JavaScript is disabled in your browser. Please enable JavaScript to view this website.
AB12162

Anti-FOXO3A antibody

4

(11 Reviews)

|

(85 Publications)

Rabbit Polyclonal FOXO3A antibody. Suitable for IHC-P, ICC/IF and reacts with Human samples. Cited in 85 publications. Immunogen corresponding to Synthetic Peptide within Human FOXO3 aa 650 to C-terminus conjugated to Keyhole Limpet Haemocyanin.

View Alternative Names

FKHRL1, FOXO3A, FOXO3, Forkhead box protein O3, AF6q21 protein, Forkhead in rhabdomyosarcoma-like 1

4 Images
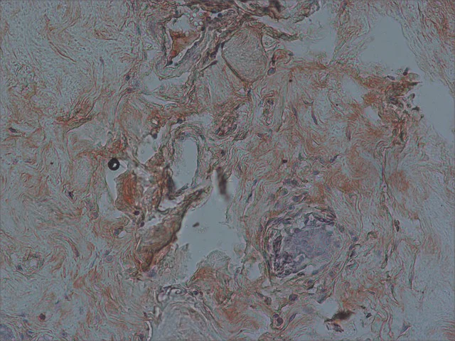
Immunohistochemistry (Formalin/PFA-fixed paraffin-embedded sections) - Anti-FOXO3A antibody (AB12162)
  • IHC-P

AbReview34433****

Immunohistochemistry (Formalin/PFA-fixed paraffin-embedded sections) - Anti-FOXO3A antibody (AB12162)

Immunohistochemical analysis of formalin-fixed, paraffin-embedded Human colon carcinoma tissue, staining FOXO3A with ab12162.

Tissue was fixed with formaldehyde and blocked with 1% serum for 1 hour at 24°C; antigen retrieval was by heat mediation in a citrate buffer. Samples were incubated with primary antibody (1/100 in diluent) for 12 hours at 4°C. A biotinylated goat anti-rabbit polyclonal IgG (1/200) was used as the secondary antibody.

This image is courtesy of an anonymous Abreview

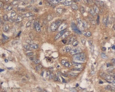
Immunohistochemistry (Formalin/PFA-fixed paraffin-embedded sections) - Anti-FOXO3A antibody (AB12162)
  • IHC-P

Unknown

Immunohistochemistry (Formalin/PFA-fixed paraffin-embedded sections) - Anti-FOXO3A antibody (AB12162)

Immunohistochemistry (Formalin/PFA-fixed paraffin-embedded sections) analysis of Human breast carcinoma tissue labelling FOXO3a with ab12162 at 10 μg/mL.

Immunocytochemistry/ Immunofluorescence - Anti-FOXO3A antibody (AB12162)
  • ICC/IF

AbReview37548****

Immunocytochemistry/ Immunofluorescence - Anti-FOXO3A antibody (AB12162)

ab12162 staining FOXO3A in Rat fibroblast cells by ICC/IF (Immunocytochemistry/immunofluorescence). Cells were fixed with paraformaldehyde, permeabilized with 0.03% Triton X-100 and blocked with 5% serum for 10 minutes at 25°C. Samples were incubated with primary antibody (1/300) for 1 hour at 25°C.

This image is courtesy of an anonymous Abreview

Immunocytochemistry/ Immunofluorescence - Anti-FOXO3A antibody (AB12162)
  • ICC/IF

Unknown

Immunocytochemistry/ Immunofluorescence - Anti-FOXO3A antibody (AB12162)

Immunocytochemistry/immunofluorescence analysis of human cervix carcinoma cells labelling FOXO3A with ab[12162 at 1/200 dilution.

Key facts

Host species

Rabbit

Clonality

Polyclonal

Isotype

IgG

Carrier free

No

Reacts with

Human

Applications

ICC/IF, IHC-P

applications

Immunogen

Synthetic Peptide within Human FOXO3 aa 650 to C-terminus conjugated to Keyhole Limpet Haemocyanin. The exact immunogen used to generate this antibody is proprietary information.

O43524

Reactivity data

{ "title": "Reactivity Data", "filters": { "stats": ["", "Species", "Dilution Info", "Notes"], "tabs": { "all-applications": {"fullname" : "All Applications", "shortname": "All Applications"}, "IHCP" : {"fullname" : "Immunohistochemistry (Formalin/PFA-fixed paraffin-embedded sections)", "shortname":"IHC-P"}, "ICCIF" : {"fullname" : "Immunocytochemistry/ Immunofluorescence", "shortname":"ICC/IF"} }, "product-promise": { "all": "all", "testedAndGuaranteed": "tested", "guaranteed": "expected", "predicted": "predicted", "notRecommended": "not-recommended" } }, "values": { "Human": { "IHCP-species-checked": "testedAndGuaranteed", "IHCP-species-dilution-info": "10 µg/mL", "IHCP-species-notes": "<p></p>", "ICCIF-species-checked": "testedAndGuaranteed", "ICCIF-species-dilution-info": "1/200", "ICCIF-species-notes": "<p></p>" }, "Rat": { "IHCP-species-checked": "predicted", "IHCP-species-dilution-info": "", "IHCP-species-notes": "", "ICCIF-species-checked": "predicted", "ICCIF-species-dilution-info": "", "ICCIF-species-notes": "" } } }

Product details

Storage in frost-free freezers is not recommended. If slight turbidity occurs upon prolonged storage, clarify the solution by centrifugation before use. Working dilutions should be discarded if not used within 12 hours.

