JavaScript is disabled in your browser. Please enable JavaScript to view this website.
AB227888

Anti-FOXG1 antibody [EPR18987] - BSA and Azide free

Be the first to review this product! Submit a review

|

(1 Publication)

Rabbit Recombinant Monoclonal FOXG1 antibody. Carrier free. Suitable for IP, ChIP-seq, WB, ICC/IF, IHC-Fr, Flow Cyt (Intra), IHC-P and reacts with Human, Mouse, Rat samples. Cited in 1 publication.

View Alternative Names

FKH2, FKHL1, FKHL2, FKHL3, FKHL4, FOXG1A, FOXG1B, FOXG1C, FOXG1, Forkhead box protein G1, Brain factor 1, Brain factor 2, Forkhead box protein G1A, Forkhead box protein G1B, Forkhead box protein G1C, Forkhead-related protein FKHL1, Forkhead-related protein FKHL2, Forkhead-related protein FKHL3, BF-1, BF1, BF-2, BF2, hBF-2, HFK1, HFK2, HFK3

16 Images
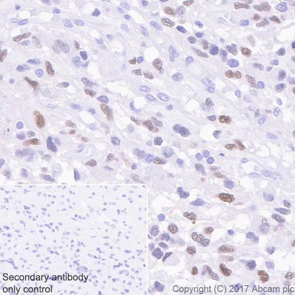
Immunohistochemistry (Formalin/PFA-fixed paraffin-embedded sections) - Anti-FOXG1 antibody [EPR18987] - BSA and Azide free (AB227888)
  • IHC-P

Lab

Immunohistochemistry (Formalin/PFA-fixed paraffin-embedded sections) - Anti-FOXG1 antibody [EPR18987] - BSA and Azide free (AB227888)

This data was developed using ab196868 the same antibody clone in a different buffer formulation.

Immunohistochemical analysis of formalin fixed paraffin embedded human glioma labelling FOXG1 with ab196868 at a concentration of 0.5µg/ml. The immunostaining was performed on a Ventana DISCOVERY ULTRA (Roche Tissue Diagnostics) instrument with a OptiView DAB IHC Detection Kit. Heat mediated antigen retrieval was performed with DISCOVERY cell conditioning solution (CC1) 100°C, pH8.5 for 32mins. ab196868 Anti-FOXG1 antibody [EPR18987] was incubated for 16mins at 37°C. Sections were counterstained with Hematoxylin II. Image inset shows absence of staining in secondary antibody only control.

Customers are encouraged to optimise antigen retrieval conditions, antibody concentration, incubation times and temperature for best results in their own IHC assay workflow (automated and manual).

Immunohistochemistry (Formalin/PFA-fixed paraffin-embedded sections) - Anti-FOXG1 antibody [EPR18987] - BSA and Azide free (AB227888)
  • IHC-P

Supplier Data

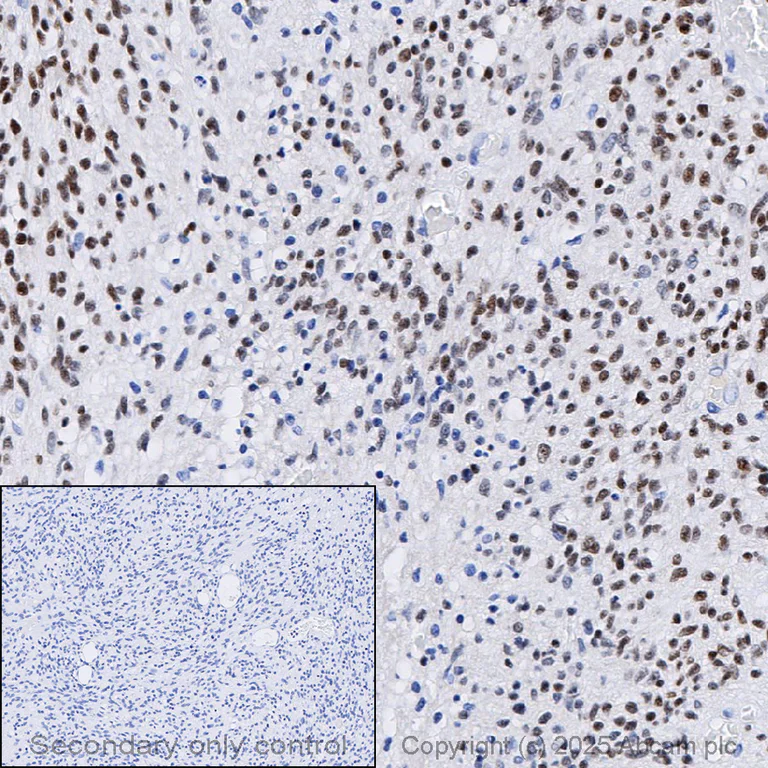
Immunohistochemistry (Formalin/PFA-fixed paraffin-embedded sections) - Anti-FOXG1 antibody [EPR18987] - BSA and Azide free (AB227888)

