JavaScript is disabled in your browser. Please enable JavaScript to view this website.
AB16645

Anti-FOXP1 antibody

4

(22 Reviews)

|

(126 Publications)

Anti-FOXP1 antibody (ab16645) is a rabbit polyclonal antibody detecting FOXP1 in Western Blot, IHC-P. Suitable for Mouse.

- Over 100 publications
- Trusted since 2006

View Alternative Names

HSPC215, FOXP1, Forkhead box protein P1, Mac-1-regulated forkhead, MFH

3 Images
Immunohistochemistry (PFA perfusion fixed frozen sections) - Anti-FOXP1 antibody (AB16645)
  • IHC-FoFr

Collaborator

Immunohistochemistry (PFA perfusion fixed frozen sections) - Anti-FOXP1 antibody (AB16645)

ab16645 was tested in IHC of formalin fixed sections from mouse (over two weeks of age) brain. Antigen retrieval was in citrate buffer and blocking was in 1% BSA. The primary antibody was incubated at a dilution of 1/200 overnight at 4 degrees celsius. The secondary antibody was a biotin conjugated anti-rabbit IgG.

This image is courtesy of Shunyou Wang, Ph.D.

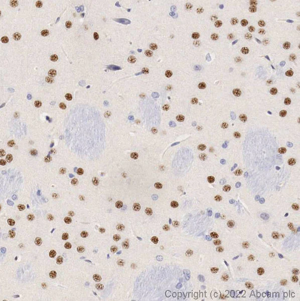
Immunohistochemistry (Formalin/PFA-fixed paraffin-embedded sections) - Anti-FOXP1 antibody (AB16645)
  • IHC-P

Lab

Immunohistochemistry (Formalin/PFA-fixed paraffin-embedded sections) - Anti-FOXP1 antibody (AB16645)

Paraffin-embedded mouse brain tissue stained for FOXP1 using ab16645 in immunohistochemical analysis.

Western blot - Anti-FOXP1 antibody (AB16645)
  • WB

Unknown

Western blot - Anti-FOXP1 antibody (AB16645)

All lanes:

Western blot - Anti-FOXP1 antibody (ab16645) at 1/5000 dilution

Lane 1:

Lysate from e12.5 whole mouse embryo FoxP1 +/- at 30 µg

Lane 2:

Lysate from e12.5 whole mouse embryo FoxP1 -/- at 30 µg

Predicted band size: 75 kDa

Observed band size: 45 kDa,50 kDa,65 kDa,82 kDa,85 kDa

true

Key facts

Host species

Rabbit

Clonality

Polyclonal

Isotype

IgG

Carrier free

No

Reacts with

Mouse

Applications

IHC-P, IHC-FoFr, WB

applications

Immunogen

The exact immunogen used to generate this antibody is proprietary information.

Specificity

Replenishment batches of our polyclonal antibody, ab16645 are tested in IHC-P. Previous batches were additionally validated in IHC-FoFr and WB. These applications are still expected to work and are covered by our Abpromise guarantee. You may also be interested in our alternative recombinant antibody, ab134055.

