JavaScript is disabled in your browser. Please enable JavaScript to view this website.
AB309510

Anti-FOXK1/MNF antibody [EPR27320-65]

  • BOND RX™ Validated
  • 20ul selling size
  • RabMAb
  • Recombinant
  • Advanced Validation
  • What is this?

Be the first to review this product! Submit a review

|

(3 Publications)

Anti-FOXK1/MNF antibody [EPR27320-65] is a Rabbit Monoclonal antibody that is used in FOXK1/MNF ChIP-seq, Flow Cytometry (Intra), ICC/IF, IHC-P, IP, Western Blot. Suitable for Human, Mouse, Rat samples.

FOXK1, also known as myocyte nuclear factor (MNF), is a transcriptional regulator involved in various cellular processes such as glucose metabolism, muscle cell differentiation, and autophagy. It binds to specific DNA sequences to modulate gene expression, playing a key role in cell cycle regulation and metabolic reprogramming

View Alternative Names

MNF, FOXK1, Forkhead box protein K1, Myocyte nuclear factor

17 Images
Flow Cytometry (Intracellular) - Anti-FOXK1/MNF antibody [EPR27320-65] (AB309510)
  • Flow Cyt (Intra)

Supplier Data

Flow Cytometry (Intracellular) - Anti-FOXK1/MNF antibody [EPR27320-65] (AB309510)

Flow cytometric analysis of 4% paraformaldehyde fixed 90% methanol permeabilized K-562 (human chronic myelogenous leukemia lymphoblast) cells labelling FOXK1/MNF with ab309510 at 1/500 dilution (0.1 ug)/Red (Red) compared with a Rabbit monoclonal IgG (ab172730) (Black) isotype control and an unlabelled control (cells without incubation with primary antibody and secondary antibody) (Blue). A Goat Anti-Rabbit IgG (Alexa Fluor® 488, ab150081) at 1/5000 dilution was used as the secondary antibody.

Immunocytochemistry/ Immunofluorescence - Anti-FOXK1/MNF antibody [EPR27320-65] (AB309510)
  • ICC/IF

Supplier Data

Immunocytochemistry/ Immunofluorescence - Anti-FOXK1/MNF antibody [EPR27320-65] (AB309510)

Immunofluorescent analysis of 4% Paraformaldehyde-fixed, 0.1% TritonX-100 permeabilized K-562 (human chronic myelogenous leukemia lymphoblast) cells labelling FOXK1/MNF with ab309510 at 1/50 (10.34 ug/ml) dilution, followed by ab150081 Goat Anti-Rabbit IgG H&L (Alexa Fluor® 488) preadsorbed antibody at 1/1000 2 ug/mL dilution (Green). Confocal image showing nuclear staining in K-562 cell line.Image was taken with a confocal microscope(Leica-Microsystems, TCS SP8). is observed. ab195889 Anti-alpha Tubulin mouse monoclonal antibody - Microtubule Marker (Alexa Fluor® 594) was used to counterstain tubulin at 1/200 2.5ug/ml dilution (Red). The Nuclear counterstain was DAPI (Blue). Secondary antibody only control : Secondary antibody is ab150081 Goat Anti-Rabbit IgG H&L (Alexa Fluor® 488) preadsorbed at 1/1000 2 ug/mL dilution.

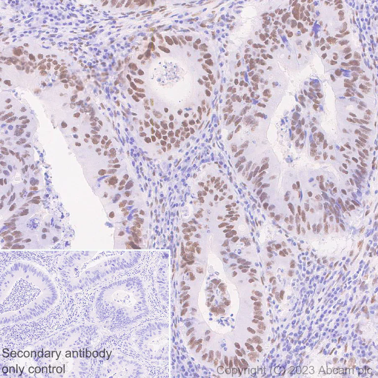
Immunohistochemistry (Formalin/PFA-fixed paraffin-embedded sections) - Anti-FOXK1/MNF antibody [EPR27320-65] (AB309510)
  • IHC-P

Supplier Data

Immunohistochemistry (Formalin/PFA-fixed paraffin-embedded sections) - Anti-FOXK1/MNF antibody [EPR27320-65] (AB309510)