Immunohistochemical analysis of paraffin-embedded human glioma tissue labeling FOXG1 with ab196868 at 1/500 dilution, followed by Goat Anti-Rabbit IgG H&L (HRP) Ready to use. Nuclear staining in cells from a human glioma (PMID : 28465359) is observed. Counter stained with hematoxylin.

Secondary antibody only control : Used PBS instead of primary antibody, secondary antibody is Goat Anti-Rabbit IgG H&L (HRP) Ready to use.

This data was developed using the same antibody clone in a different buffer formulation containing PBS, BSA, glycerol, and sodium azide (ab196868).

Perform heat mediated antigen retrieval with Tris/EDTA buffer pH 9.0 before commencing with IHC staining protocol.

ChIP-sequencing - Anti-FOXG1 antibody [EPR18987] - BSA and Azide free (AB227888)
  • ChIP-seq

Lab

ChIP-sequencing - Anti-FOXG1 antibody [EPR18987] - BSA and Azide free (AB227888)

This data was developed using ab196868, the same antibody clone in a different buffer formulation.

Chromatin was prepared from U-87 MG cells. Cells were fixed with 1% formaldehyde for 10 minutes. ChIP was performed with 10^7 cells and 8 µg of ab196868 [EPR18987]. ChIP DNA was sequenced on the Illumina NovaSeq 6000 to a depth of 30 million reads. The Input control is also shown.

ChIP-sequencing - Anti-FOXG1 antibody [EPR18987] - BSA and Azide free (AB227888)
  • ChIP-seq

Lab

ChIP-sequencing - Anti-FOXG1 antibody [EPR18987] - BSA and Azide free (AB227888)

This data was developed using ab196868, the same antibody clone in a different buffer formulation.

Chromatin was prepared from U-87 MG cells. Cells were fixed with 1% formaldehyde for 10 minutes. ChIP was performed with 10^7 cells and 8 µg of ab196868 [EPR18987]. ChIP DNA was sequenced on the Illumina NovaSeq 6000 to a depth of 30 million reads. The Input control is also shown.

Immunoprecipitation - Anti-FOXG1 antibody [EPR18987] - BSA and Azide free (AB227888)
  • IP

Lab

Immunoprecipitation - Anti-FOXG1 antibody [EPR18987] - BSA and Azide free (AB227888)

This data was developed using ab196868, the same antibody clone in a different buffer formulation.

FOXG1 was immunoprecipitated from 0.35 mg U-87 MG (human glioblastoma-astrocytoma epithelial cell) whole cell lysate with ab196868 at 1/30 dilution (2µg in 0.35mg lysates). Western blot was performed on the immunoprecipitate using ab196868 at 1/1000 dilution.

Blocking and dilution buffer and concentration : 5% NFDM/TBST.

This blot was developed using a high-sensitivity ECL substrate, allowing for the detection of proteins in the mid-femtogram range.

