JavaScript is disabled in your browser. Please enable JavaScript to view this website.
AB246511

Anti-FOXL2 antibody [EPR23523-68]

3

(3 Reviews)

|

(14 Publications)

Anti-FOXL2 antibody [EPR23523-68] (ab246511) is a rabbit monoclonal antibody detecting FOXL2 in Western Blot, IP, IHC-P, IHC-Fr, ICC/IF. Suitable for Human, Mouse, Rat.

- Biophysical QC for unrivalled batch-batch consistency

View Alternative Names

Forkhead box protein L2, FOXL2

11 Images
Immunohistochemistry (Formalin/PFA-fixed paraffin-embedded sections) - Anti-FOXL2 antibody [EPR23523-68] (AB246511)
  • IHC-P

Unknown

Immunohistochemistry (Formalin/PFA-fixed paraffin-embedded sections) - Anti-FOXL2 antibody [EPR23523-68] (AB246511)

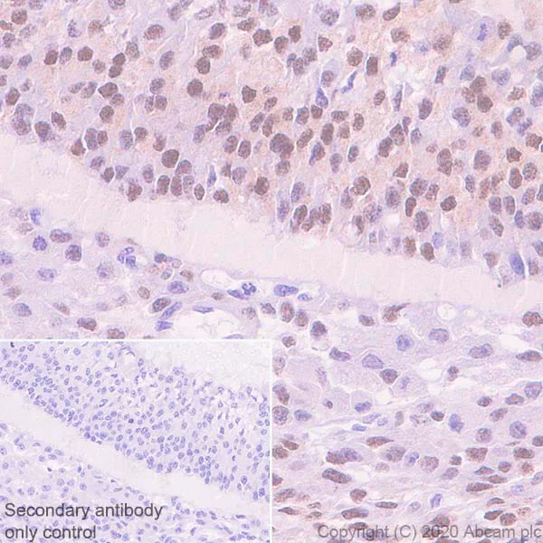
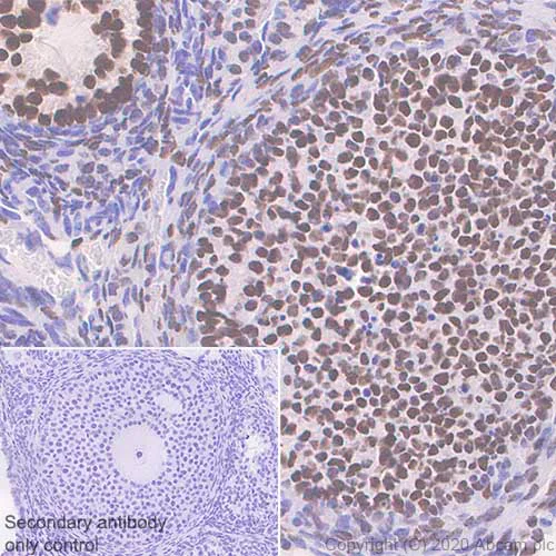
Immunohistochemical analysis of paraffin-embedded Human ovary tissue labeling FOXL2 with ab246511 at 1/2000 dilution followed by a ready to use Rabbit specific IHC polymer detection kit HRP/DAB (ab209101). Positive staining on human ovary. The section was incubated with ab246511 for 30 mins at room temperature. The immunostaining was performed on a Leica Biosystems BOND® RX instrument. Counterstained with Hematoxylin.

Secondary antibody only control : Secondary antibody is a ready to use Rabbit specific IHC polymer detection kit HRP/DAB (ab209101).

