JavaScript is disabled in your browser. Please enable JavaScript to view this website.
AB242127

Anti-FOXP4 antibody [EPR22714-2]

  • BOND RX™ Validated
  • 20ul selling size
  • RabMAb
  • Recombinant
  • KO Validated
  • What is this?

Be the first to review this product! Submit a review

|

(4 Publications)

Rabbit Recombinant Monoclonal FOXP4 antibody. Suitable for IHC-P, ICC/IF, IP, WB, IHC-Fr, Flow Cyt (Intra) and reacts with Mouse, Rat, Human samples. Cited in 4 publications.

View Alternative Names

FKHLA, FOXP4, Forkhead box protein P4, Fork head-related protein-like A

11 Images
Immunocytochemistry/ Immunofluorescence - Anti-FOXP4 antibody [EPR22714-2] (AB242127)
  • ICC/IF

Supplier Data

Immunocytochemistry/ Immunofluorescence - Anti-FOXP4 antibody [EPR22714-2] (AB242127)

Immunofluorescent analysis of 4% Paraformaldehyde-fixed, 0.1% Triton X-100 permeabilized HepG2 cells labelling FOXP4 with ab242127 at 1/500 dilution, followed by ab150077 Goat Anti-Rabbit IgG H&L (Alexa Fluor® 488) antibody at 1/1000 dilution (Green). Confocal image showing nuclear staining in HepG2 cells. ab195889 Anti-alpha Tubulin mouse monoclonal antibody - Microtubule Marker (Alexa Fluor® 594) was used to counterstain tubulin at 1/200 dilution (Red). The Nuclear counterstain was DAPI (Blue).

Secondary antibody only control : Secondary antibody is ab150077 Goat Anti-Rabbit IgG H&L (Alexa Fluor® 488) at 1/1000 dilution.

Flow Cytometry (Intracellular) - Anti-FOXP4 antibody [EPR22714-2] (AB242127)
  • Flow Cyt (Intra)

Supplier Data

Flow Cytometry (Intracellular) - Anti-FOXP4 antibody [EPR22714-2] (AB242127)

Flow cytometric analysis of 4% paraformaldehyde-fixed, 90% methanol-permeabilized HepG2 (human hepatocellular carcinoma epithelial cell) cells labelling FOXP4 with ab242127 at 1/50 dilution (Red) compared with a Rabbit monoclonal IgG (ab172730) (Black) isotype control and an unlabelled control (cells without incubation with primary antibody and secondary antibody) (Blue). A Goat anti rabbit IgG (Alexa Fluor® 488, ab150077) at 1/2000 dilution was used as the secondary antibody.

Immunohistochemistry (Formalin/PFA-fixed paraffin-embedded sections) - Anti-FOXP4 antibody [EPR22714-2] (AB242127)
  • IHC-P

Supplier Data

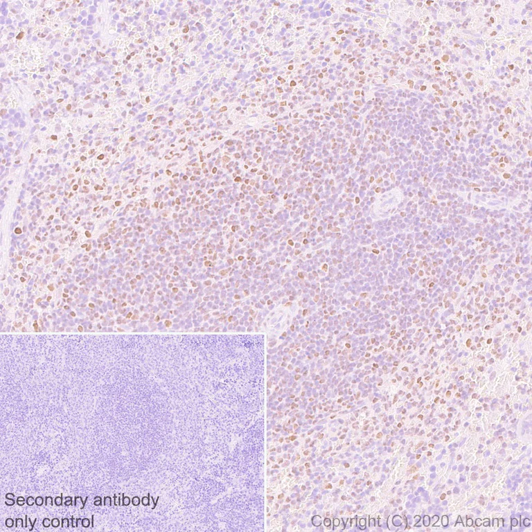
Immunohistochemistry (Formalin/PFA-fixed paraffin-embedded sections) - Anti-FOXP4 antibody [EPR22714-2] (AB242127)

Immunohistochemical analysis of paraffin-embedded Human tonsil tissue labeling FOXP4 with ab242127 at 1/4000 dilution followed by a ready to use Rabbit specific IHC polymer detection kit HRP/DAB (ab209101). Nuclear staining on human tonsil. The section was incubated with ab242127 for 30 mins at room temperature. The immunostaining was performed on a Leica Biosystems BOND® RX instrument, Counterstained with Hematoxylin.

