JavaScript is disabled in your browser. Please enable JavaScript to view this website.
AB324638

Anti-FOXC2 antibody [EPR29613-501]

Be the first to review this product! Submit a review

|

(0 Publication)

Rabbit Recombinant Monoclonal FOXC2 antibody. Suitable for IHC-P, ICC/IF, WB and reacts with Transfected cell line - Mouse, Human, Mouse samples.

View Alternative Names

Fkh14, Fkhl14, Mfh1, Forkhead box protein C2, Brain factor 3, Forkhead-related protein FKHL14, Mesenchyme fork head protein 1, Transcription factor FKH-14, BF-3, MFH-1 protein

12 Images
Immunohistochemistry (Formalin/PFA-fixed paraffin-embedded sections) - Anti-FOXC2 antibody [EPR29613-501] (AB324638)
  • IHC-P

Supplier Data

Immunohistochemistry (Formalin/PFA-fixed paraffin-embedded sections) - Anti-FOXC2 antibody [EPR29613-501] (AB324638)

Immunohistochemical analysis of paraffin-embedded Human ovarian carcinoma tissue labeling FOXC2 with ab324638 at 1/200 (2.535 ug/ml) dilution, followed by a ready to use Rabbit specific IHC polymer detection kit HRP/DAB (ab209101).

Positive staining on human ovarian carcinoma. The primary antibody was incubated for 30 mins at room temperature.
The immunostaining was performed on a Leica Biosystems BOND® RX instrument

Counterstained with Hematoxylin.

Secondary antibody only control : Secondary antibody is a ready to use Rabbit specific IHC polymer detection kit HRP/DAB (ab209101).

Heat mediated antigen retrieval was performed with Tris-EDTA buffer (pH 9.0, Epitope Retrieval Solution2) for 20 mins

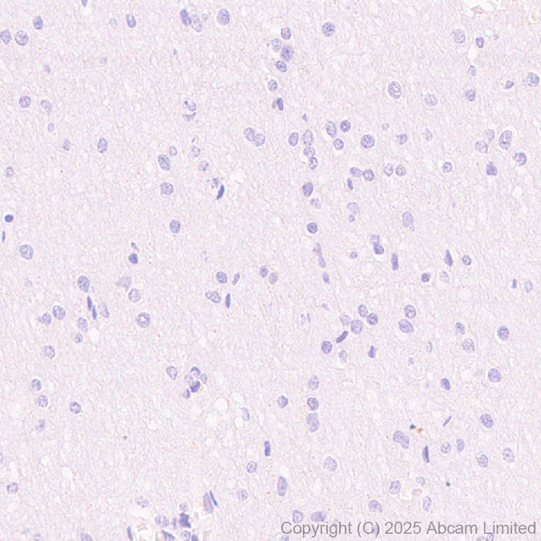
Immunohistochemistry (Formalin/PFA-fixed paraffin-embedded sections) - Anti-FOXC2 antibody [EPR29613-501] (AB324638)
  • IHC-P

Supplier Data

Immunohistochemistry (Formalin/PFA-fixed paraffin-embedded sections) - Anti-FOXC2 antibody [EPR29613-501] (AB324638)

Immunohistochemical analysis of paraffin-embedded Human cerebrum tissue labeling FOXC2 with ab324638 at 1/200 (2.535 ug/ml) dilution, followed by a ready to use Rabbit specific IHC polymer detection kit HRP/DAB (ab209101).

Low expression tissue : no staining on human cerebrum. The primary antibody was incubated for 30 mins at room temperature.
The immunostaining was performed on a Leica Biosystems BOND® RX instrument

Counterstained with Hematoxylin.

Secondary antibody only control : Secondary antibody is a ready to use Rabbit specific IHC polymer detection kit HRP/DAB (ab209101).

Heat mediated antigen retrieval was performed with Tris-EDTA buffer (pH 9.0, Epitope Retrieval Solution2) for 20 mins

Immunocytochemistry/ Immunofluorescence - Anti-FOXC2 antibody [EPR29613-501] (AB324638)
  • ICC/IF

Supplier Data

Immunocytochemistry/ Immunofluorescence - Anti-FOXC2 antibody [EPR29613-501] (AB324638)

Immunofluorescent analysis of 4% Paraformaldehyde-fixed, 0.1% TritonX-100 permeabilized PANC-1 (human pancreatic epithelioid carcinoma epithelial cell) cells labelling FOXC2 with ab324638 at 1/50 (10.14 ug/ml) dilution, followed by ab150081 Goat Anti-Rabbit IgG H&L (Alexa Fluor® 488) preadsorbed antibody at 1/1000 (2ug/ml) dilution (Green).

