JavaScript is disabled in your browser. Please enable JavaScript to view this website.
AB235445

Anti-FoxJ1 antibody [EPR21874]

5

(1 Review)

|

(19 Publications)

Anti-FoxJ1 antibody [EPR21874] (ab235445) is a rabbit monoclonal antibody detecting FoxJ1 in IHC-P. Suitable for Human, Mouse, Rat.

- Biophysical QC for unrivalled batch-batch consistency
- Over 10 publications

View Alternative Names

FKHL13, HFH4, FOXJ1, Forkhead box protein J1, Forkhead-related protein FKHL13, Hepatocyte nuclear factor 3 forkhead homolog 4, HFH-4

4 Images
Immunohistochemistry (Formalin/PFA-fixed paraffin-embedded sections) - Anti-FoxJ1 antibody [EPR21874] (AB235445)
  • IHC-P

Supplier Data

Immunohistochemistry (Formalin/PFA-fixed paraffin-embedded sections) - Anti-FoxJ1 antibody [EPR21874] (AB235445)

Immunohistochemical analysis of paraffin-embedded human pinealoma tissue labeling FoxJ1 with ab235445 at 1/2000 dilution, followed by a ready to use Goat Anti-Rabbit IgG H&L (HRP). Negative control : No staining in human pinealoma (PMID : 28719464) is observed. Counter stained with Hematoxylin.
Secondary antibody only control : Used PBS instead of primary antibody, secondary antibody is a ready to use Goat Anti-Rabbit IgG H&L (HRP).
Perform heat mediated antigen retrieval using ab93684 (Tris/EDTA buffer, pH 9.0).

Immunohistochemistry (Formalin/PFA-fixed paraffin-embedded sections) - Anti-FoxJ1 antibody [EPR21874] (AB235445)
  • IHC-P

Supplier Data

Immunohistochemistry (Formalin/PFA-fixed paraffin-embedded sections) - Anti-FoxJ1 antibody [EPR21874] (AB235445)

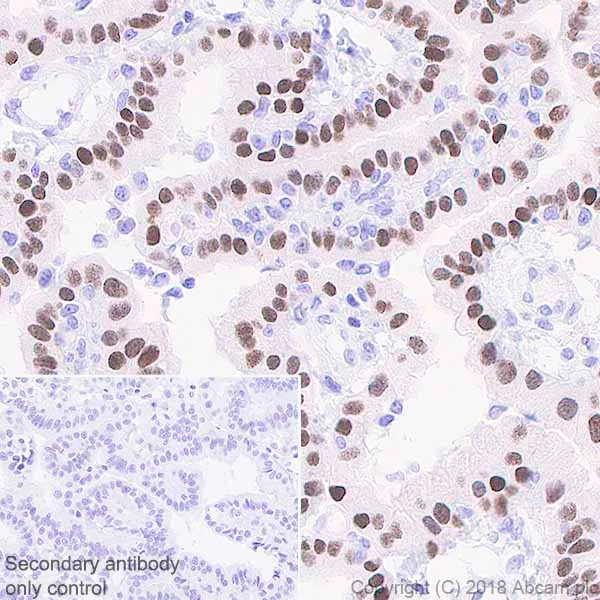
Immunohistochemical analysis of paraffin-embedded human choroid plexus papilloma tissue labeling FoxJ1 with ab235445 at 1/2000 dilution, followed by a ready to use Goat Anti-Rabbit IgG H&L (HRP). Nuclear staining in human choroid plexus papilloma (PMID : 28719464; PMID : 26690880) is observed. Counter stained with Hematoxylin.
Secondary antibody only control : Used PBS instead of primary antibody, secondary antibody is a ready to use Goat Anti-Rabbit IgG H&L (HRP).
Perform heat mediated antigen retrieval using ab93684 (Tris/EDTA buffer, pH 9.0).

