JavaScript is disabled in your browser. Please enable JavaScript to view this website.
AB243890

Anti-FOXP3 antibody [BLR034F] - BSA free

Be the first to review this product! Submit a review

|

(2 Publications)

Rabbit Recombinant Monoclonal FOXP3 antibody. Suitable for IHC-P, ICC, IP, WB and reacts with Human samples. Cited in 2 publications. Immunogen corresponding to Synthetic Peptide within Human FOXP3 aa 250-350.

View Alternative Names

IPEX, JM2, FOXP3, Forkhead box protein P3, Scurfin

5 Images
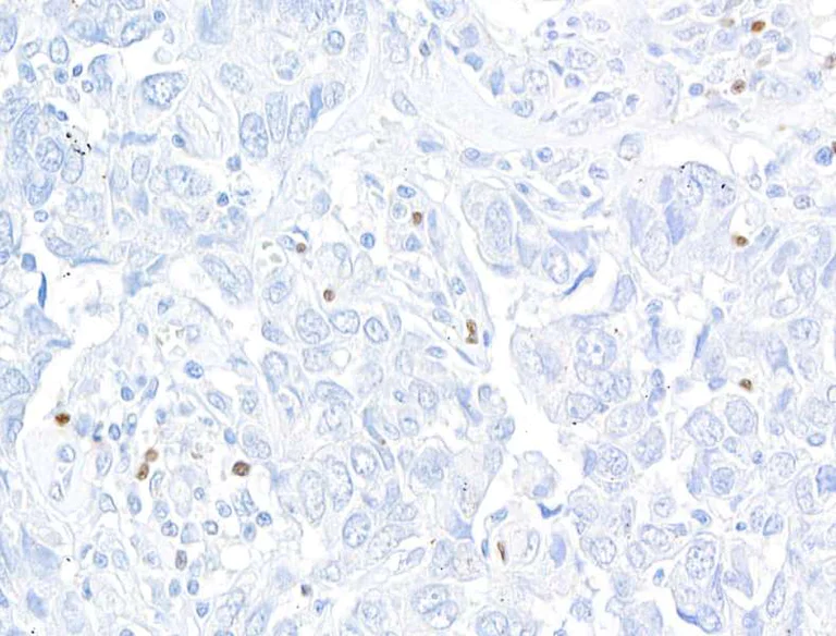
Immunohistochemistry (Formalin/PFA-fixed paraffin-embedded sections) - Anti-FOXP3 antibody [BLR034F] - BSA free (AB243890)
  • IHC-P

Supplier Data

Immunohistochemistry (Formalin/PFA-fixed paraffin-embedded sections) - Anti-FOXP3 antibody [BLR034F] - BSA free (AB243890)

Formalin-fixed, paraffin-embedded human breast carcinoma tissue stained for FOXP3 using ab243890 in immunohistochemical analysis. A HRP-conjugated goat anti-rabbit antibody was used as the secondary. DAB staining.

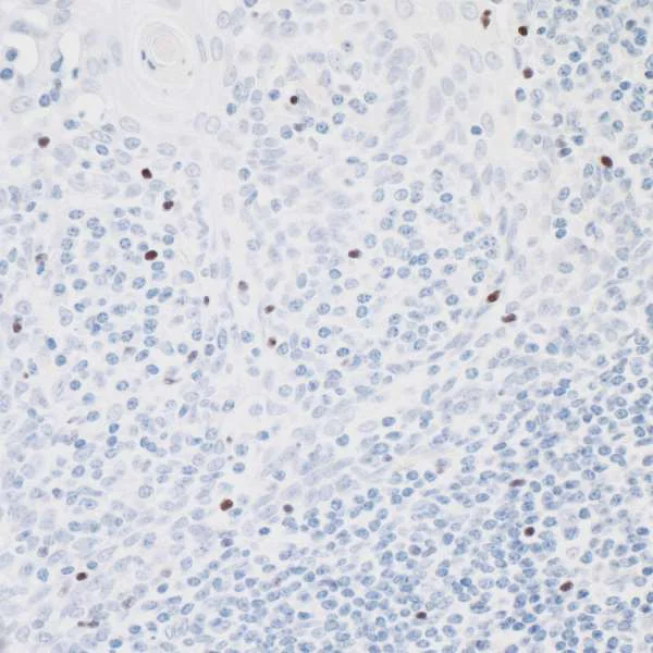
Immunohistochemistry (Formalin/PFA-fixed paraffin-embedded sections) - Anti-FOXP3 antibody [BLR034F] - BSA free (AB243890)
  • IHC-P

Unknown

Immunohistochemistry (Formalin/PFA-fixed paraffin-embedded sections) - Anti-FOXP3 antibody [BLR034F] - BSA free (AB243890)

Formalin-fixed, paraffin-embedded human tonsil tissue stained for FOXP3 using ab243890 at 1/200 dilution in immunohistochemical analysis. A HRP-conjugated goat anti-rabbit antibody was used as the secondary. DAB staining.