Secondary antibody only control : Secondary antibody is a ready to use Rabbit specific IHC polymer detection kit HRP/DAB (ab209101).

Heat mediated antigen retrieval with Citrate buffer (pH 6.0, epitope retrieval solution 1) for 20 mins.

Immunoprecipitation - Anti-FOXP4 antibody [EPR22714-2] (AB242127)
  • IP

Supplier Data

Immunoprecipitation - Anti-FOXP4 antibody [EPR22714-2] (AB242127)

FOXP4 was immunoprecipitated from 0.35 mg HepG2 (human hepatocellular carcinoma epithelial cell) whole cell lysate with ab242127 at 1/30 dilution (2ug in 0.35mg lysates). Western blot was performed on the immunoprecipitate using ab242127 at 1/1000 dilution. VeriBlot for IP Detection Reagent (HRP)(ab131366) was used at 1/5000 dilution.

Lane 1 : HepG2 (human hepatocellular carcinoma epithelial cell) whole cell lysate 10 ug

Lane 2 : ab242127 IP in HepG2 whole cell lysate

Lane 3 : Rabbit monoclonal IgG (ab172730) instead of ab242127 in HepG2 whole cell lysate

Blocking and dilution buffer and concentration : 5% NFDM/TBST.

Exposure time : 8 seconds

All lanes:

Immunoprecipitation - Anti-FOXP4 antibody [EPR22714-2] (ab242127)

Predicted band size: 73 kDa

Observed band size: 80 kDa

false

Immunohistochemistry (Frozen sections) - Anti-FOXP4 antibody [EPR22714-2] (AB242127)
  • IHC-Fr

Supplier Data

Immunohistochemistry (Frozen sections) - Anti-FOXP4 antibody [EPR22714-2] (AB242127)

Immunohistochemical analysis of 4% PFA-fixed, 0.2% Triton X-100 permeabilized frozen Mouse colon tissue labeling FOXP4 with ab242127 at 1/1000 dilution followed by ab150077 AlexaFluor®488 Goat anti-Rabbit secondary at 1/1000 dilution (Green). Nuclear staining on mouse colon is observed. The nuclear counterstain was DAPI (Blue).

Secondary antibody control : Secondary antibody is ab150077 AlexaFluor®488 Goat anti-Rabbit secondary at 1/1000 dilution.

Heat mediated antigen retrieval using sodium citrate buffer (10mM citrate pH 6.0 + 0.05% Tween-20).

Immunohistochemistry (Formalin/PFA-fixed paraffin-embedded sections) - Anti-FOXP4 antibody [EPR22714-2] (AB242127)
  • IHC-P

Supplier Data

Immunohistochemistry (Formalin/PFA-fixed paraffin-embedded sections) - Anti-FOXP4 antibody [EPR22714-2] (AB242127)

Immunohistochemical analysis of paraffin-embedded Mouse spleen tissue labeling FOXP4 with ab242127 at 1/4000 dilution followed by a ready to use Rabbit specific IHC polymer detection kit HRP/DAB (ab209101). Nuclear staining on mouse spleen. The section was incubated with ab242127 for 30 mins at room temperature. The immunostaining was performed on a Leica Biosystems BOND® RX instrument. Counterstained with Hematoxylin.

Secondary antibody only control : Secondary antibody is a ready to use Rabbit specific IHC polymer detection kit HRP/DAB (ab209101).

Heat mediated antigen retrieval with Citrate buffer (pH 6.0, epitope retrieval solution 1) for 20 mins.

