JavaScript is disabled in your browser. Please enable JavaScript to view this website.
AB314489

Anti-FOXP1 antibody [EPR26484-79] - BSA and Azide free

Be the first to review this product! Submit a review

|

(0 Publication)

Rabbit Recombinant Monoclonal FOXP1 antibody. Carrier free. Suitable for WB, IHC-P, IP and reacts with Human, Mouse, Rat samples.

View Alternative Names

HSPC215, FOXP1, Forkhead box protein P1, Mac-1-regulated forkhead, MFH

11 Images
Immunohistochemistry (Formalin/PFA-fixed paraffin-embedded sections) - Anti-FOXP1 antibody [EPR26484-79] - BSA and Azide free (AB314489)
  • IHC-P

Supplier Data

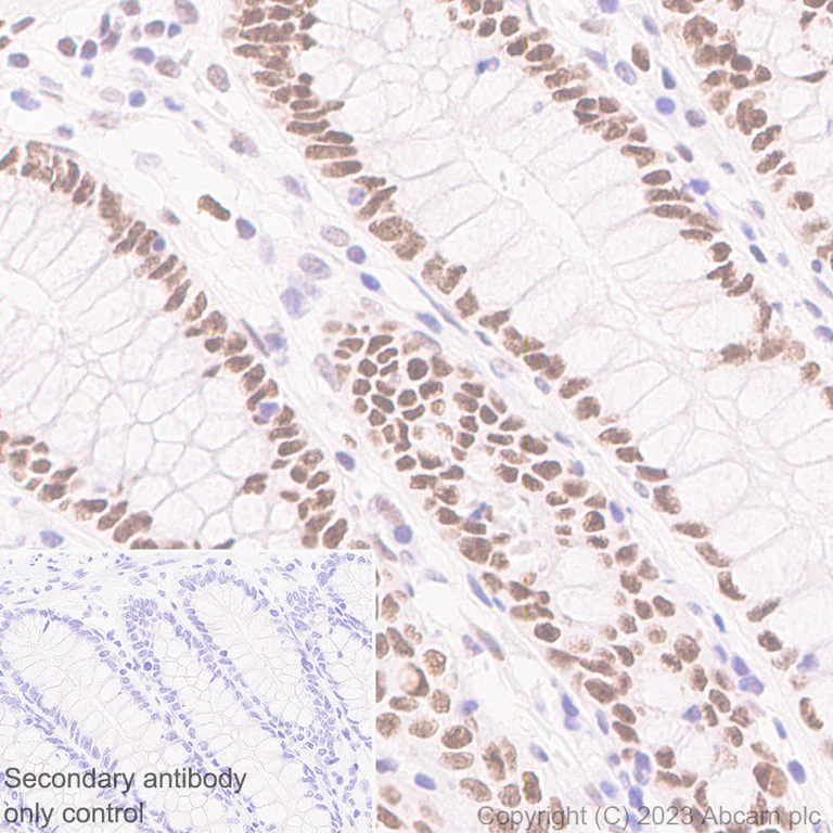
Immunohistochemistry (Formalin/PFA-fixed paraffin-embedded sections) - Anti-FOXP1 antibody [EPR26484-79] - BSA and Azide free (AB314489)

