JavaScript is disabled in your browser. Please enable JavaScript to view this website.
AB131339

Anti-FOXO1A (phospho S256) antibody

4

(7 Reviews)

|

(56 Publications)

Rabbit Polyclonal FOXO1A phospho S256 antibody. Suitable for WB, IHC-P, ICC/IF and reacts with Human samples. Cited in 56 publications. Immunogen corresponding to Synthetic Peptide within Human FOXO1 phospho S256 conjugated to Keyhole Limpet Haemocyanin.

View Alternative Names

FKHR, FOXO1A, FOXO1, Forkhead box protein O1, Forkhead box protein O1A, Forkhead in rhabdomyosarcoma

4 Images
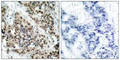
Immunohistochemistry (Formalin/PFA-fixed paraffin-embedded sections) - Anti-FOXO1A (phospho S256) antibody (AB131339)
  • IHC-P

Unknown

Immunohistochemistry (Formalin/PFA-fixed paraffin-embedded sections) - Anti-FOXO1A (phospho S256) antibody (AB131339)

Immunohistochemical analysis of paraffin-embedded Human breast carcinoma tissue using ab131339 at a 1/50 dilution, in the absence (left) and presence (right) of the blocking peptide.

Immunocytochemistry/ Immunofluorescence - Anti-FOXO1A (phospho S256) antibody (AB131339)
  • ICC/IF

Supplier Data

Immunocytochemistry/ Immunofluorescence - Anti-FOXO1A (phospho S256) antibody (AB131339)

Immunofluorescence analysis of methanol-fixed MCF7 cells using ab131339 at a 1/100 dilution.

Immunocytochemistry/ Immunofluorescence - Anti-FOXO1A (phospho S256) antibody (AB131339)
  • ICC/IF

Supplier Data

Immunocytochemistry/ Immunofluorescence - Anti-FOXO1A (phospho S256) antibody (AB131339)

Immunofluorescent analysis of formalin-fixed, paraffin-embedded human breast tissue with Anti-FOXO1A at 1/100 dilution. A Goat Anti-Rabbit IgG H&L (CY3) at 1/50 was used as secondary.

Western blot - Anti-FOXO1A (phospho S256) antibody (AB131339)
  • WB

Unknown

Western blot - Anti-FOXO1A (phospho S256) antibody (AB131339)

All lanes:

Western blot - Anti-FOXO1A (phospho S256) antibody (ab131339) at 1/500 dilution

Lane 1:

293 cell extracts

Lane 2:

293 cell extracts treated with serum

Predicted band size: 69 kDa

false

Key facts

Host species

Rabbit

Clonality

Polyclonal

Isotype

IgG

Carrier free

No

Reacts with

Human

Applications

ICC/IF, WB, IHC-P

applications

Immunogen

Synthetic Peptide within Human FOXO1 phospho S256 conjugated to Keyhole Limpet Haemocyanin. The exact immunogen used to generate this antibody is proprietary information.

Q12778

Reactivity data

{ "title": "Reactivity Data", "filters": { "stats": ["", "Species", "Dilution Info", "Notes"], "tabs": { "all-applications": {"fullname" : "All Applications", "shortname": "All Applications"}, "WB" : {"fullname" : "Western blot", "shortname":"WB"}, "IHCP" : {"fullname" : "Immunohistochemistry (Formalin/PFA-fixed paraffin-embedded sections)", "shortname":"IHC-P"}, "ICCIF" : {"fullname" : "Immunocytochemistry/ Immunofluorescence", "shortname":"ICC/IF"} }, "product-promise": { "all": "all", "testedAndGuaranteed": "tested", "guaranteed": "expected", "predicted": "predicted", "notRecommended": "not-recommended" } }, "values": { "Human": { "WB-species-checked": "testedAndGuaranteed", "WB-species-dilution-info": "1/500 - 1/1000", "WB-species-notes": "<p>Incubate membrane with diluted antibody in 5% non fatmilk, 1X TBS, 0.1% Tween 20 at 4 C, with gentle shaking, overnight.</p>", "IHCP-species-checked": "testedAndGuaranteed", "IHCP-species-dilution-info": "1/50 - 1/100", "IHCP-species-notes": "<p></p>", "ICCIF-species-checked": "testedAndGuaranteed", "ICCIF-species-dilution-info": "1/100 - 1/200", "ICCIF-species-notes": "<p></p>" } } }

Properties and storage information

Form
Liquid
Purification technique
Affinity purification Immunogen
Purification notes
ab131339 is purified by affinity-chromatography using an epitode-specific phosphopetide. Non-phoso specific antibodies are removed by chromatography using a non-phosphopeptide.
Storage buffer
pH: 7.4 Preservative: 0.02% Sodium azide Constituents: PBS, 50% Glycerol (glycerin, glycerine), 0.88% Sodium chloride
Shipped at conditions
Blue Ice
Appropriate short-term storage conditions
+4°C
Appropriate long-term storage conditions
-20°C
Storage information
Stable for 12 months at -20°C

Supplementary information

This supplementary information is collated from multiple sources and compiled automatically.

