JavaScript is disabled in your browser. Please enable JavaScript to view this website.
AB99963

Anti-FOXP3 antibody [SP97]

  • BOND RX™ Validated
  • RabMAb
  • Recombinant
  • Lab Essentials
  • 20ul selling size
  • What is this?

3

(3 Reviews)

|

(25 Publications)

Anti-FOXP3 antibody [SP97] (ab99963) is a rabbit monoclonal antibody detecting FOXP3 in IHC-P. Suitable for Human.

- Biophysical QC for unrivalled batch-batch consistency
- Over 20 publications
- Trusted since 2010

View Alternative Names

IPEX, JM2, FOXP3, Forkhead box protein P3, Scurfin

14 Images
Immunohistochemistry (Formalin/PFA-fixed paraffin-embedded sections) - Anti-FOXP3 antibody [SP97] (AB99963)
  • IHC-P

Lab

Immunohistochemistry (Formalin/PFA-fixed paraffin-embedded sections) - Anti-FOXP3 antibody [SP97] (AB99963)

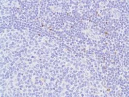
Immunohistochemical analysis of formalin fixed paraffin embedded human spleen labelling FOXP3 with ab99963 at a concentration of 0.5µg/ml. The immunostaining was performed on a Ventana DISCOVERY ULTRA (Roche Tissue Diagnostics) instrument with a OptiView DAB IHC Detection Kit. Heat mediated antigen retrieval was performed with DISCOVERY cell conditioning solution (CC1) 100°C, pH8.5 for 32mins. ab99963 Anti-FOXP3 antibody [SP97] was incubated for 16mins at 37°C. Sections were counterstained with Hematoxylin II. Image inset shows absence of staining in secondary antibody only control. Customers are encouraged to optimise antigen retrieval conditions, antibody concentration, incubation times and temperature for best results in their own IHC assay workflow (automated and manual)

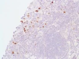
Immunohistochemistry (Formalin/PFA-fixed paraffin-embedded sections) - Anti-FOXP3 antibody [SP97] (AB99963)
  • IHC-P

Lab

Immunohistochemistry (Formalin/PFA-fixed paraffin-embedded sections) - Anti-FOXP3 antibody [SP97] (AB99963)

Immunohistochemical analysis of formalin fixed paraffin embedded human tonsil labelling FOXP3 with ab99963 at a concentration of 0.5µg/ml. The immunostaining was performed on a Ventana DISCOVERY ULTRA (Roche Tissue Diagnostics) instrument with a OptiView DAB IHC Detection Kit. Heat mediated antigen retrieval was performed with DISCOVERY cell conditioning solution (CC1) 100°C, pH8.5 for 32mins. ab99963 Anti-FOXP3 antibody [SP97] was incubated for 16mins at 37°C. Sections were counterstained with Hematoxylin II. Image inset shows absence of staining in secondary antibody only control. Customers are encouraged to optimise antigen retrieval conditions, antibody concentration, incubation times and temperature for best results in their own IHC assay workflow (automated and manual)

Immunohistochemistry (Formalin/PFA-fixed paraffin-embedded sections) - Anti-FOXP3 antibody [SP97] (AB99963)
  • IHC-P

Unknown

Immunohistochemistry (Formalin/PFA-fixed paraffin-embedded sections) - Anti-FOXP3 antibody [SP97] (AB99963)

Immunohistochemical analysis of Human Tonsil tissue labelling FOXP3 with ab99963.

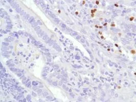
Immunohistochemistry (Formalin/PFA-fixed paraffin-embedded sections) - Anti-FOXP3 antibody [SP97] (AB99963)
  • IHC-P

Unknown

Immunohistochemistry (Formalin/PFA-fixed paraffin-embedded sections) - Anti-FOXP3 antibody [SP97] (AB99963)

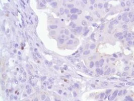
Formalin-fixed, paraffin-embedded human bladder transitional cell carcinoma tissue stained for FOXP3 using ab99963 at 1/100 dilution in immunohistochemical analysis.

