JavaScript is disabled in your browser. Please enable JavaScript to view this website.
AB134055

Anti-FOXP1 antibody [EPR4113]

Be the first to review this product! Submit a review

|

(12 Publications)

Rabbit Recombinant Monoclonal FOXP1 antibody. Suitable for IHC-P, WB, ICC/IF, Flow Cyt (Intra), ChIP-seq and reacts with Human, Mouse, Rat samples. Cited in 12 publications.

View Alternative Names

HSPC215, FOXP1, Forkhead box protein P1, Mac-1-regulated forkhead, MFH

16 Images
Flow Cytometry (Intracellular) - Anti-FOXP1 antibody [EPR4113] (AB134055)
  • Flow Cyt (Intra)

Lab

Flow Cytometry (Intracellular) - Anti-FOXP1 antibody [EPR4113] (AB134055)

Intracellular Flow Cytometry analysis of Daudi (human Burkitt's lymphoma) cells labeling FOXP1 with purified ab134055 at 1/200 dilution (1ug/ml) (red). Cells were fixed with 4% paraformaldehyde and permeabilised with 90% methanol. A Goat anti rabbit IgG (Alexa Fluor® 488) (1/2000 dilution) was used as the secondary antibody. Rabbit monoclonal IgG (Black) was used as the isotype control, cells without incubation with primary antibody and secondary antibody (Blue) were used as the unlabeled control.

Immunohistochemistry (Formalin/PFA-fixed paraffin-embedded sections) - Anti-FOXP1 antibody [EPR4113] (AB134055)
  • IHC-P

Unknown

Immunohistochemistry (Formalin/PFA-fixed paraffin-embedded sections) - Anti-FOXP1 antibody [EPR4113] (AB134055)

Immunohistochemical analysis of paraffin embedded Human Glioma tissue using ab134055 (unpurified) showing -ve staining.

Heat mediated antigen retrieval was performed before commencing with IHC staining protocol.

Immunohistochemistry (Formalin/PFA-fixed paraffin-embedded sections) - Anti-FOXP1 antibody [EPR4113] (AB134055)
  • IHC-P

Unknown

Immunohistochemistry (Formalin/PFA-fixed paraffin-embedded sections) - Anti-FOXP1 antibody [EPR4113] (AB134055)

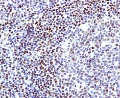
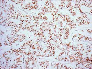
Immunohistochemical analysis of paraffin-embedded Human tonsil tissue labelling FOXP1 with ab134055 (unpurified) at 1/250 dilution.

Heat mediated antigen retrieval was performed before commencing with IHC staining protocol.

Immunohistochemistry (Formalin/PFA-fixed paraffin-embedded sections) - Anti-FOXP1 antibody [EPR4113] (AB134055)
  • IHC-P

Unknown

Immunohistochemistry (Formalin/PFA-fixed paraffin-embedded sections) - Anti-FOXP1 antibody [EPR4113] (AB134055)

Immunohistochemical analysis of paraffin embedded Human Urinary bladder transitional carcinoma tissue using ab134055 (unpurified) showing +ve staining.

Heat mediated antigen retrieval was performed before commencing with IHC staining protocol.

Immunohistochemistry (Formalin/PFA-fixed paraffin-embedded sections) - Anti-FOXP1 antibody [EPR4113] (AB134055)
  • IHC-P

Unknown

Immunohistochemistry (Formalin/PFA-fixed paraffin-embedded sections) - Anti-FOXP1 antibody [EPR4113] (AB134055)

Immunohistochemical analysis of paraffin embedded Human Endometrial carcinoma tissue using ab134055 (unpurified) showing +ve staining.

Heat mediated antigen retrieval was performed before commencing with IHC staining protocol.

Immunohistochemistry (Formalin/PFA-fixed paraffin-embedded sections) - Anti-FOXP1 antibody [EPR4113] (AB134055)
  • IHC-P

Unknown

Immunohistochemistry (Formalin/PFA-fixed paraffin-embedded sections) - Anti-FOXP1 antibody [EPR4113] (AB134055)

Immunohistochemical analysis of paraffin embedded Human Cervical carcinoma tissue using ab134055 (unpurified) showing +ve staining.

Heat mediated antigen retrieval was performed before commencing with IHC staining protocol.

