JavaScript is disabled in your browser. Please enable JavaScript to view this website.
AB307506

Anti-FOXP2 antibody [EPR27323-26] - BSA and Azide free

Be the first to review this product! Submit a review

|

(0 Publication)

Rabbit Recombinant Monoclonal FOXP2 antibody. Carrier free. Suitable for Dot, IHC-P, IHC-Fr and reacts with Synthetic peptide, Rat, Mouse samples.

View Alternative Names

Forkhead box protein P2, Foxp2

11 Images
Immunohistochemistry (Formalin/PFA-fixed paraffin-embedded sections) - Anti-FOXP2 antibody [EPR27323-26] - BSA and Azide free (AB307506)
  • IHC-P

Supplier Data

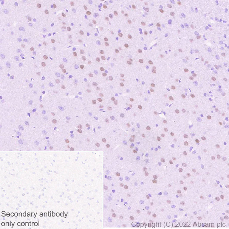
Immunohistochemistry (Formalin/PFA-fixed paraffin-embedded sections) - Anti-FOXP2 antibody [EPR27323-26] - BSA and Azide free (AB307506)

This data was developed using ab307505, the same antibody clone in a different buffer formulation. Immunohistochemical analysis of paraffin-embedded Mosue cerebrum tissue labeling FOXP2 with ab307505 at 1/500 (1.06 ug/ml) followed by a ready to use Rabbit specific IHC polymer detection kit HRP/DAB (ab209101). Positive staining on mouse cerebrum (PMID : 30108312).The section was incubated with ab307505 for 30 mins at room temperature.The immunostaining was performed on a Leica Biosystems BOND® RX instrument Counterstained with Hematoxylin. Secondary antibody only control : Secondary antibody is a ready to use Rabbit specific IHC polymer detection kit HRP/DAB (ab209101). Heat mediated antigen retrieval with Tris-EDTA buffer (pH 9.0, epitope retrieval solution 2) for 20 mins.

Immunohistochemistry (Frozen sections) - Anti-FOXP2 antibody [EPR27323-26] - BSA and Azide free (AB307506)
  • IHC-Fr

Supplier Data

Immunohistochemistry (Frozen sections) - Anti-FOXP2 antibody [EPR27323-26] - BSA and Azide free (AB307506)

This data was developed using ab307505, the same antibody clone in a different buffer formulation. Immunohistochemical analysis of 4% PFA-fixed, 0.2% Triton X-100 permeABilized frozen Mouse liver (fresh) tissue lABeling FOXP2 with ab307505 at 1/100 (5.3 ug/ml) dilution followed by ab150081 Goat Anti-RABbit IgG H&L (Alexa Fluor® 488) preadsorbed at 1/1000 2 ug/mL dilution (Green). Negative control : confocal image showing no staining on mouse liver (PMID : 11358962). The nuclear counterstain was DAPI (Blue). The section was incubated with ab307505 for 60 mins at room temperature. The section was then mounted using Fluoromount®.The immunostaining was performed on a Leica Biosystems BOND® RX instrument. Image was taken with a confocal microscope (Leica-Microsystems, TCS SP8). is observed. The nuclear counterstain was DAPI (Blue). Secondary antibody control : Secondary antibody is ab150081 Goat Anti-RABbit IgG H&L (Alexa Fluor® 488) preadsorbedat 1/1000 2 ug/mL dilution.

Immunohistochemistry (Frozen sections) - Anti-FOXP2 antibody [EPR27323-26] - BSA and Azide free (AB307506)
  • IHC-Fr

Supplier Data

Immunohistochemistry (Frozen sections) - Anti-FOXP2 antibody [EPR27323-26] - BSA and Azide free (AB307506)