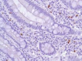
Immunohistochemistry (Formalin/PFA-fixed paraffin-embedded sections) - Anti-FOXP3 antibody [SP97] (AB99963)
  • IHC-P

Unknown

Immunohistochemistry (Formalin/PFA-fixed paraffin-embedded sections) - Anti-FOXP3 antibody [SP97] (AB99963)

Formalin-fixed, paraffin-embedded human stomach adenocarcinoma tissue stained for FOXP3 using ab99963 at 1/100 dilution in immunohistochemical analysis.

Immunohistochemistry (Formalin/PFA-fixed paraffin-embedded sections) - Anti-FOXP3 antibody [SP97] (AB99963)
  • IHC-P

Unknown

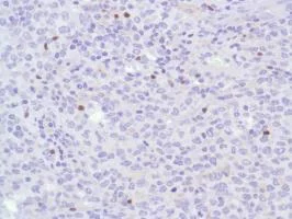
Immunohistochemistry (Formalin/PFA-fixed paraffin-embedded sections) - Anti-FOXP3 antibody [SP97] (AB99963)

Formalin-fixed, paraffin-embedded human B cell lymphoma tissue stained for FOXP3 using ab99963 at 1/100 dilution in immunohistochemical analysis.

Immunohistochemistry (Formalin/PFA-fixed paraffin-embedded sections) - Anti-FOXP3 antibody [SP97] (AB99963)
  • IHC-P

Unknown

Immunohistochemistry (Formalin/PFA-fixed paraffin-embedded sections) - Anti-FOXP3 antibody [SP97] (AB99963)

Formalin-fixed, paraffin-embedded human pancreatic adenocarcinoma tissue stained for FOXP3 using ab99963 at 1/100 dilution in immunohistochemical analysis.

Immunohistochemistry (Formalin/PFA-fixed paraffin-embedded sections) - Anti-FOXP3 antibody [SP97] (AB99963)
  • IHC-P

Unknown

Immunohistochemistry (Formalin/PFA-fixed paraffin-embedded sections) - Anti-FOXP3 antibody [SP97] (AB99963)

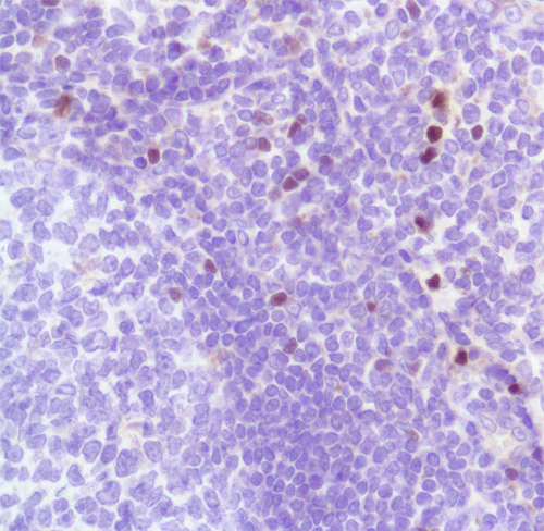
Formalin-fixed, paraffin-embedded human lymph node tissue stained for FOXP3 using ab99963 at 1/100 dilution in immunohistochemical analysis.

Immunohistochemistry (Formalin/PFA-fixed paraffin-embedded sections) - Anti-FOXP3 antibody [SP97] (AB99963)
  • IHC-P

Supplier Data

Immunohistochemistry (Formalin/PFA-fixed paraffin-embedded sections) - Anti-FOXP3 antibody [SP97] (AB99963)

Formalin-fixed, paraffin-embedded human colon adenocarcinoma tissue stained for FOXP3 using ab99963 at 1/100 dilution in immunohistochemical analysis.

Immunohistochemistry (Formalin/PFA-fixed paraffin-embedded sections) - Anti-FOXP3 antibody [SP97] (AB99963)
  • IHC-P

Unknown

Immunohistochemistry (Formalin/PFA-fixed paraffin-embedded sections) - Anti-FOXP3 antibody [SP97] (AB99963)

Formalin-fixed, paraffin-embedded human thymus tissue stained for FOXP3 using ab99963 at 1/100 dilution in immunohistochemical analysis.

Immunohistochemistry (Formalin/PFA-fixed paraffin-embedded sections) - Anti-FOXP3 antibody [SP97] (AB99963)
  • IHC-P

Unknown

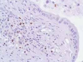
Immunohistochemistry (Formalin/PFA-fixed paraffin-embedded sections) - Anti-FOXP3 antibody [SP97] (AB99963)

Formalin-fixed, paraffin-embedded human bladder tissue stained for FOXP3 using ab99963 at 1/100 dilution in immunohistochemical analysis.

