JavaScript is disabled in your browser. Please enable JavaScript to view this website.
AB253297

Anti-FOXP3 antibody [221D]

5

(1 Review)

|

(11 Publications)

Mouse Recombinant Monoclonal FOXP3 antibody. Suitable for WB, IHC-P and reacts with Human, Mouse, Cat, Horse, Pig, Llama, Goat, Sheep samples. Cited in 11 publications.

View Alternative Names

IPEX, JM2, FOXP3, Forkhead box protein P3, Scurfin

7 Images
Immunohistochemistry (Formalin/PFA-fixed paraffin-embedded sections) - Anti-FOXP3 antibody [221D] (AB253297)
  • IHC-P

Unknown

Immunohistochemistry (Formalin/PFA-fixed paraffin-embedded sections) - Anti-FOXP3 antibody [221D] (AB253297)

Immunohistochemical analysis of paraffin-embedded human stomach carcinoma tissue labeling FOXP3 with ab253297 at 1/1000 dilution (1.514 μg/ml) followed by a ready to use secondary. Nuclear staining on the stroma cells in the human stomach carcinoma. The section was incubated with ab253297 for 30 mins at room temperature. The immunostaining was performed on a Leica Biosystems BOND® RX instrument. Counterstained with Hematoxylin.

Secondary antibody only control : Secondary antibody is a ready to use secondary.

Heat mediated antigen retrieval with Tris-EDTA buffer (pH 9.0, epitope retrieval solution2) for 20 mins.

Immunohistochemistry (Formalin/PFA-fixed paraffin-embedded sections) - Anti-FOXP3 antibody [221D] (AB253297)
  • IHC-P

Unknown

Immunohistochemistry (Formalin/PFA-fixed paraffin-embedded sections) - Anti-FOXP3 antibody [221D] (AB253297)

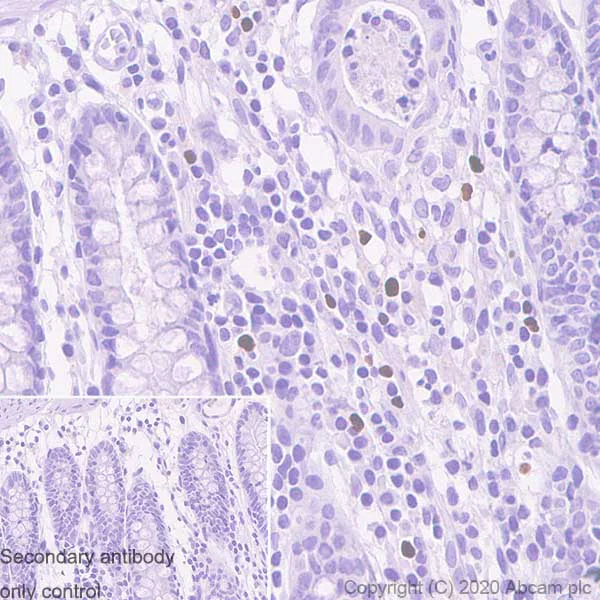
Immunohistochemical analysis of paraffin-embedded human colon tissue labeling FOXP3 with ab253297 at 1/1000 dilution (1.514 μg/ml) followed by a ready to use secondary. Nuclear staining on the stroma cells in the human colon. The section was incubated with ab253297 for 30 mins at room temperature. The immunostaining was performed on a Leica Biosystems BOND® RX instrument. Counterstained with Hematoxylin.

Secondary antibody only control : Secondary antibody is a ready to use secondary.

Heat mediated antigen retrieval with Tris-EDTA buffer (pH 9.0, epitope retrieval solution2) for 20 mins.

Immunohistochemistry (Formalin/PFA-fixed paraffin-embedded sections) - Anti-FOXP3 antibody [221D] (AB253297)
  • IHC-P

Unknown

Immunohistochemistry (Formalin/PFA-fixed paraffin-embedded sections) - Anti-FOXP3 antibody [221D] (AB253297)

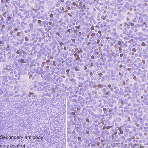
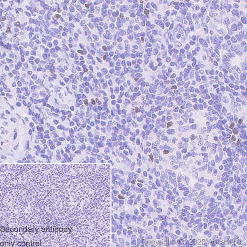
Immunohistochemical analysis of paraffin-embedded human tonsil tissue labeling FOXP3 with ab253297 at 1/1000 dilution (1.514 μg/ml) followed by a ready to use secondary. Nuclear staining on the human tonsil. The section was incubated with ab253297 for 30 mins at room temperature. The immunostaining was performed on a Leica Biosystems BOND® RX instrument. Counterstained with Hematoxylin.