Immunohistochemistry (Formalin/PFA-fixed paraffin-embedded sections) - Anti-FOXP4 antibody [EPR22714-2] (AB242127)
  • IHC-P

Supplier Data

Immunohistochemistry (Formalin/PFA-fixed paraffin-embedded sections) - Anti-FOXP4 antibody [EPR22714-2] (AB242127)

Immunohistochemical analysis of paraffin-embedded Rat spleen tissue labeling FOXP4 with ab242127 at 1/4000 dilution followed by a ready to use Rabbit specific IHC polymer detection kit HRP/DAB (ab209101). Nuclear staining on rat spleen. The section was incubated with ab242127 for 30 mins at room temperature. The immunostaining was performed on a Leica Biosystems BOND® RX instrument. Counterstained with Hematoxylin.

Secondary antibody only control : Secondary antibody is a ready to use Rabbit specific IHC polymer detection kit HRP/DAB (ab209101).

Heat mediated antigen retrieval with Citrate buffer (pH 6.0, epitope retrieval solution 1) for 20 mins.

Western blot - Anti-FOXP4 antibody [EPR22714-2] (AB242127)
  • WB

Lab

Western blot - Anti-FOXP4 antibody [EPR22714-2] (AB242127)

Blocking and diluting buffer and concentration : 5% NFDM/TBST

Lysates were made freshly and used in WB immediately to minimize protein degradation.

Exposure time : Lanes 1-2 : 59 seconds; Lanes 3-4 : 3 minutes.

All lanes:

Western blot - Anti-FOXP4 antibody [EPR22714-2] (ab242127) at 1/1000 dilution

Lane 1:

HepG2 (human hepatocellar carcinoma epithelial cell) whole cell lysate at 20 µg

Lane 2:

Caco-2 (human colorectal adenocarcinoma epithelial cell) whole cell lysate at 20 µg

Lane 3:

HeLa (human cervix adenocarcinoma epithelial cell) whole cell lysate at 20 µg

Lane 4:

Hepa1-6 (mouse hepatoma epithelial cell) whole cell lysate at 20 µg

Secondary

All lanes:

Western blot - Goat Anti-Rabbit IgG H&L (HRP) (<a href='/en-us/products/secondary-antibodies/goat-rabbit-igg-h-l-hrp-ab97051'>ab97051</a>) at 1/100000 dilution

Predicted band size: 73 kDa

Observed band size: 80 kDa

false

Western blot - Anti-FOXP4 antibody [EPR22714-2] (AB242127)
  • WB

Lab

Western blot - Anti-FOXP4 antibody [EPR22714-2] (AB242127)

Blocking and diluting buffer and concentration : 5% NFDM/TBST

The lysates were kindly provided by our collaborator Dr. Bin Zhao, Zhejiang University.

Lanes 1-2 : Merged signal (red and green). Green - ab242127 observed at 80 kDa. Red - loading control ab8245 (Mouse monoclonal [6C5] to GAPDH) observed at 36 kDa.

Lanes 1-2 : ab242127 Anti-FOXP4 antibody [EPR22714-2] was shown to react with FOXP4 in HepG2 cells in Western blot. Loss of signal was observed when FOXP4 knockout sample was used. Wild-type and FOXP4 knockout samples were subjected to SDS-PAGE. ab242127 and Anti-GAPDH antibody [6C5] - Loading Control (ab8245) were incubated at 4°C overnight at 1 in 1000 dilution and 1 in 10000 dilution respectively. Blots were developed with Goat anti-Rabbit IgG H&L (IRDye® 800CW) preadsorbed (ab216773) and Goat anti-Mouse IgG H&L (IRDye® 680RD) preadsorbed (ab216776) secondary antibodies at 1 in 10000 dilution for 1 hour at room temperature before imaging.