This data was developed using ab307505, the same antibody clone in a different buffer formulation. Immunohistochemical analysis of 4% PFA-fixed, 0.2% Triton X-100 permeABilized frozen Mouse cortex (fresh) tissue lABeling FOXP2 with ab307505 at 1/100 (5.3 ug/ml) dilution followed by ab150081 Goat Anti-RABbit IgG H&L (Alexa Fluor® 488) preadsorbed at 1/1000 2 ug/mL dilution (Green). Panel A : merged staining of anti-FOXP2 (ab307505, green), anti-NeuN (ab190565, red) and anti-GFAP (ab201732, grey) on mouse cortex.Panel B : anti-FOXP2 stained on mouse cortex.Panel C : anti-NeuN stained in neurons of mouse cortex.Panel D : anti-GFAP stained in astrocytes of mouse cortex.The section was incubated in two rounds of staining : in the order of ab307505 and ab190565, ab201732 for 1 hr at room temperature. The nuclear counterstain was DAPI (Blue). The section was then mounted using Fluoromount®.The immunostaining was performed on a Leica Biosystems BOND® RX instrument. Image was taken with a confocal microscope (Leica-Microsystems, TCS SP8). is observed. The nuclear counterstain was DAPI (Blue). Secondary antibody control : Secondary antibody is ab150081 Goat Anti-RABbit IgG H&L (Alexa Fluor® 488) preadsorbedat 1/1000 2 ug/mL dilution.

Immunohistochemistry (Formalin/PFA-fixed paraffin-embedded sections) - Anti-FOXP2 antibody [EPR27323-26] - BSA and Azide free (AB307506)
  • IHC-P

Supplier Data

Immunohistochemistry (Formalin/PFA-fixed paraffin-embedded sections) - Anti-FOXP2 antibody [EPR27323-26] - BSA and Azide free (AB307506)

This data was developed using ab307505, the same antibody clone in a different buffer formulation. Immunohistochemical analysis of paraffin-embedded E14.5 fetal rat lung tissue labeling FOXP2 with ab307505 at 1/500 (1.06 ug/ml) followed by a ready to use Rabbit specific IHC polymer detection kit HRP/DAB (ab209101). Positive staining on e14.5 fetal rat lung. The section was incubated with ab307505 for 30 mins at room temperature.The immunostaining was performed on a Leica Biosystems BOND® RX instrument Counterstained with Hematoxylin. Secondary antibody only control : Secondary antibody is a ready to use Rabbit specific IHC polymer detection kit HRP/DAB (ab209101). Heat mediated antigen retrieval with Tris-EDTA buffer (pH 9.0, epitope retrieval solution 2) for 20 mins.

Immunohistochemistry (Formalin/PFA-fixed paraffin-embedded sections) - Anti-FOXP2 antibody [EPR27323-26] - BSA and Azide free (AB307506)
  • IHC-P

Supplier Data

Immunohistochemistry (Formalin/PFA-fixed paraffin-embedded sections) - Anti-FOXP2 antibody [EPR27323-26] - BSA and Azide free (AB307506)

This data was developed using ab307505, the same antibody clone in a different buffer formulation. Immunohistochemical analysis of paraffin-embedded E14.5 embryonic mous tissue labeling FOXP2 with ab307505 at 1/500 (1.06 ug/ml) followed by a ready to use Rabbit specific IHC polymer detection kit HRP/DAB (ab209101). Positive staining on E14.5 embryonic mouse lung (PMID : 17428829).The section was incubated with ab307505 for 30 mins at room temperature.The immunostaining was performed on a Leica Biosystems BOND® RX instrument Counterstained with Hematoxylin. Secondary antibody only control : Secondary antibody is a ready to use Rabbit specific IHC polymer detection kit HRP/DAB (ab209101). Heat mediated antigen retrieval with Tris-EDTA buffer (pH 9.0, epitope retrieval solution 2) for 20 mins.

Immunohistochemistry (Formalin/PFA-fixed paraffin-embedded sections) - Anti-FOXP2 antibody [EPR27323-26] - BSA and Azide free (AB307506)
  • IHC-P

Supplier Data

Immunohistochemistry (Formalin/PFA-fixed paraffin-embedded sections) - Anti-FOXP2 antibody [EPR27323-26] - BSA and Azide free (AB307506)