Secondary antibody only control : Secondary antibody is a ready to use secondary.

Heat mediated antigen retrieval with Tris-EDTA buffer (pH 9.0, epitope retrieval solution2) for 20 mins.

Immunohistochemistry (Formalin/PFA-fixed paraffin-embedded sections) - Anti-FOXP3 antibody [221D] (AB253297)
  • IHC-P

Collaborator

Immunohistochemistry (Formalin/PFA-fixed paraffin-embedded sections) - Anti-FOXP3 antibody [221D] (AB253297)

The BOND™ Polymer Refine Detection System on the BOND RX Automated Stainer (DS9800, Leica Biosystems, Wetzlar, Germany) was used for immunohistochemical labelling of formalin-fixed, paraffin-embedded (FFPE) tissues. The protocol includes a peroxide block, post-primary reagent, polymer detection, DAB chromogen, and haematoxylin counterstain, all automated to minimize variability. Antigen retrieval was performed by heat-induced epitope retrieval (HIER) for 20 minutes in Tris-EDTA buffer (BOND Epitope Retrieval Solution 2, AR9640, Leica Biosystems, Wetzlar, Germany). For mouse and rabbit antibodies, the sequence comprised peroxide block (10 min), primary antibody incubation (30 min), post-primary (10 min), polymer (10 min), DAB (10 min), and haematoxylin (8 min). For rat antibodies, an anti-rat step (1 : 300 dilution, Vector Laboratories, California, USA; 20 min) was included prior to polymer application (15 min).

For mouse tissues, antigen retrieval was performed using high pH buffers (Dako, Agilent), followed by blocking of endogenous peroxidase activity with 3% hydrogen peroxide. Slides were then incubated with the primary antibody. Antigen/antibody complexes detection was carried out using a horseradish peroxidase-conjugated visualization system (Novolink Polymer, Leica). Staining was developed with 3,3′-diaminobenzidine (EnVision FLEX DAB Enhancer, Dako, Agilent), and nuclei were counterstained with hematoxylin (FLEX Hematoxylin, SM806, Dako, Agilent). Images were acquired using an Axiocam CCD camera (Zeiss) and processed with ZEN 2.1 software and Photoshop 9.0.

Immunohistochemistry (Formalin/PFA-fixed paraffin-embedded sections) - Anti-FOXP3 antibody [221D] (AB253297)
  • IHC-P

Unknown

Immunohistochemistry (Formalin/PFA-fixed paraffin-embedded sections) - Anti-FOXP3 antibody [221D] (AB253297)

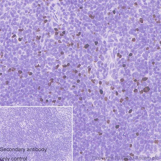
Immunohistochemical analysis of paraffin-embedded mouse spleen tissue labeling FOXP3 with ab253297 at 1/1000 dilution (1.514 μg/ml) followed by a ready to use secondary. Nuclear staining on mouse spleen tissue. The section was incubated with ab253297 for 30 mins at room temperature. The immunostaining was performed on a Leica Biosystems BOND® RX instrument. Counterstained with Hematoxylin.

Secondary antibody only control : Secondary antibody is a ready to use secondary.

Heat mediated antigen retrieval with Tris-EDTA buffer (pH 9.0, epitope retrieval solution2) for 20 mins.

Immunohistochemistry (Formalin/PFA-fixed paraffin-embedded sections) - Anti-FOXP3 antibody [221D] (AB253297)
  • IHC-P

Unknown

Immunohistochemistry (Formalin/PFA-fixed paraffin-embedded sections) - Anti-FOXP3 antibody [221D] (AB253297)

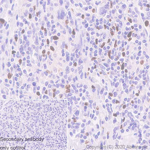
Immunohistochemical analysis of paraffin-embedded mouse thymus tissue labeling FOXP3 with ab253297 at 1/1000 dilution (1.514 μg/ml) followed by a ready to use secondary. Nuclear staining on mouse thymus tissue. The section was incubated with ab253297 for 30 mins at room temperature. The immunostaining was performed on a Leica Biosystems BOND® RX instrument. Counterstained with Hematoxylin.