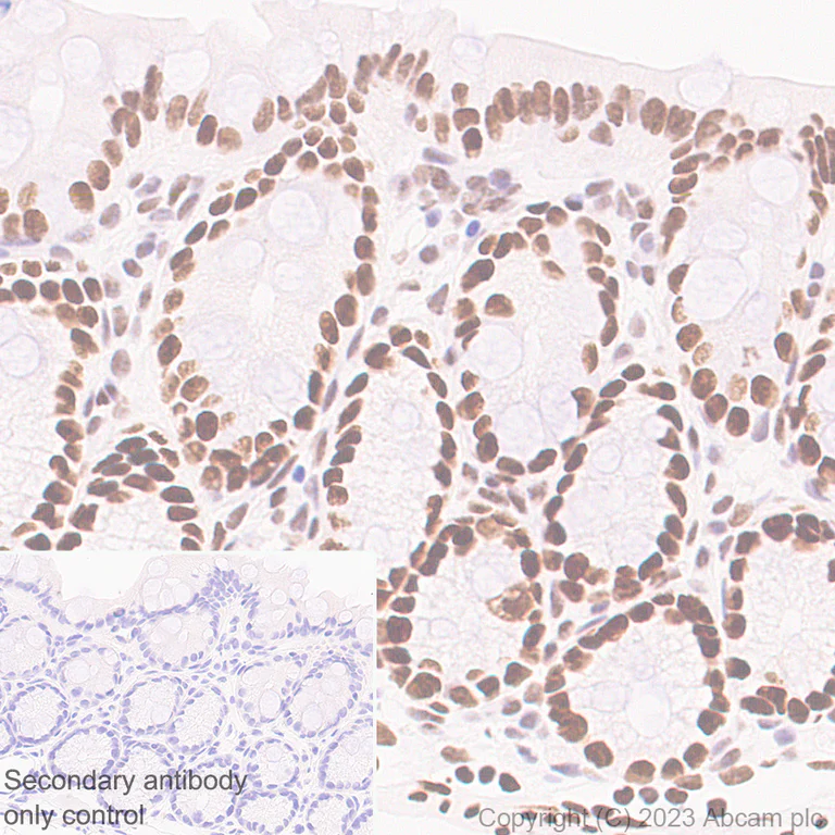
This data was developed using ab314488, the same antibody clone in a different buffer formulation. Immunohistochemical analysis of paraffin-embedded Human colon tissue labeling FOXP1 with ab314488 at 1/500 (1.02 ug/ml) followed by a ready to use LeicaDS9800 (Bond™ Polymer Refine Detection). Nuclear staining on human colon (PMID : 32951006). The section was incubated with ab314488 for 30 mins at room temperature.The immunostaining was performed on a Leica Biosystems BOND® RX instrument Counterstained with Hematoxylin. Secondary antibody only control : Secondary antibody is a ready to use LeicaDS9800 (Bond™ Polymer Refine Detection). Heat mediated antigen retrieval was performed with Tris-EDTA buffer (pH 9.0, Epitope Retrieval Solution2) for 20 mins

Immunohistochemistry (Formalin/PFA-fixed paraffin-embedded sections) - Anti-FOXP1 antibody [EPR26484-79] - BSA and Azide free (AB314489)
  • IHC-P

Supplier Data

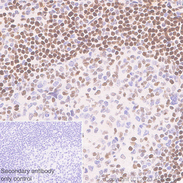
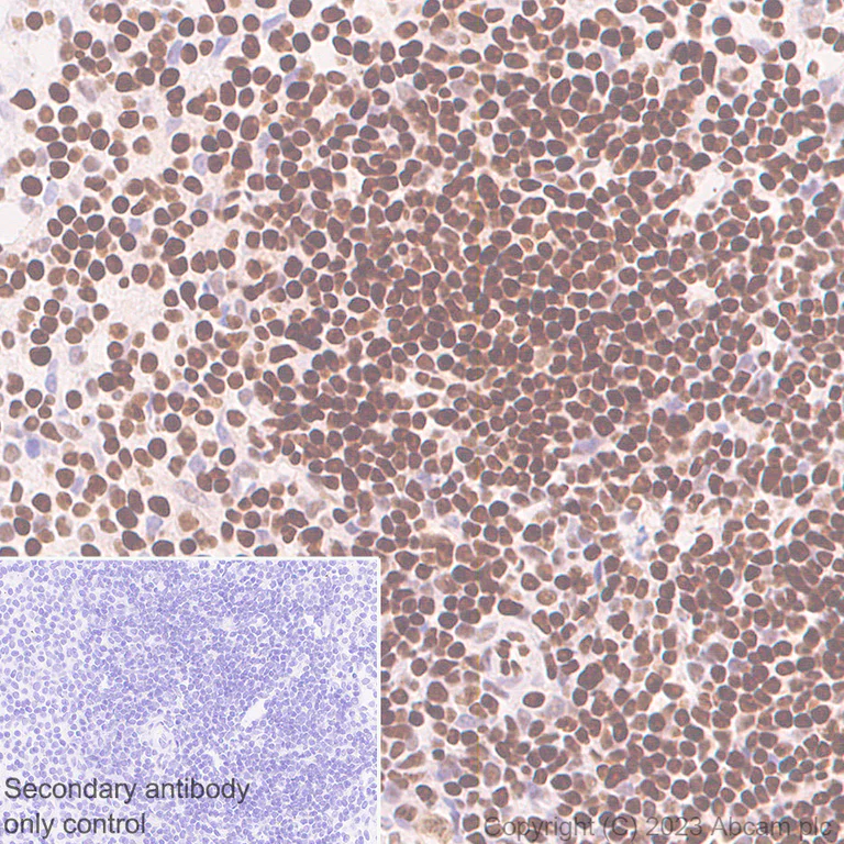
Immunohistochemistry (Formalin/PFA-fixed paraffin-embedded sections) - Anti-FOXP1 antibody [EPR26484-79] - BSA and Azide free (AB314489)

