JavaScript is disabled in your browser. Please enable JavaScript to view this website.
AB20034

Anti-FOXP3 antibody [236A/E7]

  • BOND RX™ Validated
  • Recombinant
  • Lab Essentials
  • Advanced Validation
  • What is this?

4

(38 Reviews)

|

(746 Publications)

Anti-FOXP3 antibody [236A/E7] (ab20034) is a mouse monoclonal antibody detecting FOXP3 in Western Blot, IHC-P, mIHC. Suitable for Human.

- Multiplex IHC validated on the Leica BOND® MAX using Opal reagents
- Over 590 publications
- Trusted since 2005

View Alternative Names

IPEX, JM2, FOXP3, Forkhead box protein P3, Scurfin

16 Images
Multiplex immunohistochemistry - Anti-FOXP3 antibody [236A/E7] (AB20034)
  • mIHC

Collaborator

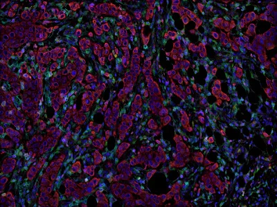
Multiplex immunohistochemistry - Anti-FOXP3 antibody [236A/E7] (AB20034)

Fluorescence multiplex immunohistochemical analysis of Human breast cancer tissue (formalin-fixed paraffin-embedded section).

Merged staining of Anti-PD-L1 (ab251611; cyan; Opal™ 520), Anti-Granzyme B (ab219803; yellow; Opal™ 540), Anti-PD1 (ab251613; magenta; Opal™ 570), Anti-pan Cytokeratin (ab264485; red; Opal™ 620), Anti-EpCAM (ab225894; red; Opal™ 620), Anti-CD8 alpha (ab251596; green; Opal™ 650) and Anti-FOXP3 (ab96048; orange; Opal™ 690). EpCAM and pan-cytokeratin share the same dye and color. Dyes are pseudo-colored for better contrast of the markers.

The immunostaining was performed on a Leica Biosystems BOND® MAX instrument with an Opal™ 6-Plex Detection Kit (NEL821001KT, Akoya Biosciences®).

The section was incubated in six rounds of staining; sequentially for ab251611 (1/750 dilution), ab219803 (1/250 dilution), ab251613 (1/750 dilution), ab264485 (0.5 μg/ml), ab225894 (1/1250 dilution), ab251596 (1/1500 dilution) and ab96048 (10 μg/ml); each using a separate fluorescent tyramide signal amplification system. EDTA based antigen retrieval (Leica Biosystems BOND® Epitope Retrieval Solution 2, pH 9.0, 20 minutes) was used in between rounds of tyramide signal amplification to remove the antibody from the previous round, to avoid any cross-reactivity. DAPI (dark blue) was used as a nuclear counter stain.
Microscopy and pseudocoloring of individual Opal™ dyes was performed using a Vectra 3 Imaging System (Akoya Biosciences®).

This data is courtesy of ImmunoAtlas and it can be found here.

This image is courtesy of ImmunoAtlas.

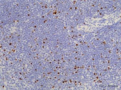
Immunohistochemistry (Formalin/PFA-fixed paraffin-embedded sections) - Anti-FOXP3 antibody [236A/E7] (AB20034)
  • IHC-P

Lab

Immunohistochemistry (Formalin/PFA-fixed paraffin-embedded sections) - Anti-FOXP3 antibody [236A/E7] (AB20034)

Immunohistochemical analysis of formalin fixed paraffin embedded human tonsil labelling FOXP3 with ab20034 at a concentration of 2 µg/ml. The immunostaining was performed on a Ventana DISCOVERY ULTRA (Roche Tissue Diagnostics) instrument with an OptiView DAB IHC Detection Kit. Heat mediated antigen retrieval was conducted for 32 mins at 100°C with ULTRA cell conditioning solution (CC1, pH 8.5). ab20034 anti-FOXP3 antibody [236A/E7] was incubated at 37°C for 16 mins. Sections were counterstained with Hematoxylin II. Image inset shows absence of staining in secondary antibody only control.

Immunohistochemistry (Formalin/PFA-fixed paraffin-embedded sections) - Anti-FOXP3 antibody [236A/E7] (AB20034)
  • IHC-P

Unknown

Immunohistochemistry (Formalin/PFA-fixed paraffin-embedded sections) - Anti-FOXP3 antibody [236A/E7] (AB20034)

Immunohistochemical analysis of paraffin-embedded human thymus tissue labeling FOXP3 with ab23004 at 1/500 dilution followed by a ready to use Goat Anti-Mouse IgG. Counterstained with hematoxylin.