Heat mediated antigen retrieval with Tris-EDTA buffer (pH 9.0, epitope retrieval solution2) for 20 mins

Immunohistochemistry (Formalin/PFA-fixed paraffin-embedded sections) - Anti-FOXL2 antibody [EPR23523-68] (AB246511)
  • IHC-P

Lab

Immunohistochemistry (Formalin/PFA-fixed paraffin-embedded sections) - Anti-FOXL2 antibody [EPR23523-68] (AB246511)

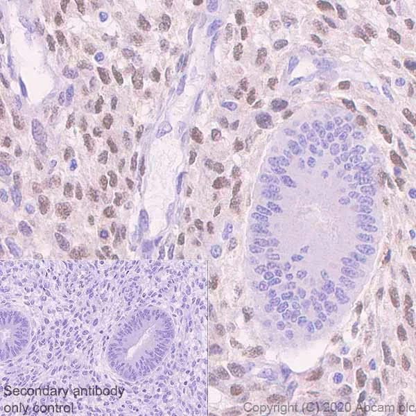
Immunohistochemistry (Formalin/PFA-fixed paraffin-embedded sections) analysis of human endometrium tissue labelling FOXL2 with purified ab246511 at 1/2000. Heat mediated antigen retrieval was performed using Tris/EDTA buffer pH 9. ab97051, a HRP-conjugated goat anti-rabbit IgG (H+L) was used as the secondary antibody. Negative control using PBS instead of primary antibody. Counterstained with hematoxylin.

Positive staining on stroma cells in human endometrium. The section was incubated with ab246511 for 30 mins at room temperature. The immunostaining was performed on a Leica Biosystems BOND® RX instrument.

Immunohistochemistry (Formalin/PFA-fixed paraffin-embedded sections) - Anti-FOXL2 antibody [EPR23523-68] (AB246511)
  • IHC-P

Lab

Immunohistochemistry (Formalin/PFA-fixed paraffin-embedded sections) - Anti-FOXL2 antibody [EPR23523-68] (AB246511)

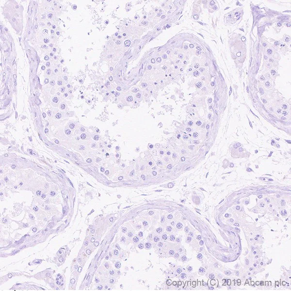
Immunohistochemistry (Formalin/PFA-fixed paraffin-embedded sections) analysis of human testis tissue labelling FOXL2 with purified ab246511 at 1/2000. Heat mediated antigen retrieval was performed using Tris/EDTA buffer pH 9. ab97051, a HRP-conjugated goat anti-rabbit IgG (H+L) was used as the secondary antibody. Counterstained with hematoxylin.

Negative control : no staining on human testis. The section was incubated with ab246511 for 30 mins at room temperature. The immunostaining was performed on a Leica Biosystems BOND® RX instrument.

Immunocytochemistry/ Immunofluorescence - Anti-FOXL2 antibody [EPR23523-68] (AB246511)
  • ICC/IF

Lab

Immunocytochemistry/ Immunofluorescence - Anti-FOXL2 antibody [EPR23523-68] (AB246511)

Immunofluorescent analysis of 80% Methanol-fixed, 0.1% Triton X-100 permeabilized K-562 (human chronic myelogenous leukemia lymphoblasts) cells labelling FOXL2 with primary antibody anti-FOXL2 (ab246511) at 1/50 dilution, followed by Goat Anti-Rabbit IgG H&L (Alexa Fluor® 488) preadsorbed (ab150081) secondary antibody at 1/1000 dilution. Confocal image showing mainly nuclear staining in K-562 cell line. Anti-alpha Tubulin mouse monoclonal antibody - Microtubule Marker (Alexa Fluor® 594) (ab195889) was used to counterstain tubulin at 1/200 dilution. The nuclear counter stain is DAPI (blue).

Immunohistochemistry (Frozen sections) - Anti-FOXL2 antibody [EPR23523-68] (AB246511)
  • IHC-Fr

Unknown

Immunohistochemistry (Frozen sections) - Anti-FOXL2 antibody [EPR23523-68] (AB246511)

Immunohistochemical analysis of 4% PFA-fixed, 0.2% Triton X-100 permeabilized Mouse ovary tissue labeling FOXL2 with ab246511 at 1/250 dilution followed by ab150077 AlexaFluor®488 Goat anti-Rabbit secondary at 1/1000 dilution (green). Nuclear staining on mouse ovary. The nuclear counter stain is DAPI (blue).

Heat mediated antigen retrieval using sodium citrate buffer (10mM citrate pH 6.0 + 0.05% Tween-20).