Secondary antibody only control : Secondary antibody is a ready to use secondary.

Heat mediated antigen retrieval with Tris-EDTA buffer (pH 9.0, epitope retrieval solution2) for 20 mins.

Western blot - Anti-FOXP3 antibody [221D] (AB253297)
  • WB

Lab

Western blot - Anti-FOXP3 antibody [221D] (AB253297)

The molecular weight observed was in consistant with the literature (PMID : 17586580).

Blocking/Dilution buffer : 5% NFDM/TBST.

All lanes:

Western blot - Anti-FOXP3 antibody [221D] (ab253297) at 1.514 µg/mL

Lane 1:

HEK-293T (human embryonic kidney) transfected with an empty vector (vector control), containing a GFP-myc tag, whole cell lysate at 20 µg

Lane 2:

HEK-293T transfected with FOXP3 (WT) expression vector containing a GFP-myc tag, whole cell lysate at 20 µg

Secondary

All lanes:

Peroxidase-Conjugated Goat anti-Mouse IgG (H+L) at 1/10000 dilution

Predicted band size: 47 kDa

Observed band size: 73 kDa

false

Exposure time: 3s

  • Carrier free

    Anti-FOXP3 antibody [221D] - BSA and Azide free

Key facts

Host species

Mouse

Clonality

Monoclonal

Clone number

221D

Isotype

IgG1

Light chain type

kappa

Carrier free

No

Reacts with

Mouse, Human, Cat, Horse, Pig, Llama, Goat, Sheep

Applications

IHC-P, WB

applications

Immunogen

The exact immunogen used to generate this antibody is proprietary information.

Specificity

This antibody is not suitable for detection of endogenous expression of FOXP3 in western blot.