All lanes:

Western blot - Anti-FOXP4 antibody [EPR22714-2] (ab242127) at 1/1000 dilution

Lane 1:

HepG2 (human hepatocellar carcinoma epithelial cell) whole cell lysate at 10 µg

Lane 2:

FOXP4 knock out HepG2 whole cell lysate at 10 µg

Secondary

All lanes:

Goat Anti-Rabbit IgG H&L (IRDye® 800CW) (<a href='/en-us/products/secondary-antibodies/goat-rabbit-igg-h-l-irdye-800cw-preadsorbed-ab216773'>ab216773</a>) and Goat Anti-Mouse IgG H&L (IRDye® 680RD) (<a href='/en-us/products/secondary-antibodies/goat-mouse-igg-h-l-irdye-680rd-preadsorbed-ab216776'>ab216776</a>) at 1/10000 dilution

Predicted band size: 73 kDa

Observed band size: 80 kDa

false

Western blot - Anti-FOXP4 antibody [EPR22714-2] (AB242127)
  • WB

Lab

Western blot - Anti-FOXP4 antibody [EPR22714-2] (AB242127)

Blocking and diluting buffer and concentration : 5% NFDM/TBST

Bands around 50 kDa and 37 kDa in lane 3 are caused by degradation.

Exposure time : 3 minutes

All lanes:

Western blot - Anti-FOXP4 antibody [EPR22714-2] (ab242127) at 1/1000 dilution

Lane 1:

Human colon tissue lysate at 20 µg

Lane 2:

Human tonsil tissue lysate at 20 µg

Lane 3:

Rat spleen tissue lysate at 20 µg

Secondary

Lanes 1 - 2:

VeriBlot for IP secondary antibody(HRP)(<a href='/en-us/products/reagents/veriblot-for-ip-detection-reagent-hrp-ab131366'>ab131366</a>) at 1/1000 dilution

Lane 3:

Goat Anti-Rabbit IgG, (H+L), Peroxidase conjugated (<a href='/en-us/products/secondary-antibodies/goat-rabbit-igg-h-l-hrp-ab97051'>ab97051</a>) at 1/100000 dilution

Predicted band size: 73 kDa

Observed band size: 80 kDa

false

Western blot - Anti-FOXP4 antibody [EPR22714-2] (AB242127)
  • WB

Lab

Western blot - Anti-FOXP4 antibody [EPR22714-2] (AB242127)

Blocking and diluting buffer and concentration : 5% NFDM/TBST

Lysates were made freshly and used in WB immediately to minimize protein degradation.

Exposure time : 3 minutes

All lanes:

Western blot - Anti-FOXP4 antibody [EPR22714-2] (ab242127) at 1/1000 dilution

Lane 1:

4T1 (mouse mammary gland carcinoma epithelial cell) whole cell lysate at 20 µg

Lane 2:

PC-12 (rat adrenal gland pheochromocytoma ) whole cell lysate at 20 µg

Secondary

All lanes:

Western blot - Goat Anti-Rabbit IgG H&L (HRP) (<a href='/en-us/products/secondary-antibodies/goat-rabbit-igg-h-l-hrp-ab97051'>ab97051</a>) at 1/100000 dilution

Predicted band size: 73 kDa

Observed band size: 80 kDa

false

Key facts

Host species

Rabbit

Clonality

Monoclonal

Clone number

EPR22714-2

Isotype

IgG

Carrier free

No

Reacts with

Mouse, Rat, Human

Applications

IHC-Fr, IHC-P, WB, Flow Cyt (Intra), IP, ICC/IF

applications

Immunogen

The exact immunogen used to generate this antibody is proprietary information.