Confocal image showing nuclear staining in PANC-1 cell line and no staining in MCF7 cell line (shown in green). The counterstain was observed in magenta. Nuclear DNA was labelled with DAPI (shown in blue).
Negative control : MCF7.
Image was taken with a confocal microscope (Leica-Microsystems, TCS SP8).

ab7291 Anti-alpha Tubulin mouse monoclonal antibody was used to counterstain tubulin at 1/1000 (1ug/ml) dilution, followed by ab150120 Goat Anti-Mouse IgG H&L (Alexa Fluor® 594) at 1/1000 (2ug/ml) dilution (Magenta).

-ve control 1 : ab324638 at a 1/50 dilution followed by ab150120 at a 1/1000 dilution.

-ve control 2 : ab7291 at a 1/1000 dilution followed by ab150081 at a 1/1000 dilution.

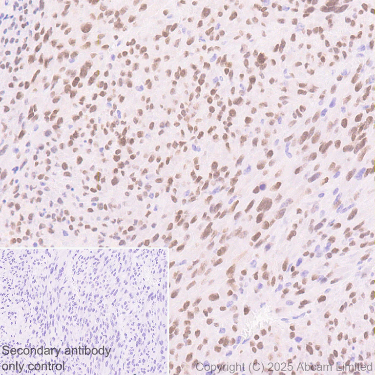
Immunohistochemistry (Formalin/PFA-fixed paraffin-embedded sections) - Anti-FOXC2 antibody [EPR29613-501] (AB324638)
  • IHC-P

Supplier Data

Immunohistochemistry (Formalin/PFA-fixed paraffin-embedded sections) - Anti-FOXC2 antibody [EPR29613-501] (AB324638)

Immunohistochemical analysis of paraffin-embedded Mouse glioblastoma tissue labeling FOXC2 with ab324638 at 1/500 (1.014 ug/ml) dilution, followed by a ready to use LeicaDS9800 (Bond™ Polymer Refine Detection).

Positive staining on mouse glioblastoma. The primary antibody was incubated for 30 mins at room temperature.
The immunostaining was performed on a Leica Biosystems BOND® RX instrument

Counterstained with Hematoxylin.

Secondary antibody only control : Secondary antibody is a ready to use LeicaDS9800 (Bond™ Polymer Refine Detection).

Heat mediated antigen retrieval was performed with Tris-EDTA buffer (pH 9.0, Epitope Retrieval Solution2) for 20 mins

Immunohistochemistry (Formalin/PFA-fixed paraffin-embedded sections) - Anti-FOXC2 antibody [EPR29613-501] (AB324638)
  • IHC-P

Supplier Data

Immunohistochemistry (Formalin/PFA-fixed paraffin-embedded sections) - Anti-FOXC2 antibody [EPR29613-501] (AB324638)