Reactivity data

{ "title": "Reactivity Data", "filters": { "stats": ["", "Species", "Dilution Info", "Notes"], "tabs": { "all-applications": {"fullname" : "All Applications", "shortname": "All Applications"}, "WB" : {"fullname" : "Western blot", "shortname":"WB"}, "IHCFoFr" : {"fullname" : "Immunohistochemistry (PFA perfusion fixed frozen sections)", "shortname":"IHC-FoFr"}, "IHCP" : {"fullname" : "Immunohistochemistry (Formalin/PFA-fixed paraffin-embedded sections)", "shortname":"IHC-P"} }, "product-promise": { "all": "all", "testedAndGuaranteed": "tested", "guaranteed": "expected", "predicted": "predicted", "notRecommended": "not-recommended" } }, "values": { "Human": { "WB-species-checked": "predicted", "WB-species-dilution-info": "", "WB-species-notes": "", "IHCFoFr-species-checked": "predicted", "IHCFoFr-species-dilution-info": "", "IHCFoFr-species-notes": "", "IHCP-species-checked": "predicted", "IHCP-species-dilution-info": "", "IHCP-species-notes": "" }, "Mouse": { "WB-species-checked": "testedAndGuaranteed", "WB-species-dilution-info": "1/5000", "WB-species-notes": "<p>ab16645 recognises the different isoforms of FOXP1 in Jurkat cell lysate (see review for further details).</p>", "IHCFoFr-species-checked": "testedAndGuaranteed", "IHCFoFr-species-dilution-info": "", "IHCFoFr-species-notes": "<p></p>", "IHCP-species-checked": "testedAndGuaranteed", "IHCP-species-dilution-info": "0.1 µg/mL", "IHCP-species-notes": "<p></p> Perform heat-mediated antigen retrieval with citrate buffer pH 6 before commencing with IHC staining protocol." }, "Rat": { "WB-species-checked": "predicted", "WB-species-dilution-info": "", "WB-species-notes": "", "IHCFoFr-species-checked": "predicted", "IHCFoFr-species-dilution-info": "", "IHCFoFr-species-notes": "", "IHCP-species-checked": "predicted", "IHCP-species-dilution-info": "", "IHCP-species-notes": "" }, "Chicken": { "WB-species-checked": "predicted", "WB-species-dilution-info": "", "WB-species-notes": "", "IHCFoFr-species-checked": "predicted", "IHCFoFr-species-dilution-info": "", "IHCFoFr-species-notes": "", "IHCP-species-checked": "predicted", "IHCP-species-dilution-info": "", "IHCP-species-notes": "" }, "Dog": { "WB-species-checked": "predicted", "WB-species-dilution-info": "", "WB-species-notes": "", "IHCFoFr-species-checked": "predicted", "IHCFoFr-species-dilution-info": "", "IHCFoFr-species-notes": "", "IHCP-species-checked": "predicted", "IHCP-species-dilution-info": "", "IHCP-species-notes": "" }, "Xenopus laevis": { "WB-species-checked": "predicted", "WB-species-dilution-info": "", "WB-species-notes": "", "IHCFoFr-species-checked": "predicted", "IHCFoFr-species-dilution-info": "", "IHCFoFr-species-notes": "", "IHCP-species-checked": "predicted", "IHCP-species-dilution-info": "", "IHCP-species-notes": "" } } }

Product details

What is this antibody validated in?
Anti-FOXP1 antibody (ab16645) is a rabbit polyclonal antibody and is validated for use in Western Blot (WB), Immunohistochemistry (IHC-P) in Mouse samples.

What is the molecular weight of FOXP1?
Anti-FOXP1 (ab16645) specifically detects a band for FOXP1 (UniProt: Q9H334) at a molecular weight of 75kDa.

Trusted by the scientific community
Anti-FOXP1 (ab16645) was first used in a scientific publication in 2006 and has been cited over 100 times in peer-reviewed journals.

Reviewed by scientists
Anti-FOXP1 (ab16645) has over 20 independent reviews from customers.

Properties and storage information

Form
Liquid
Purification technique
Affinity purification Immunogen
Storage buffer
pH: 7.4 Preservative: 0.02% Sodium azide Constituents: PBS, 1% BSA
Shipped at conditions
Blue Ice
Appropriate short-term storage duration
1-2 weeks
Appropriate short-term storage conditions
+4°C
Appropriate long-term storage conditions
-20°C
Aliquoting information
Upon delivery aliquot
Storage information
Avoid freeze / thaw cycle

Supplementary information

This supplementary information is collated from multiple sources and compiled automatically.

FOXP1 also known as forkhead box P1 is a transcription factor that belongs to the forkhead box (FOX) family. This protein weighs approximately 75-80 kDa and is expressed in a variety of tissues including the brain heart and lung. It plays a role in regulating gene expression acting as a transcriptional repressor or activator depending on the context. FOXP1 modulates several developmental processes through its interaction with DNA influencing cellular differentiation and proliferation. Its activity is vital in embryonic development and in maintaining the function of certain adult tissues.
Biological function summary

This transcription factor functions in the regulation of gene expression associated with neurodevelopment cardiac growth and immune responses. FOXP1 often forms a complex with other transcription factors such as FOXP2 and FOXP4 which enhances its regulatory roles. These interactions allow it to control various genetic programs that are important in the maturation and specification of different cell types. Moreover FOXP1 contributes to the modulation of B-cell development and function highlighting its importance in immune system regulation.