Secondary antibody only control : Used PBS instead of primary antibody secondary antibody is a ready to use Goat Anti-Mouse IgG.

Perform heat mediated antigen retrieval using Tris/EDTA buffer (pH 9.0).

Immunohistochemistry (Formalin/PFA-fixed paraffin-embedded sections) - Anti-FOXP3 antibody [236A/E7] (AB20034)
  • IHC-P

PubMed

Immunohistochemistry (Formalin/PFA-fixed paraffin-embedded sections) - Anti-FOXP3 antibody [236A/E7] (AB20034)

FoxP3+ cells mainly accumulate centrally.

The formalin-fixed, paraffin-embedded blocks were cut into approximately <2 μm thick slices and mounted on SuperFrost Plus microscope slides (Menzel Gläser, Braunschweig, Germany). After deparaffinization and rehydration, sections were immersed into Dako Target Retrieval solution (Dako North America Inc., Carpinteria, USA), pH 6, 1/10, incubated at 97°C–99°C at 750 Watt for 2x 15 minutes, and allowed to cool to room temperature for 20 minutes. Endogenous peroxidase activity was blocked by 10-minute incubation in 7.5% hydrogen-peroxide solution (Hydroxen Peroxide Solution, Sigma Aldrich Co., Munich, Germany). Immunohistochemical staining for FoxP3 (1/180 dilution; for 60 min) was performed according to standard procedure using MACH-3 mouse alkalic phosphatase polymer detection kit from Biocare Medical Systems (Concord, USA). The slides were incubated with monoclonal mouse antibody. Chromogen Red (Dako North Amerika Inc., Carpinteria, USA) was used as chromogen for FoxP3 staining, and lastly hematoxylin counterstaining was done (Vector Laboratories, Burlingam, USA).

This image was generated from the hybridoma version of the product.

Hermans C. et al PLoS One. 2014 Nov 3;9(11):e111757. doi: 10.1371/journal.pone.0111757. eCollection 2014. Reproduced under the Creative Commons license http://creativecommons.org/licenses/by/4.0/

Multiplex immunohistochemistry - Anti-FOXP3 antibody [236A/E7] (AB20034)
  • mIHC

Collaborator

Multiplex immunohistochemistry - Anti-FOXP3 antibody [236A/E7] (AB20034)

Fluorescence multiplex immunohistochemical analysis of Human breast cancer tissue (formalin-fixed paraffin-embedded section).

Merged staining of Anti-PD-L1 (ab251611; cyan; Opal™ 520), Anti-Granzyme B (ab219803; yellow; Opal™ 540), Anti-PD1 (ab251613; magenta; Opal™ 570), Anti-pan Cytokeratin (ab264485; red; Opal™ 620), Anti-EpCAM (ab225894; red; Opal™ 620), Anti-CD8 alpha (ab251596; green; Opal™ 650) and Anti-FOXP3 (ab96048; orange; Opal™ 690). EpCAM and pan-cytokeratin share the same dye and color. Dyes are pseudo-colored for better contrast of the markers.

The immunostaining was performed on a Leica Biosystems BOND® MAX instrument with an Opal™ 6-Plex Detection Kit (NEL821001KT, Akoya Biosciences®).

The section was incubated in six rounds of staining; sequentially for ab251611 (1/750 dilution), ab219803 (1/250 dilution), ab251613 (1/750 dilution), ab264485 (0.5 μg/ml), ab225894 (1/1250 dilution), ab251596 (1/1500 dilution) and ab96048 (10 μg/ml); each using a separate fluorescent tyramide signal amplification system. EDTA based antigen retrieval (Leica Biosystems BOND® Epitope Retrieval Solution 2, pH 9.0, 20 minutes) was used in between rounds of tyramide signal amplification to remove the antibody from the previous round, to avoid any cross-reactivity. DAPI (dark blue) was used as a nuclear counter stain.
Microscopy and pseudocoloring of individual Opal™ dyes was performed using a Vectra 3 Imaging System (Akoya Biosciences®).

This data is courtesy of ImmunoAtlas and it can be found here.

This image is courtesy of ImmunoAtlas.