Immunohistochemical analysis of paraffin-embedded Human colon carcinom tissue labeling FOXK1/MNF with ab309510 at 1/2000 (0.259 ug/ml) followed by a ready to use LeicaDS9800 (Bond™ Polymer Refine Detection). Positive staining on human colon carcinoma (PMID : 27223064, PMID : 28623323). The section was incubated with ab309510 for 30 mins at room temperature.The immunostaining was performed on a Leica Biosystems BOND® RX instrument Counterstained with Hematoxylin. Secondary antibody only control : Secondary antibody is a ready to use LeicaDS9800 (Bond™ Polymer Refine Detection). Heat mediated antigen retrieval was performed with Tris-EDTA buffer (pH 9.0, Epitope Retrieval Solution2) for 20 mins

Immunohistochemistry (Formalin/PFA-fixed paraffin-embedded sections) - Anti-FOXK1/MNF antibody [EPR27320-65] (AB309510)
  • IHC-P

Supplier Data

Immunohistochemistry (Formalin/PFA-fixed paraffin-embedded sections) - Anti-FOXK1/MNF antibody [EPR27320-65] (AB309510)

Immunohistochemical analysis of paraffin-embedded Human colon tissue labeling FOXK1/MNF with ab309510 at 1/2000 (0.259 ug/ml) followed by a ready to use LeicaDS9800 (Bond™ Polymer Refine Detection). Positive staining on human colon. The section was incubated with ab309510 for 30 mins at room temperature.The immunostaining was performed on a Leica Biosystems BOND® RX instrument Counterstained with Hematoxylin. Secondary antibody only control : Secondary antibody is a ready to use LeicaDS9800 (Bond™ Polymer Refine Detection). Heat mediated antigen retrieval was performed with Tris-EDTA buffer (pH 9.0, Epitope Retrieval Solution2) for 20 mins

ChIP-sequencing - Anti-FOXK1/MNF antibody [EPR27320-65] (AB309510)
  • ChIP-seq

Lab

ChIP-sequencing - Anti-FOXK1/MNF antibody [EPR27320-65] (AB309510)

Chromatin was prepared from HeLa cells. Cells were fixed with 1.5 mM EGS for 30 min, combined with 1% formaldehyde for 10 min. ChIP was performed with 107 cells and 8 µg of ab309510 [EPR27320-65]. ChIP DNA was sequenced on the Illumina NovaSeq 6000 to a depth of 30 million reads. The input control is also shown.

ChIP-sequencing - Anti-FOXK1/MNF antibody [EPR27320-65] (AB309510)
  • ChIP-seq

Lab

ChIP-sequencing - Anti-FOXK1/MNF antibody [EPR27320-65] (AB309510)

Chromatin was prepared from HeLa cells. Cells were fixed with 1.5 mM EGS for 30 min, combined with 1% formaldehyde for 10 min. ChIP was performed with 107 cells and 8 µg of ab309510 [EPR27320-65]. ChIP DNA was sequenced on the Illumina NovaSeq 6000 to a depth of 30 million reads. The input control is also shown.

Immunoprecipitation - Anti-FOXK1/MNF antibody [EPR27320-65] (AB309510)
  • IP

Supplier Data

Immunoprecipitation - Anti-FOXK1/MNF antibody [EPR27320-65] (AB309510)

FOXK1/MNF was immunoprecipitated from 0.35 mg HeLa (human cervical adenocarcinoma epithelial cell) whole cell lysate with ab309510 at 1/30 dilution (2ug in 0.35mg lysates). Western blot was performed on the immunoprecipitate using ab309510 at 1/1000 dilution. VeriBlot for IP secondary antibody(HRP)(ab131366) was used at 1/5000 dilution. Lane 1 : HeLa (human cervical adenocarcinoma epithelial cell) whole cell lysate Lane 2 : ab309510 IP in HeLa (human cervical adenocarcinoma epithelial cell) whole cell lysate Lane 3 : Rabbit monoclonal IgG (ab172730) instead of ab309510 in HeLa whole cell lysate Blocking and dilution buffer and concentration : 5% NFDM/TBST. Exposure time : 84 seconds Lysate was freshly made and used for Immunoprecipitation immediately to minimize protein degradation.

