JavaScript is disabled in your browser. Please enable JavaScript to view this website.
AB309108

Anti-FOXP3 antibody [mAbcam 450] - Mouse IgG2a

0

(1 Review)

|

(0 Publication)

Mouse Recombinant Monoclonal FOXP3 antibody. Suitable for WB, IHC-P, IHC-Fr and reacts with Transfected cell lysate - Human, Human samples.

View Alternative Names

IPEX, JM2, FOXP3, Forkhead box protein P3, Scurfin

6 Images
Immunohistochemistry (Formalin/PFA-fixed paraffin-embedded sections) - Anti-FOXP3 antibody [mAbcam 450] - Mouse IgG2a (AB309108)
  • IHC-P

Supplier Data

Immunohistochemistry (Formalin/PFA-fixed paraffin-embedded sections) - Anti-FOXP3 antibody [mAbcam 450] - Mouse IgG2a (AB309108)

Immunohistochemical analysis of paraffin-embedded Human cardiac muscle tissue labeling FOXP3 with ab309108 at 1/500 (2.132 ug/ml) followed by a ready to use LeicaDS9800 (Bond™ Polymer Refine Detection) was used. Negative control : no staining on human cardiac muscle.The section was incubated with ab309108 for 30 mins at room temperature, followed by anti-mouse IgG2a antibody for 8 mins during the LeicaDS9800 kit staining procedure.The immunostaining was performed on a Leica Biosystems BOND® RX instrument Counterstained with Hematoxylin. Secondary antibody only control : Secondary antibody is a ready to use LeicaDS9800 (Bond™ Polymer Refine Detection) was used. Heat mediated antigen retrieval was performed with Citrate buffer (pH 6.0, Epitope Retrieval Solution 1) for 20 mins

Immunohistochemistry (Frozen sections) - Anti-FOXP3 antibody [mAbcam 450] - Mouse IgG2a (AB309108)
  • IHC-Fr

Supplier Data

Immunohistochemistry (Frozen sections) - Anti-FOXP3 antibody [mAbcam 450] - Mouse IgG2a (AB309108)

Immunohistochemical analysis of 4% PFA-fixed, 0.2% Triton X-100 permeabilized frozen Human heart (fresh) tissue labeling FOXP3 with ab309108 at 1/10000 dilution followed by ab150120 Goat Anti-Mouse IgG H&L (Alexa Fluor® 594) at 1/1000 2 ug/mL dilution (Green). Negative control : confocal image showing no staining on human heart. The nuclear counterstain was DAPI (Blue). The section was incubated with ab309108 overnight at 4°C. The section was then mounted using Fluoromount®. Image was taken with a confocal microscope (Leica-Microsystems, TCS SP8). is observed. The nuclear counterstain was DAPI (Blue). Secondary antibody control : Secondary antibody is ab150120 Goat Anti-Mouse IgG H&L (Alexa Fluor® 594)at 1/1000 2 ug/mL dilution.

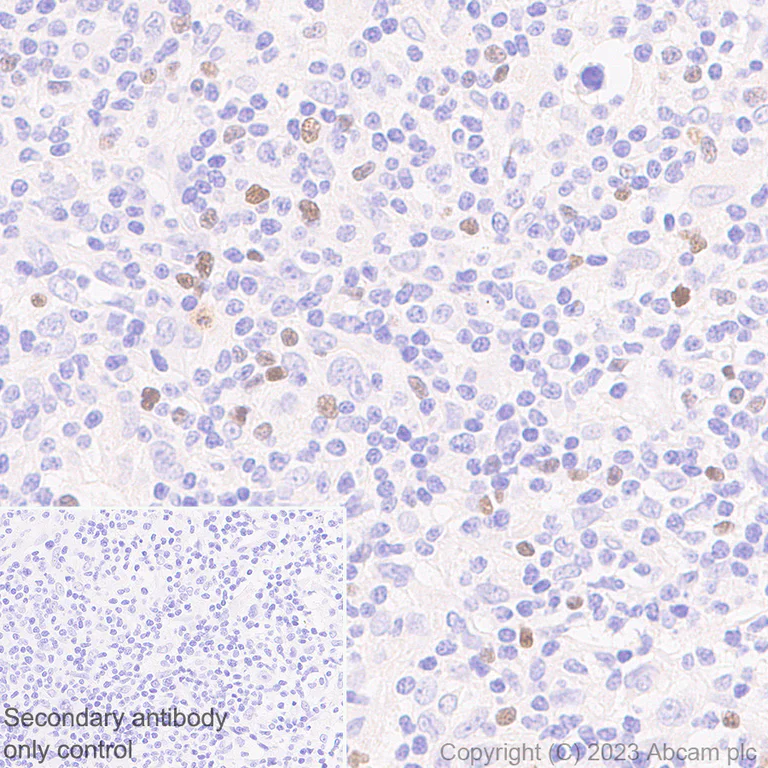
Immunohistochemistry (Formalin/PFA-fixed paraffin-embedded sections) - Anti-FOXP3 antibody [mAbcam 450] - Mouse IgG2a (AB309108)
  • IHC-P