This data was developed using ab314488, the same antibody clone in a different buffer formulation. Immunohistochemical analysis of paraffin-embedded Human tonsil tissue labeling FOXP1 with ab314488 at 1/500 (1.02 ug/ml) followed by a ready to use LeicaDS9800 (Bond™ Polymer Refine Detection). Nuclear staining on human tonsil. The section was incubated with ab314488 for 30 mins at room temperature.The immunostaining was performed on a Leica Biosystems BOND® RX instrument Counterstained with Hematoxylin. Secondary antibody only control : Secondary antibody is a ready to use LeicaDS9800 (Bond™ Polymer Refine Detection). Heat mediated antigen retrieval was performed with Tris-EDTA buffer (pH 9.0, Epitope Retrieval Solution2) for 20 mins

Immunoprecipitation - Anti-FOXP1 antibody [EPR26484-79] - BSA and Azide free (AB314489)
  • IP

Supplier Data

Immunoprecipitation - Anti-FOXP1 antibody [EPR26484-79] - BSA and Azide free (AB314489)

This data was developed using ab314488, the same antibody clone in a different buffer formulation. FOXP1 was immunoprecipitated from 0.35 mg Ramos (human Burkitt's lymphoma B lymphocyte) whole cell lysate with ab314488 at 1/30 dilution (2ug in 0.35mg lysates). Western blot was performed on the immunoprecipitate using ab314488 at 1/1000 dilution. VeriBlot for IP secondary antibody(HRP)(ab131366) was used at 1/5000 dilution. Lane 1 : Ramos (human Burkitt's lymphoma B lymphocyte) whole cell lysate Lane 2 : ab314488 IP in Ramos (human Burkitt's lymphoma B lymphocyte) whole cell lysate Lane 3 : Rabbit monoclonal IgG (ab172730) instead of ab314488 in Ramos whole cell lysate Blocking and dilution buffer and concentration : 5% NFDM/TBST.

All lanes:

Immunoprecipitation - Anti-FOXP1 antibody [EPR26484-79] (<a href='/en-us/products/primary-antibodies/foxp1-antibody-epr26484-79-ab314488'>ab314488</a>) at 1/30 dilution

All lanes:

Ramos (human Burkitt's lymphoma B lymphocyte) whole cell lysate

Secondary

All lanes:

Immunoprecipitation - VeriBlot for IP Detection Reagent (HRP) (<a href='/en-us/products/reagents/veriblot-for-ip-detection-reagent-hrp-ab131366'>ab131366</a>) at 1/5000 dilution

false

Exposure time: 32s

Immunohistochemistry (Formalin/PFA-fixed paraffin-embedded sections) - Anti-FOXP1 antibody [EPR26484-79] - BSA and Azide free (AB314489)
  • IHC-P

Supplier Data

Immunohistochemistry (Formalin/PFA-fixed paraffin-embedded sections) - Anti-FOXP1 antibody [EPR26484-79] - BSA and Azide free (AB314489)

This data was developed using ab314488, the same antibody clone in a different buffer formulation. Immunohistochemical analysis of paraffin-embedded Rat colon tissue labeling FOXP1 with ab314488 at 1/2000 (0.255 ug/ml) followed by a ready to use LeicaDS9800 (Bond™ Polymer Refine Detection). Nuclear staining on rat colon. The section was incubated with ab314488 for 30 mins at room temperature.The immunostaining was performed on a Leica Biosystems BOND® RX instrument Counterstained with Hematoxylin. Secondary antibody only control : Secondary antibody is a ready to use LeicaDS9800 (Bond™ Polymer Refine Detection). Heat mediated antigen retrieval was performed with Tris-EDTA buffer (pH 9.0, Epitope Retrieval Solution2) for 20 mins

Immunohistochemistry (Formalin/PFA-fixed paraffin-embedded sections) - Anti-FOXP1 antibody [EPR26484-79] - BSA and Azide free (AB314489)
  • IHC-P

Supplier Data

Immunohistochemistry (Formalin/PFA-fixed paraffin-embedded sections) - Anti-FOXP1 antibody [EPR26484-79] - BSA and Azide free (AB314489)

