JavaScript is disabled in your browser. Please enable JavaScript to view this website.
AB96048

Anti-FOXP3 antibody [236A/E7] - BSA and Azide free

  • BOND RX™ Validated
  • Advanced Validation
  • Recombinant
  • What is this?

5

(2 Reviews)

|

(10 Publications)

Anti-FOXP3 antibody [236A/E7] - BSA and Azide free (ab96048) is a mouse recombinant monoclonal antibody provided in a PBS only buffer for easy conjugation detecting FOXP3 in Western Blot, IHC-P, mIHC. Suitable for Human.

- BSA, sodium azide, and glycerol-free for easy conjugation
- Multiplex IHC validated on the Leica BOND® MAX using Opal reagents
- Trusted since 2010

View Alternative Names

IPEX, JM2, FOXP3, Forkhead box protein P3, Scurfin

12 Images
Immunohistochemistry (Formalin/PFA-fixed paraffin-embedded sections) - Anti-FOXP3 antibody [236A/E7] - BSA and Azide free (AB96048)
  • IHC-P

Lab

Immunohistochemistry (Formalin/PFA-fixed paraffin-embedded sections) - Anti-FOXP3 antibody [236A/E7] - BSA and Azide free (AB96048)

This data was developed using the same antibody clone in a different buffer formulation (ab20034).

Immunohistochemical analysis of formalin fixed paraffin embedded human tonsil labelling FOXP3 with ab20034 at a concentration of 2 µg/ml. The immunostaining was performed on a Ventana DISCOVERY ULTRA (Roche Tissue Diagnostics) instrument with an OptiView DAB IHC Detection Kit. Heat mediated antigen retrieval was conducted for 32 mins at 100°C with ULTRA cell conditioning solution (CC1, pH 8.5). ab20034 anti-FOXP3 antibody [236A/E7] was incubated at 37°C for 16 mins. Sections were counterstained with Hematoxylin II. Image inset shows absence of staining in secondary antibody only control.

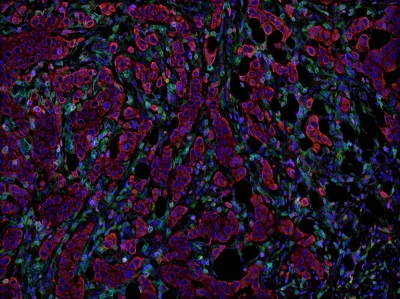
Multiplex immunohistochemistry - Anti-FOXP3 antibody [236A/E7] - BSA and Azide free (AB96048)
  • mIHC

Collaborator

Multiplex immunohistochemistry - Anti-FOXP3 antibody [236A/E7] - BSA and Azide free (AB96048)

Fluorescence multiplex immunohistochemical analysis of Human breast cancer tissue (formalin-fixed paraffin-embedded section).

Merged staining of Anti-PD-L1 (ab251611; cyan; Opal™ 520), Anti-Granzyme B (ab219803; yellow; Opal™ 540), Anti-PD1 (ab251613; magenta; Opal™ 570), Anti-pan Cytokeratin (ab264485; red; Opal™ 620), Anti-EpCAM (ab225894; red; Opal™ 620), Anti-CD8 alpha (ab251596; green; Opal™ 650) and Anti-FOXP3 (ab96048; orange; Opal™ 690). EpCAM and pan-cytokeratin share the same dye and color. Dyes are pseudo-colored for better contrast of the markers.

The immunostaining was performed on a Leica Biosystems BOND® MAX instrument with an Opal™ 6-Plex Detection Kit (NEL821001KT, Akoya Biosciences®).

The section was incubated in six rounds of staining; sequentially for ab251611 (1/750 dilution), ab219803 (1/250 dilution), ab251613 (1/750 dilution), ab264485 (0.5 μg/ml), ab225894 (1/1250 dilution), ab251596 (1/1500 dilution) and ab96048 (10 μg/ml); each using a separate fluorescent tyramide signal amplification system. EDTA based antigen retrieval (Leica Biosystems BOND® Epitope Retrieval Solution 2, pH 9.0, 20 minutes) was used in between rounds of tyramide signal amplification to remove the antibody from the previous round, to avoid any cross-reactivity. DAPI (dark blue) was used as a nuclear counter stain.
Microscopy and pseudocoloring of individual Opal™ dyes was performed using a Vectra 3 Imaging System (Akoya Biosciences®).