Supplier Data

Immunohistochemistry (Formalin/PFA-fixed paraffin-embedded sections) - Anti-FOXP3 antibody [mAbcam 450] - Mouse IgG2a (AB309108)

Immunohistochemical analysis of paraffin-embedded Human Hodgkin's lymp tissue labeling FOXP3 with ab309108 at 1/500 (2.132 ug/ml) followed by a ready to use LeicaDS9800 (Bond™ Polymer Refine Detection) was used. Scattered nuclear staining on human Hodgkin's lymphoma.The section was incubated with ab309108 for 30 mins at room temperature, followed by anti-mouse IgG2a antibody for 8 mins during the LeicaDS9800 kit staining procedure.The immunostaining was performed on a Leica Biosystems BOND® RX instrument Counterstained with Hematoxylin. Secondary antibody only control : Secondary antibody is a ready to use LeicaDS9800 (Bond™ Polymer Refine Detection) was used. Heat mediated antigen retrieval was performed with Citrate buffer (pH 6.0, Epitope Retrieval Solution 1) for 20 mins

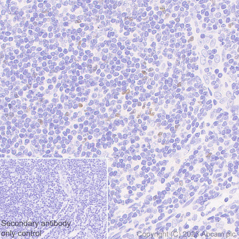
Immunohistochemistry (Formalin/PFA-fixed paraffin-embedded sections) - Anti-FOXP3 antibody [mAbcam 450] - Mouse IgG2a (AB309108)
  • IHC-P

Supplier Data

Immunohistochemistry (Formalin/PFA-fixed paraffin-embedded sections) - Anti-FOXP3 antibody [mAbcam 450] - Mouse IgG2a (AB309108)

Immunohistochemical analysis of paraffin-embedded Human tonsil tissue labeling FOXP3 with ab309108 at 1/500 (2.132 ug/ml) followed by a ready to use LeicaDS9800 (Bond™ Polymer Refine Detection) was used. Scattered nuclear staining on human tonsil.The section was incubated with ab309108 for 30 mins at room temperature, followed by anti-mouse IgG2a antibody for 8 mins during the LeicaDS9800 kit staining procedure.The immunostaining was performed on a Leica Biosystems BOND® RX instrument Counterstained with Hematoxylin. Secondary antibody only control : Secondary antibody is a ready to use LeicaDS9800 (Bond™ Polymer Refine Detection) was used. Heat mediated antigen retrieval was performed with Citrate buffer (pH 6.0, Epitope Retrieval Solution 1) for 20 mins

Immunohistochemistry (Frozen sections) - Anti-FOXP3 antibody [mAbcam 450] - Mouse IgG2a (AB309108)
  • IHC-Fr

Supplier Data

Immunohistochemistry (Frozen sections) - Anti-FOXP3 antibody [mAbcam 450] - Mouse IgG2a (AB309108)

Immunohistochemical analysis of 4% PFA-fixed, 0.2% Triton X-100 permeabilized frozen Human tonsil (fresh) tissue labeling FOXP3 with ab309108 at 1/10000 dilution followed by ab150120 Goat Anti-Mouse IgG H&L (Alexa Fluor® 594) at 1/1000 2 ug/mL dilution (Green). Confocal image showing positive staining on human tonsil. The nuclear counterstain was DAPI (Blue). The section was incubated with ab309108 overnight at 4°C. The section was then mounted using Fluoromount®. Image was taken with a confocal microscope (Leica-Microsystems, TCS SP8). is observed. The nuclear counterstain was DAPI (Blue). Secondary antibody control : Secondary antibody is ab150120 Goat Anti-Mouse IgG H&L (Alexa Fluor® 594)at 1/1000 2 ug/mL dilution.