All lanes:

Immunoprecipitation - Anti-FOXG1 antibody [EPR18987] (<a href='/en-us/products/primary-antibodies/foxg1-antibody-epr18987-ab196868'>ab196868</a>) at 1/30 dilution

Lane 1:

U-87 MG (human glioblastoma-astrocytoma epithelial cell) whole cell lysate at 10 µg

Lane 2:

U-87 MG (human glioblastoma-astrocytoma epithelial cell) whole cell lysate

Lane 3:

Rabbit monoclonal IgG (<a href='/en-us/products/primary-antibodies/rabbit-igg-monoclonal-epr25a-isotype-control-ab172730'>ab172730</a>) instead of <a href='/en-us/products/primary-antibodies/foxg1-antibody-epr18987-ab196868'>ab196868</a> in U-87 MG lysate

Secondary

All lanes:

Immunoprecipitation - VeriBlot for IP Detection Reagent (HRP) (<a href='/en-us/products/reagents/veriblot-for-ip-detection-reagent-hrp-ab131366'>ab131366</a>) at 1/5000 dilution

Observed band size: 55 kDa

true

Exposure time: 180s

ChIP-sequencing - Anti-FOXG1 antibody [EPR18987] - BSA and Azide free (AB227888)
  • ChIP-seq

Lab

ChIP-sequencing - Anti-FOXG1 antibody [EPR18987] - BSA and Azide free (AB227888)

This data was developed using ab196868, the same antibody clone in a different buffer formulation.

Chromatin was prepared from U-87 MG cells. Cells were fixed with 1% formaldehyde for 10 minutes. ChIP was performed with 10^7 cells and 8 µg of ab196868 [EPR18987]. ChIP DNA was sequenced on the Illumina NovaSeq 6000 to a depth of 30 million reads. The Input control is also shown.

Immunohistochemistry (Formalin/PFA-fixed paraffin-embedded sections) - Anti-FOXG1 antibody [EPR18987] - BSA and Azide free (AB227888)
  • IHC-P

Supplier Data

Immunohistochemistry (Formalin/PFA-fixed paraffin-embedded sections) - Anti-FOXG1 antibody [EPR18987] - BSA and Azide free (AB227888)

Immunohistochemical analysis of paraffin-embedded rat E14 tissue labeling FOXG1 with ab196868 at 1/2000 dilution, followed by Goat Anti-Rabbit IgG H&L (HRP) Ready to use. Nuclear staining on cerebrum and olfactory epithelium of E14 rat is observed. Counter stained with hematoxylin.

Secondary antibody only control : Used PBS instead of primary antibody, secondary antibody is Goat Anti-Rabbit IgG H&L (HRP) Ready to use.

This data was developed using the same antibody clone in a different buffer formulation containing PBS, BSA, glycerol, and sodium azide (ab196868).

Perform heat mediated antigen retrieval with Tris/EDTA buffer pH 9.0 before commencing with IHC staining protocol.

Immunocytochemistry/ Immunofluorescence - Anti-FOXG1 antibody [EPR18987] - BSA and Azide free (AB227888)
  • ICC/IF

Supplier Data

Immunocytochemistry/ Immunofluorescence - Anti-FOXG1 antibody [EPR18987] - BSA and Azide free (AB227888)

Immunofluorescent analysis of 4% paraformaldehyde fixed, 0.1% Triton X-100 permeabilized C6 (rat glial tumor cell line) cells labeling FOXG1 with ab196868 at 1/100 dilution, followed by Goat Anti-Rabbit IgG H&L (Alexa Fluor® 488) (ab150077) secondary antibody at 1/1000 dilution (green). Nuclear staining on C6 cell line.

The nuclear counter stain is DAPI (blue). Tubulin is detected with Anti-alpha Tubulin antibody [DM1A] - Microtubule Marker (Alexa Fluor® 594) (ab195889) (red) at 1/200 dilution.

Secondary antibody only control : Used PBS instead of primary antibody, secondary antibody is Goat Anti-Rabbit IgG H&L (Alexa Fluor® 488) (ab150077) secondary antibody at 1/1000 dilution.

This data was developed using the same antibody clone in a different buffer formulation containing PBS, BSA, glycerol, and sodium azide (ab196868).