This data is courtesy of ImmunoAtlas and it can be found here.

This data was developed using ab20034, the same antibody clone in a different buffer formulation.

This image is courtesy of ImmunoAtlas.

Multiplex immunohistochemistry - Anti-FOXP3 antibody [236A/E7] - BSA and Azide free (AB96048)
  • mIHC

Collaborator

Multiplex immunohistochemistry - Anti-FOXP3 antibody [236A/E7] - BSA and Azide free (AB96048)

Fluorescence multiplex immunohistochemical analysis of Human breast cancer tissue (formalin-fixed paraffin-embedded section).

Merged staining of Anti-PD-L1 (ab251611; cyan; Opal™ 520), Anti-Granzyme B (ab219803; yellow; Opal™ 540), Anti-PD1 (ab251613; magenta; Opal™ 570), Anti-pan Cytokeratin (ab264485; red; Opal™ 620), Anti-EpCAM (ab225894; red; Opal™ 620), Anti-CD8 alpha (ab251596; green; Opal™ 650) and Anti-FOXP3 (ab96048; orange; Opal™ 690). EpCAM and pan-cytokeratin share the same dye and color. Dyes are pseudo-colored for better contrast of the markers.

The immunostaining was performed on a Leica Biosystems BOND® MAX instrument with an Opal™ 6-Plex Detection Kit (NEL821001KT, Akoya Biosciences®).

The section was incubated in six rounds of staining; sequentially for ab251611 (1/750 dilution), ab219803 (1/250 dilution), ab251613 (1/750 dilution), ab264485 (0.5 μg/ml), ab225894 (1/1250 dilution), ab251596 (1/1500 dilution) and ab96048 (10 μg/ml); each using a separate fluorescent tyramide signal amplification system. EDTA based antigen retrieval (Leica Biosystems BOND® Epitope Retrieval Solution 2, pH 9.0, 20 minutes) was used in between rounds of tyramide signal amplification to remove the antibody from the previous round, to avoid any cross-reactivity. DAPI (dark blue) was used as a nuclear counter stain.
Microscopy and pseudocoloring of individual Opal™ dyes was performed using a Vectra 3 Imaging System (Akoya Biosciences®).

This data was developed using ab20034, the same antibody clone in a different buffer formulation.

This data is courtesy of ImmunoAtlas and it can be found here.

This image is courtesy of ImmunoAtlas.

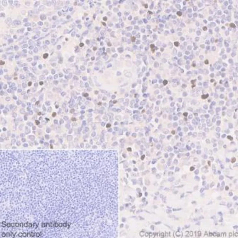
Immunohistochemistry (Formalin/PFA-fixed paraffin-embedded sections) - Anti-FOXP3 antibody [236A/E7] - BSA and Azide free (AB96048)
  • IHC-P

Lab

Immunohistochemistry (Formalin/PFA-fixed paraffin-embedded sections) - Anti-FOXP3 antibody [236A/E7] - BSA and Azide free (AB96048)

This data was developed using the same antibody clone in a different buffer formulation (ab20034).

Immunohistochemical analysis of formalin fixed paraffin embedded) human tonsil labelling FOXP3 with ab20034 at a concentration of 2 µg/ml. The immunostaining was performed on a Leica Biosystems BOND® RX instrument with a Bond™ Polymer Refine Detection kit. Heat mediated antigen retrieval was performed with Tris-EDTA buffer (pH 9.0, Epitope Retrieval Solution 2) for 20 mins. ab20034 anti-FOXP3 antibody [236A/E7] was incubated for 30 mins at room temperature. Sections were counterstained with Hematoxylin. Image inset shows absence of staining in secondary antibody only control.

Immunohistochemistry (Formalin/PFA-fixed paraffin-embedded sections) - Anti-FOXP3 antibody [236A/E7] - BSA and Azide free (AB96048)
  • IHC-P

Supplier Data

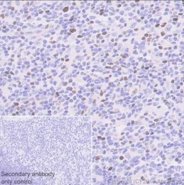
Immunohistochemistry (Formalin/PFA-fixed paraffin-embedded sections) - Anti-FOXP3 antibody [236A/E7] - BSA and Azide free (AB96048)

This data was developed using ab20034, the same antibody clone in a different buffer formulation.