Immunohistochemistry (Formalin/PFA-fixed paraffin-embedded sections) - Anti-FOXL2 antibody [EPR23523-68] (AB246511)
  • IHC-P

Unknown

Immunohistochemistry (Formalin/PFA-fixed paraffin-embedded sections) - Anti-FOXL2 antibody [EPR23523-68] (AB246511)

Immunohistochemical analysis of paraffin-embedded Mouse ovary tissue labeling FOXL2 with ab246511 at 1/2000 dilution followed by a ready to use Rabbit specific IHC polymer detection kit HRP/DAB (ab209101). Nuclear staining on granulosa cells and some other cells in mouse ovary. The section was incubated with ab246511 for 30 mins at room temperature. The immunostaining was performed on a Leica Biosystems BOND® RX instrument. Counterstained with Hematoxylin.

Secondary antibody only control : Secondary antibody is a ready to use Rabbit specific IHC polymer detection kit HRP/DAB (ab209101).

Heat mediated antigen retrieval with Tris-EDTA buffer (pH 9.0, epitope retrieval solution2) for 20 mins

Immunocytochemistry/ Immunofluorescence - Anti-FOXL2 antibody [EPR23523-68] (AB246511)
  • ICC/IF

Lab

Immunocytochemistry/ Immunofluorescence - Anti-FOXL2 antibody [EPR23523-68] (AB246511)

Immunofluorescent analysis of 100% Methanol-fixed, 0.1% Triton X-100 permeabilized NIH/3T3 (mouse embryonic fibroblast cell line) cells labelling FOXL2 with primary antibody anti-FOXL2 (ab246511) at 1/50 dilution, followed by Goat Anti-Rabbit IgG H&L (Alexa Fluor® 488) preadsorbed (ab150081) secondary antibody at 1/1000 dilution. Confocal image showing mainly nuclear staining in NIH/3T3 cell line. Anti-alpha Tubulin mouse monoclonal antibody - Microtubule Marker (Alexa Fluor® 594) (ab195889) was used to counterstain tubulin at 1/200 dilution. The nuclear counter stain is DAPI (blue).

Immunohistochemistry (Formalin/PFA-fixed paraffin-embedded sections) - Anti-FOXL2 antibody [EPR23523-68] (AB246511)
  • IHC-P

Unknown

Immunohistochemistry (Formalin/PFA-fixed paraffin-embedded sections) - Anti-FOXL2 antibody [EPR23523-68] (AB246511)

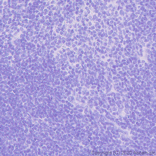
Immunohistochemical analysis of paraffin-embedded Mouse spleen tissue labeling FOXL2 with ab246511 at 1/2000 dilution followed by a ready to use Rabbit specific IHC polymer detection kit HRP/DAB (ab209101). Negative control : No staining on mouse spleen. The section was incubated with ab246511 for 30 mins at room temperature. The immunostaining was performed on a Leica Biosystems BOND® RX instrument. Counterstained with Hematoxylin.

Secondary antibody only control : Secondary antibody is a ready to use Rabbit specific IHC polymer detection kit HRP/DAB (ab209101).

Heat mediated antigen retrieval with Tris-EDTA buffer (pH 9.0, epitope retrieval solution2) for 20 mins

Immunohistochemistry (Formalin/PFA-fixed paraffin-embedded sections) - Anti-FOXL2 antibody [EPR23523-68] (AB246511)
  • IHC-P

Unknown

Immunohistochemistry (Formalin/PFA-fixed paraffin-embedded sections) - Anti-FOXL2 antibody [EPR23523-68] (AB246511)

Immunohistochemical analysis of paraffin-embedded Rat ovary tissue labeling FOXL2 with ab246511 at 1/2000 dilution followed by a ready to use Rabbit specific IHC polymer detection kit HRP/DAB (ab209101). Nuclear staining on granulosa cells and some other cells in rat ovary. The section was incubated with ab246511 for 30 mins at room temperature. The immunostaining was performed on a Leica Biosystems BOND® RX instrument. Counterstained with Hematoxylin.

Secondary antibody only control : Secondary antibody is a ready to use Rabbit specific IHC polymer detection kit HRP/DAB (ab209101).