Properties and storage information

Form
Liquid
Purification technique
Affinity purification Immunogen
Storage buffer
pH: 7.4 Preservative: 0.097% Sodium azide Constituents: 1% BSA, 0.0268% PBS
Shipped at conditions
Blue Ice
Appropriate short-term storage duration
1-2 weeks
Appropriate short-term storage conditions
+4°C
Appropriate long-term storage conditions
-20°C
Aliquoting information
Upon delivery aliquot
Storage information
Avoid freeze / thaw cycle

Supplementary information

This supplementary information is collated from multiple sources and compiled automatically.

FOXO3A also known as FOXO3 or 1e2 is a transcription factor with a molecular weight of approximately 71 kDa. It belongs to the Forkhead box O family of proteins. This protein plays an important role in the regulation of transcription in response to oxidative stress and growth stimuli. FOXO3A is expressed in a variety of tissues including liver muscle and brain where it contributes to a wide range of cellular processes related to stress resistance and metabolism. Scientists frequently study FOXO3A using techniques like FOXO3A ELISA and apply FOXO3A anticuerpos in research to understand its function more intricately.
Biological function summary

FOXO3A acts as a regulator of genes involved in cell cycle arrest apoptosis and DNA repair. It is not part of a simple protein complex but works closely with multiple factors to influence cellular homeostasis. Significantly FOXO3A controls the expression of Bcl-2 a protein important for cell survival and the protein p27 which is important for cell cycle control. FOXO3A's activity modulates cellular longevity and impacts stress responses highlighting its abundant biological functions.

Pathways

FOXO3A integrates into the PI3K/AKT and the insulin signaling pathways both essential for cellular metabolism and proliferation control. In the PI3K/AKT pathway FOXO3A functionally links with proteins such as AKT and PTEN where its activity can be inhibited by AKT-mediated phosphorylation. In doing so it supports a balance between cell survival and apoptosis allowing the cell to adjust to growth conditions and external stressors effectively.

FOXO3A is linked to cancer and neurodegenerative diseases. In cancer alterations in FOXO3A activity or expression can affect tumor growth and resistance to oxidative stress often involving interactions with proteins like MDM2. Similarly in neurodegenerative disorders such as Alzheimer's disease FOXO3A modifies responses to oxidative damage potentially tied to proteins like Tau. Both instances highlight the role of FOXO3A as a versatile modulator that can influence the progression and management of various diseases.

Product protocols

For this product, it's our understanding that no specific protocols are required. You can visit:

Target data

Transcriptional activator that recognizes and binds to the DNA sequence 5'-[AG]TAAA[TC]A-3' and regulates different processes, such as apoptosis and autophagy (PubMed : 10102273, PubMed : 16751106, PubMed : 21329882, PubMed : 30513302). Acts as a positive regulator of autophagy in skeletal muscle : in starved cells, enters the nucleus following dephosphorylation and binds the promoters of autophagy genes, such as GABARAP1L, MAP1LC3B and ATG12, thereby activating their expression, resulting in proteolysis of skeletal muscle proteins (By similarity). Triggers apoptosis in the absence of survival factors, including neuronal cell death upon oxidative stress (PubMed : 10102273, PubMed : 16751106). Participates in post-transcriptional regulation of MYC : following phosphorylation by MAPKAPK5, promotes induction of miR-34b and miR-34c expression, 2 post-transcriptional regulators of MYC that bind to the 3'UTR of MYC transcript and prevent its translation (PubMed : 21329882). In response to metabolic stress, translocates into the mitochondria where it promotes mtDNA transcription (PubMed : 23283301). In response to metabolic stress, translocates into the mitochondria where it promotes mtDNA transcription. Also acts as a key regulator of chondrogenic commitment of skeletal progenitor cells in response to lipid availability : when lipids levels are low, translocates to the nucleus and promotes expression of SOX9, which induces chondrogenic commitment and suppresses fatty acid oxidation (By similarity). Also acts as a key regulator of regulatory T-cells (Treg) differentiation by activating expression of FOXP3 (PubMed : 30513302).
See full target information FOXO3

Publications (85)

Recent publications for all applications. Explore the full list and refine your search

NPJ precision oncology 9:80 PubMed40119070

2025

ARRB2 promotes cervical cancer progression via stabilizing CDC25A mRNA through m6A-IGF2BP1-dependent manner.