Immunohistochemistry (Formalin/PFA-fixed paraffin-embedded sections) - Anti-FOXP1 antibody [EPR4113] (AB134055)
  • IHC-P

Unknown

Immunohistochemistry (Formalin/PFA-fixed paraffin-embedded sections) - Anti-FOXP1 antibody [EPR4113] (AB134055)

Immunohistochemical analysis of paraffin embedded Human Skeletal muscle tissue using ab134055 (unpurified) showing -ve staining.

Heat mediated antigen retrieval was performed before commencing with IHC staining protocol.

Immunohistochemistry (Formalin/PFA-fixed paraffin-embedded sections) - Anti-FOXP1 antibody [EPR4113] (AB134055)
  • IHC-P

Unknown

Immunohistochemistry (Formalin/PFA-fixed paraffin-embedded sections) - Anti-FOXP1 antibody [EPR4113] (AB134055)

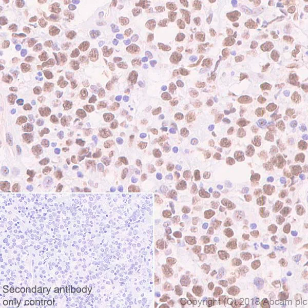
Immunohistochemistry (Formalin/PFA-fixed paraffin-embedded sections) analysis of Human diffuse large B-cell lymphoma tissue sections labeling FOXP1 with purified ab134055 at 1/1000 dilution (0.21 μg/ml). Heat mediated antigen retrieval was performed using ab93684 (Tris/EDTA buffer, pH 9.0). ImmunoHistoProbe one step HRP Polymer (ready to use) was used as the secondary antibody. Negative control : PBS instead of the primary antibody. Hematoxylin was used as a counterstain.

Immunohistochemistry (Formalin/PFA-fixed paraffin-embedded sections) - Anti-FOXP1 antibody [EPR4113] (AB134055)
  • IHC-P

Unknown

Immunohistochemistry (Formalin/PFA-fixed paraffin-embedded sections) - Anti-FOXP1 antibody [EPR4113] (AB134055)

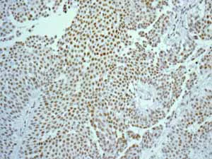
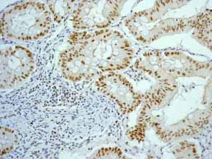
Immunohistochemical analysis of paraffin embedded Human Colonic adenocarcinoma tissue using ab134055 (unpurified) showing +ve staining.

Heat mediated antigen retrieval was performed before commencing with IHC staining protocol.

Immunohistochemistry (Formalin/PFA-fixed paraffin-embedded sections) - Anti-FOXP1 antibody [EPR4113] (AB134055)
  • IHC-P

Unknown

Immunohistochemistry (Formalin/PFA-fixed paraffin-embedded sections) - Anti-FOXP1 antibody [EPR4113] (AB134055)

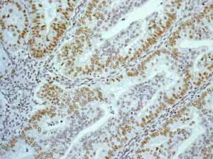
Immunohistochemical analysis of paraffin embedded Human Breast carcinoma tissue using ab134055 (unpurified) showing +ve staining.

Heat mediated antigen retrieval was performed before commencing with IHC staining protocol.

Immunocytochemistry/ Immunofluorescence - Anti-FOXP1 antibody [EPR4113] (AB134055)
  • ICC/IF

Unknown

Immunocytochemistry/ Immunofluorescence - Anti-FOXP1 antibody [EPR4113] (AB134055)

Immunocytochemistry/ Immunofluorescence analysis of MCF7 (Human breast adenocarcinoma epithelial cell) cells labeling FOXP1 with purified ab134055 at 1/500 dilution (0.4 μg/ml). Cells were fixed in 4% Paraformaldehyde and permeabilized with 0.1% tritonX-100. Cells were counterstained with ab195889 Anti-alpha Tubulin antibody [DM1A] - Microtubule Marker (Alexa Fluor® 594) at 1 : 200 (2.5 μg/ml). Goat anti rabbit IgG (Alexa Fluor® 488, ab150077) was used as the secondary antibody at 1/1000 (2 μg/ml) dilution. DAPI (blue) was used as nuclear counterstain. PBS instead of the primary antibody was used as the secondary antibody only control.

ChIP-sequencing - Anti-FOXP1 antibody [EPR4113] (AB134055)
  • ChIP-seq

Lab

ChIP-sequencing - Anti-FOXP1 antibody [EPR4113] (AB134055)

Chromatin was prepared from K-562 cells. Cells were fixed with 1% formaldehyde for 10 minutes. ChIP was performed with 107 cells and 8 µg of ab134055 [EPR4113]. ChIP DNA was sequenced on the Illumina NovaSeq 6000 to a depth of 30 million reads. The input control is also shown.

