JavaScript is disabled in your browser. Please enable JavaScript to view this website.
AB70315

Anti-FOXO3A antibody

4

(1 Review)

|

(26 Publications)

Rabbit Polyclonal FOXO3A antibody. Suitable for IP, WB, IHC-P and reacts with Human, Mouse samples. Cited in 26 publications. Immunogen corresponding to Synthetic Peptide within Human FOXO3.

View Alternative Names

FKHRL1, FOXO3A, FOXO3, Forkhead box protein O3, AF6q21 protein, Forkhead in rhabdomyosarcoma-like 1

3 Images
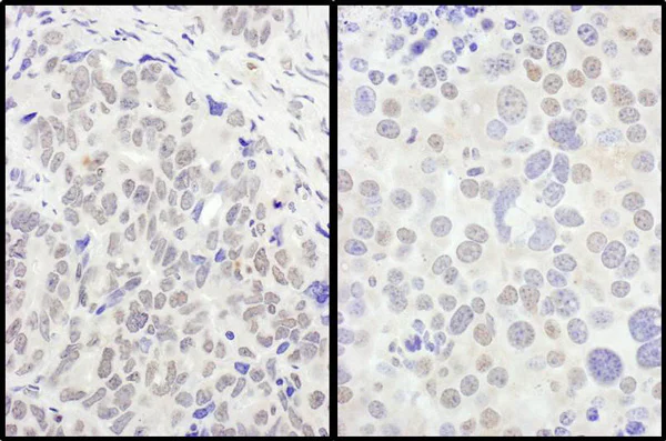
Immunohistochemistry (Formalin/PFA-fixed paraffin-embedded sections) - Anti-FOXO3A antibody (AB70315)
  • IHC-P

Unknown

Immunohistochemistry (Formalin/PFA-fixed paraffin-embedded sections) - Anti-FOXO3A antibody (AB70315)

Immunohistochemistry (Formalin/PFA-fixed paraffin-embedded sections) analysis of human ovarian carcinoma (left) and mouse renal cell carcinoma (right) tissues labelling FOXO3A with ab70315 at 1/1000 (1µg/ml). Detection : DAB.

Western blot - Anti-FOXO3A antibody (AB70315)
  • WB

Supplier Data

Western blot - Anti-FOXO3A antibody (AB70315)

All lanes:

Western blot - Anti-FOXO3A antibody (ab70315) at 0.1 µg/mL

Lane 1:

HeLa cell Lysate at 50 µg

Lane 2:

293T cell Lysate at 50 µg

Lane 3:

Jurkat cell Lysate at 50 µg

Lane 4:

Mouse TCMK-1 cell Lysate at 50 µg

Lane 5:

Mouse NIH3T3 cell Lysate at 50 µg

Predicted band size: 71 kDa

true

Exposure time: 3min

Immunoprecipitation - Anti-FOXO3A antibody (AB70315)
  • IP

Supplier Data

Immunoprecipitation - Anti-FOXO3A antibody (AB70315)

Lane 1 : MCF7 cell Lysate immunoprecipitated with ab70314 at 6 ug/mg of Lysate

Lane 2 : MCF7 cell Lysate immunoprecipitated with ab70315 at 6 ug/mg of Lysate

Lane 3 : MCF7 cell Lysate immunoprecipitated with Control IgG at 6 ug/mg of Lysate

Western Blot carried out with ab70315 at 1ug/ml.

Dectection by ECL for 3 minutes.

All lanes:

Immunoprecipitation - Anti-FOXO3A antibody (ab70315)

Predicted band size: 71 kDa

true

Exposure time: 3min

Key facts

Host species

Rabbit

Clonality

Polyclonal

Isotype

IgG

Carrier free

No

Reacts with

Mouse, Human

Applications

IHC-P, WB, IP

applications

Immunogen

Synthetic Peptide within Human FOXO3. The exact immunogen used to generate this antibody is proprietary information.

