JavaScript is disabled in your browser. Please enable JavaScript to view this website.
AB150568

Anti-FPR3 antibody

Be the first to review this product! Submit a review

|

(1 Publication)

Rabbit Polyclonal FPR3 antibody. Suitable for IHC-P and reacts with Human samples. Cited in 1 publication. Immunogen corresponding to Synthetic Peptide within Human FPR3.

View Alternative Names

FPRH1, FPRL2, FPR3, N-formyl peptide receptor 3, FMLP-related receptor II, Formyl peptide receptor-like 2, FMLP-R-II

1 Images
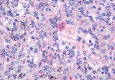
Immunohistochemistry (Formalin/PFA-fixed paraffin-embedded sections) - Anti-FPR3 antibody (AB150568)
  • IHC-P

Unknown

Immunohistochemistry (Formalin/PFA-fixed paraffin-embedded sections) - Anti-FPR3 antibody (AB150568)

Immunohistochemical analysis of formalin fixed and paraffin embedded human spleen tissue labelling FPR3 with ab150568 at 8ug/ml after heat-induced antigen retrieval.

Key facts

Host species

Rabbit

Clonality

Polyclonal

Isotype

IgG

Carrier free

No

Reacts with

Human

Applications

IHC-P

applications

Immunogen

Synthetic Peptide within Human FPR3. The exact immunogen used to generate this antibody is proprietary information.

P25089

Specificity

BLAST analysis of the peptide immunogen showed no homology with other human proteins, except FPR2 (61%).

Reactivity data

{ "title": "Reactivity Data", "filters": { "stats": ["", "Species", "Dilution Info", "Notes"], "tabs": { "all-applications": {"fullname" : "All Applications", "shortname": "All Applications"}, "IHCP" : {"fullname" : "Immunohistochemistry (Formalin/PFA-fixed paraffin-embedded sections)", "shortname":"IHC-P"} }, "product-promise": { "all": "all", "testedAndGuaranteed": "tested", "guaranteed": "expected", "predicted": "predicted", "notRecommended": "not-recommended" } }, "values": { "Human": { "IHCP-species-checked": "testedAndGuaranteed", "IHCP-species-dilution-info": "8 µg/mL", "IHCP-species-notes": "<p></p> Perform heat-mediated antigen retrieval before commencing with IHC staining protocol." }, "Chimpanzee": { "IHCP-species-checked": "predicted", "IHCP-species-dilution-info": "", "IHCP-species-notes": "" }, "Gorilla": { "IHCP-species-checked": "predicted", "IHCP-species-dilution-info": "", "IHCP-species-notes": "" }, "Monkey": { "IHCP-species-checked": "predicted", "IHCP-species-dilution-info": "", "IHCP-species-notes": "" }, "Orangutan": { "IHCP-species-checked": "predicted", "IHCP-species-dilution-info": "", "IHCP-species-notes": "" } } }

Properties and storage information

Form
Liquid
Purification technique
Affinity purification Immunogen
Storage buffer
pH: 7.4 Preservative: 0.1% Sodium azide Constituents: PBS
Shipped at conditions
Blue Ice
Appropriate short-term storage conditions
+4°C
Appropriate long-term storage conditions
-20°C

Supplementary information

This supplementary information is collated from multiple sources and compiled automatically.

Formyl peptide receptor 3 (FPR3) also known as FMLP-R and FPRL2 is a G protein-coupled receptor with a molecular mass of approximately 39 kDa. FPR3 is positioned on the membrane of various immune cells including monocytes and neutrophils. This receptor plays an important role in detecting and responding to chemoattractant molecules. FPR3 can capture and transmit signals through conformational changes facilitating chemotaxis and other immune responses.
Biological function summary

FPR3 influences immune cell behavior and regulates the host's defense mechanisms. It participates in the chemotactic response directing immune cells to sites of infection or inflammation. While it is not part of a larger receptor complex FPR3 functions synergistically with other formyl peptide receptors like FPR1 and FPR2 to fine-tune immune responses. These coordinated activities help in controlling inflammation and microbial defense.

Pathways

Researchers have identified FPR3 as a significant component of the chemotaxis pathway in immune signaling. It interacts with key intracellular signaling molecules leading to the modulation of the MAPK signaling pathway. This coordination enhances immune cell mobility and function. FPR3 shares functional characteristics with related proteins such as FPR1 which also participates in the regulation of immune responses necessary for host defense.

FPR3 shows involvement in inflammatory conditions and certain types of cancer. Aberrations in FPR3 signaling may contribute to chronic inflammation impacting diseases like rheumatoid arthritis. Its dysregulation can affect cancer progression particularly in scenarios involving tumor-associated macrophages. The interactions between FPR3 and related immune proteins like FPR1 can influence the severity and prognosis of these conditions by modifying the immune environment in pathological tissues.

Product protocols

For this product, it's our understanding that no specific protocols are required. You can visit:

Target data

Low affinity receptor for N-formyl-methionyl peptides, which are powerful neutrophils chemotactic factors. Binding of FMLP to the receptor causes activation of neutrophils. This response is mediated via a G-protein that activates a phosphatidylinositol-calcium second messenger system. Acts as a receptor for humanin (PubMed : 15465011).
See full target information FPR3

Publications (1)

Recent publications for all applications. Explore the full list and refine your search

Stroke 51:2197-2207 PubMed32486965

2020

Mesenchymal Behavior of the Endothelium Promoted by SMAD6 Downregulation Is Associated With Brain Arteriovenous Malformation Microhemorrhage.

Applications

Unspecified application

Species

Unspecified reactive species

Weilun Fu,Ran Huo,Zihan Yan,Hongyuan Xu,Hao Li,Yuming Jiao,Linjian Wang,Jiancong Weng,Jie Wang,Shuo Wang,Yong Cao,Jizong Zhao
View all publications

Product promise

We are committed to supporting your work with high-quality reagents, and we're here for you every step of the way. In the unlikely event that one of our products does not perform as expected, you're protected by our Product Promise.
For full details, please see our Terms & Conditions

Please note: All products are 'FOR RESEARCH USE ONLY. NOT FOR USE IN DIAGNOSTIC OR THERAPEUTIC PROCEDURES'.

For licensing inquiries, please contact partnerships@abcam.com