JavaScript is disabled in your browser. Please enable JavaScript to view this website.
AB47278

Anti-FOXO4/AFX (phospho S197) antibody

4

(1 Review)

|

(2 Publications)

Rabbit Polyclonal FOXO4/AFX phospho S197 antibody. Suitable for WB, IHC-P, ICC/IF and reacts with Human samples. Cited in 2 publications. Immunogen corresponding to Synthetic Peptide within Human FOXO4 phospho S197 aa 150-250.

View Alternative Names

AFX, AFX1, MLLT7, FOXO4, Forkhead box protein O4, Fork head domain transcription factor AFX1

3 Images
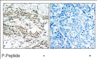
Immunohistochemistry (Formalin/PFA-fixed paraffin-embedded sections) - Anti-FOXO4/AFX (phospho S197) antibody (AB47278)
  • IHC-P

Unknown

Immunohistochemistry (Formalin/PFA-fixed paraffin-embedded sections) - Anti-FOXO4/AFX (phospho S197) antibody (AB47278)

This image shows human breast carcinoma stained with ab47781 at 1/50 dilution. Right hand image : tissue was treated with immunogenic peptide, left hand image : untreated.

Immunocytochemistry/ Immunofluorescence - Anti-FOXO4/AFX (phospho S197) antibody (AB47278)
  • ICC/IF

Unknown

Immunocytochemistry/ Immunofluorescence - Anti-FOXO4/AFX (phospho S197) antibody (AB47278)

ICC/IF image of ab47278 stained HeLa cells. The cells were 4% PFA fixed (10 min) and then incubated in 1%BSA/10% normal goat serum/0.3M glycine in 0.1% PBS-Tween for 1h to permeabilise the cells and block non-specific protein-protein interactions. The cells were then incubated with the antibody (ab47278, 1μg/ml) overnight at +4°C. The secondary antibody (green) was Alexa Fluor® 488 goat anti-rabbit IgG (H+L) used at a 1/1000 dilution for 1h. Alexa Fluor® 594 WGA was used to label plasma membranes (red) at a 1/200 dilution for 1h. DAPI was used to stain the cell nuclei (blue) at a concentration of 1.43μM.

Western blot - Anti-FOXO4/AFX (phospho S197) antibody (AB47278)
  • WB

Unknown

Western blot - Anti-FOXO4/AFX (phospho S197) antibody (AB47278)

Peptide - +

All lanes:

Western blot - Anti-FOXO4/AFX (phospho S197) antibody (ab47278) at 1/500 dilution

Lane 1:

Extracts from 293 cells. at 30 µg

Lane 2:

Extracts from 293 cells. Immunizing peptide 1ug/mL at 30 µg

Predicted band size: 53 kDa

false

Key facts

Host species

Rabbit

Clonality

Polyclonal

Isotype

IgG

Carrier free

No

Reacts with

Human

Applications

ICC/IF, WB, IHC-P

applications

Immunogen

Synthetic Peptide within Human FOXO4 phospho S197 aa 150-250. The exact immunogen used to generate this antibody is proprietary information.

P98177

Reactivity data

{ "title": "Reactivity Data", "filters": { "stats": ["", "Species", "Dilution Info", "Notes"], "tabs": { "all-applications": {"fullname" : "All Applications", "shortname": "All Applications"}, "WB" : {"fullname" : "Western blot", "shortname":"WB"}, "IHCP" : {"fullname" : "Immunohistochemistry (Formalin/PFA-fixed paraffin-embedded sections)", "shortname":"IHC-P"}, "ICCIF" : {"fullname" : "Immunocytochemistry/ Immunofluorescence", "shortname":"ICC/IF"} }, "product-promise": { "all": "all", "testedAndGuaranteed": "tested", "guaranteed": "expected", "predicted": "predicted", "notRecommended": "not-recommended" } }, "values": { "Human": { "WB-species-checked": "testedAndGuaranteed", "WB-species-dilution-info": "1/500 - 1/1000", "WB-species-notes": "<p></p>", "IHCP-species-checked": "testedAndGuaranteed", "IHCP-species-dilution-info": "", "IHCP-species-notes": "<p></p>", "ICCIF-species-checked": "testedAndGuaranteed", "ICCIF-species-dilution-info": "1-5 µg/mL", "ICCIF-species-notes": "<p></p>" } } }