Western blot - Anti-FOXP3 antibody [mAbcam 450] - Mouse IgG2a (AB309108)
  • WB

Supplier Data

Western blot - Anti-FOXP3 antibody [mAbcam 450] - Mouse IgG2a (AB309108)

Blocking and diluting buffer and concentration : 5% NFDM/TBST The molecular weight observed was in consistant with the literature (PMID : 17586580). In Western blot, anti-GAPDH antibody (ab181602) loading control staining at 1/200000 dilution. Exposure time : 180 seconds

All lanes:

Western blot - Anti-FOXP3 antibody [mAbcam 450] - Mouse IgG2a (ab309108) at 1/1000 dilution

Secondary

All lanes:

Peroxidase-Conjugated Goat anti-Mouse IgG (H+L)

Observed band size: 72 kDa

false

Exposure time: 180s

Key facts

Host species

Mouse

Clonality

Monoclonal

Clone number

mAbcam 450

Isotype

IgG2a

Carrier free

No

Reacts with

Human

Applications

IHC-Fr, WB, IHC-P

applications

Immunogen

The exact immunogen used to generate this antibody is proprietary information.

Reactivity data

{ "title": "Reactivity Data", "filters": { "stats": ["", "Species", "Dilution Info", "Notes"], "tabs": { "all-applications": {"fullname" : "All Applications", "shortname": "All Applications"}, "WB" : {"fullname" : "Western blot", "shortname":"WB"}, "IHCP" : {"fullname" : "Immunohistochemistry (Formalin/PFA-fixed paraffin-embedded sections)", "shortname":"IHC-P"}, "IHCFr" : {"fullname" : "Immunohistochemistry (Frozen sections)", "shortname":"IHC-Fr"} }, "product-promise": { "all": "all", "testedAndGuaranteed": "tested", "guaranteed": "expected", "predicted": "predicted", "notRecommended": "not-recommended" } }, "values": { "Human": { "WB-species-checked": "guaranteed", "WB-species-dilution-info": "", "WB-species-notes": "", "IHCP-species-checked": "testedAndGuaranteed", "IHCP-species-dilution-info": "1/500", "IHCP-species-notes": "<p></p> Perform heat-mediated antigen retrieval with citrate buffer pH 6 before commencing with IHC staining protocol.", "IHCFr-species-checked": "testedAndGuaranteed", "IHCFr-species-dilution-info": "1/10000", "IHCFr-species-notes": "<p></p>" }, "Transfected cell lysate - Human": { "WB-species-checked": "testedAndGuaranteed", "WB-species-dilution-info": "1/1000", "WB-species-notes": "<p></p>", "IHCP-species-checked": "notRecommended", "IHCP-species-dilution-info": "", "IHCP-species-notes": "", "IHCFr-species-checked": "notRecommended", "IHCFr-species-dilution-info": "", "IHCFr-species-notes": "" } } }

Product details

Want a custom formulation?
This antibody clone is manufactured by Abcam. If you require a custom buffer formulation or conjugation for your experiments, please contact orders@abcam.com

What are the advantages of a recombinant monoclonal antibody?
This product is a recombinant monoclonal antibody, which offers several advantages including:

  • - High batch-to-batch consistency and reproducibility
  • - Improved sensitivity and specificity
  • - Long-term security of supply
  • - Animal-free batch production

For more information, read more on recombinant antibodies.

