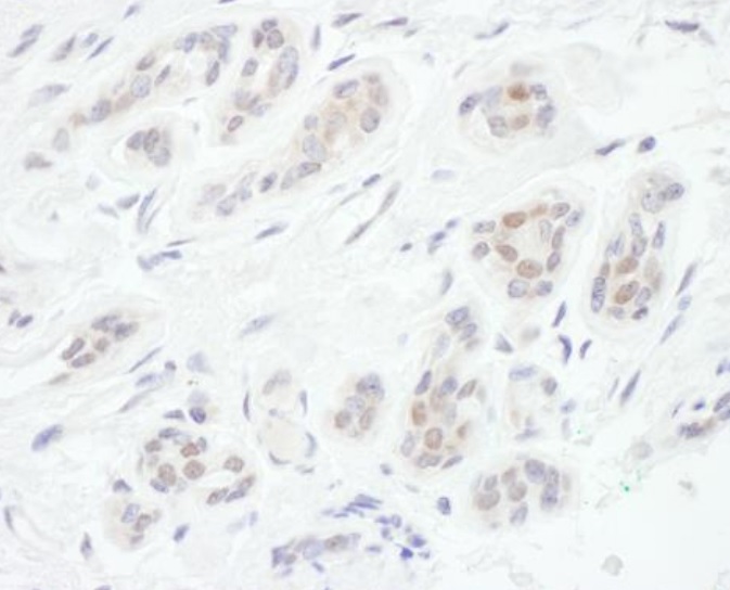
Immunohistochemistry (Formalin/PFA-fixed paraffin-embedded sections) - Anti-FOXC1 antibody [EPR20685] (AB227977)
  • IHC-P

Supplier Data

Immunohistochemistry (Formalin/PFA-fixed paraffin-embedded sections) - Anti-FOXC1 antibody [EPR20685] (AB227977)

Immunohistochemical analysis of paraffin-embedded human gastric cancer tissue labeling FOXC1 with ab227977 at 1/500 dilution, followed by Goat Anti-Rabbit IgG H&L (HRP) Ready to use. Nuclear staining in human gastric cancer (PMID : 24329718). Counter stained with hematoxylin. Heat mediated antigen retrieval was performed using Tris/EDTA buffer pH 9.0 before commencing with IHC staining protocol.

Secondary antibody only control : Used PBS instead of primary antibody, secondary antibody is Goat Anti-Rabbit IgG H&L (HRP) Ready to use.

Immunocytochemistry/ Immunofluorescence - Anti-FOXC1 antibody [EPR20685] (AB227977)
  • ICC/IF

Supplier Data

Immunocytochemistry/ Immunofluorescence - Anti-FOXC1 antibody [EPR20685] (AB227977)

Immunofluorescent analysis of 4% paraformaldehyde-fixed, 0.1% Triton X-100 permeabilized HeLa (human epithelial cell line from cervix adenocarcinoma) cells labeling FOXC1 with ab227977 at 1/100 dilution followed by Goat Anti-Rabbit IgG H&L (Alexa Fluor® 488) (ab150077) secondary antibody at 1/1000 dilution (green). Confocal image showing nuclear staining in HEK-293T cell line.

The nuclear counter stain is DAPI (blue). Tubulin is detected with Anti-alpha Tubulin antibody [DM1A] - Microtubule Marker (Alexa Fluor® 594) (ab195889) (red) at 1/200 dilution.

Secondary antibody only control : Used PBS instead of primary antibody, secondary antibody is Goat Anti-Rabbit IgG H&L (Alexa Fluor® 488) (ab150077) secondary antibody at 1/1000 dilution.

Flow Cytometry (Intracellular) - Anti-FOXC1 antibody [EPR20685] (AB227977)
  • Flow Cyt (Intra)

Supplier Data

Flow Cytometry (Intracellular) - Anti-FOXC1 antibody [EPR20685] (AB227977)

Intracellular flow cytometric analysis of 4% paraformaldehyde-fixed, 90% methanol-permeabilized HEK-293T (human epithelial cell line from embryonic kidney transformed with large T antigen) cell line labeling FOXC1 with ab227977 at 1/100 dilution (red) compared with a Rabbit IgG, monoclonal [EPR25A] - Isotype Control (ab172730) (black) and an unlabeled control (cells without incubation with primary antibody and secondary antibody) (blue). Goat Anti-Rabbit IgG H&L (Alexa Fluor® 488) (ab150077) at 1/2000 dilution was used as the secondary antibody.