All lanes:

Immunoprecipitation - Anti-FOXK1/MNF antibody [EPR27320-65] (ab309510) at 1/30 dilution

All lanes:

HeLa (human cervical adenocarcinoma epithelial cell) whole cell lysate

Secondary

All lanes:

Immunoprecipitation - VeriBlot for IP Detection Reagent (HRP) (<a href='/en-us/products/reagents/veriblot-for-ip-detection-reagent-hrp-ab131366'>ab131366</a>) at 1/5000 dilution

false

Exposure time: 84s

ChIP-sequencing - Anti-FOXK1/MNF antibody [EPR27320-65] (AB309510)
  • ChIP-seq

Lab

ChIP-sequencing - Anti-FOXK1/MNF antibody [EPR27320-65] (AB309510)

Chromatin was prepared from HeLa cells. Cells were fixed with 1.5 mM EGS for 30 min, combined with 1% formaldehyde for 10 min. ChIP was performed with 107 cells and 8 µg of ab309510 [EPR27320-65]. ChIP DNA was sequenced on the Illumina NovaSeq 6000 to a depth of 30 million reads. The input control is also shown.

Immunohistochemistry (Formalin/PFA-fixed paraffin-embedded sections) - Anti-FOXK1/MNF antibody [EPR27320-65] (AB309510)
  • IHC-P

Supplier Data

Immunohistochemistry (Formalin/PFA-fixed paraffin-embedded sections) - Anti-FOXK1/MNF antibody [EPR27320-65] (AB309510)

Immunohistochemical analysis of paraffin-embedded Mouse colon tissue labeling FOXK1/MNF with ab309510 at 1/2000 (0.259 ug/ml) followed by a ready to use LeicaDS9800 (Bond™ Polymer Refine Detection). Positive staining on mouse colon. The section was incubated with ab309510 for 30 mins at room temperature.The immunostaining was performed on a Leica Biosystems BOND® RX instrument Counterstained with Hematoxylin. Secondary antibody only control : Secondary antibody is a ready to use LeicaDS9800 (Bond™ Polymer Refine Detection). Heat mediated antigen retrieval was performed with Tris-EDTA buffer (pH 9.0, Epitope Retrieval Solution2) for 20 mins

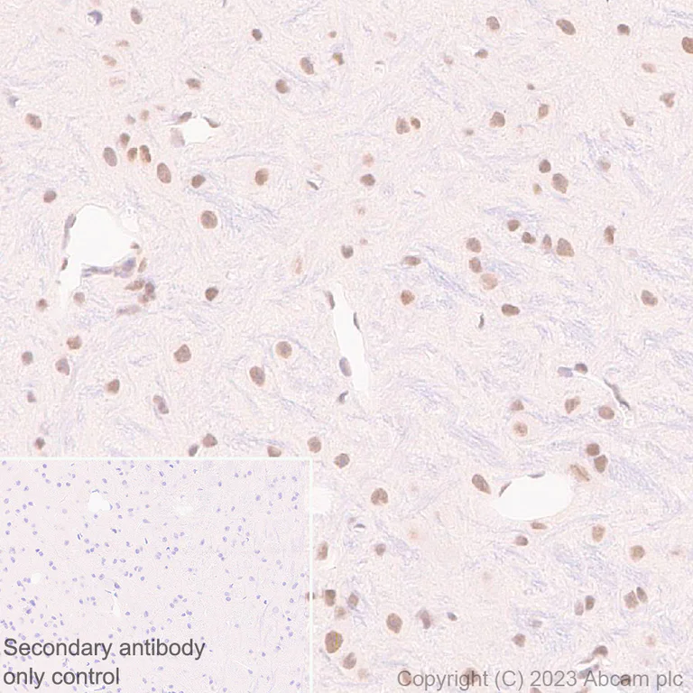
Immunohistochemistry (Formalin/PFA-fixed paraffin-embedded sections) - Anti-FOXK1/MNF antibody [EPR27320-65] (AB309510)
  • IHC-P

Supplier Data

Immunohistochemistry (Formalin/PFA-fixed paraffin-embedded sections) - Anti-FOXK1/MNF antibody [EPR27320-65] (AB309510)

Immunohistochemical analysis of paraffin-embedded Rat cerebrum tissue labeling FOXK1/MNF with ab309510 at 1/2000 (0.259 ug/ml) followed by a ready to use LeicaDS9800 (Bond™ Polymer Refine Detection). Positive staining on rat cerebrum.The section was incubated with ab309510 for 30 mins at room temperature.The immunostaining was performed on a Leica Biosystems BOND® RX instrument Counterstained with Hematoxylin. Secondary antibody only control : Secondary antibody is a ready to use LeicaDS9800 (Bond™ Polymer Refine Detection). Heat mediated antigen retrieval was performed with Tris-EDTA buffer (pH 9.0, Epitope Retrieval Solution2) for 20 mins