ChIP-sequencing - Anti-FOXP1 antibody [EPR4113] (AB134055)
  • ChIP-seq

Lab

ChIP-sequencing - Anti-FOXP1 antibody [EPR4113] (AB134055)

Chromatin was prepared from K-562 cells. Cells were fixed with 1% formaldehyde for 10 minutes. ChIP was performed with 107 cells and 8 µg of ab134055 [EPR4113]. ChIP DNA was sequenced on the Illumina NovaSeq 6000 to a depth of 30 million reads. The input control is also shown.

ChIP-sequencing - Anti-FOXP1 antibody [EPR4113] (AB134055)
  • ChIP-seq

Lab

ChIP-sequencing - Anti-FOXP1 antibody [EPR4113] (AB134055)

Chromatin was prepared from K-562 cells. Cells were fixed with 1% formaldehyde for 10 minutes. ChIP was performed with 107 cells and 8 µg of ab134055 [EPR4113]. ChIP DNA was sequenced on the Illumina NovaSeq 6000 to a depth of 30 million reads. The input control is also shown.

Western blot - Anti-FOXP1 antibody [EPR4113] (AB134055)
  • WB

Lab

Western blot - Anti-FOXP1 antibody [EPR4113] (AB134055)

The multiple bands are consistent with what have been described in the literature PMID : 12692134.

All lanes:

Western blot - Anti-FOXP1 antibody [EPR4113] (ab134055) at 1/1000 dilution

Lane 1:

Daudi (Human Burkitt's lymphoma lymphoblast) whole cell lysates at 20 µg

Lane 2:

RAW264.7 (Mouse Abelson murine leukemia virus-induced tumor macrophage) whole cell lysates at 20 µg

Lane 3:

Mouse lung cell lysates at 20 µg

Secondary

All lanes:

Western blot - Goat Anti-Rabbit IgG H&L (HRP) (<a href='/en-us/products/secondary-antibodies/goat-rabbit-igg-h-l-hrp-ab97051'>ab97051</a>) at 1/20000 dilution

Predicted band size: 75 kDa

Observed band size: 50 kDa,70 kDa,95 kDa

false

Western blot - Anti-FOXP1 antibody [EPR4113] (AB134055)
  • WB

Lab

Western blot - Anti-FOXP1 antibody [EPR4113] (AB134055)

The multiple bands are consistent with what have been described in the literature PMID : 12692134.

All lanes:

Western blot - Anti-FOXP1 antibody [EPR4113] (ab134055) at 1/5000 dilution

All lanes:

2.4G2 (Rat B cell lymphoma B lymphocyte) whole cell lysates at 20 µg

Secondary

All lanes:

Western blot - Goat Anti-Rabbit IgG H&L (HRP) (<a href='/en-us/products/secondary-antibodies/goat-rabbit-igg-h-l-hrp-ab97051'>ab97051</a>) at 1/20000 dilution

Predicted band size: 75 kDa

Observed band size: 50 kDa,70 kDa,95 kDa

false

Key facts

Host species

Rabbit

Clonality

Monoclonal

Clone number

EPR4113

Isotype

IgG

Carrier free

No

Reacts with

Mouse, Human, Rat

Applications

WB, IHC-P, ChIP-seq, ICC/IF, Flow Cyt (Intra)

applications

Immunogen

The exact immunogen used to generate this antibody is proprietary information.

Specificity

The mouse and rat recommendation is based on the WB results. We do not guarantee IHC-P for mouse and rat.

