JavaScript is disabled in your browser. Please enable JavaScript to view this website.
AB238809

Anti-FOXP3 antibody [SP97] - BSA and Azide free

Be the first to review this product! Submit a review

|

(0 Publication)

Rabbit Recombinant Monoclonal FOXP3 antibody. Carrier free. Suitable for IHC-P and reacts with Human samples.

View Alternative Names

IPEX, JM2, FOXP3, Forkhead box protein P3, Scurfin

13 Images
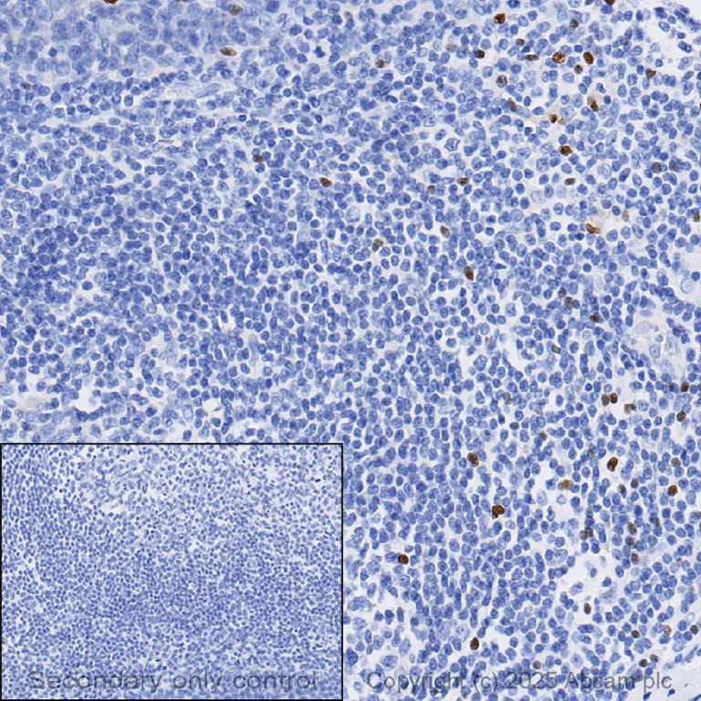
Immunohistochemistry (Formalin/PFA-fixed paraffin-embedded sections) - Anti-FOXP3 antibody [SP97] - BSA and Azide free (AB238809)
  • IHC-P

Lab

Immunohistochemistry (Formalin/PFA-fixed paraffin-embedded sections) - Anti-FOXP3 antibody [SP97] - BSA and Azide free (AB238809)

This data was developed using ab238809 the same antibody clone in a different buffer formulation.

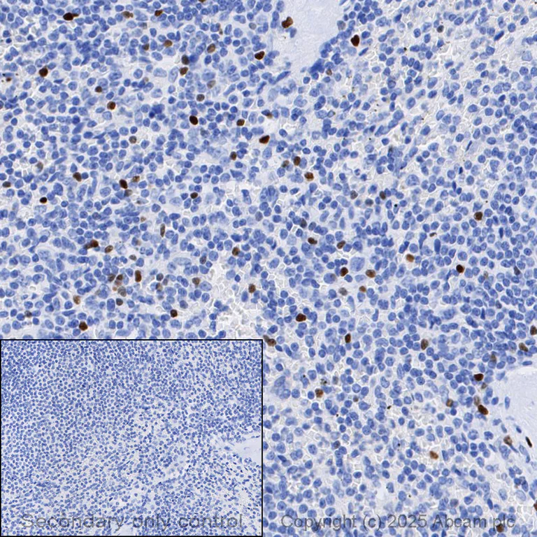
Immunohistochemical analysis of formalin fixed paraffin embedded human spleen labelling FOXP3 with ab99963 at a concentration of 0.5µg/ml. The immunostaining was performed on a Ventana DISCOVERY ULTRA (Roche Tissue Diagnostics) instrument with a OptiView DAB IHC Detection Kit. Heat mediated antigen retrieval was performed with DISCOVERY cell conditioning solution (CC1) 100°C, pH8.5 for 32mins. ab99963 Anti-FOXP3 antibody [SP97] was incubated for 16mins at 37°C. Sections were counterstained with Hematoxylin II. Image inset shows absence of staining in secondary antibody only control. Customers are encouraged to optimise antigen retrieval conditions, antibody concentration, incubation times and temperature for best results in their own IHC assay workflow (automated and manual)

Immunohistochemistry (Formalin/PFA-fixed paraffin-embedded sections) - Anti-FOXP3 antibody [SP97] - BSA and Azide free (AB238809)
  • IHC-P

Lab

Immunohistochemistry (Formalin/PFA-fixed paraffin-embedded sections) - Anti-FOXP3 antibody [SP97] - BSA and Azide free (AB238809)

This data was developed using ab238809 the same antibody clone in a different buffer formulation.