Immunohistochemistry (Formalin/PFA-fixed paraffin-embedded sections) - Anti-FoxJ1 antibody [EPR21874] (AB235445)
  • IHC-P

Supplier Data

Immunohistochemistry (Formalin/PFA-fixed paraffin-embedded sections) - Anti-FoxJ1 antibody [EPR21874] (AB235445)

Immunohistochemical analysis of paraffin-embedded rat lung tissue labeling FoxJ1 with ab235445 at 1/2000 dilution, followed by a ready to use Goat Anti-Rabbit IgG H&L (HRP). Nuclear staining in bronchiole of rat lung (PMID : 26690880; PMID : 19502490) is observed. Counter stained with Hematoxylin.
Secondary antibody only control : Used PBS instead of primary antibody, secondary antibody is a ready to use Goat Anti-Rabbit IgG H&L (HRP).
Perform heat mediated antigen retrieval using ab93684 (Tris/EDTA buffer, pH 9.0).

Immunohistochemistry (Formalin/PFA-fixed paraffin-embedded sections) - Anti-FoxJ1 antibody [EPR21874] (AB235445)
  • IHC-P

Supplier Data

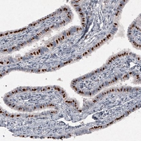
Immunohistochemistry (Formalin/PFA-fixed paraffin-embedded sections) - Anti-FoxJ1 antibody [EPR21874] (AB235445)

Immunohistochemical analysis of paraffin-embedded mouse fallopian tube tissue labeling FoxJ1 with ab235445 at 1/2000 dilution, followed by a ready to use Goat Anti-Rabbit IgG H&L (HRP). Nuclear staining in mouse fallopian tube (PMID : 26690880; PMID : 27562488) is observed. Counter stained with Hematoxylin.
Secondary antibody only control : Used PBS instead of primary antibody, secondary antibody is a ready to use Goat Anti-Rabbit IgG H&L (HRP).
Perform heat mediated antigen retrieval using ab93684 (Tris/EDTA buffer, pH 9.0).

  • Carrier free

    Anti-FoxJ1 antibody [EPR21874] - BSA and Azide free

Key facts

Host species

Rabbit

Clonality

Monoclonal

Clone number

EPR21874

Isotype

IgG

Carrier free

No

Reacts with

Mouse, Rat, Human

Applications

IHC-P

applications

Immunogen

The exact immunogen used to generate this antibody is proprietary information.

Reactivity data

{ "title": "Reactivity Data", "filters": { "stats": ["", "Species", "Dilution Info", "Notes"], "tabs": { "all-applications": {"fullname" : "All Applications", "shortname": "All Applications"}, "IHCP" : {"fullname" : "Immunohistochemistry (Formalin/PFA-fixed paraffin-embedded sections)", "shortname":"IHC-P"} }, "product-promise": { "all": "all", "testedAndGuaranteed": "tested", "guaranteed": "expected", "predicted": "predicted", "notRecommended": "not-recommended" } }, "values": { "Human": { "IHCP-species-checked": "testedAndGuaranteed", "IHCP-species-dilution-info": "1/2000", "IHCP-species-notes": "<p></p>" }, "Mouse": { "IHCP-species-checked": "testedAndGuaranteed", "IHCP-species-dilution-info": "1/2000", "IHCP-species-notes": "<p></p>" }, "Rat": { "IHCP-species-checked": "testedAndGuaranteed", "IHCP-species-dilution-info": "1/2000", "IHCP-species-notes": "<p></p>" } } }

Product details

What is this antibody validated in?
Anti-FoxJ1 antibody [EPR21874] (ab235445) is a rabbit recombinant monoclonal antibody and is validated for use in Immunohistochemistry (IHC-P) in Human, Mouse, Rat samples.

Trusted by the scientific community
Anti-FoxJ1 [EPR21874] (ab235445) was first used in a scientific publication in 2018 and has been cited over 10 times in peer-reviewed journals.

Trial sizes available!
Test your antibody or perform pre-screening before committing to a larger quantity. Sold in 10µl. Discover our selection of trial-size antibodies.

Other related products
We have a range of other formats of antibody clone [EPR21874] also available for your convenience: ab235445, Carrier free - ab238168

Patented technology
Our RabMAb® technology is a patented hybridoma-based technology for making rabbit monoclonal antibodies. For details on our patents, please refer to RabMAb® patents.

What are the advantages of a recombinant monoclonal antibody?
This product is a recombinant monoclonal antibody, which offers several advantages including:

  • - High batch-to-batch consistency and reproducibility
  • - Improved sensitivity and specificity
  • - Long-term security of supply
  • - Animal-free batch production

For more information, read more on recombinant antibodies.