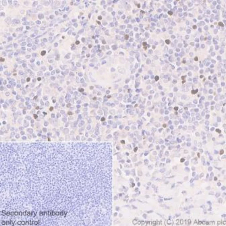
Immunohistochemistry (Formalin/PFA-fixed paraffin-embedded sections) - Anti-FOXP3 antibody [236A/E7] (AB20034)
  • IHC-P

Lab

Immunohistochemistry (Formalin/PFA-fixed paraffin-embedded sections) - Anti-FOXP3 antibody [236A/E7] (AB20034)

Immunohistochemical analysis of formalin fixed paraffin embedded) human tonsil labelling FOXP3 with ab20034 at a concentration of 2 µg/ml. The immunostaining was performed on a Leica Biosystems BOND® RX instrument with a Bond™ Polymer Refine Detection kit. Heat mediated antigen retrieval was performed with Tris-EDTA buffer (pH 9.0, Epitope Retrieval Solution 2) for 20 mins. ab20034 anti-FOXP3 antibody [236A/E7] was incubated for 30 mins at room temperature. Sections were counterstained with Hematoxylin. Image inset shows absence of staining in secondary antibody only control.

Immunohistochemistry (Formalin/PFA-fixed paraffin-embedded sections) - Anti-FOXP3 antibody [236A/E7] (AB20034)
  • IHC-P

AbReview16484****

Immunohistochemistry (Formalin/PFA-fixed paraffin-embedded sections) - Anti-FOXP3 antibody [236A/E7] (AB20034)

ab20034 staining FOXP3 in human colon tissue section by Immunohistochemistry (Formalin/PFA-fixed paraffin-embedded sections). Tissue underwent formaldehyde fixation before heat mediated antigen retrieval and then blocking with 10% serum for 2 hours at 21°C. The primary antibody was diluted 1/50 and incubated with sample for 2 hours at 21°C. An Alexa Fluor®488-conjugated rabbit polyclonal to mouse IgG was used undiluted as secondary antibody.

This image was generated from the hybridoma version of the product.

This image is a courtesy of Nicole Schechter

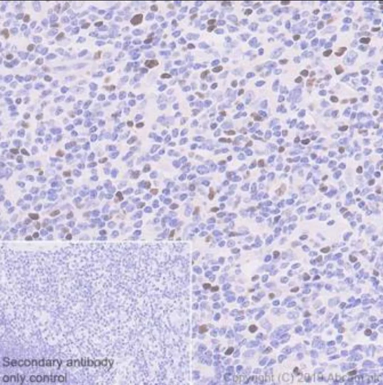
Immunohistochemistry (Formalin/PFA-fixed paraffin-embedded sections) - Anti-FOXP3 antibody [236A/E7] (AB20034)
  • IHC-P

Unknown

Immunohistochemistry (Formalin/PFA-fixed paraffin-embedded sections) - Anti-FOXP3 antibody [236A/E7] (AB20034)

Immunohistochemical analysis of paraffin-embedded human tonsil tissue labeling FOXP3 with ab23004 at 1/500 dilution followed by a ready to use Goat Anti-Mouse IgG. Counterstained with hematoxylin.

Secondary antibody only control : Used PBS instead of primary antibody secondary antibody is a ready to use Goat Anti-Mouse IgG.

Perform heat mediated antigen retrieval using Tris/EDTA buffer (pH 9.0).

Multiplex immunohistochemistry - Anti-FOXP3 antibody [236A/E7] (AB20034)
  • mIHC

Collaborator

Multiplex immunohistochemistry - Anti-FOXP3 antibody [236A/E7] (AB20034)

Fluorescence multiplex immunohistochemical analysis of Human breast cancer tissue (formalin-fixed paraffin-embedded section).

Merged staining of Anti-PD-L1 (ab251611; cyan; Opal™ 520), Anti-Granzyme B (ab219803; yellow; Opal™ 540), Anti-PD1 (ab251613; magenta; Opal™ 570), Anti-pan Cytokeratin (ab264485; red; Opal™ 620), Anti-EpCAM (ab225894; red; Opal™ 620), Anti-CD8 alpha (ab251596; green; Opal™ 650) and Anti-FOXP3 (ab96048; orange; Opal™ 690). EpCAM and pan-cytokeratin share the same dye and color. Dyes are pseudo-colored for better contrast of the markers.

The immunostaining was performed on a Leica Biosystems BOND® MAX instrument with an Opal™ 6-Plex Detection Kit (NEL821001KT, Akoya Biosciences®).

The section was incubated in six rounds of staining; sequentially for ab251611 (1/750 dilution), ab219803 (1/250 dilution), ab251613 (1/750 dilution), ab264485 (0.5 μg/ml), ab225894 (1/1250 dilution), ab251596 (1/1500 dilution) and ab96048 (10 μg/ml); each using a separate fluorescent tyramide signal amplification system. EDTA based antigen retrieval (Leica Biosystems BOND® Epitope Retrieval Solution 2, pH 9.0, 20 minutes) was used in between rounds of tyramide signal amplification to remove the antibody from the previous round, to avoid any cross-reactivity. DAPI (dark blue) was used as a nuclear counter stain.
Microscopy and pseudocoloring of individual Opal™ dyes was performed using a Vectra 3 Imaging System (Akoya Biosciences®).