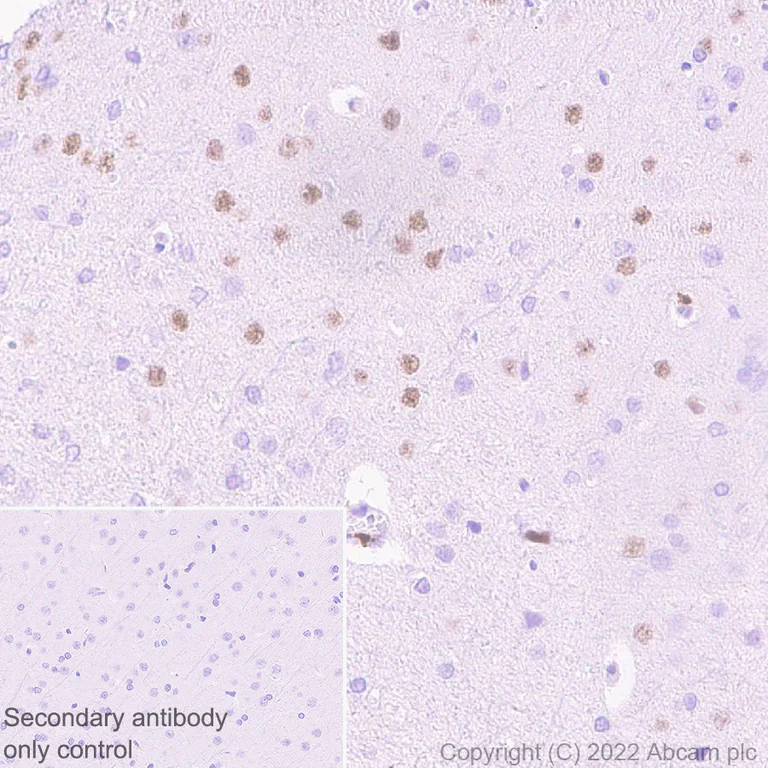
This data was developed using ab307505, the same antibody clone in a different buffer formulation. Immunohistochemical analysis of paraffin-embedded Rat cerebrum tissue labeling FOXP2 with ab307505 at 1/500 (1.06 ug/ml) followed by a ready to use Rabbit specific IHC polymer detection kit HRP/DAB (ab209101). Positive staining on rat cerebrum.The section was incubated with ab307505 for 30 mins at room temperature.The immunostaining was performed on a Leica Biosystems BOND? RX instrument Counterstained with Hematoxylin. Secondary antibody only control : Secondary antibody is a ready to use Rabbit specific IHC polymer detection kit HRP/DAB (ab209101). Heat mediated antigen retrieval with Tris-EDTA buffer (pH 9.0, epitope retrieval solution 2) for 20 mins.

Immunohistochemistry (Formalin/PFA-fixed paraffin-embedded sections) - Anti-FOXP2 antibody [EPR27323-26] - BSA and Azide free (AB307506)
  • IHC-P

Supplier Data

Immunohistochemistry (Formalin/PFA-fixed paraffin-embedded sections) - Anti-FOXP2 antibody [EPR27323-26] - BSA and Azide free (AB307506)

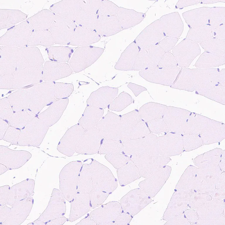
This data was developed using ab307505, the same antibody clone in a different buffer formulation. Immunohistochemical analysis of paraffin-embedded Mouse skeletal muscl tissue labeling FOXP2 with ab307505 at 1/500 (1.06 ug/ml) followed by a ready to use Rabbit specific IHC polymer detection kit HRP/DAB (ab209101). Negative control : no staining on mouse skeletal muscle. The section was incubated with ab307505 for 30 mins at room temperature.The immunostaining was performed on a Leica Biosystems BOND? RX instrument Counterstained with Hematoxylin. Secondary antibody only control : Secondary antibody is a ready to use Rabbit specific IHC polymer detection kit HRP/DAB (ab209101). Heat mediated antigen retrieval with Tris-EDTA buffer (pH 9.0, epitope retrieval solution 2) for 20 mins.