Immunohistochemistry (Formalin/PFA-fixed paraffin-embedded sections) - Anti-FOXP3 antibody [SP97] (AB99963)
  • IHC-P

Supplier Data

Immunohistochemistry (Formalin/PFA-fixed paraffin-embedded sections) - Anti-FOXP3 antibody [SP97] (AB99963)

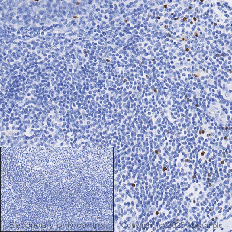
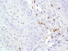
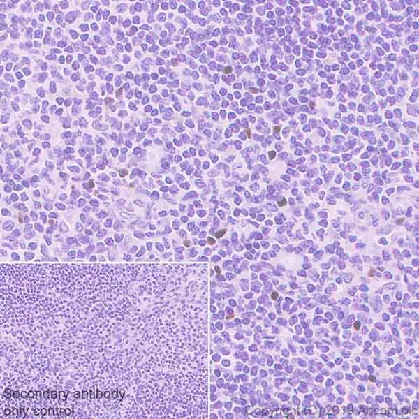
Immunohistochemical analysis of paraffin-embedded Human tonsil tissue labeling FOXP3 with ab99963, followed by a ready to use Goat Anti-Rabbit IgG H&L (HRP). Positive staining on a subset of T cells in the human tonsil. The section was incubated with ab229902 for 30 mins at room temperature. The immunostaining was performed on a Leica Biosystems BOND® RX instrument. Counterstained with Hematoxylin. Heat mediated antigen retrieval using ab93684 (Tris/EDTA buffer, pH 9.0).

Secondary antibody only control : Used PBS instead of primary antibody, secondary antibody is a ready to use Goat Anti-Rabbit IgG H&L (HRP).

Immunohistochemistry (Formalin/PFA-fixed paraffin-embedded sections) - Anti-FOXP3 antibody [SP97] (AB99963)
  • IHC-P

Unknown

Immunohistochemistry (Formalin/PFA-fixed paraffin-embedded sections) - Anti-FOXP3 antibody [SP97] (AB99963)

Formalin-fixed, paraffin-embedded human colon tissue stained for FOXP3 using ab99963 at 1/100 dilution in immunohistochemical analysis.

Immunohistochemistry (Formalin/PFA-fixed paraffin-embedded sections) - Anti-FOXP3 antibody [SP97] (AB99963)
  • IHC-P

Unknown

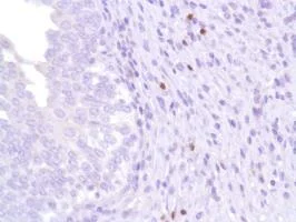
Immunohistochemistry (Formalin/PFA-fixed paraffin-embedded sections) - Anti-FOXP3 antibody [SP97] (AB99963)

Formalin-fixed, paraffin-embedded human cervical squamous cell carcinoma tissue stained for FOXP3 using ab99963 at 1/100 dilution in immunohistochemical analysis.

Key facts

Host species

Rabbit

Clonality

Monoclonal

Clone number

SP97

Isotype

IgG

Carrier free

No

Reacts with

Human

Applications

IHC-P

applications

Immunogen

The exact immunogen used to generate this antibody is proprietary information.

