JavaScript is disabled in your browser. Please enable JavaScript to view this website.
AB244242

Anti-FOXP3 antibody [EPR22102-37] - BSA and Azide free

4

(1 Review)

|

(1 Publication)

Rabbit Recombinant Monoclonal FOXP3 antibody. Carrier free. Suitable for IP, WB, Flow Cyt (Intra) and reacts with Human, Mouse, Rat samples. Cited in 1 publication.

View Alternative Names

IPEX, JM2, FOXP3, Forkhead box protein P3, Scurfin

6 Images
Flow Cytometry (Intracellular) - Anti-FOXP3 antibody [EPR22102-37] - BSA and Azide free (AB244242)
  • Flow Cyt (Intra)

Lab

Flow Cytometry (Intracellular) - Anti-FOXP3 antibody [EPR22102-37] - BSA and Azide free (AB244242)

Human PBMCs were stained with Alexa Fluor® 647 conjugated anti-human CD4 and BV421 conjugated anti-human CD25. Cells were then fixed with 2% PFA for 10min and permeabilized with True-Nuclear™ permeabilization buffer, followed by intracellular staining with rabbit IgG (ab172730, Left) or anti-FOXP3 RabMab (Right, 1/40). ab98462, Dylight®488-conjugated goat anti-rabbit IgG was used as the secondary at a dilution of 1/2000.

Gating strategy and expression pattern is consistent with literature (PMID : 27330808).

This data was developed using the same antibody clone in a different buffer formulation containing PBS, BSA, glycerol, and sodium azide (ab215206).

Flow Cytometry (Intracellular) - Anti-FOXP3 antibody [EPR22102-37] - BSA and Azide free (AB244242)
  • Flow Cyt (Intra)

Unknown

Flow Cytometry (Intracellular) - Anti-FOXP3 antibody [EPR22102-37] - BSA and Azide free (AB244242)

Intracellular flow cytometric analysis of4% paraformaldehyde-fixed, 90% methanol-permeabilized HEK-293T (human epithelial cell line from embryonic kidney transformed with large T antigen) cell line transfected with a GFP-tagged FOXP3 expression construct labeling FOXP3 with ab215206 at 1/40 dilution (Right) compared with a Rabbit IgG, monoclonal [EPR25A] - Isotype Control (ab172730) (Left). Goat Anti-Rabbit IgG H&L (Alexa Fluor®647) (ab150079), at 1/2000 dilution was used as the secondary antibody.

This data was developed using the same antibody clone in a different buffer formulation containing PBS, BSA, glycerol, and sodium azide (ab215206).

Flow Cytometry (Intracellular) - Anti-FOXP3 antibody [EPR22102-37] - BSA and Azide free (AB244242)
  • Flow Cyt (Intra)

Lab

Flow Cytometry (Intracellular) - Anti-FOXP3 antibody [EPR22102-37] - BSA and Azide free (AB244242)

Rat splenocytes were stained with Alexa Fluor®647 conjugated anti-rat CD4. Cells were then fixed with 2% PFA for 10min and permeabilized with True-Nuclear™ permeabilization buffer, followed by intracellular staining with rabbit IgG (ab172730, Left) or anti-FOXP3 RabMab (Right, 1/40). ab150077, Alexa Fluor®488-conjugated goat anti-rabbit IgG was used as the secondary at a dilution of 1/2000.

This data was developed using the same antibody clone in a different buffer formulation containing PBS, BSA, glycerol, and sodium azide (ab215206).

Flow Cytometry (Intracellular) - Anti-FOXP3 antibody [EPR22102-37] - BSA and Azide free (AB244242)
  • Flow Cyt (Intra)

Lab

Flow Cytometry (Intracellular) - Anti-FOXP3 antibody [EPR22102-37] - BSA and Azide free (AB244242)

Mouse splenocytes were stained with Alexa Fluor®647 conjugated anti-mouse CD4. Cells were then fixed with 2% PFA for 10min and permeabilized with True-Nuclear™ permeabilisation buffer, followed by intracellular staining with rabbit IgG (ab172730, Left) or anti-FOXP3 RabMab (Right, 1/40). ab150077,Alexa Fluor®488-conjugated goat anti-rabbit IgG was used as the secondary at a dilution of 1/2000.

This data was developed using the same antibody clone in a different buffer formulation containing PBS, BSA, glycerol, and sodium azide (ab215206).

