JavaScript is disabled in your browser. Please enable JavaScript to view this website.
AB85999

Anti-FOXK1/MNF antibody

Be the first to review this product! Submit a review

|

(4 Publications)

Rabbit Polyclonal FOXK1/MNF antibody. Suitable for IHC-P, IP, WB and reacts with Mouse, Human samples. Cited in 4 publications. Immunogen corresponding to Synthetic Peptide within Human FOXK1 aa 650 to C-terminus.

View Alternative Names

MNF, FOXK1, Forkhead box protein K1, Myocyte nuclear factor

3 Images
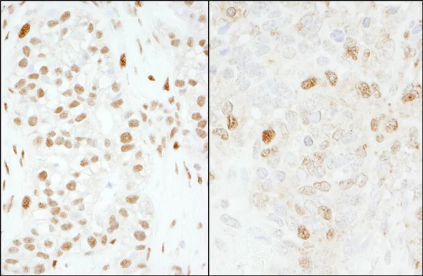
Immunohistochemistry (Formalin/PFA-fixed paraffin-embedded sections) - Anti-FOXK1/MNF antibody (AB85999)
  • IHC-P

Unknown

Immunohistochemistry (Formalin/PFA-fixed paraffin-embedded sections) - Anti-FOXK1/MNF antibody (AB85999)

Immunohistochemistry (Formalin/PFA-fixed paraffin-embedded sections) analysis of human breast carcinoma (left) and mouse teratoma (right) tissues labelling FOXK1 with ab85999 at 1/1000 (0.2µg/ml) and 1/200 (1µg/ml). Detection : DAB.

Immunoprecipitation - Anti-FOXK1/MNF antibody (AB85999)
  • IP

Unknown

Immunoprecipitation - Anti-FOXK1/MNF antibody (AB85999)

Detection of FOXK1/MNF by Western blot of Immunprecipitate.
ab85999, at 1 μg/ml, staining FOXK1 / MNF in HeLa whole cell lysate immunoprecipitated using ab85999 at 3 μg/mg lysate (1 mg/IP; 20% of IP loaded/lane).
Detection : Chemiluminescence with an exposure time of 3 seconds.

All lanes:

Immunoprecipitation - Anti-FOXK1/MNF antibody (ab85999) at 1 µg/mL

Lane 1:

HeLa whole cell lysate

Lane 2:

Control IgG

Predicted band size: 75 kDa

false

Western blot - Anti-FOXK1/MNF antibody (AB85999)
  • WB

Unknown

Western blot - Anti-FOXK1/MNF antibody (AB85999)

All lanes:

Western blot - Anti-FOXK1/MNF antibody (ab85999) at 0.04 µg/mL

Lane 1:

HeLa whole cell lysate at 50 µg

Lane 2:

HeLa whole cell lysate at 15 µg

Lane 3:

HeLa whole cell lysate at 5 µg

Lane 4:

293T whole cell lysate at 50 µg

Predicted band size: 75 kDa

true

Exposure time: 30s

Key facts

Host species

Rabbit

Clonality

Polyclonal

Isotype

IgG

Carrier free

No

Reacts with

Mouse, Human

Applications

WB, IP, IHC-P

applications

Immunogen

Synthetic Peptide within Human FOXK1 aa 650 to C-terminus. The exact immunogen used to generate this antibody is proprietary information.