Immunohistochemistry (Frozen sections) - Anti-FOXG1 antibody [EPR18987] - BSA and Azide free (AB227888)
  • IHC-Fr

Supplier Data

Immunohistochemistry (Frozen sections) - Anti-FOXG1 antibody [EPR18987] - BSA and Azide free (AB227888)

Immunohistochemical analysis of 4% paraformaldehyde fixed, 0.2% Triton X-100 permeabilized frozen rat embryo E14.5 tissue labeling FOXG1 with ab196868 at 1/500 dilution, followed by Goat Anti-Rabbit IgG H&L (Alexa Fluor® 488) (ab150077) secondary antibody at 1/1000 dilution (green). Positive nuclear staining in the cortical plate of the telencephalon (LV : lateral ventricle; PMID : 14704420) is observed. Counter stained with DAPI.

Secondary antibody only control : Used PBS instead of primary antibody, secondary antibody is Goat Anti-Rabbit IgG H&L (Alexa Fluor® 488) (ab150077) secondary antibody at 1/1000 dilution (green).

This data was developed using the same antibody clone in a different buffer formulation containing PBS, BSA, glycerol, and sodium azide (ab196868).

Immunohistochemistry (Frozen sections) - Anti-FOXG1 antibody [EPR18987] - BSA and Azide free (AB227888)
  • IHC-Fr

Supplier Data

Immunohistochemistry (Frozen sections) - Anti-FOXG1 antibody [EPR18987] - BSA and Azide free (AB227888)

Immunohistochemical analysis of 4% paraformaldehyde fixed, 0.2% Triton X-100 permeabilized frozen mouse embryo E14.5 tissue labeling FOXG1 with ab196868 at 1/500 dilution, followed by Goat Anti-Rabbit IgG H&L (Alexa Fluor® 488) (ab150077) secondary antibody at 1/1000 dilution (green). Positive nuclear staining in the cortical plate of the telencephalon (LV : lateral ventricle; PMID : 14704420) is observed. Counter stained with DAPI.

Secondary antibody only control : Used PBS instead of primary antibody, secondary antibody is Goat Anti-Rabbit IgG H&L (Alexa Fluor® 488) (ab150077) secondary antibody at 1/1000 dilution (green).

This data was developed using the same antibody clone in a different buffer formulation containing PBS, BSA, glycerol, and sodium azide (ab196868).

Flow Cytometry (Intracellular) - Anti-FOXG1 antibody [EPR18987] - BSA and Azide free (AB227888)
  • Flow Cyt (Intra)

Supplier Data

Flow Cytometry (Intracellular) - Anti-FOXG1 antibody [EPR18987] - BSA and Azide free (AB227888)

Intracellular flow cytometric analysis of 4% paraformaldehyde fixed, 90% methanol permeabilized C6 (rat glial tumor cell line) cell line labeling FOXG1 with ab196868 at 1/60 dilution (red) compared with a Rabbit IgG, monoclonal [EPR25A] - Isotype Control (ab172730) (black) and an unlabeled control (cells without incubation with primary antibody and secondary antibody) (blue). Goat Anti-Rabbit IgG H&L (Alexa Fluor® 488) (ab150077) at 1/2000 dilution was used as the secondary antibody.

This data was developed using the same antibody clone in a different buffer formulation containing PBS, BSA, glycerol, and sodium azide (ab196868).

Immunohistochemistry (Formalin/PFA-fixed paraffin-embedded sections) - Anti-FOXG1 antibody [EPR18987] - BSA and Azide free (AB227888)
  • IHC-P

Supplier Data

Immunohistochemistry (Formalin/PFA-fixed paraffin-embedded sections) - Anti-FOXG1 antibody [EPR18987] - BSA and Azide free (AB227888)

Immunohistochemical analysis of paraffin-embedded mouse E14 tissue labeling FOXG1 with ab196868 at 1/2000 dilution, followed by Goat Anti-Rabbit IgG H&L (HRP) Ready to use. Nuclear staining on cerebrum and olfactory epithelium of E14 mouse is observed. Counter stained with hematoxylin.

Secondary antibody only control : Used PBS instead of primary antibody, secondary antibody is Goat Anti-Rabbit IgG H&L (HRP) Ready to use.

This data was developed using the same antibody clone in a different buffer formulation containing PBS, BSA, glycerol, and sodium azide (ab196868).

Perform heat mediated antigen retrieval with Tris/EDTA buffer pH 9.0 before commencing with IHC staining protocol.