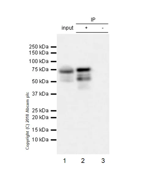
Immunoprecipitation - Anti-FOXP3 antibody [EPR22102-37] - BSA and Azide free (AB244242)
  • IP

Unknown

Immunoprecipitation - Anti-FOXP3 antibody [EPR22102-37] - BSA and Azide free (AB244242)

FOXP3 was immunoprecipitated from 0.35 mg of HEK-293T (human epithelial cell line from embryonic kidney transformed with large T antigen) cells transfected with a GFP-tagged FOXP3 expression construct whole cell lysate with ab215206 at 1/30 dilution. Western blot was performed from the immunoprecipitate using ab215206 at 1/1000 dilution. VeriBlot for IP Detection Reagent (HRP) (ab131366), was used for detection at 1/5000 dilution.

Lane 1 : HEK-293T cells transfected with a GFP-tagged FOXP3 expression construct whole cell lysate 10 μg (Input).
Lane 2 : ab215206 IP in HEK-293T cells transfected with a GFP-tagged FOXP3 expression construct whole cell lysate (+).
Lane 3 : Rabbit monoclonal IgG (ab172730) instead of ab215206 in HEK-293T cells transfected with a GFP-tagged FOXP3 expression construct whole cell lysate (-).

Blocking and dilution buffer and concentration : 5% NFDM/TBST.
Exposure time : 3 seconds.

FOXP3 isoforms have been described in the literature. (PMID : 19568423).

This data was developed using the same antibody clone in a different buffer formulation containing PBS, BSA, glycerol, and sodium azide (ab215206).

All lanes:

Immunoprecipitation - Anti-FOXP3 antibody [EPR22102-37] (<a href='/en-us/products/primary-antibodies/foxp3-antibody-epr22102-37-ab215206'>ab215206</a>)

Predicted band size: 47 kDa,90 kDa

Observed band size: 55-73 kDa

false

Western blot - Anti-FOXP3 antibody [EPR22102-37] - BSA and Azide free (AB244242)
  • WB

Unknown

Western blot - Anti-FOXP3 antibody [EPR22102-37] - BSA and Azide free (AB244242)

Blocking buffer and concentration : 5% NFDM /TBST.

This data was developed using the same antibody clone in a different buffer formulation containing PBS, BSA, glycerol, and sodium azide (ab215206).

Lane 1:

Western blot - Anti-FOXP3 antibody [EPR22102-37] (<a href='/en-us/products/primary-antibodies/foxp3-antibody-epr22102-37-ab215206'>ab215206</a>) at 1/200 dilution

Lane 2:

Western blot - Anti-FOXP3 antibody [EPR22102-37] (<a href='/en-us/products/primary-antibodies/foxp3-antibody-epr22102-37-ab215206'>ab215206</a>) at 1/1000 dilution

All lanes:

Full-length C-MYC/DDK tagged Recombinant Mouse Foxp3 protein 10ng

Secondary

All lanes:

Western blot - Goat Anti-Rabbit IgG H&L (HRP) (<a href='/en-us/products/secondary-antibodies/goat-rabbit-igg-h-l-hrp-ab97051'>ab97051</a>) at 1/20000 dilution

Predicted band size: 47 kDa

Observed band size: 50 kDa

false

Exposure time: 180s

Key facts

Host species

Rabbit

Clonality

Monoclonal

Clone number

EPR22102-37

Isotype

IgG

Carrier free

Yes

Reacts with

Mouse, Rat, Human

Applications

WB, Flow Cyt (Intra), IP

applications

Immunogen

The exact immunogen used to generate this antibody is proprietary information.

Specificity

We do not guarantee WB for rat.

According to our preliminary WB data, this antibody failed to detect endogenous expression of FOXP3 in the tissues tested in WB, such as thymus. It might work in CD4+CD25+ Treg cells with abundant FOXP3, but we don't have experimental data to support that.

