JavaScript is disabled in your browser. Please enable JavaScript to view this website.
AB153935

Anti-FOXI1 antibody

1

(1 Review)

|

(2 Publications)

Rabbit Polyclonal FOXI1 antibody. Suitable for IHC-P, WB, ICC/IF and reacts with Mouse, Human samples. Cited in 2 publications. Immunogen corresponding to Recombinant Fragment Protein within Human FOXI1 aa 50-300.

View Alternative Names

FKHL10, FREAC6, FOXI1, Forkhead box protein I1, Forkhead-related protein FKHL10, Forkhead-related transcription factor 6, Hepatocyte nuclear factor 3 forkhead homolog 3, FREAC-6, HFH-3, HNF-3/fork-head homolog 3

7 Images
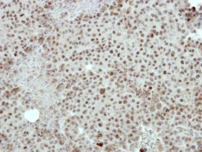
Immunohistochemistry (Formalin/PFA-fixed paraffin-embedded sections) - Anti-FOXI1 antibody (AB153935)
  • IHC-P

Unknown

Immunohistochemistry (Formalin/PFA-fixed paraffin-embedded sections) - Anti-FOXI1 antibody (AB153935)

Immunohistochemical analysis of paraffin-embedded Human Huh7 xenograft tissue, labeling FOXI1 with ab153935 at 1/500 dilution.

Immunocytochemistry/ Immunofluorescence - Anti-FOXI1 antibody (AB153935)
  • ICC/IF

Unknown

Immunocytochemistry/ Immunofluorescence - Anti-FOXI1 antibody (AB153935)

Immunofluorescent analysis of paraformaldehyde-fixed HeLa cells, labeling FOXI1 with ab153935 at 1/200 dilution. Lower image shows cells co-stained with Hoechst 33342.

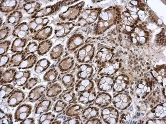
Immunohistochemistry (Formalin/PFA-fixed paraffin-embedded sections) - Anti-FOXI1 antibody (AB153935)
  • IHC-P

Supplier Data

Immunohistochemistry (Formalin/PFA-fixed paraffin-embedded sections) - Anti-FOXI1 antibody (AB153935)

Immunohistochemical analysis of paraffin-embedded mouse colon tissue stained for FOXI1 protein with ab153935 at a 1/500 dilution.

Antigen retrieval : Citrate buffer, pH 6.

Western blot - Anti-FOXI1 antibody (AB153935)
  • WB

Supplier Data

Western blot - Anti-FOXI1 antibody (AB153935)

Samples were separated by 12% SDS-PAGE.

All lanes:

Western blot - Anti-FOXI1 antibody (ab153935) at 1/2000 dilution

Lane 1:

Non-transfected 293T whole cell extract at 30 µg

Lane 2:

Transfected 293T whole cell extract at 30 µg

Secondary

All lanes:

HRP-conjugated anti-rabbit IgG

Predicted band size: 31 kDa

false

Western blot - Anti-FOXI1 antibody (AB153935)
  • WB

Supplier Data

Western blot - Anti-FOXI1 antibody (AB153935)

Samples were separated by 12% SDS-PAGE.

All lanes:

Western blot - Anti-FOXI1 antibody (ab153935) at 1/500 dilution

Lane 1:

A548 whole cell extract at 30 µg

Lane 2:

H1299 whole cell extract at 30 µg

Lane 3:

HCT116 whole cell extract at 30 µg

Secondary

All lanes:

HRP-conjugated anti-rabbit IgG

Predicted band size: 31 kDa

false

Western blot - Anti-FOXI1 antibody (AB153935)
  • WB

Supplier Data

Western blot - Anti-FOXI1 antibody (AB153935)

Samples were separated by 12% SDS-PAGE.

All lanes:

Western blot - Anti-FOXI1 antibody (ab153935) at 1/500 dilution

Lane 1:

293T whole cell lysate at 30 µg

Lane 2:

A431 whole cell lysate at 30 µg

Lane 3:

HeLa whole cell lysate at 30 µg

Lane 4:

HepG2 whole cell lysate at 30 µg

Secondary

All lanes:

HRP-conjugated anti-rabbit IgG

Predicted band size: 31 kDa

false

Western blot - Anti-FOXI1 antibody (AB153935)
  • WB

Supplier Data

Western blot - Anti-FOXI1 antibody (AB153935)

Samples were separated by 12% SDS-PAGE.

All lanes:

Western blot - Anti-FOXI1 antibody (ab153935) at 1/1000 dilution

Lane 1:

HepG2 whole cell extract at 30 µg

Lane 2:

HepG2 nuclear extract at 30 µg

Secondary

All lanes:

HRP-conjugated anti-rabbit IgG

Predicted band size: 31 kDa

false

Key facts

Host species

Rabbit

Clonality

Polyclonal

Isotype

IgG

Carrier free

No

Reacts with

Mouse, Human

Applications

WB, ICC/IF, IHC-P

applications

Immunogen

Recombinant Fragment Protein within Human FOXI1 aa 50-300. The exact immunogen used to generate this antibody is proprietary information.