Properties and storage information

Form
Liquid
Purification technique
Affinity purification Immunogen
Purification notes
The antibody against non-phosphopeptide was removed by chromatography using non-phosphopeptide corresponding to the phosphorylation site.
Storage buffer
pH: 7.4 Preservative: 0.02% Sodium azide Constituents: PBS, 50% Glycerol (glycerin, glycerine), 0.87% Sodium chloride
Shipped at conditions
Blue Ice
Appropriate short-term storage conditions
+4°C
Appropriate long-term storage conditions
-20°C
Storage information
Stable for 12 months at -20°C

Supplementary information

This supplementary information is collated from multiple sources and compiled automatically.

FOXO4 also known as AFX is part of the FoxO family of transcription factors and weighs about 74 kDa. It operates as an important player in transcriptional regulation by binding to specific DNA sequences. This protein modulates gene expression linked to apoptosis cell cycle regulation and oxidative stress resistance. FOXO4 commonly expresses in tissues like the liver skeletal muscle and adipose tissue where it carries out critical cellular functions.
Biological function summary

This protein influences processes essential for cell survival and metabolism. FOXO4 forms part of the larger forkhead box family of transcription factors. Inside cells it regulates genes involved in mechanisms such as gluconeogenesis and immune responses. It can also interact with other proteins like 14-3-3 which helps control its nuclear-cytoplasmic shuttling impacting its activity.

Pathways

FOXO4 becomes an integral part of the insulin signaling and oxidative stress response pathways. In the insulin pathway FOXO4 activity suppresses in response to insulin signals that trigger the PI3K/Akt pathway. Akt phosphorylates FOXO4 disallowing it from entering the nucleus. FOXO4 relates closely with FOXO1 and FOXO3 within these pathways where their coordinated activities help maintain energy homeostasis and cellular stress responses.

FOXO4 involvement becomes apparent in conditions such as diabetes and cancer. In diabetes disrupted insulin signaling impacts FOXO4 activity impairing glucose metabolism. In cancer FOXO4's role in cell cycle arrest and apoptosis associates it with tumor suppression and progression. Its interaction with proteins like p53 influences cellular responses to oncogenic stress marking FOXO4 as a significant factor in oncological research.

Product protocols

For this product, it's our understanding that no specific protocols are required. You can visit:

Target data

Transcription factor involved in the regulation of the insulin signaling pathway. Binds to insulin-response elements (IREs) and can activate transcription of IGFBP1. Down-regulates expression of HIF1A and suppresses hypoxia-induced transcriptional activation of HIF1A-modulated genes. Also involved in negative regulation of the cell cycle. Involved in increased proteasome activity in embryonic stem cells (ESCs) by activating expression of PSMD11 in ESCs, leading to enhanced assembly of the 26S proteasome, followed by higher proteasome activity.
See full target information FOXO4 phospho S197

Publications (2)

Recent publications for all applications. Explore the full list and refine your search

Journal of neuropathology and experimental neurology 84:276-285 PubMed39907307

2025

Aberrant accumulation of phosphorylated BRCA1 in brainstem-type and cortical-type Lewy bodies in Lewy body disease.

Applications

Unspecified application

Species

Unspecified reactive species

Masataka Nakamura,Aya Murakami,Dennis W Dickson,Yusuke Yakushiji

International journal of biological sciences 18:5154-5167 PubMed35982907

2022

Role of PCK2 in the proliferation of vascular smooth muscle cells in neointimal hyperplasia.

Applications

Unspecified application

Species

Unspecified reactive species

Dai Sik Ko,Junho Kang,Hye Jin Heo,Eun Kyoung Kim,Kihun Kim,Jin Mo Kang,YunJae Jung,Seung Eun Baek,Yun Hak Kim
View all publications

Product promise

We are committed to supporting your work with high-quality reagents, and we're here for you every step of the way. In the unlikely event that one of our products does not perform as expected, you're protected by our Product Promise.
For full details, please see our Terms & Conditions

Please note: All products are 'FOR RESEARCH USE ONLY. NOT FOR USE IN DIAGNOSTIC OR THERAPEUTIC PROCEDURES'.

For licensing inquiries, please contact partnerships@abcam.com