Reactivity data

{ "title": "Reactivity Data", "filters": { "stats": ["", "Species", "Dilution Info", "Notes"], "tabs": { "all-applications": {"fullname" : "All Applications", "shortname": "All Applications"}, "mIHC" : {"fullname" : "Multiplex immunohistochemistry", "shortname":"mIHC"}, "IHCP" : {"fullname" : "Immunohistochemistry (Formalin/PFA-fixed paraffin-embedded sections)", "shortname":"IHC-P"}, "IP" : {"fullname" : "Immunoprecipitation", "shortname":"IP"}, "WB" : {"fullname" : "Western blot", "shortname":"WB"}, "ICCIF" : {"fullname" : "Immunocytochemistry/ Immunofluorescence", "shortname":"ICC/IF"}, "IHCFr" : {"fullname" : "Immunohistochemistry (Frozen sections)", "shortname":"IHC-Fr"}, "FlowCytIntra" : {"fullname" : "Flow Cytometry (Intracellular)", "shortname":"Flow Cyt (Intra)"} }, "product-promise": { "all": "all", "testedAndGuaranteed": "tested", "guaranteed": "expected", "predicted": "predicted", "notRecommended": "not-recommended" } }, "values": { "Human": { "mIHC-species-checked": "notRecommended", "mIHC-species-dilution-info": "", "mIHC-species-notes": "<p></p>", "IHCP-species-checked": "notRecommended", "IHCP-species-dilution-info": "", "IHCP-species-notes": "<p></p>", "IP-species-checked": "testedAndGuaranteed", "IP-species-dilution-info": "", "IP-species-notes": "<p></p>", "WB-species-checked": "testedAndGuaranteed", "WB-species-dilution-info": "", "WB-species-notes": "<p><a href='/en-us/products/primary-antibodies/foxp3-antibody-epr22102-37-ab215206'>ab215206</a> is not suitable for endogenous FOXP3 detection in tissues.</p>", "ICCIF-species-checked": "notRecommended", "ICCIF-species-dilution-info": "", "ICCIF-species-notes": "<p></p>", "IHCFr-species-checked": "notRecommended", "IHCFr-species-dilution-info": "", "IHCFr-species-notes": "<p></p>", "FlowCytIntra-species-checked": "testedAndGuaranteed", "FlowCytIntra-species-dilution-info": "", "FlowCytIntra-species-notes": "<p></p>" }, "Mouse": { "mIHC-species-checked": "notRecommended", "mIHC-species-dilution-info": "", "mIHC-species-notes": "", "IHCP-species-checked": "notRecommended", "IHCP-species-dilution-info": "", "IHCP-species-notes": "<p></p>", "IP-species-checked": "guaranteed", "IP-species-dilution-info": "", "IP-species-notes": "", "WB-species-checked": "testedAndGuaranteed", "WB-species-dilution-info": "", "WB-species-notes": "<p>According to our preliminary WB data, this antibody failed to detect endogenous expression of FOXP3 in the tissues tested in WB, such as thymus. It might work in CD4+CD25+ Treg cells with abundant FOXP3, but we don't have experimental data to support that.</p>", "ICCIF-species-checked": "notRecommended", "ICCIF-species-dilution-info": "", "ICCIF-species-notes": "<p></p>", "IHCFr-species-checked": "notRecommended", "IHCFr-species-dilution-info": "", "IHCFr-species-notes": "<p></p>", "FlowCytIntra-species-checked": "testedAndGuaranteed", "FlowCytIntra-species-dilution-info": "", "FlowCytIntra-species-notes": "<p></p>" }, "Rat": { "mIHC-species-checked": "notRecommended", "mIHC-species-dilution-info": "", "mIHC-species-notes": "", "IHCP-species-checked": "notRecommended", "IHCP-species-dilution-info": "", "IHCP-species-notes": "<p></p>", "IP-species-checked": "notRecommended", "IP-species-dilution-info": "", "IP-species-notes": "<p></p>", "WB-species-checked": "notRecommended", "WB-species-dilution-info": "", "WB-species-notes": "<p></p>", "ICCIF-species-checked": "notRecommended", "ICCIF-species-dilution-info": "", "ICCIF-species-notes": "<p></p>", "IHCFr-species-checked": "notRecommended", "IHCFr-species-dilution-info": "", "IHCFr-species-notes": "<p></p>", "FlowCytIntra-species-checked": "testedAndGuaranteed", "FlowCytIntra-species-dilution-info": "", "FlowCytIntra-species-notes": "<p></p>" } } }

Product details

ab244242 is the carrier-free version of ab215206.

Patented technology
Our RabMAb® technology is a patented hybridoma-based technology for making rabbit monoclonal antibodies. For details on our patents, please refer to RabMAb® patents.

What are the advantages of a recombinant monoclonal antibody?
This product is a recombinant monoclonal antibody, which offers several advantages including:

  • - High batch-to-batch consistency and reproducibility
  • - Improved sensitivity and specificity
  • - Long-term security of supply
  • - Animal-free batch production

For more information, read more on recombinant antibodies.

Conjugation ready
Our carrier-free antibodies are typically supplied in a PBS-only formulation, purified and free of BSA, sodium azide and glycerol. This conjugation-ready format is designed for use with fluorochromes, metal isotopes, oligonucleotides, and enzymes, which makes them ideal for antibody labelling, functional and cell-based assays, flow-based assays (e.g. mass cytometry) and Multiplex Imaging applications.

Use our conjugation kits for antibody conjugates that are ready-to-use in as little as 20 minutes with 1 minute hands-on-time and 100% antibody recovery: available for fluorescent dyes, HRP, biotin and gold.

Compatibility
This product is compatible with the Maxpar® Antibody Labeling Kit from Fluidigm, without the need for antibody preparation. Maxpar® is a trademark of Fluidigm Canada Inc.