Reactivity data

{ "title": "Reactivity Data", "filters": { "stats": ["", "Species", "Dilution Info", "Notes"], "tabs": { "all-applications": {"fullname" : "All Applications", "shortname": "All Applications"}, "IHCP" : {"fullname" : "Immunohistochemistry (Formalin/PFA-fixed paraffin-embedded sections)", "shortname":"IHC-P"}, "IP" : {"fullname" : "Immunoprecipitation", "shortname":"IP"}, "WB" : {"fullname" : "Western blot", "shortname":"WB"}, "ICCIF" : {"fullname" : "Immunocytochemistry/ Immunofluorescence", "shortname":"ICC/IF"}, "FlowCytIntra" : {"fullname" : "Flow Cytometry (Intracellular)", "shortname":"Flow Cyt (Intra)"}, "ChIPseq" : {"fullname" : "ChIP-sequencing", "shortname":"ChIP-seq"} }, "product-promise": { "all": "all", "testedAndGuaranteed": "tested", "guaranteed": "expected", "predicted": "predicted", "notRecommended": "not-recommended" } }, "values": { "Human": { "IHCP-species-checked": "testedAndGuaranteed", "IHCP-species-dilution-info": "1/1000", "IHCP-species-notes": "<p>The mouse and rat recommendation is based on the WB results. We do not guarantee IHC-P for mouse and rat.</p><p><strong>For unpurified format use at 1/250-1/500 dilution.</strong></p>", "IP-species-checked": "notRecommended", "IP-species-dilution-info": "", "IP-species-notes": "<p></p>", "WB-species-checked": "testedAndGuaranteed", "WB-species-dilution-info": "1/1000 - 1/10000", "WB-species-notes": "<p></p>", "ICCIF-species-checked": "testedAndGuaranteed", "ICCIF-species-dilution-info": "1/500 - 1/1000", "ICCIF-species-notes": "<p></p>", "FlowCytIntra-species-checked": "testedAndGuaranteed", "FlowCytIntra-species-dilution-info": "", "FlowCytIntra-species-notes": "<p></p>", "ChIPseq-species-checked": "testedAndGuaranteed", "ChIPseq-species-dilution-info": "8 µg for 10^7 Cells", "ChIPseq-species-notes": "<p></p>" }, "Mouse": { "IHCP-species-checked": "guaranteed", "IHCP-species-dilution-info": "", "IHCP-species-notes": "", "IP-species-checked": "notRecommended", "IP-species-dilution-info": "", "IP-species-notes": "<p></p>", "WB-species-checked": "testedAndGuaranteed", "WB-species-dilution-info": "1/1000 - 1/10000", "WB-species-notes": "<p></p>", "ICCIF-species-checked": "guaranteed", "ICCIF-species-dilution-info": "", "ICCIF-species-notes": "", "FlowCytIntra-species-checked": "guaranteed", "FlowCytIntra-species-dilution-info": "", "FlowCytIntra-species-notes": "", "ChIPseq-species-checked": "guaranteed", "ChIPseq-species-dilution-info": "", "ChIPseq-species-notes": "" }, "Rat": { "IHCP-species-checked": "guaranteed", "IHCP-species-dilution-info": "", "IHCP-species-notes": "", "IP-species-checked": "notRecommended", "IP-species-dilution-info": "", "IP-species-notes": "<p></p>", "WB-species-checked": "testedAndGuaranteed", "WB-species-dilution-info": "1/1000 - 1/10000", "WB-species-notes": "<p></p>", "ICCIF-species-checked": "guaranteed", "ICCIF-species-dilution-info": "", "ICCIF-species-notes": "", "FlowCytIntra-species-checked": "guaranteed", "FlowCytIntra-species-dilution-info": "", "FlowCytIntra-species-notes": "", "ChIPseq-species-checked": "guaranteed", "ChIPseq-species-dilution-info": "", "ChIPseq-species-notes": "" } } }

Product details

Patented technology
Our RabMAb® technology is a patented hybridoma-based technology for making rabbit monoclonal antibodies. For details on our patents, please refer to RabMAb® patents.

What are the advantages of a recombinant monoclonal antibody?
This product is a recombinant monoclonal antibody, which offers several advantages including:

  • - High batch-to-batch consistency and reproducibility
  • - Improved sensitivity and specificity
  • - Long-term security of supply
  • - Animal-free batch production

For more information, read more on recombinant antibodies.

Properties and storage information

Form
Liquid
Purification technique
Affinity purification Protein A
Storage buffer
pH: 7.2 - 7.4 Preservative: 0.01% Sodium azide Constituents: PBS, 40% Glycerol (glycerin, glycerine), 0.05% BSA
Shipped at conditions
Blue Ice
Appropriate short-term storage duration
1-2 weeks
Appropriate short-term storage conditions
+4°C
Appropriate long-term storage conditions
-20°C
Aliquoting information
Upon delivery aliquot
Storage information
Avoid freeze / thaw cycle

Supplementary information

This supplementary information is collated from multiple sources and compiled automatically.