Immunohistochemistry (Formalin/PFA-fixed paraffin-embedded sections) - Anti-FOXP2 antibody [EPR27323-26] - BSA and Azide free (AB307506)
  • IHC-P

Supplier Data

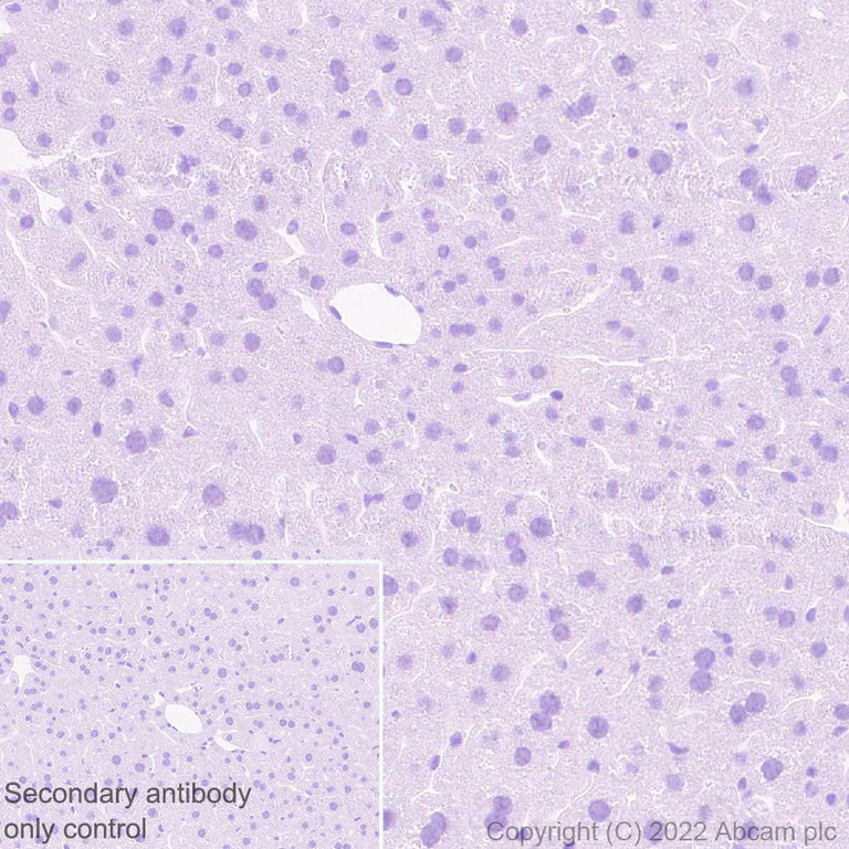
Immunohistochemistry (Formalin/PFA-fixed paraffin-embedded sections) - Anti-FOXP2 antibody [EPR27323-26] - BSA and Azide free (AB307506)

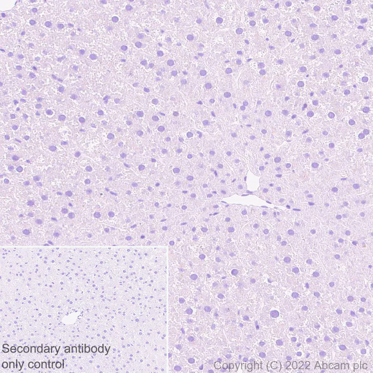
This data was developed using ab307505, the same antibody clone in a different buffer formulation. Immunohistochemical analysis of paraffin-embedded Mouse liver tissue labeling FOXP2 with ab307505 at 1/500 (1.06 ug/ml) followed by a ready to use Rabbit specific IHC polymer detection kit HRP/DAB (ab209101). Negative control : no staining on mouse liver (PMID : 14516685). The section was incubated with ab307505 for 30 mins at room temperature.The immunostaining was performed on a Leica Biosystems BOND? RX instrument Counterstained with Hematoxylin. Secondary antibody only control : Secondary antibody is a ready to use Rabbit specific IHC polymer detection kit HRP/DAB (ab209101). Heat mediated antigen retrieval with Tris-EDTA buffer (pH 9.0, epitope retrieval solution 2) for 20 mins.

Immunohistochemistry (Formalin/PFA-fixed paraffin-embedded sections) - Anti-FOXP2 antibody [EPR27323-26] - BSA and Azide free (AB307506)
  • IHC-P

