JavaScript is disabled in your browser. Please enable JavaScript to view this website.
AB245739

Anti-FOXP1 antibody [SP133] - BSA and Azide free

Be the first to review this product! Submit a review

|

(0 Publication)

Rabbit Recombinant Monoclonal FOXP1 antibody. Carrier free. Suitable for IHC-P, WB, IHC-Fr, Flow Cyt (Intra) and reacts with Rat, Human, Mouse samples.

View Alternative Names

HSPC215, FOXP1, Forkhead box protein P1, Mac-1-regulated forkhead, MFH

9 Images
Flow Cytometry (Intracellular) - Anti-FOXP1 antibody [SP133] - BSA and Azide free (AB245739)
  • Flow Cyt (Intra)

Lab

Flow Cytometry (Intracellular) - Anti-FOXP1 antibody [SP133] - BSA and Azide free (AB245739)

This data was developed using the same antibody clone in a different buffer formulation containing PBS, BSA, glycerol, and sodium azide (ab227649).

Flow cytometry staining of human peripheral blood mononuclear cells (PBMCs) with ab227649 (right) or Recombinant Rabbit IgG, monoclonal [EPR25A] - Isotype Control (left). Cells were fixed and permeabilised with BD Cytofix/Cytoperm™ for 20 min. PBMCs were incubated for 30 min at 4°C in 1x PBS containing 10 μg/ml human IgG and 10 % normal goat serum to block FC receptors and non-specific protein-protein interaction followed by the antibody ab227649 or Recombinant Rabbit IgG, monoclonal [EPR25A] - Isotype Control (1x 106 in 100 μl at 0.2 μg/ml (1/10050)) for 30 min at 4°C . The cells were simultaneously stained with CD4.

The secondary antibody Goat Anti-Rabbit IgG H&L (Alexa Fluor® 488) preadsorbed was incubated at 1/4000 for 30min at 4°C

Acquisition of >30000 events were collected using a 50 mW Blue laser (488nm) and 525/40 bandpass filter. Events were gated on viable cells.

Flow Cytometry (Intracellular) - Anti-FOXP1 antibody [SP133] - BSA and Azide free (AB245739)
  • Flow Cyt (Intra)

Supplier Data

Flow Cytometry (Intracellular) - Anti-FOXP1 antibody [SP133] - BSA and Azide free (AB245739)

Intracellular flow cytometric analysis ofMOLT-4 (humanlymphoblastic leukemia cell line) cell line labeling FOXP1 with ab227649 at 1/100 dilution (green) compared with a negative control of rabbit IgG (blue).

This data was developed using the same antibody clone in a different buffer formulation containing PBS, BSA and sodium azide (ab227649).

Immunohistochemistry (Formalin/PFA-fixed paraffin-embedded sections) - Anti-FOXP1 antibody [SP133] - BSA and Azide free (AB245739)
  • IHC-P

Unknown

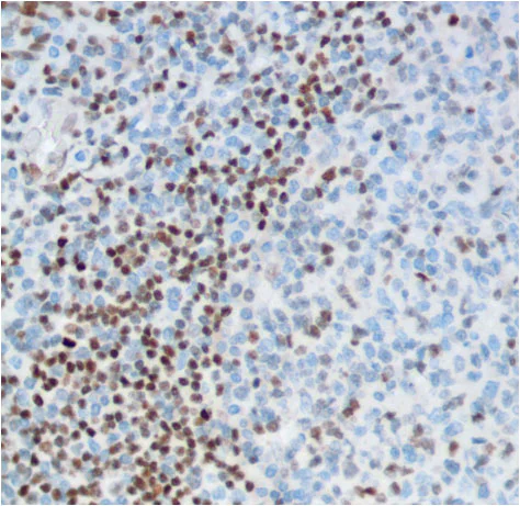
Immunohistochemistry (Formalin/PFA-fixed paraffin-embedded sections) - Anti-FOXP1 antibody [SP133] - BSA and Azide free (AB245739)

Immunohistochemistry (Formalin/PFA-fixed paraffin-embedded sections) analysis of Human tonsil tissue sections labeling FOXP1 with ab227649 at 1/100 dilution (2.40 µg/ml). Heat mediated antigen retrieval was performed Heat mediated antigen retrieval with sodium citrate buffer (pH 6.0, epitope retrieval solution 1) for 20 mins. Rabbit specific IHC polymer detection kit HRP/DAB (ab209101) was used as the secondary antibody. Negative control : PBS instead of the primary antibody. Hematoxylin was used as a counterstain.
This data was developed using the same antibody clone in a different buffer formulation containing PBS, BSA, glycerol, and sodium azide (ab227649)