Reactivity data

{ "title": "Reactivity Data", "filters": { "stats": ["", "Species", "Dilution Info", "Notes"], "tabs": { "all-applications": {"fullname" : "All Applications", "shortname": "All Applications"}, "WB" : {"fullname" : "Western blot", "shortname":"WB"}, "IHCFr" : {"fullname" : "Immunohistochemistry (Frozen sections)", "shortname":"IHC-Fr"}, "IHCP" : {"fullname" : "Immunohistochemistry (Formalin/PFA-fixed paraffin-embedded sections)", "shortname":"IHC-P"} }, "product-promise": { "all": "all", "testedAndGuaranteed": "tested", "guaranteed": "expected", "predicted": "predicted", "notRecommended": "not-recommended" } }, "values": { "Human": { "WB-species-checked": "testedAndGuaranteed", "WB-species-dilution-info": "1.514 µg/mL", "WB-species-notes": "<p></p>", "IHCFr-species-checked": "notRecommended", "IHCFr-species-dilution-info": "", "IHCFr-species-notes": "<p></p>", "IHCP-species-checked": "testedAndGuaranteed", "IHCP-species-dilution-info": "1.514 µg/mL", "IHCP-species-notes": "<p></p> Perform heat-mediated antigen retrieval with Tris/EDTA buffer pH 9.0 before commencing with IHC staining protocol." }, "Mouse": { "WB-species-checked": "guaranteed", "WB-species-dilution-info": "", "WB-species-notes": "", "IHCFr-species-checked": "notRecommended", "IHCFr-species-dilution-info": "", "IHCFr-species-notes": "<p></p> Perform heat-mediated antigen retrieval with Tris/EDTA buffer pH 9.0 before commencing with IHC staining protocol.", "IHCP-species-checked": "testedAndGuaranteed", "IHCP-species-dilution-info": "1.514 µg/mL", "IHCP-species-notes": "<p></p> Perform heat-mediated antigen retrieval with Tris/EDTA buffer pH 9.0 before commencing with IHC staining protocol." }, "Rat": { "WB-species-checked": "notRecommended", "WB-species-dilution-info": "", "WB-species-notes": "", "IHCFr-species-checked": "notRecommended", "IHCFr-species-dilution-info": "", "IHCFr-species-notes": "", "IHCP-species-checked": "notRecommended", "IHCP-species-dilution-info": "1/1.514", "IHCP-species-notes": "<p></p> Perform heat-mediated antigen retrieval with Tris/EDTA buffer pH 9.0 before commencing with IHC staining protocol." }, "Cat": { "WB-species-checked": "guaranteed", "WB-species-dilution-info": "", "WB-species-notes": "", "IHCFr-species-checked": "notRecommended", "IHCFr-species-dilution-info": "", "IHCFr-species-notes": "", "IHCP-species-checked": "testedAndGuaranteed", "IHCP-species-dilution-info": "1/800", "IHCP-species-notes": "<p></p> Perform heat-mediated antigen retrieval with Tris/EDTA buffer pH 9.0 before commencing with IHC staining protocol." }, "Goat": { "WB-species-checked": "guaranteed", "WB-species-dilution-info": "", "WB-species-notes": "", "IHCFr-species-checked": "notRecommended", "IHCFr-species-dilution-info": "", "IHCFr-species-notes": "", "IHCP-species-checked": "testedAndGuaranteed", "IHCP-species-dilution-info": "1/800", "IHCP-species-notes": "<p></p> Perform heat-mediated antigen retrieval with Tris/EDTA buffer pH 9.0 before commencing with IHC staining protocol." }, "Horse": { "WB-species-checked": "guaranteed", "WB-species-dilution-info": "", "WB-species-notes": "", "IHCFr-species-checked": "notRecommended", "IHCFr-species-dilution-info": "", "IHCFr-species-notes": "", "IHCP-species-checked": "testedAndGuaranteed", "IHCP-species-dilution-info": "1/800", "IHCP-species-notes": "<p></p> Perform heat-mediated antigen retrieval with Tris/EDTA buffer pH 9.0 before commencing with IHC staining protocol." }, "Llama": { "WB-species-checked": "guaranteed", "WB-species-dilution-info": "", "WB-species-notes": "", "IHCFr-species-checked": "notRecommended", "IHCFr-species-dilution-info": "", "IHCFr-species-notes": "", "IHCP-species-checked": "testedAndGuaranteed", "IHCP-species-dilution-info": "1/800", "IHCP-species-notes": "<p></p> Perform heat-mediated antigen retrieval with Tris/EDTA buffer pH 9.0 before commencing with IHC staining protocol." }, "Pig": { "WB-species-checked": "guaranteed", "WB-species-dilution-info": "", "WB-species-notes": "", "IHCFr-species-checked": "notRecommended", "IHCFr-species-dilution-info": "", "IHCFr-species-notes": "", "IHCP-species-checked": "testedAndGuaranteed", "IHCP-species-dilution-info": "1/800", "IHCP-species-notes": "<p></p> Perform heat-mediated antigen retrieval with Tris/EDTA buffer pH 9.0 before commencing with IHC staining protocol." }, "Sheep": { "WB-species-checked": "guaranteed", "WB-species-dilution-info": "", "WB-species-notes": "", "IHCFr-species-checked": "notRecommended", "IHCFr-species-dilution-info": "", "IHCFr-species-notes": "", "IHCP-species-checked": "testedAndGuaranteed", "IHCP-species-dilution-info": "1/800", "IHCP-species-notes": "<p></p> Perform heat-mediated antigen retrieval with Tris/EDTA buffer pH 9.0 before commencing with IHC staining protocol." } } }

Product details

What are the advantages of a recombinant monoclonal antibody?
This product is a recombinant monoclonal antibody, which offers several advantages including:

  • - High batch-to-batch consistency and reproducibility
  • - Improved sensitivity and specificity
  • - Long-term security of supply
  • - Animal-free batch production

For more information, read more on recombinant antibodies.

Want a custom formulation?
This antibody clone is manufactured by Abcam. If you require a custom buffer formulation or conjugation for your experiments, please contact orders@abcam.com

Properties and storage information

Form
Liquid
Purification technique
Affinity purification Protein A
Storage buffer
pH: 7.2 - 7.4 Preservative: 0.01% Sodium azide Constituents: PBS, 40% Glycerol (glycerin, glycerine), 0.05% BSA
Shipped at conditions
Blue Ice
Appropriate short-term storage duration
1-2 weeks
Appropriate short-term storage conditions
+4°C
Appropriate long-term storage conditions
-20°C
Aliquoting information
Upon delivery aliquot
Storage information
Avoid freeze / thaw cycle

Supplementary information

This supplementary information is collated from multiple sources and compiled automatically.