FOXO1A also known as forkhead box O1 FOXO1 or FOXO1 transcription factor is a protein with a molecular weight of approximately 70 kDa. It is an important transcription factor in the FOXO family responsible for regulating gene expression in response to environmental and physiological stimuli. FOXO1A predominantly localizes in the nucleus but can translocate to the cytoplasm under certain conditions. Expression of FOXO1A occurs in various tissues including liver adipose tissue and pancreatic islets indicating its broad functional roles in different organs.
Biological function summary

FOXO1A acts as a regulator of metabolic pathways apoptosis and cell cycle regulation. Its role in glucose metabolism stands out as a critical function where it influences insulin signaling and glucose homeostasis. FOXO1A can also form complexes with other transcription factors like PPARγ enhancing its regulatory capacity. Interactions within these complexes dictate the transcriptional outcomes influencing cellular responses to stress and growth signals.

Pathways

The FOXO1 transcription factor plays a critical role in the insulin signaling and PI3K-Akt pathway. These pathways are essential for maintaining energy balance and cellular survival. FOXO1A interacts with proteins like Akt which phosphorylates FOXO1A resulting in its cytoplasmic sequestration and subsequent inactivation. This regulation is vital for insulin-mediated glucose uptake and overall metabolic homeostasis preserving cellular functions under fluctuating nutrient conditions.

Aberrant FOXO1A activity is associated with type 2 diabetes and certain cancers. Dysregulation leads to impaired insulin signaling and glucose metabolism contributing to insulin resistance and hyperglycemia in diabetes. In cancer altered FOXO1A expression affects apoptosis and cell proliferation influencing tumor progression and survival. Associations with proteins such as Akt and PPARγ in these conditions further exemplify its network in disease mechanisms highlighting its potential as a therapeutic target.

Product protocols

For this product, it's our understanding that no specific protocols are required. You can visit:

Target data

Transcription factor that is the main target of insulin signaling and regulates metabolic homeostasis in response to oxidative stress (PubMed : 10358076, PubMed : 12228231, PubMed : 15220471, PubMed : 15890677, PubMed : 18356527, PubMed : 19221179, PubMed : 20543840, PubMed : 21245099). Binds to the insulin response element (IRE) with consensus sequence 5'-TT[G/A]TTTTG-3' and the related Daf-16 family binding element (DBE) with consensus sequence 5'-TT[G/A]TTTAC-3' (PubMed : 10358076). Activity suppressed by insulin (PubMed : 10358076). Main regulator of redox balance and osteoblast numbers and controls bone mass (By similarity). Orchestrates the endocrine function of the skeleton in regulating glucose metabolism (By similarity). Also acts as a key regulator of chondrogenic commitment of skeletal progenitor cells in response to lipid availability : when lipids levels are low, translocates to the nucleus and promotes expression of SOX9, which induces chondrogenic commitment and suppresses fatty acid oxidation (By similarity). Acts synergistically with ATF4 to suppress osteocalcin/BGLAP activity, increasing glucose levels and triggering glucose intolerance and insulin insensitivity (By similarity). Also suppresses the transcriptional activity of RUNX2, an upstream activator of osteocalcin/BGLAP (By similarity). Acts as an inhibitor of glucose sensing in pancreatic beta cells by acting as a transcription repressor and suppressing expression of PDX1 (By similarity). In hepatocytes, promotes gluconeogenesis by acting together with PPARGC1A and CEBPA to activate the expression of genes such as IGFBP1, G6PC1 and PCK1 (By similarity). Also promotes gluconeogenesis by directly promoting expression of PPARGC1A and G6PC1 (PubMed : 17024043). Important regulator of cell death acting downstream of CDK1, PKB/AKT1 and STK4/MST1 (PubMed : 18356527, PubMed : 19221179). Promotes neural cell death (PubMed : 18356527). Mediates insulin action on adipose tissue (By similarity). Regulates the expression of adipogenic genes such as PPARG during preadipocyte differentiation and, adipocyte size and adipose tissue-specific gene expression in response to excessive calorie intake (By similarity). Regulates the transcriptional activity of GADD45A and repair of nitric oxide-damaged DNA in beta-cells (By similarity). Required for the autophagic cell death induction in response to starvation or oxidative stress in a transcription-independent manner (PubMed : 20543840). Mediates the function of MLIP in cardiomyocytes hypertrophy and cardiac remodeling (By similarity). Positive regulator of apoptosis in cardiac smooth muscle cells as a result of its transcriptional activation of pro-apoptotic genes (PubMed : 19483080). Regulates endothelial cell (EC) viability and apoptosis in a PPIA/CYPA-dependent manner via transcription of CCL2 and BCL2L11 which are involved in EC chemotaxis and apoptosis (PubMed : 31063815).
See full target information FOXO1 phospho S256

Publications (56)

Recent publications for all applications. Explore the full list and refine your search

The Journal of international medical research 53:3000605231220807 PubMed39921429

2025

Curcumin inhibits growth and triggers apoptosis in human castration-resistant prostate cancer cells via IGF-1/PI3K/Akt pathway.