Immunohistochemical analysis of paraffin-embedded Human tonsil tissue labeling FOXP3 with ab23004 at 1/500 dilution, followed by a ready to use Goat Anti-Rabbit IgG H&L (HRP). Counterstained with hematoxylin. Secondary antibody only control : Used PBS instead of primary antibody, secondary antibody is a ready to use Goat AntiRabbit IgG H&L (HRP). Perform heat mediated antigen retrieval using Tris/EDTA buffer (pH 9.0).

Immunohistochemistry (Formalin/PFA-fixed paraffin-embedded sections) - Anti-FOXP3 antibody [236A/E7] - BSA and Azide free (AB96048)
  • IHC-P

Supplier Data

Immunohistochemistry (Formalin/PFA-fixed paraffin-embedded sections) - Anti-FOXP3 antibody [236A/E7] - BSA and Azide free (AB96048)

This data was developed using ab20034, the same antibody clone in a different buffer formulation.

Immunohistochemical analysis of paraffin-embedded Human thymus tissue labeling FOXP3 with ab23004 at 1/500 dilution, followed by a ready to use Goat Anti-Rabbit IgG H&L (HRP). Counterstained with hematoxylin. Secondary antibody only control : Used PBS instead of primary antibody, secondary antibody is a ready to use Goat AntiRabbit IgG H&L (HRP). Perform heat mediated antigen retrieval using Tris/EDTA buffer (pH 9.0).

Multiplex immunohistochemistry - Anti-FOXP3 antibody [236A/E7] - BSA and Azide free (AB96048)
  • mIHC

Collaborator

Multiplex immunohistochemistry - Anti-FOXP3 antibody [236A/E7] - BSA and Azide free (AB96048)

Fluorescence multiplex immunohistochemical analysis of Human breast cancer tissue (formalin-fixed paraffin-embedded section).

Merged staining of Anti-PD-L1 (ab251611; cyan; Opal™ 520), Anti-Granzyme B (ab219803; yellow; Opal™ 540), Anti-PD1 (ab251613; magenta; Opal™ 570), Anti-pan Cytokeratin (ab264485; red; Opal™ 620), Anti-EpCAM (ab225894; red; Opal™ 620), Anti-CD8 alpha (ab251596; green; Opal™ 650) and Anti-FOXP3 (ab96048; orange; Opal™ 690). EpCAM and pan-cytokeratin share the same dye and color. Dyes are pseudo-colored for better contrast of the markers.

The immunostaining was performed on a Leica Biosystems BOND® MAX instrument with an Opal™ 6-Plex Detection Kit (NEL821001KT, Akoya Biosciences®).

The section was incubated in six rounds of staining; sequentially for ab251611 (1/750 dilution), ab219803 (1/250 dilution), ab251613 (1/750 dilution), ab264485 (0.5 μg/ml), ab225894 (1/1250 dilution), ab251596 (1/1500 dilution) and ab96048 (10 μg/ml); each using a separate fluorescent tyramide signal amplification system. EDTA based antigen retrieval (Leica Biosystems BOND® Epitope Retrieval Solution 2, pH 9.0, 20 minutes) was used in between rounds of tyramide signal amplification to remove the antibody from the previous round, to avoid any cross-reactivity. DAPI (dark blue) was used as a nuclear counter stain.
Microscopy and pseudocoloring of individual Opal™ dyes was performed using a Vectra 3 Imaging System (Akoya Biosciences®).

This data was developed using ab20034, the same antibody clone in a different buffer formulation.

This data is courtesy of ImmunoAtlas and it can be found here.

This image is courtesy of ImmunoAtlas.

Multiplex immunohistochemistry - Anti-FOXP3 antibody [236A/E7] - BSA and Azide free (AB96048)
  • mIHC

Collaborator

Multiplex immunohistochemistry - Anti-FOXP3 antibody [236A/E7] - BSA and Azide free (AB96048)

Fluorescence multiplex immunohistochemical analysis of Human breast cancer tissue (formalin-fixed paraffin-embedded section).