This data is courtesy of ImmunoAtlas and it can be found here.

This image is courtesy of ImmunoAtlas.

Immunohistochemistry (Formalin/PFA-fixed paraffin-embedded sections) - Anti-FOXP3 antibody [236A/E7] (AB20034)
  • IHC-P

PubMed

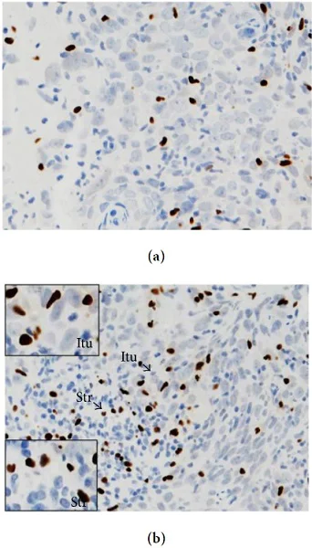
Immunohistochemistry (Formalin/PFA-fixed paraffin-embedded sections) - Anti-FOXP3 antibody [236A/E7] (AB20034)

Immunohistochemical analysis of human large and locally advanced breast cancers staining FOXP3 using ab20034. (a) Low level of FOXP3+, CTLA-4+ Treg infiltration (b) High level of FOXP3+ and CTLA-4+ Treg infiltration. (Itu : intratumoral Str : stromal)

This image was generated from the hybridoma version of the product.

This image is from PubMedId: 27777963. Kaewkangsadan V et al. (2016) Reproduced under the Creative Commons license https://creativecommons.org/licenses/by/4.0/

Multiplex immunohistochemistry - Anti-FOXP3 antibody [236A/E7] (AB20034)
  • mIHC

Collaborator

Multiplex immunohistochemistry - Anti-FOXP3 antibody [236A/E7] (AB20034)

Fluorescence multiplex immunohistochemical analysis of Human breast cancer tissue (formalin-fixed paraffin-embedded section).

Merged staining of Anti-PD-L1 (ab251611; cyan; Opal™ 520), Anti-Granzyme B (ab219803; yellow; Opal™ 540), Anti-PD1 (ab251613; magenta; Opal™ 570), Anti-pan Cytokeratin (ab264485; red; Opal™ 620), Anti-EpCAM (ab225894; red; Opal™ 620), Anti-CD8 alpha (ab251596; green; Opal™ 650) and Anti-FOXP3 (ab96048; orange; Opal™ 690). EpCAM and pan-cytokeratin share the same dye and color. Dyes are pseudo-colored for better contrast of the markers.

The immunostaining was performed on a Leica Biosystems BOND® MAX instrument with an Opal™ 6-Plex Detection Kit (NEL821001KT, Akoya Biosciences®).

The section was incubated in six rounds of staining; sequentially for ab251611 (1/750 dilution), ab219803 (1/250 dilution), ab251613 (1/750 dilution), ab264485 (0.5 μg/ml), ab225894 (1/1250 dilution), ab251596 (1/1500 dilution) and ab96048 (10 μg/ml); each using a separate fluorescent tyramide signal amplification system. EDTA based antigen retrieval (Leica Biosystems BOND® Epitope Retrieval Solution 2, pH 9.0, 20 minutes) was used in between rounds of tyramide signal amplification to remove the antibody from the previous round, to avoid any cross-reactivity. DAPI (dark blue) was used as a nuclear counter stain.
Microscopy and pseudocoloring of individual Opal™ dyes was performed using a Vectra 3 Imaging System (Akoya Biosciences®).

This data is courtesy of ImmunoAtlas and it can be found here.

This image is courtesy of ImmunoAtlas.

Multiplex immunohistochemistry - Anti-FOXP3 antibody [236A/E7] (AB20034)
  • mIHC

Collaborator

Multiplex immunohistochemistry - Anti-FOXP3 antibody [236A/E7] (AB20034)

Fluorescence multiplex immunohistochemical analysis of Human breast cancer tissue (formalin-fixed paraffin-embedded section).

Merged staining of Anti-PD-L1 (ab251611; cyan; Opal™ 520), Anti-Granzyme B (ab219803; yellow; Opal™ 540), Anti-PD1 (ab251613; magenta; Opal™ 570), Anti-pan Cytokeratin (ab264485; red; Opal™ 620), Anti-EpCAM (ab225894; red; Opal™ 620), Anti-CD8 alpha (ab251596; green; Opal™ 650) and Anti-FOXP3 (ab96048; orange; Opal™ 690). EpCAM and pan-cytokeratin share the same dye and color. Dyes are pseudo-colored for better contrast of the markers.