Immunohistochemistry (Formalin/PFA-fixed paraffin-embedded sections) - Anti-FOXK1/MNF antibody [EPR27320-65] (AB309510)
  • IHC-P

Supplier Data

Immunohistochemistry (Formalin/PFA-fixed paraffin-embedded sections) - Anti-FOXK1/MNF antibody [EPR27320-65] (AB309510)

Immunohistochemical analysis of paraffin-embedded Mouse cerebrum tissue labeling FOXK1/MNF with ab309510 at 1/2000 (0.259 ug/ml) followed by a ready to use LeicaDS9800 (Bond™ Polymer Refine Detection). Positive staining on mouse cerebrum.The section was incubated with ab309510 for 30 mins at room temperature.The immunostaining was performed on a Leica Biosystems BOND® RX instrument Counterstained with Hematoxylin. Secondary antibody only control : Secondary antibody is a ready to use LeicaDS9800 (Bond™ Polymer Refine Detection). Heat mediated antigen retrieval was performed with Tris-EDTA buffer (pH 9.0, Epitope Retrieval Solution2) for 20 mins

Immunocytochemistry/ Immunofluorescence - Anti-FOXK1/MNF antibody [EPR27320-65] (AB309510)
  • ICC/IF

Supplier Data

Immunocytochemistry/ Immunofluorescence - Anti-FOXK1/MNF antibody [EPR27320-65] (AB309510)

Immunofluorescent analysis of 4% Paraformaldehyde-fixed, 0.1% TritonX-100 permeabilized NIH/3T3 (mouse embryonic fibroblast) cells labelling FOXK1/MNF with ab309510 at 1/50 (10.34 ug/ml) dilution, followed by ab150081 Goat Anti-Rabbit IgG H&L (Alexa Fluor® 488) preadsorbed antibody at 1/1000 2 ug/mL dilution (Green). Confocal image showing nuclear staining in NIH/3T3 cell line.Image was taken with a confocal microscope(Leica-Microsystems, TCS SP8). is observed. ab195889 Anti-alpha Tubulin mouse monoclonal antibody - Microtubule Marker (Alexa Fluor® 594) was used to counterstain tubulin at 1/200 2.5ug/ml dilution (Red). The Nuclear counterstain was DAPI (Blue). Secondary antibody only control : Secondary antibody is ab150081 Goat Anti-Rabbit IgG H&L (Alexa Fluor® 488) preadsorbed at 1/1000 2 ug/mL dilution.

Flow Cytometry (Intracellular) - Anti-FOXK1/MNF antibody [EPR27320-65] (AB309510)
  • Flow Cyt (Intra)

Supplier Data

Flow Cytometry (Intracellular) - Anti-FOXK1/MNF antibody [EPR27320-65] (AB309510)

Flow cytometric analysis of 4% paraformaldehyde fixed 90% methanol permeabilized NIH/3T3 (mouse embryonic fibroblast) cells labelling FOXK1/MNF with ab309510 at 1/500 dilution (0.1 ug)/Red (Red) compared with a Rabbit monoclonal IgG (ab172730) (Black) isotype control and an unlabelled control (cells without incubation with primary antibody and secondary antibody) (Blue). A Goat Anti-Rabbit IgG (Alexa Fluor® 488, ab150081) at 1/5000 dilution was used as the secondary antibody.

Immunoprecipitation - Anti-FOXK1/MNF antibody [EPR27320-65] (AB309510)
  • IP

Supplier Data

Immunoprecipitation - Anti-FOXK1/MNF antibody [EPR27320-65] (AB309510)

FOXK1/MNF was immunoprecipitated from 0.35 mg NIH/3T3 (mouse embryonic fibroblast) whole cell lysate with ab309510 at 1/30 dilution (2ug in 0.35mg lysates). Western blot was performed on the immunoprecipitate using ab309510 at 1/1000 dilution. VeriBlot for IP secondary antibody(HRP)(ab131366) was used at 1/5000 dilution. Lane 1 : NIH/3T3 (mouse embryonic fibroblast) whole cell lysate Lane 2 : ab309510 IP in NIH/3T3 (mouse embryonic fibroblast) whole cell lysate Lane 3 : Rabbit monoclonal IgG (ab172730) instead of ab309510 in NIH/3T3 whole cell lysate Blocking and dilution buffer and concentration : 5% NFDM/TBST. Exposure time : 3 minutes Lysate was freshly made and used for Immunoprecipitation immediately to minimize protein degradation.