FOXP3 also recognized as Forkhead box P3 is a transcription factor critical for immune system function. It weighs approximately 47 kDa. FOXP3 is mainly expressed in regulatory T cells (Tregs) which play a role in maintaining immune tolerance. Scientists primarily identify its presence in the nucleus where it facilitates transcriptional regulation. Methods like 'FOXP3 IHC' and 'FOXP3 IHC mouse' are useful for detecting this protein in tissue samples while 'FOXP3 antibodies' aid in research on this target. Techniques like 'FOXP3 staining' and 'FOXP3 flow cytometry' further allow for the analysis of its expression and function.
Biological function summary

This transcription factor operates by regulating the expression of a variety of genes involved in Treg cell development and function. FOXP3 can interact with other proteins to form complexes that modulate gene expression. Its role is essential in enabling Tregs to suppress immune responses a process necessary for preventing autoimmunity. The interaction extends to other key regulators within Tregs such as the protein complex 221D which may have overlapping functional responsibilities. 'FOXP3 236a/E7' reflects its genetic variants detectable in different studies providing insights into its biological functions.

Pathways

FOXP3 is a significant player within the immune regulation pathway. It integrates into the TGF-beta signaling pathway in which it controls the expression of genes important for Treg functions. The protein recruits other transcription factors like NF-kB coordinating intricate network regulations within immune cells. FOXP3's activity orchestrates the balance between immune activation and suppression ensuring a well-functioning immune response that prevents overreactions leading to autoimmune conditions.

FOXP3 mutations or dysregulation can link to autoimmune diseases like immune dysregulation polyendocrinopathy enteropathy X-linked syndrome (IPEX). This transcription factor's malfunction implicates cancer where inadequate Treg function can either suppress antitumor immunity or result in tumor progression. Proteins such as CTLA-4 which is also involved in immune regulation connect to FOXP3 in these contexts emphasizing FOXP3’s significant role in maintaining immune homeostasis and its impact on disease development.

Product protocols

For this product, it's our understanding that no specific protocols are required. You can visit:

Target data

The protein expressed by the FOXP3 gene is a transcriptional regulator critical for the development and inhibitory function of regulatory T-cells (Treg). It plays an essential role in immune system homeostasis by ensuring the suppressive function and stability of Treg cells and directly influencing conventional T-cells' expansion and function. FOXP3 can function as either a transcriptional repressor or activator, depending on its interactions with other factors, such as transcription factors, histone acetylases, and deacetylases. It co-activates genes like CTLA4 and TNFRSF18 and represses cytokine genes, including interleukin-2 (IL2) and interferon-gamma (IFNG), and inhibits cytokine production by repressing the activity of transcription factors RELA and NFATC2. FOXP3's association with histone acetylase KAT5 and deacetylase HDAC7 mediates IL2 repression, while its interaction with transcription factor RUNX1 modulates the expression of TNFRSF18, IL2RA, CTLA4, IL2, and IFNG. It also antagonizes RORC to inhibit the differentiation of IL17 producing helper T-cells (Th17), leading to reduced IL17 expression and promoting Treg development, while inhibiting the transcriptional activator activity of RORA. This supplementary information is collated from multiple sources and compiled automatically.
See full target information FOXP3

Publications (11)

Recent publications for all applications. Explore the full list and refine your search

Advanced science (Weinheim, Baden-Wurttemberg, Germany) 12:e2410288 PubMed39840532

2025

Peptide-Drug Conjugate for Therapeutic Reprogramming of Tumor-Associated Macrophages in Breast Cancer.

Applications

Unspecified application

Species

Unspecified reactive species

Anni Lepland,Elisa Peranzoni,Uku Haljasorg,Eliana K Asciutto,Maria Crespí-Amer,Lorenzo Modesti,Kalle Kilk,Manuel Lombardia,Gerardo Acosta,Miriam Royo,Pärt Peterson,Ilaria Marigo,Tambet Teesalu,Pablo Scodeller

Cellular and molecular life sciences : CMLS 81:423 PubMed39367914

2024

Eldecalcitol ameliorates diabetic osteoporosis and glucolipid metabolic disorder by promoting Treg cell differentiation through SOCE.