O43524

Reactivity data

{ "title": "Reactivity Data", "filters": { "stats": ["", "Species", "Dilution Info", "Notes"], "tabs": { "all-applications": {"fullname" : "All Applications", "shortname": "All Applications"}, "IP" : {"fullname" : "Immunoprecipitation", "shortname":"IP"}, "WB" : {"fullname" : "Western blot", "shortname":"WB"}, "IHCP" : {"fullname" : "Immunohistochemistry (Formalin/PFA-fixed paraffin-embedded sections)", "shortname":"IHC-P"} }, "product-promise": { "all": "all", "testedAndGuaranteed": "tested", "guaranteed": "expected", "predicted": "predicted", "notRecommended": "not-recommended" } }, "values": { "Human": { "IP-species-checked": "testedAndGuaranteed", "IP-species-dilution-info": "2-5 µg/mg of lysate", "IP-species-notes": "<p></p>", "WB-species-checked": "testedAndGuaranteed", "WB-species-dilution-info": "1/2000 - 1/10000", "WB-species-notes": "<p></p>", "IHCP-species-checked": "testedAndGuaranteed", "IHCP-species-dilution-info": "1/500 - 1/2000", "IHCP-species-notes": "<p></p>" }, "Mouse": { "IP-species-checked": "guaranteed", "IP-species-dilution-info": "", "IP-species-notes": "", "WB-species-checked": "guaranteed", "WB-species-dilution-info": "", "WB-species-notes": "", "IHCP-species-checked": "testedAndGuaranteed", "IHCP-species-dilution-info": "1/500 - 1/2000", "IHCP-species-notes": "<p></p>" }, "Rat": { "IP-species-checked": "predicted", "IP-species-dilution-info": "", "IP-species-notes": "", "WB-species-checked": "predicted", "WB-species-dilution-info": "", "WB-species-notes": "", "IHCP-species-checked": "predicted", "IHCP-species-dilution-info": "", "IHCP-species-notes": "" }, "Chicken": { "IP-species-checked": "predicted", "IP-species-dilution-info": "", "IP-species-notes": "", "WB-species-checked": "predicted", "WB-species-dilution-info": "", "WB-species-notes": "", "IHCP-species-checked": "predicted", "IHCP-species-dilution-info": "", "IHCP-species-notes": "" }, "Chimpanzee": { "IP-species-checked": "predicted", "IP-species-dilution-info": "", "IP-species-notes": "", "WB-species-checked": "predicted", "WB-species-dilution-info": "", "WB-species-notes": "", "IHCP-species-checked": "predicted", "IHCP-species-dilution-info": "", "IHCP-species-notes": "" }, "Cow": { "IP-species-checked": "predicted", "IP-species-dilution-info": "", "IP-species-notes": "", "WB-species-checked": "predicted", "WB-species-dilution-info": "", "WB-species-notes": "", "IHCP-species-checked": "predicted", "IHCP-species-dilution-info": "", "IHCP-species-notes": "" }, "Dog": { "IP-species-checked": "predicted", "IP-species-dilution-info": "", "IP-species-notes": "", "WB-species-checked": "predicted", "WB-species-dilution-info": "", "WB-species-notes": "", "IHCP-species-checked": "predicted", "IHCP-species-dilution-info": "", "IHCP-species-notes": "" }, "Gorilla": { "IP-species-checked": "predicted", "IP-species-dilution-info": "", "IP-species-notes": "", "WB-species-checked": "predicted", "WB-species-dilution-info": "", "WB-species-notes": "", "IHCP-species-checked": "predicted", "IHCP-species-dilution-info": "", "IHCP-species-notes": "" }, "Guinea pig": { "IP-species-checked": "predicted", "IP-species-dilution-info": "", "IP-species-notes": "", "WB-species-checked": "predicted", "WB-species-dilution-info": "", "WB-species-notes": "", "IHCP-species-checked": "predicted", "IHCP-species-dilution-info": "", "IHCP-species-notes": "" }, "Horse": { "IP-species-checked": "predicted", "IP-species-dilution-info": "", "IP-species-notes": "", "WB-species-checked": "predicted", "WB-species-dilution-info": "", "WB-species-notes": "", "IHCP-species-checked": "predicted", "IHCP-species-dilution-info": "", "IHCP-species-notes": "" }, "Orangutan": { "IP-species-checked": "predicted", "IP-species-dilution-info": "", "IP-species-notes": "", "WB-species-checked": "predicted", "WB-species-dilution-info": "", "WB-species-notes": "", "IHCP-species-checked": "predicted", "IHCP-species-dilution-info": "", "IHCP-species-notes": "" }, "Pig": { "IP-species-checked": "predicted", "IP-species-dilution-info": "", "IP-species-notes": "", "WB-species-checked": "predicted", "WB-species-dilution-info": "", "WB-species-notes": "", "IHCP-species-checked": "predicted", "IHCP-species-dilution-info": "", "IHCP-species-notes": "" }, "Rabbit": { "IP-species-checked": "predicted", "IP-species-dilution-info": "", "IP-species-notes": "", "WB-species-checked": "predicted", "WB-species-dilution-info": "", "WB-species-notes": "", "IHCP-species-checked": "predicted", "IHCP-species-dilution-info": "", "IHCP-species-notes": "" }, "Rhesus monkey": { "IP-species-checked": "predicted", "IP-species-dilution-info": "", "IP-species-notes": "", "WB-species-checked": "predicted", "WB-species-dilution-info": "", "WB-species-notes": "", "IHCP-species-checked": "predicted", "IHCP-species-dilution-info": "", "IHCP-species-notes": "" }, "Sheep": { "IP-species-checked": "predicted", "IP-species-dilution-info": "", "IP-species-notes": "", "WB-species-checked": "predicted", "WB-species-dilution-info": "", "WB-species-notes": "", "IHCP-species-checked": "predicted", "IHCP-species-dilution-info": "", "IHCP-species-notes": "" }, "Turkey": { "IP-species-checked": "predicted", "IP-species-dilution-info": "", "IP-species-notes": "", "WB-species-checked": "predicted", "WB-species-dilution-info": "", "WB-species-notes": "", "IHCP-species-checked": "predicted", "IHCP-species-dilution-info": "", "IHCP-species-notes": "" } } }