Reactivity data

{ "title": "Reactivity Data", "filters": { "stats": ["", "Species", "Dilution Info", "Notes"], "tabs": { "all-applications": {"fullname" : "All Applications", "shortname": "All Applications"}, "IHCP" : {"fullname" : "Immunohistochemistry (Formalin/PFA-fixed paraffin-embedded sections)", "shortname":"IHC-P"} }, "product-promise": { "all": "all", "testedAndGuaranteed": "tested", "guaranteed": "expected", "predicted": "predicted", "notRecommended": "not-recommended" } }, "values": { "Human": { "IHCP-species-checked": "testedAndGuaranteed", "IHCP-species-dilution-info": "1/100", "IHCP-species-notes": "<p>Boil tissue section in 10mM Citrate, pH 6.0 for 10 min followed by cooling at RT for 20 min.</p> Perform heat-mediated antigen retrieval with Tris/EDTA buffer pH 9.0 before commencing with IHC staining protocol." }, "Mouse": { "IHCP-species-checked": "notRecommended", "IHCP-species-dilution-info": "1/100", "IHCP-species-notes": "<p>Boil tissue section in 10mM Citrate, pH 6.0 for 10 min followed by cooling at RT for 20 min.</p> Perform heat-mediated antigen retrieval with Tris/EDTA buffer pH 9.0 before commencing with IHC staining protocol." }, "Rat": { "IHCP-species-checked": "notRecommended", "IHCP-species-dilution-info": "1/100", "IHCP-species-notes": "<p>Boil tissue section in 10mM Citrate, pH 6.0 for 10 min followed by cooling at RT for 20 min.</p> Perform heat-mediated antigen retrieval with Tris/EDTA buffer pH 9.0 before commencing with IHC staining protocol." }, "Cow": { "IHCP-species-checked": "notRecommended", "IHCP-species-dilution-info": "", "IHCP-species-notes": "" }, "Dog": { "IHCP-species-checked": "notRecommended", "IHCP-species-dilution-info": "", "IHCP-species-notes": "" }, "Pig": { "IHCP-species-checked": "notRecommended", "IHCP-species-dilution-info": "", "IHCP-species-notes": "" } } }

You may be interested in:

AB289644

Human FOXP3 ELISA Kit

0

0 Reviews

View product

We recommend this product because it’s often used in the same experiment or related research.

We advise that you always check the datasheet to ensure it fits your experiments, or contact ourtechnical teamfor help.

Product details

What is this antibody validated in?
Anti-FOXP3 antibody [SP97] (ab99963) is a rabbit recombinant monoclonal antibody and is validated for use in Immunohistochemistry (IHC-P) in Human samples.

Collaboration
Anti-FOXP3 [SP97] (ab99963) is a clone from the portfolio of Spring Bioscience (Roche) SP clones which have been optimised for immunohistochemistry (IHC).

Trusted by the scientific community
Anti-FOXP3 [SP97] (ab99963) was first used in a scientific publication in 2010 and has been cited over 20 times in peer-reviewed journals.

Trial sizes available!
Test your antibody or perform pre-screening before committing to a larger quantity. Sold in 10µl. Discover our selection of trial-size antibodies.

Other related products
We have a range of other formats of antibody clone [SP97] also available for your convenience: ab99963, Carrier free - ab238809, Alexa Fluor® 647 - ab275079, Alexa Fluor® 594 - ab275080, Alexa Fluor® 488 - ab275119, Alexa Fluor® 555 - ab275120, ab279525, Carrier free - ab302838

Patented technology
Our RabMAb® technology is a patented hybridoma-based technology for making rabbit monoclonal antibodies. For details on our patents, please refer to RabMAb® patents.

What are the advantages of a recombinant monoclonal antibody?
This product is a recombinant monoclonal antibody, which offers several advantages including:

  • - High batch-to-batch consistency and reproducibility
  • - Improved sensitivity and specificity
  • - Long-term security of supply
  • - Animal-free batch production

For more information, read more on recombinant antibodies.

Properties and storage information

Form
Liquid
Purification technique
Affinity purification Protein A
Storage buffer
pH: 7.2 - 7.4 Preservative: 0.1% Sodium azide Constituents: PBS, 1% BSA
Shipped at conditions
Blue Ice
Appropriate short-term storage conditions
+4°C
Appropriate long-term storage conditions
+4°C
Aliquoting information
Upon delivery aliquot
Storage information
Do Not Freeze

Supplementary information

This supplementary information is collated from multiple sources and compiled automatically.

