JavaScript is disabled in your browser. Please enable JavaScript to view this website.
AB229860

Anti-FOXRED1 antibody

Be the first to review this product! Submit a review

|

(1 Publication)

Rabbit Polyclonal FOXRED1 antibody. Suitable for WB, IHC-P and reacts with Human samples. Cited in 1 publication. Immunogen corresponding to Recombinant Fragment Protein within Human FOXRED1 aa 300 to C-terminus.

View Alternative Names

FP634, FOXRED1, FAD-dependent oxidoreductase domain-containing protein 1

3 Images
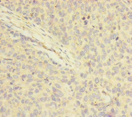
Immunohistochemistry (Formalin/PFA-fixed paraffin-embedded sections) - Anti-FOXRED1 antibody (AB229860)
  • IHC-P

Supplier Data

Immunohistochemistry (Formalin/PFA-fixed paraffin-embedded sections) - Anti-FOXRED1 antibody (AB229860)

Paraffin-embedded human colon cancer tissue stained for FOXRED1 using ab229860 at 1/100 dilution in immunohistochemical analysis.

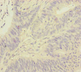
Immunohistochemistry (Formalin/PFA-fixed paraffin-embedded sections) - Anti-FOXRED1 antibody (AB229860)
  • IHC-P

Supplier Data

Immunohistochemistry (Formalin/PFA-fixed paraffin-embedded sections) - Anti-FOXRED1 antibody (AB229860)

Paraffin-embedded human ovarian cancer tissue stained for FOXRED1 using ab229860 at 1/100 dilution in immunohistochemical analysis.

Western blot - Anti-FOXRED1 antibody (AB229860)
  • WB

Supplier Data

Western blot - Anti-FOXRED1 antibody (AB229860)

All lanes:

Western blot - Anti-FOXRED1 antibody (ab229860) at 1/1000 dilution

Lane 1:

A549 (human lung carcinoma cell line) whole cell lysate

Lane 2:

A431 (human epidermoid carcinoma cell line) whole cell lysate

Lane 3:

Jurkat (human T cell leukemia cell line from peripheral blood) whole cell lysate

Lane 4:

HeLa (human epithelial cell line from cervix adenocarcinoma) whole cell lysate

Lane 5:

HepG2 (human liver hepatocellular carcinoma cell line) whole cell lysate

Secondary

All lanes:

Goat polyclonal to rabbit IgG at 1/10000 dilution

Predicted band size: 53 kDa

Observed band size: 54 kDa

false

Key facts

Host species

Rabbit

Clonality

Polyclonal

Isotype

IgG

Carrier free

No

Reacts with

Human

Applications

WB, IHC-P

applications

Immunogen

Recombinant Fragment Protein within Human FOXRED1 aa 300 to C-terminus. The exact immunogen used to generate this antibody is proprietary information.

Q96CU9

Reactivity data

{ "title": "Reactivity Data", "filters": { "stats": ["", "Species", "Dilution Info", "Notes"], "tabs": { "all-applications": {"fullname" : "All Applications", "shortname": "All Applications"}, "WB" : {"fullname" : "Western blot", "shortname":"WB"}, "IHCP" : {"fullname" : "Immunohistochemistry (Formalin/PFA-fixed paraffin-embedded sections)", "shortname":"IHC-P"} }, "product-promise": { "all": "all", "testedAndGuaranteed": "tested", "guaranteed": "expected", "predicted": "predicted", "notRecommended": "not-recommended" } }, "values": { "Human": { "WB-species-checked": "testedAndGuaranteed", "WB-species-dilution-info": "1/1000 - 1/5000", "WB-species-notes": "<p></p>", "IHCP-species-checked": "testedAndGuaranteed", "IHCP-species-dilution-info": "1/20 - 1/200", "IHCP-species-notes": "<p></p>" }, "Cynomolgus monkey": { "WB-species-checked": "predicted", "WB-species-dilution-info": "", "WB-species-notes": "", "IHCP-species-checked": "predicted", "IHCP-species-dilution-info": "", "IHCP-species-notes": "" } } }

Properties and storage information

Form
Liquid
Purification technique
Affinity purification Immunogen
Storage buffer
pH: 7.3 Preservative: 0.02% Sodium azide Constituents: PBS, 50% Glycerol (glycerin, glycerine)
Shipped at conditions
Blue Ice
Appropriate short-term storage duration
1-2 weeks
Appropriate short-term storage conditions
+4°C
Appropriate long-term storage conditions
-20°C
Aliquoting information
Upon delivery aliquot
Storage information
Avoid freeze / thaw cycle

Supplementary information

This supplementary information is collated from multiple sources and compiled automatically.

FOXRED1 also known as FAD-dependent oxidoreductase domain-containing protein 1 is an important protein with a mass of approximately 56 kDa. This protein functions as a chaperone-like assembly factor directly involved in the assembly and stabilization of mitochondrial complex I. FOXRED1 shows significant expression in tissues with high energy demand such as muscle and brain reflecting its role in mitochondrial function.
Biological function summary

FOXRED1 plays a supportive role in mitochondrial energy production by assisting the proper assembly of complex I which is part of the electron transport chain. It acts as part of a larger assembly system ensuring that the electron transport chain operates efficiently. Mutations or deficiencies in FOXRED1 can result in impaired complex I function affecting cellular respiration and energy production in oxidative phosphorylation.

Pathways

FOXRED1 involvement is key within the mitochondrial oxidative phosphorylation pathway important for ATP production. It interacts with other complex I subunits like NDUFAF1 and NDUFAF2 playing a role in their assembly. Besides oxidative phosphorylation FOXRED1 indirectly affects the reactive oxygen species (ROS) regulation pathway since complex I is a significant ROS source under dysfunctional circumstances.

FOXRED1 disruptions have been linked to Leigh syndrome and other mitochondrial complex I deficiency disorders. These conditions highlight the importance of FOXRED1 in energy production within cells. Dysfunctions of FOXRED1 can associate with mitochondrial DNA depletion syndrome where it may interact with other mitochondrial proteins contributing to pathological phenotypes such as POLG. Understanding FOXRED1’s role helps to elucidate the mechanisms behind these disorders paving the way for better therapeutic approaches.

Product protocols

For this product, it's our understanding that no specific protocols are required. You can visit:

Target data

Required for the assembly of the mitochondrial membrane respiratory chain NADH dehydrogenase (Complex I) (PubMed : 20858599, PubMed : 25678554). Involved in mid-late stages of complex I assembly (PubMed : 25678554).
See full target information FOXRED1

Publications (1)

Recent publications for all applications. Explore the full list and refine your search

Molecular biotechnology 67:689-704 PubMed38456959

2024

O-sialoglycoprotein Endopeptidase (OSGEP) Suppresses Hepatic Ischemia-Reperfusion Injury-Induced Ferroptosis Through Modulating the MEK/ERK Signaling Pathway.

Applications

Unspecified application

Species

Unspecified reactive species

Yuanyuan Tao,Wanqing Zhou,Cheng Chen,Qian Zhang,Zhuoyi Liu,Pingping Xia,Zhi Ye,Chunling Li
View all publications

Product promise

We are committed to supporting your work with high-quality reagents, and we're here for you every step of the way. In the unlikely event that one of our products does not perform as expected, you're protected by our Product Promise.
For full details, please see our Terms & Conditions

Please note: All products are 'FOR RESEARCH USE ONLY. NOT FOR USE IN DIAGNOSTIC OR THERAPEUTIC PROCEDURES'.

For licensing inquiries, please contact partnerships@abcam.com