ChIP-sequencing - Anti-FOXG1 antibody [EPR18987] - BSA and Azide free (AB227888)
  • ChIP-seq

Lab

ChIP-sequencing - Anti-FOXG1 antibody [EPR18987] - BSA and Azide free (AB227888)

This data was developed using ab196868, the same antibody clone in a different buffer formulation.

Chromatin was prepared from Neuro-2a cells. Cells were fixed with 1% formaldehyde for 10 minutes. ChIP was performed with 10^7 cells and 8 µg of ab196868 [EPR18987]. ChIP DNA was sequenced on the Illumina NovaSeq 6000 to a depth of 30 million reads. The Input control is also shown.

Immunoprecipitation - Anti-FOXG1 antibody [EPR18987] - BSA and Azide free (AB227888)
  • IP

Unknown

Immunoprecipitation - Anti-FOXG1 antibody [EPR18987] - BSA and Azide free (AB227888)

FOXG1 was immunoprecipitated from 0.35 mg mouse brain lysate 10 μg with ab196868 at 1/30 dilution (2μg in 0.35mg lysates). Western blot was performed on the immunoprecipitate using ab196868 at 1/1000 dilution. VeriBlot for IP Detection Reagent (HRP)(ab131366) was used at 1/5000 dilution.

Lane 1 : mouse brain lysate 10 μg

Lane 2 : ab196868 IP in mouse brain cell lysate

Lane 3 : Rabbit monoclonal IgG (ab172730) instead of ab196868 in mouse brain lysate

Blocking and dilution buffer and concentration : 5% NFDM/TBST.

Exposure time : 32s

This data was developed using the same antibody clone in a different buffer formulation containing PBS, BSA, glycerol, and sodium azide (ab196868).

All lanes:

Immunoprecipitation - Anti-FOXG1 antibody [EPR18987] (<a href='/en-us/products/primary-antibodies/foxg1-antibody-epr18987-ab196868'>ab196868</a>)

Predicted band size: 52 kDa

false

ChIP-sequencing - Anti-FOXG1 antibody [EPR18987] - BSA and Azide free (AB227888)
  • ChIP-seq

Lab

ChIP-sequencing - Anti-FOXG1 antibody [EPR18987] - BSA and Azide free (AB227888)

This data was developed using ab196868, the same antibody clone in a different buffer formulation.

Chromatin was prepared from Neuro-2a cells. Cells were fixed with 1% formaldehyde for 10 minutes. ChIP was performed with 10^7 cells and 8 µg of ab196868 [EPR18987]. ChIP DNA was sequenced on the Illumina NovaSeq 6000 to a depth of 30 million reads. The Input control is also shown.

ChIP-sequencing - Anti-FOXG1 antibody [EPR18987] - BSA and Azide free (AB227888)
  • ChIP-seq

Lab

ChIP-sequencing - Anti-FOXG1 antibody [EPR18987] - BSA and Azide free (AB227888)

This data was developed using ab196868, the same antibody clone in a different buffer formulation.

Chromatin was prepared from Neuro-2a cells. Cells were fixed with 1% formaldehyde for 10 minutes. ChIP was performed with 10^7 cells and 8 µg of ab196868 [EPR18987]. ChIP DNA was sequenced on the Illumina NovaSeq 6000 to a depth of 30 million reads. The Input control is also shown.

Key facts

Host species

Rabbit

Clonality

Monoclonal

Clone number

EPR18987

Isotype

IgG

Carrier free

Yes

Reacts with

Mouse, Rat, Human

Applications

IHC-Fr, Flow Cyt (Intra), IP, ICC/IF, IHC-P, ChIP-seq, WB

applications

Immunogen

The exact immunogen used to generate this antibody is proprietary information.

