JavaScript is disabled in your browser. Please enable JavaScript to view this website.
AB231540

Anti-FPGS antibody

Be the first to review this product! Submit a review

|

(1 Publication)

Rabbit Polyclonal FPGS antibody. Suitable for WB, IHC-P and reacts with Mouse, Human samples. Cited in 1 publication. Immunogen corresponding to Recombinant Fragment Protein within Mouse Fpgs aa 200-450.

View Alternative Names

Folylpoly-gamma-glutamate synthetase, Tetrahydrofolylpolyglutamate synthase, FPGS, Tetrahydrofolate synthase

4 Images
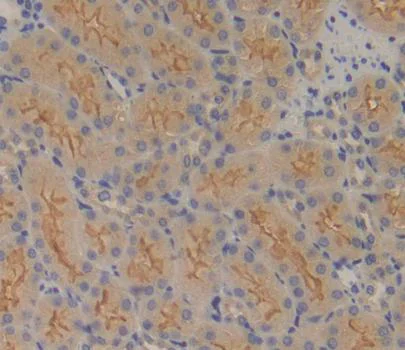
Immunohistochemistry (Formalin/PFA-fixed paraffin-embedded sections) - Anti-FPGS antibody (AB231540)
  • IHC-P

Supplier Data

Immunohistochemistry (Formalin/PFA-fixed paraffin-embedded sections) - Anti-FPGS antibody (AB231540)

Formalin-fixed, paraffin-embedded mouse kidney tissue stained for FPGS using ab231540 at 20 μg/mL in immunohistochemical analysis. DAB staining.

Immunohistochemistry (Formalin/PFA-fixed paraffin-embedded sections) - Anti-FPGS antibody (AB231540)
  • IHC-P

Supplier Data

Immunohistochemistry (Formalin/PFA-fixed paraffin-embedded sections) - Anti-FPGS antibody (AB231540)

Formalin-fixed, paraffin-embedded mouse skeletal muscle tissue stained for FPGS using ab231540 at 20 μg/mL in immunohistochemical analysis. DAB staining.

Western blot - Anti-FPGS antibody (AB231540)
  • WB

Supplier Data

Western blot - Anti-FPGS antibody (AB231540)

All lanes:

Western blot - Anti-FPGS antibody (ab231540) at 1 µg/mL

All lanes:

Recombinant mouse FPGS protein

Predicted band size: 65 kDa

false

Western blot - Anti-FPGS antibody (AB231540)
  • WB

Supplier Data

Western blot - Anti-FPGS antibody (AB231540)

All lanes:

Western blot - Anti-FPGS antibody (ab231540) at 1/50 dilution

All lanes:

HeLa (human epithelial cell line from cervix adenocarcinoma) whole cell lysate

Predicted band size: 65 kDa

false

Key facts

Host species

Rabbit

Clonality

Polyclonal

Isotype

IgG

Carrier free

No

Reacts with

Mouse, Human

Applications

WB, IHC-P

applications

Immunogen

Recombinant Fragment Protein within Mouse Fpgs aa 200-450. The exact immunogen used to generate this antibody is proprietary information.

P48760

Reactivity data

{ "title": "Reactivity Data", "filters": { "stats": ["", "Species", "Dilution Info", "Notes"], "tabs": { "all-applications": {"fullname" : "All Applications", "shortname": "All Applications"}, "WB" : {"fullname" : "Western blot", "shortname":"WB"}, "IHCP" : {"fullname" : "Immunohistochemistry (Formalin/PFA-fixed paraffin-embedded sections)", "shortname":"IHC-P"} }, "product-promise": { "all": "all", "testedAndGuaranteed": "tested", "guaranteed": "expected", "predicted": "predicted", "notRecommended": "not-recommended" } }, "values": { "Human": { "WB-species-checked": "testedAndGuaranteed", "WB-species-dilution-info": "0.2-2 µg/mL", "WB-species-notes": "<p></p>", "IHCP-species-checked": "guaranteed", "IHCP-species-dilution-info": "", "IHCP-species-notes": "" }, "Mouse": { "WB-species-checked": "testedAndGuaranteed", "WB-species-dilution-info": "0.2-2 µg/mL", "WB-species-notes": "<p></p>", "IHCP-species-checked": "testedAndGuaranteed", "IHCP-species-dilution-info": "5-20 µg/mL", "IHCP-species-notes": "<p></p>" } } }