Properties and storage information

Form
Liquid
Purification technique
Affinity purification Immunogen
Storage buffer
pH: 7 - 8 Preservative: 0.09% Sodium azide Constituents: PBS, 1.815% Tris, 1.764% Sodium citrate
Shipped at conditions
Blue Ice
Appropriate short-term storage conditions
+4°C
Appropriate long-term storage conditions
-20°C
Aliquoting information
Upon delivery aliquot
Storage information
Avoid freeze / thaw cycle

Supplementary information

This supplementary information is collated from multiple sources and compiled automatically.

FOXO3A also known as FOXO3 or 1e2 is a transcription factor with a molecular weight of approximately 71 kDa. It belongs to the Forkhead box O family of proteins. This protein plays an important role in the regulation of transcription in response to oxidative stress and growth stimuli. FOXO3A is expressed in a variety of tissues including liver muscle and brain where it contributes to a wide range of cellular processes related to stress resistance and metabolism. Scientists frequently study FOXO3A using techniques like FOXO3A ELISA and apply FOXO3A anticuerpos in research to understand its function more intricately.
Biological function summary

FOXO3A acts as a regulator of genes involved in cell cycle arrest apoptosis and DNA repair. It is not part of a simple protein complex but works closely with multiple factors to influence cellular homeostasis. Significantly FOXO3A controls the expression of Bcl-2 a protein important for cell survival and the protein p27 which is important for cell cycle control. FOXO3A's activity modulates cellular longevity and impacts stress responses highlighting its abundant biological functions.