The immunostaining was performed on a Leica Biosystems BOND® MAX instrument with an Opal™ 6-Plex Detection Kit (NEL821001KT, Akoya Biosciences®).

The section was incubated in six rounds of staining; sequentially for ab251611 (1/750 dilution), ab219803 (1/250 dilution), ab251613 (1/750 dilution), ab264485 (0.5 μg/ml), ab225894 (1/1250 dilution), ab251596 (1/1500 dilution) and ab96048 (10 μg/ml); each using a separate fluorescent tyramide signal amplification system. EDTA based antigen retrieval (Leica Biosystems BOND® Epitope Retrieval Solution 2, pH 9.0, 20 minutes) was used in between rounds of tyramide signal amplification to remove the antibody from the previous round, to avoid any cross-reactivity. DAPI (dark blue) was used as a nuclear counter stain.
Microscopy and pseudocoloring of individual Opal™ dyes was performed using a Vectra 3 Imaging System (Akoya Biosciences®).

This data is courtesy of ImmunoAtlas and it can be found here.

This image is courtesy of ImmunoAtlas.

Western blot - Anti-FOXP3 antibody [236A/E7] (AB20034)
  • WB

Lab

Western blot - Anti-FOXP3 antibody [236A/E7] (AB20034)

ab20034 detects Human FOXP3 protein at ~50 kDa in HEK293T cells overexpressing the protein. It also detects FOXP3 in Human tonsil tissue lysate, however this band is significantly weaker in endogenous conditions. Upon higher exposure, weak bands can also be observed in HEK293T cell lysate.

This blot was produced using a 4-12% Bis-Tris gel under the MOPS buffer system. The gel was run at 200V for 60 minutes before being transferred onto a nitrocellulose membrane at 30V for 70 minutes. The membrane was then blocked for an hour before being incubated with Anti-FOXP3 antibody [236A/E7] (ab20034; 5 microgram per mL) overnight at 4°C. Antibody binding was detected using infrared labelled goat anti-mouse (green; 1 : 10000) for 1 hour at room temperature before imaging.

All lanes:

Western blot - Anti-FOXP3 antibody [236A/E7] (ab20034) at 5 µg/mL

Lane 1:

HEK293T cell lysate at 20 µg

Lane 2:

HEk293T cell lysate overexpressing Human FOXP3 at 20 µg

Lane 3:

Human tonsil tissue lysate at 20 µg

Predicted band size: 47 kDa

false

Western blot - Anti-FOXP3 antibody [236A/E7] (AB20034)
  • WB

Unknown

Western blot - Anti-FOXP3 antibody [236A/E7] (AB20034)

All lanes:

Western blot - Anti-FOXP3 antibody [236A/E7] (ab20034) at 1/1000 dilution

All lanes:

Human mammary gland lysate at 20 µg

Predicted band size: 47 kDa

false

Immunohistochemistry (Formalin/PFA-fixed paraffin-embedded sections) - Anti-FOXP3 antibody [236A/E7] (AB20034)
  • IHC-P

AbReview30757****

Immunohistochemistry (Formalin/PFA-fixed paraffin-embedded sections) - Anti-FOXP3 antibody [236A/E7] (AB20034)

ab20034 staining FOXP3 in Cynomolgus Monkey Spleen tissue sections by Immunohistochemistry (IHC-P - paraformaldehyde-fixed paraffin-embedded sections). Tissue was fixed with formaldehyde and blocked with 10% donkey serum for 20 minutes at room temperature; antigen retrieval was by heat mediation using EDTA pH9.0. Samples were incubated with primary antibody (1/100 dilution) for 30 minutes. A Biotin-conjugated Donkey anti-mouse polyclonal (1/2000 dilution) was used as the secondary antibody.

This image was generated from the hybridoma version of the product.

Image is courtesy of an AbReview submitted by Jing Ma

Western blot - Anti-FOXP3 antibody [236A/E7] (AB20034)
  • WB

Unknown

Western blot - Anti-FOXP3 antibody [236A/E7] (AB20034)

All lanes:

Western blot - Anti-FOXP3 antibody [236A/E7] (ab20034) at 1/1000 dilution

Lane 1:

HEK-293 (human embryonic kidney) transfected with an empty vector (vector control), containing a GFP-Myc-tag, whole cell lysate at 10 µg

Lane 2:

HEK-293 transfected with FOXP3 (WT) expression vector containing a GFP-Myc-tag, whole cell lysate at 10 µg

Predicted band size: 47 kDa

false

Exposure time: 1s

  • Carrier free

    Anti-FOXP3 antibody [236A/E7] - BSA and Azide free

Key facts

Host species

Mouse

Clonality

Monoclonal

Clone number

236A/E7

Isotype

IgG1

Light chain type

kappa

Carrier free

No

Reacts with

Human

Applications

IHC-P, WB, mIHC

applications

Immunogen

The exact immunogen used to generate this antibody is proprietary information.

