JavaScript is disabled in your browser. Please enable JavaScript to view this website.
AB191416

Anti-FOXP3 antibody [EPR15038-69]

  • BOND RX™ Validated
  • RabMAb
  • Recombinant
  • Lab Essentials
  • 20ul selling size
  • What is this?

Be the first to review this product! Submit a review

|

(7 Publications)

Rabbit Recombinant Monoclonal FOXP3 antibody. Suitable for WB, IHC-Fr, IHC-P and reacts with Human samples. Cited in 7 publications.

View Alternative Names

IPEX, JM2, FOXP3, Forkhead box protein P3, Scurfin

6 Images
Immunohistochemistry (Formalin/PFA-fixed paraffin-embedded sections) - Anti-FOXP3 antibody [EPR15038-69] (AB191416)
  • IHC-P

Lab

Immunohistochemistry (Formalin/PFA-fixed paraffin-embedded sections) - Anti-FOXP3 antibody [EPR15038-69] (AB191416)

IHC image of FOXP3 staining in a section of formalin-fixed paraffin-embedded normal human tonsil* performed on a Leica BONDTM system using the standard protocol F. The section was pre-treated using heat mediated antigen retrieval with sodium citrate buffer (pH6, epitope retrieval solution 1) for 20mins. The section was then incubated with ab191416, 5ug/ml, for 15 mins at room temperature and detected using an HRP conjugated compact polymer system. DAB was used as the chromogen. The section was then counterstained with haematoxylin and mounted with DPX. The inset secondary-only control image is taken from an identical assay without primary antibody.

For other IHC staining systems (automated and non-automated) customers should optimize variable parameters such as antigen retrieval conditions, primary antibody concentration and antibody incubation times.

*Tissue obtained from the Human Research Tissue Bank, supported by the NIHR Cambridge Biomedical Research Centre

Immunohistochemistry (Frozen sections) - Anti-FOXP3 antibody [EPR15038-69] (AB191416)
  • IHC-Fr

Lab

Immunohistochemistry (Frozen sections) - Anti-FOXP3 antibody [EPR15038-69] (AB191416)

IHC image of FOXP3 staining in a section of formalin-fixed frozen normal human tonsil* performed on a Leica BONDTM system using the standard protocol F. The section was then incubated with ab191416, 5ug/ml, for 15 mins at room temperature and detected using an HRP conjugated compact polymer system. DAB was used as the chromogen. The section was then counterstained with haematoxylin and mounted with DPX. The inset secondary-only control image is taken from an identical assay without primary antibody.

For other IHC staining systems (automated and non-automated) customers should optimize variable parameters such as antigen retrieval conditions, primary antibody concentration and antibody incubation times.

*Tissue obtained from the Human Research Tissue Bank, supported by the NIHR Cambridge Biomedical Research Centre

Immunohistochemistry (Formalin/PFA-fixed paraffin-embedded sections) - Anti-FOXP3 antibody [EPR15038-69] (AB191416)
  • IHC-P

Supplier Data

Immunohistochemistry (Formalin/PFA-fixed paraffin-embedded sections) - Anti-FOXP3 antibody [EPR15038-69] (AB191416)