Applications

Unspecified application

Species

Unspecified reactive species

Lijie Li,Jie Zeng,Mengying Liu,Hui Cheng,Yuyin He,Sili He,Chen Wang

Frontiers in molecular neuroscience 16:1210962 PubMed37547922

2023

expression promotes JNK-mediated neuronal death in response to reactive oxygen species.

Applications

Unspecified application

Species

Unspecified reactive species

Brenda García-Hernández,Julio Morán

Nature communications 14:505 PubMed36720864

2023

Proteogenomics of diffuse gliomas reveal molecular subtypes associated with specific therapeutic targets and immune-evasion mechanisms.

Applications

Unspecified application

Species

Unspecified reactive species

Yunzhi Wang,Rongkui Luo,Xuan Zhang,Hang Xiang,Bing Yang,Jinwen Feng,Mengjie Deng,Peng Ran,Akesu Sujie,Fan Zhang,Jiajun Zhu,Subei Tan,Tao Xie,Pin Chen,Zixiang Yu,Yan Li,Dongxian Jiang,Xiaobiao Zhang,Jian-Yuan Zhao,Yingyong Hou,Chen Ding

Discover. Oncology 14:1 PubMed36595102

2023

Inhibition of secretory leukocyte protease inhibitor (SLPI) promotes the PUMA-mediated apoptosis and chemosensitivity to cisplatin in colorectal cancer cells.

Applications

Unspecified application

Species

Unspecified reactive species

Zhijiang Wei,Guiying Liu,Rufu Jia,Wei Zhang,Li Li,Yuanyuan Zhang,Zhijing Wang,Xiyong Bai

Cell death & disease 13:1061 PubMed36539406

2022

Tubular β-catenin alleviates mitochondrial dysfunction and cell death in acute kidney injury.

Applications

Unspecified application

Species

Unspecified reactive species

Hongyu Li,Joseph C K Leung,Wai Han Yiu,Loretta Y Y Chan,Bin Li,Sarah W Y Lok,Rui Xue,Yixin Zou,Kar Neng Lai,Sydney C W Tang

Experimental & molecular medicine 54:1076-1085 PubMed35915222

2022

MeCP2 inhibits ischemic neuronal injury by enhancing methylation of the FOXO3a promoter to repress the SPRY2-ZEB1 axis.

Applications

Unspecified application

Species

Unspecified reactive species

Lei Meng,Bin Feng,Liming Luan,Zhihao Fang,Guangyu Zhao

Proceedings of the National Academy of Sciences of the United States of America 119:e2118285119 PubMed35271390

2022

A coherent FOXO3-SNAI2 feed-forward loop in autophagy.

Applications

Unspecified application

Species

Unspecified reactive species

Xiaowei Guo,Zhuojie Li,Xiaojie Zhu,Meixiao Zhan,Chenxi Wu,Xiang Ding,Kai Peng,Wenzhe Li,Xianjue Ma,Zhongwei Lv,Ligong Lu,Lei Xue

Cell reports 38:110284 PubMed35081341

2022

Macrophages activated by hepatitis B virus have distinct metabolic profiles and suppress the virus via IL-1β to downregulate PPARα and FOXO3.

Applications

Unspecified application

Species

Unspecified reactive species

Yumei Li,Yanwen Zhu,Shu Feng,Yuji Ishida,Tsu-Pei Chiu,Takeshi Saito,Sean Wang,David K Ann,Jing-Hsiung James Ou

Nature aging 1:1162-1174 PubMed35036927

2021

Telomerase Reverse Transcriptase Preserves Neuron Survival and Cognition in Alzheimer's Disease Models.

Applications

Unspecified application

Species

Unspecified reactive species

Hong Seok Shim,James W Horner,Chang-Jiun Wu,Jiexi Li,Zheng D Lan,Shan Jiang,Xueping Xu,Wen-Hao Hsu,Tomasz Zal,Ivonne I Flores,Pingna Deng,Yuan-Ta Lin,Li-Huei Tsai,Y Alan Wang,Ronald A DePinho

Journal of animal science and biotechnology 12:117 PubMed34872591

2021

GR-mediated transcriptional regulation of mA metabolic genes contributes to diet-induced fatty liver in hens.

Applications

Unspecified application

Species

Unspecified reactive species

Yue Feng,Yanlin Li,Wenduo Jiang,Yun Hu,Yimin Jia,Ruqian Zhao
View all publications

Product promise

We are committed to supporting your work with high-quality reagents, and we're here for you every step of the way. In the unlikely event that one of our products does not perform as expected, you're protected by our Product Promise.
For full details, please see our Terms & Conditions

Please note: All products are 'FOR RESEARCH USE ONLY. NOT FOR USE IN DIAGNOSTIC OR THERAPEUTIC PROCEDURES'.

For licensing inquiries, please contact partnerships@abcam.com