Specificity

The epitope recognized by FOXP3 antibody [236A/E7] (ab20034) is between amino acids 105-236. FOXP3 antibody [236A/E7] (ab20034) is expected to detect full length FOXP3 as well as both cleaved forms.

Reactivity data

{ "title": "Reactivity Data", "filters": { "stats": ["", "Species", "Dilution Info", "Notes"], "tabs": { "all-applications": {"fullname" : "All Applications", "shortname": "All Applications"}, "WB" : {"fullname" : "Western blot", "shortname":"WB"}, "mIHC" : {"fullname" : "Multiplex immunohistochemistry", "shortname":"mIHC"}, "IHCP" : {"fullname" : "Immunohistochemistry (Formalin/PFA-fixed paraffin-embedded sections)", "shortname":"IHC-P"} }, "product-promise": { "all": "all", "testedAndGuaranteed": "tested", "guaranteed": "expected", "predicted": "predicted", "notRecommended": "not-recommended" } }, "values": { "Human": { "WB-species-checked": "testedAndGuaranteed", "WB-species-dilution-info": "1/1000", "WB-species-notes": "<p></p>", "mIHC-species-checked": "testedAndGuaranteed", "mIHC-species-dilution-info": "", "mIHC-species-notes": "<p></p>", "IHCP-species-checked": "testedAndGuaranteed", "IHCP-species-dilution-info": "1/500", "IHCP-species-notes": "<p>If fluorescent secondary antibodies are used for IHC-P detection, a fluorescent tyramide signal amplification (TSA) system is required to achieve optimal staining results.</p> Perform heat-mediated antigen retrieval before commencing with IHC staining protocol." } } }

Product details

Anti-FOXP3 antibody [236A/E7] (ab20034) is a mouse recombinant monoclonal antibody and is validated for use in IHC-P, WB and mIHC.

Anti-FOXP3 antibody [236A/E7] (ab20034) was first used in a scientific publication in 2005 and has been cited over 593 times in peer reviewed journals. It's performance in IHC in human samples is trusted by the scientific community.

Abcam's high quality manufacturing and validation processes ensure Anti-FOXP3 antibody [236A/E7] (ab20034) has high sensitivity and specificity alongside high lot-to-lot consistency and reproducibility.

Anti-FOXP3 antibody [236A/E7] (ab20034) has 37 independent reviews from customers.

Anti-FOXP3 antibody [236A/E7] (ab20034) specifically detects FOXP3 (UniProt ID: Q9BZS1; Molecular weight: 48kDa) and is sold in a convenient trial size to enable initial testing (10ug, 20 µg) and larger sizes for subsequent scaling up experiments (100 µg and 1 mg).

Conjugation-ready, carrier free format available for antibody clone 236A/E7 - ab96048.

FOXP3 is essential for the development and function of regulatory T cells (Tregs), which help maintain immune tolerance. In cancer, FOXP3-expressing Tregs suppress anti-tumor immune responses, aiding tumor growth and progression.

Properties and storage information

Form
Liquid
Purification technique
Affinity purification Protein A
Storage buffer
pH: 7.4 Preservative: 0.01% Sodium azide Constituents: PBS, 40% Glycerol (glycerin, glycerine), 0.05% BSA
Shipped at conditions
Blue Ice
Appropriate short-term storage duration
1-2 weeks
Appropriate short-term storage conditions
+4°C
Appropriate long-term storage conditions
-20°C
Aliquoting information
Upon delivery aliquot
Storage information
Avoid freeze / thaw cycle

Supplementary information

This supplementary information is collated from multiple sources and compiled automatically.

FOXP3 also known as Forkhead box P3 is a protein weighing approximately 47 kDa. This protein acts as a transcription factor and is essential for the development and function of regulatory T cells (Tregs). FOXP3 is predominantly expressed in these cells and is critical for their role in immune system regulation. Regulatory T cells prevent autoimmune responses by maintaining tolerance to self-antigens. Mouse models demonstrate similar expression patterns and researchers often study FOXP3 using techniques like immunohistochemistry (IHC) and flow cytometry to understand its presence and function in tissue samples.
Biological function summary

The regulatory role of FOXP3 in T cells influences the immune response. It is a part of the Treg cell lineage and serves by modulating cytokine expression. In particular FOXP3 contributes to the suppression of effector T cell functions mediating immune homeostasis. Without FOXP3 Treg cells lose their function and ability to regulate immune responses effectively. The complexity of Treg cell function is partly attributed to the multitude of interactions FOXP3 facilitates within cell signaling pathways. In research scientists frequently utilize FOXP3 antibodies like 236A/E7 and 3G3 to study its expression and function in various biological contexts.