Heat mediated antigen retrieval with Tris-EDTA buffer (pH 9.0, epitope retrieval solution2) for 20 mins

Immunoprecipitation - Anti-FOXL2 antibody [EPR23523-68] (AB246511)
  • IP

Unknown

Immunoprecipitation - Anti-FOXL2 antibody [EPR23523-68] (AB246511)

FOXL2 was immunoprecipitated from 0.35 mg Mouse ovary tissue lysate with ab246511 at 1/30 dilution (2ug in 0.35mg lysates). Western blot was performed on the immunoprecipitate using ab246511 at 1/1000 dilution. VeriBlot for IP Detection Reagent (HRP)(ab131366) was used at 1/5000 dilution.

Lane 1 : Mouse ovary tissue lysate 10ug

Lane 2 : ab246511 IP in Mouse ovary tissue lysate

Lane 3 : Rabbit monoclonal IgG (ab172730) instead of ab246511 in mouse ovary tissue lysate

Blocking and dilution buffer and concentration : 5% NFDM/TBST.

Exposure time : 84 seconds

All lanes:

Immunoprecipitation - Anti-FOXL2 antibody [EPR23523-68] (ab246511)

Predicted band size: 38 kDa

Observed band size: 50 kDa

false

Western blot - Anti-FOXL2 antibody [EPR23523-68] (AB246511)
  • WB

Lab

Western blot - Anti-FOXL2 antibody [EPR23523-68] (AB246511)

Blocking/Diluting buffer and concentration : 5% NFDM/TBST.

The expression profile and molecular weight observed is consistent with what has been described in the literature (PMID : 19106105)
Negative control : Mouse testis, Rat testis (PMID : 15059956)

All lanes:

Western blot - Anti-FOXL2 antibody [EPR23523-68] (ab246511) at 1/1000 dilution

Lane 1:

Mouse ovary tissue lysate at 20 µg

Lane 2:

Mouse testis tissue lysate at 20 µg

Lane 3:

Rat ovary tissue lysate at 20 µg

Lane 4:

Rat testis tissue lysate at 20 µg

Secondary

All lanes:

Western blot - Goat Anti-Rabbit IgG H&L (HRP) (<a href='/en-us/products/secondary-antibodies/goat-rabbit-igg-h-l-hrp-ab97051'>ab97051</a>) at 1/100000 dilution

Predicted band size: 38 kDa

Observed band size: 50 kDa

false

Exposure time: 3min

Key facts

Host species

Rabbit

Clonality

Monoclonal

Clone number

EPR23523-68

Isotype

IgG

Carrier free

No

Reacts with

Mouse, Rat, Human

Applications

IHC-P, IHC-Fr, IP, WB, ICC/IF

applications

Immunogen

The exact immunogen used to generate this antibody is proprietary information.