All lanes:

Immunoprecipitation - Anti-FOXK1/MNF antibody [EPR27320-65] (ab309510) at 1/30 dilution

All lanes:

NIH/3T3 (mouse embryonic fibroblast) whole cell lysate

Secondary

All lanes:

Immunoprecipitation - VeriBlot for IP Detection Reagent (HRP) (<a href='/en-us/products/reagents/veriblot-for-ip-detection-reagent-hrp-ab131366'>ab131366</a>) at 1/5000 dilution

false

Exposure time: 3min

Western blot - Anti-FOXK1/MNF antibody [EPR27320-65] (AB309510)
  • WB

Supplier Data

Western blot - Anti-FOXK1/MNF antibody [EPR27320-65] (AB309510)

Blocking and diluting buffer and concentration : 5% NFDM/TBST In Western blot, anti-GAPDH antibody (ab181602) loading control staining at 1/200000 dilution. Exposure time : 81 seconds

All lanes:

Western blot - Anti-FOXK1/MNF antibody [EPR27320-65] (ab309510) at 1/1000 dilution

Lane 1:

K-562 (human chronic myelogenous leukemia lymphoblast) transfected with scrambled siRNA control whole cell lysate at 20 µg

Lane 2:

K-562 transfected with siRNA specifically targeti FOXK1/MNF whole cell lysate at 20 µg

Secondary

All lanes:

Western blot - Goat Anti-Rabbit IgG H&L (HRP) (<a href='/en-us/products/secondary-antibodies/goat-rabbit-igg-h-l-hrp-ab97051'>ab97051</a>) at 1/100000 dilution

Observed band size: 95 kDa

false

Exposure time: 81s

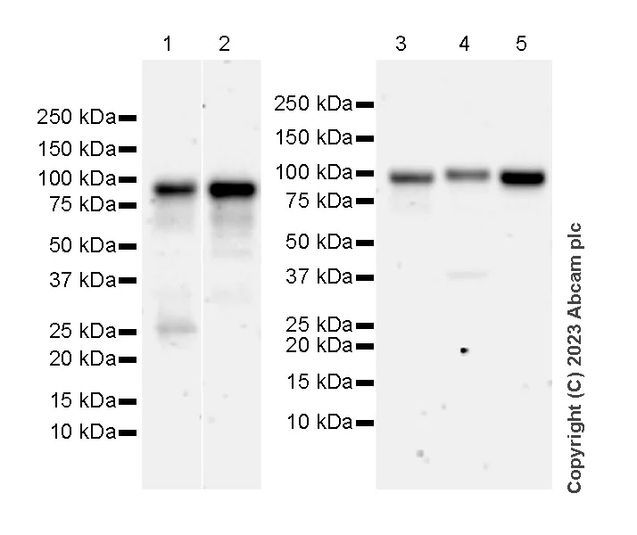
Western blot - Anti-FOXK1/MNF antibody [EPR27320-65] (AB309510)
  • WB

Supplier Data

Western blot - Anti-FOXK1/MNF antibody [EPR27320-65] (AB309510)

Blocking and diluting buffer and concentration : 5% NFDM/TBST Lysates were freshly made and used for Western blotting immediately to minimize protein degradation. Exposure time : 147 seconds

All lanes:

Western blot - Anti-FOXK1/MNF antibody [EPR27320-65] (ab309510) at 1/1000 dilution

Lane 1:

HepG2 (human hepatocellar carcinoma epithelial cell) whole cell lysate at 20 µg

Lane 2:

HeLa (human cervical adenocarcinoma epithelial cell) whole cell lysate at 20 µg

Lane 3:

293T (human embryonic kidney epithelial cell) whole cell lysate at 20 µg

Lane 4:

NIH/3T3 (mouse embryonic fibroblast) whole cell lysate at 20 µg

Lane 5:

PC-12 (rat adrenal gland pheochromocytoma cell) whole cell lysate at 20 µg

Secondary

All lanes:

Western blot - Goat Anti-Rabbit IgG H&L (HRP) (<a href='/en-us/products/secondary-antibodies/goat-rabbit-igg-h-l-hrp-ab97051'>ab97051</a>) at 1/100000 dilution