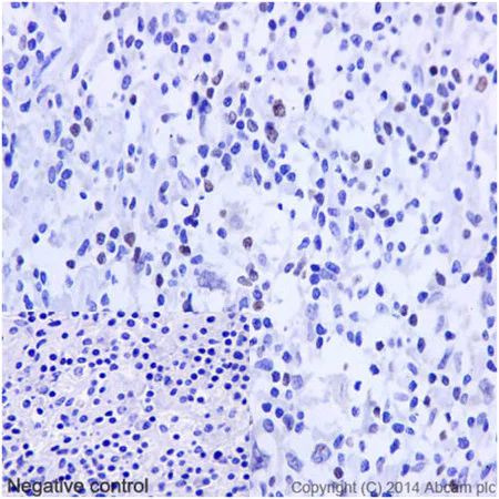
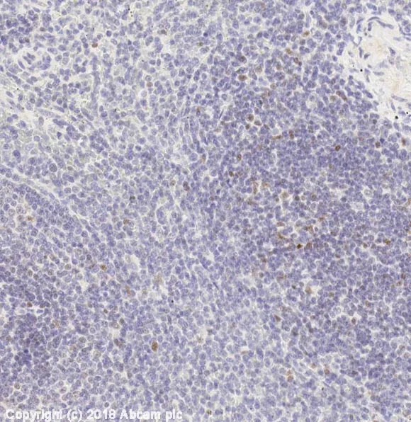
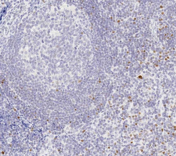
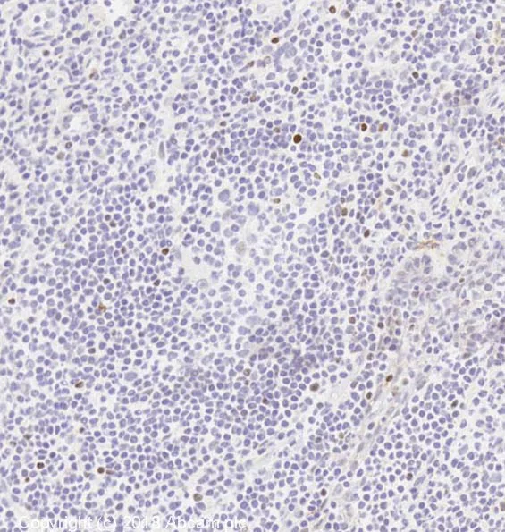
Immunohistochemical analysis of paraffin-embedded Human Hodgkin lymphoma tissue labeling FOXP3 with ab191416 at 1/250 dilution (0.9 μg/ml) followed by pre-diluted HRP Polymer for Rabbit IgG secondary antibody and counter-stained with Hematoxylin.
Inset : Negative control : using PBS instead of primary antibody.

Perform heat mediated antigen retrieval with Tris/EDTA buffer pH 9.0 before commencing with IHC staining protocol.

Immunohistochemistry (Formalin/PFA-fixed paraffin-embedded sections) - Anti-FOXP3 antibody [EPR15038-69] (AB191416)
  • IHC-P

Lab

Immunohistochemistry (Formalin/PFA-fixed paraffin-embedded sections) - Anti-FOXP3 antibody [EPR15038-69] (AB191416)

Tissue Microarrays stained for "Anti-FOXP3 antibody [EPR15038-69]" using "ab191416"in immunohistochemical analysis. This table provides a detailed overview of positive (tick mark) and negative (cross mark) staining per sample type tested. The sections were pre-treated using Heat mediated antigen retrieval using Bond™ Epitope Retrieval Solution 2 (pH 9.0) for 20 minutes. The sections were incubated with ab191416 for 30 mins at room temperature followed by a ready to use Rabbit specific IHC polymer detection kit HRP/DAB (ab209101). The immunostaining was performed on a Leica Biosystems BOND® RX instrument.

Immunohistochemistry (Formalin/PFA-fixed paraffin-embedded sections) - Anti-FOXP3 antibody [EPR15038-69] (AB191416)
  • IHC-P

Lab

Immunohistochemistry (Formalin/PFA-fixed paraffin-embedded sections) - Anti-FOXP3 antibody [EPR15038-69] (AB191416)

IHC image of FOXP3 staining in a section of formalin-fixed paraffin-embedded normal human spleen* performed on a Leica BONDTM system using the standard protocol F. The section was pre-treated using heat mediated antigen retrieval with sodium citrate buffer (pH6, epitope retrieval solution 1) for 20mins. The section was then incubated with ab191416, 5ug/ml, for 15 mins at room temperature and detected using an HRP conjugated compact polymer system. DAB was used as the chromogen. The section was then counterstained with haematoxylin and mounted with DPX. The inset secondary-only control image is taken from an identical assay without primary antibody.