Merged staining of Anti-PD-L1 (ab251611; cyan; Opal™ 520), Anti-Granzyme B (ab219803; yellow; Opal™ 540), Anti-PD1 (ab251613; magenta; Opal™ 570), Anti-pan Cytokeratin (ab264485; red; Opal™ 620), Anti-EpCAM (ab225894; red; Opal™ 620), Anti-CD8 alpha (ab251596; green; Opal™ 650) and Anti-FOXP3 (ab96048; orange; Opal™ 690). EpCAM and pan-cytokeratin share the same dye and color. Dyes are pseudo-colored for better contrast of the markers.

The immunostaining was performed on a Leica Biosystems BOND® MAX instrument with an Opal™ 6-Plex Detection Kit (NEL821001KT, Akoya Biosciences®).

The section was incubated in six rounds of staining; sequentially for ab251611 (1/750 dilution), ab219803 (1/250 dilution), ab251613 (1/750 dilution), ab264485 (0.5 μg/ml), ab225894 (1/1250 dilution), ab251596 (1/1500 dilution) and ab96048 (10 μg/ml); each using a separate fluorescent tyramide signal amplification system. EDTA based antigen retrieval (Leica Biosystems BOND® Epitope Retrieval Solution 2, pH 9.0, 20 minutes) was used in between rounds of tyramide signal amplification to remove the antibody from the previous round, to avoid any cross-reactivity. DAPI (dark blue) was used as a nuclear counter stain.
Microscopy and pseudocoloring of individual Opal™ dyes was performed using a Vectra 3 Imaging System (Akoya Biosciences®).

This data was developed using ab20034, the same antibody clone in a different buffer formulation.

This data is courtesy of ImmunoAtlas and it can be found here.

This image is courtesy of ImmunoAtlas.

Multiplex immunohistochemistry - Anti-FOXP3 antibody [236A/E7] - BSA and Azide free (AB96048)
  • mIHC

Collaborator

Multiplex immunohistochemistry - Anti-FOXP3 antibody [236A/E7] - BSA and Azide free (AB96048)

Fluorescence multiplex immunohistochemical analysis of Human breast cancer tissue (formalin-fixed paraffin-embedded section).

Merged staining of Anti-PD-L1 (ab251611; cyan; Opal™ 520), Anti-Granzyme B (ab219803; yellow; Opal™ 540), Anti-PD1 (ab251613; magenta; Opal™ 570), Anti-pan Cytokeratin (ab264485; red; Opal™ 620), Anti-EpCAM (ab225894; red; Opal™ 620), Anti-CD8 alpha (ab251596; green; Opal™ 650) and Anti-FOXP3 (ab96048; orange; Opal™ 690). EpCAM and pan-cytokeratin share the same dye and color. Dyes are pseudo-colored for better contrast of the markers.

The immunostaining was performed on a Leica Biosystems BOND® MAX instrument with an Opal™ 6-Plex Detection Kit (NEL821001KT, Akoya Biosciences®).

The section was incubated in six rounds of staining; sequentially for ab251611 (1/750 dilution), ab219803 (1/250 dilution), ab251613 (1/750 dilution), ab264485 (0.5 μg/ml), ab225894 (1/1250 dilution), ab251596 (1/1500 dilution) and ab96048 (10 μg/ml); each using a separate fluorescent tyramide signal amplification system. EDTA based antigen retrieval (Leica Biosystems BOND® Epitope Retrieval Solution 2, pH 9.0, 20 minutes) was used in between rounds of tyramide signal amplification to remove the antibody from the previous round, to avoid any cross-reactivity. DAPI (dark blue) was used as a nuclear counter stain.
Microscopy and pseudocoloring of individual Opal™ dyes was performed using a Vectra 3 Imaging System (Akoya Biosciences®).

This data is courtesy of ImmunoAtlas and it can be found here.

This data was developed using ab20034, the same antibody clone in a different buffer formulation.

This image is courtesy of ImmunoAtlas.

Western blot - Anti-FOXP3 antibody [236A/E7] - BSA and Azide free (AB96048)
  • WB

Supplier Data

Western blot - Anti-FOXP3 antibody [236A/E7] - BSA and Azide free (AB96048)

This data was developed using ab20034, the same antibody clone in a different buffer formulation.

ab20034 detects Human FOXP3 protein at ~50 kDa in HEK293T cells overexpressing the protein. It also detects FOXP3 in Human tonsil tissue lysate, however this band is significantly weaker in endogenous conditions. Upon higher exposure, weak bands can also be observed in HEK293T cell lysate.