Properties and storage information

Form
Liquid
Purification technique
Affinity purification Immunogen
Purification notes
Antigen-specific affinity chromatography followed by Protein A affinity chromatography.
Storage buffer
pH: 7.4 Preservative: 0.02% Sodium azide Constituents: PBS, 55.77% Glycerol (glycerin, glycerine)
Shipped at conditions
Blue Ice
Appropriate short-term storage duration
1-2 weeks
Appropriate short-term storage conditions
+4°C
Appropriate long-term storage conditions
-20°C
Aliquoting information
Upon delivery aliquot
Storage information
Avoid freeze / thaw cycle

Supplementary information

This supplementary information is collated from multiple sources and compiled automatically.

Folate polyglutamate synthase (FPGS) also known as folylpolyglutamate synthase plays an important role in the metabolic processing of folates. This enzyme catalyzes the addition of glutamate residues to folate and its derivatives. The molecular mass of FPGS is around 60 kDa. Researchers have identified its expression in various tissues with notable presence in liver bone marrow and placenta as well as in certain cancer cell lines.
Biological function summary

FPGS modifies folates converting them into polyglutamated forms that remain inside the cells. Its role in folate metabolism makes it essential for synthesizing nucleotides and some amino acids. FPGS does not function in isolation; it interacts with substrates in a series of metabolic complexes. Through its activity FPGS impacts DNA synthesis and repair which are critical for cell proliferation and survival.

Pathways

The function of FPGS integrates into the folate metabolism and one-carbon metabolic pathways. FPGS contributes to the regulation of folate homeostasis and is synchronous with proteins like dihydrofolate reductase (DHFR) that are important in these pathways. FPGS's activity ensures the maintenance of tetrahydrofolate derivatives necessary for thymidylate and purine synthesis.

Alterations in FPGS activity correlate with the development of certain cancers and hematological disorders. Impaired FPGS function can lead to reduced cellular folate retention affecting nucleotide biosynthesis and increasing susceptibility to cancer. In leukemia for instance FPGS activity impacts therapeutic efficacy as it influences the cytotoxic effects of antifolate drugs. Its interaction with methotrexate an antifolate provides an essential mechanism of resistance in cancer treatment.

Product protocols

For this product, it's our understanding that no specific protocols are required. You can visit:

Target data

Catalyzes conversion of folates to polyglutamate derivatives allowing concentration of folate compounds in the cell and the intracellular retention of these cofactors, which are important substrates for most of the folate-dependent enzymes that are involved in one-carbon transfer reactions involved in purine, pyrimidine and amino acid synthesis. Unsubstituted reduced folates are the preferred substrates. Metabolizes methotrexate (MTX) to polyglutamates.
See full target information FPGS

Publications (1)

Recent publications for all applications. Explore the full list and refine your search

Antioxidants (Basel, Switzerland) 10: PubMed34943057

2021

Mito-TIPTP Increases Mitochondrial Function by Repressing the Rubicon-p22phox Interaction in Colitis-Induced Mice.

Applications

Unspecified application

Species

Unspecified reactive species

Jae-Sung Kim,Ye-Ram Kim,Sein Jang,Sang Geon Wang,Euni Cho,Seok-Jun Mun,Hye-In Jeon,Hyo-Keun Kim,Sun-Joon Min,Chul-Su Yang
View all publications

Product promise

We are committed to supporting your work with high-quality reagents, and we're here for you every step of the way. In the unlikely event that one of our products does not perform as expected, you're protected by our Product Promise.
For full details, please see our Terms & Conditions

Please note: All products are 'FOR RESEARCH USE ONLY. NOT FOR USE IN DIAGNOSTIC OR THERAPEUTIC PROCEDURES'.

For licensing inquiries, please contact partnerships@abcam.com