FOXP1 also known as forkhead box P1 is a transcription factor that belongs to the forkhead box (FOX) family. This protein weighs approximately 75-80 kDa and is expressed in a variety of tissues including the brain heart and lung. It plays a role in regulating gene expression acting as a transcriptional repressor or activator depending on the context. FOXP1 modulates several developmental processes through its interaction with DNA influencing cellular differentiation and proliferation. Its activity is vital in embryonic development and in maintaining the function of certain adult tissues.
Biological function summary

This transcription factor functions in the regulation of gene expression associated with neurodevelopment cardiac growth and immune responses. FOXP1 often forms a complex with other transcription factors such as FOXP2 and FOXP4 which enhances its regulatory roles. These interactions allow it to control various genetic programs that are important in the maturation and specification of different cell types. Moreover FOXP1 contributes to the modulation of B-cell development and function highlighting its importance in immune system regulation.

Pathways

FOXP1 takes part in several key signaling pathways including the Wnt signaling pathway and the TGF-beta pathway. The Wnt signaling pathway relates FOXP1 to β-catenin influencing the expression of genes involved in cell proliferation and differentiation. In the TGF-beta pathway its interactions with SMAD proteins underline its function in cellular processes such as apoptosis and epithelial–mesenchymal transition. These pathways emphasize FOXP1's contribution to controlling cell growth and development across different biological contexts.

Disruptions in the function of this transcription factor have been linked to conditions like intellectual disability and certain types of cancer including lymphoma. The relationship between FOXP1 and proteins such as BCL2 in lymphoma highlights its role in tumorigenesis and progression. Additionally mutations affecting FOXP1 can disturb its interaction with other forkhead family proteins leading to neurodevelopmental disorders that impact cognitive abilities and behavior. Understanding these connections provides insights into how FOXP1's altered activity can contribute to disease pathology.

Product protocols

For this product, it's our understanding that no specific protocols are required. You can visit:

Target data

Transcriptional repressor (PubMed : 18347093, PubMed : 26647308). Can act with CTBP1 to synergistically repress transcription but CTPBP1 is not essential (By similarity). Plays an important role in the specification and differentiation of lung epithelium. Acts cooperatively with FOXP4 to regulate lung secretory epithelial cell fate and regeneration by restricting the goblet cell lineage program; the function may involve regulation of AGR2. Essential transcriptional regulator of B-cell development. Involved in regulation of cardiac muscle cell proliferation. Involved in the columnar organization of spinal motor neurons. Promotes the formation of the lateral motor neuron column (LMC) and the preganglionic motor column (PGC) and is required for respective appropriate motor axon projections. The segment-appropriate generation of spinal cord motor columns requires cooperation with other Hox proteins. Can regulate PITX3 promoter activity; may promote midbrain identity in embryonic stem cell-derived dopamine neurons by regulating PITX3. Negatively regulates the differentiation of T follicular helper cells T(FH)s. Involved in maintenance of hair follicle stem cell quiescence; the function probably involves regulation of FGF18 (By similarity). Represses transcription of various pro-apoptotic genes and cooperates with NF-kappa B-signaling in promoting B-cell expansion by inhibition of caspase-dependent apoptosis (PubMed : 25267198). Binds to CSF1R promoter elements and is involved in regulation of monocyte differentiation and macrophage functions; repression of CSF1R in monocytes seems to involve NCOR2 as corepressor (PubMed : 15286807, PubMed : 18347093, PubMed : 18799727). Involved in endothelial cell proliferation, tube formation and migration indicative for a role in angiogenesis; the role in neovascularization seems to implicate suppression of SEMA5B (PubMed : 24023716). Can negatively regulate androgen receptor signaling (PubMed : 18640093). Acts as a transcriptional activator of the FBXL7 promoter; this activity is regulated by AURKA (PubMed : 28218735).. Isoform 8. Involved in transcriptional regulation in embryonic stem cells (ESCs). Stimulates expression of transcription factors that are required for pluripotency and decreases expression of differentiation-associated genes. Has distinct DNA-binding specifities as compared to the canonical form and preferentially binds DNA with the sequence 5'-CGATACAA-3' (or closely related sequences) (PubMed : 21924763). Promotes ESC self-renewal and pluripotency (By similarity).
See full target information FOXP1

Publications (12)

Recent publications for all applications. Explore the full list and refine your search

Communications biology 8:431 PubMed40082538

2025

Targeting FOXP1 phase separation in small cell lung cancer mechanisms of chemotherapy resistance.

Applications

Unspecified application

Species

Unspecified reactive species

Yichun Tang,Yuchun Niu,Yi Chen,Xuyang Zhou,Yueyang Hu,Lei Sun,Yan Xiong,Yue Xu,Qiongyao Wang,Yu Wang,Linlang Guo

Genomics, proteomics & bioinformatics 22: PubMed38902848

2024

Integrated Single-cell Multiomic Analysis of HIV Latency Reversal Reveals Novel Regulators of Viral Reactivation.