For other IHC staining systems (automated and non-automated) customers should optimize variable parameters such as antigen retrieval conditions, primary antibody concentration and antibody incubation times.

*Tissue obtained from the Human Research Tissue Bank, supported by the NIHR Cambridge Biomedical Research Centre

Western blot - Anti-FOXP3 antibody [EPR15038-69] (AB191416)
  • WB

Lab

Western blot - Anti-FOXP3 antibody [EPR15038-69] (AB191416)

This blot was produced using a 4-12% Bis-tris gel under the MOPS buffer system. The gel was run at 200V for 50 minutes before being transferred onto a Nitrocellulose membrane at 30V for 70 minutes. The membrane was then blocked for an hour using Licor blocking buffer before being incubated with ab10563. Antibody binding was detected using Goat anti Rabbit IR680 at a 1 : 10,000 dilution for 1hr at room temperature and then imaged using the Licor Odyssey CLx.

All lanes:

Western blot - Anti-FOXP3 antibody [EPR15038-69] (ab191416) at 5 µg/mL

Lane 1:

HEK293T cell lysate at 20 µg

Lane 2:

HEK293T cell lysate overexpressing Human FOXP3 at 20 µg

Predicted band size: 47 kDa

false

  • Carrier free

    Anti-FOXP3 antibody [EPR15038-69] - BSA and Azide free

Key facts

Host species

Rabbit

Clonality

Monoclonal

Clone number

EPR15038-69

Isotype

IgG

Carrier free

No

Reacts with

Human

Applications

WB, IHC-P, IHC-Fr

applications

Immunogen

The exact immunogen used to generate this antibody is proprietary information.

Reactivity data

{ "title": "Reactivity Data", "filters": { "stats": ["", "Species", "Dilution Info", "Notes"], "tabs": { "all-applications": {"fullname" : "All Applications", "shortname": "All Applications"}, "WB" : {"fullname" : "Western blot", "shortname":"WB"}, "IHCFr" : {"fullname" : "Immunohistochemistry (Frozen sections)", "shortname":"IHC-Fr"}, "IHCP" : {"fullname" : "Immunohistochemistry (Formalin/PFA-fixed paraffin-embedded sections)", "shortname":"IHC-P"} }, "product-promise": { "all": "all", "testedAndGuaranteed": "tested", "guaranteed": "expected", "predicted": "predicted", "notRecommended": "not-recommended" } }, "values": { "Human": { "WB-species-checked": "testedAndGuaranteed", "WB-species-dilution-info": "5 µg/mL", "WB-species-notes": "<p></p>", "IHCFr-species-checked": "testedAndGuaranteed", "IHCFr-species-dilution-info": "5 µg/mL", "IHCFr-species-notes": "<p></p>", "IHCP-species-checked": "testedAndGuaranteed", "IHCP-species-dilution-info": "1/100 - 1/250", "IHCP-species-notes": "<p></p>" } } }

Product details

Patented technology
Our RabMAb® technology is a patented hybridoma-based technology for making rabbit monoclonal antibodies. For details on our patents, please refer to RabMAb® patents.

What are the advantages of a recombinant monoclonal antibody?
This product is a recombinant monoclonal antibody, which offers several advantages including:

  • - High batch-to-batch consistency and reproducibility
  • - Improved sensitivity and specificity
  • - Long-term security of supply
  • - Animal-free batch production

For more information, read more on recombinant antibodies.

Properties and storage information

Form
Liquid
Purification technique
Affinity purification Protein A
Storage buffer
pH: 7.2 - 7.4 Preservative: 0.01% Sodium azide Constituents: PBS, 40% Glycerol (glycerin, glycerine), 0.05% BSA
Shipped at conditions
Blue Ice
Appropriate short-term storage duration
1-2 weeks
Appropriate short-term storage conditions
+4°C
Appropriate long-term storage conditions
-20°C
Aliquoting information
Upon delivery aliquot
Storage information
Avoid freeze / thaw cycle

Supplementary information

This supplementary information is collated from multiple sources and compiled automatically.