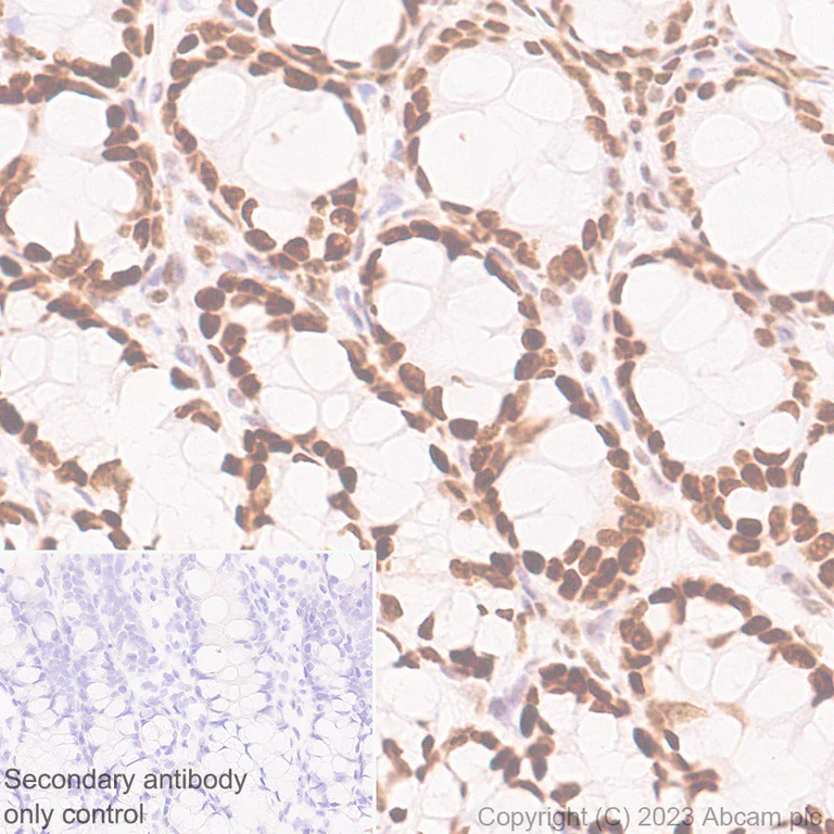
This data was developed using ab314488, the same antibody clone in a different buffer formulation. Immunohistochemical analysis of paraffin-embedded Mouse colon tissue labeling FOXP1 with ab314488 at 1/2000 (0.255 ug/ml) followed by a ready to use LeicaDS9800 (Bond™ Polymer Refine Detection). Nuclear staining on mouse colon. The section was incubated with ab314488 for 30 mins at room temperature.The immunostaining was performed on a Leica Biosystems BOND® RX instrument Counterstained with Hematoxylin. Secondary antibody only control : Secondary antibody is a ready to use LeicaDS9800 (Bond™ Polymer Refine Detection). Heat mediated antigen retrieval was performed with Tris-EDTA buffer (pH 9.0, Epitope Retrieval Solution2) for 20 mins

Immunohistochemistry (Formalin/PFA-fixed paraffin-embedded sections) - Anti-FOXP1 antibody [EPR26484-79] - BSA and Azide free (AB314489)
  • IHC-P

Supplier Data

Immunohistochemistry (Formalin/PFA-fixed paraffin-embedded sections) - Anti-FOXP1 antibody [EPR26484-79] - BSA and Azide free (AB314489)

This data was developed using ab314488, the same antibody clone in a different buffer formulation. Immunohistochemical analysis of paraffin-embedded Mouse spleen tissue labeling FOXP1 with ab314488 at 1/2000 (0.255 ug/ml) followed by a ready to use LeicaDS9800 (Bond™ Polymer Refine Detection). Nuclear staining on mouse spleen. The section was incubated with ab314488 for 30 mins at room temperature.The immunostaining was performed on a Leica Biosystems BOND® RX instrument Counterstained with Hematoxylin. Secondary antibody only control : Secondary antibody is a ready to use LeicaDS9800 (Bond™ Polymer Refine Detection). Heat mediated antigen retrieval was performed with Tris-EDTA buffer (pH 9.0, Epitope Retrieval Solution2) for 20 mins

Immunoprecipitation - Anti-FOXP1 antibody [EPR26484-79] - BSA and Azide free (AB314489)
  • IP

Supplier Data

Immunoprecipitation - Anti-FOXP1 antibody [EPR26484-79] - BSA and Azide free (AB314489)

This data was developed using ab314488, the same antibody clone in a different buffer formulation. FOXP1 was immunoprecipitated from 0.35 mg WEHI-231 (mouse B cell lymphoma B lymphocyte) whole cell lysate with ab314488 at 1/30 dilution (2ug in 0.35mg lysates). Western blot was performed on the immunoprecipitate using ab314488 at 1/1000 dilution. VeriBlot for IP secondary antibody(HRP)(ab131366) was used at 1/5000 dilution. Lane 1 : WEHI-231 (mouse B cell lymphoma B lymphocyte) whole cell lysate Lane 2 : ab314488 IP in WEHI-231 (mouse B cell lymphoma B lymphocyte) whole cell lysate Lane 3 : Rabbit monoclonal IgG (ab172730) instead of ab314488 in WEHI-231 whole cell lysate Blocking and dilution buffer and concentration : 5% NFDM/TBST.