This blot was produced using a 4-12% Bis-Tris gel under the MOPS buffer system. The gel was run at 200V for 60 minutes before being transferred onto a nitrocellulose membrane at 30V for 70 minutes. The membrane was then blocked for an hour before being incubated with Anti-FOXP3 antibody [236A/E7] (ab20034; 5 microgram per mL) overnight at 4°C. Antibody binding was detected using infrared labelled goat anti-mouse (green; 1 : 10000) for 1 hour at room temperature before imaging.

All lanes:

Western blot - Anti-FOXP3 antibody [236A/E7] - BSA and Azide free (ab96048) at 5 µg/mL

Lane 1:

HEK293T cell lysate at 20 µg

Lane 2:

HEk293T cell lysate overexpressing Human FOXP3 at 20 µg

Lane 3:

Human tonsil tissue lysate at 20 µg

Predicted band size: 47 kDa

false

Western blot - Anti-FOXP3 antibody [236A/E7] - BSA and Azide free (AB96048)
  • WB

Supplier Data

Western blot - Anti-FOXP3 antibody [236A/E7] - BSA and Azide free (AB96048)

This data was developed using ab20034, the same antibody clone in a different buffer formulation.

All lanes:

Western blot - Anti-FOXP3 antibody [236A/E7] - BSA and Azide free (ab96048) at 1/1000 dilution

All lanes:

Human mammary gland lysate at 20 µg

Predicted band size: 47 kDa

false

Western blot - Anti-FOXP3 antibody [236A/E7] - BSA and Azide free (AB96048)
  • WB

Supplier Data

Western blot - Anti-FOXP3 antibody [236A/E7] - BSA and Azide free (AB96048)

This data was developed using ab20034, the same antibody clone in a different buffer formulation.

All lanes:

Western blot - Anti-FOXP3 antibody [236A/E7] - BSA and Azide free (ab96048) at 1/1000 dilution

Lane 1:

HEK-293 (human embryonic kidney) transfected with an empty vector (vector control), containing a GFP-Myc-tag, whole cell lysate at 10 µg

Lane 2:

HEK-293 transfected with FOXP3 (WT) expression vector containing a GFP-Myc-tag, whole cell lysate at 10 µg

Predicted band size: 47 kDa

false

Exposure time: 1s

Key facts

Host species

Mouse

Clonality

Monoclonal

Clone number

236A/E7

Isotype

IgG1

Light chain type

kappa

Carrier free

Yes

Reacts with

Human

Applications

mIHC, IHC-P, WB

applications

Immunogen

The exact immunogen used to generate this antibody is proprietary information.

Specificity

The epitope recognized by FOXP3 antibody [236A/E7] (ab20034) is between amino acids 105-236. FOXP3 antibody [236A/E7] (ab20034) is expected to detect full length FOXP3 as well as both cleaved forms.

Reactivity data

{ "title": "Reactivity Data", "filters": { "stats": ["", "Species", "Dilution Info", "Notes"], "tabs": { "all-applications": {"fullname" : "All Applications", "shortname": "All Applications"}, "WB" : {"fullname" : "Western blot", "shortname":"WB"}, "mIHC" : {"fullname" : "Multiplex immunohistochemistry", "shortname":"mIHC"}, "IHCP" : {"fullname" : "Immunohistochemistry (Formalin/PFA-fixed paraffin-embedded sections)", "shortname":"IHC-P"} }, "product-promise": { "all": "all", "testedAndGuaranteed": "tested", "guaranteed": "expected", "predicted": "predicted", "notRecommended": "not-recommended" } }, "values": { "Human": { "WB-species-checked": "testedAndGuaranteed", "WB-species-dilution-info": "", "WB-species-notes": "<p></p>", "mIHC-species-checked": "testedAndGuaranteed", "mIHC-species-dilution-info": "", "mIHC-species-notes": "<p></p>", "IHCP-species-checked": "testedAndGuaranteed", "IHCP-species-dilution-info": "", "IHCP-species-notes": "<p>If fluorescent secondary antibodies are used for IHC-P detection, a fluorescent tyramide signal amplification (TSA) system is required to achieve optimal staining results.</p>" } } }

Product details

What is this antibody validated in?
Anti-FOXP3 antibody [236A/E7] - BSA and Azide free (ab96048) is a mouse recombinant monoclonal antibody and is validated for use in Western Blot (WB), Immunohistochemistry (IHC-P), Multiplex IHC (mIHC) in Human samples.