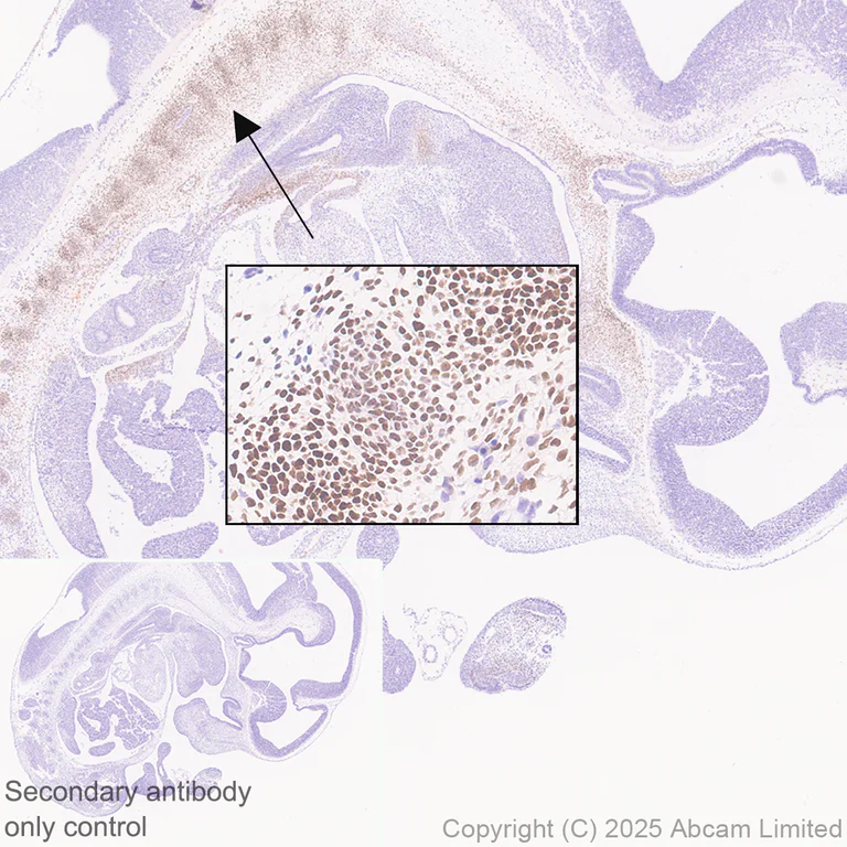
Immunohistochemical analysis of paraffin-embedded Mouse E12.5 tissue tissue labeling FOXC2 with ab324638 at 1/500 (1.014 ug/ml) dilution, followed by a ready to use LeicaDS9800 (Bond™ Polymer Refine Detection).

Positive staining on mouse E12.5 tissue. The primary antibody was incubated for 30 mins at room temperature.
The immunostaining was performed on a Leica Biosystems BOND® RX instrument

Counterstained with Hematoxylin.

Secondary antibody only control : Secondary antibody is a ready to use LeicaDS9800 (Bond™ Polymer Refine Detection).

Heat mediated antigen retrieval was performed with Tris-EDTA buffer (pH 9.0, Epitope Retrieval Solution2) for 20 mins

Immunohistochemistry (Formalin/PFA-fixed paraffin-embedded sections) - Anti-FOXC2 antibody [EPR29613-501] (AB324638)
  • IHC-P

Supplier Data

Immunohistochemistry (Formalin/PFA-fixed paraffin-embedded sections) - Anti-FOXC2 antibody [EPR29613-501] (AB324638)

Immunohistochemical analysis of paraffin-embedded Mouse kidney tissue labeling FOXC2 with ab324638 at 1/500 (1.014 ug/ml) dilution, followed by a ready to use LeicaDS9800 (Bond™ Polymer Refine Detection).

Low expression tissue : positive staining on endothelial cells of mouse kidney (PMID : 8674414). The primary antibody was incubated for 30 mins at room temperature.
The immunostaining was performed on a Leica Biosystems BOND® RX instrument

Counterstained with Hematoxylin.

Secondary antibody only control : Secondary antibody is a ready to use LeicaDS9800 (Bond™ Polymer Refine Detection).

Heat mediated antigen retrieval was performed with Tris-EDTA buffer (pH 9.0, Epitope Retrieval Solution2) for 20 mins

Immunocytochemistry/ Immunofluorescence - Anti-FOXC2 antibody [EPR29613-501] (AB324638)
  • ICC/IF

Supplier Data

Immunocytochemistry/ Immunofluorescence - Anti-FOXC2 antibody [EPR29613-501] (AB324638)

Immunofluorescent analysis of 4% Paraformaldehyde-fixed, 0.1% TritonX-100 permeabilized 4T1 (mouse mammary gland carcinoma epithelial cell) cells labelling FOXC2 with ab324638 at 1/50 (10.14 ug/ml) dilution, followed by ab150081 Goat Anti-Rabbit IgG H&L (Alexa Fluor® 488) preadsorbed antibody at 1/1000 (2ug/ml) dilution (Green).

Confocal image showing nuclear staining in 4T1 cell line and no staining in F9 cell line (shown in green). The counterstain was observed in magenta. Nuclear DNA was labelled with DAPI (shown in blue).
Negative control : F9.
Image was taken with a confocal microscope (Leica-Microsystems, TCS SP8).

ab7291 Anti-alpha Tubulin mouse monoclonal antibody was used to counterstain tubulin at 1/1000 (1ug/ml) dilution, followed by ab150120 Goat Anti-Mouse IgG H&L (Alexa Fluor® 594) at 1/1000 (2ug/ml) dilution (Magenta).