Pathways

FOXP1 takes part in several key signaling pathways including the Wnt signaling pathway and the TGF-beta pathway. The Wnt signaling pathway relates FOXP1 to Β-catenin influencing the expression of genes involved in cell proliferation and differentiation. In the TGF-beta pathway its interactions with SMAD proteins underline its function in cellular processes such as apoptosis and epithelial–mesenchymal transition. These pathways emphasize FOXP1's contribution to controlling cell growth and development across different biological contexts.

Disruptions in the function of this transcription factor have been linked to conditions like intellectual disability and certain types of cancer including lymphoma. The relationship between FOXP1 and proteins such as BCL2 in lymphoma highlights its role in tumorigenesis and progression. Additionally mutations affecting FOXP1 can disturb its interaction with other forkhead family proteins leading to neurodevelopmental disorders that impact cognitive abilities and behavior. Understanding these connections provides insights into how FOXP1's altered activity can contribute to disease pathology.

Product protocols

For this product, it's our understanding that no specific protocols are required. You can visit:

Target data

Transcriptional repressor (PubMed : 18347093, PubMed : 26647308). Can act with CTBP1 to synergistically repress transcription but CTPBP1 is not essential (By similarity). Plays an important role in the specification and differentiation of lung epithelium. Acts cooperatively with FOXP4 to regulate lung secretory epithelial cell fate and regeneration by restricting the goblet cell lineage program; the function may involve regulation of AGR2. Essential transcriptional regulator of B-cell development. Involved in regulation of cardiac muscle cell proliferation. Involved in the columnar organization of spinal motor neurons. Promotes the formation of the lateral motor neuron column (LMC) and the preganglionic motor column (PGC) and is required for respective appropriate motor axon projections. The segment-appropriate generation of spinal cord motor columns requires cooperation with other Hox proteins. Can regulate PITX3 promoter activity; may promote midbrain identity in embryonic stem cell-derived dopamine neurons by regulating PITX3. Negatively regulates the differentiation of T follicular helper cells T(FH)s. Involved in maintenance of hair follicle stem cell quiescence; the function probably involves regulation of FGF18 (By similarity). Represses transcription of various pro-apoptotic genes and cooperates with NF-kappa B-signaling in promoting B-cell expansion by inhibition of caspase-dependent apoptosis (PubMed : 25267198). Binds to CSF1R promoter elements and is involved in regulation of monocyte differentiation and macrophage functions; repression of CSF1R in monocytes seems to involve NCOR2 as corepressor (PubMed : 15286807, PubMed : 18347093, PubMed : 18799727). Involved in endothelial cell proliferation, tube formation and migration indicative for a role in angiogenesis; the role in neovascularization seems to implicate suppression of SEMA5B (PubMed : 24023716). Can negatively regulate androgen receptor signaling (PubMed : 18640093). Acts as a transcriptional activator of the FBXL7 promoter; this activity is regulated by AURKA (PubMed : 28218735).. Isoform 8. Involved in transcriptional regulation in embryonic stem cells (ESCs). Stimulates expression of transcription factors that are required for pluripotency and decreases expression of differentiation-associated genes. Has distinct DNA-binding specifities as compared to the canonical form and preferentially binds DNA with the sequence 5'-CGATACAA-3' (or closely related sequences) (PubMed : 21924763). Promotes ESC self-renewal and pluripotency (By similarity).
See full target information FOXP1

Publications (126)

Recent publications for all applications. Explore the full list and refine your search

Scientific reports 15:34813 PubMed41053290

2025

An integrated transcriptomic approach for identifying enhancers in limb motor pools.

Applications

Unspecified application

Species

Unspecified reactive species

In Seo Yeo,Dojin Jeong,Yunjeong Lee,Jae-Woo Ahn,Se-Eun Bae,Mi-Ryoung Song

Bio-protocol 15:e5363 PubMed40655414

2025

Derivation and Culture of Enriched Phrenic-Like Motor Neurons From Human iPSCs.

Applications

Unspecified application

Species

Unspecified reactive species

Louise Thiry,Julien Sirois,Thomas M Durcan,Stefano Stifani

Nature communications 16:2187 PubMed40038298

2025

Distinct gene regulatory dynamics drive skeletogenic cell fate convergence during vertebrate embryogenesis.