Immunohistochemistry (Formalin/PFA-fixed paraffin-embedded sections) - Anti-FOXP1 antibody [SP133] - BSA and Azide free (AB245739)
  • IHC-P

Supplier Data

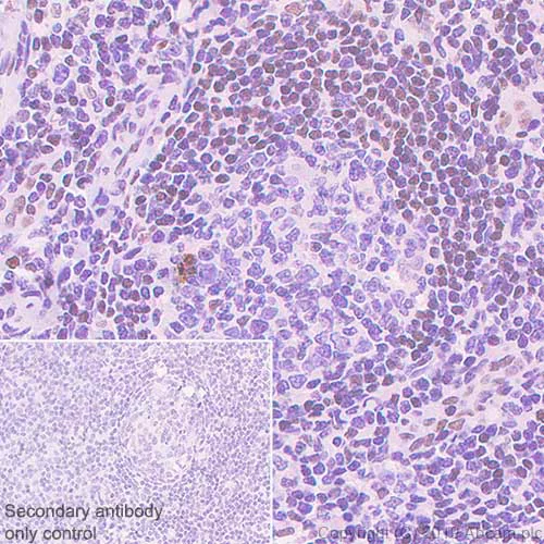
Immunohistochemistry (Formalin/PFA-fixed paraffin-embedded sections) - Anti-FOXP1 antibody [SP133] - BSA and Azide free (AB245739)

Formalin-fixed, paraffin-embedded human tonsil tissue stained for FOXP1 using ab227649 at 1/100 dilution in immunohistochemical analysis.

This data was developed using the same antibody clone in a different buffer formulation containing PBS, BSA and sodium azide (ab227649).

Immunohistochemistry (Frozen sections) - Anti-FOXP1 antibody [SP133] - BSA and Azide free (AB245739)
  • IHC-Fr

Unknown

Immunohistochemistry (Frozen sections) - Anti-FOXP1 antibody [SP133] - BSA and Azide free (AB245739)

Immunohistochemistry (Frozen) analysis of rat cerebral cortex tissue section labeling FOXP1 with purified ab227649 at 1/25 (9.6 μg/ml). Sections were fixed in 4% paraformaldehyde and permeabilized with 0.2% Triton X-100. Antigen retrieval was Heat mediated antigen retrieval using sodium citrate buffer (10mM citrate pH 6.0 + 0.05% Tween-20). Goat anti rabbit IgG (Alexa Fluor® 488, ab150077) was used as the secondary antibody at 1/1000 (2 μg/ml) dilution. DAPI was used as nuclear counterstain. PBS instead of the primary antibody was used as the secondary antibody only control.
This data was developed using the same antibody clone in a different buffer formulation containing PBS, BSA, glycerol, and sodium azide (ab227649).

Immunohistochemistry (Formalin/PFA-fixed paraffin-embedded sections) - Anti-FOXP1 antibody [SP133] - BSA and Azide free (AB245739)
  • IHC-P

Unknown

Immunohistochemistry (Formalin/PFA-fixed paraffin-embedded sections) - Anti-FOXP1 antibody [SP133] - BSA and Azide free (AB245739)

Immunohistochemistry (Formalin/PFA-fixed paraffin-embedded sections) analysis of Rat colon tissue sections labeling FOXP1 with ab227649 at 1/400 dilution (0.60 µg/ml). Heat mediated antigen retrieval was performed Heat mediated antigen retrieval with sodium citrate buffer (pH 6.0, epitope retrieval solution 1) for 20 mins. Rabbit specific IHC polymer detection kit HRP/DAB (ab209101) was used as the secondary antibody. Negative control : PBS instead of the primary antibody. Hematoxylin was used as a counterstain.
This data was developed using the same antibody clone in a different buffer formulation containing PBS, BSA, glycerol, and sodium azide (ab227649)

Immunohistochemistry (Frozen sections) - Anti-FOXP1 antibody [SP133] - BSA and Azide free (AB245739)
  • IHC-Fr

Unknown

Immunohistochemistry (Frozen sections) - Anti-FOXP1 antibody [SP133] - BSA and Azide free (AB245739)