Properties and storage information

Form
Liquid
Purification technique
Affinity purification Protein A
Storage buffer
pH: 7.2 - 7.4 Preservative: 0.01% Sodium azide Constituents: PBS, 40% Glycerol (glycerin, glycerine), 0.05% BSA
Shipped at conditions
Blue Ice
Appropriate short-term storage duration
1-2 weeks
Appropriate short-term storage conditions
+4°C
Appropriate long-term storage conditions
-20°C
Aliquoting information
Upon delivery aliquot
Storage information
Avoid freeze / thaw cycle

Supplementary information

This supplementary information is collated from multiple sources and compiled automatically.

FoxJ1 also known as Forkhead Box J1 is a transcription factor that plays an important role in the regulation of gene expression. It is part of the forkhead family of transcription factors and has a molecular mass of approximately 44 kDa. FoxJ1 is expressed mainly in tissues with motile cilia such as the brain respiratory tract and reproductive organs. This expression pattern highlights its significance in tissues where ciliary movement is important for normal function.
Biological function summary

FoxJ1 is important in ciliogenesis the process of building cilia on the surface of cells. It acts as a master regulator by activating genes that code for ciliary components. This includes genes involved in the formation of the axoneme the core structure of cilia. FoxJ1 does not work alone; it functions within a network of other transcription factors and proteins to achieve effective cilia formation and movement. By controlling this process FoxJ1 ensures that ciliary structures develop and function correctly which is necessary for cellular motility and fluid movement across epithelial surfaces.

Pathways

FoxJ1 operates within critical pathways involved in cilia development and function. It integrates into the Wnt signaling pathway which is critical for embryogenesis and cell polarity. Additionally FoxJ1 interacts with the Notch signaling pathway. In these pathways it can relate to other transcription factors like Rfx3 which also influence cilia-related gene expression. FoxJ1 coordinates with these pathways to ensure precise regulation of cilia biogenesis and maintenance contributing to cellular processes that depend on functional cilia.

Deficient or malfunctioning FoxJ1 can lead to primary ciliary dyskinesia (PCD) and respiratory diseases. PCD results from impaired ciliary movement affecting respiratory tract function and fertility. Dysfunctional FoxJ1 expression can disrupt ciliary architecture connecting it to other proteins like DNAI1 which is often implicated in PCD. Abnormal FoxJ1 activity has also been linked to hydrocephalus where cerebrospinal fluid imbalances occur due to faulty cilia movement. In these conditions understanding FoxJ1's role provides insight into potential targets for therapeutic interventions.

Product protocols

For this product, it's our understanding that no specific protocols are required. You can visit:

Target data

Transcription factor specifically required for the formation of motile cilia (PubMed : 31630787). Acts by activating transcription of genes that mediate assembly of motile cilia, such as CFAP157. Binds the DNA consensus sequences 5'-HWDTGTTTGTTTA-3' or 5'-KTTTGTTGTTKTW-3' (where H is not G, W is A or T, D is not C, and K is G or T). Activates the transcription of a variety of ciliary proteins in the developing brain and lung.
See full target information FOXJ1

Publications (19)

Recent publications for all applications. Explore the full list and refine your search

Molecular medicine (Cambridge, Mass.) 31:231 PubMed40495135

2025

Cellular imbalance in proximal and distal lung of CFTR sheep in utero and at birth.

Applications

Unspecified application

Species

Unspecified reactive species

Shih-Hsing Leir,Svyatoslav Tkachenko,Alekh Paranjapye,Arnaud J Van Wettere,Jenny L Kerschner,Iuri Viotti Perisse,Cheyenne M Marriott,Tayler Patrick,Ying Liu,Kenneth L White,Irina A Polejaeva,Ann Harris

Nature communications 16:4124 PubMed40319020

2025

Non-canonical Wnt signaling promotes epithelial fluidization in the repairing airway.

