JavaScript is disabled in your browser. Please enable JavaScript to view this website.
AB67758

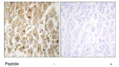
Anti-FOXD3 antibody

5

(2 Reviews)

|

(6 Publications)

Rabbit Polyclonal FOXD3 antibody. Suitable for ChIP, WB and reacts with Chicken samples. Cited in 6 publications. Immunogen corresponding to Synthetic Peptide within Chicken Forkhead box protein D3.

View Alternative Names

Forkhead box protein D3, HNF3/FH transcription factor genesis, Winged-helix protein CWH-3, FOXD3

Key facts

Host species

Rabbit

Clonality

Polyclonal

Isotype

IgG

Carrier free

No

Reacts with

Chicken

Applications

ChIP, WB

applications

Immunogen

Synthetic Peptide within Chicken Forkhead box protein D3. The exact immunogen used to generate this antibody is proprietary information.

P79772

Reactivity data

{ "title": "Reactivity Data", "filters": { "stats": ["", "Species", "Dilution Info", "Notes"], "tabs": { "all-applications": {"fullname" : "All Applications", "shortname": "All Applications"}, "ChIP" : {"fullname" : "ChIP", "shortname":"ChIP"}, "WB" : {"fullname" : "Western blot", "shortname":"WB"} }, "product-promise": { "all": "all", "testedAndGuaranteed": "tested", "guaranteed": "expected", "predicted": "predicted", "notRecommended": "not-recommended" } }, "values": { "Human": { "ChIP-species-checked": "predicted", "ChIP-species-dilution-info": "", "ChIP-species-notes": "", "WB-species-checked": "predicted", "WB-species-dilution-info": "", "WB-species-notes": "" }, "Mouse": { "ChIP-species-checked": "predicted", "ChIP-species-dilution-info": "", "ChIP-species-notes": "", "WB-species-checked": "predicted", "WB-species-dilution-info": "", "WB-species-notes": "" }, "Chicken": { "ChIP-species-checked": "guaranteed", "ChIP-species-dilution-info": "", "ChIP-species-notes": "<p></p>", "WB-species-checked": "guaranteed", "WB-species-dilution-info": "", "WB-species-notes": "<p></p>" } } }

Properties and storage information

Form
Liquid
Purity
Whole antiserum
Storage buffer
Constituents: Whole serum
Shipped at conditions
Blue Ice
Appropriate short-term storage duration
1-2 weeks
Appropriate short-term storage conditions
+4°C
Appropriate long-term storage conditions
-20°C
Aliquoting information
Upon delivery aliquot
Storage information
Avoid freeze / thaw cycle

Supplementary information

This supplementary information is collated from multiple sources and compiled automatically.

FOXD3 also known as Forkhead box D3 acts as a critical transcription factor involved in gene regulation. It belongs to the forkhead family of transcription factors and possesses a DNA-binding domain characterized by a winged-helix motif. FOXD3 has a molecular mass of approximately 48 kDa. Researchers have identified its expression primarily in the cells of neural crest as well as in pluripotent stem cells like embryonic stem cells during development.
Biological function summary

FOXD3 regulates the expression of numerous genes involved in cell fate determination. It plays an important role in maintaining pluripotency and preventing differentiation. FOXD3 might form complexes with other transcription factors or cofactors to modulate gene expression. These complexes assist in the fine-tuning of genetic networks essential for early development and cellular lineage specification.

Pathways

FOXD3 integrates into signaling pathways that regulate pluripotency and differentiation such as the Wnt signaling pathway. It interacts with other proteins such as NANOG and SOX2 which contribute to maintaining stem cell identity. Through these pathways FOXD3 helps control balance between self-renewal and differentiation in pluripotent cells.

FOXD3 has associations with cancer and neurodevelopmental disorders. Mutations or dysregulation in FOXD3 expression relate to melanoma potentially through its interaction with BRAF a known oncogenic protein. Additionally FOXD3 influences neural crest development and disturbances in its function may contribute to neural crest-related disorders such as Waardenburg syndrome.

Product protocols

For this product, it's our understanding that no specific protocols are required. You can visit:

Target data

Binds to the consensus sequence 5'-A[AT]T[AG]TTTGTTT-3' and acts as a transcriptional repressor. Also acts as a transcriptional activator. Promotes development of neural crest cells from neural tube progenitors. Restricts neural progenitor cells to the neural crest lineage while suppressing interneuron differentiation. Required for maintenance of pluripotent cells in the pre-implantation and peri-implantation stages of embryogenesis.
See full target information Forkhead box protein D3

Publications (6)

Recent publications for all applications. Explore the full list and refine your search

Molecular carcinogenesis 60:859-873 PubMed34551139

2021

FOXD3 suppresses epithelial-mesenchymal transition through direct transcriptional promotion of SMAD7 in esophageal squamous cell carcinoma.

Applications

Unspecified application

Species

Unspecified reactive species

Zheng Wu,Yan Li,Yunfeng Niu,Juntao Lu,Zhaoyang Yan,Tongxin Xu,Yanli Guo,Zhiming Dong,Wei Guo

Experimental & molecular medicine 52:118-129 PubMed31959866

2020

The transcription factor Foxd3 induces spinal cord ischemia-reperfusion injury by potentiating microRNA-214-dependent inhibition of Kcnk2.

Applications

Unspecified application

Species

Unspecified reactive species

Ran Li,Kunchi Zhao,Qing Ruan,Chunyang Meng,Fei Yin

Stem cells (Dayton, Ohio) 37:582-592 PubMed30703266

2019

FOXD3 Suppresses Tumor-Initiating Features in Lung Cancer via Transcriptional Repression of WDR5.

Applications

Unspecified application

Species

Unspecified reactive species

Wei Xu,Jialin Li,Lei Li,Tianhui Hou,Xiaopan Cai,Tielong Liu,Xinghai Yang,Haifeng Wei,Cong Jiang,Jianru Xiao

Molecular therapy : the journal of the American Society of Gene Therapy 26:755-773 PubMed29398485

2018

Risk-Associated Long Noncoding RNA FOXD3-AS1 Inhibits Neuroblastoma Progression by Repressing PARP1-Mediated Activation of CTCF.

Applications

Unspecified application

Species

Unspecified reactive species

Xiang Zhao,Dan Li,Dandan Huang,Huajie Song,Hong Mei,Erhu Fang,Xiaojing Wang,Feng Yang,Liduan Zheng,Kai Huang,Qiangsong Tong

Genesis (New York, N.Y. : 2000) 55: PubMed28509407

2017

IL-1β inhibits osteogenesis of human bone marrow-derived mesenchymal stem cells by activating FoxD3/microRNA-496 to repress wnt signaling.

Applications

Unspecified application

Species

Unspecified reactive species

Jian Huang,Liang Chen

Genome biology 17:24 PubMed26898989

2016

The aspirin-induced long non-coding RNA OLA1P2 blocks phosphorylated STAT3 homodimer formation.

Applications

WB

Species

Human

Haiyan Guo,Jun Liu,Qiwen Ben,Yuehong Qu,Man Li,Ying Wang,Wantao Chen,Jianjun Zhang
View all publications

Product promise

We are committed to supporting your work with high-quality reagents, and we're here for you every step of the way. In the unlikely event that one of our products does not perform as expected, you're protected by our Product Promise.
For full details, please see our Terms & Conditions

Please note: All products are 'FOR RESEARCH USE ONLY. NOT FOR USE IN DIAGNOSTIC OR THERAPEUTIC PROCEDURES'.

For licensing inquiries, please contact partnerships@abcam.com