Immunohistochemical analysis of formalin fixed paraffin embedded human tonsil labelling FOXP3 with ab99963 at a concentration of 0.5µg/ml. The immunostaining was performed on a Ventana DISCOVERY ULTRA (Roche Tissue Diagnostics) instrument with a OptiView DAB IHC Detection Kit. Heat mediated antigen retrieval was performed with DISCOVERY cell conditioning solution (CC1) 100°C, pH8.5 for 32mins. ab99963 Anti-FOXP3 antibody [SP97] was incubated for 16mins at 37°C. Sections were counterstained with Hematoxylin II. Image inset shows absence of staining in secondary antibody only control. Customers are encouraged to optimise antigen retrieval conditions, antibody concentration, incubation times and temperature for best results in their own IHC assay workflow (automated and manual)

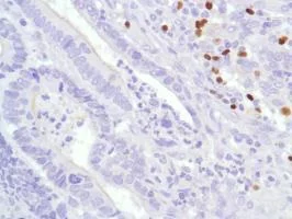
Immunohistochemistry (Formalin/PFA-fixed paraffin-embedded sections) - Anti-FOXP3 antibody [SP97] - BSA and Azide free (AB238809)
  • IHC-P

Unknown

Immunohistochemistry (Formalin/PFA-fixed paraffin-embedded sections) - Anti-FOXP3 antibody [SP97] - BSA and Azide free (AB238809)

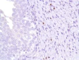
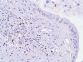
Formalin-fixed, paraffin-embedded human bladder transitional cell carcinoma tissue stained for FOXP3 using ab99963 at 1/100 dilution in immunohistochemical analysis.

This data was developed using the same antibody clone in a different buffer formulation containing PBS, BSA, glycerol, and sodium azide (ab99963).

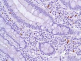
Immunohistochemistry (Formalin/PFA-fixed paraffin-embedded sections) - Anti-FOXP3 antibody [SP97] - BSA and Azide free (AB238809)
  • IHC-P

Unknown

Immunohistochemistry (Formalin/PFA-fixed paraffin-embedded sections) - Anti-FOXP3 antibody [SP97] - BSA and Azide free (AB238809)

Formalin-fixed, paraffin-embedded human stomach adenocarcinoma tissue stained for FOXP3 using ab99963 at 1/100 dilution in immunohistochemical analysis.

This data was developed using the same antibody clone in a different buffer formulation containing PBS, BSA, glycerol, and sodium azide (ab99963).

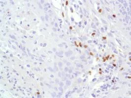
Immunohistochemistry (Formalin/PFA-fixed paraffin-embedded sections) - Anti-FOXP3 antibody [SP97] - BSA and Azide free (AB238809)
  • IHC-P

Unknown

Immunohistochemistry (Formalin/PFA-fixed paraffin-embedded sections) - Anti-FOXP3 antibody [SP97] - BSA and Azide free (AB238809)

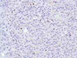
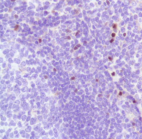
Formalin-fixed, paraffin-embedded human B cell lymphoma tissue stained for FOXP3 using ab99963 at 1/100 dilution in immunohistochemical analysis.

This data was developed using the same antibody clone in a different buffer formulation containing PBS, BSA, glycerol, and sodium azide (ab99963).