Immunocytochemistry/ Immunofluorescence - Anti-FOXC1 antibody [EPR20685] (AB227977)
  • ICC/IF

Supplier Data

Immunocytochemistry/ Immunofluorescence - Anti-FOXC1 antibody [EPR20685] (AB227977)

Immunofluorescent analysis of 4% paraformaldehyde-fixed, 0.1% Triton X-100 permeabilized HEK-293T (human epithelial cell line from embryonic kidney transformed with large T antigen) cells labeling FOXC1 with ab227977 at 1/100 dilution followed by Goat Anti-Rabbit IgG H&L (Alexa Fluor® 488) (ab150077) secondary antibody at 1/1000 dilution (green). Confocal image showing nuclear staining in HEK-293T cell line.

The nuclear counter stain is DAPI (blue). Tubulin is detected with Anti-alpha Tubulin antibody [DM1A] - Microtubule Marker (Alexa Fluor® 594) (ab195889) (red) at 1/200 dilution.

Secondary antibody only control : Used PBS instead of primary antibody, secondary antibody is Goat Anti-Rabbit IgG H&L (Alexa Fluor® 488) (ab150077) secondary antibody at 1/1000 dilution.

Immunocytochemistry/ Immunofluorescence - Anti-FOXC1 antibody [EPR20685] (AB227977)
  • ICC/IF

Lab

Immunocytochemistry/ Immunofluorescence - Anti-FOXC1 antibody [EPR20685] (AB227977)

ab227977 staining FOXC1 in wild-type HEK293 cells (top panel) and FOXC1 knockout HEK293 cells (bottom panel). The cells were fixed with paraformaldehyde (10 min), permeabilized with 0.1% Triton X-100 for 5 minutes and then blocked with 1% BSA/10% normal goat serum/0.3M glycine in 0.1% PBS-Tween for 1h. The cells were then incubated with ab227977 at 12 μg/ml and ab7291 (Tubulin) at 1/1000 dilution overnight at +4°C, followed by a further incubation at room temperature for 1h with a goat secondary antibody to rabbit IgG (Alexa Fluor® 488) (ab150081) at 2 μg/ml (shown in green) and a goat secondary antibody to mouse IgG (Alexa Fluor® 594) (ab150120) at 2 μg/ml (shown in pseudo color red). Nuclear DNA was labelled in blue with DAPI.

Image was taken with a confocal microscope (Leica-Microsystems, TCS SP8).

Flow Cytometry (Intracellular) - Anti-FOXC1 antibody [EPR20685] (AB227977)
  • Flow Cyt (Intra)

Lab

Flow Cytometry (Intracellular) - Anti-FOXC1 antibody [EPR20685] (AB227977)

Flow cytometry overlay histogram showing left HEK293 positive cells and right negative Jurkat stained with ab227977 (red line). The cells were fixed with 80% methanol (5 min) and then permeabilised with 0.1% PBS-Triton X-100 for 15 min. The cells were then incubated in 1x PBS containing 10% normal goat serum to block non-specific protein-protein interaction followed by the antibody (ab227977) (1x 106 in 100μl at 1.0μg/ml (1/2110)) for 30min at 22°C.

The secondary antibody Goat Anti-Rabbit IgG H&L (Alexa Fluor® 488) preadsorbed was incubated at 1/4000 for 30min at 22°C

Isotype control antibody (black line) was Recombinant Rabbit IgG, monoclonal [EPR25A] - Isotype Control used at the same concentration and conditions as the primary antibody. Unlabelled sample (blue line) was also used as a control.

Acquisition of >5000 events were collected using a 50 mW Blue laser (488nm) and 525/40 bandpass filter.

This antibody gave a positive signal in HEK293 Fixed with 4% formaldehyde (10 min) / permeabilised with 0.1% PBS-Triton X-100 for 15 min under the same conditions.