P85037

Reactivity data

{ "title": "Reactivity Data", "filters": { "stats": ["", "Species", "Dilution Info", "Notes"], "tabs": { "all-applications": {"fullname" : "All Applications", "shortname": "All Applications"}, "IHCP" : {"fullname" : "Immunohistochemistry (Formalin/PFA-fixed paraffin-embedded sections)", "shortname":"IHC-P"}, "IP" : {"fullname" : "Immunoprecipitation", "shortname":"IP"}, "WB" : {"fullname" : "Western blot", "shortname":"WB"} }, "product-promise": { "all": "all", "testedAndGuaranteed": "tested", "guaranteed": "expected", "predicted": "predicted", "notRecommended": "not-recommended" } }, "values": { "Human": { "IHCP-species-checked": "testedAndGuaranteed", "IHCP-species-dilution-info": "1/200 - 1/1000", "IHCP-species-notes": "<p></p> Perform heat-mediated antigen retrieval with citrate buffer pH 6 before commencing with IHC staining protocol.", "IP-species-checked": "testedAndGuaranteed", "IP-species-dilution-info": "2-5 µg/mg of lysate", "IP-species-notes": "<p></p>", "WB-species-checked": "testedAndGuaranteed", "WB-species-dilution-info": "1/2000 - 1/10000", "WB-species-notes": "<p></p>" }, "Mouse": { "IHCP-species-checked": "testedAndGuaranteed", "IHCP-species-dilution-info": "1/200 - 1/1000", "IHCP-species-notes": "<p></p> Perform heat-mediated antigen retrieval with citrate buffer pH 6 before commencing with IHC staining protocol.", "IP-species-checked": "guaranteed", "IP-species-dilution-info": "", "IP-species-notes": "", "WB-species-checked": "guaranteed", "WB-species-dilution-info": "", "WB-species-notes": "" }, "Chimpanzee": { "IHCP-species-checked": "predicted", "IHCP-species-dilution-info": "", "IHCP-species-notes": "", "IP-species-checked": "predicted", "IP-species-dilution-info": "", "IP-species-notes": "", "WB-species-checked": "predicted", "WB-species-dilution-info": "", "WB-species-notes": "" }, "Cow": { "IHCP-species-checked": "predicted", "IHCP-species-dilution-info": "", "IHCP-species-notes": "", "IP-species-checked": "predicted", "IP-species-dilution-info": "", "IP-species-notes": "", "WB-species-checked": "predicted", "WB-species-dilution-info": "", "WB-species-notes": "" }, "Gorilla": { "IHCP-species-checked": "predicted", "IHCP-species-dilution-info": "", "IHCP-species-notes": "", "IP-species-checked": "predicted", "IP-species-dilution-info": "", "IP-species-notes": "", "WB-species-checked": "predicted", "WB-species-dilution-info": "", "WB-species-notes": "" }, "Guinea pig": { "IHCP-species-checked": "predicted", "IHCP-species-dilution-info": "", "IHCP-species-notes": "", "IP-species-checked": "predicted", "IP-species-dilution-info": "", "IP-species-notes": "", "WB-species-checked": "predicted", "WB-species-dilution-info": "", "WB-species-notes": "" }, "Horse": { "IHCP-species-checked": "predicted", "IHCP-species-dilution-info": "", "IHCP-species-notes": "", "IP-species-checked": "predicted", "IP-species-dilution-info": "", "IP-species-notes": "", "WB-species-checked": "predicted", "WB-species-dilution-info": "", "WB-species-notes": "" }, "Pig": { "IHCP-species-checked": "predicted", "IHCP-species-dilution-info": "", "IHCP-species-notes": "", "IP-species-checked": "predicted", "IP-species-dilution-info": "", "IP-species-notes": "", "WB-species-checked": "predicted", "WB-species-dilution-info": "", "WB-species-notes": "" }, "Rhesus monkey": { "IHCP-species-checked": "predicted", "IHCP-species-dilution-info": "", "IHCP-species-notes": "", "IP-species-checked": "predicted", "IP-species-dilution-info": "", "IP-species-notes": "", "WB-species-checked": "predicted", "WB-species-dilution-info": "", "WB-species-notes": "" } } }

Properties and storage information

Form
Liquid
Purification technique
Affinity purification Immunogen
Purification notes
ab85999 was affinity purified using an epitope specific to FOXK1 / MNF immobilized on solid support.
Storage buffer
pH: 6.8 - 7.4 Preservative: 0.09% Sodium azide Constituents: Tris buffered saline, 0.1% BSA
Shipped at conditions
Blue Ice
Appropriate short-term storage conditions
+4°C
Appropriate long-term storage conditions
-20°C
Aliquoting information
Upon delivery aliquot
Storage information
Avoid freeze / thaw cycle

Supplementary information

This supplementary information is collated from multiple sources and compiled automatically.

The FOXK1/MNF protein often called Forkhead Box K1 is a transcription factor that regulates gene expression linked to cell proliferation and differentiation. It has the molecular weight of approximately 84 kDa. Expressed in various tissues including muscle and brain FOXK1/MNF plays an essential role in regulating specific gene targets. The protein interacts with DNA via its forkhead domain influencing the transcriptional activity of numerous genes important for cellular functions.
Biological function summary

FOXK1/MNF is involved in the regulation of cell cycle progression and muscle regeneration. It forms part of a transcriptional complex that modulates gene expression to control these processes. In muscle tissue FOXK1/MNF influences the activation of satellite cells which are necessary for muscle repair and growth. This protein’s function in regulating cellular proliferation highlights its significance in tissue development and regeneration.

Pathways

The FOXK1/MNF protein is instrumental in the Wnt signaling and PI3K/AKT pathways. These pathways are significant for controlling cell proliferation differentiation and survival. Within these pathways FOXK1/MNF interacts with proteins such as beta-catenin in the Wnt signaling pathway. Through these interactions it modulates the transcription of genes responsible for various cellular functions further underlining its role in tissue regeneration and cancer development.

FOXK1/MNF links notably with certain cancers and muscular dystrophies. In cancer its overexpression can lead to unchecked cell proliferation and tumor growth interacting closely with proteins like PTEN a known tumor suppressor. In muscular dystrophy FOXK1/MNF may influence the disease progression by affecting the muscle regeneration process a vital element in maintaining muscle integrity. Understanding its expression and regulation can provide insights into the mechanisms driving these diseases and offer targets for potential therapeutic interventions.