Q12951

Reactivity data

{ "title": "Reactivity Data", "filters": { "stats": ["", "Species", "Dilution Info", "Notes"], "tabs": { "all-applications": {"fullname" : "All Applications", "shortname": "All Applications"}, "IHCP" : {"fullname" : "Immunohistochemistry (Formalin/PFA-fixed paraffin-embedded sections)", "shortname":"IHC-P"}, "WB" : {"fullname" : "Western blot", "shortname":"WB"}, "ICCIF" : {"fullname" : "Immunocytochemistry/ Immunofluorescence", "shortname":"ICC/IF"} }, "product-promise": { "all": "all", "testedAndGuaranteed": "tested", "guaranteed": "expected", "predicted": "predicted", "notRecommended": "not-recommended" } }, "values": { "Human": { "IHCP-species-checked": "testedAndGuaranteed", "IHCP-species-dilution-info": "1/100 - 1/1000", "IHCP-species-notes": "<p>Antigen retrieval also possible using Tris-EDTA buffer (pH8.0).</p> Perform heat-mediated antigen retrieval with citrate buffer pH 6 before commencing with IHC staining protocol.", "WB-species-checked": "testedAndGuaranteed", "WB-species-dilution-info": "1/500 - 1/3000", "WB-species-notes": "<p></p>", "ICCIF-species-checked": "testedAndGuaranteed", "ICCIF-species-dilution-info": "1/100 - 1/1000", "ICCIF-species-notes": "<p></p>" }, "Mouse": { "IHCP-species-checked": "testedAndGuaranteed", "IHCP-species-dilution-info": "1/100 - 1/1000", "IHCP-species-notes": "<p>Antigen retrieval also possible using Tris-EDTA buffer (pH8.0).</p> Perform heat-mediated antigen retrieval with citrate buffer pH 6 before commencing with IHC staining protocol.", "WB-species-checked": "guaranteed", "WB-species-dilution-info": "", "WB-species-notes": "", "ICCIF-species-checked": "guaranteed", "ICCIF-species-dilution-info": "", "ICCIF-species-notes": "" }, "Rat": { "IHCP-species-checked": "predicted", "IHCP-species-dilution-info": "", "IHCP-species-notes": "", "WB-species-checked": "predicted", "WB-species-dilution-info": "", "WB-species-notes": "", "ICCIF-species-checked": "predicted", "ICCIF-species-dilution-info": "", "ICCIF-species-notes": "" } } }

Properties and storage information

Form
Liquid
Purification technique
Affinity purification Immunogen
Storage buffer
pH: 7 Preservative: 0.01% Thimerosal (merthiolate) Constituents: 20% Glycerol (glycerin, glycerine), 1.21% Tris, 0.75% Glycine
Shipped at conditions
Blue Ice
Appropriate short-term storage conditions
+4°C
Appropriate long-term storage conditions
-20°C
Aliquoting information
Upon delivery aliquot
Storage information
Avoid freeze / thaw cycle

Supplementary information

This supplementary information is collated from multiple sources and compiled automatically.

The Forkhead box I1 (FOXI1) also known by various alternative names such as HFH3 or FKHL10 is a transcription factor with a mass of approximately 40 kDa. It is predominantly expressed in epithelial tissues including the kidney and inner ear. FOXI1 plays a mechanical role by binding to specific DNA sequences to regulate the transcription of target genes influencing cellular development and differentiation.
Biological function summary

FOXI1 impacts several fundamental processes including the development of epithelial structures. It acts as a member of the forkhead family of transcription factors known for their roles in cellular growth and differentiation. FOXI1 does not typically form part of a larger protein complex but it interacts with other proteins such as FOXE1 and FGFR2 to execute its biological functions efficiently. These interactions are important for proper organ formation and function.

Pathways

Several cellular and developmental pathways involve FOXI1. Notably FOXI1 plays an important role in the Wnt signaling pathway essential for cell fate determination and organ development. In this context FOXI1 regulates gene expression by interacting with other pathway components like β-catenin. Additionally FOXI1 participates in the hedgehog signaling pathway where its involvement influences gene transcription in response to developmental cues.

Mutations or dysregulation of FOXI1 have connections to conditions such as distal renal tubular acidosis and sensorineural hearing loss. In distal renal tubular acidosis FOXI1's transcriptional control affects ion channel and transporter expression in the kidney. The disorder links to other proteins like AE1 and H+-ATPase where altered FOXI1 activity influences their expression or function. Sensorineural hearing loss associations with FOXI1 involve its regulatory roles in the inner ear's development affecting auditory function.

Product protocols

For this product, it's our understanding that no specific protocols are required. You can visit:

Target data

Transcriptional activator required for the development of normal hearing, sense of balance and kidney function. Required for the expression of SLC26A4/PDS, JAG1 and COCH in a subset of epithelial cells and the development of the endolymphatic system in the inner ear. Also required for the expression of SLC4A1/AE1, SLC4A9/AE4, ATP6V1B1 and the differentiation of intercalated cells in the epithelium of distal renal tubules (By similarity).
See full target information FOXI1

Publications (2)

Recent publications for all applications. Explore the full list and refine your search

Cells 14: PubMed40710334

2025

Modeling Aberrant Angiogenesis in Arteriovenous Malformations Using Endothelial Cells and Organoids for Pharmacological Treatment.

Applications

Unspecified application

Species

Unspecified reactive species

Eun Jung Oh,Hyun Mi Kim,Suin Kwak,Ho Yun Chung

The Journal of clinical investigation 133: PubMed37581935

2023

CFTR-rich ionocytes mediate chloride absorption across airway epithelia.

Applications

Unspecified application

Species

Unspecified reactive species

Lei Lei,Soumba Traore,Guillermo S Romano Ibarra,Philip H Karp,Tayyab Rehman,David K Meyerholz,Joseph Zabner,David A Stoltz,Patrick L Sinn,Michael J Welsh,Paul B McCray,Ian M Thornell
View all publications

Product promise

We are committed to supporting your work with high-quality reagents, and we're here for you every step of the way. In the unlikely event that one of our products does not perform as expected, you're protected by our Product Promise.
For full details, please see our Terms & Conditions

Please note: All products are 'FOR RESEARCH USE ONLY. NOT FOR USE IN DIAGNOSTIC OR THERAPEUTIC PROCEDURES'.

For licensing inquiries, please contact partnerships@abcam.com