Supplier Data

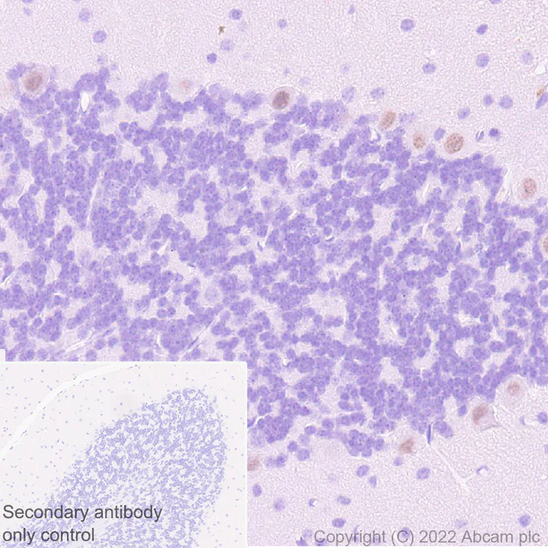
Immunohistochemistry (Formalin/PFA-fixed paraffin-embedded sections) - Anti-FOXP2 antibody [EPR27323-26] - BSA and Azide free (AB307506)

This data was developed using ab307505, the same antibody clone in a different buffer formulation. Immunohistochemical analysis of paraffin-embedded Mouse cerebellum tissue labeling FOXP2 with ab307505 at 1/500 (1.06 ug/ml) followed by a ready to use Rabbit specific IHC polymer detection kit HRP/DAB (ab209101). Positive staining on mouse cerebellum (PMID : 30108312)The section was incubated with ab307505 for 30 mins at room temperature.The immunostaining was performed on a Leica Biosystems BOND? RX instrument Counterstained with Hematoxylin. Secondary antibody only control : Secondary antibody is a ready to use Rabbit specific IHC polymer detection kit HRP/DAB (ab209101). Heat mediated antigen retrieval with Tris-EDTA buffer (pH 9.0, epitope retrieval solution 2) for 20 mins.

Immunohistochemistry (Formalin/PFA-fixed paraffin-embedded sections) - Anti-FOXP2 antibody [EPR27323-26] - BSA and Azide free (AB307506)
  • IHC-P

Supplier Data

Immunohistochemistry (Formalin/PFA-fixed paraffin-embedded sections) - Anti-FOXP2 antibody [EPR27323-26] - BSA and Azide free (AB307506)

This data was developed using ab307505, the same antibody clone in a different buffer formulation. Immunohistochemical analysis of paraffin-embedded Rat liver tissue labeling FOXP2 with ab307505 at 1/500 (1.06 ug/ml) followed by a ready to use Rabbit specific IHC polymer detection kit HRP/DAB (ab209101). Negative control : no staining on rat liver. The section was incubated with ab307505 for 30 mins at room temperature.The immunostaining was performed on a Leica Biosystems BOND? RX instrument Counterstained with Hematoxylin. Secondary antibody only control : Secondary antibody is a ready to use Rabbit specific IHC polymer detection kit HRP/DAB (ab209101). Heat mediated antigen retrieval with Tris-EDTA buffer (pH 9.0, epitope retrieval solution 2) for 20 mins.

Dot Blot - Anti-FOXP2 antibody [EPR27323-26] - BSA and Azide free (AB307506)
  • Dot

Supplier Data

Dot Blot - Anti-FOXP2 antibody [EPR27323-26] - BSA and Azide free (AB307506)

This data was developed using ab307505, the same antibody clone in a different buffer formulation. Dot blot analysis of FOXP2 using ab307505 at 1 : 1000 (0.53 ug/ml) followed by a Goat Anti-RABbit IgG, (H+L), Peroxidase conjugated (ab97051) at 1 : 100,000 dilution. Exposure time : 180 seconds. Blocking and diluting buffer and concentration : 5% NFDM/TBST

Key facts

Host species

Rabbit

Clonality

Monoclonal

Clone number

EPR27323-26

Isotype

IgG

Carrier free

Yes

Reacts with

Mouse, Rat

Applications

IHC-P, IHC-Fr, Dot

applications

Immunogen

The exact immunogen used to generate this antibody is proprietary information.