Immunohistochemistry (Formalin/PFA-fixed paraffin-embedded sections) - Anti-FOXP3 antibody [SP97] - BSA and Azide free (AB238809)
  • IHC-P

Unknown

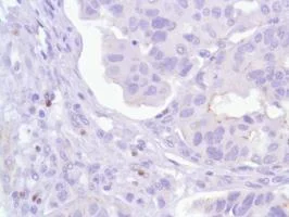
Immunohistochemistry (Formalin/PFA-fixed paraffin-embedded sections) - Anti-FOXP3 antibody [SP97] - BSA and Azide free (AB238809)

Formalin-fixed, paraffin-embedded human pancreatic adenocarcinoma tissue stained for FOXP3 using ab99963 at 1/100 dilution in immunohistochemical analysis.

This data was developed using the same antibody clone in a different buffer formulation containing PBS, BSA, glycerol, and sodium azide (ab99963).

Immunohistochemistry (Formalin/PFA-fixed paraffin-embedded sections) - Anti-FOXP3 antibody [SP97] - BSA and Azide free (AB238809)
  • IHC-P

Unknown

Immunohistochemistry (Formalin/PFA-fixed paraffin-embedded sections) - Anti-FOXP3 antibody [SP97] - BSA and Azide free (AB238809)

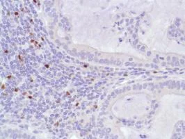
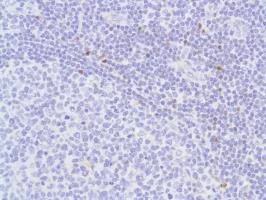
Formalin-fixed, paraffin-embedded human lymph node tissue stained for FOXP3 using ab99963 at 1/100 dilution in immunohistochemical analysis.

This data was developed using the same antibody clone in a different buffer formulation containing PBS, BSA, glycerol, and sodium azide (ab99963).

Immunohistochemistry (Formalin/PFA-fixed paraffin-embedded sections) - Anti-FOXP3 antibody [SP97] - BSA and Azide free (AB238809)
  • IHC-P

Supplier Data

Immunohistochemistry (Formalin/PFA-fixed paraffin-embedded sections) - Anti-FOXP3 antibody [SP97] - BSA and Azide free (AB238809)

Formalin-fixed, paraffin-embedded human colon adenocarcinoma tissue stained for FOXP3 using ab99963 at 1/100 dilution in immunohistochemical analysis.

This data was developed using the same antibody clone in a different buffer formulation containing PBS, BSA and sodium azide (ab99963).

Immunohistochemistry (Formalin/PFA-fixed paraffin-embedded sections) - Anti-FOXP3 antibody [SP97] - BSA and Azide free (AB238809)
  • IHC-P

Unknown

Immunohistochemistry (Formalin/PFA-fixed paraffin-embedded sections) - Anti-FOXP3 antibody [SP97] - BSA and Azide free (AB238809)

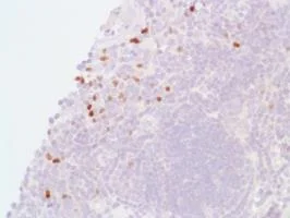
Formalin-fixed, paraffin-embedded human thymus tissue stained for FOXP3 using ab99963 at 1/100 dilution in immunohistochemical analysis.

This data was developed using the same antibody clone in a different buffer formulation containing PBS, BSA, glycerol, and sodium azide (ab99963).

Immunohistochemistry (Formalin/PFA-fixed paraffin-embedded sections) - Anti-FOXP3 antibody [SP97] - BSA and Azide free (AB238809)
  • IHC-P

Unknown

Immunohistochemistry (Formalin/PFA-fixed paraffin-embedded sections) - Anti-FOXP3 antibody [SP97] - BSA and Azide free (AB238809)

Formalin-fixed, paraffin-embedded human bladder tissue stained for FOXP3 using ab99963 at 1/100 dilution in immunohistochemical analysis.

This data was developed using the same antibody clone in a different buffer formulation containing PBS, BSA, glycerol, and sodium azide (ab99963).

Immunohistochemistry (Formalin/PFA-fixed paraffin-embedded sections) - Anti-FOXP3 antibody [SP97] - BSA and Azide free (AB238809)
  • IHC-P

Unknown

Immunohistochemistry (Formalin/PFA-fixed paraffin-embedded sections) - Anti-FOXP3 antibody [SP97] - BSA and Azide free (AB238809)

Formalin-fixed, paraffin-embedded human cervical squamous cell carcinoma tissue stained for FOXP3 using ab99963 at 1/100 dilution in immunohistochemical analysis.