FOXP3 also recognized as Forkhead box P3 is a transcription factor critical for immune system function. It weighs approximately 47 kDa. FOXP3 is mainly expressed in regulatory T cells (Tregs) which play a role in maintaining immune tolerance. Scientists primarily identify its presence in the nucleus where it facilitates transcriptional regulation. Methods like 'FOXP3 IHC' and 'FOXP3 IHC mouse' are useful for detecting this protein in tissue samples while 'FOXP3 antibodies' aid in research on this target. Techniques like 'FOXP3 staining' and 'FOXP3 flow cytometry' further allow for the analysis of its expression and function.
Biological function summary

This transcription factor operates by regulating the expression of a variety of genes involved in Treg cell development and function. FOXP3 can interact with other proteins to form complexes that modulate gene expression. Its role is essential in enabling Tregs to suppress immune responses a process necessary for preventing autoimmunity. The interaction extends to other key regulators within Tregs such as the protein complex 221D which may have overlapping functional responsibilities. 'FOXP3 236a/E7' reflects its genetic variants detectable in different studies providing insights into its biological functions.

Pathways

FOXP3 is a significant player within the immune regulation pathway. It integrates into the TGF-beta signaling pathway in which it controls the expression of genes important for Treg functions. The protein recruits other transcription factors like NF-kB coordinating intricate network regulations within immune cells. FOXP3's activity orchestrates the balance between immune activation and suppression ensuring a well-functioning immune response that prevents overreactions leading to autoimmune conditions.

FOXP3 mutations or dysregulation can link to autoimmune diseases like immune dysregulation polyendocrinopathy enteropathy X-linked syndrome (IPEX). This transcription factor's malfunction implicates cancer where inadequate Treg function can either suppress antitumor immunity or result in tumor progression. Proteins such as CTLA-4 which is also involved in immune regulation connect to FOXP3 in these contexts emphasizing FOXP3's significant role in maintaining immune homeostasis and its impact on disease development.

Product protocols

For this product, it's our understanding that no specific protocols are required. You can visit:

Target data

The protein expressed by the FOXP3 gene is a transcriptional regulator critical for the development and inhibitory function of regulatory T-cells (Treg). It plays an essential role in immune system homeostasis by ensuring the suppressive function and stability of Treg cells and directly influencing conventional T-cells' expansion and function. FOXP3 can function as either a transcriptional repressor or activator, depending on its interactions with other factors, such as transcription factors, histone acetylases, and deacetylases. It co-activates genes like CTLA4 and TNFRSF18 and represses cytokine genes, including interleukin-2 (IL2) and interferon-gamma (IFNG), and inhibits cytokine production by repressing the activity of transcription factors RELA and NFATC2. FOXP3's association with histone acetylase KAT5 and deacetylase HDAC7 mediates IL2 repression, while its interaction with transcription factor RUNX1 modulates the expression of TNFRSF18, IL2RA, CTLA4, IL2, and IFNG. It also antagonizes RORC to inhibit the differentiation of IL17 producing helper T-cells (Th17), leading to reduced IL17 expression and promoting Treg development, while inhibiting the transcriptional activator activity of RORA. This supplementary information is collated from multiple sources and compiled automatically.
See full target information FOXP3

Publications (25)

Recent publications for all applications. Explore the full list and refine your search

Journal for immunotherapy of cancer 11: PubMed36822670

2023

Treg-selective IL-2 starvation synergizes with CD40 activation to sustain durable responses in lymphoma models.

Applications

Unspecified application

Species

Unspecified reactive species

Kristin Stirm,Peter Leary,Daria Wüst,Dominique Stark,Nicole Joller,Ufuk Karakus,Onur Boyman,Alexandar Tzankov,Anne Müller

Biopreservation and biobanking 21:208-216 PubMed36516138

2022

Assessing Tissue Fixation Time and Quality with Label-free Mid Infrared Spectroscopy and Machine Learning.

Applications

Unspecified application

Species

Unspecified reactive species

Daniel R Bauer,David R Chafin

Communications biology 5:1144 PubMed36307545

2022

Live slow-frozen human tumor tissues viable for 2D, 3D, ex vivo cultures and single-cell RNAseq.

Applications

Unspecified application

Species

Unspecified reactive species

Gaetana Restivo,Aizhan Tastanova,Zsolt Balázs,Federica Panebianco,Maren Diepenbruck,Caner Ercan,Bodgan-T Preca,Jürg Hafner,Walter P Weber,Christian Kurzeder,Marcus Vetter,Simone Münst Soysal,Christian Beisel,Mohamed Bentires-Alj,Salvatore Piscuoglio,Michael Krauthammer,Mitchell P Levesque

The Laryngoscope 133:1875-1884 PubMed36125263

2022

CD8+ and FoxP3+ T-Cell Cellular Density and Spatial Distribution After Programmed Death-Ligand 1 Check Point Inhibition.