Immunoprecipitation - Anti-FOXC1 antibody [EPR20685] (AB227977)
  • IP

Unknown

Immunoprecipitation - Anti-FOXC1 antibody [EPR20685] (AB227977)

FOXC1 was immunoprecipitated from 0.35 mg of HeLa (human epithelial cell line from cervix adenocarcinoma) whole cell lysate with ab227977 at 1/50 dilution. Western blot was performed from the immunoprecipitate using ab227977 at 1/1000 dilution. VeriBlot for IP Detection Reagent (HRP) (ab131366), was used for detection at 1/1000 dilution.

Lane 1 : HeLa whole cell lysate 10 μg (Input).

Lane 2 : ab227977 IP in HeLa whole cell lysate.

Lane 3 : Rabbit monoclonal IgG (ab172730) instead of ab227977 in HeLa whole cell lysate.

Blocking and dilution buffer and concentration : 5% NFDM/TBST.

Exposure time : 10 seconds.

All lanes:

Immunoprecipitation - Anti-FOXC1 antibody [EPR20685] (ab227977)

Predicted band size: 57 kDa

false

Immunohistochemistry (Frozen sections) - Anti-FOXC1 antibody [EPR20685] (AB227977)
  • IHC-Fr

Supplier Data

Immunohistochemistry (Frozen sections) - Anti-FOXC1 antibody [EPR20685] (AB227977)

Immunohistochemical analysis of 4% paraformaldehyde-fixed, 0.2% Triton X-100 permeabilized frozen mouse fetal brain E14.5 tissue labeling FOXC1 with ab227977 at 1/1000 dilution, followed by Goat Anti-Rabbit IgG H&L (Alexa Fluor® 488) (ab150077) secondary antibody at 1/1000 dilution (green). Positive nuclear staining localized in the meninges and adjacent cortex region on mouse fetal brain (PMID : 23862012).

The nuclear counter stain is DAPI (blue).

Secondary antibody only control : Used PBS instead of primary antibody, secondary antibody is Goat Anti-Rabbit IgG H&L (Alexa Fluor® 488) (ab150077) secondary antibody at 1/1000 dilution.

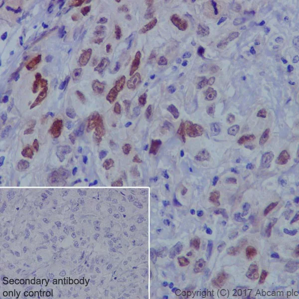
Immunohistochemistry (Formalin/PFA-fixed paraffin-embedded sections) - Anti-FOXC1 antibody [EPR20685] (AB227977)
  • IHC-P

Supplier Data

Immunohistochemistry (Formalin/PFA-fixed paraffin-embedded sections) - Anti-FOXC1 antibody [EPR20685] (AB227977)

Immunohistochemical analysis of paraffin-embedded mouse cerebrum tissue labeling FOXC1 with ab227977 at 1/500 dilution, followed by Goat Anti-Rabbit IgG H&L (HRP) Ready to use. Nuclear staining in the pericytes and endothelium of blood vessels in mouse cerebrum is observed (PMID : 25733312; PMID : 23862012). Counter stained with hematoxylin. Heat mediated antigen retrieval was performed using Tris/EDTA buffer pH 9.0 before commencing with IHC staining protocol.

Secondary antibody only control : Used PBS instead of primary antibody, secondary antibody is Goat Anti-Rabbit IgG H&L (HRP) Ready to use.

Western blot - Anti-FOXC1 antibody [EPR20685] (AB227977)
  • WB

Supplier Data

Western blot - Anti-FOXC1 antibody [EPR20685] (AB227977)

Exposure time : Lanes 1 & 4 : 3 minutes; Lanes 2-3 : 5 seconds.

Blocking/Dilution buffer : 5% NFDM/TBST.

The molecular mass is consistent with what has been described in the literature (PMID : 27708239).

All lanes:

Western blot - Anti-FOXC1 antibody [EPR20685] (ab227977) at 1/1000 dilution

Lane 1:

MDA-MB-231 (human breast adenocarcinoma cell line) whole cell lysate at 20 µg

Lane 2:

HEK-293T (human epithelial cell line from embryonic kidney transformed with large T antigen) whole cell lysate at 20 µg

Lane 3:

HeLa (human epithelial cell line from cervix adenocarcinoma) whole cell lysate at 20 µg

Lane 4:

Human fetal kidney lysate at 10 µg

Secondary

All lanes:

Western blot - Goat Anti-Rabbit IgG H&L (HRP) (<a href='/en-us/products/secondary-antibodies/goat-rabbit-igg-h-l-hrp-ab97051'>ab97051</a>) at 1/50000 dilution

Predicted band size: 57 kDa

Observed band size: 70 kDa

false

Western blot - Anti-FOXC1 antibody [EPR20685] (AB227977)
  • WB

CiteAb

Western blot - Anti-FOXC1 antibody [EPR20685] (AB227977)

FOXC1 western blot using anti-FOXC1 antibody [EPR20685] ab227977. Publication image and figure legend from Bao, C., Lu, Y., et al., 2019, Cell Death Dis, PubMed 31649243.

ab227977 was used in this publication in western blot. This may not be the same as the application(s) guaranteed by Abcam. For a full list of applications guaranteed by Abcam for ab227977 please see the product overview.

MiR-9-3p directly targets FOXC1/FAM171A1, and miR-135b-3p directly targets RGMA.a, b The dual luciferase assays in MDA-MB-231 cells confirmed that miR-9-3p directly targets FOXC1/FAM171A1, and miR-135b-3p directly targets RGMA. c–h The mRNA and protein levels of FOXC1, FAM171A1 and RGMA were measured in MDA-MB-231 with transfection of specific miRNA mimics. i The expression levels of FOXC1, FAM171A1 and RGMA were compared among normal (n = 113), TNBC (n = 115), non-TNBC (n = 973) samples form TCGA database. j The mRNA expressions of FOXC1, FAM171A1 and RGMA were measured in HBL-100 (normal), TNBC (MDA-MB-231, BCap37, Hs 578 T, BT-549, HCC1937) and non-TNBC (MCF-7) cell lines. Bars indicate the mean ± SD of three independent replicates. *p < 0.05, **p < 0.01, ***p < 0.001, ****p < 0.0001

false

Key facts

Host species

Rabbit

Clonality

Monoclonal

Clone number

EPR20685

Isotype

IgG

Carrier free

No

Reacts with

Mouse, Human

Applications

IHC-Fr, IP, IHC-P, ICC/IF, Flow Cyt (Intra), WB

applications

Immunogen

The exact immunogen used to generate this antibody is proprietary information.

Reactivity data

{ "title": "Reactivity Data", "filters": { "stats": ["", "Species", "Dilution Info", "Notes"], "tabs": { "all-applications": {"fullname" : "All Applications", "shortname": "All Applications"}, "IP" : {"fullname" : "Immunoprecipitation", "shortname":"IP"}, "WB" : {"fullname" : "Western blot", "shortname":"WB"}, "ICCIF" : {"fullname" : "Immunocytochemistry/ Immunofluorescence", "shortname":"ICC/IF"}, "IHCFr" : {"fullname" : "Immunohistochemistry (Frozen sections)", "shortname":"IHC-Fr"}, "FlowCytIntra" : {"fullname" : "Flow Cytometry (Intracellular)", "shortname":"Flow Cyt (Intra)"}, "IHCP" : {"fullname" : "Immunohistochemistry (Formalin/PFA-fixed paraffin-embedded sections)", "shortname":"IHC-P"} }, "product-promise": { "all": "all", "testedAndGuaranteed": "tested", "guaranteed": "expected", "predicted": "predicted", "notRecommended": "not-recommended" } }, "values": { "Human": { "IP-species-checked": "testedAndGuaranteed", "IP-species-dilution-info": "1/50", "IP-species-notes": "<p></p>", "WB-species-checked": "testedAndGuaranteed", "WB-species-dilution-info": "1/1000", "WB-species-notes": "<p>WB works for some mouse lysates.</p>", "ICCIF-species-checked": "testedAndGuaranteed", "ICCIF-species-dilution-info": "12 µg/mL", "ICCIF-species-notes": "<p></p>", "IHCFr-species-checked": "guaranteed", "IHCFr-species-dilution-info": "", "IHCFr-species-notes": "", "FlowCytIntra-species-checked": "testedAndGuaranteed", "FlowCytIntra-species-dilution-info": "1/100", "FlowCytIntra-species-notes": "<p></p>", "IHCP-species-checked": "testedAndGuaranteed", "IHCP-species-dilution-info": "1/500", "IHCP-species-notes": "<p></p>" }, "Mouse": { "IP-species-checked": "guaranteed", "IP-species-dilution-info": "", "IP-species-notes": "", "WB-species-checked": "guaranteed", "WB-species-dilution-info": "", "WB-species-notes": "", "ICCIF-species-checked": "guaranteed", "ICCIF-species-dilution-info": "", "ICCIF-species-notes": "", "IHCFr-species-checked": "testedAndGuaranteed", "IHCFr-species-dilution-info": "1/1000", "IHCFr-species-notes": "<p>Perform heat-mediated antigen retrieval by using sodium citrate buffer (10mM citrate pH 6.0 + 0.05% Tween-20).</p>", "FlowCytIntra-species-checked": "guaranteed", "FlowCytIntra-species-dilution-info": "", "FlowCytIntra-species-notes": "", "IHCP-species-checked": "testedAndGuaranteed", "IHCP-species-dilution-info": "1/500", "IHCP-species-notes": "<p></p>" } } }