-ve control 1 : ab324638 at a 1/50 dilution followed by ab150120 at a 1/1000 dilution.

-ve control 2 : ab7291 at a 1/1000 dilution followed by ab150081 at a 1/1000 dilution.

Western blot - Anti-FOXC2 antibody [EPR29613-501] (AB324638)
  • WB

Supplier Data

Western blot - Anti-FOXC2 antibody [EPR29613-501] (AB324638)

Blocking and diluting buffer and concentration : 5% NFDM/TBST.

Low expression : MCF7

To minimize protein degradation, cells/tissues were lysed immediately after harvest and then applied to a gel and transfer membrane for Western blotting as soon as possible.

In Western blot, Anti-GAPDH antibody [EPR16891] - Loading Control (ab181602) staining at 1/200000 dilution.

All lanes:

Western blot - Anti-FOXC2 antibody [EPR29613-501] (ab324638) at 1/1000 dilution

Lane 1:

PANC-1 (human pancreatic epithelioid carcinoma epithelial cell) whole cell lysate at 20 µg

Lane 2:

HT-1080 (human fibrosarcoma epithelial cell) whole cell lysate at 20 µg

Lane 3:

MCF7 (human breast adenocarcinoma epithelial cell) whole cell lysate at 20 µg

Secondary

All lanes:

Goat Anti-Rabbit IgG (HRP) with minimal cross-reactivity with human IgG at 1/2000 dilution

Observed band size: 52 kDa,36 kDa

false

Exposure time: 26s

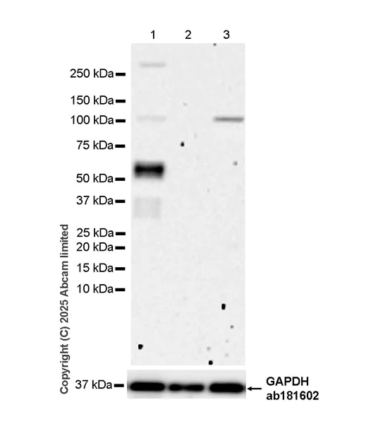
Western blot - Anti-FOXC2 antibody [EPR29613-501] (AB324638)
  • WB

Supplier Data

Western blot - Anti-FOXC2 antibody [EPR29613-501] (AB324638)

Blocking and diluting buffer and concentration : 5% NFDM/TBST.

Low expression : kidney, brain (PMID : 8674414)

The identity of the higher MW bands at approximately 100 kDa and 250 kDa is unknown.

In Western blot, Anti-GAPDH antibody [EPR16891] - Loading Control (ab181602) staining at 1/200000 dilution.

All lanes:

Western blot - Anti-FOXC2 antibody [EPR29613-501] (ab324638) at 1/1000 dilution

Lane 1:

Mouse E14 embryo tissue lysate at 20 µg

Lane 2:

Mouse kidney tissue lysate at 20 µg

Lane 3:

Mouse brain tissue lysate at 20 µg

Secondary

All lanes:

Western blot - Goat Anti-Rabbit IgG H&L (HRP) (<a href='/en-us/products/secondary-antibodies/goat-rabbit-igg-h-l-hrp-ab97051'>ab97051</a>) at 1/100000 dilution

Observed band size: 52 kDa,36 kDa

false

Exposure time: 180s

Western blot - Anti-FOXC2 antibody [EPR29613-501] (AB324638)
  • WB

Supplier Data

Western blot - Anti-FOXC2 antibody [EPR29613-501] (AB324638)

Blocking and diluting buffer and concentration : 5% NFDM/TBST.

Low expression : F9

The identity of the higher MW bands at approximately 100 kDa and 250 kDa is unknown.

To minimize protein degradation, cells/tissues were lysed immediately after harvest and then applied to a gel and transfer membrane for Western blotting as soon as possible.

In Western Blot, loading control is Anti-Vinculin antibody [EPR8185] (ab129002) at a 1/10000 dilution.