Reactivity data

{ "title": "Reactivity Data", "filters": { "stats": ["", "Species", "Dilution Info", "Notes"], "tabs": { "all-applications": {"fullname" : "All Applications", "shortname": "All Applications"}, "IP" : {"fullname" : "Immunoprecipitation", "shortname":"IP"}, "WB" : {"fullname" : "Western blot", "shortname":"WB"}, "IHCFr" : {"fullname" : "Immunohistochemistry (Frozen sections)", "shortname":"IHC-Fr"}, "IHCP" : {"fullname" : "Immunohistochemistry (Formalin/PFA-fixed paraffin-embedded sections)", "shortname":"IHC-P"}, "ICCIF" : {"fullname" : "Immunocytochemistry/ Immunofluorescence", "shortname":"ICC/IF"}, "FlowCyt" : {"fullname" : "Flow Cytometry", "shortname":"Flow Cyt"} }, "product-promise": { "all": "all", "testedAndGuaranteed": "tested", "guaranteed": "expected", "predicted": "predicted", "notRecommended": "not-recommended" } }, "values": { "Human": { "IP-species-checked": "guaranteed", "IP-species-dilution-info": "", "IP-species-notes": "", "WB-species-checked": "notRecommended", "WB-species-dilution-info": "1/1000", "WB-species-notes": "<p>We do not recommend this antibody for WB using human samples.</p>", "IHCFr-species-checked": "guaranteed", "IHCFr-species-dilution-info": "", "IHCFr-species-notes": "", "IHCP-species-checked": "testedAndGuaranteed", "IHCP-species-dilution-info": "1/2000", "IHCP-species-notes": "<p></p> Perform heat-mediated antigen retrieval with Tris/EDTA buffer pH 9.0 before commencing with IHC staining protocol.", "ICCIF-species-checked": "testedAndGuaranteed", "ICCIF-species-dilution-info": "1/50", "ICCIF-species-notes": "<p></p>", "FlowCyt-species-checked": "notRecommended", "FlowCyt-species-dilution-info": "", "FlowCyt-species-notes": "<p></p>" }, "Mouse": { "IP-species-checked": "testedAndGuaranteed", "IP-species-dilution-info": "1/30", "IP-species-notes": "<p></p>", "WB-species-checked": "testedAndGuaranteed", "WB-species-dilution-info": "1/1000", "WB-species-notes": "<p>We do not recommend this antibody for WB using human samples.</p>", "IHCFr-species-checked": "testedAndGuaranteed", "IHCFr-species-dilution-info": "1/250", "IHCFr-species-notes": "<p>Heat mediated antigen retrieval using sodium citrate buffer (10mM citrate pH 6.0 + 0.05% Tween-20).</p>", "IHCP-species-checked": "testedAndGuaranteed", "IHCP-species-dilution-info": "1/2000", "IHCP-species-notes": "<p></p> Perform heat-mediated antigen retrieval with Tris/EDTA buffer pH 9.0 before commencing with IHC staining protocol.", "ICCIF-species-checked": "testedAndGuaranteed", "ICCIF-species-dilution-info": "1/50", "ICCIF-species-notes": "<p></p>", "FlowCyt-species-checked": "notRecommended", "FlowCyt-species-dilution-info": "", "FlowCyt-species-notes": "" }, "Rat": { "IP-species-checked": "guaranteed", "IP-species-dilution-info": "", "IP-species-notes": "", "WB-species-checked": "testedAndGuaranteed", "WB-species-dilution-info": "1/1000", "WB-species-notes": "<p>We do not recommend this antibody for WB using human samples.</p>", "IHCFr-species-checked": "guaranteed", "IHCFr-species-dilution-info": "", "IHCFr-species-notes": "", "IHCP-species-checked": "testedAndGuaranteed", "IHCP-species-dilution-info": "1/2000", "IHCP-species-notes": "<p></p> Perform heat-mediated antigen retrieval with Tris/EDTA buffer pH 9.0 before commencing with IHC staining protocol.", "ICCIF-species-checked": "guaranteed", "ICCIF-species-dilution-info": "", "ICCIF-species-notes": "", "FlowCyt-species-checked": "notRecommended", "FlowCyt-species-dilution-info": "", "FlowCyt-species-notes": "" } } }

Product details

What is this antibody validated in?
Anti-FOXL2 antibody [EPR23523-68] (ab246511) is a rabbit recombinant monoclonal antibody and is validated for use in Western Blot (WB), Immunoprecipitation (IP), Immunohistochemistry (IHC-P), Immunohistochemistry (IHC-Fr), Immunocytochemistry/immunofluorescence (ICC/IF) in Human, Mouse, Rat samples.

What is the molecular weight of FOXL2?
Anti-FOXL2 [EPR23523-68] (ab246511) specifically detects a band for FOXL2 (UniProt: O88470) at a molecular weight of 38kDa.

Trial sizes available!
Test your antibody or perform pre-screening before committing to a larger quantity. Sold in 10µl. Discover our selection of trial-size antibodies.

Other related products
We have a range of other formats of antibody clone [EPR23523-68] also available for your convenience: ab246511, Carrier free - ab272050, Alexa Fluor® 647 - ab275153

Patented technology
Our RabMAb® technology is a patented hybridoma-based technology for making rabbit monoclonal antibodies. For details on our patents, please refer to RabMAb® patents.