Product details

What is this antibody validated in?
Anti-FOXC1 antibody [EPR20685] (ab227977) is a rabbit recombinant monoclonal antibody and is validated for use in Western Blot (WB), Flow Cytometry (Intra), Flow Cytometry (Flow Cyt), Immunoprecipitation (IP), Immunohistochemistry (IHC-P), Immunohistochemistry (IHC-Fr), Immunocytochemistry/immunofluorescence (ICC/IF) in Human, Mouse samples.

What is the molecular weight of FOXC1?
Anti-FOXC1 [EPR20685] (ab227977) specifically detects a band for FOXC1 (UniProt: Q12948) at a molecular weight of 57kDa.

Trusted by the scientific community
Anti-FOXC1 [EPR20685] (ab227977) was first used in a scientific publication in 2018 and has been cited over 10 times in peer-reviewed journals.

Trial sizes available!
Test your antibody or perform pre-screening before committing to a larger quantity. Sold in 10µl. Discover our selection of trial-size antibodies.

Specificity confirmed
The specificity of Anti-FOXC1 antibody [EPR20685] (ab227977) has been confirmed by Western blot testing in FOXC1 Knockout HEK-293 cells.

Other related products
We have a range of other formats of antibody clone [EPR20685] also available for your convenience: ab227977, Carrier free - ab230159, Alexa Fluor® 647 - ab303579

Patented technology
Our RabMAb® technology is a patented hybridoma-based technology for making rabbit monoclonal antibodies. For details on our patents, please refer to RabMAb® patents.

What are the advantages of a recombinant monoclonal antibody?
This product is a recombinant monoclonal antibody, which offers several advantages including:

  • - High batch-to-batch consistency and reproducibility
  • - Improved sensitivity and specificity
  • - Long-term security of supply
  • - Animal-free batch production

For more information, read more on recombinant antibodies.

Properties and storage information

Form
Liquid
Purification technique
Affinity purification Protein A
Storage buffer
pH: 7.2 - 7.4 Preservative: 0.01% Sodium azide Constituents: PBS, 40% Glycerol (glycerin, glycerine), 0.05% BSA
Shipped at conditions
Blue Ice
Appropriate short-term storage duration
1-2 weeks
Appropriate short-term storage conditions
+4°C
Appropriate long-term storage conditions
-20°C
Aliquoting information
Upon delivery aliquot
Storage information
Avoid freeze / thaw cycle

Supplementary information

This supplementary information is collated from multiple sources and compiled automatically.

FOXC1 also known as Forkhead box C1 is a transcription factor with a molecular mass of approximately 56 kilodaltons. This protein belongs to the forkhead family of transcription factors which are characterized by a distinct forkhead domain. FOXC1 primarily expresses in tissues like the eye brain and kidneys. It plays an important role in regulating gene expression by binding to specific DNA sequences affecting the transcription of genes involved in a variety of cellular processes.
Biological function summary

FOXC1 plays a significant role in the development and differentiation of cells particularly in the anterior segment of the eye and in neural crest-derived tissues. Although it does not usually form part of a larger complex FOXC1 frequently interacts with other transcription factors and co-factors to modulate gene expression. It influences cell proliferation migration and apoptosis ensuring correct tissue and organ formation during development.

Pathways

FOXC1 contributes extensively to the regulation of developmental pathways particularly the Wnt signaling pathway. It also aligns with the Hedgehog signaling pathway which is well-known for its role in developmental processes. FOXC1 often interacts with related proteins such as FOXC2 another forkhead family member that helps orchestrate cellular events during development through these pathways.

