JavaScript is disabled in your browser. Please enable JavaScript to view this website.
AB70314

Anti-FOXO3A antibody

0

(1 Review)

|

(4 Publications)

Rabbit Polyclonal FOXO3A antibody. Suitable for IP, WB, IHC-P and reacts with Human, Mouse samples. Cited in 4 publications. Immunogen corresponding to Synthetic Peptide within Human FOXO3.

View Alternative Names

FKHRL1, FOXO3A, FOXO3, Forkhead box protein O3, AF6q21 protein, Forkhead in rhabdomyosarcoma-like 1

3 Images
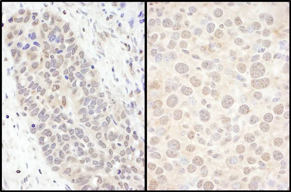
Immunohistochemistry (Formalin/PFA-fixed paraffin-embedded sections) - Anti-FOXO3A antibody (AB70314)
  • IHC-P

Unknown

Immunohistochemistry (Formalin/PFA-fixed paraffin-embedded sections) - Anti-FOXO3A antibody (AB70314)

Immunohistochemistry (Formalin/PFA-fixed paraffin-embedded sections) analysis of human ovarian carcinoma (left) and mouse renal cell carcinoma (right) tissues labelling FOXO3A with ab70314 at 1/500 (2µg/ml). Detection : DAB.

Immunoprecipitation - Anti-FOXO3A antibody (AB70314)
  • IP

Supplier Data

Immunoprecipitation - Anti-FOXO3A antibody (AB70314)

Lane 1 : MCF7 Cell Lysate Immunoprecipitated with ab70314 at 6ug/mg.

Lane 2 : MCF7 Cell Lysate Immunoprecipitated with ab70315 6ug/mg

Lane 3 : MCF7 Cell Lysate Immunoprecipitated with Control IgG at 6ug/mg

Western Blot carried out using ab70314 at 1ug/ml

Decction : ECL for 3 minutes.

All lanes:

Immunoprecipitation - Anti-FOXO3A antibody (ab70314) at 1 µg/mL

Lane 1:

MCF7 Cell Lysate Immunoprecipitated with ab70314 at 6ug/mg

Lane 2:

MCF7 Cell Lysate Immunoprecipitated with <a href='/en-us/products/primary-antibodies/foxo3a-antibody-ab70315'>ab70315</a> 6ug/mg

Lane 3:

MCF7 Cell Lysate Immunoprecipitated with Control IgG at 6ug/mg

Predicted band size: 71 kDa

true

Exposure time: 3min

Western blot - Anti-FOXO3A antibody (AB70314)
  • WB

Supplier Data

Western blot - Anti-FOXO3A antibody (AB70314)

All lanes:

Western blot - Anti-FOXO3A antibody (ab70314) at 0.4 µg/mL

Lane 1:

293T cell Lysate at 50 µg

Lane 2:

Jurkat cell Lysate at 50 µg

Lane 3:

Mouse TCMK cell Lysate at 50 µg

Predicted band size: 71 kDa

true

Exposure time: 3min

Key facts

Host species

Rabbit

Clonality

Polyclonal

Isotype

IgG

Carrier free

No

Reacts with

Mouse, Human

Applications

IHC-P, WB, IP

applications

Immunogen

Synthetic Peptide within Human FOXO3. The exact immunogen used to generate this antibody is proprietary information.