What are the advantages of a recombinant monoclonal antibody?
This product is a recombinant monoclonal antibody, which offers several advantages including:

  • - High batch-to-batch consistency and reproducibility
  • - Improved sensitivity and specificity
  • - Long-term security of supply
  • - Animal-free batch production

For more information, read more on recombinant antibodies.

Properties and storage information

Form
Liquid
Purification technique
Affinity purification Protein A
Storage buffer
pH: 7.2 - 7.4 Preservative: 0.01% Sodium azide Constituents: PBS, 40% Glycerol (glycerin, glycerine), 0.05% BSA
Shipped at conditions
Blue Ice
Appropriate short-term storage duration
1-2 weeks
Appropriate short-term storage conditions
+4°C
Appropriate long-term storage conditions
-20°C
Aliquoting information
Upon delivery aliquot
Storage information
Avoid freeze / thaw cycle

Supplementary information

This supplementary information is collated from multiple sources and compiled automatically.

The protein FOXL2 also known as Forkhead box L2 functions as a transcription factor belonging to the forkhead family. It has an approximate mass of 45 kDa. This protein is expressed mainly in ovarian somatic cells and certain tissues of the eye. FOXL2 contains a distinct forkhead domain which binds to DNA and regulates gene expression involved in cellular proliferation differentiation and apoptosis.
Biological function summary

Cells rely on FOXL2 for regulating early ovarian development and maintenance of granulosa cell identity. As part of transcriptional complexes it interacts with other proteins to maintain ovarian function and health. FOXL2 also inhibits certain genes that are otherwise potentially involved in abnormal cell growth acting as a tumor suppressor in ovarian tissues. This makes it essential in reproductive biology.

Pathways

FOXL2 plays significant roles in ovarian development and function through the TGF-beta signaling pathway and the Wnt signaling pathway. In collaboration with SMAD3 a protein in the TGF-beta pathway FOXL2 regulates genes important for cell communication and differentiation. Additionally it interfaces with proteins involved in cellular structure and movement influencing biological processes critical for tissue maintenance.

Mutations in FOXL2 are linked to disorders like Blepharophimosis Ptosis Epicantherefore Inversus Syndrome (BPES) and ovarian granulosa cell tumors. FOXL2 mutations often disrupt the protein's interactions with other factors such as the androgen receptor leading to abnormal cellular function. In BPES FOXL2 mutations impair eyelid formation and function highlighting its role in craniofacial development.

Product protocols

For this product, it's our understanding that no specific protocols are required. You can visit:

Target data

Transcriptional regulator. Critical factor essential for ovary differentiation and maintenance, and repression of the genetic program for somatic testis determination. Prevents trans-differentiation of ovary to testis through transcriptional repression of the Sertoli cell-promoting gene SOX9 (By similarity). Has apoptotic activity in ovarian cells. Suppresses ESR1-mediated transcription of PTGS2/COX2 stimulated by tamoxifen (By similarity). Is a regulator of CYP19 expression (By similarity). Participates in SMAD3-dependent transcription of FST via the intronic SMAD-binding element (By similarity). Is a transcriptional repressor of STAR. Activates SIRT1 transcription under cellular stress conditions. Activates transcription of OSR2.
See full target information FOXL2

Publications (14)

Recent publications for all applications. Explore the full list and refine your search

Journal of ovarian research 18:200 PubMed40898340

2025

Hyperandrogenism in polycystic ovary syndrome augments Estrogen synthesis through AR-FOXL2-mediated activation of the aromatase gene in granulosa cells.

Applications

Unspecified application

Species

Unspecified reactive species

Yi-Ru Tsai,Yen-Nung Liao,Cheng-Ju Tsai,Yu-Ang Lee,Shih-Min Hsia,Kuo-Chung Lan,Hong-Yo Kang

FASEB journal : official publication of the Federation of American Societies for Experimental Biology 39:e70720 PubMed40542648

2025

HELQ Maintains Genome Stability of Primordial Germ Cells by Inhibiting LINE-1 Expression.