Applications

Unspecified application

Species

Unspecified reactive species

Menghan Wang,Ana Di Pietro-Torres,Christian Feregrino,Maëva Luxey,Chloé Moreau,Sabrina Fischer,Antoine Fages,Danilo Ritz,Patrick Tschopp

Disease models & mechanisms 18: PubMed39882631

2025

Modelling a pathological GSX2 variant that selectively alters DNA binding reveals hypomorphic mouse brain defects.

Applications

Unspecified application

Species

Unspecified reactive species

Laura Tweedie,Matthew R Riccetti,Brittany Cain,Shenyue Qin,Joseph Salomone,Jordan A Webb,Amy Riesenberg,Lisa A Ehrman,Ronald R Waclaw,Rhett A Kovall,Brian Gebelein,Kenneth Campbell

The Journal of biological chemistry 300:107922 PubMed39454960

2024

DNA damage-induced p53 downregulates expression of RAG1 through a negative feedback loop involving miR-34a and FOXP1.

Applications

Unspecified application

Species

Unspecified reactive species

Katarina Ochodnicka-Mackovicova,Martine van Keimpema,Marcel Spaargaren,Carel J M van Noesel,Jeroen E J Guikema

Nature microbiology 9:1540-1554 PubMed38806670

2024

Multiple sclerosis patient-derived spontaneous B cells have distinct EBV and host gene expression profiles in active disease.

Applications

Unspecified application

Species

Unspecified reactive species

Samantha S Soldan,Chenhe Su,Maria Chiara Monaco,Leena Yoon,Toshitha Kannan,Urvi Zankharia,Rishi J Patel,Jayaraju Dheekollu,Olga Vladimirova,Jack W Dowling,Simon Thebault,Natalie Brown,Annaliese Clauze,Frances Andrada,Andries Feder,Paul J Planet,Andrew Kossenkov,Daniel E Schäffer,Joan Ohayon,Noam Auslander,Steven Jacobson,Paul M Lieberman

Neuropsychopharmacology : official publication of the American College of Neuropsychopharmacology 49:1569-1579 PubMed38570645

2024

The rostromedial tegmental nucleus gates fat overconsumption through ventral tegmental area output in male rats.

Applications

Unspecified application

Species

Unspecified reactive species

Florian Schoukroun,Katia Befort,Romain Bourdy

iScience 27:109207 PubMed38433925

2024

LncRNA is a regulator for harmonizing maturity and resilient functionality in spinal motor neurons.

Applications

Unspecified application

Species

Unspecified reactive species

Ho-Chiang Hsu,Sheng-Ping Hsu,Fang-Yu Hsu,Mien Chang,Jun-An Chen

Journal of Huntington's disease 13:41-53 PubMed38427495

2024

Mono- and Biallelic Inactivation of Huntingtin Gene in Patient-Specific Induced Pluripotent Stem Cells Reveal HTT Roles in Striatal Development and Neuronal Functions.

Applications

Unspecified application

Species

Unspecified reactive species

Morgane Louessard,Michel Cailleret,Margot Jarrige,Julie Bigarreau,Sophie Lenoir,Noëlle Dufour,Maria Rey,Frédéric Saudou,Nicole Deglon,Anselme L Perrier

Nature communications 15:1289 PubMed38346995

2024

The secondary somatosensory cortex gates mechanical and heat sensitivity.

Applications

Unspecified application

Species

Unspecified reactive species

Daniel G Taub,Qiufen Jiang,Francesca Pietrafesa,Junfeng Su,Aloe Carroll,Caitlin Greene,Michael R Blanchard,Aakanksha Jain,Mahmoud El-Rifai,Alexis Callen,Katherine Yager,Clara Chung,Zhigang He,Chinfei Chen,Clifford J Woolf
View all publications

Product promise

We are committed to supporting your work with high-quality reagents, and we're here for you every step of the way. In the unlikely event that one of our products does not perform as expected, you're protected by our Product Promise.
For full details, please see our Terms & Conditions

Please note: All products are 'FOR RESEARCH USE ONLY. NOT FOR USE IN DIAGNOSTIC OR THERAPEUTIC PROCEDURES'.

For licensing inquiries, please contact partnerships@abcam.com