What is the molecular weight of FOXP3?
Anti-FOXP3 [236A/E7] - BSA and Azide free (ab96048) specifically detects a band for FOXP3 (UniProt: Q9BZS1) at a molecular weight of 47kDa.

Other related products
We have a range of other formats of antibody clone [236A/E7] also available for your convenience: ab20034, Carrier free - ab96048, ab290965

What are the advantages of a recombinant monoclonal antibody?
This product is a recombinant monoclonal antibody, which offers several advantages including:

  • - High batch-to-batch consistency and reproducibility
  • - Improved sensitivity and specificity
  • - Long-term security of supply
  • - Animal-free batch production

For more information, read more on recombinant antibodies.

Properties and storage information

Form
Liquid
Purification technique
Affinity purification Protein A
Storage buffer
pH: 7.4 Constituents: PBS
Shipped at conditions
Blue Ice
Appropriate short-term storage conditions
+4°C
Appropriate long-term storage conditions
+4°C
Storage information
Do Not Freeze

Supplementary information

This supplementary information is collated from multiple sources and compiled automatically.

FOXP3 also recognized as Forkhead box P3 is a transcription factor critical for immune system function. It weighs approximately 47 kDa. FOXP3 is mainly expressed in regulatory T cells (Tregs) which play a role in maintaining immune tolerance. Scientists primarily identify its presence in the nucleus where it facilitates transcriptional regulation. Methods like 'FOXP3 IHC' and 'FOXP3 IHC mouse' are useful for detecting this protein in tissue samples while 'FOXP3 antibodies' aid in research on this target. Techniques like 'FOXP3 staining' and 'FOXP3 flow cytometry' further allow for the analysis of its expression and function.
Biological function summary

This transcription factor operates by regulating the expression of a variety of genes involved in Treg cell development and function. FOXP3 can interact with other proteins to form complexes that modulate gene expression. Its role is essential in enabling Tregs to suppress immune responses a process necessary for preventing autoimmunity. The interaction extends to other key regulators within Tregs such as the protein complex 221D which may have overlapping functional responsibilities. 'FOXP3 236a/E7' reflects its genetic variants detectable in different studies providing insights into its biological functions.

Pathways

FOXP3 is a significant player within the immune regulation pathway. It integrates into the TGF-beta signaling pathway in which it controls the expression of genes important for Treg functions. The protein recruits other transcription factors like NF-kB coordinating intricate network regulations within immune cells. FOXP3's activity orchestrates the balance between immune activation and suppression ensuring a well-functioning immune response that prevents overreactions leading to autoimmune conditions.

FOXP3 mutations or dysregulation can link to autoimmune diseases like immune dysregulation polyendocrinopathy enteropathy X-linked syndrome (IPEX). This transcription factor's malfunction implicates cancer where inadequate Treg function can either suppress antitumor immunity or result in tumor progression. Proteins such as CTLA-4 which is also involved in immune regulation connect to FOXP3 in these contexts emphasizing FOXP3’s significant role in maintaining immune homeostasis and its impact on disease development.

Product protocols

For this product, it's our understanding that no specific protocols are required. You can visit:

Target data

Transcriptional regulator which is crucial for the development and inhibitory function of regulatory T-cells (Treg) (PubMed : 17377532, PubMed : 21458306, PubMed : 23947341, PubMed : 24354325, PubMed : 24722479, PubMed : 24835996, PubMed : 30513302, PubMed : 32644293). Plays an essential role in maintaining homeostasis of the immune system by allowing the acquisition of full suppressive function and stability of the Treg lineage, and by directly modulating the expansion and function of conventional T-cells (PubMed : 23169781). Can act either as a transcriptional repressor or a transcriptional activator depending on its interactions with other transcription factors, histone acetylases and deacetylases (PubMed : 17377532, PubMed : 21458306, PubMed : 23947341, PubMed : 24354325, PubMed : 24722479). The suppressive activity of Treg involves the coordinate activation of many genes, including CTLA4 and TNFRSF18 by FOXP3 along with repression of genes encoding cytokines such as interleukin-2 (IL2) and interferon-gamma (IFNG) (PubMed : 17377532, PubMed : 21458306, PubMed : 23947341, PubMed : 24354325, PubMed : 24722479). Inhibits cytokine production and T-cell effector function by repressing the activity of two key transcription factors, RELA and NFATC2 (PubMed : 15790681). Mediates transcriptional repression of IL2 via its association with histone acetylase KAT5 and histone deacetylase HDAC7 (PubMed : 17360565). Can activate the expression of TNFRSF18, IL2RA and CTLA4 and repress the expression of IL2 and IFNG via its association with transcription factor RUNX1 (PubMed : 17377532). Inhibits the differentiation of IL17 producing helper T-cells (Th17) by antagonizing RORC function, leading to down-regulation of IL17 expression, favoring Treg development (PubMed : 18368049). Inhibits the transcriptional activator activity of RORA (PubMed : 18354202). Can repress the expression of IL2 and IFNG via its association with transcription factor IKZF4 (By similarity).
See full target information FOXP3

Publications (10)

Recent publications for all applications. Explore the full list and refine your search

Nature cancer 6:445-459 PubMed39972105

2025

Atezolizumab following definitive chemoradiotherapy in patients with unresectable locally advanced esophageal squamous cell carcinoma - a multicenter phase 2 trial (EPOC1802).

Applications

Unspecified application

Species

Unspecified reactive species

Hideaki Bando,Shogo Kumagai,Daisuke Kotani,Saori Mishima,Takuma Irie,Kota Itahashi,Yosuke Tanaka,Takumi Habu,Sayuri Fukaya,Masaki Kondo,Takahiro Tsushima,Hiroki Hara,Shigenori Kadowaki,Ken Kato,Keisho Chin,Kensei Yamaguchi,Shun-Ichiro Kageyama,Hidehiro Hojo,Masaki Nakamura,Hidenobu Tachibana,Masashi Wakabayashi,Makoto Fukui,Nozomu Fuse,Shohei Koyama,Hiroyuki Mano,Hiroyoshi Nishikawa,Kohei Shitara,Takayuki Yoshino,Takashi Kojima

Cell reports. Medicine 5:101851 PubMed39657667

2024

Multi-modal analysis reveals tumor and immune features distinguishing EBV-positive and EBV-negative post-transplant lymphoproliferative disorders.

Applications

Unspecified application

Species

Unspecified reactive species

Jiaying Toh,Andrea J Reitsma,Tetsuya Tajima,Sheren F Younes,Chimere Ezeiruaku,Kayla C Jenkins,Josselyn K Peña,Shuchun Zhao,Xi Wang,Esmond Y Z Lee,Marla C Glass,Laurynas Kalesinskas,Ananthakrishnan Ganesan,Irene Liang,Joy A Pai,James T Harden,Francesco Vallania,Edward A Vizcarra,Govind Bhagat,Fiona E Craig,Steven H Swerdlow,Julie Morscio,Daan Dierickx,Thomas Tousseyn,Ansuman T Satpathy,Sheri M Krams,Yasodha Natkunam,Purvesh Khatri,Olivia M Martinez

iScience 27:110550 PubMed39165839

2024

Multiplex spatial omics reveals changes in immune-epithelial crosstalk during inflammation and dysplasia development in chronic IBD patients.

Applications

Unspecified application

Species

Unspecified reactive species

Matthijs J D Baars,Evelien Floor,Neeraj Sinha,José J M Ter Linde,Stephanie van Dam,Mojtaba Amini,Isaäc J Nijman,Joren R Ten Hove,Julia Drylewicz,G Johan A Offerhaus,Miangela M Laclé,Bas Oldenburg,Yvonne Vercoulen

Neoplasma 70:747-760 PubMed38014701

2023

Tumor-derived autophagosome vaccines combined with immune adjuvants mediate antitumor immune responses via the neoantigen pathway.