Applications

Unspecified application

Species

Unspecified reactive species

Lili Cao,Jiayi Ren,Zhaojie Kong,Mengchun Hu,Yaxuan Zhang,Zi-Jiang Chen,Yingying Qin,Yajuan Yang,Shidou Zhao

Acta biochimica et biophysica Sinica : PubMed40462670

2025

A visualized and quercetin-optimized three-dimensional culture model of mouse ovaries derived from fetal gonads.

Applications

Unspecified application

Species

Unspecified reactive species

Manman Cui,Ziye Zheng,Shiyu Bai,Zhaoxiang Ouyang,Jun Chen,Xinyan Yang,Cong Wan,Yi Zheng,Jiexiang Zhao,Gang Chang,Xiao-Yang Zhao

Journal of traditional Chinese medicine = Chung i tsa chih ying wen pan 45:266-271 PubMed40151113

2025

Effects of Huluan decotion on cyclophosphamide-induced autoimmune premature ovarian failure in murine models.

Applications

Unspecified application

Species

Unspecified reactive species

Feng Guiling,Zhou Xiaolin,Shen Chengwan,L I Panxiao,Abulizi Abudula

Advanced science (Weinheim, Baden-Wurttemberg, Germany) 12:e2410098 PubMed39629971

2024

Spatial Transcriptome and Single Nucleus Transcriptome Sequencing Reveals Tetrahydroxy Stilbene Glucoside Promotes Ovarian Organoids Development Through the Vegfa-Ephb2 Pair.

Applications

Unspecified application

Species

Unspecified reactive species

Chunlan Mu,Xiaoyong Li,Jiamei Yang,Geng G Tian,Hepeng Bai,Wenhui Lin,Linhui Wang,Ji Wu

Cell death discovery 10:468 PubMed39543104

2024

Identification of apelin/APJ signaling dysregulation in a human iPSC-derived granulosa cell model of Turner syndrome.

Applications

Unspecified application

Species

Unspecified reactive species

Wei-Ju Chen,Yi-Ya Chao,Wei-Kai Huang,Wei-Fang Chang,Chii-Ruey Tzeng,Chi-Hsuan Chuang,Pei-Lun Lai,Scott C Schuyler,Long-Yuan Li,Jean Lu

The EMBO journal 43:3044-3071 PubMed38858601

2024

MCM8 interacts with DDX5 to promote R-loop resolution.

Applications

Unspecified application

Species

Unspecified reactive species

Canxin Wen,Lili Cao,Shuhan Wang,Weiwei Xu,Yongze Yu,Simin Zhao,Fan Yang,Zi-Jiang Chen,Shidou Zhao,Yajuan Yang,Yingying Qin

Cells 12: PubMed38067144

2023

Sertoli Cell-Specific Activation of Transforming Growth Factor Beta Receptor 1 Leads to Testicular Granulosa Cell Tumor Formation.

Applications

Unspecified application

Species

Unspecified reactive species

Xin Fang,Linfeng Nie,Satwikreddy Putluri,Nan Ni,Laurent Bartholin,Qinglei Li

The Journal of biological chemistry 299:102905 PubMed36642183

2023

DNA repair protein FANCD2 has both ubiquitination-dependent and ubiquitination-independent functions during germ cell development.

Applications

Unspecified application

Species

Unspecified reactive species

Simin Zhao,Chengzi Huang,Yajuan Yang,Weiwei Xu,Yongze Yu,Canxin Wen,Lili Cao,Fei Gao,Yingying Qin,Zi-Jiang Chen,Ting Guo,Shidou Zhao

Science advances 8:eade1846 PubMed36542718

2022

TAp63 determines the fate of oocytes against DNA damage.

Applications

Unspecified application

Species

Unspecified reactive species

Yi Luan,Seok-Yeong Yu,Amirhossein Abazarikia,Rosemary Dong,So-Youn Kim
View all publications

Product promise

We are committed to supporting your work with high-quality reagents, and we're here for you every step of the way. In the unlikely event that one of our products does not perform as expected, you're protected by our Product Promise.
For full details, please see our Terms & Conditions

Please note: All products are 'FOR RESEARCH USE ONLY. NOT FOR USE IN DIAGNOSTIC OR THERAPEUTIC PROCEDURES'.

For licensing inquiries, please contact partnerships@abcam.com