Applications

Unspecified application

Species

Unspecified reactive species

Joseph Curry,Angela Alnemri,Ramez Philips,Michele Fiorella,Sarah Sussman,Robert Stapp,Charalambos Solomides,Larry Harshyne,Andrew South,Adam Luginbuhl,Madalina Tuluc,Ubaldo Martinez-Outschoorn,Athanassios Argiris,Alban Linnenbach,Jennifer Johnson

ESMO open 7:100446 PubMed35427834

2022

Long-term benefit of lurbinectedin as palliative chemotherapy in progressive malignant pleural mesothelioma (MPM): final efficacy and translational data of the SAKK 17/16 study.

Applications

Unspecified application

Species

Unspecified reactive species

M Mark,S Rusakiewicz,M Früh,S Hayoz,F Grosso,M Pless,P Zucali,G L Ceresoli,A Maconi,M Schneider,P Froesch,D Tarussio,F Benedetti,J Dagher,L Kandalaft,R von Moos,S Tissot-Renaud,S Schmid,Y Metaxas

Cancer discovery 12:108-133 PubMed34479871

2021

Low-Dose Radiotherapy Reverses Tumor Immune Desertification and Resistance to Immunotherapy.

Applications

Unspecified application

Species

Unspecified reactive species

Fernanda G Herrera,Catherine Ronet,Maria Ochoa de Olza,David Barras,Isaac Crespo,Massimo Andreatta,Jesus Corria-Osorio,Aodrenn Spill,Fabrizio Benedetti,Raphael Genolet,Angela Orcurto,Martina Imbimbo,Eleonora Ghisoni,Blanca Navarro Rodrigo,Dominik R Berthold,Apostolos Sarivalasis,Khalil Zaman,Rafael Duran,Clarisse Dromain,John Prior,Niklaus Schaefer,Jean Bourhis,Georgia Dimopoulou,Zoi Tsourti,Marius Messemaker,Thomas Smith,Sarah E Warren,Periklis Foukas,Sylvie Rusakiewicz,Mikaël J Pittet,Stefan Zimmermann,Christine Sempoux,Urania Dafni,Alexandre Harari,Lana E Kandalaft,Santiago J Carmona,Denarda Dangaj Laniti,Melita Irving,George Coukos

Science translational medicine 13: PubMed34193612

2021

Selectins impair regulatory T cell function and contribute to systemic lupus erythematosus pathogenesis.

Applications

Unspecified application

Species

Unspecified reactive species

Marc Scherlinger,Vivien Guillotin,Isabelle Douchet,Pierre Vacher,Andréa Boizard-Moracchini,Jean-Philippe Guegan,Anne Garreau,Nathalie Merillon,Agathe Vermorel,Emmanuel Ribeiro,Irène Machelart,Estibaliz Lazaro,Lionel Couzi,Pierre Duffau,Thomas Barnetche,Jean-Luc Pellegrin,Jean-François Viallard,Maya Saleh,Thierry Schaeverbeke,Patrick Legembre,Marie-Elise Truchetet,Hélène Dumortier,Cécile Contin-Bordes,Vanja Sisirak,Christophe Richez,Patrick Blanco

Cancer immunology research 9:748-764 PubMed33952631

2021

MHC Class II Antigen Presentation by Lymphatic Endothelial Cells in Tumors Promotes Intratumoral Regulatory T cell-Suppressive Functions.

Applications

Unspecified application

Species

Unspecified reactive species

Anastasia O Gkountidi,Laure Garnier,Juan Dubrot,Julien Angelillo,Guillaume Harlé,Dale Brighouse,Ludovic J Wrobel,Robert Pick,Christoph Scheiermann,Melody A Swartz,Stéphanie Hugues

The Journal of international medical research 48:300060520980940 PubMed33356705

2020

CD4CD25Foxp3 regulatory T cells regulate immune balance in unexplained recurrent spontaneous abortion via the Toll-like receptor 4/nuclear factor-κB pathway.

Applications

Unspecified application

Species

Unspecified reactive species

Shuang Qin,Li Li,Jia Liu,Jinrui Zhang,Qing Xiao,Yujuan Fan,Xiangcai Wei

Biotechnic & histochemistry : official publication :1-9 PubMed32744468

2020

The relation between the ghrelin receptor and FOXP3 in bladder cancer.

