JavaScript is disabled in your browser. Please enable JavaScript to view this website.
AB188638

Anti-FOXP3 antibody [mAbcam 22510] - BSA and Azide free

Be the first to review this product! Submit a review

|

(0 Publication)

Mouse Monoclonal FOXP3 antibody. Carrier free. Suitable for ChIP, IHC-P, IHC-Fr and reacts with Human samples.

View Alternative Names

IPEX, JM2, FOXP3, Forkhead box protein P3, Scurfin

4 Images
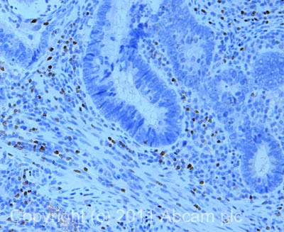
Immunohistochemistry (Formalin/PFA-fixed paraffin-embedded sections) - Anti-FOXP3 antibody [mAbcam 22510] - BSA and Azide free (AB188638)
  • IHC-P

Supplier Data

Immunohistochemistry (Formalin/PFA-fixed paraffin-embedded sections) - Anti-FOXP3 antibody [mAbcam 22510] - BSA and Azide free (AB188638)

Image produced using the same antibody clone but in a different formulation ab22510.

IHC image of ab22510 staining in human colon carcinoma formalin fixed paraffin embedded tissue section, performed on a Leica BondTM system using the standard protocol F. The section was pre-treated using heat mediated antigen retrieval with sodium citrate buffer (pH6, epitope retrieval solution 1) for 20 mins. The section was then incubated with ab22510, 20μg/ml, for 15 mins at room temperature and detected using an HRP conjugated compact polymer system. DAB was used as the chromogen. The section was then counterstained with hematoxylin and mounted with DPX.

For other IHC staining systems (automated and non-automated) customers should optimize variable parameters such as antigen retrieval conditions, primary antibody concentration and antibody incubation times.

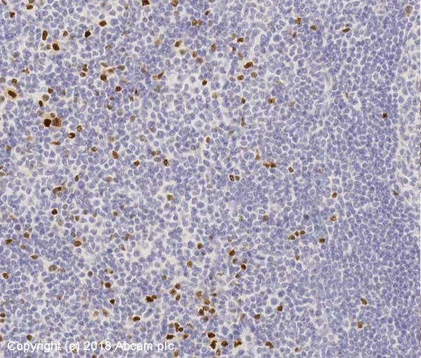
Immunohistochemistry (Frozen sections) - Anti-FOXP3 antibody [mAbcam 22510] - BSA and Azide free (AB188638)
  • IHC-Fr

Supplier Data

Immunohistochemistry (Frozen sections) - Anti-FOXP3 antibody [mAbcam 22510] - BSA and Azide free (AB188638)

Image produced using the same antibody clone but in a different formulation ab22510.

IHC image of FOXP3 staining in a section of formalin-fixed frozen normal human tonsil* performed on a Leica BONDTM system using the standard protocol F. The section was then incubated with ab22510, 10ug/ml, for 15 mins at room temperature and detected using an HRP conjugated compact polymer system. DAB was used as the chromogen. The section was then counterstained with hematoxylin and mounted with DPX.

For other IHC staining systems (automated and non-automated) customers should optimize variable parameters such as antigen retrieval conditions, primary antibody concentration and antibody incubation times.

*Tissue obtained from the Human Research Tissue Bank, supported by the NIHR Cambridge Biomedical Research Centre

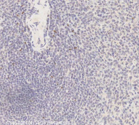
Immunohistochemistry (Formalin/PFA-fixed paraffin-embedded sections) - Anti-FOXP3 antibody [mAbcam 22510] - BSA and Azide free (AB188638)
  • IHC-P

Supplier Data

Immunohistochemistry (Formalin/PFA-fixed paraffin-embedded sections) - Anti-FOXP3 antibody [mAbcam 22510] - BSA and Azide free (AB188638)

Image produced using the same antibody clone but in a different formulation ab22510.

IHC image of FOXP3 staining in a section of formalin-fixed paraffin-embedded normal human spleen* performed on a Leica BONDTM system using the standard protocol F. The section was pre-treated using heat mediated antigen retrieval with EDTA buffer (pH9, epitope retrieval solution 2) for 20mins. The section was then incubated with ab22510, 10ug/ml, for 15 mins at room temperature and detected using an HRP conjugated compact polymer system. DAB was used as the chromogen. The section was then counterstained with hematoxylin and mounted with DPX.

For other IHC staining systems (automated and non-automated) customers should optimize variable parameters such as antigen retrieval conditions, primary antibody concentration and antibody incubation times.

