JavaScript is disabled in your browser. Please enable JavaScript to view this website.
AB313485

Anti-FOXN3 antibody [RP23040211]

Be the first to review this product! Submit a review

|

(0 Publication)

Rabbit Recombinant Monoclonal FOXN3 antibody. Suitable for ICC/IF, WB and reacts with Human samples. Immunogen corresponding to Synthetic Peptide within Human FOXN3.

View Alternative Names

C14orf116, CHES1, FOXN3, Forkhead box protein N3, Checkpoint suppressor 1

2 Images
Immunocytochemistry/ Immunofluorescence - Anti-FOXN3 antibody [RP23040211] (AB313485)
  • ICC/IF

Supplier Data

Immunocytochemistry/ Immunofluorescence - Anti-FOXN3 antibody [RP23040211] (AB313485)

Immunofluorescent analysis of Hep G2 cells fixed with 4% formaldehyde reconstituted in 1X PBS for 10 min at room temperature and permabilized using 0.1 % Triton X-100 in PBS for 15 min at room temperature labeling endogenous FOXN3 with ab313485 at 2µg/mL followed by Goat anti-Rabbit IgG (H+L) Secondary Antibody, Alexa Fluor 488 conjugate at 1/2000 dilution. Panel a) shows representative cells that were stained for detection and localization of FOXN3 protein (green), Panel b) is stained for nuclei (blue) using DAPI. Panel c) represents cytoskeletal F-actin staining using Alexa Fluor 555 Rhodamine Phalloidin at 1/300 dilution. Panel d) is a composite image of Panels a, b and c clearly demonstrating nuclear localization of FOXN3. Panel e) represents control cells with no primary antibody to assess background. The images were captured at 60X magnification.

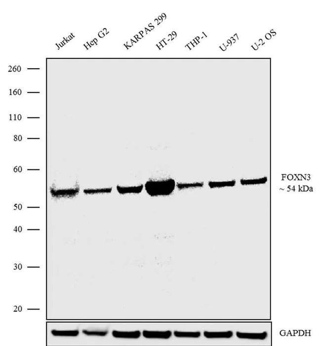
Western blot - Anti-FOXN3 Antibody [RP23040211] (AB313485)
  • WB

Supplier Data

Western blot - Anti-FOXN3 Antibody [RP23040211] (AB313485)

All lanes:

Western blot - Anti-FOXN3 Antibody [RP23040211] (ab313485) at 1 µg/mL

Lane 1:

Jurkat cell lysate at 30 µg

Lane 2:

HepG2 cell lysate at 30 µg

Lane 3:

KARPAS 299 cell lysate at 30 µg

Lane 4:

HT29 cell lysate at 30 µg

Lane 5:

THP1 cell lysate at 30 µg

Lane 6:

U937 cell lysate at 30 µg

Lane 7:

U2OS cell lysate at 30 µg

Secondary

All lanes:

Goat anti-Rabbit IgG (H+L) Secondary Antibody, HRP conjugate at 1/2500 dilution

Observed band size: 54 kDa

true

Key facts

Host species

Rabbit

Clonality

Monoclonal

Clone number

RP23040211

Isotype

IgG

Carrier free

No

Reacts with

Human

Applications

WB, ICC/IF

applications

Immunogen

Synthetic Peptide within Human FOXN3.

O00409

Reactivity data

{ "title": "Reactivity Data", "filters": { "stats": ["", "Species", "Dilution Info", "Notes"], "tabs": { "all-applications": {"fullname" : "All Applications", "shortname": "All Applications"}, "ICCIF" : {"fullname" : "Immunocytochemistry/ Immunofluorescence", "shortname":"ICC/IF"}, "WB" : {"fullname" : "Western blot", "shortname":"WB"} }, "product-promise": { "all": "all", "testedAndGuaranteed": "tested", "guaranteed": "expected", "predicted": "predicted", "notRecommended": "not-recommended" } }, "values": { "Human": { "ICCIF-species-checked": "testedAndGuaranteed", "ICCIF-species-dilution-info": "2 µg/mL", "ICCIF-species-notes": "<p></p>", "WB-species-checked": "testedAndGuaranteed", "WB-species-dilution-info": "1-2 µg/mL", "WB-species-notes": "<p></p>" } } }

Product details

What are recombinant multiclonals?
Recombinant multiclonals are a mixture of recombinant antibodies co-expressed from a library of heavy and light chains. They offer several advantages including:

  • - The sensitivity of polyclonal antibodies by recognising multiple epitopes
  • - High batch-to-batch consistency and reproducibility
  • - Improved sensitivity and specificity
  • - Long-term security of supply
  • - Animal-free batch production

View our range of recombinant multiclonal antibodies.

Properties and storage information

Form
Liquid
Purification technique
Affinity purification Protein A
Storage buffer
pH: 7.4 Preservative: 0.09% Sodium azide Constituents: PBS
Shipped at conditions
Blue Ice
Appropriate short-term storage conditions
+4°C
Appropriate long-term storage conditions
-20°C

Supplementary information

This supplementary information is collated from multiple sources and compiled automatically.

FOXN3 also known as Forkhead Box N3 is a transcription factor that regulates transcription of target genes. The protein belongs to the family of forkhead box transcription factors and possesses a conserved DNA-binding domain. FOXN3 has an approximate molecular weight of 74 kDa. It is expressed in various tissues including the liver heart and kidneys. This protein contributes significantly to cellular stress responses and developmental processes.
Biological function summary

FOXN3 modulates gene expression related to cell cycle control and apoptosis. It acts within a complex to influence the stability and transcriptional activity of other proteins. As part of the MLL complex FOXN3 co-regulates gene expression essential for hematopoietic stem cell maintenance. Through controlling specific target genes it plays a critical role in development and differentiation impacting both normal physiological processes and pathological conditions.

Pathways

FOXN3 is involved in the regulation of the p53 pathway a critical pathway for tumor suppression and cell cycle control. The protein collaborates with p53 to manage stress-induced transcriptional responses. In the NF-kB signaling pathway FOXN3 regulates immune and inflammatory responses positioning itself as an important mediator of immune functions. It interplays with proteins like MLL and p21 emphasizing its significance in these pathways.

FOXN3 associates with cancer particularly breast cancer contributing to its development and progression through aberrant regulation of cell cycle genes. Dysregulation of FOXN3 links to developmental disorders impacting genes that are essential during embryogenesis. In cancer FOXN3 interacts with proteins like BRCA1 amplifying the effects of its dysfunction in tumorigenesis.

Product protocols

For this product, it's our understanding that no specific protocols are required. You can visit:

Target data

Acts as a transcriptional repressor. May be involved in DNA damage-inducible cell cycle arrests (checkpoints).
See full target information FOXN3

Product promise

We are committed to supporting your work with high-quality reagents, and we're here for you every step of the way. In the unlikely event that one of our products does not perform as expected, you're protected by our Product Promise.
For full details, please see our Terms & Conditions

Please note: All products are 'FOR RESEARCH USE ONLY. NOT FOR USE IN DIAGNOSTIC OR THERAPEUTIC PROCEDURES'.

For licensing inquiries, please contact partnerships@abcam.com