Pathways

FOXO3A integrates into the PI3K/AKT and the insulin signaling pathways both essential for cellular metabolism and proliferation control. In the PI3K/AKT pathway FOXO3A functionally links with proteins such as AKT and PTEN where its activity can be inhibited by AKT-mediated phosphorylation. In doing so it supports a balance between cell survival and apoptosis allowing the cell to adjust to growth conditions and external stressors effectively.

FOXO3A is linked to cancer and neurodegenerative diseases. In cancer alterations in FOXO3A activity or expression can affect tumor growth and resistance to oxidative stress often involving interactions with proteins like MDM2. Similarly in neurodegenerative disorders such as Alzheimer's disease FOXO3A modifies responses to oxidative damage potentially tied to proteins like Tau. Both instances highlight the role of FOXO3A as a versatile modulator that can influence the progression and management of various diseases.

Product protocols

For this product, it's our understanding that no specific protocols are required. You can visit:

Target data

Transcriptional activator that recognizes and binds to the DNA sequence 5'-[AG]TAAA[TC]A-3' and regulates different processes, such as apoptosis and autophagy (PubMed : 10102273, PubMed : 16751106, PubMed : 21329882, PubMed : 30513302). Acts as a positive regulator of autophagy in skeletal muscle : in starved cells, enters the nucleus following dephosphorylation and binds the promoters of autophagy genes, such as GABARAP1L, MAP1LC3B and ATG12, thereby activating their expression, resulting in proteolysis of skeletal muscle proteins (By similarity). Triggers apoptosis in the absence of survival factors, including neuronal cell death upon oxidative stress (PubMed : 10102273, PubMed : 16751106). Participates in post-transcriptional regulation of MYC : following phosphorylation by MAPKAPK5, promotes induction of miR-34b and miR-34c expression, 2 post-transcriptional regulators of MYC that bind to the 3'UTR of MYC transcript and prevent its translation (PubMed : 21329882). In response to metabolic stress, translocates into the mitochondria where it promotes mtDNA transcription (PubMed : 23283301). In response to metabolic stress, translocates into the mitochondria where it promotes mtDNA transcription. Also acts as a key regulator of chondrogenic commitment of skeletal progenitor cells in response to lipid availability : when lipids levels are low, translocates to the nucleus and promotes expression of SOX9, which induces chondrogenic commitment and suppresses fatty acid oxidation (By similarity). Also acts as a key regulator of regulatory T-cells (Treg) differentiation by activating expression of FOXP3 (PubMed : 30513302).
See full target information FOXO3

Publications (26)

Recent publications for all applications. Explore the full list and refine your search

Neuroreport 36:719-727 PubMed40736326

2025

Ubiquitin-specific peptidase 30-mediated deubiquitination of forkhead box O3 promotes the progression of subarachnoid hemorrhage by regulating cGAS/STING pathway.

Applications

Unspecified application

Species

Unspecified reactive species

Guiqiang Zhang,Wenfeng Xu

NPJ precision oncology 9:80 PubMed40119070

2025

ARRB2 promotes cervical cancer progression via stabilizing CDC25A mRNA through m6A-IGF2BP1-dependent manner.

Applications

Unspecified application

Species

Unspecified reactive species

Lijie Li,Jie Zeng,Mengying Liu,Hui Cheng,Yuyin He,Sili He,Chen Wang

Animal reproduction 21:e20240027 PubMed39494127

2024

Withanolide derivatives: natural compounds with anticancer potential offer low toxicity to fertility and ovarian follicles in mice.