Observed band size: 95 kDa

false

Exposure time: 147s

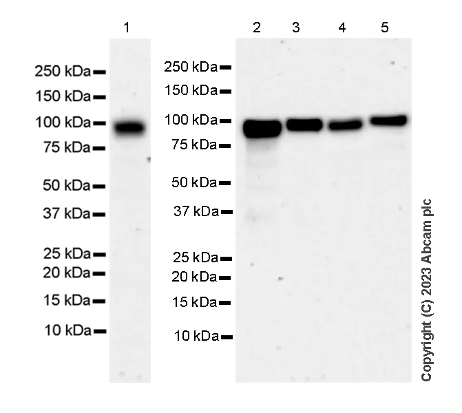
Western blot - Anti-FOXK1/MNF antibody [EPR27320-65] (AB309510)
  • WB

Supplier Data

Western blot - Anti-FOXK1/MNF antibody [EPR27320-65] (AB309510)

Blocking and diluting buffer and concentration : 5% NFDM/TBST Lysates were freshly made and used for Western blotting immediately to minimize protein degradation. Exposure time : 3 minutes

All lanes:

Western blot - Anti-FOXK1/MNF antibody [EPR27320-65] (ab309510) at 1/1000 dilution

Lane 1:

Rat brain tissue lysate at 20 µg

Lane 2:

Rat liver tissue lysate at 20 µg

Lane 3:

Mouse brain tissue lysate at 20 µg

Lane 4:

Mouse liver tissue lysate at 20 µg

Lane 5:

Mouse testis tissue lysate at 20 µg

Secondary

All lanes:

Western blot - Goat Anti-Rabbit IgG H&L (HRP) (<a href='/en-us/products/secondary-antibodies/goat-rabbit-igg-h-l-hrp-ab97051'>ab97051</a>) at 1/100000 dilution

Observed band size: 95 kDa

false

Exposure time: 3min

Key facts

Host species

Rabbit

Clonality

Monoclonal

Clone number

EPR27320-65

Isotype

IgG

Carrier free

No

Reacts with

Human, Mouse, Rat

Applications

IHC-P, Flow Cyt (Intra), IP, ICC/IF, WB, ChIP-seq

applications

Immunogen

The exact immunogen used to generate this antibody is proprietary information.

Reactivity data

{ "title": "Reactivity Data", "filters": { "stats": ["", "Species", "Dilution Info", "Notes"], "tabs": { "all-applications": {"fullname" : "All Applications", "shortname": "All Applications"}, "WB" : {"fullname" : "Western blot", "shortname":"WB"}, "IHCP" : {"fullname" : "Immunohistochemistry (Formalin/PFA-fixed paraffin-embedded sections)", "shortname":"IHC-P"}, "ICCIF" : {"fullname" : "Immunocytochemistry/ Immunofluorescence", "shortname":"ICC/IF"}, "FlowCytIntra" : {"fullname" : "Flow Cytometry (Intracellular)", "shortname":"Flow Cyt (Intra)"}, "IP" : {"fullname" : "Immunoprecipitation", "shortname":"IP"}, "ChIPseq" : {"fullname" : "ChIP-sequencing", "shortname":"ChIP-seq"} }, "product-promise": { "all": "all", "testedAndGuaranteed": "tested", "guaranteed": "expected", "predicted": "predicted", "notRecommended": "not-recommended" } }, "values": { "Human": { "WB-species-checked": "testedAndGuaranteed", "WB-species-dilution-info": "1/1000", "WB-species-notes": "<p></p>", "IHCP-species-checked": "testedAndGuaranteed", "IHCP-species-dilution-info": "1/2000", "IHCP-species-notes": "<p></p> Perform heat-mediated antigen retrieval with Tris/EDTA buffer pH 9.0 before commencing with IHC staining protocol.", "ICCIF-species-checked": "testedAndGuaranteed", "ICCIF-species-dilution-info": "1/50", "ICCIF-species-notes": "<p></p>", "FlowCytIntra-species-checked": "testedAndGuaranteed", "FlowCytIntra-species-dilution-info": "1/500", "FlowCytIntra-species-notes": "<p></p>", "IP-species-checked": "testedAndGuaranteed", "IP-species-dilution-info": "1/30", "IP-species-notes": "<p></p>", "ChIPseq-species-checked": "testedAndGuaranteed", "ChIPseq-species-dilution-info": "8 µg for 10^7 Cells", "ChIPseq-species-notes": "<p></p>" }, "Mouse": { "WB-species-checked": "testedAndGuaranteed", "WB-species-dilution-info": "1/1000", "WB-species-notes": "<p></p>", "IHCP-species-checked": "testedAndGuaranteed", "IHCP-species-dilution-info": "1/2000", "IHCP-species-notes": "<p></p> Perform heat-mediated antigen retrieval with Tris/EDTA buffer pH 9.0 before commencing with IHC staining protocol.", "ICCIF-species-checked": "testedAndGuaranteed", "ICCIF-species-dilution-info": "1/50", "ICCIF-species-notes": "<p></p>", "FlowCytIntra-species-checked": "testedAndGuaranteed", "FlowCytIntra-species-dilution-info": "1/500", "FlowCytIntra-species-notes": "<p></p>", "IP-species-checked": "testedAndGuaranteed", "IP-species-dilution-info": "1/30", "IP-species-notes": "<p></p>", "ChIPseq-species-checked": "guaranteed", "ChIPseq-species-dilution-info": "", "ChIPseq-species-notes": "" }, "Rat": { "WB-species-checked": "testedAndGuaranteed", "WB-species-dilution-info": "1/1000", "WB-species-notes": "<p></p>", "IHCP-species-checked": "testedAndGuaranteed", "IHCP-species-dilution-info": "1/2000", "IHCP-species-notes": "<p></p> Perform heat-mediated antigen retrieval with Tris/EDTA buffer pH 9.0 before commencing with IHC staining protocol.", "ICCIF-species-checked": "guaranteed", "ICCIF-species-dilution-info": "", "ICCIF-species-notes": "", "FlowCytIntra-species-checked": "guaranteed", "FlowCytIntra-species-dilution-info": "", "FlowCytIntra-species-notes": "", "IP-species-checked": "guaranteed", "IP-species-dilution-info": "", "IP-species-notes": "", "ChIPseq-species-checked": "guaranteed", "ChIPseq-species-dilution-info": "", "ChIPseq-species-notes": "" } } }