All lanes:

Immunoprecipitation - Anti-FOXP1 antibody [EPR26484-79] (<a href='/en-us/products/primary-antibodies/foxp1-antibody-epr26484-79-ab314488'>ab314488</a>) at 1/30 dilution

All lanes:

WEHI-231 (mouse B cell lymphoma B lymphocyte) whole cell lysate

Secondary

All lanes:

Immunoprecipitation - VeriBlot for IP Detection Reagent (HRP) (<a href='/en-us/products/reagents/veriblot-for-ip-detection-reagent-hrp-ab131366'>ab131366</a>) at 1/5000 dilution

false

Exposure time: 32s

Western blot - Anti-FOXP1 antibody [EPR26484-79] - BSA and Azide free (AB314489)
  • WB

Supplier Data

Western blot - Anti-FOXP1 antibody [EPR26484-79] - BSA and Azide free (AB314489)

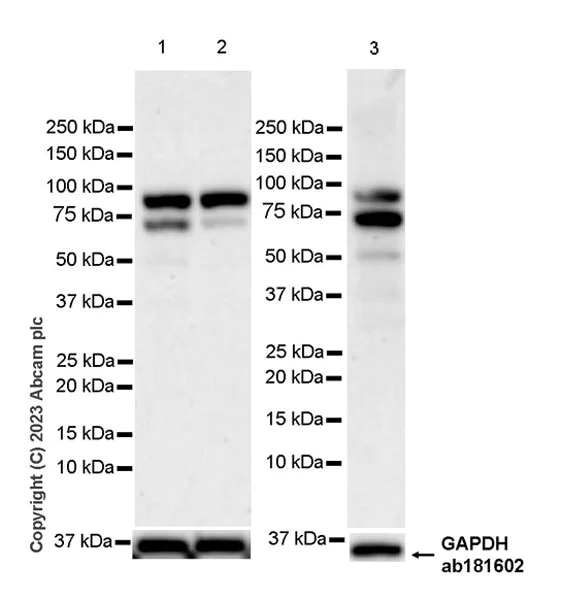
This data was developed using ab314488, the same antibody clone in a different buffer formulation. Blocking and diluting buffer and concentration : 5% NFDM/TBST The expression profile/ molecular weight observed is consistent with what has been described in the literature (PMID : 12692134, 11358962). In Western blot, Anti-GAPDH antibody [EPR16891] - Loading Control (ab181602) staining at 1/200000 dilution.

All lanes:

Western blot - Anti-FOXP1 antibody [EPR26484-79] (<a href='/en-us/products/primary-antibodies/foxp1-antibody-epr26484-79-ab314488'>ab314488</a>) at 1/1000 dilution

Lane 1:

Daudi (human Burkitts lymphoma lymphoblast) whole cell lysate at 20 µg

Lane 2:

Raji (human Burkitts lymphoma B lymphocyte) whole cell lysate at 20 µg

Lane 3:

K562 (human chronic myelogenous leukemia lymphoblast) whole cell lysate at 20 µg

Secondary

All lanes:

Western blot - Goat Anti-Rabbit IgG H&L (HRP) (<a href='/en-us/products/secondary-antibodies/goat-rabbit-igg-h-l-hrp-ab97051'>ab97051</a>) at 1/20000 dilution

Observed band size: 50 kDa,70 kDa,90 kDa

false

Exposure time: 180s

Western blot - Anti-FOXP1 antibody [EPR26484-79] - BSA and Azide free (AB314489)
  • WB

Supplier Data

Western blot - Anti-FOXP1 antibody [EPR26484-79] - BSA and Azide free (AB314489)

This data was developed using ab314488, the same antibody clone in a different buffer formulation. Blocking and diluting buffer and concentration : 5% NFDM/TBST Low expression : HDLM-2. The expression profile/ molecular weight observed is consistent with what has been described in the literature (PMID : 12692134, 11358962). In Western blot, Anti-GAPDH antibody [EPR16891] - Loading Control (ab181602) staining at 1/200000 dilution.