Applications

Unspecified application

Species

Unspecified reactive species

Chao Chen,Qiwu Wang,Jiwen Liu

Scientific reports 14:19948 PubMed39198693

2024

SIRT1 silencing ameliorates malignancy of non-small cell lung cancer via activating FOXO1.

Applications

Unspecified application

Species

Unspecified reactive species

Jiawei Chen,Kebin Chen,Shuai Zhang,Xiaopeng Huang

Frontiers in endocrinology 14:1202686 PubMed37720530

2023

Weight bearing training alleviates muscle atrophy and pyroptosis of middle-aged rats.

Applications

Unspecified application

Species

Unspecified reactive species

Pengyu Fu,Lijing Gong,Luyao Yang,Shuning Tang,Fangyuan Ma

International journal of molecular sciences 24: PubMed37298533

2023

Chronic Exposure to Chlorpyrifos Damages Thyroid Activity and Imbalances Hepatic Thyroid Hormones Signaling and Glucose Metabolism: Dependency of T3-FOXO1 Axis by Hyperglycemia.

Applications

Unspecified application

Species

Unspecified reactive species

Teresa Peluso,Valeria Nittoli,Carla Reale,Immacolata Porreca,Filomena Russo,Luca Roberto,Antonia Giacco,Elena Silvestri,Massimo Mallardo,Mario De Felice,Concetta Ambrosino

BMC complementary medicine and therapies 23:156 PubMed37173696

2023

Kaixin Jieyu Granule attenuates neuroinflammation-induced depressive-like behavior through TLR4/PI3K/AKT/FOXO1 pathway: a study of network pharmacology and experimental validation.

Applications

Unspecified application

Species

Unspecified reactive species

Manman Xu,Wujianwen Zhai,Ying Zhang,Juhua Pan,Jie Li,Shijing Huang

Cell death & disease 14:74 PubMed36720852

2023

SGK2 promotes prostate cancer metastasis by inhibiting ferroptosis via upregulating GPX4.

Applications

Unspecified application

Species

Unspecified reactive species

Lulin Cheng,Qingliu He,Bing Liu,Liang Chen,Fang Lv,Xuexiang Li,Yunxue Li,Chunyu Liu,Yarong Song,Yifei Xing

The Journal of biological chemistry 299:102950 PubMed36717080

2023

Activation of protein arginine methyltransferase 1 and subsequent extension of moth lifespan is effected by the ROS/JNK/CREB signaling axis.

Applications

Unspecified application

Species

Unspecified reactive species

Xiao-Shuai Zhang,Wen-Sheng Li,Wei-Hua Xu

International journal of experimental pathology 104:33-42 PubMed36576072

2022

Silencing of RhoC induces macrophage M1 polarization to inhibit migration and invasion in colon cancer via regulating the PTEN/FOXO1 pathway.

Applications

Unspecified application

Species

Unspecified reactive species

Bin Yang,Lihua Wang,Zhiying Tian

Journal of gastrointestinal oncology 13:2382-2392 PubMed36388699

2022

Atractylenolide I inhibited the development of malignant colorectal cancer cells and enhanced oxaliplatin sensitivity through the PDK1-FoxO1 axis.

Applications

Unspecified application

Species

Unspecified reactive species

Ye Sun,Yi Liu,Yun Cai,Pingping Han,Shan Hu,Lijun Cao

Journal of radiation research 64:33-43 PubMed36300343

2022

AKBA inhibits radiotherapy resistance in lung cancer by inhibiting maspin methylation and regulating the AKT/FOXO1/p21 axis.

Applications

Unspecified application

Species

Unspecified reactive species

Chun Gong,Wei Li,Jing Wu,Yao-Yao Li,Yi Ma,Li-Wen Tang
View all publications

Product promise

We are committed to supporting your work with high-quality reagents, and we're here for you every step of the way. In the unlikely event that one of our products does not perform as expected, you're protected by our Product Promise.
For full details, please see our Terms & Conditions

Please note: All products are 'FOR RESEARCH USE ONLY. NOT FOR USE IN DIAGNOSTIC OR THERAPEUTIC PROCEDURES'.

For licensing inquiries, please contact partnerships@abcam.com