O43524

Reactivity data

{ "title": "Reactivity Data", "filters": { "stats": ["", "Species", "Dilution Info", "Notes"], "tabs": { "all-applications": {"fullname" : "All Applications", "shortname": "All Applications"}, "IP" : {"fullname" : "Immunoprecipitation", "shortname":"IP"}, "WB" : {"fullname" : "Western blot", "shortname":"WB"}, "IHCP" : {"fullname" : "Immunohistochemistry (Formalin/PFA-fixed paraffin-embedded sections)", "shortname":"IHC-P"} }, "product-promise": { "all": "all", "testedAndGuaranteed": "tested", "guaranteed": "expected", "predicted": "predicted", "notRecommended": "not-recommended" } }, "values": { "Human": { "IP-species-checked": "testedAndGuaranteed", "IP-species-dilution-info": "2-5 µg/mg of lysate", "IP-species-notes": "<p></p>", "WB-species-checked": "testedAndGuaranteed", "WB-species-dilution-info": "1/5000 - 1/15000", "WB-species-notes": "<p></p>", "IHCP-species-checked": "testedAndGuaranteed", "IHCP-species-dilution-info": "1/200 - 1/1000", "IHCP-species-notes": "<p></p>" }, "Mouse": { "IP-species-checked": "guaranteed", "IP-species-dilution-info": "", "IP-species-notes": "", "WB-species-checked": "guaranteed", "WB-species-dilution-info": "", "WB-species-notes": "", "IHCP-species-checked": "testedAndGuaranteed", "IHCP-species-dilution-info": "1/200 - 1/1000", "IHCP-species-notes": "<p></p>" }, "Chimpanzee": { "IP-species-checked": "predicted", "IP-species-dilution-info": "", "IP-species-notes": "", "WB-species-checked": "predicted", "WB-species-dilution-info": "", "WB-species-notes": "", "IHCP-species-checked": "predicted", "IHCP-species-dilution-info": "", "IHCP-species-notes": "" }, "Cow": { "IP-species-checked": "predicted", "IP-species-dilution-info": "", "IP-species-notes": "", "WB-species-checked": "predicted", "WB-species-dilution-info": "", "WB-species-notes": "", "IHCP-species-checked": "predicted", "IHCP-species-dilution-info": "", "IHCP-species-notes": "" }, "Dog": { "IP-species-checked": "predicted", "IP-species-dilution-info": "", "IP-species-notes": "", "WB-species-checked": "predicted", "WB-species-dilution-info": "", "WB-species-notes": "", "IHCP-species-checked": "predicted", "IHCP-species-dilution-info": "", "IHCP-species-notes": "" }, "Elephant": { "IP-species-checked": "predicted", "IP-species-dilution-info": "", "IP-species-notes": "", "WB-species-checked": "predicted", "WB-species-dilution-info": "", "WB-species-notes": "", "IHCP-species-checked": "predicted", "IHCP-species-dilution-info": "", "IHCP-species-notes": "" }, "Gorilla": { "IP-species-checked": "predicted", "IP-species-dilution-info": "", "IP-species-notes": "", "WB-species-checked": "predicted", "WB-species-dilution-info": "", "WB-species-notes": "", "IHCP-species-checked": "predicted", "IHCP-species-dilution-info": "", "IHCP-species-notes": "" }, "Horse": { "IP-species-checked": "predicted", "IP-species-dilution-info": "", "IP-species-notes": "", "WB-species-checked": "predicted", "WB-species-dilution-info": "", "WB-species-notes": "", "IHCP-species-checked": "predicted", "IHCP-species-dilution-info": "", "IHCP-species-notes": "" }, "Orangutan": { "IP-species-checked": "predicted", "IP-species-dilution-info": "", "IP-species-notes": "", "WB-species-checked": "predicted", "WB-species-dilution-info": "", "WB-species-notes": "", "IHCP-species-checked": "predicted", "IHCP-species-dilution-info": "", "IHCP-species-notes": "" }, "Pig": { "IP-species-checked": "predicted", "IP-species-dilution-info": "", "IP-species-notes": "", "WB-species-checked": "predicted", "WB-species-dilution-info": "", "WB-species-notes": "", "IHCP-species-checked": "predicted", "IHCP-species-dilution-info": "", "IHCP-species-notes": "" }, "Rhesus monkey": { "IP-species-checked": "predicted", "IP-species-dilution-info": "", "IP-species-notes": "", "WB-species-checked": "predicted", "WB-species-dilution-info": "", "WB-species-notes": "", "IHCP-species-checked": "predicted", "IHCP-species-dilution-info": "", "IHCP-species-notes": "" }, "Sheep": { "IP-species-checked": "predicted", "IP-species-dilution-info": "", "IP-species-notes": "", "WB-species-checked": "predicted", "WB-species-dilution-info": "", "WB-species-notes": "", "IHCP-species-checked": "predicted", "IHCP-species-dilution-info": "", "IHCP-species-notes": "" } } }

Properties and storage information

Form
Liquid
Purification technique
Affinity purification Immunogen
Storage buffer
pH: 7 - 8 Preservative: 0.09% Sodium azide Constituents: PBS, 1.815% Tris, 1.764% Sodium citrate
Shipped at conditions
Blue Ice
Appropriate short-term storage conditions
+4°C
Appropriate long-term storage conditions
+4°C
Aliquoting information
Upon delivery aliquot
Storage information
Avoid freeze / thaw cycle

Supplementary information

This supplementary information is collated from multiple sources and compiled automatically.

FOXO3A also known as FOXO3 or 1e2 is a transcription factor with a molecular weight of approximately 71 kDa. It belongs to the Forkhead box O family of proteins. This protein plays an important role in the regulation of transcription in response to oxidative stress and growth stimuli. FOXO3A is expressed in a variety of tissues including liver muscle and brain where it contributes to a wide range of cellular processes related to stress resistance and metabolism. Scientists frequently study FOXO3A using techniques like FOXO3A ELISA and apply FOXO3A anticuerpos in research to understand its function more intricately.
Biological function summary

FOXO3A acts as a regulator of genes involved in cell cycle arrest apoptosis and DNA repair. It is not part of a simple protein complex but works closely with multiple factors to influence cellular homeostasis. Significantly FOXO3A controls the expression of Bcl-2 a protein important for cell survival and the protein p27 which is important for cell cycle control. FOXO3A's activity modulates cellular longevity and impacts stress responses highlighting its abundant biological functions.