Reactivity data

{ "title": "Reactivity Data", "filters": { "stats": ["", "Species", "Dilution Info", "Notes"], "tabs": { "all-applications": {"fullname" : "All Applications", "shortname": "All Applications"}, "IHCP" : {"fullname" : "Immunohistochemistry (Formalin/PFA-fixed paraffin-embedded sections)", "shortname":"IHC-P"}, "ICCIF" : {"fullname" : "Immunocytochemistry/ Immunofluorescence", "shortname":"ICC/IF"}, "IP" : {"fullname" : "Immunoprecipitation", "shortname":"IP"}, "WB" : {"fullname" : "Western blot", "shortname":"WB"}, "IHCFr" : {"fullname" : "Immunohistochemistry (Frozen sections)", "shortname":"IHC-Fr"}, "FlowCytIntra" : {"fullname" : "Flow Cytometry (Intracellular)", "shortname":"Flow Cyt (Intra)"} }, "product-promise": { "all": "all", "testedAndGuaranteed": "tested", "guaranteed": "expected", "predicted": "predicted", "notRecommended": "not-recommended" } }, "values": { "Human": { "IHCP-species-checked": "testedAndGuaranteed", "IHCP-species-dilution-info": "1/4000", "IHCP-species-notes": "<p></p>", "ICCIF-species-checked": "testedAndGuaranteed", "ICCIF-species-dilution-info": "1/500", "ICCIF-species-notes": "<p></p>", "IP-species-checked": "testedAndGuaranteed", "IP-species-dilution-info": "1/30", "IP-species-notes": "<p></p>", "WB-species-checked": "testedAndGuaranteed", "WB-species-dilution-info": "1/1000", "WB-species-notes": "<p></p>", "IHCFr-species-checked": "guaranteed", "IHCFr-species-dilution-info": "", "IHCFr-species-notes": "", "FlowCytIntra-species-checked": "testedAndGuaranteed", "FlowCytIntra-species-dilution-info": "1/50", "FlowCytIntra-species-notes": "<p></p>" }, "Mouse": { "IHCP-species-checked": "testedAndGuaranteed", "IHCP-species-dilution-info": "1/4000", "IHCP-species-notes": "<p></p>", "ICCIF-species-checked": "guaranteed", "ICCIF-species-dilution-info": "", "ICCIF-species-notes": "", "IP-species-checked": "guaranteed", "IP-species-dilution-info": "", "IP-species-notes": "", "WB-species-checked": "testedAndGuaranteed", "WB-species-dilution-info": "1/1000", "WB-species-notes": "<p></p>", "IHCFr-species-checked": "testedAndGuaranteed", "IHCFr-species-dilution-info": "1/1000", "IHCFr-species-notes": "<p>Heat mediated antigen retrieval using sodium citrate buffer (10mM citrate pH 6.0 + 0.05% Tween-20)</p>", "FlowCytIntra-species-checked": "guaranteed", "FlowCytIntra-species-dilution-info": "", "FlowCytIntra-species-notes": "" }, "Rat": { "IHCP-species-checked": "testedAndGuaranteed", "IHCP-species-dilution-info": "1/4000", "IHCP-species-notes": "<p></p>", "ICCIF-species-checked": "guaranteed", "ICCIF-species-dilution-info": "", "ICCIF-species-notes": "", "IP-species-checked": "guaranteed", "IP-species-dilution-info": "", "IP-species-notes": "", "WB-species-checked": "testedAndGuaranteed", "WB-species-dilution-info": "1/1000", "WB-species-notes": "<p></p>", "IHCFr-species-checked": "guaranteed", "IHCFr-species-dilution-info": "", "IHCFr-species-notes": "", "FlowCytIntra-species-checked": "guaranteed", "FlowCytIntra-species-dilution-info": "", "FlowCytIntra-species-notes": "" } } }

Product details

Patented technology
Our RabMAb® technology is a patented hybridoma-based technology for making rabbit monoclonal antibodies. For details on our patents, please refer to RabMAb® patents.

What are the advantages of a recombinant monoclonal antibody?
This product is a recombinant monoclonal antibody, which offers several advantages including:

  • - High batch-to-batch consistency and reproducibility
  • - Improved sensitivity and specificity
  • - Long-term security of supply
  • - Animal-free batch production

For more information, read more on recombinant antibodies.