Reactivity data

{ "title": "Reactivity Data", "filters": { "stats": ["", "Species", "Dilution Info", "Notes"], "tabs": { "all-applications": {"fullname" : "All Applications", "shortname": "All Applications"}, "IP" : {"fullname" : "Immunoprecipitation", "shortname":"IP"}, "ChIPseq" : {"fullname" : "ChIP-sequencing", "shortname":"ChIP-seq"}, "WB" : {"fullname" : "Western blot", "shortname":"WB"}, "ICCIF" : {"fullname" : "Immunocytochemistry/ Immunofluorescence", "shortname":"ICC/IF"}, "IHCFr" : {"fullname" : "Immunohistochemistry (Frozen sections)", "shortname":"IHC-Fr"}, "FlowCytIntra" : {"fullname" : "Flow Cytometry (Intracellular)", "shortname":"Flow Cyt (Intra)"}, "IHCP" : {"fullname" : "Immunohistochemistry (Formalin/PFA-fixed paraffin-embedded sections)", "shortname":"IHC-P"} }, "product-promise": { "all": "all", "testedAndGuaranteed": "tested", "guaranteed": "expected", "predicted": "predicted", "notRecommended": "not-recommended" } }, "values": { "Human": { "IP-species-checked": "testedAndGuaranteed", "IP-species-dilution-info": "", "IP-species-notes": "<p></p>", "ChIPseq-species-checked": "testedAndGuaranteed", "ChIPseq-species-dilution-info": "", "ChIPseq-species-notes": "<p></p>", "WB-species-checked": "guaranteed", "WB-species-dilution-info": "", "WB-species-notes": "<p></p>", "ICCIF-species-checked": "guaranteed", "ICCIF-species-dilution-info": "", "ICCIF-species-notes": "", "IHCFr-species-checked": "guaranteed", "IHCFr-species-dilution-info": "", "IHCFr-species-notes": "", "FlowCytIntra-species-checked": "guaranteed", "FlowCytIntra-species-dilution-info": "", "FlowCytIntra-species-notes": "", "IHCP-species-checked": "testedAndGuaranteed", "IHCP-species-dilution-info": "", "IHCP-species-notes": "<p></p> Perform heat-mediated antigen retrieval before commencing with IHC staining protocol." }, "Mouse": { "IP-species-checked": "testedAndGuaranteed", "IP-species-dilution-info": "", "IP-species-notes": "<p></p>", "ChIPseq-species-checked": "testedAndGuaranteed", "ChIPseq-species-dilution-info": "", "ChIPseq-species-notes": "<p></p>", "WB-species-checked": "guaranteed", "WB-species-dilution-info": "", "WB-species-notes": "<p></p>", "ICCIF-species-checked": "guaranteed", "ICCIF-species-dilution-info": "", "ICCIF-species-notes": "", "IHCFr-species-checked": "testedAndGuaranteed", "IHCFr-species-dilution-info": "", "IHCFr-species-notes": "<p></p>", "FlowCytIntra-species-checked": "guaranteed", "FlowCytIntra-species-dilution-info": "", "FlowCytIntra-species-notes": "", "IHCP-species-checked": "testedAndGuaranteed", "IHCP-species-dilution-info": "", "IHCP-species-notes": "<p></p> Perform heat-mediated antigen retrieval with Tris/EDTA buffer pH 9.0 before commencing with IHC staining protocol." }, "Rat": { "IP-species-checked": "guaranteed", "IP-species-dilution-info": "", "IP-species-notes": "", "ChIPseq-species-checked": "guaranteed", "ChIPseq-species-dilution-info": "", "ChIPseq-species-notes": "", "WB-species-checked": "guaranteed", "WB-species-dilution-info": "", "WB-species-notes": "<p></p>", "ICCIF-species-checked": "testedAndGuaranteed", "ICCIF-species-dilution-info": "", "ICCIF-species-notes": "<p></p>", "IHCFr-species-checked": "guaranteed", "IHCFr-species-dilution-info": "", "IHCFr-species-notes": "", "FlowCytIntra-species-checked": "testedAndGuaranteed", "FlowCytIntra-species-dilution-info": "", "FlowCytIntra-species-notes": "<p></p>", "IHCP-species-checked": "guaranteed", "IHCP-species-dilution-info": "", "IHCP-species-notes": "" } } }

Product details

ab227888 is the carrier-free version of ab196868.

Patented technology
Our RabMAb® technology is a patented hybridoma-based technology for making rabbit monoclonal antibodies. For details on our patents, please refer to RabMAb® patents.