Pathways

FOXO3A integrates into the PI3K/AKT and the insulin signaling pathways both essential for cellular metabolism and proliferation control. In the PI3K/AKT pathway FOXO3A functionally links with proteins such as AKT and PTEN where its activity can be inhibited by AKT-mediated phosphorylation. In doing so it supports a balance between cell survival and apoptosis allowing the cell to adjust to growth conditions and external stressors effectively.

FOXO3A is linked to cancer and neurodegenerative diseases. In cancer alterations in FOXO3A activity or expression can affect tumor growth and resistance to oxidative stress often involving interactions with proteins like MDM2. Similarly in neurodegenerative disorders such as Alzheimer's disease FOXO3A modifies responses to oxidative damage potentially tied to proteins like Tau. Both instances highlight the role of FOXO3A as a versatile modulator that can influence the progression and management of various diseases.

Product protocols

For this product, it's our understanding that no specific protocols are required. You can visit:

Target data

Transcriptional activator that recognizes and binds to the DNA sequence 5'-[AG]TAAA[TC]A-3' and regulates different processes, such as apoptosis and autophagy (PubMed : 10102273, PubMed : 16751106, PubMed : 21329882, PubMed : 30513302). Acts as a positive regulator of autophagy in skeletal muscle : in starved cells, enters the nucleus following dephosphorylation and binds the promoters of autophagy genes, such as GABARAP1L, MAP1LC3B and ATG12, thereby activating their expression, resulting in proteolysis of skeletal muscle proteins (By similarity). Triggers apoptosis in the absence of survival factors, including neuronal cell death upon oxidative stress (PubMed : 10102273, PubMed : 16751106). Participates in post-transcriptional regulation of MYC : following phosphorylation by MAPKAPK5, promotes induction of miR-34b and miR-34c expression, 2 post-transcriptional regulators of MYC that bind to the 3'UTR of MYC transcript and prevent its translation (PubMed : 21329882). In response to metabolic stress, translocates into the mitochondria where it promotes mtDNA transcription (PubMed : 23283301). In response to metabolic stress, translocates into the mitochondria where it promotes mtDNA transcription. Also acts as a key regulator of chondrogenic commitment of skeletal progenitor cells in response to lipid availability : when lipids levels are low, translocates to the nucleus and promotes expression of SOX9, which induces chondrogenic commitment and suppresses fatty acid oxidation (By similarity). Also acts as a key regulator of regulatory T-cells (Treg) differentiation by activating expression of FOXP3 (PubMed : 30513302).
See full target information FOXO3

Publications (4)

Recent publications for all applications. Explore the full list and refine your search

Autophagy 21:1019-1038 PubMed39723606

2024

Regulation of N-degron recognin-mediated autophagy by the SARS-CoV-2 PLpro ubiquitin deconjugase.

Applications

Unspecified application

Species

Unspecified reactive species

Carlos Ayala-Torres,Jiangnan Liu,Nico P Dantuma,Maria G Masucci

Aging cell 21:e13677 PubMed35907249

2022

p300 arrests intervertebral disc degeneration by regulating the FOXO3/Sirt1/Wnt/β-catenin axis.

Applications

Unspecified application

Species

Unspecified reactive species

Yingjie Hao,Zhinan Ren,Lei Yu,Guangduo Zhu,Panke Zhang,Jian Zhu,Shuyan Cao

Journal of assisted reproduction and genetics 39:1739-1747 PubMed35819576

2022

The effect of mTOR activation and PTEN inhibition on human primordial follicle activation in ovarian tissue culture.

Applications

Unspecified application

Species

Unspecified reactive species

Zeinab Ghezelayagh,Naeimeh Sadat Abtahi,Mojtaba Rezazadeh Valojerdi,Bita Ebrahimi

Experimental and therapeutic medicine 19:1288-1296 PubMed32010301

2020

miR-155 promotes fibroblast-like synoviocyte proliferation and inflammatory cytokine secretion in rheumatoid arthritis by targeting FOXO3a.

Applications

Unspecified application

Species

Unspecified reactive species

Yaxi Wang,Tianying Feng,Shasha Duan,Yilu Shi,Shuling Li,Xiaoshan Zhang,Lei Zhang
View all publications

Product promise

We are committed to supporting your work with high-quality reagents, and we're here for you every step of the way. In the unlikely event that one of our products does not perform as expected, you're protected by our Product Promise.
For full details, please see our Terms & Conditions

Please note: All products are 'FOR RESEARCH USE ONLY. NOT FOR USE IN DIAGNOSTIC OR THERAPEUTIC PROCEDURES'.

For licensing inquiries, please contact partnerships@abcam.com