FOXC1 mutations or dysregulation associate with disorders such as Axenfeld-Rieger syndrome and glaucoma. These conditions highlight the importance of FOXC1 in eye development. FOXC2 often appears in discussions of these conditions due to its shared role in the pathways orchestrating developmental processes. Dysregulation of FOXC1 can also influence factors such as ECM components and signaling molecules leading to pathological changes observed in these disorders.

Product protocols

For this product, it's our understanding that no specific protocols are required. You can visit:

Target data

DNA-binding transcriptional factor that plays a role in a broad range of cellular and developmental processes such as eye, bones, cardiovascular, kidney and skin development (PubMed : 11782474, PubMed : 14506133, PubMed : 14578375, PubMed : 15277473, PubMed : 15299087, PubMed : 15684392, PubMed : 16449236, PubMed : 16492674, PubMed : 17210863, PubMed : 19279310, PubMed : 19793056, PubMed : 25786029, PubMed : 27804176, PubMed : 27907090). Acts either as a transcriptional activator or repressor (PubMed : 11782474). Binds to the consensus binding site 5'-[G/C][A/T]AAA[T/C]AA[A/C]-3' in promoter of target genes (PubMed : 11782474, PubMed : 12533514, PubMed : 14506133, PubMed : 19793056, PubMed : 27804176, PubMed : 7957066). Upon DNA-binding, promotes DNA bending (PubMed : 14506133, PubMed : 7957066). Acts as a transcriptional coactivator (PubMed : 26565916). Stimulates Indian hedgehog (Ihh)-induced target gene expression mediated by the transcription factor GLI2, and hence regulates endochondral ossification (By similarity). Acts also as a transcriptional coregulator by increasing DNA-binding capacity of GLI2 in breast cancer cells (PubMed : 26565916). Regulates FOXO1 through binding to a conserved element, 5'-GTAAACAAA-3' in its promoter region, implicating FOXC1 as an important regulator of cell viability and resistance to oxidative stress in the eye (PubMed : 17993506). Cooperates with transcription factor FOXC2 in regulating expression of genes that maintain podocyte integrity (By similarity). Promotes cell growth inhibition by stopping the cell cycle in the G1 phase through TGFB1-mediated signals (PubMed : 12408963). Involved in epithelial-mesenchymal transition (EMT) induction by increasing cell proliferation, migration and invasion (PubMed : 20406990, PubMed : 22991501). Involved in chemokine CXCL12-induced endothelial cell migration through the control of CXCR4 expression (By similarity). Plays a role in the gene regulatory network essential for epidermal keratinocyte terminal differentiation (PubMed : 27907090). Essential developmental transcriptional factor required for mesoderm-derived tissues, such as the somites, skin, bone and cartilage. Positively regulates CXCL12 and stem cell factor expression in bone marrow mesenchymal progenitor cells, and hence plays a role in the development and maintenance of mesenchymal niches for haematopoietic stem and progenitor cells (HSPC). Plays a role in corneal transparency by preventing both blood vessel and lymphatic vessel growth during embryonic development in a VEGF-dependent manner. Involved in chemokine CXCL12-induced endothelial cell migration through the control of CXCR4 expression (By similarity). May function as a tumor suppressor (PubMed : 12408963).
See full target information FOXC1

Publications (26)

Recent publications for all applications. Explore the full list and refine your search

NAR molecular medicine 2:ugaf031 PubMed40922722

2025

Active chromatin marks and up-regulation of FOXC1 in uterine epithelial cells demarcate the onset of reproductive decline in aging females.

Applications

Unspecified application

Species

Unspecified reactive species

Aleksandra O Tsolova,Georgia Lea,Anshul S Jadli,Anastasios Mastrokolias,Ankita Narang,Alexa Krala,Bethany N Radford,Courtney W Hanna,Gavin D Kelsey,Hilary O D Critchley,Wendy Dean,Myriam Hemberger

Communications biology 8:1097 PubMed40702210

2025

Cathepsin B deficiency disrupts cortical development via PEG3, leading to depression-like behavior.