Immunohistochemistry (Frozen) analysis of rat cerebrum tissue section labeling FOXP1 with purified ab227649 at 1/25 (9.6 μg/ml). Sections were fixed in 4% paraformaldehyde and permeabilized with 0.2% Triton X-100. Antigen retrieval was Heat mediated antigen retrieval using sodium citrate buffer (10mM citrate pH 6.0 + 0.05% Tween-20). Goat anti rabbit IgG (Alexa Fluor® 488, ab150077) was used as the secondary antibody at 1/1000 (2 μg/ml) dilution. DAPI was used as nuclear counterstain. PBS instead of the primary antibody was used as the secondary antibody only control.
This data was developed using the same antibody clone in a different buffer formulation containing PBS, BSA, glycerol, and sodium azide (ab227649).

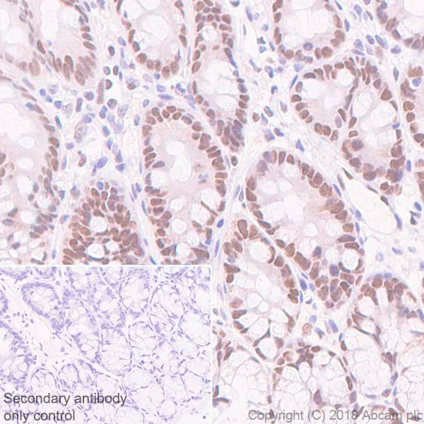
Immunohistochemistry (Formalin/PFA-fixed paraffin-embedded sections) - Anti-FOXP1 antibody [SP133] - BSA and Azide free (AB245739)
  • IHC-P

Unknown

Immunohistochemistry (Formalin/PFA-fixed paraffin-embedded sections) - Anti-FOXP1 antibody [SP133] - BSA and Azide free (AB245739)

Immunohistochemistry (Formalin/PFA-fixed paraffin-embedded sections) analysis of Mouse colon tissue sections labeling FOXP1 with ab227649 at 1/400 dilution (0.60 µg/ml). Heat mediated antigen retrieval was performed Heat mediated antigen retrieval with sodium citrate buffer (pH 6.0, epitope retrieval solution 1) for 20 mins. Rabbit specific IHC polymer detection kit HRP/DAB (ab209101) was used as the secondary antibody. Negative control : PBS instead of the primary antibody. Hematoxylin was used as a counterstain.
This data was developed using the same antibody clone in a different buffer formulation containing PBS, BSA, glycerol, and sodium azide (ab227649)

Flow Cytometry (Intracellular) - Anti-FOXP1 antibody [SP133] - BSA and Azide free (AB245739)
  • Flow Cyt (Intra)

Unknown

Flow Cytometry (Intracellular) - Anti-FOXP1 antibody [SP133] - BSA and Azide free (AB245739)

Intracellular Flow Cytometry analysis of HepG2 (Human hepatocellular carcinoma epithelial cell) labeling FOXP1 with purified ab227649 at 1/20 dilution (12μg/ml) (red). Cells were fixed with 4% paraformaldehyde and permeabilised with 90% methanol. Goat anti rabbit IgG (Alexa Fluor® 488, ab150077) at 1/2000 dilution was used as a secondary antibody. Isotype control -Rabbit monoclonal IgG (ab172730) / Black. Unlableled control -Unlabelled cells / blue. This data was developed using the same antibody clone in a different buffer formulation containing PBS, BSA, glycerol, and sodium azide (ab227649).

Key facts

Host species

Rabbit

Clonality

Monoclonal

Clone number

SP133

Isotype

IgG

Carrier free

Yes

Reacts with

Mouse, Rat, Human

Applications

Flow Cyt (Intra), WB, IHC-Fr, IHC-P

applications

Immunogen

The exact immunogen used to generate this antibody is proprietary information.