*Tissue obtained from the Human Research Tissue Bank, supported by the NIHR Cambridge Biomedical Research Centre

Immunohistochemistry (Formalin/PFA-fixed paraffin-embedded sections) - Anti-FOXP3 antibody [mAbcam 22510] - BSA and Azide free (AB188638)
  • IHC-P

Supplier Data

Immunohistochemistry (Formalin/PFA-fixed paraffin-embedded sections) - Anti-FOXP3 antibody [mAbcam 22510] - BSA and Azide free (AB188638)

Image produced using the same antibody clone but in a different formulation ab22510.

IHC image of FOXP3 staining in a section of formalin-fixed paraffin-embedded normal human tonsil* performed on a Leica BONDTM system using the standard protocol F. The section was pre-treated using heat mediated antigen retrieval with EDTA buffer (pH9, epitope retrieval solution 2) for 20mins. The section was then incubated with ab22510, 10ug/ml, for 15 mins at room temperature and detected using an HRP conjugated compact polymer system. DAB was used as the chromogen. The section was then counterstained with hematoxylin and mounted with DPX.

For other IHC staining systems (automated and non-automated) customers should optimize variable parameters such as antigen retrieval conditions, primary antibody concentration and antibody incubation times.

*Tissue obtained from the Human Research Tissue Bank, supported by the NIHR Cambridge Biomedical Research Centre

  • HRP

    HRP Anti-FOXP3 antibody [mAbcam 22510]

  • Unconjugated

    Anti-FOXP3 antibody [mAbcam 22510]

Key facts

Host species

Mouse

Clonality

Monoclonal

Clone number

mAbcam 22510

Isotype

IgG1

Light chain type

kappa

Carrier free

Yes

Reacts with

Human

Applications

IHC-P, IHC-Fr, ChIP

applications

Immunogen

The exact immunogen used to generate this antibody is proprietary information.

Specificity

This product detects an epitope near the C-terminus of the FOXP3 protein and is expected to detect full length FOXP3. It is not expected to detect the cleaved forms of FOXP3.

Reactivity data

{ "title": "Reactivity Data", "filters": { "stats": ["", "Species", "Dilution Info", "Notes"], "tabs": { "all-applications": {"fullname" : "All Applications", "shortname": "All Applications"}, "ChIP" : {"fullname" : "ChIP", "shortname":"ChIP"}, "IHCP" : {"fullname" : "Immunohistochemistry (Formalin/PFA-fixed paraffin-embedded sections)", "shortname":"IHC-P"}, "WB" : {"fullname" : "Western blot", "shortname":"WB"}, "IHCFr" : {"fullname" : "Immunohistochemistry (Frozen sections)", "shortname":"IHC-Fr"}, "FlowCyt" : {"fullname" : "Flow Cytometry", "shortname":"Flow Cyt"} }, "product-promise": { "all": "all", "testedAndGuaranteed": "tested", "guaranteed": "expected", "predicted": "predicted", "notRecommended": "not-recommended" } }, "values": { "Human": { "ChIP-species-checked": "guaranteed", "ChIP-species-dilution-info": "", "ChIP-species-notes": "<p></p>", "IHCP-species-checked": "testedAndGuaranteed", "IHCP-species-dilution-info": "", "IHCP-species-notes": "<p></p>", "WB-species-checked": "notRecommended", "WB-species-dilution-info": "", "WB-species-notes": "<p></p>", "IHCFr-species-checked": "testedAndGuaranteed", "IHCFr-species-dilution-info": "", "IHCFr-species-notes": "<p></p>", "FlowCyt-species-checked": "notRecommended", "FlowCyt-species-dilution-info": "", "FlowCyt-species-notes": "<p></p>" }, "Rat": { "ChIP-species-checked": "predicted", "ChIP-species-dilution-info": "", "ChIP-species-notes": "", "IHCP-species-checked": "predicted", "IHCP-species-dilution-info": "", "IHCP-species-notes": "", "WB-species-checked": "notRecommended", "WB-species-dilution-info": "", "WB-species-notes": "", "IHCFr-species-checked": "predicted", "IHCFr-species-dilution-info": "", "IHCFr-species-notes": "", "FlowCyt-species-checked": "notRecommended", "FlowCyt-species-dilution-info": "", "FlowCyt-species-notes": "" } } }

Product details

ab188638 is the carrier-free version of ab22510.

Want a custom formulation?
This antibody clone is manufactured by Abcam. If you require a custom buffer formulation or conjugation for your experiments, please contact orders@abcam.com

Conjugation ready
Our carrier-free antibodies are typically supplied in a PBS-only formulation, purified and free of BSA, sodium azide and glycerol. This conjugation-ready format is designed for use with fluorochromes, metal isotopes, oligonucleotides, and enzymes, which makes them ideal for antibody labelling, functional and cell-based assays, flow-based assays (e.g. mass cytometry) and Multiplex Imaging applications.