Applications

Unspecified application

Species

Unspecified reactive species

Jia Yuan,Yue Chang,Yalan Dai,Yutong Chen,Rongbin Yue,Linjuan Zeng

iScience 26:107891 PubMed37766980

2023

Highly multiplexed spatial analysis identifies tissue-resident memory T cells as drivers of ulcerative and immune checkpoint inhibitor colitis.

Applications

Unspecified application

Species

Unspecified reactive species

Mick J M van Eijs,José J M Ter Linde,Matthijs J D Baars,Mojtaba Amini,Miangela M Laclé,Eelco C Brand,Eveline M Delemarre,Julia Drylewicz,Stefan Nierkens,Rik J Verheijden,Bas Oldenburg,Yvonne Vercoulen,Karijn P M Suijkerbuijk,Femke van Wijk

Cold Spring Harbor molecular case studies 8: PubMed35483877

2022

Tumor-immune microenvironment revealed by Imaging Mass Cytometry in a metastatic sarcomatoid urothelial carcinoma with a prolonged response to pembrolizumab.

Applications

Unspecified application

Species

Unspecified reactive species

Hussein Alnajar,Hiranmayi Ravichandran,André Figueiredo Rendeiro,Kentaro Ohara,Wael Al Zoughbi,Jyothi Manohar,Noah Greco,Michael Sigouros,Jesse Fox,Emily Muth,Samuel Angiuoli,Bishoy Faltas,Michael Shusterman,Cora N Sternberg,Olivier Elemento,Juan Miguel Mosquera

STAR protocols 3:101034 PubMed34977680

2022

MATISSE: An analysis protocol for combining imaging mass cytometry with fluorescence microscopy to generate single-cell data.

Applications

Unspecified application

Species

Unspecified reactive species

Daniëlle Krijgsman,Neeraj Sinha,Matthijs J D Baars,Stephanie van Dam,Mojtaba Amini,Yvonne Vercoulen

Nature cancer 2:545-562 PubMed35122017

2021

Neutrophil oxidative stress mediates obesity-associated vascular dysfunction and metastatic transmigration.

Applications

Unspecified application

Species

Unspecified reactive species

Sheri A C McDowell,Robin B E Luo,Azadeh Arabzadeh,Samuel Doré,Nicolas C Bennett,Valérie Breton,Elham Karimi,Morteza Rezanejad,Ryan R Yang,Katherine D Lach,Marianne S M Issac,Bozena Samborska,Lucas J M Perus,Dan Moldoveanu,Yuhong Wei,Benoit Fiset,Roni F Rayes,Ian R Watson,Lawrence Kazak,Marie-Christine Guiot,Pierre O Fiset,Jonathan D Spicer,Andrew J Dannenberg,Logan A Walsh,Daniela F Quail

Clinical cancer research : an official journal of the American Association for Cancer Research 25:1233-1238 PubMed30054281

2018

Anti-CTLA-4 Immunotherapy Does Not Deplete FOXP3 Regulatory T Cells (Tregs) in Human Cancers.

Applications

Unspecified application

Species

Unspecified reactive species

Anu Sharma,Sumit K Subudhi,Jorge Blando,Jorge Scutti,Luis Vence,Jennifer Wargo,James P Allison,Antoni Ribas,Padmanee Sharma

The Journal of biological chemistry 289:4244-61 PubMed24338480

2013

The endoplasmic reticulum coat protein II transport machinery coordinates cellular lipid secretion and cholesterol biosynthesis.

Applications

Unspecified application

Species

Unspecified reactive species

Lee G D Fryer,Bethan Jones,Emma J Duncan,Claire E Hutchison,Tozen Ozkan,Paul A Williams,Olivia Alder,Max Nieuwdorp,Anna K Townley,Arjen R Mensenkamp,David J Stephens,Geesje M Dallinga-Thie,Carol C Shoulders
View all publications

Product promise

We are committed to supporting your work with high-quality reagents, and we're here for you every step of the way. In the unlikely event that one of our products does not perform as expected, you're protected by our Product Promise.
For full details, please see our Terms & Conditions

Please note: All products are 'FOR RESEARCH USE ONLY. NOT FOR USE IN DIAGNOSTIC OR THERAPEUTIC PROCEDURES'.

For licensing inquiries, please contact partnerships@abcam.com