Applications

Unspecified application

Species

Unspecified reactive species

Manickam Ashokkumar,Wenwen Mei,Jackson J Peterson,Yuriko Harigaya,David M Murdoch,David M Margolis,Caleb Kornfein,Alex Oesterling,Zhicheng Guo,Cynthia D Rudin,Yuchao Jiang,Edward P Browne

MedComm 4:e411 PubMed38020715

2023

Low-dose exercise protects the heart against established myocardial infarction via IGF-1-upregulated CTRP9 in male mice.

Applications

Unspecified application

Species

Unspecified reactive species

Yanzhen Tan,Pan Feng,Lele Feng,Lei Shi,Yujie Song,Jian Yang,Weixun Duan,Erhe Gao,Jincheng Liu,Dinghua Yi,Bing Zhang,Yang Sun,Wei Yi

Phytotherapy research : PTR 38:1745-1760 PubMed37740455

2023

Ginsenoside RG1-induced mesenchymal stem cells alleviate diabetic cardiomyopathy through secreting exosomal circNOTCH1 to promote macrophage M2 polarization.

Applications

Unspecified application

Species

Unspecified reactive species

Juan Zhen,Jinping Bai,Jia Liu,Hongbo Men,Haitao Yu

Experimental and therapeutic medicine 26:450 PubMed37614418

2023

FOXP1‑induced DUSP12 alleviates vascular endothelial cell inflammation and oxidative stress injury induced by ox‑LDL via MAP3K5 signaling pathway.

Applications

Unspecified application

Species

Unspecified reactive species

Yuanmin Li,Long Gu,Jian Zhou,Chenjun Han,Wangfu Zang

Journal of gynecologic oncology 33:e81 PubMed36335987

2022

LncRNA XIST promotes carboplatin resistance of ovarian cancer through activating autophagy via targeting miR-506-3p/FOXP1 axis.

Applications

Unspecified application

Species

Unspecified reactive species

Xiaoyan Xia,Zikui Li,Yaojun Li,Feng Ye,Xiaoming Zhou

Annals of translational medicine 10:583 PubMed35722379

2022

G9a promotes inflammation in induced pneumonia mice by stimulating M1 macrophage polarization and H3K9me2 methylation in FOXP1 promoter region.

Applications

Unspecified application

Species

Unspecified reactive species

Yi Li,Guanhua Li,Li Zhang,Yuechuan Li,Zhan Zhao

American journal of translational research 13:4360-4375 PubMed34150019

2021

Cyclooxygenase-2 expressed hepatocellular carcinoma induces cytotoxic T lymphocytes exhaustion through M2 macrophage polarization.

Applications

Unspecified application

Species

Unspecified reactive species

Xiaodong Xun,Changkun Zhang,Siqi Wang,Shihua Hu,Xiao Xiang,Qian Cheng,Zhao Li,Yang Wang,Jiye Zhu

Journal of cellular and molecular medicine 24:12513-12524 PubMed32996692

2020

CircFOXP1/FOXP1 promotes osteogenic differentiation in adipose-derived mesenchymal stem cells and bone regeneration in osteoporosis via miR-33a-5p.

Applications

Unspecified application

Species

Unspecified reactive species

Wanxiang Shen,Bin Sun,Chenghong Zhou,Wenyi Ming,Shaohua Zhang,Xudong Wu

The Journal of comparative neurology 526:1235-1266 PubMed29297931

2018

Mapping the distribution of language related genes FoxP1, FoxP2, and CntnaP2 in the brains of vocal learning bat species.

Applications

IHC-P

Species

Unspecified reactive species

Pedro M Rodenas-Cuadrado,Janine Mengede,Laura Baas,Paolo Devanna,Tobias A Schmid,Michael Yartsev,Uwe Firzlaff,Sonja C Vernes
View all publications

Product promise

We are committed to supporting your work with high-quality reagents, and we're here for you every step of the way. In the unlikely event that one of our products does not perform as expected, you're protected by our Product Promise.
For full details, please see our Terms & Conditions

Please note: All products are 'FOR RESEARCH USE ONLY. NOT FOR USE IN DIAGNOSTIC OR THERAPEUTIC PROCEDURES'.

For licensing inquiries, please contact partnerships@abcam.com