Use our conjugation kits for antibody conjugates that are ready-to-use in as little as 20 minutes with 1 minute hands-on-time and 100% antibody recovery: available for fluorescent dyes, HRP, biotin and gold.

Compatibility
This product is compatible with the Maxpar® Antibody Labeling Kit from Fluidigm, without the need for antibody preparation. Maxpar® is a trademark of Fluidigm Canada Inc.

Properties and storage information

Form
Liquid
Purification technique
Affinity purification
Storage buffer
Constituents: PBS
Shipped at conditions
Blue Ice
Appropriate short-term storage conditions
+4°C
Appropriate long-term storage conditions
+4°C
Storage information
Do Not Freeze

Supplementary information

This supplementary information is collated from multiple sources and compiled automatically.

FOXP3 also recognized as Forkhead box P3 is a transcription factor critical for immune system function. It weighs approximately 47 kDa. FOXP3 is mainly expressed in regulatory T cells (Tregs) which play a role in maintaining immune tolerance. Scientists primarily identify its presence in the nucleus where it facilitates transcriptional regulation. Methods like 'FOXP3 IHC' and 'FOXP3 IHC mouse' are useful for detecting this protein in tissue samples while 'FOXP3 antibodies' aid in research on this target. Techniques like 'FOXP3 staining' and 'FOXP3 flow cytometry' further allow for the analysis of its expression and function.
Biological function summary

This transcription factor operates by regulating the expression of a variety of genes involved in Treg cell development and function. FOXP3 can interact with other proteins to form complexes that modulate gene expression. Its role is essential in enabling Tregs to suppress immune responses a process necessary for preventing autoimmunity. The interaction extends to other key regulators within Tregs such as the protein complex 221D which may have overlapping functional responsibilities. 'FOXP3 236a/E7' reflects its genetic variants detectable in different studies providing insights into its biological functions.

Pathways

FOXP3 is a significant player within the immune regulation pathway. It integrates into the TGF-beta signaling pathway in which it controls the expression of genes important for Treg functions. The protein recruits other transcription factors like NF-kB coordinating intricate network regulations within immune cells. FOXP3's activity orchestrates the balance between immune activation and suppression ensuring a well-functioning immune response that prevents overreactions leading to autoimmune conditions.

FOXP3 mutations or dysregulation can link to autoimmune diseases like immune dysregulation polyendocrinopathy enteropathy X-linked syndrome (IPEX). This transcription factor's malfunction implicates cancer where inadequate Treg function can either suppress antitumor immunity or result in tumor progression. Proteins such as CTLA-4 which is also involved in immune regulation connect to FOXP3 in these contexts emphasizing FOXP3’s significant role in maintaining immune homeostasis and its impact on disease development.

Product protocols

For this product, it's our understanding that no specific protocols are required. You can visit:

Target data

The protein expressed by the FOXP3 gene is a transcriptional regulator critical for the development and inhibitory function of regulatory T-cells (Treg). It plays an essential role in immune system homeostasis by ensuring the suppressive function and stability of Treg cells and directly influencing conventional T-cells' expansion and function. FOXP3 can function as either a transcriptional repressor or activator, depending on its interactions with other factors, such as transcription factors, histone acetylases, and deacetylases. It co-activates genes like CTLA4 and TNFRSF18 and represses cytokine genes, including interleukin-2 (IL2) and interferon-gamma (IFNG), and inhibits cytokine production by repressing the activity of transcription factors RELA and NFATC2. FOXP3's association with histone acetylase KAT5 and deacetylase HDAC7 mediates IL2 repression, while its interaction with transcription factor RUNX1 modulates the expression of TNFRSF18, IL2RA, CTLA4, IL2, and IFNG. It also antagonizes RORC to inhibit the differentiation of IL17 producing helper T-cells (Th17), leading to reduced IL17 expression and promoting Treg development, while inhibiting the transcriptional activator activity of RORA. This supplementary information is collated from multiple sources and compiled automatically.
See full target information FOXP3

Product promise

We are committed to supporting your work with high-quality reagents, and we're here for you every step of the way. In the unlikely event that one of our products does not perform as expected, you're protected by our Product Promise.
For full details, please see our Terms & Conditions

Please note: All products are 'FOR RESEARCH USE ONLY. NOT FOR USE IN DIAGNOSTIC OR THERAPEUTIC PROCEDURES'.

For licensing inquiries, please contact partnerships@abcam.com