This data was developed using the same antibody clone in a different buffer formulation containing PBS, BSA, glycerol, and sodium azide (ab99963).

Immunohistochemistry (Formalin/PFA-fixed paraffin-embedded sections) - Anti-FOXP3 antibody [SP97] - BSA and Azide free (AB238809)
  • IHC-P

Unknown

Immunohistochemistry (Formalin/PFA-fixed paraffin-embedded sections) - Anti-FOXP3 antibody [SP97] - BSA and Azide free (AB238809)

Formalin-fixed, paraffin-embedded human colon tissue stained for FOXP3 using ab99963 at 1/100 dilution in immunohistochemical analysis.

This data was developed using the same antibody clone in a different buffer formulation containing PBS, BSA, glycerol, and sodium azide (ab99963).

Immunohistochemistry (Formalin/PFA-fixed paraffin-embedded sections) - Anti-FOXP3 antibody [SP97] - BSA and Azide free (AB238809)
  • IHC-P

Unknown

Immunohistochemistry (Formalin/PFA-fixed paraffin-embedded sections) - Anti-FOXP3 antibody [SP97] - BSA and Azide free (AB238809)

Immunohistochemical analysis of Human Tonsil tissue labelling FOXP3 with ab99963.

This data was developed using the same antibody clone in a different buffer formulation containing PBS, BSA, glycerol, and sodium azide (ab99963).

Key facts

Host species

Rabbit

Clonality

Monoclonal

Clone number

SP97

Isotype

IgG

Carrier free

Yes

Reacts with

Human

Applications

IHC-P

applications

Immunogen

The exact immunogen used to generate this antibody is proprietary information.

Reactivity data

{ "title": "Reactivity Data", "filters": { "stats": ["", "Species", "Dilution Info", "Notes"], "tabs": { "all-applications": {"fullname" : "All Applications", "shortname": "All Applications"}, "IHCP" : {"fullname" : "Immunohistochemistry (Formalin/PFA-fixed paraffin-embedded sections)", "shortname":"IHC-P"} }, "product-promise": { "all": "all", "testedAndGuaranteed": "tested", "guaranteed": "expected", "predicted": "predicted", "notRecommended": "not-recommended" } }, "values": { "Human": { "IHCP-species-checked": "testedAndGuaranteed", "IHCP-species-dilution-info": "", "IHCP-species-notes": "<p>Boil tissue section in 10 mM citrate buffer, pH 6.0 for 10 minutes followed by cooling at RT for 20 minutes.</p>" }, "Mouse": { "IHCP-species-checked": "notRecommended", "IHCP-species-dilution-info": "", "IHCP-species-notes": "<p>Boil tissue section in 10 mM citrate buffer, pH 6.0 for 10 minutes followed by cooling at RT for 20 minutes.</p>" }, "Rat": { "IHCP-species-checked": "notRecommended", "IHCP-species-dilution-info": "", "IHCP-species-notes": "<p>Boil tissue section in 10 mM citrate buffer, pH 6.0 for 10 minutes followed by cooling at RT for 20 minutes.</p>" }, "Cow": { "IHCP-species-checked": "notRecommended", "IHCP-species-dilution-info": "", "IHCP-species-notes": "" }, "Dog": { "IHCP-species-checked": "notRecommended", "IHCP-species-dilution-info": "", "IHCP-species-notes": "" }, "Pig": { "IHCP-species-checked": "notRecommended", "IHCP-species-dilution-info": "", "IHCP-species-notes": "" } } }

You may be interested in:

AB285290

Human FOXP3 ELISA Kit

0

0 Reviews

View product

We recommend this product because it’s often used in the same experiment or related research.

We advise that you always check the datasheet to ensure it fits your experiments, or contact ourtechnical teamfor help.

Product details

ab238809 is the carrier-free version of ab99963.

What are the advantages of a recombinant monoclonal antibody?
This product is a recombinant monoclonal antibody, which offers several advantages including:

  • - High batch-to-batch consistency and reproducibility
  • - Improved sensitivity and specificity
  • - Long-term security of supply
  • - Animal-free batch production

For more information, read more on recombinant antibodies.