FOXP3 also recognized as Forkhead box P3 is a transcription factor critical for immune system function. It weighs approximately 47 kDa. FOXP3 is mainly expressed in regulatory T cells (Tregs) which play a role in maintaining immune tolerance. Scientists primarily identify its presence in the nucleus where it facilitates transcriptional regulation. Methods like 'FOXP3 IHC' and 'FOXP3 IHC mouse' are useful for detecting this protein in tissue samples while 'FOXP3 antibodies' aid in research on this target. Techniques like 'FOXP3 staining' and 'FOXP3 flow cytometry' further allow for the analysis of its expression and function.
Biological function summary

This transcription factor operates by regulating the expression of a variety of genes involved in Treg cell development and function. FOXP3 can interact with other proteins to form complexes that modulate gene expression. Its role is essential in enabling Tregs to suppress immune responses a process necessary for preventing autoimmunity. The interaction extends to other key regulators within Tregs such as the protein complex 221D which may have overlapping functional responsibilities. 'FOXP3 236a/E7' reflects its genetic variants detectable in different studies providing insights into its biological functions.

Pathways

FOXP3 is a significant player within the immune regulation pathway. It integrates into the TGF-beta signaling pathway in which it controls the expression of genes important for Treg functions. The protein recruits other transcription factors like NF-kB coordinating intricate network regulations within immune cells. FOXP3's activity orchestrates the balance between immune activation and suppression ensuring a well-functioning immune response that prevents overreactions leading to autoimmune conditions.

FOXP3 mutations or dysregulation can link to autoimmune diseases like immune dysregulation polyendocrinopathy enteropathy X-linked syndrome (IPEX). This transcription factor's malfunction implicates cancer where inadequate Treg function can either suppress antitumor immunity or result in tumor progression. Proteins such as CTLA-4 which is also involved in immune regulation connect to FOXP3 in these contexts emphasizing FOXP3’s significant role in maintaining immune homeostasis and its impact on disease development.

Product protocols

For this product, it's our understanding that no specific protocols are required. You can visit:

Target data

Transcriptional regulator which is crucial for the development and inhibitory function of regulatory T-cells (Treg) (PubMed : 17377532, PubMed : 21458306, PubMed : 23947341, PubMed : 24354325, PubMed : 24722479, PubMed : 24835996, PubMed : 30513302, PubMed : 32644293). Plays an essential role in maintaining homeostasis of the immune system by allowing the acquisition of full suppressive function and stability of the Treg lineage, and by directly modulating the expansion and function of conventional T-cells (PubMed : 23169781). Can act either as a transcriptional repressor or a transcriptional activator depending on its interactions with other transcription factors, histone acetylases and deacetylases (PubMed : 17377532, PubMed : 21458306, PubMed : 23947341, PubMed : 24354325, PubMed : 24722479). The suppressive activity of Treg involves the coordinate activation of many genes, including CTLA4 and TNFRSF18 by FOXP3 along with repression of genes encoding cytokines such as interleukin-2 (IL2) and interferon-gamma (IFNG) (PubMed : 17377532, PubMed : 21458306, PubMed : 23947341, PubMed : 24354325, PubMed : 24722479). Inhibits cytokine production and T-cell effector function by repressing the activity of two key transcription factors, RELA and NFATC2 (PubMed : 15790681). Mediates transcriptional repression of IL2 via its association with histone acetylase KAT5 and histone deacetylase HDAC7 (PubMed : 17360565). Can activate the expression of TNFRSF18, IL2RA and CTLA4 and repress the expression of IL2 and IFNG via its association with transcription factor RUNX1 (PubMed : 17377532). Inhibits the differentiation of IL17 producing helper T-cells (Th17) by antagonizing RORC function, leading to down-regulation of IL17 expression, favoring Treg development (PubMed : 18368049). Inhibits the transcriptional activator activity of RORA (PubMed : 18354202). Can repress the expression of IL2 and IFNG via its association with transcription factor IKZF4 (By similarity).
See full target information FOXP3

Publications (7)

Recent publications for all applications. Explore the full list and refine your search

Nature communications 15:1200 PubMed38331898

2024

UPP1 promotes lung adenocarcinoma progression through the induction of an immunosuppressive microenvironment.