Properties and storage information

Form
Liquid
Purification technique
Affinity purification Protein A
Storage buffer
pH: 7.2 - 7.4 Constituents: PBS
Shipped at conditions
Blue Ice
Appropriate short-term storage conditions
+4°C
Appropriate long-term storage conditions
+4°C
Storage information
Do Not Freeze

Supplementary information

This supplementary information is collated from multiple sources and compiled automatically.

FOXP3 also recognized as Forkhead box P3 is a transcription factor critical for immune system function. It weighs approximately 47 kDa. FOXP3 is mainly expressed in regulatory T cells (Tregs) which play a role in maintaining immune tolerance. Scientists primarily identify its presence in the nucleus where it facilitates transcriptional regulation. Methods like 'FOXP3 IHC' and 'FOXP3 IHC mouse' are useful for detecting this protein in tissue samples while 'FOXP3 antibodies' aid in research on this target. Techniques like 'FOXP3 staining' and 'FOXP3 flow cytometry' further allow for the analysis of its expression and function.
Biological function summary

This transcription factor operates by regulating the expression of a variety of genes involved in Treg cell development and function. FOXP3 can interact with other proteins to form complexes that modulate gene expression. Its role is essential in enabling Tregs to suppress immune responses a process necessary for preventing autoimmunity. The interaction extends to other key regulators within Tregs such as the protein complex 221D which may have overlapping functional responsibilities. 'FOXP3 236a/E7' reflects its genetic variants detectable in different studies providing insights into its biological functions.

Pathways

FOXP3 is a significant player within the immune regulation pathway. It integrates into the TGF-beta signaling pathway in which it controls the expression of genes important for Treg functions. The protein recruits other transcription factors like NF-kB coordinating intricate network regulations within immune cells. FOXP3's activity orchestrates the balance between immune activation and suppression ensuring a well-functioning immune response that prevents overreactions leading to autoimmune conditions.

FOXP3 mutations or dysregulation can link to autoimmune diseases like immune dysregulation polyendocrinopathy enteropathy X-linked syndrome (IPEX). This transcription factor's malfunction implicates cancer where inadequate Treg function can either suppress antitumor immunity or result in tumor progression. Proteins such as CTLA-4 which is also involved in immune regulation connect to FOXP3 in these contexts emphasizing FOXP3’s significant role in maintaining immune homeostasis and its impact on disease development.

Product protocols

For this product, it's our understanding that no specific protocols are required. You can visit:

Target data

The protein expressed by the FOXP3 gene is a transcriptional regulator critical for the development and inhibitory function of regulatory T-cells (Treg). It plays an essential role in immune system homeostasis by ensuring the suppressive function and stability of Treg cells and directly influencing conventional T-cells' expansion and function. FOXP3 can function as either a transcriptional repressor or activator, depending on its interactions with other factors, such as transcription factors, histone acetylases, and deacetylases. It co-activates genes like CTLA4 and TNFRSF18 and represses cytokine genes, including interleukin-2 (IL2) and interferon-gamma (IFNG), and inhibits cytokine production by repressing the activity of transcription factors RELA and NFATC2. FOXP3's association with histone acetylase KAT5 and deacetylase HDAC7 mediates IL2 repression, while its interaction with transcription factor RUNX1 modulates the expression of TNFRSF18, IL2RA, CTLA4, IL2, and IFNG. It also antagonizes RORC to inhibit the differentiation of IL17 producing helper T-cells (Th17), leading to reduced IL17 expression and promoting Treg development, while inhibiting the transcriptional activator activity of RORA. This supplementary information is collated from multiple sources and compiled automatically.
See full target information FOXP3

Publications (1)

Recent publications for all applications. Explore the full list and refine your search

International journal of molecular sciences 23: PubMed35457188

2022

Regulation of Th17/Treg Balance by 27-Hydroxycholesterol and 24S-Hydroxycholesterol Correlates with Learning and Memory Ability in Mice.

Applications

Unspecified application

Species

Unspecified reactive species

Tao Wang,Shanshan Cui,Ling Hao,Wen Liu,Lijing Wang,Mengwei Ju,Wenjing Feng,Rong Xiao
View all publications

Product promise

We are committed to supporting your work with high-quality reagents, and we're here for you every step of the way. In the unlikely event that one of our products does not perform as expected, you're protected by our Product Promise.
For full details, please see our Terms & Conditions

Please note: All products are 'FOR RESEARCH USE ONLY. NOT FOR USE IN DIAGNOSTIC OR THERAPEUTIC PROCEDURES'.

For licensing inquiries, please contact partnerships@abcam.com