Applications

Unspecified application

Species

Unspecified reactive species

Daniel Jun-Kit Hu,Xiaoyu Tracy Cai,Jesse Simons,Jina Yun,Justin Elstrott,Heinrich Jasper

Aging cell 24:e70051 PubMed40310729

2025

Aging-Associated Vacuolation of Multi-Ciliated Cells in the Distal Mouse Oviduct Reflects Unique Cell Identity and Luminal Microenvironment.

Applications

Unspecified application

Species

Unspecified reactive species

Keerthana Harwalkar,Nobuko Yamanaka,Alain S Pacis,Selina Zhao,Katie Teng,Warwick Pitman,Mitaali Taskar,Vera Lynn,Alex Frances Thornton,Matthew J Ford,Yojiro Yamanaka

Antioxidants (Basel, Switzerland) 14: PubMed39857439

2025

(-)-Epigallocatechin-3-Gallate and Quercetin Inhibit Quiescin Sulfhydryl Oxidase 1 Secretion from Hepatocellular Carcinoma Cells.

Applications

Unspecified application

Species

Unspecified reactive species

Lumin Yang,Yuying Fang,Yufeng He,Jinsong Zhang

Cellular and molecular gastroenterology and hepatology 18:101389 PubMed39128653

2024

BET Inhibition Rescues Acinar-Ductal-Metaplasia and Ciliogenesis and Ameliorates Chronic Pancreatitis-Driven Changes in Mice With Loss of the Polarity Protein Par3.

Applications

Unspecified application

Species

Unspecified reactive species

Mario A Shields,Anastasia E Metropulos,Christina Spaulding,Khulood A Alzahrani,Tomonori Hirose,Shigeo Ohno,Thao N D Pham,Hidayatullah G Munshi

eLife 12: PubMed37988289

2023

Truncated radial glia as a common precursor in the late corticogenesis of gyrencephalic mammals.

Applications

Unspecified application

Species

Unspecified reactive species

Merve Bilgic,Quan Wu,Taeko Suetsugu,Atsunori Shitamukai,Yuji Tsunekawa,Tomomi Shimogori,Mitsutaka Kadota,Osamu Nishimura,Shigehiro Kuraku,Hiroshi Kiyonari,Fumio Matsuzaki

International journal of molecular sciences 24: PubMed37373301

2023

Effects of Follicular Fluid on Physiological Characteristics and Differentiation of Fallopian Tube Epithelial Cells Implicating for Ovarian Cancer Pathogenesis.

Applications

Unspecified application

Species

Unspecified reactive species

Maobi Zhu,Na Wang,Sha Wang,Yao Wang,Xiawen Yang,Jianglin Fan,Yajie Chen

Frontiers in immunology 13:944772 PubMed36741411

2023

Airway epithelial cell-specific deletion of HMGB1 exaggerates inflammatory responses in mice with muco-obstructive airway disease.

Applications

Unspecified application

Species

Unspecified reactive species

Yun Mao,Sonika Patial,Yogesh Saini

Molecular therapy. Methods & clinical development 27:431-449 PubMed36419469

2022

Population-wide gene disruption in the murine lung epithelium via AAV-mediated delivery of CRISPR-Cas9 components.

Applications

Unspecified application

Species

Unspecified reactive species

Honglin Chen,Steffen Durinck,Hetal Patel,Oded Foreman,Kathryn Mesh,Jeffrey Eastham,Roger Caothien,Robert J Newman,Merone Roose-Girma,Spyros Darmanis,Soren Warming,Annalisa Lattanzi,Yuxin Liang,Benjamin Haley

International journal of molecular sciences 23: PubMed36012471

2022

Human Pluripotent Stem Cell-Derived Alveolar Organoid with Macrophages.

Applications

Unspecified application

Species

Unspecified reactive species

Ha-Rim Seo,Hyeong-Jun Han,Youngsun Lee,Young-Woock Noh,Seung-Ju Cho,Jung-Hyun Kim
View all publications

Product promise

We are committed to supporting your work with high-quality reagents, and we're here for you every step of the way. In the unlikely event that one of our products does not perform as expected, you're protected by our Product Promise.
For full details, please see our Terms & Conditions

Please note: All products are 'FOR RESEARCH USE ONLY. NOT FOR USE IN DIAGNOSTIC OR THERAPEUTIC PROCEDURES'.

For licensing inquiries, please contact partnerships@abcam.com