Properties and storage information

Form
Liquid
Purification technique
Affinity purification Protein A
Storage buffer
pH: 7.2 - 7.4 Preservative: 0.01% Sodium azide Constituents: PBS, 40% Glycerol (glycerin, glycerine), 0.05% BSA
Shipped at conditions
Blue Ice
Appropriate short-term storage duration
1-2 weeks
Appropriate short-term storage conditions
+4°C
Appropriate long-term storage conditions
-20°C
Aliquoting information
Upon delivery aliquot
Storage information
Avoid freeze / thaw cycle

Supplementary information

This supplementary information is collated from multiple sources and compiled automatically.

FOXP3 also recognized as Forkhead box P3 is a transcription factor critical for immune system function. It weighs approximately 47 kDa. FOXP3 is mainly expressed in regulatory T cells (Tregs) which play a role in maintaining immune tolerance. Scientists primarily identify its presence in the nucleus where it facilitates transcriptional regulation. Methods like 'FOXP3 IHC' and 'FOXP3 IHC mouse' are useful for detecting this protein in tissue samples while 'FOXP3 antibodies' aid in research on this target. Techniques like 'FOXP3 staining' and 'FOXP3 flow cytometry' further allow for the analysis of its expression and function.
Biological function summary

This transcription factor operates by regulating the expression of a variety of genes involved in Treg cell development and function. FOXP3 can interact with other proteins to form complexes that modulate gene expression. Its role is essential in enabling Tregs to suppress immune responses a process necessary for preventing autoimmunity. The interaction extends to other key regulators within Tregs such as the protein complex 221D which may have overlapping functional responsibilities. 'FOXP3 236a/E7' reflects its genetic variants detectable in different studies providing insights into its biological functions.

Pathways

FOXP3 is a significant player within the immune regulation pathway. It integrates into the TGF-beta signaling pathway in which it controls the expression of genes important for Treg functions. The protein recruits other transcription factors like NF-kB coordinating intricate network regulations within immune cells. FOXP3's activity orchestrates the balance between immune activation and suppression ensuring a well-functioning immune response that prevents overreactions leading to autoimmune conditions.

FOXP3 mutations or dysregulation can link to autoimmune diseases like immune dysregulation polyendocrinopathy enteropathy X-linked syndrome (IPEX). This transcription factor's malfunction implicates cancer where inadequate Treg function can either suppress antitumor immunity or result in tumor progression. Proteins such as CTLA-4 which is also involved in immune regulation connect to FOXP3 in these contexts emphasizing FOXP3’s significant role in maintaining immune homeostasis and its impact on disease development.

Product protocols

For this product, it's our understanding that no specific protocols are required. You can visit:

Target data

The protein expressed by the FOXP3 gene is a transcriptional regulator critical for the development and inhibitory function of regulatory T-cells (Treg). It plays an essential role in immune system homeostasis by ensuring the suppressive function and stability of Treg cells and directly influencing conventional T-cells' expansion and function. FOXP3 can function as either a transcriptional repressor or activator, depending on its interactions with other factors, such as transcription factors, histone acetylases, and deacetylases. It co-activates genes like CTLA4 and TNFRSF18 and represses cytokine genes, including interleukin-2 (IL2) and interferon-gamma (IFNG), and inhibits cytokine production by repressing the activity of transcription factors RELA and NFATC2. FOXP3's association with histone acetylase KAT5 and deacetylase HDAC7 mediates IL2 repression, while its interaction with transcription factor RUNX1 modulates the expression of TNFRSF18, IL2RA, CTLA4, IL2, and IFNG. It also antagonizes RORC to inhibit the differentiation of IL17 producing helper T-cells (Th17), leading to reduced IL17 expression and promoting Treg development, while inhibiting the transcriptional activator activity of RORA. This supplementary information is collated from multiple sources and compiled automatically.
See full target information FOXP3

Product promise

We are committed to supporting your work with high-quality reagents, and we're here for you every step of the way. In the unlikely event that one of our products does not perform as expected, you're protected by our Product Promise.
For full details, please see our Terms & Conditions

Please note: All products are 'FOR RESEARCH USE ONLY. NOT FOR USE IN DIAGNOSTIC OR THERAPEUTIC PROCEDURES'.

For licensing inquiries, please contact partnerships@abcam.com