Properties and storage information

Form
Liquid
Purification technique
Affinity purification Protein A
Storage buffer
Preservative: 0.01% Sodium azide Constituents: PBS, 40% Glycerol (glycerin, glycerine), 0.05% BSA
Shipped at conditions
Blue Ice
Appropriate short-term storage duration
1-2 weeks
Appropriate short-term storage conditions
+4°C
Appropriate long-term storage conditions
-20°C
Aliquoting information
Upon delivery aliquot
Storage information
Avoid freeze / thaw cycle

Supplementary information

This supplementary information is collated from multiple sources and compiled automatically.

FOXP4 also known as Forkhead Box P4 is a transcription factor belonging to the FOX protein family. Its molecular mass approximately 80 kDa. It is expressed in various tissues with high expression levels observed in lung kidney and prostate. The protein binds to DNA and regulates the transcription of genes involved in development and differentiation.
Biological function summary

FOXP4 plays an important role in regulating developmental processes particularly in the central nervous system and lung tissue. It often functions as part of a complex that includes other FOXP proteins like FOXP1 and FOXP2 which share a conserved DNA-binding forkhead domain. These proteins collaborate to regulate genes important for cell differentiation and organogenesis.

Pathways

The transcriptional activity of FOXP4 integrates into significant signaling pathways such as the Wnt signaling and TGF-beta pathways. These pathways govern processes like cellular growth and differentiation. FOXP4 interacts with other FOX proteins including FOXP1 to modulate gene expression patterns important for these pathways.

Research indicates that FOXP4 is associated with lung cancer and neurodevelopmental disorders. Its dysregulation can affect cellular processes linked to tumorigenesis and cognitive development. FOXP4’s involvement with other proteins such as FOXP1 highlights its role in modulating gene networks that when disrupted can contribute to disease pathogenesis.

Product protocols

For this product, it's our understanding that no specific protocols are required. You can visit:

Target data

Transcriptional repressor that represses lung-specific expression.
See full target information FOXP4

Publications (4)

Recent publications for all applications. Explore the full list and refine your search

Materials today. Bio 31:101468 PubMed39906203

2025

Green biosynthetic silver nanoparticles from as multifunctional hemostatic agents: Combining hemostasis, antibacterial, and anti-inflammatory properties for effective wound healing.

Applications

Unspecified application

Species

Unspecified reactive species

Yang Li,Yinfeng Tan,Huange Zhao,Shiting Chen,Azadeh Nilghaz,Rong Cao,Songlin Zhou

Molecular biotechnology 65:1715-1728 PubMed36763305

2023

Hsa_circ_0017956 Acts as miR-758-3p Sponge to Facilitate the Progression of Non-small-Cell Lung Cancer by Regulating FOXP4 Expression.

Applications

WB

Species

Human

Chengdong Sun,Jian Zhang,Jia Liu,Jingjing Tong,Panpan Wang

Neuroscience bulletin 39:1131-1145 PubMed36646976

2023

Inhibition of Foxp4 Disrupts Cadherin-based Adhesion of Radial Glial Cells, Leading to Abnormal Differentiation and Migration of Cortical Neurons in Mice.

Applications

IHC-Fr

Species

Mouse

Xue Li,Shimin Zou,Xiaomeng Tu,Shishuai Hao,Tian Jiang,Jie-Guang Chen

Molecular medicine reports 24: PubMed34590150

2021

FOXP4 promotes laryngeal squamous cell carcinoma progression through directly targeting LEF‑1.

Applications

ChIP

Species

Human

Jian Shi,Jingtian Wang,Hongkun Cheng,Shenghui Liu,Xiaowei Hao,Lili Lan,Gancun Wu,Meng Liu,Yan Zhao
View all publications

Product promise

We are committed to supporting your work with high-quality reagents, and we're here for you every step of the way. In the unlikely event that one of our products does not perform as expected, you're protected by our Product Promise.
For full details, please see our Terms & Conditions

Please note: All products are 'FOR RESEARCH USE ONLY. NOT FOR USE IN DIAGNOSTIC OR THERAPEUTIC PROCEDURES'.

For licensing inquiries, please contact partnerships@abcam.com