Reactivity data

{ "title": "Reactivity Data", "filters": { "stats": ["", "Species", "Dilution Info", "Notes"], "tabs": { "all-applications": {"fullname" : "All Applications", "shortname": "All Applications"}, "Dot" : {"fullname" : "Dot Blot", "shortname":"Dot"}, "IHCP" : {"fullname" : "Immunohistochemistry (Formalin/PFA-fixed paraffin-embedded sections)", "shortname":"IHC-P"}, "IHCFr" : {"fullname" : "Immunohistochemistry (Frozen sections)", "shortname":"IHC-Fr"}, "ICCIF" : {"fullname" : "Immunocytochemistry/ Immunofluorescence", "shortname":"ICC/IF"}, "IP" : {"fullname" : "Immunoprecipitation", "shortname":"IP"}, "FlowCyt" : {"fullname" : "Flow Cytometry", "shortname":"Flow Cyt"}, "WB" : {"fullname" : "Western blot", "shortname":"WB"} }, "product-promise": { "all": "all", "testedAndGuaranteed": "tested", "guaranteed": "expected", "predicted": "predicted", "notRecommended": "not-recommended" } }, "values": { "Human": { "Dot-species-checked": "notRecommended", "Dot-species-dilution-info": "", "Dot-species-notes": "", "IHCP-species-checked": "notRecommended", "IHCP-species-dilution-info": "", "IHCP-species-notes": "", "IHCFr-species-checked": "notRecommended", "IHCFr-species-dilution-info": "", "IHCFr-species-notes": "", "ICCIF-species-checked": "notRecommended", "ICCIF-species-dilution-info": "", "ICCIF-species-notes": "", "IP-species-checked": "notRecommended", "IP-species-dilution-info": "", "IP-species-notes": "", "FlowCyt-species-checked": "notRecommended", "FlowCyt-species-dilution-info": "", "FlowCyt-species-notes": "", "WB-species-checked": "notRecommended", "WB-species-dilution-info": "", "WB-species-notes": "<p></p>" }, "Mouse": { "Dot-species-checked": "guaranteed", "Dot-species-dilution-info": "", "Dot-species-notes": "", "IHCP-species-checked": "testedAndGuaranteed", "IHCP-species-dilution-info": "", "IHCP-species-notes": "<p></p>", "IHCFr-species-checked": "testedAndGuaranteed", "IHCFr-species-dilution-info": "", "IHCFr-species-notes": "<p></p>", "ICCIF-species-checked": "notRecommended", "ICCIF-species-dilution-info": "", "ICCIF-species-notes": "<p></p>", "IP-species-checked": "notRecommended", "IP-species-dilution-info": "", "IP-species-notes": "<p></p>", "FlowCyt-species-checked": "notRecommended", "FlowCyt-species-dilution-info": "", "FlowCyt-species-notes": "<p></p>", "WB-species-checked": "notRecommended", "WB-species-dilution-info": "", "WB-species-notes": "<p></p>" }, "Rat": { "Dot-species-checked": "guaranteed", "Dot-species-dilution-info": "", "Dot-species-notes": "", "IHCP-species-checked": "testedAndGuaranteed", "IHCP-species-dilution-info": "", "IHCP-species-notes": "<p></p>", "IHCFr-species-checked": "notRecommended", "IHCFr-species-dilution-info": "", "IHCFr-species-notes": "<p></p>", "ICCIF-species-checked": "notRecommended", "ICCIF-species-dilution-info": "", "ICCIF-species-notes": "", "IP-species-checked": "notRecommended", "IP-species-dilution-info": "", "IP-species-notes": "", "FlowCyt-species-checked": "notRecommended", "FlowCyt-species-dilution-info": "", "FlowCyt-species-notes": "", "WB-species-checked": "notRecommended", "WB-species-dilution-info": "", "WB-species-notes": "<p></p>" }, "Synthetic peptide": { "Dot-species-checked": "testedAndGuaranteed", "Dot-species-dilution-info": "", "Dot-species-notes": "<p></p>", "IHCP-species-checked": "notRecommended", "IHCP-species-dilution-info": "", "IHCP-species-notes": "", "IHCFr-species-checked": "notRecommended", "IHCFr-species-dilution-info": "", "IHCFr-species-notes": "", "ICCIF-species-checked": "notRecommended", "ICCIF-species-dilution-info": "", "ICCIF-species-notes": "", "IP-species-checked": "notRecommended", "IP-species-dilution-info": "", "IP-species-notes": "", "FlowCyt-species-checked": "notRecommended", "FlowCyt-species-dilution-info": "", "FlowCyt-species-notes": "", "WB-species-checked": "notRecommended", "WB-species-dilution-info": "", "WB-species-notes": "" } } }

Product details

Patented technology
Our RabMAb® technology is a patented hybridoma-based technology for making rabbit monoclonal antibodies. For details on our patents, please refer to RabMAb® patents.