All lanes:

Western blot - Anti-FOXC2 antibody [EPR29613-501] (ab324638) at 1/1000 dilution

Lane 1:

4T1 (mouse mammary gland carcinoma epithelial cell) whole cell lysate at 40 µg

Lane 2:

F9 (mouse embryonal carcinoma epithelial cell) whole cell lysate at 40 µg

Secondary

All lanes:

Goat Anti-Rabbit IgG (HRP) with minimal cross-reactivity with human IgG at 1/2000 dilution

Observed band size: 52 kDa,124 kDa

false

Exposure time: 15s

Immunohistochemistry (Formalin/PFA-fixed paraffin-embedded sections) - Anti-FOXC2 antibody [EPR29613-501] (AB324638)
  • IHC-P

Supplier Data

Immunohistochemistry (Formalin/PFA-fixed paraffin-embedded sections) - Anti-FOXC2 antibody [EPR29613-501] (AB324638)

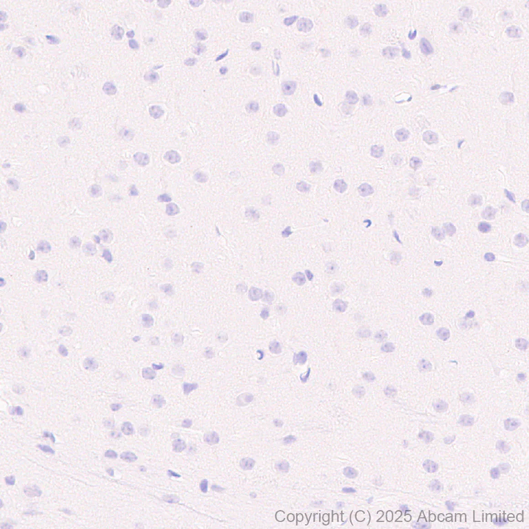
Immunohistochemical analysis of paraffin-embedded Mouse cerebrum tissue labeling FOXC2 with ab324638 at 1/500 (1.014 ug/ml) dilution, followed by a ready to use LeicaDS9800 (Bond™ Polymer Refine Detection).

Low expression tissue : no staining on mouse cerebrum (PMID : 8674414). The primary antibody was incubated for 30 mins at room temperature.
The immunostaining was performed on a Leica Biosystems BOND® RX instrument

Counterstained with Hematoxylin.

Secondary antibody only control : Secondary antibody is a ready to use LeicaDS9800 (Bond™ Polymer Refine Detection).

Heat mediated antigen retrieval was performed with Tris-EDTA buffer (pH 9.0, Epitope Retrieval Solution2) for 20 mins

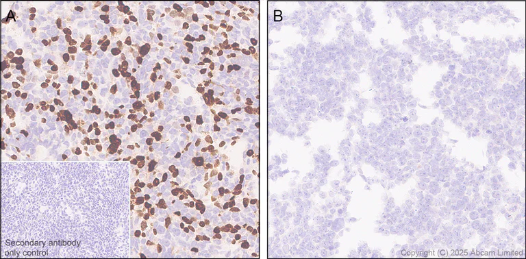
Immunohistochemistry (Formalin/PFA-fixed paraffin-embedded sections) - Anti-FOXC2 antibody [EPR29613-501] (AB324638)
  • IHC-P

Supplier Data

Immunohistochemistry (Formalin/PFA-fixed paraffin-embedded sections) - Anti-FOXC2 antibody [EPR29613-501] (AB324638)

Immunohistochemical analysis of paraffin-embedded (A) HEK-293T (human embryonic kidney epithelial cell) transfected with a Mouse FOXC2 expression vector containing a Myc-His tag and (B) HEK-293T transfected with empty vector containing a Myc-His tag labeling FOXC2 with ab324638 at 1/8000 (0.063 ug/ml) dilution, followed by a ready to use LeicaDS9800 (Bond™ Polymer Refine Detection).

Positive staining on (A) HEK-293T transfected with a Myc-His-tagged Mouse FOXC2 construct and no staining on (B) HEK-293T transfected with empty vector containing a Myc-His tag. The primary antibody was incubated for 30 mins at room temperature.
The immunostaining was performed on a Leica Biosystems BOND® RX instrument

Counterstained with Hematoxylin.

Secondary antibody only control : Secondary antibody is a ready to use LeicaDS9800 (Bond™ Polymer Refine Detection).

Heat mediated antigen retrieval was performed with Tris-EDTA buffer (pH 9.0, Epitope Retrieval Solution2) for 20 mins

Key facts

Host species

Rabbit

Clonality

Monoclonal

Clone number

EPR29613-501

Isotype

IgG

Carrier free

No

Reacts with

Human, Mouse

Applications

WB, ICC/IF, IHC-P

applications

Immunogen

The exact immunogen used to generate this antibody is proprietary information.