Product details

Patented technology
Our RabMAb® technology is a patented hybridoma-based technology for making rabbit monoclonal antibodies. For details on our patents, please refer to RabMAb® patents.

What are the advantages of a recombinant monoclonal antibody?
This product is a recombinant monoclonal antibody, which offers several advantages including:

  • - High batch-to-batch consistency and reproducibility
  • - Improved sensitivity and specificity
  • - Long-term security of supply
  • - Animal-free batch production

For more information, read more on recombinant antibodies.

Properties and storage information

Form
Liquid
Purification technique
Affinity purification Protein A
Storage buffer
pH: 7.2 - 7.4 Preservative: 0.01% Sodium azide Constituents: PBS, 40% Glycerol (glycerin, glycerine), 0.05% BSA
Shipped at conditions
Blue Ice
Appropriate short-term storage duration
1-2 weeks
Appropriate short-term storage conditions
+4°C
Appropriate long-term storage conditions
-20°C
Aliquoting information
Upon delivery aliquot
Storage information
Avoid freeze / thaw cycle

Supplementary information

This supplementary information is collated from multiple sources and compiled automatically.

The FOXK1/MNF protein often called Forkhead Box K1 is a transcription factor that regulates gene expression linked to cell proliferation and differentiation. It has the molecular weight of approximately 84 kDa. Expressed in various tissues including muscle and brain FOXK1/MNF plays an essential role in regulating specific gene targets. The protein interacts with DNA via its forkhead domain influencing the transcriptional activity of numerous genes important for cellular functions.
Biological function summary

FOXK1/MNF is involved in the regulation of cell cycle progression and muscle regeneration. It forms part of a transcriptional complex that modulates gene expression to control these processes. In muscle tissue FOXK1/MNF influences the activation of satellite cells which are necessary for muscle repair and growth. This protein’s function in regulating cellular proliferation highlights its significance in tissue development and regeneration.

Pathways

The FOXK1/MNF protein is instrumental in the Wnt signaling and PI3K/AKT pathways. These pathways are significant for controlling cell proliferation differentiation and survival. Within these pathways FOXK1/MNF interacts with proteins such as beta-catenin in the Wnt signaling pathway. Through these interactions it modulates the transcription of genes responsible for various cellular functions further underlining its role in tissue regeneration and cancer development.

FOXK1/MNF links notably with certain cancers and muscular dystrophies. In cancer its overexpression can lead to unchecked cell proliferation and tumor growth interacting closely with proteins like PTEN a known tumor suppressor. In muscular dystrophy FOXK1/MNF may influence the disease progression by affecting the muscle regeneration process a vital element in maintaining muscle integrity. Understanding its expression and regulation can provide insights into the mechanisms driving these diseases and offer targets for potential therapeutic interventions.