All lanes:

Western blot - Anti-FOXP1 antibody [EPR26484-79] (<a href='/en-us/products/primary-antibodies/foxp1-antibody-epr26484-79-ab314488'>ab314488</a>) at 1/1000 dilution

Lane 1:

Ramos (human Burkitts lymphoma B lymphocyte) whole cell lysate at 40 µg

Lane 2:

HDLM-2 (human Hodgkin lymphoma) whole cell lysate at 40 µg

Secondary

All lanes:

Western blot - Goat Anti-Rabbit IgG H&L (HRP) (<a href='/en-us/products/secondary-antibodies/goat-rabbit-igg-h-l-hrp-ab97051'>ab97051</a>) at 1/20000 dilution

Observed band size: 50 kDa,70 kDa,90 kDa

false

Exposure time: 37s

Western blot - Anti-FOXP1 antibody [EPR26484-79] - BSA and Azide free (AB314489)
  • WB

Supplier Data

Western blot - Anti-FOXP1 antibody [EPR26484-79] - BSA and Azide free (AB314489)

This data was developed using ab314488, the same antibody clone in a different buffer formulation. Blocking and diluting buffer and concentration : 5% NFDM/TBST Low expression : liver (PMID : 12692134, 11358962). The expression profile/ molecular weight observed is consistent with what has been described in the literature (PMID : 12692134, 11358962). In Western blot, Anti-GAPDH antibody [EPR16891] - Loading Control (ab181602) staining at 1/200000 dilution.

All lanes:

Western blot - Anti-FOXP1 antibody [EPR26484-79] (<a href='/en-us/products/primary-antibodies/foxp1-antibody-epr26484-79-ab314488'>ab314488</a>) at 1/1000 dilution

Lane 1:

Mouse lung tissue lysate at 20 µg

Lane 2:

Mouse spleen tissue lysate at 20 µg

Lane 3:

Mouse liver tissue lysate at 20 µg

Lane 4:

Rat spleen tissue lysate at 20 µg

Lane 5:

Rat liver tissue lysate at 20 µg

Secondary

All lanes:

Western blot - Goat Anti-Rabbit IgG H&L (HRP) (<a href='/en-us/products/secondary-antibodies/goat-rabbit-igg-h-l-hrp-ab97051'>ab97051</a>) at 1/20000 dilution

Observed band size: 50 kDa,70 kDa,90 kDa

false

Exposure time: 26s

Western blot - Anti-FOXP1 antibody [EPR26484-79] - BSA and Azide free (AB314489)
  • WB

Supplier Data

Western blot - Anti-FOXP1 antibody [EPR26484-79] - BSA and Azide free (AB314489)

This data was developed using ab314488, the same antibody clone in a different buffer formulation. Blocking and diluting buffer and concentration : 5% NFDM/TBST Low expression : C2C12 (PMID : 12692134). The expression profile/ molecular weight observed is consistent with what has been described in the literature (PMID : 12692134, 11358962). In Western blot, Anti-GAPDH antibody [EPR16891] - Loading Control (ab181602) staining at 1/200000 dilution.

All lanes:

Western blot - Anti-FOXP1 antibody [EPR26484-79] (<a href='/en-us/products/primary-antibodies/foxp1-antibody-epr26484-79-ab314488'>ab314488</a>) at 1/1000 dilution

Lane 1:

WEHI-231 (mouse B cell lymphoma B lymphocyte) whole cell lysate at 20 µg

Lane 2:

C2C12 (mouse myoblasts myoblast) whole cell lysate at 20 µg

Secondary

All lanes:

Western blot - Goat Anti-Rabbit IgG H&L (HRP) (<a href='/en-us/products/secondary-antibodies/goat-rabbit-igg-h-l-hrp-ab97051'>ab97051</a>) at 1/20000 dilution

Observed band size: 50 kDa,70 kDa,90 kDa

false

Exposure time: 180s

Key facts

Host species

Rabbit

Clonality

Monoclonal

Clone number

EPR26484-79

Isotype

IgG

Carrier free

Yes

Reacts with

Human, Mouse, Rat

Applications

IP, WB, IHC-P

applications

Immunogen

The exact immunogen used to generate this antibody is proprietary information.