Immunocytochemistry - Anti-FOXP3 antibody [BLR034F] - BSA free (AB243890)
  • ICC

Supplier Data

Immunocytochemistry - Anti-FOXP3 antibody [BLR034F] - BSA free (AB243890)

Formalin-fixed, paraffin-embedded MJ cells labeling FOXP3 using ab243890 in ICC analysis. A HRP-conjugated goat-anti rabbit IgG was used as the secondary. DAB staining.

Immunoprecipitation - Anti-FOXP3 antibody [BLR034F] - BSA free (AB243890)
  • IP

Supplier Data

Immunoprecipitation - Anti-FOXP3 antibody [BLR034F] - BSA free (AB243890)

All lanes:

Immunoprecipitation - Anti-FOXP3 antibody [BLR034F] - BSA free (ab243890) at 1/1000 dilution

Lane 1:

MJ whole cell lysate at 20 %

Lane 2:

Control IgG in MJ whole cell lysate

Predicted band size: 47 kDa

false

Exposure time: 30s

Western blot - Anti-FOXP3 antibody [BLR034F] - BSA free (AB243890)
  • WB

Supplier Data

Western blot - Anti-FOXP3 antibody [BLR034F] - BSA free (AB243890)

Detection : Chemiluminesence

All lanes:

Western blot - Anti-FOXP3 antibody [BLR034F] - BSA free (ab243890) at 1/1000 dilution

Lane 1:

Jurkat (Human T cell leukemia cell line from peripheral blood) whole cell lysate at 50 µg

Lane 2:

HEK-293 (Human epithelial cell line from embryonic kidney) whole cell lysate at 50 µg

Lane 3:

MJ whole cell lysate at 50 µg

Lane 4:

MOLT-4 (Human lymphoblastic leukemia cell line) whole cell lysate at 50 µg

Lane 5:

RPMI-8226 whole cell lysate at 50 µg

Secondary

All lanes:

HRP-conjugated goat anti-rabbit IgG

Predicted band size: 47 kDa

false

Exposure time: 30s

Key facts

Host species

Rabbit

Clonality

Monoclonal

Clone number

BLR034F

Isotype

IgG

Carrier free

No

Reacts with

Human

Applications

IP, ICC, IHC-P, WB

applications

Immunogen

Synthetic Peptide within Human FOXP3 aa 250-350. The exact immunogen used to generate this antibody is proprietary information.

Q9BZS1

Reactivity data

{ "title": "Reactivity Data", "filters": { "stats": ["", "Species", "Dilution Info", "Notes"], "tabs": { "all-applications": {"fullname" : "All Applications", "shortname": "All Applications"}, "IHCP" : {"fullname" : "Immunohistochemistry (Formalin/PFA-fixed paraffin-embedded sections)", "shortname":"IHC-P"}, "ICC" : {"fullname" : "Immunocytochemistry", "shortname":"ICC"}, "IP" : {"fullname" : "Immunoprecipitation", "shortname":"IP"}, "WB" : {"fullname" : "Western blot", "shortname":"WB"} }, "product-promise": { "all": "all", "testedAndGuaranteed": "tested", "guaranteed": "expected", "predicted": "predicted", "notRecommended": "not-recommended" } }, "values": { "Human": { "IHCP-species-checked": "testedAndGuaranteed", "IHCP-species-dilution-info": "1/100 - 1/500", "IHCP-species-notes": "<p></p> Perform heat-mediated antigen retrieval with citrate buffer pH 6 before commencing with IHC staining protocol.", "ICC-species-checked": "testedAndGuaranteed", "ICC-species-dilution-info": "1/100 - 1/500", "ICC-species-notes": "<p></p>", "IP-species-checked": "testedAndGuaranteed", "IP-species-dilution-info": "", "IP-species-notes": "<p>Use 6μl/mg lysate.</p>", "WB-species-checked": "testedAndGuaranteed", "WB-species-dilution-info": "1/1000", "WB-species-notes": "<p></p>" } } }

Product details

This product is sold under License from Bethyl Laboratories, Inc.

Properties and storage information

Form
Liquid
Purification notes
Recombinant antibody was purified from cell culture supernatant.
Storage buffer
pH: 7.8 - 8.6 Preservative: 0.09% Sodium azide Constituents: 99% Borate buffered saline
Shipped at conditions
Blue Ice
Appropriate short-term storage duration
1-2 weeks
Appropriate short-term storage conditions
+4°C
Appropriate long-term storage conditions
-20°C
Aliquoting information
Upon delivery aliquot
Storage information
Avoid freeze / thaw cycle

Supplementary information

This supplementary information is collated from multiple sources and compiled automatically.