Conjugation ready
Our carrier-free antibodies are typically supplied in a PBS-only formulation, purified and free of BSA, sodium azide and glycerol. This conjugation-ready format is designed for use with fluorochromes, metal isotopes, oligonucleotides, and enzymes, which makes them ideal for antibody labelling, functional and cell-based assays, flow-based assays (e.g. mass cytometry) and Multiplex Imaging applications.

Use our conjugation kits for antibody conjugates that are ready-to-use in as little as 20 minutes with 1 minute hands-on-time and 100% antibody recovery: available for fluorescent dyes, HRP, biotin and gold.

Compatibility
This product is compatible with the Maxpar® Antibody Labeling Kit from Fluidigm, without the need for antibody preparation. Maxpar® is a trademark of Fluidigm Canada Inc.

Properties and storage information

Form
Liquid
Purification technique
Affinity purification Protein A/G
Purification notes
Purified from TCS by protein A/G.
Storage buffer
pH: 7.2 - 7.4 Constituents: PBS
Shipped at conditions
Blue Ice
Appropriate short-term storage conditions
+4°C
Appropriate long-term storage conditions
+4°C
Storage information
Do Not Freeze

Supplementary information

This supplementary information is collated from multiple sources and compiled automatically.

FOXP3 also recognized as Forkhead box P3 is a transcription factor critical for immune system function. It weighs approximately 47 kDa. FOXP3 is mainly expressed in regulatory T cells (Tregs) which play a role in maintaining immune tolerance. Scientists primarily identify its presence in the nucleus where it facilitates transcriptional regulation. Methods like 'FOXP3 IHC' and 'FOXP3 IHC mouse' are useful for detecting this protein in tissue samples while 'FOXP3 antibodies' aid in research on this target. Techniques like 'FOXP3 staining' and 'FOXP3 flow cytometry' further allow for the analysis of its expression and function.
Biological function summary

This transcription factor operates by regulating the expression of a variety of genes involved in Treg cell development and function. FOXP3 can interact with other proteins to form complexes that modulate gene expression. Its role is essential in enabling Tregs to suppress immune responses a process necessary for preventing autoimmunity. The interaction extends to other key regulators within Tregs such as the protein complex 221D which may have overlapping functional responsibilities. 'FOXP3 236a/E7' reflects its genetic variants detectable in different studies providing insights into its biological functions.

Pathways

FOXP3 is a significant player within the immune regulation pathway. It integrates into the TGF-beta signaling pathway in which it controls the expression of genes important for Treg functions. The protein recruits other transcription factors like NF-kB coordinating intricate network regulations within immune cells. FOXP3's activity orchestrates the balance between immune activation and suppression ensuring a well-functioning immune response that prevents overreactions leading to autoimmune conditions.

FOXP3 mutations or dysregulation can link to autoimmune diseases like immune dysregulation polyendocrinopathy enteropathy X-linked syndrome (IPEX). This transcription factor's malfunction implicates cancer where inadequate Treg function can either suppress antitumor immunity or result in tumor progression. Proteins such as CTLA-4 which is also involved in immune regulation connect to FOXP3 in these contexts emphasizing FOXP3’s significant role in maintaining immune homeostasis and its impact on disease development.

Product protocols

For this product, it's our understanding that no specific protocols are required. You can visit:

Target data

The protein expressed by the FOXP3 gene is a transcriptional regulator critical for the development and inhibitory function of regulatory T-cells (Treg). It plays an essential role in immune system homeostasis by ensuring the suppressive function and stability of Treg cells and directly influencing conventional T-cells' expansion and function. FOXP3 can function as either a transcriptional repressor or activator, depending on its interactions with other factors, such as transcription factors, histone acetylases, and deacetylases. It co-activates genes like CTLA4 and TNFRSF18 and represses cytokine genes, including interleukin-2 (IL2) and interferon-gamma (IFNG), and inhibits cytokine production by repressing the activity of transcription factors RELA and NFATC2. FOXP3's association with histone acetylase KAT5 and deacetylase HDAC7 mediates IL2 repression, while its interaction with transcription factor RUNX1 modulates the expression of TNFRSF18, IL2RA, CTLA4, IL2, and IFNG. It also antagonizes RORC to inhibit the differentiation of IL17 producing helper T-cells (Th17), leading to reduced IL17 expression and promoting Treg development, while inhibiting the transcriptional activator activity of RORA. This supplementary information is collated from multiple sources and compiled automatically.
See full target information FOXP3