Product protocols

For this product, it's our understanding that no specific protocols are required. You can visit:

Target data

Transcriptional regulator involved in different processes such as glucose metabolism, aerobic glycolysis, muscle cell differentiation and autophagy (By similarity). Recognizes and binds the forkhead DNA sequence motif (5'-GTAAACA-3') and can both act as a transcription activator or repressor, depending on the context (PubMed : 17670796). Together with FOXK2, acts as a key regulator of metabolic reprogramming towards aerobic glycolysis, a process in which glucose is converted to lactate in the presence of oxygen (By similarity). Acts by promoting expression of enzymes for glycolysis (such as hexokinase-2 (HK2), phosphofructokinase, pyruvate kinase (PKLR) and lactate dehydrogenase), while suppressing further oxidation of pyruvate in the mitochondria by up-regulating pyruvate dehydrogenase kinases PDK1 and PDK4 (By similarity). Probably plays a role in gluconeogenesis during overnight fasting, when lactate from white adipose tissue and muscle is the main substrate (By similarity). Involved in mTORC1-mediated metabolic reprogramming : in response to mTORC1 signaling, translocates into the nucleus and regulates the expression of genes associated with glycolysis and downstream anabolic pathways, such as HIF1A, thereby regulating glucose metabolism (By similarity). Together with FOXK2, acts as a negative regulator of autophagy in skeletal muscle : in response to starvation, enters the nucleus, binds the promoters of autophagy genes and represses their expression, preventing proteolysis of skeletal muscle proteins (By similarity). Acts as a transcriptional regulator of the myogenic progenitor cell population in skeletal muscle (By similarity). Binds to the upstream enhancer region (CCAC box) of myoglobin (MB) gene, regulating the myogenic progenitor cell population (By similarity). Promotes muscle progenitor cell proliferation by repressing the transcriptional activity of FOXO4, thereby inhibiting myogenic differentiation (By similarity). Involved in remodeling processes of adult muscles that occur in response to physiological stimuli (By similarity). Required to correct temporal orchestration of molecular and cellular events necessary for muscle repair (By similarity). Represses myogenic differentiation by inhibiting MEFC activity (By similarity). Positively regulates Wnt/beta-catenin signaling by translocating DVL into the nucleus (PubMed : 25805136). Reduces virus replication, probably by binding the interferon stimulated response element (ISRE) to promote antiviral gene expression (PubMed : 25852164). Accessory component of the polycomb repressive deubiquitinase (PR-DUB) complex; recruits the PR-DUB complex to specific FOXK1-bound genes (PubMed : 24634419, PubMed : 30664650).
See full target information FOXK1

Publications (3)

Recent publications for all applications. Explore the full list and refine your search

The Tohoku journal of experimental medicine : PubMed40603105

2025

KLF16-Induced Increase of GARS Promotes Glycolysis in Hepatocellular Carcinoma by Stabilizing FOXK1.

Applications

Unspecified application

Species

Unspecified reactive species

Jinghui Wang,Ruijuan Fan,Jun Li,Hanbo Qiu,Lizhu Lin

Physiological reports 12:e16057 PubMed38825580

2024

Molecular distinctions of bronchoalveolar and alveolar organoids under differentiation conditions.

Applications

Unspecified application

Species

Unspecified reactive species

Yan Yu,Zexin Chen,Bin Zheng,Min Huang,Junlang Li,Gang Li

Journal of translational medicine 22:192 PubMed38383406

2024

ZSWIM4 inhibition improves chemosensitivity in epithelial ovarian cancer cells by suppressing intracellular glycine biosynthesis.

Applications

Unspecified application

Species

Unspecified reactive species

Kunxiang Gong,Yinger Huang,Yanqin Zheng,Wenbo Hao,Kun Shi
View all publications

Product promise

We are committed to supporting your work with high-quality reagents, and we're here for you every step of the way. In the unlikely event that one of our products does not perform as expected, you're protected by our Product Promise.
For full details, please see our Terms & Conditions

Please note: All products are 'FOR RESEARCH USE ONLY. NOT FOR USE IN DIAGNOSTIC OR THERAPEUTIC PROCEDURES'.

For licensing inquiries, please contact partnerships@abcam.com