Applications

Unspecified application

Species

Unspecified reactive species

Yujun Jiang,Ruihan Gao,Qiaohui Ying,Xiaolin Li,Yaling Dai,Aimei Song,Hongrui Liu,Tomoka Hasegawa,Minqi Li

The journal of pathology. Clinical research 10:e353 PubMed38502058

2024

Immune checkpoint CD161/LLT1-associated immunological landscape and diagnostic value in oral squamous cell carcinoma.

Applications

Unspecified application

Species

Unspecified reactive species

Xinyang Hu,Yuexin Dong,Shixin Xie,Yuxian Song,Chenhang Yu,Yijia He,Zhiyong Wang,Qingang Hu,Yanhong Ni,Liang Ding

Frontiers in cell and developmental biology 11:1257314 PubMed37842091

2023

ICOSLG-associated immunological landscape and diagnostic value in oral squamous cell carcinoma: a prospective cohort study.

Applications

Unspecified application

Species

Unspecified reactive species

Yuexin Dong,Xinyang Hu,Shixin Xie,Yuxian Song,Yijia He,Wanyong Jin,Yanhong Ni,Zhiyong Wang,Liang Ding

Frontiers in bioengineering and biotechnology 11:1070117 PubMed36815882

2023

Eldecalcitol effectively prevents alveolar bone loss by partially improving Th17/Treg cell balance in diabetes-associated periodontitis.

Applications

Unspecified application

Species

Unspecified reactive species

Ruihan Gao,Weidong Zhang,Yujun Jiang,Junzhe Zhai,Jian Yu,Hongrui Liu,Minqi Li

Journal of asthma and allergy 15:529-544 PubMed35515816

2022

MALAT1 Induces Food Allergy by Promoting Release of IL-6 from Dendritic Cells and Suppressing the Immunomodulatory Function of Tregs.

Applications

Unspecified application

Species

Unspecified reactive species

Hua Feng,Xiujuan Xiong,Zhuo Chen,Nan Luo,Yongning Wu

Experimental hematology & oncology 11:20 PubMed35379324

2022

Physical activity improves outcomes of combined lenvatinib plus anti-PD-1 therapy in unresectable hepatocellular carcinoma: a retrospective study and mouse model.

Applications

Unspecified application

Species

Unspecified reactive species

Xue-Feng Liu,Xiao-Dong Zhu,Long-Hai Feng,Xiao-Long Li,Bin Xu,Kang-Shuai Li,Nan Xiao,Ming Lei,Hui-Chuan Sun,Zhao-You Tang

Frontiers in oncology 12:824235 PubMed35372038

2022

Lipid Droplet-Related PLIN2 in CD68 Tumor-Associated Macrophage of Oral Squamous Cell Carcinoma: Implications for Cancer Prognosis and Immunotherapy.

Applications

Unspecified application

Species

Unspecified reactive species

Yijia He,Yuexin Dong,Xinwen Zhang,Zhuang Ding,Yuxian Song,Xiaofeng Huang,Sheng Chen,Zhiyong Wang,Yanhong Ni,Liang Ding

Journal of neuroinflammation 18:172 PubMed34372877

2021

Increasing toll-like receptor 2 on astrocytes induced by Schwann cell-derived exosomes promotes recovery by inhibiting CSPGs deposition after spinal cord injury.

Applications

Unspecified application

Species

Unspecified reactive species

Dayu Pan,Yongjin Li,Fuhan Yang,Zenghui Lv,Shibo Zhu,Yixin Shao,Ying Huang,Guangzhi Ning,Shiqing Feng

Leukemia 19:2247-53 PubMed16193085

2005

FOXP3, a selective marker for a subset of adult T-cell leukaemia/lymphoma.

Applications

Unspecified application

Species

Unspecified reactive species

G Roncador,J F Garcia,J F Garcia,L Maestre,E Lucas,J Menarguez,K Ohshima,S Nakamura,A H Banham,M A Piris
View all publications

Product promise

We are committed to supporting your work with high-quality reagents, and we're here for you every step of the way. In the unlikely event that one of our products does not perform as expected, you're protected by our Product Promise.
For full details, please see our Terms & Conditions

Please note: All products are 'FOR RESEARCH USE ONLY. NOT FOR USE IN DIAGNOSTIC OR THERAPEUTIC PROCEDURES'.

For licensing inquiries, please contact partnerships@abcam.com