Applications

Unspecified application

Species

Unspecified reactive species

Zhen Xie,Qinghu Yang,Fei Lan,Wei Kong,Shuxuan Zhao,Jinyi Sun,Yan Yan,Zhenzhen Quan,Zhantao Bai,Hong Qing,Jian Mao,Junjun Ni

Communications biology 8:566 PubMed40186004

2025

Glucocorticoids regulate the expression of Srsf1 through Hdac4/Foxc1 axis to induce apoptosis of osteoblasts.

Applications

Unspecified application

Species

Unspecified reactive species

Hong Luo,Tao Wang,Zhihong Xie,Fanchao Li,Chengyou Yang,Wentao Dong,Jianhua Wu,Qiang Wang,Fengyang Xu,Jiong Liu,Fei Zhang,Wuxun Peng

Journal of orthopaedic surgery and research 20:336 PubMed40176111

2025

USP15-modified ADMSCs-Exo alleviates chondrocyte damage and effectively relieved osteoarthritis by inducing M2 polarization of macrophages through deubiquitinating FOXC1.

Applications

Unspecified application

Species

Unspecified reactive species

Qibin Liang,Qinghe Ding,Liang Zhao,Jingchao Tan,Wei Niu

Cell communication and signaling : CCS 23:13 PubMed39773485

2025

FOXC1-mediated serine metabolism reprogramming enhances colorectal cancer growth and 5-FU resistance under serine restriction.

Applications

Unspecified application

Species

Unspecified reactive species

Zhukai Chen,Jiacheng Xu,Kang Fang,Hanyu Jiang,Zhuyun Leng,Hao Wu,Zehua Zhang,Zeyu Wang,Zhaoxing Li,Mingchuang Sun,Ziying Zhao,Anqi Feng,Shihan Zhang,Yuan Chu,Lechi Ye,Meidong Xu,Lingnan He,Tao Chen

iScience 27:110500 PubMed39171293

2024

Conserved role of FOXC1 in TNBC is parallel to FOXA1 in ER+ breast cancer.

Applications

Unspecified application

Species

Unspecified reactive species

Revathy Ramachandran,Shakhzada Ibragimova,Laura M Woods,Tamader AlHouqani,Roshna Lawrence Gomez,Fabrizio Simeoni,Mahmood Y Hachim,Tim C P Somervaille,Anna Philpott,Jason S Carroll,Fahad R Ali

Cancer biology & medicine 21: PubMed38752685

2024

Stability and variability of molecular subtypes: comparative analysis of primary and metastatic triple-negative breast cancer.

Applications

Unspecified application

Species

Unspecified reactive species

Xiuzhi Zhu,Xiaohan Ying,Yin Liu,Yunyi Wang,Li Chen,Zhiming Shao,Xi Jin,Yizhou Jiang,Zhonghua Wang

Experimental and therapeutic medicine 27:59 PubMed38234613

2024

CKLF1, transcriptionally activated by FOXC1, promotes hypoxia/reoxygenation‑induced oxidative stress and inflammation in H9c2 cells by NLRP3 inflammasome activation.

Applications

Unspecified application

Species

Unspecified reactive species

Yinfeng Jia,Jiansheng Pan

Central-European journal of immunology 49:366-382 PubMed39944260

2024

LncRNA RMRP promotes chondrocyte injury by regulating the FOXC1/RBP4 axis.

Applications

Unspecified application

Species

Unspecified reactive species

Jingyi Li,Gang Zhou,Te Chen,Qiao Lin,Qiupeng Yang

Molecular medicine (Cambridge, Mass.) 29:115 PubMed37626284

2023

Elevated galectin-3 levels detected in women with hyperglycemia during early and mid-pregnancy antagonizes high glucose - induced trophoblast cells apoptosis via galectin-3/foxc1 pathway.

Applications

Unspecified application

Species

Unspecified reactive species

Yu Deng,Hongyan Jin,Jie Ning,Dong Cui,Muqiu Zhang,Huixia Yang
View all publications

Product promise

We are committed to supporting your work with high-quality reagents, and we're here for you every step of the way. In the unlikely event that one of our products does not perform as expected, you're protected by our Product Promise.
For full details, please see our Terms & Conditions

Please note: All products are 'FOR RESEARCH USE ONLY. NOT FOR USE IN DIAGNOSTIC OR THERAPEUTIC PROCEDURES'.

For licensing inquiries, please contact partnerships@abcam.com