Reactivity data

{ "title": "Reactivity Data", "filters": { "stats": ["", "Species", "Dilution Info", "Notes"], "tabs": { "all-applications": {"fullname" : "All Applications", "shortname": "All Applications"}, "IHCP" : {"fullname" : "Immunohistochemistry (Formalin/PFA-fixed paraffin-embedded sections)", "shortname":"IHC-P"}, "ICCIF" : {"fullname" : "Immunocytochemistry/ Immunofluorescence", "shortname":"ICC/IF"}, "WB" : {"fullname" : "Western blot", "shortname":"WB"} }, "product-promise": { "all": "all", "testedAndGuaranteed": "tested", "guaranteed": "expected", "predicted": "predicted", "notRecommended": "not-recommended" } }, "values": { "Human": { "IHCP-species-checked": "testedAndGuaranteed", "IHCP-species-dilution-info": "1/200", "IHCP-species-notes": "<p></p> Perform heat-mediated antigen retrieval with Tris/EDTA buffer pH 9.0 before commencing with IHC staining protocol.", "ICCIF-species-checked": "testedAndGuaranteed", "ICCIF-species-dilution-info": "1/50", "ICCIF-species-notes": "<p></p>", "WB-species-checked": "testedAndGuaranteed", "WB-species-dilution-info": "1/1000", "WB-species-notes": "<p></p>" }, "Mouse": { "IHCP-species-checked": "testedAndGuaranteed", "IHCP-species-dilution-info": "1/200", "IHCP-species-notes": "<p></p> Perform heat-mediated antigen retrieval with Tris/EDTA buffer pH 9.0 before commencing with IHC staining protocol.", "ICCIF-species-checked": "testedAndGuaranteed", "ICCIF-species-dilution-info": "1/50", "ICCIF-species-notes": "<p></p>", "WB-species-checked": "testedAndGuaranteed", "WB-species-dilution-info": "1/1000", "WB-species-notes": "<p></p>" }, "Transfected cell line - Mouse": { "IHCP-species-checked": "testedAndGuaranteed", "IHCP-species-dilution-info": "1/8000", "IHCP-species-notes": "<p></p> Perform heat-mediated antigen retrieval with Tris/EDTA buffer pH 9.0 before commencing with IHC staining protocol.", "ICCIF-species-checked": "notRecommended", "ICCIF-species-dilution-info": "", "ICCIF-species-notes": "", "WB-species-checked": "notRecommended", "WB-species-dilution-info": "", "WB-species-notes": "" } } }

Product details

Patented technology
Our RabMAb® technology is a patented hybridoma-based technology for making rabbit monoclonal antibodies. For details on our patents, please refer to RabMAb® patents.

What are the advantages of a recombinant monoclonal antibody?
This product is a recombinant monoclonal antibody, which offers several advantages including:

  • - High batch-to-batch consistency and reproducibility
  • - Improved sensitivity and specificity
  • - Long-term security of supply
  • - Animal-free batch production

For more information, read more on recombinant antibodies.

Properties and storage information

Form
Liquid
Purification technique
Affinity purification Protein A
Storage buffer
pH: 7.2 - 7.4 Preservative: 0.01% Sodium azide Constituents: PBS, 40% Glycerol (glycerin, glycerine), 0.05% BSA
Shipped at conditions
Blue Ice
Appropriate short-term storage duration
1-2 weeks
Appropriate short-term storage conditions
+4°C
Appropriate long-term storage conditions
-20°C
Aliquoting information
Upon delivery aliquot
Storage information
Avoid freeze / thaw cycle

Product protocols

For this product, it's our understanding that no specific protocols are required. You can visit:

Target data

Transcriptional activator.
See full target information Foxc2

Additional targets

FOXC2

Product promise

We are committed to supporting your work with high-quality reagents, and we're here for you every step of the way. In the unlikely event that one of our products does not perform as expected, you're protected by our Product Promise.
For full details, please see our Terms & Conditions

Please note: All products are 'FOR RESEARCH USE ONLY. NOT FOR USE IN DIAGNOSTIC OR THERAPEUTIC PROCEDURES'.

For licensing inquiries, please contact partnerships@abcam.com