Product protocols

For this product, it's our understanding that no specific protocols are required. You can visit:

Target data

Transcriptional regulator involved in different processes such as glucose metabolism, aerobic glycolysis, muscle cell differentiation and autophagy (By similarity). Recognizes and binds the forkhead DNA sequence motif (5'-GTAAACA-3') and can both act as a transcription activator or repressor, depending on the context (PubMed : 17670796). Together with FOXK2, acts as a key regulator of metabolic reprogramming towards aerobic glycolysis, a process in which glucose is converted to lactate in the presence of oxygen (By similarity). Acts by promoting expression of enzymes for glycolysis (such as hexokinase-2 (HK2), phosphofructokinase, pyruvate kinase (PKLR) and lactate dehydrogenase), while suppressing further oxidation of pyruvate in the mitochondria by up-regulating pyruvate dehydrogenase kinases PDK1 and PDK4 (By similarity). Probably plays a role in gluconeogenesis during overnight fasting, when lactate from white adipose tissue and muscle is the main substrate (By similarity). Involved in mTORC1-mediated metabolic reprogramming : in response to mTORC1 signaling, translocates into the nucleus and regulates the expression of genes associated with glycolysis and downstream anabolic pathways, such as HIF1A, thereby regulating glucose metabolism (By similarity). Together with FOXK2, acts as a negative regulator of autophagy in skeletal muscle : in response to starvation, enters the nucleus, binds the promoters of autophagy genes and represses their expression, preventing proteolysis of skeletal muscle proteins (By similarity). Acts as a transcriptional regulator of the myogenic progenitor cell population in skeletal muscle (By similarity). Binds to the upstream enhancer region (CCAC box) of myoglobin (MB) gene, regulating the myogenic progenitor cell population (By similarity). Promotes muscle progenitor cell proliferation by repressing the transcriptional activity of FOXO4, thereby inhibiting myogenic differentiation (By similarity). Involved in remodeling processes of adult muscles that occur in response to physiological stimuli (By similarity). Required to correct temporal orchestration of molecular and cellular events necessary for muscle repair (By similarity). Represses myogenic differentiation by inhibiting MEFC activity (By similarity). Positively regulates Wnt/beta-catenin signaling by translocating DVL into the nucleus (PubMed : 25805136). Reduces virus replication, probably by binding the interferon stimulated response element (ISRE) to promote antiviral gene expression (PubMed : 25852164). Accessory component of the polycomb repressive deubiquitinase (PR-DUB) complex; recruits the PR-DUB complex to specific FOXK1-bound genes (PubMed : 24634419, PubMed : 30664650).
See full target information FOXK1

Publications (4)

Recent publications for all applications. Explore the full list and refine your search

Scientific reports 13:7737 PubMed37173384

2023

FOXK1 regulates malignant progression and radiosensitivity through direct transcriptional activation of CDC25A and CDK4 in esophageal squamous cell carcinoma.

Applications

Unspecified application

Species

Unspecified reactive species

Xiaoxu Li,Juntao Lu,Lei Liu,Fei Li,Tongxin Xu,Liying Chen,Zhaoyang Yan,Yan Li,Wei Guo

Redox biology 56:102430 PubMed35973363

2022

CircSV2b participates in oxidative stress regulation through miR-5107-5p-Foxk1-Akt1 axis in Parkinson's disease.

Applications

Unspecified application

Species

Unspecified reactive species

Quancheng Cheng,Jianwei Wang,Man Li,Jinyu Fang,Huiru Ding,Jieyi Meng,Junwei Zhang,Xuan Fang,Huaicun Liu,Chao Ma,Chunhua Chen,Weiguang Zhang

Experimental and therapeutic medicine 22:1299 PubMed34630654

2021

TFAP4 promotes the growth of prostate cancer cells by upregulating FOXK1.

Applications

Unspecified application

Species

Unspecified reactive species

Yuan Gu,Jiujin Jiang,Chaozhao Liang

International journal of oncology 54:1053-1060 PubMed30628654

2019

shRNA‑mediated knockdown of KNTC1 suppresses cell viability and induces apoptosis in esophageal squamous cell carcinoma.

Applications

Unspecified application

Species

Unspecified reactive species

Chun-Tao Liu,Li Min,Yong-Jun Wang,Peng Li,Yong-Dong Wu,Shu-Tian Zhang
View all publications

Product promise

We are committed to supporting your work with high-quality reagents, and we're here for you every step of the way. In the unlikely event that one of our products does not perform as expected, you're protected by our Product Promise.
For full details, please see our Terms & Conditions

Please note: All products are 'FOR RESEARCH USE ONLY. NOT FOR USE IN DIAGNOSTIC OR THERAPEUTIC PROCEDURES'.

For licensing inquiries, please contact partnerships@abcam.com