What are the advantages of a recombinant monoclonal antibody?
This product is a recombinant monoclonal antibody, which offers several advantages including:

  • - High batch-to-batch consistency and reproducibility
  • - Improved sensitivity and specificity
  • - Long-term security of supply
  • - Animal-free batch production

For more information, read more on recombinant antibodies.

Conjugation ready
Our carrier-free antibodies are typically supplied in a PBS-only formulation, purified and free of BSA, sodium azide and glycerol. This conjugation-ready format is designed for use with fluorochromes, metal isotopes, oligonucleotides, and enzymes, which makes them ideal for antibody labelling, functional and cell-based assays, flow-based assays (e.g. mass cytometry) and Multiplex Imaging applications.

Use our conjugation kits for antibody conjugates that are ready-to-use in as little as 20 minutes with 1 minute hands-on-time and 100% antibody recovery: available for fluorescent dyes, HRP, biotin and gold.

Compatibility
This product is compatible with the Maxpar® Antibody Labeling Kit from Fluidigm, without the need for antibody preparation. Maxpar® is a trademark of Fluidigm Canada Inc.

Properties and storage information

Form
Liquid
Purification technique
Affinity purification Protein A
Storage buffer
pH: 7.2 - 7.4 Constituents: PBS
Shipped at conditions
Blue Ice
Appropriate short-term storage conditions
+4°C
Appropriate long-term storage conditions
+4°C
Storage information
Do Not Freeze

Supplementary information

This supplementary information is collated from multiple sources and compiled automatically.

FOXG1 also known as Brain Factor 1 (BF-1) is a transcription factor with a molecular weight of approximately 52 kDa. This protein plays an important role in the modulation of gene expression. FOXG1 is found mainly in the developing brain and other tissues of the central nervous system. In adult brains its expression levels significantly decrease although some residual expression persists in areas such as the hippocampus.
Biological function summary

FOXG1 regulates processes of neural development and brain function. It is not known to be part of a protein complex but FOXG1 binds to DNA influencing the transcriptional activity of genes involved in neurogenesis. The protein contributes to the development of structures such as the telencephalon and regulates transitions between different stages of neuronal cell development. Its role extends to maintaining the balance between proliferation and differentiation of neural progenitor cells.

Pathways

FOXG1 participates in the Notch and Wnt signaling pathways. These pathways are critical for cell fate determination and embryonic development. FOXG1 interacts with proteins like those in the Notch pathway to maintain neural progenitors in a proliferative state. In the Wnt signaling pathway FOXG1 helps in modulating the signaling that controls brain patterning working in concert with other transcription factors and signaling molecules.

FOXG1 mutations can lead to congenital conditions such as FOXG1 syndrome and Rett syndrome. In such disorders abnormalities in FOXG1 disrupt normal neural development leading to cognitive and developmental impairments. The involvement of FOXG1 with the MeCP2 protein in Rett syndrome highlights its importance in maintaining normal neurological function. Understanding FOXG1's interactions and functions provides insights into potential therapeutic approaches for these disorders.

Product protocols

For this product, it's our understanding that no specific protocols are required. You can visit:

Target data

Transcription repression factor which plays an important role in the establishment of the regional subdivision of the developing brain and in the development of the telencephalon.
See full target information FOXG1

Publications (1)

Recent publications for all applications. Explore the full list and refine your search

Gerontology 70:1294-1304 PubMed39413738

2024

LncRNA MALAT1 Facilitates Parkinson's Disease Progression by Increasing SOCS3 Promoter Methylation.

Applications

Unspecified application

Species

Unspecified reactive species

Yuqi Liu,Dan Feng,Fenfen Liu,Yun Liu,Fangya Zuo,Yujie Wang,Lanlan Chen,Xiuhong Guo,Jinyong Tian
View all publications

Product promise

We are committed to supporting your work with high-quality reagents, and we're here for you every step of the way. In the unlikely event that one of our products does not perform as expected, you're protected by our Product Promise.
For full details, please see our Terms & Conditions

Please note: All products are 'FOR RESEARCH USE ONLY. NOT FOR USE IN DIAGNOSTIC OR THERAPEUTIC PROCEDURES'.

For licensing inquiries, please contact partnerships@abcam.com