Applications

Unspecified application

Species

Unspecified reactive species

Monireh Karimi,Masoud Heshmati,Soheila Fattahi,Nader Bagheri,Faramarz Mohammad Alibeigi,Fatemeh Taheri,Maryam Anjomshoa,Mohammad-Saeid Jami,Mahdi Ghatreh Samani
View all publications

Product promise

We are committed to supporting your work with high-quality reagents, and we're here for you every step of the way. In the unlikely event that one of our products does not perform as expected, you're protected by our Product Promise.
For full details, please see our Terms & Conditions

Associated Products

Select an associated product type
Alternative Product
Primary Antibodies

AB200568

APC Anti-FOXP3 antibody [3G3]

primary-antibodies

apc-foxp3-antibody-3g3-ab200568

0

(0 reviews)

Alternative Product
Primary Antibodies

AB187598

Alexa Fluor® 488 Anti-FOXP3 antibody [3G3]

primary-antibodies

alexa-fluor-488-foxp3-antibody-3g3-ab187598

0

(0 reviews)

Alternative Product
Primary Antibodies

AB218773

PE Anti-FOXP3 antibody [MF23]

primary-antibodies

pe-foxp3-antibody-mf23-ab218773

0

(0 reviews)

Alternative Product
Primary Antibodies

AB75763

Anti-FOXP3 antibody

primary-antibodies

foxp3-antibody-ab75763

4

(1 reviews)

Alternative Product
Primary Antibodies

AB210230

FITC Anti-FOXP3 antibody [3G3]

primary-antibodies

fitc-foxp3-antibody-3g3-ab210230

0

(0 reviews)

Alternative Product
Primary Antibodies

AB210231

PE Anti-FOXP3 antibody [3G3]

primary-antibodies

pe-foxp3-antibody-3g3-ab210231

0

(0 reviews)

Alternative Product
Primary Antibodies

AB243890

Anti-FOXP3 antibody [BLR034F] - BSA free

primary-antibodies

foxp3-antibody-blr034f-bsa-free-ab243890

0

(0 reviews)

Alternative Product
Primary Antibodies

AB450

Anti-FOXP3 antibody [mAbcam 450] - Mouse IgG3

primary-antibodies

foxp3-antibody-mabcam-450-mouse-igg3-ab450

5

(2 reviews)

Alternative Product
Primary Antibodies

AB22510

Anti-FOXP3 antibody [mAbcam 22510]

primary-antibodies

foxp3-antibody-mabcam-22510-ab22510

3

(8 reviews)

Alternative Product
Primary Antibodies

AB188638

Anti-FOXP3 antibody [mAbcam 22510] - BSA and Azide free

primary-antibodies

foxp3-antibody-mabcam-22510-bsa-and-azide-free-ab188638

0

(0 reviews)

Alternative Product
Primary Antibodies

AB20034

Anti-FOXP3 antibody [236A/E7]

primary-antibodies

foxp3-antibody-236a-e7-ab20034

4

(38 reviews)

Alternative Product
Primary Antibodies

AB22831

HRP Anti-FOXP3 antibody [mAbcam 22510]

primary-antibodies

hrp-foxp3-antibody-mabcam-22510-ab22831

4

(2 reviews)

Alternative Product
Primary Antibodies

AB215206

Anti-FOXP3 antibody [EPR22102-37]

primary-antibodies

foxp3-antibody-epr22102-37-ab215206

5

(5 reviews)

Alternative Product
Primary Antibodies

AB96048

Anti-FOXP3 antibody [236A/E7] - BSA and Azide free

primary-antibodies

foxp3-antibody-236a-e7-bsa-and-azide-free-ab96048

5

(2 reviews)

Alternative Product
Primary Antibodies

AB244242

Anti-FOXP3 antibody [EPR22102-37] - BSA and Azide free

primary-antibodies

foxp3-antibody-epr22102-37-bsa-and-azide-free-ab244242

4

(1 reviews)

Please note: All products are 'FOR RESEARCH USE ONLY. NOT FOR USE IN DIAGNOSTIC OR THERAPEUTIC PROCEDURES'.

For licensing inquiries, please contact partnerships@abcam.com