Reactivity data

{ "title": "Reactivity Data", "filters": { "stats": ["", "Species", "Dilution Info", "Notes"], "tabs": { "all-applications": {"fullname" : "All Applications", "shortname": "All Applications"}, "WB" : {"fullname" : "Western blot", "shortname":"WB"}, "IHCP" : {"fullname" : "Immunohistochemistry (Formalin/PFA-fixed paraffin-embedded sections)", "shortname":"IHC-P"}, "IP" : {"fullname" : "Immunoprecipitation", "shortname":"IP"}, "FlowCytIntra" : {"fullname" : "Flow Cytometry (Intracellular)", "shortname":"Flow Cyt (Intra)"}, "ICCIF" : {"fullname" : "Immunocytochemistry/ Immunofluorescence", "shortname":"ICC/IF"} }, "product-promise": { "all": "all", "testedAndGuaranteed": "tested", "guaranteed": "expected", "predicted": "predicted", "notRecommended": "not-recommended" } }, "values": { "Human": { "WB-species-checked": "testedAndGuaranteed", "WB-species-dilution-info": "", "WB-species-notes": "<p></p>", "IHCP-species-checked": "testedAndGuaranteed", "IHCP-species-dilution-info": "", "IHCP-species-notes": "<p></p>", "IP-species-checked": "testedAndGuaranteed", "IP-species-dilution-info": "", "IP-species-notes": "<p></p>", "FlowCytIntra-species-checked": "notRecommended", "FlowCytIntra-species-dilution-info": "", "FlowCytIntra-species-notes": "<p></p>", "ICCIF-species-checked": "notRecommended", "ICCIF-species-dilution-info": "", "ICCIF-species-notes": "<p></p>" }, "Mouse": { "WB-species-checked": "testedAndGuaranteed", "WB-species-dilution-info": "", "WB-species-notes": "<p></p>", "IHCP-species-checked": "testedAndGuaranteed", "IHCP-species-dilution-info": "", "IHCP-species-notes": "<p></p>", "IP-species-checked": "testedAndGuaranteed", "IP-species-dilution-info": "", "IP-species-notes": "<p></p>", "FlowCytIntra-species-checked": "notRecommended", "FlowCytIntra-species-dilution-info": "", "FlowCytIntra-species-notes": "", "ICCIF-species-checked": "notRecommended", "ICCIF-species-dilution-info": "", "ICCIF-species-notes": "" }, "Rat": { "WB-species-checked": "testedAndGuaranteed", "WB-species-dilution-info": "", "WB-species-notes": "<p></p>", "IHCP-species-checked": "testedAndGuaranteed", "IHCP-species-dilution-info": "", "IHCP-species-notes": "<p></p>", "IP-species-checked": "guaranteed", "IP-species-dilution-info": "", "IP-species-notes": "", "FlowCytIntra-species-checked": "notRecommended", "FlowCytIntra-species-dilution-info": "", "FlowCytIntra-species-notes": "", "ICCIF-species-checked": "notRecommended", "ICCIF-species-dilution-info": "", "ICCIF-species-notes": "" } } }

Product details

ab314489 is the carrier-free version of ab314488.

Patented technology
Our RabMAb® technology is a patented hybridoma-based technology for making rabbit monoclonal antibodies. For details on our patents, please refer to RabMAb® patents.

What are the advantages of a recombinant monoclonal antibody?
This product is a recombinant monoclonal antibody, which offers several advantages including:

  • - High batch-to-batch consistency and reproducibility
  • - Improved sensitivity and specificity
  • - Long-term security of supply
  • - Animal-free batch production

For more information, read more on recombinant antibodies.

Conjugation ready
Our carrier-free antibodies are typically supplied in a PBS-only formulation, purified and free of BSA, sodium azide and glycerol. This conjugation-ready format is designed for use with fluorochromes, metal isotopes, oligonucleotides, and enzymes, which makes them ideal for antibody labelling, functional and cell-based assays, flow-based assays (e.g. mass cytometry) and Multiplex Imaging applications.

Use our conjugation kits for antibody conjugates that are ready-to-use in as little as 20 minutes with 1 minute hands-on-time and 100% antibody recovery: available for fluorescent dyes, HRP, biotin and gold.

Compatibility
This product is compatible with the Maxpar® Antibody Labeling Kit from Fluidigm, without the need for antibody preparation. Maxpar® is a trademark of Fluidigm Canada Inc.

Properties and storage information

Form
Liquid
Purification technique
Affinity purification Protein A
Storage buffer
pH: 7.2 - 7.4 Constituents: PBS
Shipped at conditions
Blue Ice
Appropriate short-term storage conditions
+4°C
Appropriate long-term storage conditions
+4°C

Supplementary information

This supplementary information is collated from multiple sources and compiled automatically.