What are the advantages of a recombinant monoclonal antibody?
This product is a recombinant monoclonal antibody, which offers several advantages including:

  • - High batch-to-batch consistency and reproducibility
  • - Improved sensitivity and specificity
  • - Long-term security of supply
  • - Animal-free batch production

For more information, read more on recombinant antibodies.

Conjugation ready
Our carrier-free antibodies are typically supplied in a PBS-only formulation, purified and free of BSA, sodium azide and glycerol. This conjugation-ready format is designed for use with fluorochromes, metal isotopes, oligonucleotides, and enzymes, which makes them ideal for antibody labelling, functional and cell-based assays, flow-based assays (e.g. mass cytometry) and Multiplex Imaging applications.

Use our conjugation kits for antibody conjugates that are ready-to-use in as little as 20 minutes with 1 minute hands-on-time and 100% antibody recovery: available for fluorescent dyes, HRP, biotin and gold.

Compatibility
This product is compatible with the Maxpar® Antibody Labeling Kit from Fluidigm, without the need for antibody preparation. Maxpar® is a trademark of Fluidigm Canada Inc.

Properties and storage information

Form
Liquid
Purification technique
Affinity purification Protein A
Storage buffer
pH: 7.2 - 7.4 Constituents: PBS
Shipped at conditions
Blue Ice
Appropriate short-term storage conditions
+4°C
Appropriate long-term storage conditions
+4°C

Supplementary information

This supplementary information is collated from multiple sources and compiled automatically.

The FOXP2 gene also known as forkhead box P2 encodes a protein that plays a significant role in gene regulation. The FOXP2 protein is involved in the transcriptional regulation of its target genes acting as a transcription factor. With a molecular mass of approximately 80 kDa it binds to DNA sequences influencing the expression of other genes that control various cellular processes. FOXP2 is highly expressed in the brain particularly in regions involved in neural development and functioning such as the basal ganglia and cortex. Its presence however is also notable in specific tissues outside the central nervous system.
Biological function summary

The FOXP2 protein is essential for normal speech and language development in humans. It forms part of a transcription factor complex that controls the expression of genes involved in neural plasticity connectivity and synaptic function. This regulation is important for proper neuronal differentiation and circuit formation. Moreover FOXP2 operates in conjunction with other transcription factors highlighting its role in more extensive gene networks necessary for brain development and cognitive functions.

Pathways

FOXP2 is integrated into neural pathways impacting language and speech development. It draws connections with key signaling pathways such as the synaptic signaling pathway and Wnt signaling pathway. Within these pathways FOXP2 interacts with proteins like CNTNAP2 and SRPX2 which are instrumental in synapse development and neuron signaling. These interactions underline the importance of FOXP2 in maintaining complex signaling necessary for higher-order brain functions including those responsible for linguistic abilities.

FOXP2 mutations have strong associations with developmental verbal dyspraxia a condition affecting speech motor planning. Mutations or altered expressions in FOXP2 lead to impairments in motor-related speech processing. Additionally FOXP2 has connections with autism spectrum disorders where it might contribute to language deficits seen in affected individuals. The interaction with proteins such as CNTNAP2 which also links to language disorders showcases FOXP2's critical involvement in cognitive and speech-related pathologies.

Product protocols

For this product, it's our understanding that no specific protocols are required. You can visit:

Target data

Transcriptional repressor that may play a role in the specification and differentiation of lung epithelium. May also play a role in developing neural, gastrointestinal and cardiovascular tissues. Can act with CTBP1 to synergistically repress transcription but CTPBP1 is not essential. Plays a role in synapse formation by regulating SRPX2 levels.
See full target information Foxp2

Product promise

We are committed to supporting your work with high-quality reagents, and we're here for you every step of the way. In the unlikely event that one of our products does not perform as expected, you're protected by our Product Promise.
For full details, please see our Terms & Conditions

Please note: All products are 'FOR RESEARCH USE ONLY. NOT FOR USE IN DIAGNOSTIC OR THERAPEUTIC PROCEDURES'.

For licensing inquiries, please contact partnerships@abcam.com