Pathways

FOXP3 integrates into the regulatory framework of pathways such as the TGF-beta signaling and IL-2 signaling pathways. These pathways are important for Treg differentiation and regulatory capacity. FOXP3 interacts with the signaling molecules and co-factors within these pathways including SMAD3 in the TGF-beta pathway aligning with its role in Treg functionality. FOXP3 functions alongside proteins like RUNX1 and CTLA-4 which further modulates its regulatory effects on T cell activity. These interactions illustrate FOXP3's extensive reach within immune regulation and development.

FOXP3 has associations with immune-related conditions notably autoimmune disorders and inflammatory diseases. Mutations or deficiencies in FOXP3 expression often lead to conditions like IPEX syndrome a rare autoimmune disorder. In cancer altered FOXP3 activity within tumor-infiltrating lymphocytes can influence tumor progression and immune evasion. In these contexts FOXP3 interacts with proteins such as IL-10 and TGF-beta to modulate immune responses potentially altering disease outcomes. Understanding FOXP3's involvement in these diseases provides insight into therapeutic targets and interventions.

Product protocols

For this product, it's our understanding that no specific protocols are required. You can visit:

Target data

Transcriptional regulator which is crucial for the development and inhibitory function of regulatory T-cells (Treg) (PubMed : 17377532, PubMed : 21458306, PubMed : 23947341, PubMed : 24354325, PubMed : 24722479, PubMed : 24835996, PubMed : 30513302, PubMed : 32644293). Plays an essential role in maintaining homeostasis of the immune system by allowing the acquisition of full suppressive function and stability of the Treg lineage, and by directly modulating the expansion and function of conventional T-cells (PubMed : 23169781). Can act either as a transcriptional repressor or a transcriptional activator depending on its interactions with other transcription factors, histone acetylases and deacetylases (PubMed : 17377532, PubMed : 21458306, PubMed : 23947341, PubMed : 24354325, PubMed : 24722479). The suppressive activity of Treg involves the coordinate activation of many genes, including CTLA4 and TNFRSF18 by FOXP3 along with repression of genes encoding cytokines such as interleukin-2 (IL2) and interferon-gamma (IFNG) (PubMed : 17377532, PubMed : 21458306, PubMed : 23947341, PubMed : 24354325, PubMed : 24722479). Inhibits cytokine production and T-cell effector function by repressing the activity of two key transcription factors, RELA and NFATC2 (PubMed : 15790681). Mediates transcriptional repression of IL2 via its association with histone acetylase KAT5 and histone deacetylase HDAC7 (PubMed : 17360565). Can activate the expression of TNFRSF18, IL2RA and CTLA4 and repress the expression of IL2 and IFNG via its association with transcription factor RUNX1 (PubMed : 17377532). Inhibits the differentiation of IL17 producing helper T-cells (Th17) by antagonizing RORC function, leading to down-regulation of IL17 expression, favoring Treg development (PubMed : 18368049). Inhibits the transcriptional activator activity of RORA (PubMed : 18354202). Can repress the expression of IL2 and IFNG via its association with transcription factor IKZF4 (By similarity).
See full target information FOXP3

Publications (746)

Recent publications for all applications. Explore the full list and refine your search

Scientific reports 15:35240 PubMed41068337

2025

Comparative profiling of T cell and macrophage subsets in cutaneous squamous cell carcinoma and basal cell carcinoma.

Applications

Unspecified application

Species

Unspecified reactive species

Linus Winter,Jutta Ries,Christoph Vogl,Leah Trumet,Carol Immanuel Geppert,Carina Scholtysek,Manuel Olmos,Marco Kesting,Manuel Weber

Nature communications 16:8918 PubMed41057358

2025

Neoadjuvant tislelizumab with afatinib for locally advanced head and neck squamous cell carcinoma (neoCHANCE-1): a phase 2 clinical trial.

Applications

Unspecified application

Species

Unspecified reactive species

Zhi-Gong Wei,Hui-Jiao Chen,De-Juan Wang,Zheng Jiang,Yi-Yan Pei,Le-Yu Li,Feng Wang,Jing Jin,Zhe-Ran Liu,Fei Chen,Jun Liu,Xing-Chen Peng

Discover oncology 16:1800 PubMed41037138

2025

Expression of FoxP3 in oral squamous cell carcinoma and its biological significance.