FOXP1 also known as forkhead box P1 is a transcription factor that belongs to the forkhead box (FOX) family. This protein weighs approximately 75-80 kDa and is expressed in a variety of tissues including the brain heart and lung. It plays a role in regulating gene expression acting as a transcriptional repressor or activator depending on the context. FOXP1 modulates several developmental processes through its interaction with DNA influencing cellular differentiation and proliferation. Its activity is vital in embryonic development and in maintaining the function of certain adult tissues.
Biological function summary

This transcription factor functions in the regulation of gene expression associated with neurodevelopment cardiac growth and immune responses. FOXP1 often forms a complex with other transcription factors such as FOXP2 and FOXP4 which enhances its regulatory roles. These interactions allow it to control various genetic programs that are important in the maturation and specification of different cell types. Moreover FOXP1 contributes to the modulation of B-cell development and function highlighting its importance in immune system regulation.

Pathways

FOXP1 takes part in several key signaling pathways including the Wnt signaling pathway and the TGF-beta pathway. The Wnt signaling pathway relates FOXP1 to β-catenin influencing the expression of genes involved in cell proliferation and differentiation. In the TGF-beta pathway its interactions with SMAD proteins underline its function in cellular processes such as apoptosis and epithelial–mesenchymal transition. These pathways emphasize FOXP1's contribution to controlling cell growth and development across different biological contexts.

Disruptions in the function of this transcription factor have been linked to conditions like intellectual disability and certain types of cancer including lymphoma. The relationship between FOXP1 and proteins such as BCL2 in lymphoma highlights its role in tumorigenesis and progression. Additionally mutations affecting FOXP1 can disturb its interaction with other forkhead family proteins leading to neurodevelopmental disorders that impact cognitive abilities and behavior. Understanding these connections provides insights into how FOXP1's altered activity can contribute to disease pathology.

Product protocols

For this product, it's our understanding that no specific protocols are required. You can visit:

Target data

Transcriptional repressor (PubMed : 18347093, PubMed : 26647308). Can act with CTBP1 to synergistically repress transcription but CTPBP1 is not essential (By similarity). Plays an important role in the specification and differentiation of lung epithelium. Acts cooperatively with FOXP4 to regulate lung secretory epithelial cell fate and regeneration by restricting the goblet cell lineage program; the function may involve regulation of AGR2. Essential transcriptional regulator of B-cell development. Involved in regulation of cardiac muscle cell proliferation. Involved in the columnar organization of spinal motor neurons. Promotes the formation of the lateral motor neuron column (LMC) and the preganglionic motor column (PGC) and is required for respective appropriate motor axon projections. The segment-appropriate generation of spinal cord motor columns requires cooperation with other Hox proteins. Can regulate PITX3 promoter activity; may promote midbrain identity in embryonic stem cell-derived dopamine neurons by regulating PITX3. Negatively regulates the differentiation of T follicular helper cells T(FH)s. Involved in maintenance of hair follicle stem cell quiescence; the function probably involves regulation of FGF18 (By similarity). Represses transcription of various pro-apoptotic genes and cooperates with NF-kappa B-signaling in promoting B-cell expansion by inhibition of caspase-dependent apoptosis (PubMed : 25267198). Binds to CSF1R promoter elements and is involved in regulation of monocyte differentiation and macrophage functions; repression of CSF1R in monocytes seems to involve NCOR2 as corepressor (PubMed : 15286807, PubMed : 18347093, PubMed : 18799727). Involved in endothelial cell proliferation, tube formation and migration indicative for a role in angiogenesis; the role in neovascularization seems to implicate suppression of SEMA5B (PubMed : 24023716). Can negatively regulate androgen receptor signaling (PubMed : 18640093). Acts as a transcriptional activator of the FBXL7 promoter; this activity is regulated by AURKA (PubMed : 28218735).. Isoform 8. Involved in transcriptional regulation in embryonic stem cells (ESCs). Stimulates expression of transcription factors that are required for pluripotency and decreases expression of differentiation-associated genes. Has distinct DNA-binding specifities as compared to the canonical form and preferentially binds DNA with the sequence 5'-CGATACAA-3' (or closely related sequences) (PubMed : 21924763). Promotes ESC self-renewal and pluripotency (By similarity).
See full target information FOXP1

Product promise

We are committed to supporting your work with high-quality reagents, and we're here for you every step of the way. In the unlikely event that one of our products does not perform as expected, you're protected by our Product Promise.
For full details, please see our Terms & Conditions

Please note: All products are 'FOR RESEARCH USE ONLY. NOT FOR USE IN DIAGNOSTIC OR THERAPEUTIC PROCEDURES'.

For licensing inquiries, please contact partnerships@abcam.com