Product promise

We are committed to supporting your work with high-quality reagents, and we're here for you every step of the way. In the unlikely event that one of our products does not perform as expected, you're protected by our Product Promise.
For full details, please see our Terms & Conditions

Associated Products

Select an associated product type
Alternative Product
Primary Antibodies

AB200568

APC Anti-FOXP3 antibody [3G3]

primary-antibodies

apc-foxp3-antibody-3g3-ab200568

0

(0 reviews)

Alternative Product
Primary Antibodies

AB187598

Alexa Fluor® 488 Anti-FOXP3 antibody [3G3]

primary-antibodies

alexa-fluor-488-foxp3-antibody-3g3-ab187598

0

(0 reviews)

Alternative Product
Primary Antibodies

AB218773

PE Anti-FOXP3 antibody [MF23]

primary-antibodies

pe-foxp3-antibody-mf23-ab218773

0

(0 reviews)

Alternative Product
Primary Antibodies

AB75763

Anti-FOXP3 antibody

primary-antibodies

foxp3-antibody-ab75763

4

(1 reviews)

Alternative Product
Primary Antibodies

AB210230

FITC Anti-FOXP3 antibody [3G3]

primary-antibodies

fitc-foxp3-antibody-3g3-ab210230

0

(0 reviews)

Alternative Product
Primary Antibodies

AB210231

PE Anti-FOXP3 antibody [3G3]

primary-antibodies

pe-foxp3-antibody-3g3-ab210231

0

(0 reviews)

Alternative Product
Primary Antibodies

AB243890

Anti-FOXP3 antibody [BLR034F] - BSA free

primary-antibodies

foxp3-antibody-blr034f-bsa-free-ab243890

0

(0 reviews)

Alternative Product
Primary Antibodies

AB450

Anti-FOXP3 antibody [mAbcam 450] - Mouse IgG3

primary-antibodies

foxp3-antibody-mabcam-450-mouse-igg3-ab450

5

(2 reviews)

Alternative Product
Primary Antibodies

AB22510

Anti-FOXP3 antibody [mAbcam 22510]

primary-antibodies

foxp3-antibody-mabcam-22510-ab22510

3

(8 reviews)

Alternative Product
Primary Antibodies

AB20034

Anti-FOXP3 antibody [236A/E7]

primary-antibodies

foxp3-antibody-236a-e7-ab20034

4

(38 reviews)

Alternative Product
Primary Antibodies

AB22831

HRP Anti-FOXP3 antibody [mAbcam 22510]

primary-antibodies

hrp-foxp3-antibody-mabcam-22510-ab22831

4

(2 reviews)

Alternative Product
Primary Antibodies

AB215206

Anti-FOXP3 antibody [EPR22102-37]

primary-antibodies

foxp3-antibody-epr22102-37-ab215206

5

(5 reviews)

Alternative Product
Primary Antibodies

AB244242

Anti-FOXP3 antibody [EPR22102-37] - BSA and Azide free

primary-antibodies

foxp3-antibody-epr22102-37-bsa-and-azide-free-ab244242

4

(1 reviews)

Alternative Product
Primary Antibodies

AB191416

Anti-FOXP3 antibody [EPR15038-69]

primary-antibodies

foxp3-antibody-epr15038-69-ab191416

0

(0 reviews)

Alternative Product
Primary Antibodies

AB36607

Anti-FOXP3 antibody [2A11G9]

primary-antibodies

foxp3-antibody-2a11g9-ab36607

0

(0 reviews)

Alternative Version
Primary Antibodies

AB275080

Alexa Fluor® 594 Anti-FOXP3 antibody [SP97]

primary-antibodies

alexa-fluor-594-foxp3-antibody-sp97-ab275080

0

(0 reviews)

Alternative Version
Primary Antibodies

AB275079

Alexa Fluor® 647 Anti-FOXP3 antibody [SP97]

primary-antibodies

alexa-fluor-647-foxp3-antibody-sp97-ab275079

0

(0 reviews)

Please note: All products are 'FOR RESEARCH USE ONLY. NOT FOR USE IN DIAGNOSTIC OR THERAPEUTIC PROCEDURES'.

For licensing inquiries, please contact partnerships@abcam.com