Applications

Unspecified application

Species

Unspecified reactive species

Yin Li,Manling Jiang,Ling Aye,Li Luo,Yong Zhang,Fengkai Xu,Yongqi Wei,Dan Peng,Xiang He,Jie Gu,Xiaofang Yu,Guoping Li,Di Ge,Chunlai Lu

Cancers 15: PubMed38067325

2023

Spatial Distribution of Non-Immune Cells Expressing Glycoprotein A Repetitions Predominant in Human and Murine Metastatic Lymph Nodes.

Applications

Unspecified application

Species

Unspecified reactive species

Loïc Rouaud,Louis Baudin,Marine Gautier-Isola,Pierre Van Meerbeeck,Emilie Feyereisen,Silvia Blacher,Nicolas van Baren,Frédéric Kridelka,Sophie Lucas,Agnes Noel

American journal of physiology. Cell physiology 326:C294-C303 PubMed38047300

2023

Identification of FOXP3 epithelial cells contributing to pancreatic proliferation and angiogenesis.

Applications

Unspecified application

Species

Unspecified reactive species

Ruining Gong,Xianghan Chen,Xiaoyuan Sun,Yuxing Zhang,Jia Wang,Qian Yu,Ke Lei,He Ren

Cancer immunology, immunotherapy : CII 71:565-578 PubMed34275008

2021

Elevated expression of B7 homolog 4 is associated with disease progression in upper urinary tract urothelial carcinoma.

Applications

Unspecified application

Species

Unspecified reactive species

Tomoya Mizuno,Takao Kamai,Toyonori Tsuzuki,Daisaku Nishihara,Toshiki Kijima,Kyoko Arai,Ken-Ichiro Yoshida

American journal of translational research 12:2570-2584 PubMed32655791

2020

The CXCR4/miR-125b/FoxP3 axis regulates the function of the epithelial barrier via autophagy in allergic rhinitis.

Applications

Unspecified application

Species

Unspecified reactive species

Jing Zheng,Min Zeng,Jia-Bin Nian,Lian-Ya Zeng,Zhi Fu,Qiu-Ju Huang,Xin Wei

Pathology oncology research : POR 26:1269-1278 PubMed31264122

2019

High Expression of Angiopoietin-like Protein 4 in Advanced Colorectal Cancer and its Association with Regulatory T Cells and M2 Macrophages.

Applications

Unspecified application

Species

Unspecified reactive species

Shuaiyang Zhou,Jin Tu,Shizhen Ding,Guotao Lu,Zhijie Lin,Yanbing Ding,Bing Deng,Yu Zhang,Weiming Xiao,Weijuan Gong

Molecular medicine reports 19:4081-4090 PubMed30896871

2019

Oxymatrine‑mediated maturation of dendritic cells leads to activation of FOXP3+/CD4+ Treg cells and reversal of cisplatin‑resistance in lung cancer cells.

Applications

Unspecified application

Species

Unspecified reactive species

Hui Liu,Manman Zou,Pei Li,Haifeng Wang,Xijun Lin,Jin Ye
View all publications

Product promise

We are committed to supporting your work with high-quality reagents, and we're here for you every step of the way. In the unlikely event that one of our products does not perform as expected, you're protected by our Product Promise.
For full details, please see our Terms & Conditions

Please note: All products are 'FOR RESEARCH USE ONLY. NOT FOR USE IN DIAGNOSTIC OR THERAPEUTIC PROCEDURES'.

For licensing inquiries, please contact partnerships@abcam.com