Applications

Unspecified application

Species

Unspecified reactive species

Gaby Judith Quispe Palomino,Homero Ygnacio Celiz,Francisco Denilson Rodrigues Gomes,Gildas Mbemya Tetaping,Marco Aurélio Schiavo Novaes,Késya Amanda Dantas Rocha,Ramon da Silva Raposo,Rebeca Magalhães Pedrosa Rocha,Ana Beatriz Graça Duarte,Otilia Deusdênia Loiola Pessoa,José Ricardo Figueiredo,Naiza Arcângela Ribeiro de Sá,Ana Paula Ribeiro Rodrigues

Cell biology and toxicology 40:22 PubMed38630149

2024

circRNA-PTPN4 mediated regulation of FOXO3 and ZO-1 expression: implications for blood-brain barrier integrity and cognitive function in uremic encephalopathy.

Applications

Unspecified application

Species

Unspecified reactive species

Yuhan Liu,Yanling Qin,Yanning Zhang

Frontiers in immunology 14:1225530 PubMed37575245

2023

Resveratrol induces apoptosis by modulating the reciprocal crosstalk between p53 and Sirt-1 in the CRC tumor microenvironment.

Applications

Unspecified application

Species

Unspecified reactive species

Aranka Brockmueller,Constanze Buhrmann,Parviz Shayan,Mehdi Shakibaei

GeroScience 46:1107-1127 PubMed37420111

2023

SIRT1 safeguards adipogenic differentiation by orchestrating anti-oxidative responses and suppressing cellular senescence.

Applications

Unspecified application

Species

Unspecified reactive species

An Yu,Ruofan Yu,Haiying Liu,Chenliang Ge,Weiwei Dang

Cellular and molecular life sciences : CMLS 80:156 PubMed37208565

2023

CSNK1D-mediated phosphorylation of HNRNPA2B1 induces miR-25-3p/miR-93-5p maturation to promote prostate cancer cell proliferation and migration through mA-dependent manner.

Applications

Unspecified application

Species

Unspecified reactive species

Feng Qi,Wenyi Shen,Xiyi Wei,Yifei Cheng,Fan Xu,Yuxiao Zheng,Lu Li,Chao Qin,Xiao Li

International journal of molecular medicine 51: PubMed37026516

2023

Pro‑differentiating compounds for human intervertebral disc cells are present in Violina pumpkin leaf extracts.

Applications

Unspecified application

Species

Unspecified reactive species

Elisabetta Lambertini,Letizia Penolazzi,Maria Pina Notarangelo,Serena Fiorito,Francesco Epifano,Assunta Pandolfi,Roberta Piva

Pharmaceuticals (Basel, Switzerland) 16: PubMed36986573

2023

FOXO3-Activated circFGFBP1 Inhibits Extracellular Matrix Degradation and Nucleus Pulposus Cell Death via miR-9-5p/BMP2 Axis in Intervertebral Disc Degeneration In Vivo and In Vitro.

Applications

Unspecified application

Species

Unspecified reactive species

Yanlin Tan,Xiaobin Wang,Yi Zhang,Zhehao Dai,Jing Li,Chuning Dong,Xingwang Yao,Chang Lu,Fei Chen

Journal of cardiovascular pharmacology 81:150-164 PubMed36607630

2023

HDAC Inhibitors Alleviate Uric Acid-Induced Vascular Endothelial Cell Injury by Way of the HDAC6/FGF21/PI3K/AKT Pathway.

Applications

Unspecified application

Species

Unspecified reactive species

Kaihao Wang,Youhong Zhang,Min Zhou,Yipeng Du,Peixin Li,Chang Guan,Zheng Huang
View all publications

Product promise

We are committed to supporting your work with high-quality reagents, and we're here for you every step of the way. In the unlikely event that one of our products does not perform as expected, you're protected by our Product Promise.
For full details, please see our Terms & Conditions

Please note: All products are 'FOR RESEARCH USE ONLY. NOT FOR USE IN DIAGNOSTIC OR THERAPEUTIC PROCEDURES'.

For licensing inquiries, please contact partnerships@abcam.com