Reactivity data

{ "title": "Reactivity Data", "filters": { "stats": ["", "Species", "Dilution Info", "Notes"], "tabs": { "all-applications": {"fullname" : "All Applications", "shortname": "All Applications"}, "IHCP" : {"fullname" : "Immunohistochemistry (Formalin/PFA-fixed paraffin-embedded sections)", "shortname":"IHC-P"}, "WB" : {"fullname" : "Western blot", "shortname":"WB"}, "IHCFr" : {"fullname" : "Immunohistochemistry (Frozen sections)", "shortname":"IHC-Fr"}, "FlowCytIntra" : {"fullname" : "Flow Cytometry (Intracellular)", "shortname":"Flow Cyt (Intra)"} }, "product-promise": { "all": "all", "testedAndGuaranteed": "tested", "guaranteed": "expected", "predicted": "predicted", "notRecommended": "not-recommended" } }, "values": { "Human": { "IHCP-species-checked": "guaranteed", "IHCP-species-dilution-info": "", "IHCP-species-notes": "", "WB-species-checked": "guaranteed", "WB-species-dilution-info": "", "WB-species-notes": "<p>Primary antibody incubation for 1 hour at room temperature.</p>", "IHCFr-species-checked": "guaranteed", "IHCFr-species-dilution-info": "", "IHCFr-species-notes": "", "FlowCytIntra-species-checked": "testedAndGuaranteed", "FlowCytIntra-species-dilution-info": "", "FlowCytIntra-species-notes": "<p>Primary antibody incubation for 30 minutes at 4°C</p>" }, "Mouse": { "IHCP-species-checked": "predicted", "IHCP-species-dilution-info": "", "IHCP-species-notes": "", "WB-species-checked": "guaranteed", "WB-species-dilution-info": "", "WB-species-notes": "<p>Primary antibody incubation for 1 hour at room temperature.</p>", "IHCFr-species-checked": "predicted", "IHCFr-species-dilution-info": "", "IHCFr-species-notes": "", "FlowCytIntra-species-checked": "predicted", "FlowCytIntra-species-dilution-info": "", "FlowCytIntra-species-notes": "" }, "Rat": { "IHCP-species-checked": "testedAndGuaranteed", "IHCP-species-dilution-info": "", "IHCP-species-notes": "<p>Primary antibody incubation for 10 minutes at room temperature.</p> Perform heat-mediated antigen retrieval with citrate buffer pH 6 before commencing with IHC staining protocol.", "WB-species-checked": "guaranteed", "WB-species-dilution-info": "", "WB-species-notes": "<p>Primary antibody incubation for 1 hour at room temperature.</p>", "IHCFr-species-checked": "testedAndGuaranteed", "IHCFr-species-dilution-info": "", "IHCFr-species-notes": "<p></p>", "FlowCytIntra-species-checked": "guaranteed", "FlowCytIntra-species-dilution-info": "", "FlowCytIntra-species-notes": "" } } }

Product details

ab245739 is the carrier-free version of ab227649.

Patented technology
Our RabMAb® technology is a patented hybridoma-based technology for making rabbit monoclonal antibodies. For details on our patents, please refer to RabMAb® patents.

What are the advantages of a recombinant monoclonal antibody?
This product is a recombinant monoclonal antibody, which offers several advantages including:

  • - High batch-to-batch consistency and reproducibility
  • - Improved sensitivity and specificity
  • - Long-term security of supply
  • - Animal-free batch production

For more information, read more on recombinant antibodies.

Conjugation ready
Our carrier-free antibodies are typically supplied in a PBS-only formulation, purified and free of BSA, sodium azide and glycerol. This conjugation-ready format is designed for use with fluorochromes, metal isotopes, oligonucleotides, and enzymes, which makes them ideal for antibody labelling, functional and cell-based assays, flow-based assays (e.g. mass cytometry) and Multiplex Imaging applications.

Use our conjugation kits for antibody conjugates that are ready-to-use in as little as 20 minutes with 1 minute hands-on-time and 100% antibody recovery: available for fluorescent dyes, HRP, biotin and gold.

Compatibility
This product is compatible with the Maxpar® Antibody Labeling Kit from Fluidigm, without the need for antibody preparation. Maxpar® is a trademark of Fluidigm Canada Inc.

Properties and storage information

Form
Liquid
Purification technique
Affinity purification Protein A/G
Purification notes
Purified from TCS by protein A/G.
Storage buffer
pH: 7.2 - 7.4 Constituents: PBS
Shipped at conditions
Blue Ice
Appropriate short-term storage conditions
+4°C
Appropriate long-term storage conditions
+4°C
Storage information
Do Not Freeze

Supplementary information

This supplementary information is collated from multiple sources and compiled automatically.