FOXP3 also recognized as Forkhead box P3 is a transcription factor critical for immune system function. It weighs approximately 47 kDa. FOXP3 is mainly expressed in regulatory T cells (Tregs) which play a role in maintaining immune tolerance. Scientists primarily identify its presence in the nucleus where it facilitates transcriptional regulation. Methods like 'FOXP3 IHC' and 'FOXP3 IHC mouse' are useful for detecting this protein in tissue samples while 'FOXP3 antibodies' aid in research on this target. Techniques like 'FOXP3 staining' and 'FOXP3 flow cytometry' further allow for the analysis of its expression and function.
Biological function summary

This transcription factor operates by regulating the expression of a variety of genes involved in Treg cell development and function. FOXP3 can interact with other proteins to form complexes that modulate gene expression. Its role is essential in enabling Tregs to suppress immune responses a process necessary for preventing autoimmunity. The interaction extends to other key regulators within Tregs such as the protein complex 221D which may have overlapping functional responsibilities. 'FOXP3 236a/E7' reflects its genetic variants detectable in different studies providing insights into its biological functions.

Pathways

FOXP3 is a significant player within the immune regulation pathway. It integrates into the TGF-beta signaling pathway in which it controls the expression of genes important for Treg functions. The protein recruits other transcription factors like NF-kB coordinating intricate network regulations within immune cells. FOXP3's activity orchestrates the balance between immune activation and suppression ensuring a well-functioning immune response that prevents overreactions leading to autoimmune conditions.

FOXP3 mutations or dysregulation can link to autoimmune diseases like immune dysregulation polyendocrinopathy enteropathy X-linked syndrome (IPEX). This transcription factor's malfunction implicates cancer where inadequate Treg function can either suppress antitumor immunity or result in tumor progression. Proteins such as CTLA-4 which is also involved in immune regulation connect to FOXP3 in these contexts emphasizing FOXP3’s significant role in maintaining immune homeostasis and its impact on disease development.

Product protocols

For this product, it's our understanding that no specific protocols are required. You can visit:

Target data

The protein expressed by the FOXP3 gene is a transcriptional regulator critical for the development and inhibitory function of regulatory T-cells (Treg). It plays an essential role in immune system homeostasis by ensuring the suppressive function and stability of Treg cells and directly influencing conventional T-cells' expansion and function. FOXP3 can function as either a transcriptional repressor or activator, depending on its interactions with other factors, such as transcription factors, histone acetylases, and deacetylases. It co-activates genes like CTLA4 and TNFRSF18 and represses cytokine genes, including interleukin-2 (IL2) and interferon-gamma (IFNG), and inhibits cytokine production by repressing the activity of transcription factors RELA and NFATC2. FOXP3's association with histone acetylase KAT5 and deacetylase HDAC7 mediates IL2 repression, while its interaction with transcription factor RUNX1 modulates the expression of TNFRSF18, IL2RA, CTLA4, IL2, and IFNG. It also antagonizes RORC to inhibit the differentiation of IL17 producing helper T-cells (Th17), leading to reduced IL17 expression and promoting Treg development, while inhibiting the transcriptional activator activity of RORA. This supplementary information is collated from multiple sources and compiled automatically.
See full target information FOXP3

Publications (2)

Recent publications for all applications. Explore the full list and refine your search

Frontiers in immunology 16:1559278 PubMed40703517

2025

Prognostic significance and immune infiltration analysis of HMGA2 in endometrial cancer.

Applications

Unspecified application

Species

Unspecified reactive species

Peng Jiang,Jiaxin Yu,Yunfeng Zheng,Chenfan Tian,Yuan Tu,Chunxia Gong,Hangkun Yu,Yi Luo,Zhuoying Hu

Neoplasma 70:229-239 PubMed36964720

2023

High expression of WTAP is related to poor prognosis in nasopharyngeal carcinoma.

Applications

Unspecified application

Species

Unspecified reactive species

Chang-Juan Tao,Peng Zhang,Yuan-Yuan Chen,Ming Chen
View all publications

Product promise

We are committed to supporting your work with high-quality reagents, and we're here for you every step of the way. In the unlikely event that one of our products does not perform as expected, you're protected by our Product Promise.
For full details, please see our Terms & Conditions

Please note: All products are 'FOR RESEARCH USE ONLY. NOT FOR USE IN DIAGNOSTIC OR THERAPEUTIC PROCEDURES'.

For licensing inquiries, please contact partnerships@abcam.com