Applications

Unspecified application

Species

Unspecified reactive species

Lina Jiang,Yangxiao Zhang,Chenchen Zhu,Luwen Song,Zhenghao Ma,Hongsheng Liu,Zhenxing Su,Mingxun Xia,Jiancheng Li

Communications medicine 5:407 PubMed41028530

2025

Clinical, pathological and molecular characteristics of patients with disease recurrence despite pathologic response to neoadjuvant ipilimumab plus nivolumab in stage III melanoma.

Applications

Unspecified application

Species

Unspecified reactive species

Judith M Versluis,Huma Shehwana,Robert Elens,Alexander M Menzies,Irene L M Reijers,Petros Dimitriadis,Nigel G Maher,Astrid M M van der Veldt,Ellen Kapiteijn,Annegien Broeks,Richard A Scolyer,Bart A van de Wiel,Alexander C J van Akkooi,Ton N Schumacher,Georgina V Long,Christian U Blank

Journal of gastrointestinal oncology 16:1366-1379 PubMed40950351

2025

Effects of anlotinib combined with camrelizumab and chemotherapy as first-line treatment for advanced esophageal squamous cell carcinoma on tumor immune microenvironment.

Applications

Unspecified application

Species

Unspecified reactive species

Mingfang Xu,Yingda Liu,Xunjie Kuang,Xiuyong Liao,Xiaodong Zhao

Cancers 17: PubMed40940828

2025

Association of Enterotoxigenic with Immune Modulation in Colorectal Cancer Liver Metastasis.

Applications

Unspecified application

Species

Unspecified reactive species

Rumiko Saito,Yasuyuki Shigematsu,Mahmut Amori,Gulanbar Amori,Manabu Takamatsu,Kenji Nishida,Hiroaki Kanda,Yu Takahashi,Yuji Miura,Kengo Takeuchi,Shunji Takahashi,Kentaro Inamura

APL bioengineering 9:036115 PubMed40895767

2025

PDPN+ cancer-associated fibroblasts correlate with the neoadjuvant immunotherapy response in gastric cancer.

Applications

Unspecified application

Species

Unspecified reactive species

Mi Jian,Zhensong Yang,Yutao Tang,Fangjie Jiang,Li Cai,Aina Liu,Jinchen Hu,Xixun Wang,Shuguang Liu,Dawei Zhao,Miaomiao Li,Hongbing Chen,Menglai Zhang,Zengwu Yao,Rongbao Jia,Ruyue Chen,Lixin Jiang,Yifei Zhang,Xicheng Song

BMC medicine 23:498 PubMed40859356

2025

Fecal microbiota transplantation for refractory chronic graft-versus-host disease after allogeneic hematopoietic cell transplantation: a pilot open-label, non-placebo-controlled study.

Applications

Unspecified application

Species

Unspecified reactive species

Kaibo Yang,Jing Du,Fen Huang,Yutian Si,Yingying Gu,Na Xu,Zhiping Fan,Rongtao Xue,Pu Wang,Xiang Yao,Hui Liu,Xiaofang Li,Jun Xu,Zhixiang Wang,Jing Sun,Ye Chen,Li Xuan,Qifa Liu

Cell death & disease 16:588 PubMed40759637

2025

Multi-omics prediction of axillary treatment response and tumour microenvironment alterations in lymph node-positive luminal breast cancer.

Applications

Unspecified application

Species

Unspecified reactive species

Teng Ma,Zirui Wang,Zhe Zhou,Yongmei Wang,Tianyi Ma,Xiangping Liu,Yan Mao,Haibo Wang

Cancers 17: PubMed40723259

2025

The Prognostic Role of Tertiary Lymphoid Structures and Immune Microenvironment Signatures in Early-Stage -Mutant Lung Adenocarcinoma.

Applications

Unspecified application

Species

Unspecified reactive species

Wei-Hsun Hsu,Chia-Chi Hsu,Min-Shu Hsieh,James Chih-Hsin Yang
View all publications

Product promise

We are committed to supporting your work with high-quality reagents, and we're here for you every step of the way. In the unlikely event that one of our products does not perform as expected, you're protected by our Product Promise.
For full details, please see our Terms & Conditions

Please note: All products are 'FOR RESEARCH USE ONLY. NOT FOR USE IN DIAGNOSTIC OR THERAPEUTIC PROCEDURES'.

For licensing inquiries, please contact partnerships@abcam.com