FOXP1 also known as forkhead box P1 is a transcription factor that belongs to the forkhead box (FOX) family. This protein weighs approximately 75-80 kDa and is expressed in a variety of tissues including the brain heart and lung. It plays a role in regulating gene expression acting as a transcriptional repressor or activator depending on the context. FOXP1 modulates several developmental processes through its interaction with DNA influencing cellular differentiation and proliferation. Its activity is vital in embryonic development and in maintaining the function of certain adult tissues.
Biological function summary

This transcription factor functions in the regulation of gene expression associated with neurodevelopment cardiac growth and immune responses. FOXP1 often forms a complex with other transcription factors such as FOXP2 and FOXP4 which enhances its regulatory roles. These interactions allow it to control various genetic programs that are important in the maturation and specification of different cell types. Moreover FOXP1 contributes to the modulation of B-cell development and function highlighting its importance in immune system regulation.

Pathways

FOXP1 takes part in several key signaling pathways including the Wnt signaling pathway and the TGF-beta pathway. The Wnt signaling pathway relates FOXP1 to β-catenin influencing the expression of genes involved in cell proliferation and differentiation. In the TGF-beta pathway its interactions with SMAD proteins underline its function in cellular processes such as apoptosis and epithelial–mesenchymal transition. These pathways emphasize FOXP1's contribution to controlling cell growth and development across different biological contexts.

Disruptions in the function of this transcription factor have been linked to conditions like intellectual disability and certain types of cancer including lymphoma. The relationship between FOXP1 and proteins such as BCL2 in lymphoma highlights its role in tumorigenesis and progression. Additionally mutations affecting FOXP1 can disturb its interaction with other forkhead family proteins leading to neurodevelopmental disorders that impact cognitive abilities and behavior. Understanding these connections provides insights into how FOXP1's altered activity can contribute to disease pathology.

Product protocols

For this product, it's our understanding that no specific protocols are required. You can visit:

Target data

Transcriptional repressor (PubMed : 18347093, PubMed : 26647308). Can act with CTBP1 to synergistically repress transcription but CTPBP1 is not essential (By similarity). Plays an important role in the specification and differentiation of lung epithelium. Acts cooperatively with FOXP4 to regulate lung secretory epithelial cell fate and regeneration by restricting the goblet cell lineage program; the function may involve regulation of AGR2. Essential transcriptional regulator of B-cell development. Involved in regulation of cardiac muscle cell proliferation. Involved in the columnar organization of spinal motor neurons. Promotes the formation of the lateral motor neuron column (LMC) and the preganglionic motor column (PGC) and is required for respective appropriate motor axon projections. The segment-appropriate generation of spinal cord motor columns requires cooperation with other Hox proteins. Can regulate PITX3 promoter activity; may promote midbrain identity in embryonic stem cell-derived dopamine neurons by regulating PITX3. Negatively regulates the differentiation of T follicular helper cells T(FH)s. Involved in maintenance of hair follicle stem cell quiescence; the function probably involves regulation of FGF18 (By similarity). Represses transcription of various pro-apoptotic genes and cooperates with NF-kappa B-signaling in promoting B-cell expansion by inhibition of caspase-dependent apoptosis (PubMed : 25267198). Binds to CSF1R promoter elements and is involved in regulation of monocyte differentiation and macrophage functions; repression of CSF1R in monocytes seems to involve NCOR2 as corepressor (PubMed : 15286807, PubMed : 18347093, PubMed : 18799727). Involved in endothelial cell proliferation, tube formation and migration indicative for a role in angiogenesis; the role in neovascularization seems to implicate suppression of SEMA5B (PubMed : 24023716). Can negatively regulate androgen receptor signaling (PubMed : 18640093). Acts as a transcriptional activator of the FBXL7 promoter; this activity is regulated by AURKA (PubMed : 28218735).. Isoform 8. Involved in transcriptional regulation in embryonic stem cells (ESCs). Stimulates expression of transcription factors that are required for pluripotency and decreases expression of differentiation-associated genes. Has distinct DNA-binding specifities as compared to the canonical form and preferentially binds DNA with the sequence 5'-CGATACAA-3' (or closely related sequences) (PubMed : 21924763). Promotes ESC self-renewal and pluripotency (By similarity).
See full target information FOXP1

Product promise

We are committed to supporting your work with high-quality reagents, and we're here for you every step of the way. In the unlikely event that one of our products does not perform as expected, you're protected by our Product Promise.
For full details, please see our Terms & Conditions

Please note: All products are 'FOR RESEARCH USE ONLY. NOT FOR USE IN DIAGNOSTIC OR THERAPEUTIC PROCEDURES'.

For licensing inquiries, please contact partnerships@abcam.com